Emile L. Boulpaep
The microcirculation serves both nutritional and non-nutritional roles
The primary function of the cardiovascular system is to maintain a suitable environment for the tissues. The microcirculation is the “business end” of the system. The capillary is the principal site for exchange of gases, water, nutrients, and waste products. In most tissues, capillary flow exclusively serves these nutritional needs. In a few tissues, however, a large portion of capillary flow is non-nutritional. For example, in the glomeruli of the kidneys, capillary flow forms the glomerular filtrate (see p. 739). Blood flow through the skin, some of which may shunt through arteriovenous anastomoses, plays a key role in temperature regulation (see pp. 1200–1201). Capillaries also serve other non-nutritional roles, such as signaling (e.g., delivery of hormones) and host defense (e.g., delivery of platelets). In the first part of this chapter, we discuss the nutritional role of capillaries and examine how gases, small water-soluble substances, macromolecules, and water pass across the endothelium. In the last two subchapters, we discuss lymphatics as well as the regulation of the microcirculation.
The morphology and local regulatory mechanisms of the microcirculation are designed to meet the particular needs of each tissue. Because these needs are different, the structure and function of the microcirculation may be quite different from one tissue to the next.
The microcirculation extends from the arterioles to the venules
The microcirculation is defined as the blood vessels from the first-order arteriole to the first-order venule. Although the details vary from organ to organ, the principal components of an idealized microcirculation include a single arteriole and venule, between which extends a network of true capillaries (Fig. 20-1). Sometimes a metarteriole—somewhat larger than a capillary—provides a shortcut through the network. Both the arteriole and the venule have vascular smooth-muscle cells (VSMCs). Precapillary sphincters—at the transition between a capillary and either an arteriole or a metarteriole—control the access of blood to particular segments of the network. Sphincter closure or opening creates small local pressure differences that may reverse the direction of blood flow in some segments of the network.

FIGURE 20-1 Idealized microcirculatory circuit.
Arteries consist of an inner layer of endothelium, an internal elastic lamina, and a surrounding sheath of at least two continuous layers of innervated VSMCs (see p. 453). The inner radius of terminal arteries (called feed arteries in muscle) may be as small as 25 µm. Arterioles (inner radius, 5 to 25 µm) are similar to arteries but have only a single continuous layer of VSMCs, which are innervated. Metarterioles are similar to arterioles, but of shorter length. Moreover, their VSMCs are discontinuous and are not usually innervated. The precapillary sphincter is a small cuff of smooth muscle that usually is not innervated but is very responsive to local tissue conditions. Relaxation or contraction of the precapillary sphincter may modulate tissue blood flow by an order of magnitude or more. Metarterioles and precapillary sphincters are not found in all tissues.
True capillaries (inner radius, 2 to 5 µm) consist of a single layer of endothelial cells surrounded by a basement membrane, a fine network of reticular collagen fibers, and—in some tissues—pericytes. The endothelial cells have a smooth surface and are extremely thin (as little as 200 to 300 nm in height), except at the nucleus. The thickness and density of the capillary basement membrane vary among organs. Where large transcapillary pressures occur or other large mechanical forces exist, the basement membrane is thickest. Some endothelial cells have, on both luminal and basal surfaces, numerous pits called caveolae (see pp. 42–43) that are involved in ligand binding. Fluid-phase and receptor-mediated endocytosis (see pp. 41–42) can result in 70-nm caveolin-coated vesicles. In addition, the cytoplasm of capillary endothelial cells is rich in other endocytotic (pinocytotic) vesicles that contribute to the transcytosis of water and water-soluble compounds across the endothelial wall. In some cases, the endocytotic vesicles are lined up in a string and even appear linked together to form a transendothelial channel.
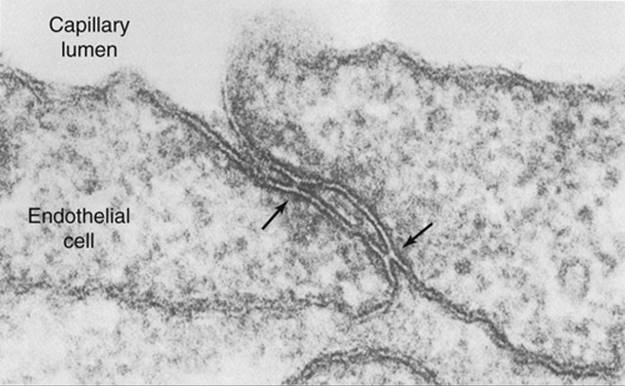
Linking endothelial cells together are interendothelial junctions (Fig. 20-2) where the two cell membranes are ~10 nm apart, although there may be constricted regions where the space or cleft between the two cells forms adhering junctions only ~4 nm wide. Tight junctions (see pp. 43–44) may also be present in which the apposed cell membranes appear to fuse, and claudins 1, 3, and 5 (CLDN1, CLDN3, CLDN5; see pp. 43–44) as well as occludin seal the gap. CLDN5 is quite specific for endothelial cells. Occludin is not found in all endothelia.

FIGURE 20-2 Capillary endothelial junctions. This electron micrograph shows the interendothelial junction between two endothelial cells in a muscle capillary. Arrows point to tight junctions. (From Fawcett DW: A Textbook of Histology, 12th ed. New York, Chapman & Hall, 1994, p 964.)
Some endothelial cells have membrane-lined, cylindrical conduits—fenestrations—that run completely through the cell, from the capillary lumen to the interstitial space. These fenestrations are 50 to 80 nm in diameter and are seen primarily in tissues with large fluid and solute fluxes across the capillary walls (e.g., intestine, choroid plexus, exocrine glands, and renal glomeruli). A thin diaphragm often closes the perforations of the fenestrae (e.g., in intestinal capillaries).
The endothelia of the sinusoidal capillaries in the liver, bone marrow, and spleen have very large fenestrations as well as gaps 100 to 1000 nm wide between adjacent cells. Vesicles, transendothelial channels, fenestrae, and gaps—as well as structures of intermediate appearance—are part of a spectrum of regulated permeation across the endothelial cells.
Capillaries fall into three groups, based on their degree of leakiness (Fig. 20-3).
1. Continuous capillary. This is the most common form of capillary, with interendothelial junctions 10 to 15 nm wide (e.g., skeletal muscle). However, these clefts are absent in the blood-brain barrier (see p. 284), whose capillaries have narrow tight junctions.
2. Fenestrated capillary. In these capillaries, the endothelial cells are thin and perforated with fenestrations. These capillaries most often surround epithelia (e.g., small intestine, exocrine glands).
3. Discontinuous capillary. In addition to fenestrae, these capillaries have large gaps. Discontinuous capillaries are found in sinusoids (e.g., liver).

FIGURE 20-3 Three types of capillaries.
At their distal ends, true capillaries merge into venules (inner radius, 5 to 25 µm), which carry blood back into low-pressure veins that return blood to the heart. Venules have a discontinuous layer of VSMCs and therefore can control local blood flow. Venules may also exchange some solutes across their walls.
Regulation of the Microcirculation