Kimberly S. Quayle
HIGH-YIELD FACTS
• The most common cause of head injury in children is falls. More severe injuries are caused by motor vehicle collisions, bicycle crashes, and assaults, including child abuse.
• Children with severe injuries, including those with altered mental status, focal neurologic deficits, or penetrating injuries, should undergo emergent computed tomography (CT) of the head and prompt neurosurgical consultation.
• Prevention of hypoxia, ischemia, and increased intracranial pressure is essential for children with severe head injuries.
Traumatic brain injury is a significant cause of pediatric morbidity and mortality in the United States. More than 6000 children die each year as a result of traumatic brain injury, whereas another 60,000 are hospitalized, and an additional 630,000 seek care in emergency departments.1 Among children who die from trauma, 90% have an associated brain injury.2 Hospitalization rates for mild traumatic brain injury have decreased significantly in the past 20 years, whereas rates for moderate and severe injuries are relatively unchanged.3 Pediatric brain injury leads to major morbidity from physical disability, seizures, and developmental delay. The most common cause of head injury in children is falls; however, severe injuries are more likely caused by motor vehicle collisions (with the child as occupant or pedestrian), bicycle collisions, and assaults, including child abuse, especially in the youngest children.1,4Boys are injured more commonly than girls, and in particular, boys aged 0 to 4 years have the highest rates of head injury–related emergency department visits compared with all other age groups.1
PATHOPHYSIOLOGY
Primary brain injury occurs as a result of direct mechanical damage inflicted during the traumatic event. Secondary injuries occur from metabolic events such as hypoxia, ischemia, or increased intracranial pressure. The prognosis for recovery depends on the severity of the injuries. Anatomic features, specific injuries, and intracranial pressure physiology are important components in the pathophysiology of pediatric brain injury.
ANATOMY
The scalp is the outermost structure of the head and adjacent to the galea (Fig. 23-1). Beneath the galea is the subgaleal compartment where large hematomas may form, especially in infants and young children. The outer and inner tables of the skull are separated by the diploic space. The thin, fibrous dura is next, and it contains few blood vessels compared with the underlying leptomeninges, the arachnoid, and pia. Small veins bridge the subdural space and drain into the dural sinuses. Dural attachments partially compartmentalize the brain. In the midline, the falx cerebri divides the right and left hemispheres of the brain. The tentorium divides the anterior and middle fossa from the posterior fossa, with an opening for the brain stem. Cerebrospinal fluid surrounds the brain within the subarachnoid space.

FIGURE 23-1. Traumatic head injuries.
The outer structures protect the brain during everyday movements and minor trauma; however, these features can inflict damage when significant force is applied or sudden movement occurs. Movement of the brain within the vault along the uneven base of the skull may injure brain tissue. The unyielding, mature skull can contribute to brain injury when brain edema or an expanding hematoma develops. Subsequently, herniation across compartments can cause compression of vital structures, ischemia from vascular occlusion, and infarction.
In infants, the open sutures and thin calvarium produce a more flexible skull capable of absorbing greater impact. Incomplete myelinization contributes to greater plasticity of the brain as well. This flexibility permits more severe distortion between skull and dura, and cerebral vessels and brain, increasing susceptibility to hemorrhage. Finally, the disproportionately large size and weight of the head compared with the rest of the body of infants and young children contribute to an increased likelihood of head injury.
SPECIFIC INJURIES
The scalp is richly vascularized and, if injured, can bleed profusely. This can lead to hemodynamically significant blood loss from relatively small lacerations, especially in infants and very young children. Carefully explore open scalp wounds for skull integrity, depressions, or foreign bodies. The presenting sign of a subgaleal hematoma is an extensive soft-tissue swelling that occurs several hours or days after the traumatic event and is commonly associated with a skull fracture. A subgaleal hematoma can persist for several days to weeks.
Linear nondepressed skull fractures occur at the point of impact. The presence of a skull fracture indicates a significant blow to the head, and children with skull fractures are more likely to have an associated intracranial injury. However, the absence of a skull fracture does not exclude the presence of intracranial injury.5 “Growing fractures” are unique to infants and young children. They may occur after a skull fracture in children younger than 2 years of age when associated with a dural tear. Rapid brain growth post-injury may be associated with the development of a leptomeningeal cyst, which is an extrusion of cerebrospinal fluid or brain tissue through the dural defect. Thus, children younger than 2 years with a skull fracture require follow-up to detect a growing fracture.
Basilar skull fractures typically occur at the petrous portion of the temporal bone, although they may occur anywhere along the base of the skull. Clinical signs suggesting a basilar skull fracture include hemotympanum, cerebrospinal fluid otorrhea, cerebrospinal fluid rhinorrhea, periorbital ecchymosis (raccoon eyes), or postauricular ecchymosis (Battle’s sign). Radiologic diagnosis often requires detailed CT imaging of the temporal bone, as plain skull radiographs or routine head CT scans may not be diagnostic.
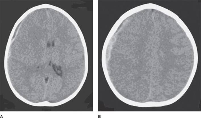
Epidural hematomas occur more commonly in older children than in infants and toddlers.6 Most occur in combination with a temporal skull fracture and meningeal artery bleeding; the remainder are venous in origin. They may be life-threatening, but prompt diagnosis and surgical intervention make an excellent outcome possible. Signs and symptoms include headache, vomiting, and altered mental status, which may progress to signs and symptoms of uncal herniation with pupillary changes and hemiparesis. Patients classically present with an initial lucid period followed by a rapid deterioration in mental status as the hemorrhage increases in size (Fig. 23-2).

FIGURE 23-2. Epidural hematoma with midline shift.
Acute subdural hematomas occur more commonly than epidural hematomas in children.2 Acute interhemispheric subdural hematomas, which occur more often in infants and young children, may be caused by shaking/impact injuries of abuse. Subdural hematomas usually result from tearing of the bridging veins and typically occur over the cerebral convexities. Subdural hematomas are often associated with more diffuse brain injury. They may progress more slowly than epidural bleeds, with symptoms commonly including irritability, vomiting, and alterations in mental status.
Parenchymal contusions are bruises or tears of brain tissue. Bony irregularities of the skull cause these cerebral contusions as the brain moves within the skull. A coup injury occurs at the site of impact, whereas a contrecoup injury occurs at a site remote from the impact. Intraparenchymal hemorrhages may also occur from shearing injury or penetrating wounds. They often occur in association with intracranial hematomas or skull fractures. Signs and symptoms may include decreased level of consciousness, focal neurologic findings, and seizures.
Penetrating injuries result from sharp object penetration or gunshot wounds. Extensive brain injury is common and severity depends on the path of the object and location and degree of associated hemorrhage.
A concussion is defined as a rapid onset of short-lived neurologic dysfunction with or without loss of consciousness following a traumatic event.7 Concussions occur in the absence of abnormalities on standard neuroimaging. Symptoms resolve spontaneously although a small number of concussion patients will have symptoms that persist for a prolonged period as a postconcussive syndrome.7,8 Symptoms may include amnesia, vomiting, headache, dizziness, visual changes, instability of balance, as well as cognitive impairments, emotional changes, and abnormal sleep patterns.
Diffuse brain swelling occurs more often in children than in adults. The swelling usually results from a shearing or acceleration–deceleration injury. Prolonged coma or death may occur.
Nonaccidental trauma in infants and young children may result in the constellation of subdural hematoma, subarachnoid hemorrhage, and localized or diffuse brain edema (Fig. 23-3). Retinal hemorrhages, rib fractures, long-bone fractures, and external signs of injury may also be present. Common symptoms of nonaccidental traumatic brain injury in infants may include lethargy, vomiting, irritability, seizures, apnea, and severe alteration in consciousness.9,10

FIGURE 23-3. Right-sided subdural hematoma with associated midline shift and right hemispheric edema in an infant with nonaccidental head trauma.
INTRACRANIAL PRESSURE AND HERNIATION SYNDROMES
The total volume of the intracranial vault is constant. Approximately 70% of this volume is brain, 20% is cerebrospinal and interstitial fluid, and 10% is blood. If any one of these three components increases in volume, then the other two compartments must decrease or intracranial pressure rises. The main component of compensation is a displacement of cerebrospinal fluid into the spinal canal. Once this compensatory mechanism is maximized, any additional increases in volume cause elevation of intracranial pressure to abnormal levels (>15–20 mm Hg). Cerebral perfusion becomes impaired and irreversible ischemic damage to the brain ensues.
An intracranial mass or hematoma will occupy the fixed intracranial space, compress the normal brain tissue, and reduce blood flow. Cytotoxic cerebral edema occurs with fluid accumulation within damaged brain and glial cells. Interstitial cerebral edema results from decreased absorption of fluid following brain trauma. Vasogenic cerebral edema occurs as the endothelial cell barrier is compromised and leakage of fluid into the perivascular brain tissue occurs.
The volume of cerebrospinal fluid may also increase despite the compensatory redistribution of the fluid into the spinal canal. As brain and blood volumes increase, the ventricular spaces become compressed until redistribution is not possible. In addition, if the cerebrospinal fluid pathways are compressed by edematous tissue, cerebrospinal fluid outflow ceases and ventricular dilation and hydrocephalus can occur.
Cerebral blood volume in head-injured children may be increased as a result of brain injury. The mechanisms of autoregulation of cerebral blood flow are complex; however, flow is often increased in head-injured children, possibly due to a loss of normal autoregulatory mechanisms leading to increased risk for brain swelling. Hypoxia and hypotension of the injured patient may also contribute to diffuse brain edema. Causes of diffuse brain swelling are likely multifactorial, including hyperemia, excitotoxic neurotransmitters, enhanced inflammatory response, and increased blood–brain permeability.
Diffusely or focally increased intracranial pressure may produce herniation. Cingulate herniation occurs as one cerebral hemisphere is displaced underneath the falx cerebri to the opposite side. A transtentorial or uncal herniation is of major clinical significance (Fig. 23-4). A mass lesion or hematoma forces the ipsilateral uncus of the temporal lobe through the space between the cerebral peduncle and the tentorium. This causes ipsilateral compression of the oculomotor nerve and an ipsilateral dilated nonreactive pupil. The cerebral peduncle is compressed causing a contralateral hemiparesis. As the intracranial pressure increases and the brain stem is compressed, consciousness wanes. If herniation continues, ongoing brain stem deterioration occurs, progressing to apnea and death. Uncal herniation may be bilateral if there are bilateral lesions or diffuse edema. Herniation of the cerebellar tonsils downward through the foramen magnum occurs infrequently in children. Medullary compression from this herniation causes bradycardia, respiratory arrest, and death.

FIGURE 23-4. Anterior view of transtentorial uncal herniation caused by a large epidural hematoma. (Reproduced with permission from Tintinalli JE, et al: Emergency Medicine: A Comprehensive Study Guide. 3rd ed. New York: McGraw-Hill; 1992.)
ASSESSMENT
Assessment begins with a detailed history of the traumatic event, including mechanism of injury and the time and location of injury. Note any signs and symptoms occurring since the injury. Past medical history should include prior history of seizures, neurologic abnormalities, bleeding disorders, and immunization status. Child abuse should be suspected for a witnessed report of abuse, a history insufficient to explain the injuries present, a changing or inconsistent history, or a developmentally incompatible history.
Physical evaluation begins with the primary assessment. Airway obstruction by the tongue commonly occurs in unconscious children with serious head injury. Establish an airway by positioning, suctioning, placing an oral airway, or intubation. Maintain cervical spine control in children with significant head injury until cervical spine injury is excluded. Manually stabilize the cervical spine during laryngoscopy.
Once the airway is established, assess ventilation by observing chest expansion, auscultate breath sounds, and assess for cyanosis or respiratory distress. Hypoventilation is treated with 100% oxygen, bag-valve-mask ventilation, and subsequent intubation of the trachea with consideration of rapid sequence technique.
Use rapid sequence induction (RSI) technique for intubation providing a better-tolerated procedure for the patient with less elevation of intracranial pressure. The RSI technique should also reduce the risk of aspiration in trauma patients who should be presumed to have full stomachs. The general procedure for RSI is discussed in Chapter 17; however, there are a few points of special note regarding the use of RSI in head trauma patients.
Ketamine generally has been contraindicated in patients with head injury because of concerns related to increased intracranial pressure associated with its use, although a more recent study disputes this finding.11 The use of succinylcholine is controversial in head-injury patients because of concerns for possible increased intracranial pressure associated with its use. Rocuronium, a nondepolarizing muscle relaxant that does not increase intracranial pressure, is an alternative because its onset of action is similar to that of succinylcholine but its duration of action is significantly longer. RSI for intubation is contraindicated in patients with major facial or laryngeal trauma or distorted facial and airway anatomy. These conditions may lead to a situation in which intubation or mask ventilation is unsuccessful.
Evaluate the circulation by checking heart rate, peripheral pulses, and perfusion. Control any life-threatening hemorrhage and maintain blood pressure so that there is adequate cerebral perfusion. Treat hypotension initially with isotonic fluid boluses. Hypovolemic shock is rare after an isolated head injury, although it does occur rarely in infants and very young children. Other sources for hypovolemia must be identified.
After the rapid ABC (airway, breathing, circulation) assessment, a primary survey of neurologic disability follows. Ascertain the level of consciousness and categorize the patient as alert, responsive to verbal stimulus, responsive to painful stimulus, or unresponsive (AVPU). Evaluate the pupillary response. The remainder of the primary survey is completed prior to returning to a more detailed secondary neurologic examination. Examine the scalp and palpate for depressions. Evaluate the fontanel in the infant. Look for signs of basilar skull fracture. Evaluate extraocular movements, muscle tone, spontaneous movements, and posture. An older child should move the extremities in response to the examiner’s request. Palpate the neck for tenderness or deformities. Note any stereotyped posturing. Decorticate posturing signifies damage to the cerebral cortex, white matter, or basal ganglia. Decerebrate posturing suggests damage to the midbrain.
The Glasgow Coma Scale (GCS) is commonly used to assess and follow the level of consciousness in head-injured patients. The GCS evaluates for eye opening, best motor response, and best verbal response (Table 23-1). Use of this scale in infants and young children is limited due to this age group’s underdeveloped verbal skills, so modifications have been made for the preverbal child.12 Evaluation of young children and infants following head injury may be difficult, particularly the assessment of mental status and neurologic examination.
|
TABLE 23-1 |
Glasgow Coma Scalea |

The neurologic status of a head-injured child must be reassessed regularly, particularly with regard to level of consciousness and vital signs. The frequency of reassessment should be dictated by the condition of the child.
DIAGNOSTIC STUDIES
In children with serious injuries, complete blood count, type and cross-match, electrolytes, and coagulation studies should be done. Arterial blood gases, toxicology screens, and ethanol levels are obtained as indicated. Cervical spine films should be obtained in alert patients with neck pain or neurologic deficits and in all unconscious patients.
Computed tomography (CT) of the head is the diagnostic method of choice for identification of intracranial pathology in patients with acute head trauma. Skull radiographs are not routinely recommended; however, they may be useful in certain clinical situations, such as screening in young infants with large scalp hematomas, in cases of suspected non-accidental trauma, or when CT is not readily available. Children with severe injuries including those with altered mental status, focal neurologic deficits, or penetrating injuries should undergo emergent head CT and prompt neurosurgical consultation. Children with a known skull fracture or signs of a basilar or depressed skull fracture should also undergo head CT. Magnetic resonance imaging (MRI) has become a valuable neuroimaging method for traumatic brain injury and as follow-up imaging for children with identified injuries or persistent neurologic abnormalities. Advances in MRI may allow the detection of very small hemorrhages and more precise mapping of diffuse injuries.13 MRI is an important technique for more accurate detection of nonaccidental traumatic injuries. For acute management in the emergency setting, however, CT remains the neuroimaging modality of choice.
Recent publications of clinical decision rules have aided in the management of previously healthy children who are alert with normal, nonfocal neurologic examinations following minor head injury.14–16Growing concerns regarding radiation exposure to the developing brain prompted the development of guidelines for management of minor head trauma. An American multicenter prospective study identified normal mental status, no loss of consciousness, no vomiting, nonsevere injury mechanism, no signs of basilar skull fracture, and absence of severe headache as a low-risk prediction rule for children 2 years and older.14 A Canadian prospective study identified high-risk criteria as failure to reach GCS of 15 within 2 hours, suspicion of open skull fracture, worsening headache, and irritability, as well as three medium-risk criteria of large scalp hematomas, signs of basal skull fracture, and dangerous mechanism of injury.15 Clinicians can use these prediction rules as tools for deciding which children should undergo CT scans. In addition, clinicians may choose to observe children with mild symptoms for improvement or worsening of symptoms. Observation in the emergency department following an injury was associated with reduced CT use in children with minor injuries.17
Infants and children younger than 2 years may have subtle presentations despite clinically significant intracranial injury. Published guidelines provide recommendations for the management of minor head injury in this age group as well.14,18 Infants and children with normal mental status, no scalp hematomas except frontal, no or <5 seconds of loss of consciousness, nonsevere injury mechanism, no palpable skull fracture, and acting normally were at low risk for intracranial injury.14 If skull radiographs are done based on lack of availability of CT or need for sedation, then the presence of a skull fracture should prompt transport to a facility capable of performing head CT.
Patients who do not meet criteria for imaging may be observed at home by a reliable caretaker with instructions to return the child to medical attention if symptoms develop, worsen or persist.
TREATMENT
The goal of management of head injury in children is to prevent secondary injury to the brain. Prevention of hypoxia, ischemia, and increased intracranial pressure is essential. Prompt neurosurgical intervention is necessary in the majority of seriously head-injured or multisystem-injured children.
As discussed earlier, endotracheal intubation and controlled ventilation are almost always required for patients with severe head injury. Intubate any child with a GCS of 8 or less. Hypoxemia may worsen the initial injury or cause secondary brain injury. Avoid hypercarbia as it can increase intracranial pressure. Similarly, prolonged or significant hypocarbia (PCO2 < 30 Torr) is associated with poor neurologic outcomes.19 By following arterial blood gases and adjusting ventilator settings accordingly, it is possible to keep arterial PO2 and PCO2 near normal levels (35–40 Torr), unless the child has underlying pulmonary disease or injury. Use end-tidal CO2 monitoring in unconscious patients. Transient hyperventilation may be needed to treat acute deterioration, but other treatments may be more appropriate.
Hypotension is associated with poor outcome in children with traumatic brain injury. Brain perfusion must be preserved by maintaining normal intracranial pressure and normal mean arterial pressure. Cerebral perfusion pressure is equal to mean arterial pressure minus intracranial pressure. Hypotension should be treated with isotonic fluid boluses, blood products, and inotropic medications as needed to maintain an adequate mean arterial blood pressure and cerebral perfusion pressure.
Mannitol is often used to maintain optimal intracranial pressure by reducing intravascular volume, which may also cause hypotension leading to decreased cerebral perfusion pressure.19 The dose is 0.5 to 1 g/kg IV. Hypertonic (3%) saline has been shown to be effective in decreasing intracranial pressure without causing hypotension.19,20 Hypertonic (3%) saline doses of 5 to 10 mL/kg could be given for increased intracranial pressure. Syndromes of inappropriate antidiuretic hormone secretion or diabetes insipidus may occur in children with serious head injury; therefore, fluid balance and electrolyte status must be followed closely. Seizures may occur following brain injury. Most children with serious injuries are treated with anticonvulsants either to treat active seizures or for prophylaxis.19
Seriously brain-injured children must be monitored in an intensive care setting. Intracranial pressure monitors may be used to detect acute changes in intracranial pressure, to limit indiscriminate therapies, to control intracranial pressure, and to reduce intracranial pressure directly by cerebrospinal fluid drainage. The roles of advanced neuromonitoring, such as brain oxygenation analysis and transcranial Doppler, remain under investigation.13,19 The patient should be positioned with a 30-degree elevation of the head. Corticosteroids are not routinely used to treat children with serious brain injury. Sedation and analgesia should be used as needed to limit wide fluctuations in intracranial pressure. The role of hypothermia in pediatric traumatic brain injury remains controversial.19,20 Moderate hypothermia (32–33°C) may decrease intracranial pressure, although rapid rewarming causes an increase in intracranial pressures. Active hypothermia in the emergency setting is currently not recommended, but rapid rewarming for hypothermic patients should be avoided.19 Coordination of the care for children with moderate and severe brain injuries should involve pediatric neurosurgical and critical care physicians. Care for children with less serious injuries depends on the clinical situation. Admit children for observation with serial neurologic examinations if they have persistent alteration in mental status despite a normal head CT or have protracted vomiting needing intravenous hydration. Children with suspected child abuse should be admitted.
The majority of children who have minor head injuries can be observed safely at home by an adult caretaker with careful, detailed instructions to return if there is a change in condition. If a responsible caretaker cannot be identified, hospital admission for observation for the first 24 hours is warranted. Children who have minor head injuries with GCS 14 or 15 and normal head CT scans may also be observed at home, as these children are at extremely low risk for subsequent neurosurgical intervention.21 Children with isolated nondepressed skull fractures without intracranial injury may also be observed at home after discussion with a neurosurgeon.
Children with symptomatic head injury or isolated nondepressed skull fractures should be seen by their primary physician 24 hours after the emergency department visit.
The majority of children with concussions can be safely observed at home. Most concussion-related symptoms resolve after 7 to 10 days. Return to sports play should be delayed until all symptoms have resolved, but not on the same day of the concussion even if the child is asymptomatic. A stepwise return to normal play may occur with gradual increase in exercise and contact level with days of rest added if symptoms recur with exertion.7,22 Computer-based neurocognitive assessments are increasingly used to assist in management.22,23 Patients with recurrent concussions or prolonged symptoms should be referred to a provider experienced in concussion management with expertise in sports medicine, neurology or neurosurgery.
PROGNOSIS
Over the past 20 years, morbidity and mortality secondary to pediatric traumatic brain injury have dramatically declined.24 However, long-term cognitive and behavioral disturbances are common in children with significant trauma brain injury. Infants and children were once thought to have better functional outcomes following a severe brain injury; however, more recent data suggest that young children may have worse outcomes compared with older children and adults.25 The higher incidence of nonaccidental trauma in this age group has been associated with a disproportionate number of deaths and higher incidence of neurocognitive disabilities.25 Early identification of neurobehavioral deficits is an important part of follow-up in children with significant head injury.
REFERENCES
1. National Center for Injury Prevention and Control. Traumatic brain injury in the United States. http://www.cdc.gov/TraumaticBrainInjury. Bethesda, MD, 2010. Accessed April 24, 2014.
2. Atabaki SM. Pediatric head injury. Pediatr Rev. 2007;28:215–224.
3. Bowman SM, Bird TM, Aitken ME, Tilford JM. Trends in hospitalizations associated with pediatric traumatic brain injuries. Pediatrics. 2008;122:988–993.
4. Keenan HT, Bratton SL. Epidemiology and outcomes of pediatric traumatic brain injury. Dev Neurosci. 2006;28:256–263.
5. Schnadower D, Vazquez H, Lee J, Dayan P, Roskind CG. Controversies in the evaluation and management of minor blunt head trauma in children. Curr Opin Pediatr. 2007;19:258–264.
6. Zuckerman GB, Conway EE. Accidental head injury. Pediatr Ann. 1997;26:621–632.
7. Halstead ME, Walter KD. Sport-related concussion in children and adolescents. Pediatrics. 2010;126:597–615.
8. Ropper AH, Gorson KC. Concussion. New Engl J Med. 2007;356:166–172.
9. Duhaime AC, Christian CW, Rorke LB, Zimmerman RA. Nonaccidental head injury in infants—the shaken baby syndrome. N Engl J Med. 1998;338:1822–1829.
10. Gerber P, Coffman K. Nonaccidental head trauma in infants. Childs Nerv Syst. 2007;23:499–507.
11. Bar-Joseph G, Guilburd Y, Tamir A, Guilburd JN. Effectiveness of ketamine in decreasing intracranial pressure in children with intracranial hypertension. J Neurosurg Pediatr. 2009;4:40–46.
12. Reilly PL, Simpson DA, Sprod R, Thomas L. Assessing the conscious level in infants and young children: a pediatric version of the Glasgow Coma Scale. Childs Nerv Syst. 1988;4:30–33.
13. Kochanek PM, Bell MJ, Bayir H. Quo vadis 2010?—carpe diem: challenges and opportunities in pediatric traumatic brain injury. Dev Neurosci. 2010;32:335–342.
14. Kuppermann N, Holmes JF, Dayan PS, et al. Identification of children at very low risk of clinically-important brain injuries after head trauma: a prospective cohort study. Lancet. 2009;274:1160–1170.
15. Osmond MH, Klassen TP, Wells GA, et al. CATCH: a clinical decision rule for the use of computed tomography in children with minor head injury. CMAJ. 2010;182:341–348.
16. Dunning J, Daly JP, Lomas JP, et al. Derivation of the children’s head injury algorithm for the prediction of important clinical events decision rule for head injury in children. Arch Dis Child. 2006;91:885–891.
17. Nigrovic LE, Schunk JE, Foerster A, et al. The effect of observation on cranial computed tomography utilization for children after blunt head trauma. Pediatrics. 2011;127:1067–1073.
18. Schutzman SA, Barnes P, Duhaime AC, et al. Evaluation and management of children younger than two years old with apparently minor head trauma: proposed guidelines. Pediatrics. 2001;107:983–993.
19. Kochanek PM, Carney N, Adelson PD, et al. Guidelines for the acute medical management of severe traumatic brain injury in infants, children, and adolescents—second edition. Pediatr Crit Care Med. 2012;13:S1–S82.
20. Walker PA, Harting MT, Baumgartner JE, Fletcher S, Strobel N, Cox CS Jr. Modern approaches to pediatric brain injury therapy. J Trauma. 2009;67:S120– S127.
21. Holmes JF, Borgialli DA, Nadel FM. Do children with blunt head trauma and normal cranial computed tomography scan results require hospitalization for neurologic observation? Ann Emerg Med. 2011;58:315–322.
22. Meehan WP, Bachur RG. Sport-related concussion. Pediatrics. 2009;123:114–123.
23. Thomas DG, Collins MW, Saladino RA, Frank V, Raab J, Zuckerbraun NS. Identifying neurocognitive deficits in adolescents following concussion. Acad Emerg Med. 2011;18:246–254.
24. Mazzola CA, Adelson PD. Critical care management of head trauma in children. Crit Care Med. 2002;30:S393–S401.
25. Murphy S. Pediatric neurocritical care. Neurotherapeutics. 2012;9:3–16.