Yaniv Ebner and Max M. April
Sinusitis is defined as inflammation of the mucosa of one or more paranasal sinuses. When it is acute it is often of viral etiology as part of rhinosinusitis (e.g., in the common cold).
Uncomplicated viral rhinosinusitis is a self-limited infection which spontaneously resolves in 7 to 10 days. Approximately 6 to 13% of viral rhinosinusitis episodes are complicated by acute bacterial rhinosinusitis (ABRS) and only in those cases should an antibiotic be prescribed.
Chronic sinusitis is usually caused by a persistent bacterial infection of the sinuses which fails to resolve due to other associated diseases such as allergy, chronic adenoiditis, immunodeficiency, gastroesophageal reflux disease (GERD), cystic fibrosis (CF), and anatomical abnormalities. Rarely, the etiology might be fungal.
Both acute and chronic sinusitis impairs the patient's quality of life and rarely can progress to an orbital infection endangering vision, or intracranial infection that might result in neurological sequelae or death.
Embryology and Anatomy
The paranasal sinuses evaginate from the nasal cavity and their development is directly linked to the development of the skull and to dentition1. The ethmoid and maxillary sinuses are the first to develop in the embryo by the 9th week of gestation. By 1 year of age, the maxillary sinus extends laterally beneath the orbit and elongates posteriorly to approach the periapical region of the first molar. By the 8th year of life, the floor of the maxillary sinus reaches the level of the hard palate. The maxillary sinuses have ostia located superiorly on their medial walls, requiring mucociliary activity for drainage of secretions from the sinus into the nose. The size ratio between the ethmoid and maxillary sinus regions in infants is 2:1 as oppose to 4:5 in adults.1
The sphenoid sinus pneumatization of the sphenoid bone begins by 4 years of age and reaches its permanent size by the age of 12 years. Its permanent shape develops during adolescence.1 The frontal sinuses are the last to develop, starting to pneumatize the frontal bone at about 4 years of age and continue to develop up to late adolescence. The development of the frontal sinuses is variable among individuals, with 80% having bilateral frontal sinuses, about 18% having unilateral frontal sinus hypoplasia, and the remainder with agenesis of the frontal sinuses.
Definitions
Rhinosinusitis is defined as an inflammation of the mucosal lining of the nasal cavity associated with one or more of the paranasal sinuses.2 Such inflammation occurs commonly during a viral upper respiratory tract infection (URI; common cold). If a secondary bacterial infection is present in the sinuses then the state becomes bacterial rhinosinusitis (BRS).3 BRS is further classified according to duration and recurrence.2 Acute bacterial rhinosinusitis (ABRS) is when symptoms completely resolve in less than 30 days; in subacute BRS symptoms completely resolve in ≥30 and <90 days; and in recurrent BRSthere are at least three episodes of <30 days duration separated by intervals of ≥10 days without symptoms in a 6-month period, or at least four such episodes in a 12-month period.
Chronic sinusitis is defined as a persistence of symptoms (cough, rhinorrhea, nasal obstruction) that last >90 days. Chronic paranasal inflammation may be noninfectious in etiology (e.g., allergy, CF, gastroesophageal reflux, exposure to environmental pollutants2) or infectious (e.g., bacterial or fungal).
Acute Sinusitis
Young children experience an average of six to eight colds per year. Viral URI in infants and children up to 3 years old is complicated by the development of a secondary bacterial sinusitis in 6 to 8% of those in home care setting and in 10 to 13% of those in group or day care setting.4 There are no evidence-based data about the prevalence of this complication in children older than 3 years. In temperate climates, ABRS is more common during the autumn and winter seasons.5 The high prevalence of viral URI in the pediatric population and hence ABRS makes it a very common disease with substantial burden on the patients, caregivers and medical services.
Pathogenesis
To keep normal physiology of the paranasal sinuses, several elements must be preserved: the sinuses should be sterile and in case of bacterial contamination, it should be transient. Bacteria that colonize the mucosa of the nasal cavity and nasopharynx may spread to the adjacent mucosa of the sinuses. Factors that might contribute to sinus bacterial contamination are excessive pressure gradient between the nasal cavity and the sinus during sniffing, sneezing, or blowing the nose resulting in influx of colonized secretions from the nasal cavity into the sinuses. Another suggested mechanism for anaerobe growth in the sinus is decreased partial pressure of oxygen. The predominant pathogens of ABRS are Streptococcus pneumoniae, Haemophilus influenzae (nontypable), and Moraxella catarrhalis.6
Proper mucociliary clearance is crucial to remove contaminating bacteria from the sinus and may be altered due to either mucous viscosity (e.g., in CF and asthma) or ciliary dysfunction. Failure to continuously clear the sinuses would result in bacterial accumulation and infection.
Clearance of the contaminated content of the sinus may be also interfered by obstruction of the ostia. Congestion and edema of the sinonasal mucosa due to viral URI or allergic rhinitis may result in narrowing and obstruction of the sinus ostia that would impair effective drainage.7 Sinus drainage route may be also affected by anatomic abnormalities such as Haller cell, lateralization of the uncinate process, polyps or masses, concha bullosa, paradoxical concha, septal deviation, nasal foreign body (e.g., nasogastric tube), and cranio-facial anomalies.
Children with immunoglobulin (Ig) G subclass immunodeficiency, impaired polysaccharide responsiveness, and selective IgA deficiency are prone to recurrent respiratory infections, usually sinusitis, otitis, or bronchitis.8
Diagnosis
The differentiation between uncomplicated viral URI and ABRS is challenging and is made by the length and severity of symptoms.3 Physical findings and imaging manifestations are similar between the viral and bacterial diseases and thus are not reliable in differentiating between the two. Viral URI should be suspected to be complicated and become an ABRS when nasal symptoms, cough, or both worsen on the sixth or seventh day or persist for more than 10 days without improvement.2,3
Nasal symptoms may include discharge, which may be anterior or posterior and of any quality (serous, mucoid, or purulent), and nasal congestion and obstruction. In ABRS, there is a persistent daytime cough (either productive or dry) which is usually worse at night.
ABRS may be diagnosed also when symptoms persist for less than 10 days but are severe at onset. As opposed to viral URI that may present with low-grade fever for less than 48 hours, severe symptoms of ABRS are defined as combination of high fever (at least 39°C) and concurrent purulent nasal discharge for at least three to four consecutive days in a child who appears ill.2 Facial pain and headache are less common in young children and are not required for the diagnosis of ABRS in a pediatric patient.9 Halitosis may be reported by the parents as well. Findings on physical examination are similar to those in an uncomplicated viral URI.

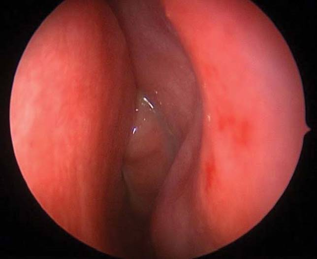
Figure 8.1 Endoscopic view of middle concha with sinusitis findings.
Anterior rhinoscopy may be remarkable for erythematous and congested turbinates as well as discharge. Postnasal drip may be present on oropharyngeal examination.2 Maxillary and frontal sinus tenderness, elicited with percussion or direct pressure, is infrequent in young children.10
Flexible fiberoptic nasal endoscopy is feasible in any age when using a small diameter pediatric endoscope and may show drainage from the osteomeatal complex (Fig. 8.1) or sphenoethmoidal recess and can verify the diagnosis.11 Imaging studies are not recommended as part of the work-up of pediatric ABRS and cannot differentiate between viral URI and ABRS.2 When orbital or intracranial complications of ABRS are suspected then contrast-enhanced computed tomography (CT) scan should be obtained.
Reliable cultures cannot be obtained routinely in children. Although sinus aspiration with a culture that yields ≥104 colony-forming units/mL of a significant pathogen is the gold standard for diagnosis of ABRS and specifying the pathogen,2 it cannot be performed routinely in children in the office setting. Sinus aspiration should be kept to complicated cases (including immunocompromised hosts). Cultures obtained from the throat, nasopharynx, and even the middle meatus are unreliable.9,12,13
Treatment
About 50 to 60% of children with ABRS will improve gradually without the use of antibiotics.
There are several objectives of treatment of ABRS with antibiotics. First, adequate antibiotic treatment fosters rapid recovery.14 The recovery of 20 to 30% of children with ABRS is delayed substantially compared with children who receive appropriate antibiotics.2 The second objective of antimicrobial treatment is the prevention of suppurative complications,2 although its effectiveness in doing so has not been adequately studied. The third objective of antibiotic treatment is to minimize exacerbation of asthma.2,14
The most common pathogen in children with ABRS is S. pneumoniae accounting for approximately 30% of cases, followed by H. influenzae and M. catarrhalis, each of which are recovered in about 20% cases. S. pyogenesaccounts for 2 to 5% and anaerobes for 2 to 5%. The maxillary sinus aspirate is found to be sterile in about 30% of pediatric ABRS. Approximately 25% of S. pneumoniae are not susceptible to penicillin through alterations in the penicillin-binding proteins; approximately 50% of those are highly resistant to penicillin, and the remaining 50% are intermediate in resistance. Many isolates of H. influenzae (35 to 50%) and M. catarrhalis (55 to 100%) are β-lactamase-producing and resistant to penicillin.15
For treatment to be effective the antibiotic should have an appropriate bacterial coverage against the common pathogens. The probability of resistant pathogen should be evaluated. Dosage and length of treatment period should be sufficient.
Antibiotics are routinely administered via the oral route. For uncomplicated ABRS that is of mild to moderate severity, with no risk factors for bacterial resistance such as attendance in day care, and without antibiotic treatment in the preceding 90 days, the first line of treatment is amoxicillin (45 to 90 mg/kg/d in two divided doses).16 In case of increased likelihood of microbial resistance (e.g., antibiotic treatment in the preceding 90 days, or attendance in day care), amoxicillin−clavulanate is recommended with dosage of 80 to 90 mg/kg/d of amoxicillin component in two divided doses. Other treatment options are with cephalosporins which are usually safe in children with mild allergic reaction (e.g., mild rash) to penicillins. Patients with severe allergic reaction to penicillins (e.g., severe rash, angioedema, anaphylaxis), should be treated with macrolides such as clarithromycin or azithromycin. Patients with type 1 hypersensitivity reactions to penicillin who are known to be infected with penicillin-resistant pneumococci can be treated with clindamycin.2
In more complicated cases (e.g., severe symptoms, immunodeficient patient, and potential orbital or intracranial complications), hospitalization for intravenous antibiotic therapy is recommended. Regimens options include cefotaxime or ceftriaxone.
Antibiotic therapy should last 10 to 14 days or be continued until the patient is symptom-free for 7 days.2
Symptoms are expected to improve within 48 to 72 hours.14 In children who do not respond to amoxicillin, antibiotic therapy may be changed to either high-dose amoxicillin−clavulanate or a cephalosporin. If these regimens fail, CT should be considered to confirm the diagnosis and intravenous (IV) ceftriaxone or cefotaxime may be tried. Sinus aspiration may be indicated to obtain cultures and antibiotics sensitivities. If cultures cannot be obtained, the addition of vancomycin with or without metronidazole may be indicated.
Adjunctive Therapy
Saline nasal irrigation, decongestants (topical or systemic), antihistamines, and intranasal corticosteroids are widely used as adjuncts to antibiotics in the treatment of ABRS.
Decongestants may reduce tissue edema, improve ostial drainage, and provide symptomatic relief.17 However, these benefits may be offset by an increased viscosity of secretions and decreased blood flow to the nasal mucosa, which may impair delivery of antibiotics to the sinuses. Similarly, antihistamines have the potential to dry secretions and impair sinus drainage.
A Cochrane review was conducted in 2010 to address the controversy about the efficacy of these adjuncts in children with ABRS.18 This evidence-based review found no evidence supporting the use of saline irrigation, decongestants, or antihistamines in children with ABRS. Furthermore, there is growing evidence from observational studies and from randomized trials of these medications in children with other URIs, which shows that the use of antihistamines and decongestants can lead to significant adverse events, especially in young children. Accordingly, the use of these medications was not recommended. Saline irrigation in general is well-tolerated, although there is no data to support its efficacy.18
Intranasal corticosteroids theoretically may decrease inflammation of the mucous membranes which contributes to obstruction of the ostia and impaired mucociliary clearance. According to the available data, intranasal budesonide has a modest effect on cough and nasal discharge, but the effect is noted only during the second week of therapy.19 Given this late marginal effect, the use of intranasal corticosteroids in children with ABRS does not seem to be beneficial.
Complications of ABRS
ABRS, if left untreated, may spread bacterial infection to adjacent structures and cause serious orbital or intracranial complications, which can also be the presenting manifestation.
The orbit is the most common site of extension of rhinosinusitis. Ethmoid sinusitis may spread through the thin lamina papyracea or through congenital, surgical, or traumatic dehiscences. Infection may also spread through the anterior and posterior ethmoid neurovascular foramina and the valveless veins. Orbital extension of ethmoid sinusitis is the most common cause of unilateral proptosis in children.20 A commonly used classification of orbital complications was introduced by Chandler in 197021:
Chandler Classification
I. Preseptal Cellulitis
Impeded venous and lymphatic drainage from the obstructed sinus may result in inflammatory edema anterior to the orbital septum. Manifestations are eyelid swelling, erythema, and tenderness (Fig. 8.2A, B). Visual acuity, pupillary reaction, extraocular motility, and intraocular pressure are normal. A CT scan is usually unnecessary. Treatment includes broad-spectrum antibiotics which may be oral in mild cases with ensured follow-up. Admission for IV antibiotics and close observation is usually recommended under 3 years of age. Additional recommendations are head elevation, warm packs, and management of the underlying cause.22

Figure 8.2 Preseptal cellulitis. (A) Anterior view and (B) lateral view.
Printed with permission.
II. Postseptal Orbital Cellulitis
This is defined as diffuse orbital infection and inflammation confined to the bony wall of the orbit and without abscess formation. The findings are eyelid edema and erythema, mild proptosis, and chemosis. Motility may be limited but visual acuity is not impaired. The patient should be admitted for IV antibiotic treatment and an ophthalmology consultation is warranted for daily assessments of visual acuity and color vision, pupillary reaction, and extraocular motility. A CT scan of the sinuses and orbits is required as well. Indications for surgical drainage of the sinuses are the following:
1. Visual acuity of 20/60 (or worse) or other severe orbital complications on initial evaluation.
2. Progression of orbital signs and symptoms despite therapy.
3. Lack of improvement within 48 hours despite medical therapy.23
III. Subperiosteal Abscess
Ethmoid sinusitis may spread through the lamina papyracea to the adjacent orbit and cause an orbital subperiosteal abscess (SPA), which is usually superomedial or inferomedial. An SPA can expand rapidly and may lead to blindness by compromising optic nerve function.
An SPA should be suspected when a patient who has orbital cellulitis develops worsening proptosis and gaze restriction. It can also be the presenting symptom. Ophthalmologic evaluation is essential if an SPA is suspected. A loss of red− green perception may happen before the deterioration of visual acuity. A contrast-enhanced sinus CT is required to verify the diagnosis and to assess its severity. Findings are a ring-enhanced lesion or air–fluid level in the extraconal space, displacement and enlargement of the medial rectus muscle and proptosis (Figs. 8.3 and 8.4).
Treatment consists of the immediate administration of IV antibiotics with the potential need for surgical intervention. Criteria for medical management of medial SPA are the following24:

Figure 8.3 Computed tomography axial scan of ethmoiditis with right side subperiosteal abscess (arrow).

Figure 8.4 Computed tomography scan (coronal view) showing lateralization of the right globe due to subperiosteal abscess (arrow).
1. Normal vision, pupil, and retina.
2. No ophthalmoplegia.
3. Intraocular pressure of less than 20 mm Hg.
4. Proptosis of 5 mm or less.
5. Abscess width of 4 mm or less.
Surgical treatment for SPA includes transnasal endoscopy that involves ethmoidectomy, skeletonizing of the lamina papyracea, and drainage of the orbital collection by penetrating the lamina papyracea. When location of the abscess precludes a transnasal endoscopic approach, an external approach via a Lynch incision might be warranted. Transnasal and external approaches can be combined for maximal access and exposure.
IV. Orbital Abscess
When infection breaches the orbital periosteum and orbital phlegmon organizes into a pus collection, an orbital abscess forms. Symptoms and signs include marked proptosis, chemosis, complete ophthalmoplegia, and visual impairment. Orbital abscess carries a risk for progression to irreversible blindness. A CT scan is required and will show areas of cavitation that appear radiolucent.
Surgical drainage is mandatory and includes the involved sinuses and the orbital abscess. As opposed to SPA drainage, in the case of orbital abscess the periorbita must be incised to access the orbital content. Drainage of an intraconal abscess is best achieved through a transnasal endoscopic approach combined with external orbital approach.
V. Cavernous Sinus Thrombosis
Infection from the sinuses and the orbit can spread to the cavernous sinus. Routes of spread include free anastomosis, valveless venous system as well as the superior and inferior ophthalmic veins which all drain into the cavernous sinus posteriorly. The hallmark of cavernous sinus thrombosis is a progression of symptoms to the opposite eye. Physical examination is remarkable for rapidly progressive chemosis and ophthalmoplegia, severe retinal engorgement, fever, and prostration. The patient condition may progress to loss of vision, meningitis, and death. Carotid thrombosis may follow and result in concomitant strokes, subdural empyema, and brain abscess.
Imaging studies include CT scan and magnetic resonance imaging using flow parameters and magnetic resonance venography.
Treatment of cavernous sinus thrombosis should include high-dose IV antibiotics that cross the blood–brain barrier for 3 to 4 weeks or for 6 to 8 weeks if an intracranial complication is evident. In addition, surgical drainage of the affected sinuses is required. The role of anticoagulation in the treatment of cavernous sinus thrombosis is controversial.
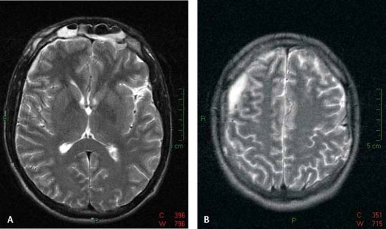
Intracranial complications are less frequent than orbital complications and are seen more with frontal or sphenoidal sinusitis. Intracranial spread of the infection should be suspected when a change in neurological or mental status is evident. Other symptoms and signs are high fever, severe headache, nausea and vomiting, seizures and signs of increased intracranial pressure. Neurological and/or neurosurgical consultation is warranted in case a patient with sinusitis develops one of the above issues. Intracranial complications include meningitis, epidural abscess, subdural empyema (Figs. 8.5 and 8.6A, B), and brain abscess. Frontal sinusitis may spread to the sinus bony walls and result in an osteomyelitis of the anterior and/or posterior tables. This may result in a frontal bone SPA and forehead cellulitis (Pott's puffy tumor).25

Figure 8.5 Computed tomography axial scan of frontal sinusitis with subdural empyema.

Figure 8.6 (A) Magnetic resonance image T2 axial view of frontal sinusitis associated with subdural empyema and (B) Magnetic resonance image T2 axial superior section showing subdural empyema.
Chronic Sinusitis
Chronic rhinosinusitis (CRS) is an inflammation of the sinuses that endures for more than 3 months despite treatment. This ailment is associated with significant decrement of quality of life.26
Pathogenesis
Pediatric CRS histopathology shows a different inflammatory response from the adult form that may attest to a different pathophysiologic pathway.28 The etiology of CRS is derived from interactions among local host factors, systemic host factors, and environmental factors:
Anatomic abnormalities (e.g., septal deviation, conch bullosa, and Haller cells) might be a contributing factor to CRS but are uncommon in children. If the structural abnormality is obvious this might lead to earlier surgical intervention. Enlarged adenoid may have no relationship to increased incidence of CRS according to recent studies.29,30
The causal relationship of allergic rhinitis and asthma to CRS is unclear. The “united airway theory” suggests that allergic rhinitis, asthma, and CRS are all manifestations of inflammation of a continuous airway and lie in the spectrum of symptoms rather than as distinct disease entities. Although it was suggested that up to 70% of children with CRS also have allergic rhinitis,31 one study has shown an incidence of allergies in pediatric CRS patients similar to that of the general population at approximately 30%.32 Asthma has been reported to predispose to CRS.33
GERD has been implicated as a cause of nasal mucosal chronic inflammatory changes and as predisposing factor in CRS.34 A high prevalence of GERD (63%) was found in children with medically refractory CRS.35
Impaired mucociliary clearance secondary to CF or, less commonly, to primary ciliary dyskinesia or Kartagener syndrome increases the risk to CRS as well as its severity.36 Such patients may benefit from a more prompt surgical intervention.
Sinonasal symptoms correlate with the quantity of bacterial colonization in the adenoid.37 The adenoid pad in pediatric CRS patients has been shown to be covered with a biofilm of bacteria that may be resistant to antibiotics and may provide a reservoir of bacteria in patients with CRS.
Diagnosis
Diagnosis of CRS in children is challenging given the high prevalence of recurrent URIs and perennial allergic rhinitis in this population. Symptoms in the pediatric population can be age dependent. In younger patients the objective witnessed signs are usually described by the parents. An infant might express pain and discomfort only as irritability. Chronic cough is a very common presenting symptom in pediatric CRS. Nasal discharge and nasal obstruction may also be reported. Older children can give a more detailed and localized description of their subjective symptoms, such as nasal congestion, otalgia, facial pressure or pain, or hyposmia.
Physical Examination
Rhinoscopy with an otoscope is used to examine the nose for signs of mucosal inflammation such as congestion, erythema, crusting, and mucopurulent discharge. This method of examination in children is often limited to the anterior nose, especially when the turbinates are congested. To fully evaluate the nasal cavity flexible endoscopy is required. A mixture of topical anesthetic (e.g., lidocaine) and a sympathomimetic drug (e.g., oxymethazolone) is used topically in the nasal cavity before examination. Cocaine is usually avoided due to side effects. A pediatric flexible fiberoptic endoscope is lubricated and inserted into the nasal cavity. The middle meatus and sphenoethmoidal recess are evaluated for obstruction and discharge. The nasopharynx can be evaluated for adenoid inflammation and size.
Imaging is usually done when either complications of sinusitis are suspected or for evaluation of the extent of the disease and the patient anatomy before planned sinus surgery. The imaging study of choice is CT. It has been proven to have both high sensitivity and specificity.27 Plain radiographs tend to be less reliable. The potential risk of exposing a pediatric patient to radiation should be considered when ordering a CT scan.
Treatment
Initial treatment of pediatric CRS should be medical. An exception may be considered when there is an obvious anatomic obstruction or in a patient with CF or mucociliary dyskinesia.
Medical Therapy
Broad-spectrum antibiotics that cover the polymicrobial nature of CRS should be given for a long-term treatment of 3 to 6 weeks.38 Ideally, the choice of antibiotic is based on culture susceptibility results. Practically it is challenging to acquire a reliable culture from the pediatric patient in the office setting. The first line of therapy is usually amoxicillin−clavulanic acid 90 mg/kg/d in divided doses every 12 hours with meals. For the treatment of methicillin-resistant Staphylococcus aureus, a combination of clindamycin and trimethoprim−sulfa-methoxazole is an option. In patients with polyps such as in CF and “triad asthma syndrome,” Pseudomonas aeruginosa is prevalent. Those patients may be treated with fluoroquinolones such as levofloxacin or a combination of ciprofloxacin plus metronidazole.
When oral antibiotic treatment fails, a long-term intravenous antibiotic course may be considered as an alternative to surgery.39 The role of fungal infection in pediatric CRS remains unclear, as fungi can colonize the sinuses without clinical significance.40
Nasal steroid sprays are commonly used with the logic of decreasing the inflammation and improving the edema and mucociliary clearance. This practice is not supported by randomized controlled clinical trials and a review of the literature concluded a probable, modest benefit from topical intranasal steroid use.41 At present, there is no evidence-based support to the benefit of other adjunct therapies such as oral antihistamines, mucolytic agents, oral steroids, and nasal saline irrigation.
Reflux was found to be prevalent in pediatric CRS patients resistant to medical treatment with antireflux therapy improving the symptoms in most of those patients.35 Exposure of the patient to second-hand smoke was shown to decrease the efficacy of CRS treatment and thus it should be avoided.
Surgical Treatment
When long-term medical treatment fails, surgery should be considered. Surgery is performed in a stepwise approach and has been shown to improve symptoms significantly. Parents should be informed that a complete cure is not always possible.
Adenoidectomy
Adenoidectomy with or without antral lavage is recommended as first-line surgery. The adenoid may provide a reservoir of pathogenic bacteria and the presence of a biofilm may decrease the efficacy of antibiotics to clear the infection.37 To remove this reservoir an adenoidectomy may be required and has been reported to be effective in alleviating pediatric CRS in up to 70% of cases. Antral lavage performed at the time of adenoidectomy can improve the results of the surgery to as high as 88%.42 Patients with asthma or a high Lund-Mackay CT score are less likely to benefit from adenoidectomy alone, and in this patient population adenoidectomy should be combined with functional endoscopic sinus surgery (FESS).43
FESS
In those cases when adenoidectomy with antral lavage fails, FESS is the second line in surgical treatment algorithm. In patients with a small or minimal adenoid pad, FESS can be considered as first-line intervention. FESS is considered a safe intervention in the pediatric population in regard to midfacial growth44 and results in improvement of symptoms in 80 to 100% of patients.43 Complication rates from surgery are low and include orbital injury, cerebrospinal fluid leak, nasolacrimal duct injury, and bleeding.
Preoperative CT scan of the sinuses is essential to give the surgeon “a road map” of the nasosinusal complex and to detect structural variants or abnormalities that might increase the risk of injuring adjacent structures. In pediatric patients it is important to have a current scan due to the ongoing change in size and shape of the sinuses during the development of the child.
Surgical intervention is usually conservative and a maxillary antrostomy and anterior ethmoidectomy is sufficient in most cases.45 A deviated septum or a concha bullosa, if present, may be addressed as well. Image guidance may be helpful for complicated cases involving the frontal sinus, sphenoid sinus, orbit, or skull base.46 Postoperative saline irrigation may prevent crusting and facilitate the remucosalization but the compliance is expected to be low in a young pediatric patient. A “second look” endoscopy and debridement has been shown not to affect the clinical outcome and is not routinely preformed.47
Special consideration should be taken with CRS patients who have an underlying disease process that interferes with physiologic mucociliary clearance (e.g., ciliary dyskinesia, Kartagener syndrome, CF). The CRS of this group of patients is difficult to treat and often requires revision surgeries.48 In addition, those patients might not benefit from “functional” sinus surgery of the natural ostia and a gravity-based drainage surgery should be considered.
Immunocompromised patients are susceptible to opportunistic infections as well as severe intraorbital and intracranial complications from rhinosinusitis. Thus, FESS should be considered even in an acute setting in case of failure of an aggressive medical therapy. FESS should be offered early to pediatric patients with allergic fungal sinusitis in whom medical therapy alone is less effective. The treatment of those patients should be comprehensive and include nasal steroids, saline irrigation, and immunotherapy for fungal allergy.49
References
1. Wolf G, Anderhuber W, Kuhn F. Development of the paranasal sinuses in children: implications for paranasal sinus surgery. Ann Otol Rhinol Laryngol 1993;102(9):705–711
2. American Academy of Pediatrics. Subcommittee on Management of Sinusitis and Committee on Quality Improvement. Clinical practice guideline: management of sinusitis. Pediatrics 2001;108(3):798–808
3. Meltzer EO, Hamilos DL, Hadley JA, et al. Rhinosinusitis: Establishing definitions for clinical research and patient care. Otolaryngol Head Neck Surg 2004;131(6, Suppl):S1–S62
4. Wald ER, Guerra N, Byers C. Upper respiratory tract infections in young children: duration of and frequency of complications. Pediatrics 1991;87(2):129–133
5. Van Buchem FL, Peeters MF, Knottnerus JA. Maxillary sinusitis in children. Clin Otolaryngol Allied Sci 1992;17(1):49–53
6. Wald ER. Microbiology of acute and chronic sinusitis in children and adults. Am J Med Sci 1998;316(1):13–20
7. Carson JL, Collier AM, Hu SS. Acquired ciliary defects in nasal epithelium of children with acute viral upper respiratory infections. N Engl J Med 1985;312(8):463–468
8. Stiehm ER. The four most common pediatric immunodeficiencies. J Immunotoxicol 2008;5(2):227–234
9. Wald ER, et al. Acute maxillary sinusitis in children. N Engl J Med 1981;304(13):749–754
10. Fireman P. Diagnosis of sinusitis in children: emphasis on the history and physical examination. J Allergy Clin Immunol 1992;90(3 Pt 2):433–436
11. Berger G, Berger RL. The contribution of flexible endoscopy for diagnosis of acute bacterial rhinosinusitis. Eur Arch Otorhinolaryngol 2011;268(2):235–240
12. Slavin RG, Spector SL, Bernstein IL, et al. The diagnosis and management of sinusitis: a practice parameter update. J Allergy Clin Immunol 2005;116(6, Suppl):S13–S47
13. Gordts F, Abu Nasser I, Clement PA, Pierard D, Kaufman L. Bacteriology of the middle meatus in children. Int J Pediatr Otorhinolaryngol 1999;48(2):163–167
14. Wald ER, Nash D, Eickhoff J. Effectiveness of amoxicillin/clavulanate potassium in the treatment of acute bacterial sinusitis in children. Pediatrics 2009;124(1):9–15
15. Brook I. Current issues in the management of acute bacterial sinusitis in children. Int J Pediatr Otorhinolaryngol 2007; 71(11):1653–1661
16. Anon JB, Jacobs MR, Poole MD, et al. Antimicrobial treatment guidelines for acute bacterial rhinosinusitis. Otolaryngol Head Neck Surg 2004; 130(1, Suppl):1–45
17. Leung AK, Kellner JD. Acute sinusitis in children: diagnosis and management. J Pediatr Health Care 2004;18(2):72–76
18. Shaikh N, Wald ER, Pi M. Decongestants, antihistamines and nasal irrigation for acute sinusitis in children. Cochrane Database Syst Rev 2010;(12):CD007909
19. Barlan IB, Erkan E, Bakir M, Berrak S, Başaran MM. Intranasal budesonide spray as an adjunct to oral antibiotic therapy for acute sinusitis in children. Ann Allergy Asthma Immunol 1997;78(6):598–601
20. Osguthorpe JD, Hochman M. Inflammatory sinus diseases affecting the orbit. Otolaryngol Clin North Am 1993;26(4):657–671
21. Chandler JR, Langenbrunner DJ, Stevens ER. The pathogenesis of orbital complications in acute sinusitis. Laryngoscope 1970;80(9):1414–1428
22. Donahue SP, Schwartz G. Preseptal and orbital cellulitis in childhood. A changing microbiologic spectrum. Ophthalmology 1998;105(10):1902–1905; discussion 1905–1906
23. Younis RT, Lazar RH, Bustillo A, Anand VK. Orbital infection as a complication of sinusitis: are diagnostic and treatment trends changing? Ear Nose Throat J 2002;81(11):771–775
24. Oxford LE, McClay J. Medical and surgical management of subperiosteal orbital abscess secondary to acute sinusitis in children. Int J Pediatr Otorhinolaryngol 2006;70(11):1853–1861
25. Bambakidis NC, Cohen AR. Intracranial complications of frontal sinusitis in children: Pott's puffy tumor revisited. Pediatr Neurosurg 2001;35(2):82–89
26. Cunningham JM, Chiu EJ, Landgraf JM, Gliklich RE. The health impact of chronic recurrent rhinosinusitis in children. Arch Otolaryngol Head Neck Surg 2000;126(11):1363–1368
27. Bhattacharyya N, Jones DT, Hill M, Shapiro NL. The diagnostic accuracy of computed tomography in pediatric chronic rhinosinusitis. Arch Otolaryngol Head Neck Surg 2004;130(9):1029–1032
28. Berger G, Kogan T, Paker M, Berger-Achituv S, Ebner Y. Pediatric chronic rhinosinusitis histopathology: differences and similarities with the adult form. Otolaryngol Head Neck Surg 2011; 144(1): 85–90
29. Tuncer U, Aydogan B, Soylu L, Simsek M, Akcali C, Kucukcan A. Chronic rhinosinusitis and adenoid hypertrophy in children. Am J Otolaryngol 2004;25(1):5–10
30. Bercin AS, Ural A, Kutluhan A, Yurtta? V. Relationship between sinusitis and adenoid size in pediatric age group. Ann Otol Rhinol Laryngol 2007;116(7):550–553
31. Furukawa CT. The role of allergy in sinusitis in children. J Allergy Clin Immunol 1992;90(3 Pt 2):515–517
32. Leo G, Piacentini E, Incorvaia C, Consonni D, Frati F. Chronic rhinosinusitis and allergy. Pediatr Allergy Immunol 2007;18 (Suppl 18):19–21
33. Tosca MA, Riccio AM, Marseglia GL, et al. Nasal endoscopy in asthmatic children: assessment of rhinosinusitis and adenoiditis incidence, correlations with cytology and microbiology. Clin Exp Allergy 2001;31(4):609–615
34. Bothwell MR, Parsons DS, Talbot A, Barbero GJ, Wilder B. Outcome of reflux therapy on pediatric chronic sinusitis. Otolaryngol Head Neck Surg 1999;121(3):255–262
35. Phipps CD, Wood WE, Gibson WS, Cochran WJ. Gastroesophageal reflux contributing to chronic sinus disease in children: a prospective analysis. Arch Otolaryngol Head Neck Surg 2000; 126(7):831–836
36. Babinski D, Trawinska-Bartnicka M. Rhinosinusitis in cystic fibrosis: not a simple story. Int J Pediatr Otorhinolaryngol 2008;72(5):619–624
37. Shin KS, Cho SH, Kim KR, et al. The role of adenoids in pediatric rhinosinusitis. Int J Pediatr Otorhinolaryngol 2008;72(11):1643–1650
38. Clement PA, Bluestone CD, Gordts F, et al. Management of rhinosinusitis in children. Int J Pediatr Otorhinolaryngol 1999;49 (Suppl 1):S95–S100
39. Don DM, Yellon RF, Casselbrant ML, Bluestone CD. Efficacy of a stepwise protocol that includes intravenous antibiotic therapy for the management of chronic sinusitis in children and adolescents. Arch Otolaryngol Head Neck Surg 2001;127(9):1093–1098
40. Ponikau JU, Sherris DA, Kern EB, et al. The diagnosis and incidence of allergic fungal sinusitis. Mayo Clin Proc 1999;74(9):877–884
41. Fiocchi A, Sarratud T, Bouygue GR, Ghiglioni D, Bernardo L, Terracciano L. Topical treatment of rhinosinusitis. Pediatr Allergy Immunol 2007;18(Suppl 18):62–67
42. Ramadan HH, Cost JL. Outcome of adenoidectomy versus adenoidectomy with maxillary sinus wash for chronic rhinosinusitis in children. Laryngoscope 2008;118(5):871–873
43. Ramadan HH. Surgical management of chronic sinusitis in children. Laryngoscope 2004;114(12):2103–2109
44. Bothwell MR, Piccirillo JF, Lusk RP, Ridenour BD. Long-term outcome of facial growth after functional endoscopic sinus surgery. Otolaryngol Head Neck Surg 2002;126(6):628–634
45. Sobol SE, Samadi DS, Kazahaya K, Tom LW. Trends in the management of pediatric chronic sinusitis: survey of the American Society of Pediatric Otolaryngology. Laryngoscope 2005;115(1): 78–80
46. Parikh SR, Cuellar H, Sadoughi B, Aroniadis O, Fried MP et al. Indications for image-guidance in pediatric sinonasal surgery. Int J Pediatr Otorhinolaryngol 2009;73(3):351–356
47. Younis RT. The pros and cons of second-look sinonasal endoscopy after endoscopic sinus surgery in children. Arch Otolaryngol Head Neck Surg 2005;131(3):267–269
48. Ramadan HH. Revision endoscopic sinus surgery in children: surgical causes of failure. Laryngoscope 2009;119(6):1214–1217
49. Campbell JM, Graham M, Gray HC, Bower C, Blaiss MS, Jones SM. Allergic fungal sinusitis in children. Ann Allergy Asthma Immunol 2006;96(2):286–290