Myriam Loyo, Margaret L. Skinner, and David E. Tunkel
Paralysis of the facial nerve, cranial nerve VII (CN VII), can cause dramatic changes in the appearance with obvious concern to the affected child and parents. In addition to the significant functional, social, and psychological impact, severe or persistent facial palsy can lead to deformity, loss of oral competency, and visual impairment due to impaired corneal protection.
Facial nerve paralysis is uncommon in children. The estimated annual incidence in the entire population is 15 to 40 per 100,000.1 Children are two to four times less likely than adults to be affected by facial paralysis. While the most common cause of adult-onset facial nerve paralysis is idiopathic facial paralysis (Bell palsy), facial paralysis in children is more likely a result of infections, inflammation, or trauma.2,3 Early recognition and treatment are particularly important in the pediatric population. We provide a review of the relevant anatomy, clinical presentations, etiologies, diagnostic studies, and treatments for facial nerve paralysis in children.
Anatomy and Function
In addition to providing motor innervation to the facial muscles of expression, the facial nerve also serves other important functions such as salivation, lacrimation, and taste. A discussion of the anatomical course of the facial nerve and functions of the components of this nerve, from brainstem through the temporal bone and into the face allows understanding of the localization of different injuries and prediction of expected deficits.4
The facial nerve carries three distinct types of fibers: (1) efferent motor fibers from the motor nuclei that provide facial expression; (2) efferent secretory fibers from the superior salivary nucleus that provide preganglionic para-sympathetic innervation to the lacrimal, sublingual, and submandibular glands; and (3) afferent fibers that provide both specialized taste sensation from the anterior two-thirds of the tongue and sensation of the external auditory canal. It is important to mention that the motor fibers that innervate the forehead receive bilateral cortical input while the lower facial expression muscles receive only contralateral innervation. This feature helps differentiate central from peripheral lesions.
The facial nerve emerges from the caudal border of the pons at the cerebellopontine angle (CPA) and enters the internal auditory canal (IAC). The facial nerve and the vestibulocochlear nerve, CN VIII, travel in proximity to each other within the temporal bone. The sensory fibers of CN VII travel between the motor component of CN VII and CN VIII; these fibers are known as nervus intermedius. Leaving the IAC, the facial nerve has labyrinthine, tympanic, and mastoid segments. This intratemporal course is encased in a bony canal that makes the nerve susceptible to compression. The labyrinthine segment is the narrowest segment and the most susceptible to compression by edema. It is at the level of the labyrinthine segment that the greater superficial petrosal nerve, carrying the preganglionic parasympathetic innervation to the lacrimal gland, arises. Congenital dehiscence of the facial canal is common in the tympanic segment—an area susceptible to injury from middle-ear infection, cholesteatoma, or even surgical trauma.
The mastoid portion of the facial nerve contains the origins of the nerve to the stapedius muscle as well as the chorda tympani. The chorda tympani supplies afferent taste to the anterior two-thirds of the tongue as well as parasympathetic innervation of the submandibular and sublingual glands. The facial nerve exits the temporal bone via the stylomastoid foramen and courses through the parotid gland to supply the muscles of facial expression. Within the parotid gland, the nerve lies between the deep and superficial lobes. The nerve usually branches at the pes anserinus into the superior temporal facial branch and inferior cervicofacial branch, which subsequently branch into the temporal or frontal, zygomatic, buccal, marginal mandibular, and cervical branches (Fig. 5.1).

Figure 5.1 Dissection of the left intraparotid facial nerve in a child who has a first branchial cleft sinus running from the cartilaginous ear canal to the upper neck, directly beneath the main trunk and pes anserinus. Arrow points to the main trunk.
Table 5.1 The House-Brackmann Facial Nerve Scale
|
Grade |
Description |
Characteristics |
|
I |
Normal |
Normal facial function in all areas |
|
II |
Mild dysfunction |
Gross: slight weakness noticeable on close inspection; may have very slight synkinesis At rest: normal symmetry and tone Motion: forehead—moderate to good function; eye—complete closure with minimum effort; and mouth—slight asymmetry |
|
III |
Moderate dysfunction |
Gross: obvious but not disfiguring difference between two sides; noticeable but not severe synkinesis, contracture, or hemifacial spasm At rest: normal symmetry and tone Motion: forehead—slight to moderate movement; eye—complete closure with effort; and mouth—slightly weak with maximum effort |
|
IV |
Moderately severe dysfunction |
Gross: obvious weakness and/or disfiguring asymmetry At rest: normal symmetry and tone Motion: forehead—none; eye—incomplete closure; and mouth: asymmetric with maximum effort |
|
V |
Severe dysfunction |
Gross: only barely perceptible motion At rest: asymmetry Motion: forehead: none; eye: incomplete closure; and mouth: slight movement |
|
VI |
Total paralysis |
No movement |
Assessment of Facial Nerve Dysfunction
The assessment of facial nerve function in children may require careful observation during rest as well as during crying, if the child is too young to follow commands to move portions of the face. The House-Brackmann scale is the most widely used system to grade facial nerve function. The scale ranges from normal function (Grade I) to complete paralysis (Grade VI).5 Examining for full-eye closure is critical as incomplete eye closure can lead to eye dryness, corneal abrasion, and vision loss. Failure to achieve full-eye closure differentiates Grades III and IV of facial nerve dysfunction on the House-Brackmann scale (Table 5.1). Facial photography has been recommended to objectively document the degree of facial nerve dysfunction.
Assessments of lacrimal function, the stapedius reflex, taste deficits, and salivary flow have been used to predict the site of facial nerve lesions, but these tests are of limited value in children. Imaging studies and electrodiagnostic tests are more commonly used to investigate facial nerve dysfunction when the etiology is not clear.
Etiology of Facial Nerve Paralysis
Idiopathic paralysis (Bell palsy) has long been regarded as the most common cause of facial paralysis in adults and children, with up to half of the cases diagnosed as Bell palsy.6,7 Recent investigations have been more fruitful in identifying specific causes of facial paralysis in children. A retrospective study over an 8-year period at Children's National Medical Center in Washington, DC, found a specific etiology for 84% of children with facial paralysis, with the leading causes being infections (28%) and trauma (24%).3 A review from the Boston Children's Hospital published in 2005 found an identifiable cause of facial paralysis in 86% of children, with infections (36%) and trauma (19%) again being most common etiologies.2
Infectious Causes of Facial Paralysis in Children
The infections that cause facial paralysis in children are most commonly acute otitis media (AOM), followed by Lyme disease and varicella zoster infection.6,8 These infectious causes are often identified by a thorough clinical and otologic evaluation. More unusual infectious causes of facial paralysis in children include tuberculosis, Mycobacterium avium-intracellulare, and viral infections that include mumps, rubella, cytomegalovirus, coxsackievirus, and herpes simplex virus (HSV). Some of these infections may present with isolated facial paralysis, while others may present as disseminated disease with multiple neurologic deficits. Additionally, immunologic responses associated with known or presumed infectious agents can cause facial paralysis as cranial-specific or generalized neuropathies. Some examples include Guillain-Barré syndrome, Kawasaki disease, human immunodeficiency virus infection, and sarcoidosis.
Otitis Media
AOM is common in children, but the likelihood of facial paralysis arising from AOM is low. The Early Childhood Longitudinal Study, Birth Cohort, which constituted a national prospective study in the United States and followed 8000 children born in 2001 for 2 years, determined that 62% of the children were diagnosed with AOM by 2 years of age.9 Facial paralysis occurred as a complication of otitis media in only 0.2% of the cases.10 The mechanism for facial nerve paralysis involves inflammatory spread from middle ear into the facial nerve canal through vascular pathways and bony dehiscences, with edema and compression of the nerve. The pathogens causing AOM complicated by facial paralysis are similar to those in noncomplicated cases: Haemophilus influenzae, Streptococcus pneumoniae, Moraxella catarrhalis, and Staphylococcus species.11 The treatment of AOM with facial paralysis includes oral or parenteral antibiotics. Myringotomy, with or without ventilation tube insertion, may be indicated as well, for drainage of the middle ear space and culture of the infected material. Facial paralysis from AOM is not usually treated with mastoidectomy with or without facial nerve decompression. Such surgery is reserved for patients who do not improve with antibiotics and middle-ear drainage. The prognosis for recovery of facial nerve paralysis associated with AOM appears to be favorable. In one retrospective study of 40 patients with facial nerve paralysis and AOM, 85% of the patients had facial nerve recovery to House-Brackmann Grade I and the remaining 15% to Grade II functions.11
Facial paralysis can also be caused by chronic otitis media. In chronic otitis media, with or without associated cholesteatoma, direct inflammatory involvement or compression/invasion of the facial nerve is more likely than in cases of AOM (Fig. 5.2). More aggressive and earlier surgical intervention with mastoidectomy with possible facial nerve decompression may be needed. Chronic otitis media and/or cholesteatoma should be suspected and ruled out for any child with facial paralysis, particularly those who have a history of ear infections, hearing loss, or otorrhea. Medical therapy should include coverage for gram-negative organisms, including Pseudomonas aeruginosa, Proteusspecies, Klebsiella species, and Escherichia coli, and anaerobes such as Bacteroides, Peptococcus, and Peptostreptococcus that are more common in chronic ear disease.12
Lyme Disease
Lyme disease, an infection with the spirochete Borrelia burgdorferi, is the most common cause of facial paralysis in children in areas endemic for this infection.8,13 Northern Hemisphere regions with temperate weather are endemic for Lyme disease. While Lyme disease has been reported in every state of the United States, it is most prevalent in the New England and Mid-Atlantic regions. In Europe, the disease is common in central countries such as Austria and Slovenia. The disease vector in the United States is the Ixodes scapularis, commonly known as deer tick. In the United States, most cases occur from late spring through early fall, the period of peak exposure to ticks. Facial paralysis is the most common cranial neuropathy associated with Lyme disease, and it can occur on one or both sides. In some patients, facial paralysis may be the only sign of Lyme disease, and progression to more diffuse or chronic central nervous system (CNS) disease can occur without treatment.13 Facial paralysis usually arises in the ipsilateral side of the bite, suggesting direct involvement by the spirochete. Approximately 50% of the patients will fail to demonstrate the dermatological lesions, requiring a high index of suspicion in endemic regions.14 The neurologic stage can present as early as within the first days of the disease. Other neurologic symptoms range from painful radiculitis to diffuse meningitis and/or encephalitis. Cardiac conduction defect may occur during this stage. Marked arthritic and chronic CNS involvement characterize the final, more advanced stage.

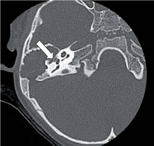
Figure 5.2 Facial nerve dehiscence in the left middle ear, with erosion of the bony fallopian canal just superior to the oval window. This 6-year-old child had cholesteatoma that eroded the stapes suprastructure as well as the fallopian canal, but did not have clinical evidence of facial nerve weakness. Arrow points to the tympanic facial nerve.
The Centers for Disease Control and Prevention recommends a two-step approach to Lyme diagnosis with initial enzyme-linked immunosorbent assay followed by Western blot. Patients with Lyme disease and facial paralysis often undergo lumbar puncture with examination of cerebrospinal fluid (CSF). CSF pleocytosis and elevated protein levels can be seen, and testing of CSF should be performed for specific antibodies and polymerase chain reaction (PCR) analysis for DNA from B. burgdorferi. Treatment for Lyme-associated facial paralysis includes antibiotic treatment against B. burgdoferi, usually for 10 to 20 days. The recommended regimen for children older than 8 years of age is doxycycline 100 mg twice a day, while children under 8 years of age are usually treated with amoxicillin 50 to 60 mg/kg/d. Parenteral ceftriaxone is used for disseminated infection.8 Some authors advocate the use of parenteral antibiotics for all cases of Lyme-associated facial paralysis. In general, the prognosis for facial nerve recovery is good, with recovery rates higher than 90% and mean duration of paralysis of 5 weeks.14
Ramsay Hunt Syndrome
Reactivation of dormant varicella zoster virus (VZV) can cause Ramsay Hunt syndrome (RHS) with facial paralysis. After primary infection, the VZV lies dormant in sensory ganglia such as the geniculate ganglia. Reactivation leads to facial paralysis and vestibulocochlear dysfunction as well as to a painful herpetic vesicular eruption within the external auditory canal known as herpes zoster oticus. In a retrospective study of children with facial paralysis, Hato et al found RHS in 16% of children.15 These authors found less severe symptoms of RHS as well as better prognosis in children when compared with adults—25% of children had hearing loss and 17% had vestibular hypofunction, whereas 52% of adults had hearing loss and 31% had vestibular hypofunction. Complete recovery of hearing was seen in 66% of affected children.
RHS tends to affect children older than 6 years of age who have had chickenpox in the past. Maximal facial weakness usually occurs within 1 week of onset of symptoms. Facial paralysis may precede development of any skin lesion in up to 50% of children.15 History and physical examination remain the key for diagnosis of RHS. Laboratory testing for VZV from swabs of the skin lesions is available, using direct fluorescent antigen assays and PCR.16Current recommendations for treatment of RHS include use of both steroids and antiviral agents. A large review of RHS evaluated 80 patients, all older than 15 years of age, and showed statistically significant improved outcomes in those patients treated with prednisone and acyclovir within 3 days of onset of facial paralysis.17 The recovery from RHS is usually favorable, although perhaps not as encouraging as following idiopathic facial paralysis. Approximately 80% of patients will have complete recovery.18 In March 1995, the U.S. Food and Drug Administration approved the Oka varicella vaccine for routine administration in the pediatric age group of 19 to 35 months. Although the incidence and epidemiology of RHS might change following the widespread use of the varicella vaccine, RHS has been reported in immunized children.
Trauma and Facial Paralysis
Trauma is the second most common cause of facial paralysis in children. Fortunately, birth trauma-related facial paralysis usually resolves if the birth trauma is not severe. Blunt head trauma can result in facial paralysis from swelling or disruption of CN VII within the temporal bone. Penetrating trauma to the head and face can damage the facial nerve and its branches near the ear and in the face. Iatrogenic injuries to the facial nerve can occur in tympanomastoidectomy, parotid gland surgery, and intracranial surgery. While all intratemporal portions of the facial nerve are at risk during ear surgery, the tympanic segment is particularly at risk when dissecting inflamed tissues or cholesteatoma in the middle ear. While facial paralysis of varying extents is not uncommon after parotidectomy, recovery is expected unless CN VII or one of the branches was transected.
Birth Trauma
The incidence of facial paralysis as a result of birth trauma has decreased due to a decline in the use of delivery forceps. The reported incidence in the 1980s was as high as 1.8%, whereas the incidence has been as low as 0.003% in the 1990s.18 Although the use of obstetric forceps continues to be a risk factor for facial paralysis, most cases occur in vaginal deliveries without instrumentation. Intrauterine trauma may occur as a result of pressure of the infant's face on the sacral promontory of the ischial spine resulting in nerve injury. Neonatal facial paralysis from intracranial hemorrhage has also been described.
The distinction between acquired and developmental causes of congenital facial paralysis is important because acquired facial paralysis carries an excellent prognosis and developmental paralysis is usually permanent. Obstetric-related risk factors are prolonged labor, primiparity, newborn's weight greater than 3500 g, and use of obstetric instrumentation.18,19 The face should be carefully inspected for signs of trauma including the presence of facial bruises. Nearly 90% of the infants exhibit complete recovery of facial nerve function, usually before 4 months of age.18
Temporal Bone Trauma
Temporal bone fractures are the most common traumatic base of skull fracture and occur in 4 to 16% of cases of blunt trauma to the head in children.20 Temporal bone fractures present with hemotympanum or blood in the external auditory canal. More than half of the children will have other intracranial injuries. Temporal bone fractures may cause facial paralysis, hearing loss (conductive, sensorineural, or mixed), dysequilibrium, and/or CSF otorrhea or rhinorrhea. Facial nerve paralysis appears to be more common in adults with temporal bone fractures than in children. Facial weakness has been described in 38% of these fractures in adults compared with only 7% in children with these fractures.20
Facial nerve paralysis can occur immediately at the time of trauma, or may develop later. Incomplete and delayed paralyses usually recover, with observation and/or steroid treatment. Complete and immediate facial paralyses may benefit from surgical exploration for reanastomosis of a transected nerve or decompression of the nerve. Darrouzet et al conducted a retrospective study on 115 cases of facial paralysis from temporal bone trauma in children and adults identifying complete transection and a nerve gap in 14% of cases.21 Identification of those patients who may benefit from surgery remains problematic. In addition to facial paralysis, temporal bone fracture can cause hearing loss and CSF leaks. Hearing loss has been reported in 16 to 81% of temporal bone fractures; this wide variation probably reflecting the difficulties of hearing evaluation in the acute setting. Most series report complete resolution of hearing loss in 60 to 80% of patients with temporal bone fractures.20 Persistent conductive hearing loss may be an indication for middle-ear exploration to identify and repair abnormalities such as incudostapedial dislocation or stapes fracture. Persistent sensorineural hearing loss has also been described in a minority of patients.2 CSF otorrhea is rare and seen in approximately 7% of patients; it usually resolves without operative interventions.
Congenital/Developmental and Syndromic Facial Palsies
Congenital/developmental facial nerve paralysis may occur from agenesis of the nerve or motor nuclei, or agenesis of the muscles of expression. Rehabilitation of the congenitally paralyzed face usually relies on a combination of muscle and nerve-transfer procedures. The mildest form of congenital facial paralysis is agenesis of depressor labii inferioris or depressor anguli oris, causing asymmetry of lips in the crying newborn. Möbius syndrome is a rare disorder characterized by paralysis of facial and abducens nerves.22 Bilateral facial paralysis can be seen in the syndrome as well as involvement of other cranial nerves such as trigeminal, glossopharyngeal, and vagus nerve. Möbius syndrome results as a developmental disorder of the rhombencephalon, where magnetic resonance imaging (MRI) suggests absence of CN VII within the IAC.
Children with CHARGE syndrome (colobomata, heart disease, atresia or choanae, retarded growth, genital hypoplasia, and ear abnormalities) can have varying degrees of facial weakness. In this syndrome, involvement of the vestibulocochlear nerve (CN VIII) is seen in 60%, facial nerve involvement in 43%, and glossopharyngeal or vagus involvement in 30%.23 Hemifacial microsomia, often evidenced by microtia and facial asymmetries as well as eye and vertebral abnormalities, is the second most common congenital facial anomaly after cleft lip and palate. Over 25% of these patients have facial paralysis.
Melkersson-Rosenthal syndrome is a disorder that typically affects teenagers characterized by the triad of recurrent episodes of orofacial swelling, recurrent facial paralysis, and lingua plicata or fissured tongue. The complete triad is present in only 25% of the patients, and more commonly patients present with recurrent facial edema involving the cheek, lips, and tongue. The site of facial paralysis corresponds with the area of facial swelling, and management is often symptomatic. Residual facial paralysis may persist after recurrent episodes.24
Facial Paralysis from Neoplasms
Primary tumors of the facial nerve, such as schwannomas and hemangiomas, are rare in children. Vestibular schwannomas classically present with bilateral involvement in children with neurofibromatosis type 2. Such schwannomas can lead to facial paralysis by direct involvement of the facial nerve or compression within the IAC. Children can suffer facial nerve paralysis secondary to other tumors that involve the facial nerve, such as rhabdomyosarcoma, parotid tumors, lymphoma or leukemia, and CNS tumors (Fig. 5.3 A–C). Parotid gland masses are rare in children, with the majority representing benign lesions. Malignancy should be suspected in parotid masses when facial paralysis is seen.

Figure 5.3 (A) Right facial weakness with (B) lower division motor function affected more than upper branches, in a young child with (C) a parotid and parapharyngeal mass. Pathology was consistent with a pseudosarcoma lesion. Printed with permission.
Bell Palsy (Idiopathic Facial Paralysis)
Bell palsy refers to idiopathic peripheral facial nerve paralysis of acute onset in the absence of other neurologic signs. The diagnosis of Bell palsy in a child should be a diagnosis of exclusion, as the frequency of infectious, traumatic, and other defined causes of facial palsy merits a full diagnostic work-up for any child with facial weakness. The incidence of Bell palsy is of 2.7 per 100,000 under the age of 10 and 10.1 per 100,000 between the age of 10 and 20 years.25 The proposed etiologies of Bell palsy include microvascular abnormalities, viral infection, and autoimmune reactions. Reactivation of HSV infection is a widely accepted hypothesis. Serologic studies showing seroconversion to HSV after episodes of Bell palsy have been inconsistent. Some patients complain of otalgia before the onset of facial paralysis. Viral prodromes may precede the paralysis.
The onset tends to be rapid with the majority of the patients progressing to maximal facial paralysis within 24 hours of onset; however, progression may occur over several hours or up to 1 week. Approximately two-thirds of the patients will progress to complete facial paralysis.26 Bilateral Bell palsy is rare (0.3%) as is recurrence of more than one episode of facial paralysis (9%). Familiar history of Bell paralysis is present in 8% of the patients. The prognosis for facial nerve recovery in Bell palsy is excellent, with 85% of patient exhibiting recovery within 3 weeks of onset.26 Patient with incomplete paralysis have recovery rates approaching 100%. The Copenhagen Facial Nerve Study is a large retrospective study that evaluated the natural history (without any therapeutic intervention) of 2570 patients with Bell palsy over a 25-year period. The study included 463 children under the age of 15, and 90% exhibited full facial nerve recovery.26
Imaging for Facial Paralysis
MRI with intravenous gadolinium contrast is useful in children with facial nerve paralysis, suspected CNS pathology, or tumors of the facial nerve. For slowly progressing or longstanding facial weakness, MRI should be obtained to image the brainstem, temporal bone, and parotid gland. In cases of facial nerve inflammation, such as in Bell palsy or RHS, enhancement of the nerve is seen on MRI—enhancement that may persist for longer than 1 year after presentation.
Computed tomography (CT) is the study of choice to examine the temporal portion of the facial nerve, allowing assessment of the facial nerve in the fallopian canal from the IAC to the stylomastoid foramen. CT should be obtained for facial palsy associated with temporal bone fractures or with middle-ear diseases such as chronic otitis media/mastoiditis or cholesteatoma (Fig. 5.4).
Treatment of Facial Paralysis
The etiology, severity, and duration of the paralysis guide the treatment for facial nerve paralysis in children. Specific infectious causes should be treated with appropriate antibiotics and even surgical drainage when indicated. Artificial tears, lubricants, and patching/taping of the eye are used with the advice of ophthalmology consultants for patients with impaired eye closure. Bell palsy should be treated with steroids if not otherwise contraindicated, although the benefits of antiviral drugs remain debated. When transection of the facial nerve or a major branch from trauma is likely, exploration and reanastomosis/grafting should be considered. The benefits of facial nerve decompression remain to be determined in the pediatric population. In cases of congenital or permanent paralysis, static and dynamic facial reanimation with muscle transfers and nerve grafts are available options for reconstruction. Reanimation surgery is usually considered after 12 months of facial paralysis when the chance of additional motor recovery is low.

Figure 5.4 Computed tomographic image in the axial plane of a 3-year-old child with a large cholesteatoma that fills the mastoid and middle ear and has eroded the fallopian canal in the tympanic segment of cranial nerve VII. Arrow points to the tympanic segment.
Pharmacological Treatment
Pharmacological treatments for Bell palsy in children have been adopted from studies of these medications in the adult population. Two meta-analyses and two randomized controlled trials have documented improved motor function with the use of corticosteroids for Bell palsy. Therapy is more likely to be effective if started within 72 hours of onset of paralysis, and less effective when started after 7 days.27,28Corticosteroid treatment appears to quicken recovery as well as increase the likelihood of recovery. Salinas et al performed a meta-analysis and showed complete motor nerve recovery at 9 months in 77% of the patients treated with corticosteroids and 67% of those who did not receive steroids.28 Early corticosteroid treatment for children with Bell palsy, using prednisone 1–2 mg/kg daily (up to 80 mg daily) for five to seven days, followed by a taper, has been recommended, despite the paucity of studies of children.29
Antiviral medications, administered in conjunction with corticosteroids, may provide additional benefit. While several randomized controlled trials have shown benefit of antivirals in conjunction with steroids, two meta-analyses did not show additional benefit.27,30 Antiviral therapy alone is less effective than corticosteroids and not more effective than placebo.30 The addition of acyclovir or valacyclovir for one week may be considered in the treatment of Bell paralysis, particularly in children with severe paralysis.
Surgery for Facial Paralysis in Children
Facial nerve decompression has not been recommended for acute facial paralysis in children, in the absence of an anatomic lesion such as fallopian canal fracture, tumor, or cholesteatoma. Available literature represents case series limited to adults, with inconsistent facial nerve recovery following decompression.31,32 The role of facial nerve decompression in facial paralysis remains to be determined, particularly in the pediatric population.
Children with penetrating trauma to the face and temporal bone are at increased risk of complete transection of the facial nerve and its branches. In such cases where complete transection is suspected, exploration with direct neural reanastomosis or repair with use of neural grafts is advocated. Surgery within the first 72 hours of injury allows for the use of nerve stimulation to identify distal segments of the transected nerve. Even with anatomic nerve repair, the majority of patients will have unfavorable functional outcomes. About 85% will have recovered function in the House-Brackmann Grades III to IV range, with the remainder having complete paralysis.32
Surgical reanimation techniques are divided into (1) dynamic procedures that allow some active facial expression and (2) static procedures that restore facial symmetry at rest. Reanimation should generally be considered only if the paralysis does not improve after 12 months. Facial nerve repair is generally preferred either with end-to-end anastomosis or cable grafts. When use of the ipsilateral proximal nerve is not an option, cross-face grafting and nerve/muscle transfers are considered. These procedures are successful at returning tone and some degree of volitional movement, but cannot provide return to normal function.
References
1. Cha CI, Hong CK, Park MS, Yeo SG. Comparison of facial nerve paralysis in adults and children. Yonsei Med J 2008;49(5):725–734
2. Evans AK, Licameli G, Brietzke S, Whittemore K, Kenna M. Pediatric facial nerve paralysis: patients, management and outcomes. Int J Pediatr Otorhinolaryngol 2005;69(11):1521–1528
3. Grundfast KM, Guarisco JL, Thomsen JR, Koch B. Diverse etiologies of facial paralysis in children. Int J Pediatr Otorhinolaryngol 1990;19(3):223–239
4. Flint PW, Cummings CW. Cummings Otolaryngology–Head & Neck Surgery, 5th ed. Philadelphia, PA: Mosby/Elsevier; 2010
5. House JW, Brackmann DE. Facial nerve grading system. Otolaryngol Head Neck Surg 1985;93(2):146–147
6. Manning JJ, Adour KK. Facial paralysis in children. Pediatrics 1972;49(1):102–109
7. May M, Klein SR. Differential diagnosis of facial nerve palsy. Otolaryngol Clin North Am 1991;24(3):613–645
8. Cook SP, Macartney KK, Rose CD, Hunt PG, Eppes SC, Reilly JS. Lyme disease and seventh nerve paralysis in children. Am J Otolaryngol 1997;18(5):320–323
9. Salinas RA, Alvarez G, Daly F, Ferreira J. Corticosteroids for Bell's palsy (idiopathic facial paralysis). Cochrane Database Syst Rev. 2010;17(3):CD001942
10. Kangsanarak J, Fooanant S, Ruckphaopunt K, Navacharoen N, Teotrakul S. Extracranial and intracranial complications of suppurative otitis media. Report of 102 cases. J Laryngol Otol 1993;107(11):999–1004
11. Yonamine FK, Tuma J, Silva RF, Soares MC, Testa JR. Facial paralysis associated with acute otitis media. Braz J Otorhinolaryngol 2009;75(2):228–230
12. Lee SK, Lee MS, Jung SY, Byun JY, Park MS, Yeo SG. Antimicrobial resistance of Pseudomonas aeruginosa from otorrhea of chronic suppurative otitis media patients. Otolaryngol Head Neck Surg 2010;143(4):500–505
13. Tveitnes D, Øymar K, Natås O. Acute facial nerve palsy in children: how often is it Lyme borreliosis? Scand J Infect Dis 2007;39(5):425–431
14. Moscatello AL, Worden DL, Nadelman RB, Wormser G, Lucente F. Otolaryngologic aspects of Lyme disease. Laryngoscope 1991;101(6 Pt 1):592–595
15. Hato N, Kisaki H, Honda N, Gyo K, Murakami S, Yanagihara N. Ramsay Hunt syndrome in children. Ann Neurol 2000;48(2): 254–256
16. Vázquez M, LaRussa PS, Gershon AA, Steinberg SP, Freudigman K, Shapiro ED. The effectiveness of the varicella vaccine in clinical practice. N Engl J Med 2001;344(13):955–960
17. Murakami S, Hato N, Horiuchi J, Honda N, Gyo K, Yanagihara N. Treatment of Ramsay Hunt syndrome with acyclovir-prednisone: significance of early diagnosis and treatment. Ann Neurol 1997;41(3):353–357
18. Falco NA, Eriksson E. Facial nerve palsy in the newborn: incidence and outcome. Plast Reconstr Surg 1990;85(1):1–4
19. McHugh HE. Facial paralysis in birth injury and skull fractures. Arch Otolaryngol 1963;78:443–455
20. McGuirt WF Jr, Stool SE. Temporal bone fractures in children: a review with emphasis on long-term sequelae. Clin Pediatr (Phila) 1992;31(1):12–18
21. Darrouzet V, Duclos JY, Liguoro D, Truilhe Y, De Bonfils C, Bebear JP. Management of facial paralysis resulting from temporal bone fractures: our experience in 115 cases. Otolaryngol Head Neck Surg 2001;125(1):77–84
22. Kremer H, Kuyt LP, van den Helm B, et al. Localization of a gene for Möbius syndrome to chromosome 3q by linkage analysis in a Dutch family. Hum Mol Genet 1996;5(9):1367–1371
23. Blake KD, Hartshorne TS, Lawand C, Dailor AN, Thelin JW. Cranial nerve manifestations in CHARGE syndrome. Am J Med Genet A 2008;146A(5):585–592
24. Zimmer WM, Rogers RS III, Reeve CM, Sheridan PJ. Orofacial manifestations of Melkersson-Rosenthal syndrome. A study of 42 patients and review of 220 cases from the literature. Oral Surg Oral Med Oral Pathol 1992;74(5):610–619
25. Katusic SK, Beard CM, Wiederholt WC, Bergstralh EJ, Kurland LT. Incidence, clinical features, and prognosis in Bell's palsy, Rochester, Minnesota, 1968-1982. Ann Neurol 1986;20(5):622–627
26. Peitersen E. Natural history of Bell's palsy. Acta Otolaryngol Suppl 1992;492:122–124
27. de Almeida JR, Al Khabori M, Guyatt GH, et al. Combined corticosteroid and antiviral treatment for Bell palsy: a systematic review and meta-analysis. JAMA 2009;302(9):985–993
28. Engström M, Berg T, Stjernquist-Desatnik A, et al. Prednisolone and valaciclovir in Bell's palsy: a randomised, double-blind, placebo-controlled, multicentre trial. Lancet Neurol 2008; 7(11):993–1000
29. De Diego JI, Prim MP, De Sarriá MJ, Madero R, Gavilán J. Idiopathic facial paralysis: a randomized, prospective, and controlled study using single-dose prednisone versus acyclovir three times daily. Laryngoscope 1998;108(4 Pt 1):573–575
30. Lockhart P, Daly F, Pitkethly M, Comerford N, Sullivan F. Antiviral treatment for Bell's palsy (idiopathic facial paralysis). Cochrane Database Syst Rev 2009; (4):CD001869
31. Gantz BJ, Rubinstein JT, Gidley P, Woodworth GG. Surgical management of Bell's palsy. Laryngoscope 1999;109(8):1177–1188
32. Coker NJ, Kendall KA, Jenkins HA, Alford BR. Traumatic intratemporal facial nerve injury: management rationale for preservation of function. Otolaryngol Head Neck Surg 1987;97(3):262–269