OBJECTIVES
After studying this chapter, you should be able to:
Describe the various parts of the eye and list the functions of each.
Describe the organization of the retina.
Explain how light rays in the environment are brought to a focus on the retina and the role of accommodation in this process.
Define hyperopia, myopia, astigmatism, presbyopia, and strabismus.
Describe the electrical responses produced by rods and cones, and explain how these responses are produced.
Describe the electrical responses and function of bipolar, horizontal, amacrine, and ganglion cells.
Trace the neural pathways that transmit visual information from the rods and cones to the visual cortex.
Describe the responses of cells in the visual cortex and the functional organization of the dorsal and ventral pathways to the parietal cortex.
Define and explain dark adaptation and visual acuity.
Describe the neural pathways involved in color vision.
Identify the muscles involved in eye movements.
Name the four types of eye movements and the function of each.
INTRODUCTION
The eyes are complex sense organs that have evolved from primitive light-sensitive spots on the surface of invertebrates. They gather information about the environment; and the brain interprets this information to form an image of what appears within the field of vision. The eye is often compared to a camera, with the cornea acting as the lens, the pupillary diameter functioning like the aperture of the camera, and the retina serving as the film. However the eye, especially the retina, is far more sophisticated than even the most expensive camera. Within its protective casing, each eye has a layer of photoreceptors that respond to light, a lens system that focuses the light on these receptors, and a system of nerves that conducts impulses from the receptors to the brain. A great deal of work has been done on the neurophysiology of vision; in fact it is said to be the most studied and perhaps the best understood sensory system. The way the components of the visual system operate to set up conscious visual images is the subject of this chapter.
ANATOMY OF THE EYE
The principal structures of the eye are shown in Figure 9–1. The outer protective layer of the eyeball is the sclera or the “white of the eye” through which no light can pass. It is modified anteriorly to form the transparent cornea,through which light rays enter the eye. The lateral margin of the cornea is contiguous with the conjunctiva, a clear mucous membrane that covers the sclera. Just inside the sclera is the choroid, which is a vascular layer that provides oxygen and nutrients to the structures in the eye. Lining the posterior two thirds of the choroid is the retina, the neural tissue containing the photoreceptors.

FIGURE 9–1 A schematic of the anatomy of the eye. (From Fox SI, Human Physiology. McGraw-Hill, 2008.)
The crystalline lens is a transparent structure held in place by a circular lens suspensary ligament (zonule). The zonule is attached to the ciliary body, which contains circular muscle fibers and longitudinal muscle fibers that attach near the corneoscleral junction. In front of the lens is the pigmented and opaque iris, the colored portion of the eye. The iris, ciliary body, and choroid are collectively called the uvea. The iris contains circular muscle fibers that constrict and radial fibers that dilate the pupil. Variations in the diameter of the pupil can produce up to a fivefold change in the amount of light reaching the retina.
The aqueous humor is a clear protein-free liquid that nourishes the cornea and iris; it is produced in the ciliary body by diffusion and active transport from plasma. It flows through the pupil and fills the anterior chamber of the eye. It is normally reabsorbed through a network of trabeculae into the canal of Schlemm, which is a venous channel at the junction between the iris and the cornea (anterior chamber angle). Obstruction of this outlet leads to increased intraocular pressure, a critical risk factor for glaucoma (see Clinical Box 9–1).
CLINICAL BOX 9–1
Glaucoma
Increased intraocular pressure (IOP) is not the only cause of glaucoma, a degenerative disease in which there is loss of retinal ganglia cells; however, it is a critical risk factor. In a substantial minority of the patients with this disease, IOP is normal (10–20 mm Hg); however, increased IOP makes glaucoma worse, and treatment is aimed at lowering the pressure. Indeed, elevations in IOP due to injury or surgery can cause glaucoma. Glaucoma is caused by poor drainage of the aqueous humor through the filtration angle formed between the iris and the cornea. Open-angle glaucoma, a chronic disease, is caused by decreased permeability through the trabeculae into the canal of Schlemm, which leads to an increase in IOP. In some cases this type of glaucoma is due to a genetic defect. Closed-angle glaucoma results from a forward ballooning of the iris so that it reaches the back of the cornea and obliterates the filtration angle, thus reducing the outflow of aqueous humor. If left untreated, glaucoma can lead to blindness.
THERAPEUTIC HIGHLIGHTS
Glaucoma can be treated with agents that decrease the secretion or production of aqueous humor or with drugs that increase outflow of the aqueous humor. β-adrenergic blocking drugs such as timolol decrease the secretion of aqueous fluid. Carbonic anhydrase inhibitors (eg, dorzolamide, acetozolamide) also exert their beneficial effects by decreasing the secretion of aqueous humor. Glaucoma can also be treated with cholinergic agonists (eg, pilocarpine, carbachol, physostigmine) that increase aqueous outflow by causing ciliary muscle contraction. Aqueous outflow is also increased by prostaglandins. Prolonged use of corticosteroids can lead to glaucoma and increase the risk of occurrence of ocular infections due to fungi or viruses.
The posterior chamber is a narrow aqueous-containing space between the iris, zonule, and the lens. The vitreous chamber is the space between the lens and the retina that is filled primarily with a clear gelatinous material called the vitreous (vitreous humor).
The eye is well protected from injury by the bony walls of the orbit. The cornea is moistened and kept clear by tears that course from the lacrimal gland in the upper portion of each orbit across the surface of the eye to empty via the lacrimal duct into the nose. Blinking helps keep the cornea moist.
RETINA
The retina extends anteriorly almost to the ciliary body. It is organized into layers containing different types of cells and neural processes (Figure 9–2). The outer nuclear layer contains the photoreceptors, the rods, and cones. The inner nuclear layer contains the cell bodies of various types of excitatory and inhibitory interneurons including bipolar cells, horizontal cells, and amacrine cells. The ganglion cell layer contains various types of ganglion cells that can be distinguished on the basis of morphology, projections, and functions. Ganglion cells are the only output neuron of the retina; their axons form the optic nerve. The outer plexiform layer is interposed between the outer and inner nuclear layers; the inner plexiform layer is interposed between the inner nuclear and ganglion cell layers. The neural elements of the retina are bound together by a type of glia called Müller cells, which form the inner limiting membrane, the boundary between the retina and the vitreous chamber. The elongated processes of these cells extend the entire thickness of the retina. The outer limiting membrane separates the inner segment portion of the rods and cones from their cell bodies.

FIGURE 9–2 Neural components of the extrafoveal portion of the retina. C, cone; R, rod; MB, RB, and FB, midget, rod, and flat bipolar cells; DG and MG, diffuse and midget ganglion cells; H, horizontal cells; A, amacrine cells. (Modified from Dowling JE, Boycott BB: Organization of the primate retina: Electron microscopy. Proc R Soc Lond Ser B [Biol] 1966;166:80.)
The rods and cones, which are next to the choroid, synapse with bipolar cells, and the bipolar cells synapse with ganglion cells. There are various types of bipolar cells that differ in terms of morphology and function. Horizontal cells connect photoreceptor cells to the other photoreceptor cells in the outer plexiform layer. Amacrine cells connect ganglion cells to one another in the inner plexiform layer via processes of varying length and patterns. Amacrine cells also make connections on the terminals of bipolar cells. At least 29 types of amacrine cells have been described on the basis of their connections. Gap junctions also connect retinal neurons to one another.
Because the receptor layer of the retina rests on the pigment epithelium next to the choroid, light rays must pass through the ganglion cell and bipolar cell layers to reach the rods and cones. The pigment epithelium absorbs light rays, preventing the reflection of rays back through the retina. Such reflection would otherwise produce blurring of the visual images.
The optic nerve leaves the eye at a point 3 mm medial to and slightly above the posterior pole of the globe. This region is visible through the ophthalmoscope as the optic disk (Figure 9–3). Since there are no visual receptors over the disk, this area of the retina does not respond to light and is known as the blind spot. Near the posterior pole of the eye, there is a yellowish pigmented spot called the macula. The fovea is in the center of the macula; it is a thinned-out, rod-free portion of the retina in humans and other primates. In it, the cones are densely packed, and each synapses on a single bipolar cell, which, in turn, synapses on a single ganglion cell, providing a direct pathway to the brain. There are very few overlying cells and no blood vessels. Consequently, the fovea is the point where visual acuity is greatest. When attention is attracted to or fixed on an object, the eyes are normally moved so that light rays coming from the object fall on the fovea. Age-related macular degeneration is a disease in which sharp, central vision is gradually destroyed (Clinical Box 9–2).

FIGURE 9–3 The fundus of the eye in a healthy human as seen through the ophthalmoscope. The fundus of the eye refers to the interior surface of the eye, opposite the lens, and includes the retina, optic disc, macula and fovea, and posterior pole. Optic nerve fibers leave the eyeball at the optic disc to form the optic nerve. The arteries, arterioles, and veins in the superficial layers of the retina near its vitreous surface can be seen through the ophthalmoscope. (Courtesy of Dr AJ Weber, Michigan State University.)
CLINICAL BOX 9–2
Visual Acuity and Age-Related Macular Degeneration
Visual acuity is the degree to which the details and contours of objects are perceived, and it is usually defined in terms of the shortest distance by which two lines can be separated and still be perceived as two lines. Clinically, visual acuity is often determined by the use of the familiar Snellen letter charts viewed at a distance of 20 ft (6 m). The individual being tested reads aloud the smallest line distinguishable. The results are expressed as a fraction. The numerator of the fraction is 20, the distance at which the subject reads the chart. The denominator is the greatest distance from the chart at which a normal individual can read the smallest line. Normal visual acuity is 20/20; a subject with 20/15 visual acuity has better than normal vision (not farsightedness); and one with 20/100 visual acuity has subnormal vision. Visual acuity is a complex phenomenon and is influenced by many factors, including optical factors (eg, the state of the image-forming mechanisms of the eye), retinal factors (eg, the state of the cones), and stimulus factors (eg, illumination, brightness of the stimulus, contrast between the stimulus and the background, length of time the subject is exposed to the stimulus). Many drugs can also have adverse side effects on visual acuity. Many patients treated with the anti-arrhythmic drug amiodarone report corneal changes (kerotopathy) including complaints of blurred vision, glare and halos around lights or light sensitivity. Aspirin and other anti-coagulants can cause conjunctival or retinal hemorrhaging which can impair vision. Maculopathy is a risk factor for those treated with tamoxifen for breast cancer. Anti-psychotic therapies such as thioridazine can cause pigmentary changes, which can affect visual acuity, color vision, and dark adaptation.
There are over 20 million individuals in the United States and Europe with age-related macular degeneration (AMD), which is a deterioration of central visual acuity. Nearly 30% of those aged 75 or older have this disorder, and it is the most common cause of visual loss in those aged 50 or older. Women are at greater risk than men for developing AMD; also Caucasians have a greater risk than blacks. There are two types: wet and dry. Wet AMD occurs when fragile blood vessels begin to form under the macula. Blood and fluid leak from these vessels and rapidly damage the macula. Vascular endothelial growth factors (VEGF) may contribute to the growth of these blood vessels. Dry AMD occurs when the cones in the macula slowly break down, causing a gradual loss of central vision.
THERAPEUTIC HIGHLIGHTS
The U.S. Food and Drug Administration has approved the use ranibizumab (Lucentis) to treat wet AMD. It acts by inhibiting VEGF. Another drug approved for the treatment of wet AMD is pegaptanib sodium (Macugen), which attacks VEGF. Photodynamic therapy uses a drug called visudyne, which is injected into the vein in an arm and is activated by a laser light, which produces a chemical reaction that destroys abnormal blood vessels. Laser surgerycan be done to repair damaged blood vessels if they are at a distance from the fovea. However, new vessels may form after the surgery, and vision loss may progress.
An ophthalmoscope is used to view the fundus of the eye, which is the interior surface of the eye, opposite to the lens; it includes the retina, optic disc, macula and fovea, and posterior pole (Figure 9–3). The arteries, arterioles, and veins in the superficial layers of the retina near its vitreous surface can be examined. Because this is the one place in the body where arterioles are readily visible, ophthalmoscopic examination is of great value in the diagnosis and evaluation of diabetes mellitus, hypertension, and other diseases that affect blood vessels. The retinal vessels supply the bipolar and ganglion cells, but the receptors are nourished, for the most part, by the capillary plexus in the choroid. This is why retinal detachment is so damaging to the receptor cells.
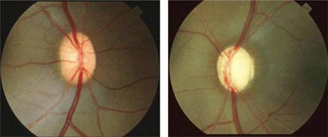
Glaucoma (Clinical Box 9–1) causes changes in the appearance of the fundus of the eye as seen through an ophthalmoscope (Figure 9–4). The photograph on the left is from a primate with a normal eye and shows an optic disc with a uniform “pinkish” color. The blood vessels appear relatively flat as they cross the margin of the disc. This is because there are a normal number of ganglion cell fibers, and the blood vessels have intact support tissue around them. The photograph on the right is from a primate with glaucoma that was experimentally induced by causing a chronic elevation in intraocular pressure. As is characteristic of glaucomatous optic neuropathy, the disc is pale, especially in the center. The retinal blood vessels are distorted, especially at the disc margin, due to a lack of support tissue; and there is increased “cupping” of the disc.

FIGURE 9–4 The fundus of the eye in a normal primate (left) and in a primate with experimentally induced glaucoma (right) as seen through an ophthalmoscope. Normal: uniform “pinkish” color, vessels appear relatively flat crossing the margin of disc due to a normal number of ganglion cell fibers and since they have intact support tissue around them. Glaucomatous: disc is pale, especially in center, vessels are distorted, especially at the disc margin due to lack of support tissue and increased “cupping” of the disc. (Courtesy of Dr AJ Weber, Michigan State University.)
PHOTORECEPTORS
Each rod and cone photoreceptor is divided into an outer segment, an inner segment that includes a nuclear region, and a synaptic terminal zone (Figure 9–5). The outer segments are modified cilia comprised of regular stacks of flattened saccules or membranous disks. The inner segments are rich in mitochondria; this is the region that synthesizes the photosensitive compounds. The inner and outer segments are connected by a ciliary stalk through which the photosensitive compounds travel from the inner segment to the outer segment of the rods and cones.

FIGURE 9–5 Schematic diagram of a rod and a cone. Each rod and cone is divided into an outer segment, an inner segment with a nuclear region, and a synaptic zone. The saccules and disks in the outer segment contain photosensitive compounds that react to light to initiate action potentials in the visual pathways. (Reproduced with permission from Lamb TD: Electrical responses of photoreceptors. In: Recent Advances in Physiology. No.10. Baker PF [editor]. Churchill Livingstone, 1984.)
The rods are named for the thin, rod-like appearance of their outer segments. Each rod contains a stack of disk membranes that are flattened membrane-bound intracellular organelles that have detached from the outer membrane, and are thus free floating. Cones generally have thick inner segments and conical outer segments, although their morphology varies from place to place in the retina. The saccules of the cones are formed by infolding of the membrane of the outer segment. The saccules and disks contain the photosensitive compounds that react to light, initiating action potentials in the visual pathways.
Rod outer segments are being constantly renewed by the formation of new disks at the inner edge of the segment and phagocytosis of old disks from the outer tip by cells of the pigment epithelium. Cone renewal is a more diffuse process and appears to occur at multiple sites in the outer segments.
In the extrafoveal portions of the retina, rods predominate (Figure 9–6), and there is a good deal of convergence. Flat bipolar cells (Figure 9–2) make synaptic contact with several cones, and rod bipolar cells make synaptic contact with several rods. Because there are approximately 6 million cones and 120 million rods in each human eye but only 1.2 million nerve fibers in each optic nerve, the overall convergence of receptors through bipolar cells on ganglion cells is about 105:1. However, there is divergence from this point on. For example, in the visual cortex the number of neurons concerned with vision is 1000 times the number of fibers in the optic nerves.

FIGURE 9–6 Rod and cone density along the horizontal meridian through the human retina. A plot of the relative acuity of vision in the various parts of the light-adapted eye would parallel the cone density curve; a similar plot of relative acuity of the dark-adapted eye would parallel the rod density curve.
One of the most important characteristics of the visual system is its ability to function over a wide range of light intensity. When one goes from near darkness to bright sunlight, light intensity increases by 10 log units, that is, by a factor of 10 billion. One factor reducing the fluctuation in intensity is adjustments in the diameter of the pupil; when the diameter is reduced from 8 to 2 mm, its area decreases by a factor of 16 and light intensity at the retina is reduced by more than 1 log unit.
Another factor in reacting to fluctuations in intensity is the presence of two types of photoreceptors. The rods are extremely sensitive to light and are the receptors for night vision (scotopic vision). The scotopic visual apparatus is incapable of resolving the details and boundaries of objects or determining their color. The cones have a much higher threshold, but the cone system has a much greater acuity and is the system responsible for vision in bright light (photopic vision) and for color vision. There are thus two kinds of inputs to the central nervous system (CNS) from the eye: input from the rods and input from the cones. The existence of these two kinds of input, each working maximally under different conditions of illumination, is called the duplicity theory.
THE PHOTORECEPTOR MECHANISM
The potential changes that initiate action potentials in the retina are generated by the action of light on photosensitive compounds in the rods and cones. When light is absorbed by these substances, their structure changes, and this triggers a sequence of events that initiates neural activity.
The eye is unique in that the receptor potentials of the photoreceptors and the electrical responses of most of the other neural elements in the retina are local, graded potentials, and it is only in the ganglion cells that all-or-none action potentials transmitted over appreciable distances are generated. The responses of the rods, cones, and horizontal cells are hyperpolarizing, and the responses of the bipolar cells are either hyperpolarizing or depolarizing, whereas amacrine cells produce depolarizing potentials and spikes that may act as generator potentials for the propagated spikes produced in the ganglion cells.
The cone receptor potential has a sharp onset and offset, whereas the rod receptor potential has a sharp onset and slow offset. The curves relating the amplitude of receptor potentials to stimulus intensity have similar shapes in rods and cones, but the rods are much more sensitive. Therefore, rod responses are proportional to stimulus intensity at levels of illumination that are below the threshold for cones. On the other hand, cone responses are proportional to stimulus intensity at high levels of illumination when the rod responses are maximal and cannot change. This is why cones generate good responses to changes in light intensity above background but do not represent absolute illumination well, whereas rods detect absolute illumination.
IONIC BASIS OF PHOTORECEPTOR POTENTIALS
Na+ channels in the outer segments of the rods and cones are open in the dark, so current flows from the inner to the outer segment (Figure 9–7). Current also flows to the synaptic ending of the photoreceptor. The Na, K ATPase in the inner segment maintains ionic equilibrium. Release of synaptic transmitter (glutamate) is steady in the dark. When light strikes the outer segment, the reactions that are initiated close some of the Na+ channels, and the result is a hyperpolarizing receptor potential. The hyperpolarization reduces the release of glutamate, and this generates a signal in the bipolar cells that ultimately leads to action potentials in ganglion cells. The action potentials are transmitted to the brain.

FIGURE 9–7 Effect of light on current flow in visual receptors. In the dark, Na+ channels in the outer segment are held open by cGMP. Light leads to increased conversion of cGMP to 5′-GMP, and some of the channels close. This produces hyperpolarization of the synaptic terminal of the photoreceptor.
RHODOPSIN
The photosensitive pigment in the rods is called rhodopsin (visual purple). Rhodopsin is comprised of retinal, an aldehyde of vitamin A, and a protein called opsin. Because of the importance of vitamin A in the synthesis of retinal, it is not surprising that a deficiency in this vitamin produces visual abnormalities (see Clinical Box 9–3).
CLINICAL BOX 9–3
Vitamin A Deficiency
Vitamin A was the first fat-soluble vitamin identified and is comprised of a family of compounds called retinoids. Deficiency is rare in the United States, but it is still a major public health problem in the developing world. Annually, about 80,000 individuals worldwide (mostly children in underdeveloped countries) lose their sight from severe vitamin A deficiency. Vitamin A deficiency is due to inadequate intake of foods high in vitamin A (liver, kidney, whole eggs, milk, cream, and cheese) or β-carotene, a precursor of vitamin A, found in dark green leafy vegetables and yellow or orange fruits and vegetables. One of the earliest visual defects to appear with vitamin A deficiency is night blindness (nyctalopia). Vitamin A deficiency also contributes to blindness by causing the eye to become very dry, which damages the cornea (xerophthalmia) and retina. Vitamin A first alters rod function, but concomitant cone degeneration occurs as vitamin A deficiency develops. Prolonged deficiency is associated with anatomic changes in the rods and cones followed by degeneration of the neural layers of the retina.
THERAPEUTIC HIGHLIGHTS
Treatment with vitamin A can restore retinal function if given before the receptors are destroyed. Vitamin A-rich foods include liver, chicken, beef, eggs, whole milk, yams, carrots, spinach, kale, and other green vegetables. Other vitamins, especially those of the B complex, are also necessary for the normal functioning of the retina and other neural tissues.
Opsin has a molecular weight of 41 kDa. It is found in the membranes of the rod disks and makes up 90% of the total protein in these membranes. Opsin is part of the large family of G protein-coupled receptors (GPCR). Retinal is parallel to the surface of the membrane (Figure 9–8) and is attached to a lysine residue at position 296 in the seventh transmembrane domain.

FIGURE 9–8 Diagrammatic representation of the structure of rhodopsin, showing the position of retinal in the rod disk membrane. Retinal (R) is located in parallel to the surface of the membrane and is attached to a lysine residue at position 296 in the 7th transmembrane domain.
The sequence of events in photoreceptors by which incident light leads to production of a signal in the next succeeding neural unit in the retina is summarized in Figure 9–9. In the dark, the retinal in rhodopsin is in the 11-cisconfiguration. The only action of light is to change the shape of the retinal, converting it to the all-trans isomer. This, in turn, alters the configuration of the opsin, and the opsin change activates its associated heterotrimeric G protein, which in this case is called transducin, which has several subunits Tα, Gβ1, and Gγ1. After 11-cis retinal is converted to the all-trans configuration, it separates from the opsin in a process called bleaching. This changes the color from the rosy red of rhodopsin to the pale yellow of opsin.

FIGURE 9–9 Sequence of events involved in phototransduction in rods and cones.
Some of the all-trans retinal is converted back to the 11-cis retinal by retinal isomerase, and then again associates with scotopsin, replenishing the rhodopsin supply. Some 11-cis retinal is also synthesized from vitamin A. All of these reactions, except the formation of the all-trans isomer of retinal, are independent of the light intensity, proceeding equally well in light or darkness. The amount of rhodopsin in the receptors therefore varies inversely with the incident light level.
The G protein transducin exchanges GDP for GTP, and the α subunit separates. This subunit remains active until its intrinsic GTPase activity hydrolyzes the GTP. Termination of the activity of transducin is also accelerated by its binding of β-arrestin. The α subunit activates cGMP phosphodiesterase, which converts cGMP to 5′-GMP. cGMP normally acts directly on Na+ channels to maintain them in the open position, so the decline in the cytoplasmic cGMP concentration causes some Na+ channels to close. This produces the hyperpolarizing potential. This cascade of reactions occurs very rapidly and amplifies the light signal. The amplification helps explain the remarkable sensitivity of rod photoreceptors; these receptors are capable of producing a detectable response to as little as one photon of light.
Light reduces the concentration of Ca2+ as well as that of Na+ in photoreceptors. The resulting decrease in Ca2+ concentration activates guanylyl cyclase, which generates more cGMP. It also inhibits the light-activated phosphodiesterase. Both actions speed recovery, restoring the Na+ channels to their open position.
CONE PIGMENTS
Primates have three different kinds of cones. These receptors subserve color vision and respond maximally to light at wavelengths of 440, 535, and 565 nm. Each contains retinal and an opsin. The opsin resembles rhodopsin and spans the cone membrane seven times but has a characteristic structure in each type of cone. The details of the responses of cones to light are probably similar to those in rods. Light activates retinal, and this activates a cone transducin, a G protein that differs somewhat from rod transducin. Cone transducin in turn activates phosphodiesterase, catalyzing the conversion of cGMP to 5′-GMP. This causes closure of Na+ channels between the extracellular fluid and the cone cytoplasm, a decrease in intracellular Na+ concentration, and hyperpolarization of the cone synaptic terminals.
MELANOPSIN
A few retinal ganglion cells contain melanopsin rather than rhodopsin or cone pigments. The axons of these neurons project to the suprachiasmatic nuclei of the hypothalamus, where they form connections that synchronize a variety of endocrine and other circadian rhythms with the light–dark cycle (Chapter 14). When the gene for melanopsin is knocked out, circadian photo-entrainment is abolished. The pupillary light reflex (described below) is also reduced, and it is abolished when the rods and cones are also inactivated. Thus, a part of the pupillary responses and all the circadian entrainment responses to light–dark changes are controlled by a system distinct from the rods and cones.
PROCESSING OF VISUAL INFORMATION IN THE RETINA
In a sense, the processing of visual information in the retina involves the formation of three images. The first image, formed by the action of light on the photoreceptors, is changed to a second image in the bipolar cells, and this in turn is converted to a third image in the ganglion cells. In the formation of the second image, the signal is altered by the horizontal cells, and in the formation of the third, it is altered by the amacrine cells. There is little change in the impulse pattern in the lateral geniculate bodies, so the third image reaches the occipital cortex.
A characteristic of the bipolar and ganglion cells (as well as the lateral geniculate cells and the cells in layer 4 of the visual cortex) is that they respond best to a small, circular stimulus and that, within their receptive field, an annulus of light around the center (surround illumination) antagonizes the response to the central spot (Figure 9–10). The center can be excitatory with an inhibitory surround (an “on-center” cell) or inhibitory with an excitatory surround (an “off-center” cell). The inhibition of the center response by the surround is probably due to inhibitory feedback from one photoreceptor to another mediated via horizontal cells. Thus, activation of nearby photoreceptors by addition of the annulus triggers horizontal cell hyperpolarization, which in turn inhibits the response of the centrally activated photoreceptors. The inhibition of the response to central illumination by an increase in surrounding illumination is an example of lateral inhibition—that form of inhibition in which activation of a particular neural unit is associated with inhibition of the activity of nearby units. It is a general phenomenon in mammalian sensory systems and helps to sharpen the edges of a stimulus and improve discrimination.

FIGURE 9–10 Responses of retinal ganglion cells to light focused on the portions of their receptive fields indicated in white. To the right of each receptive field diagram is a representation of the action potentials recorded from a ganglion cell in response to the light being turned on or off. Note that in three of the four situations, there is increased discharge when the light is turned off. (Adapted from Kuffl er SW: Discharge patterns and functional organization of mammalian retina. J Neurophysiol 1953 Jan;16(1):37–68.))
A remarkable degree of processing of visual input occurs in the retina, largely via amacrine cells. For example, movement of an object within the visual field is separated from movement of the background caused by changes in posture and movement of the eyes. This was demonstrated by recording from optic neurons. When an object moved at a different speed or in a different direction than the background, an impulse was generated. However, when the object moved like the background, inhibition occurred and no optic nerve signal was generated.
THE IMAGE-FORMING MECHANISM
The eyes convert energy in the visible spectrum into action potentials in the optic nerve. The wavelength of visible light ranges from approximately 397 to 723 nm. The images of objects in the environment are focused on the retina. The light rays striking the retina generate potentials in the rods and cones. Impulses initiated in the retina are conducted to the cerebral cortex, where they produce the sensation of vision.
PRINCIPLES OF OPTICS
Light rays are bent when they pass from a medium of one density into a medium of a different density, except when they strike perpendicular to the interface (Figure 9–11). The bending of light rays is called refraction and is the mechanism that allows one to focus an accurate image onto the retina. Parallel light rays striking a biconvex lens are refracted to a point (principal focus) behind the lens. The principal focus is on a line passing through the centers of curvature of the lens, the principal axis. The distance between the lens and the principal focus is the principal focal distance. For practical purposes, light rays from an object that strike a lens more than 6 m (20 ft) away are considered to be parallel. The rays from an object closer than 6 m are diverging and are therefore brought to a focus farther back on the principal axis than the principal focus. Biconcave lenses cause light rays to diverge.


FIGURE 9–11 Focusing point sources of light. A) When diverging light rays enter a dense medium at an angle to its convex surface, refraction bends them inward. B) Refraction of light by the lens system. For simplicity, refraction is shown only at the corneal surface (site of greatest refraction) although it also occurs in the lens and elsewhere. Incoming light from a (above) and b (below) is bent in opposite directions, resulting in b′ being above a′ on the retina. (From Widmaier EP, Raff H, Strang KT: Vander’s Human Physiology, 11th ed. McGraw-Hill, 2008.)
Refractive power is greatest when the curvature of a lens is greatest. The refractive power of a lens is conveniently measured in diopters, the number of diopters being the reciprocal of the principal focal distance in meters. For example, a lens with a principal focal distance of 0.25 m has a refractive power of 1/0.25, or 4 diopters. The human eye has a refractive power of approximately 60 diopters at rest.
In the eye, light is actually refracted at the anterior surface of the cornea and at the anterior and posterior surfaces of the lens. The process of refraction can be represented diagrammatically, however, without introducing any appreciable error, by drawing the rays of light as if all refraction occurs at the anterior surface of the cornea (Figure 9–11). It should be noted that the retinal image is inverted. The connections of the retinal receptors are such that from birth any inverted image on the retina is viewed right side up and projected to the visual field on the side opposite to the retinal area stimulated. This perception is present in infants and is innate. If retinal images are turned right side up by means of special lenses, the objects viewed look as if they are upside down.
COMMON DEFECTS OF THE IMAGE-FORMING MECHANISM
In some individuals, the eyeball is shorter than normal and the parallel rays of light are brought to a focus behind the retina. This abnormality is called hyperopia or farsightedness (Figure 9–12). Sustained accommodation, even when viewing distant objects, can partially compensate for the defect, but the prolonged muscular effort is tiring and may cause headaches and blurring of vision. The prolonged convergence of the visual axes associated with the accommodation may lead eventually to strabismus (Clinical Box 9–4). The defect can be corrected by using glasses with convex lenses, which aid the refractive power of the eye in shortening the focal distance.

FIGURE 9–12 Common defects of the optical system of the eye. A) In myopia (nearsightedness), the eyeball is too long and light rays focus in front of the retina. Placing a biconcave lens in front of the eye causes the light rays to diverge slightly before striking the eye, so that they are brought to a focus on the retina. B) In hyperopia (farsightedness), the eyeball is too short and light rays come to a focus behind the retina. A biconvex lens corrects this by adding to the refractive power of the lens of the eye. (From Widmaier EP, Raff H, Strang KT: Vander’s Human Physiology, 11th ed. McGraw-Hill, 2008.).
CLINICAL BOX 9–4
Strabismus & Amblyopia
Strabismus is a misalignment of the eyes and one of the most common eye problems in children, affecting about 4% of children under 6 years of age. It is characterized by one or both eyes turning inward (esotropia), outward (exotropia), upward, or downward. In some cases, more than one of these conditions is present. Strabismus is also commonly called “wandering eye” or “crossed-eyes.” It results in visual images that do not fall on corresponding retinal points. When visual images chronically fall on noncorresponding points in the two retinas in young children, one is eventually suppressed (suppression scotoma). This suppression is a cortical phenomenon, and it usually does not develop in adults. It is important to institute treatment before age 6 in affected children, because if the suppression persists, the loss of visual acuity in the eye generating the suppressed image is permanent. A similar suppression with subsequent permanent loss of visual acuity can occur in children in whom vision in one eye is blurred or distorted owing to a refractive error. The loss of vision in these cases is called amblyopia ex anopsia, a term that refers to uncorrectable loss of visual acuity that is not directly due to organic disease of the eye. Typically, an affected child has one weak eye with poor vision and one strong eye with normal vision. It affects about 3% of the general population. Amblyopia is also referred to as “lazy eye,” and it often co-exists with strabismus.
THERAPEUTIC HIGHLIGHTS
Atropine (a cholinergic muscarinic receptor antagonist) and miotics such as echothiophate iodide can be administered in the eye to correct strabismus and ambylopia. Atropine will blur the vision in the good eye to force the individual to use the weaker eye. Eye muscle training through optometric vision therapy has also proven to be useful, even in patients older than 17 years of age. Some types of strabismus can be corrected by surgical shortening of some of the eye muscles, by eye muscle training exercises, and by the use of glasses with prisms that bend the light rays sufficiently to compensate for the abnormal position of the eyeball. However, subtle defects in depth perception persist. It has been suggested that congenital abnormalities of the visual tracking mechanisms may cause both strabismus and the defective depth perception. In infant monkeys, covering one eye with a patch for 3 months causes a loss of ocular dominance columns; input from the remaining eye spreads to take over all the cortical cells, and the patched eye becomes functionally blind. Comparable changes may occur in children with strabismus.
In myopia (nearsightedness), the anteroposterior diameter of the eyeball is too long (Figure 9–12). Myopia is said to be genetic in origin. However, there is a positive correlation between sleeping in a lighted room before the age of 2 and the subsequent development of myopia. Thus, the shape of the eye appears to be determined in part by the refraction presented to it. In young adult humans the extensive close work involved in activities such as studying accelerates the development of myopia. This defect can be corrected by glasses with biconcave lenses, which make parallel light rays diverge slightly before they strike the eye.
Astigmatism is a common condition in which the curvature of the cornea is not uniform. When the curvature in one meridian is different from that in others, light rays in that meridian are refracted to a different focus, so that part of the retinal image is blurred. A similar defect may be produced if the lens is pushed out of alignment or the curvature of the lens is not uniform, but these conditions are rare. Astigmatism can usually be corrected with cylindric lenses placed in such a way that they equalize the refraction in all meridians.
ACCOMMODATION
When the ciliary muscle is relaxed, parallel light rays striking the optically normal (emmetropic) eye are brought to a focus on the retina. As long as this relaxation is maintained, rays from objects closer than 6 m from the observer are brought to a focus behind the retina, and consequently the objects appear blurred. The problem of bringing diverging rays from close objects to a focus on the retina can be solved by increasing the distance between the lens and the retina or by increasing the curvature or refractive power of the lens. In bony fish, the problem is solved by increasing the length of the eyeball, a solution analogous to the manner in which the images of objects closer than 6 m are focused on the film of a camera by moving the lens away from the film. In mammals, the problem is solved by increasing the curvature of the lens.
The process by which the curvature of the lens is increased is called accommodation. At rest, the lens is held under tension by the lens ligaments. Because the lens substance is malleable and the lens capsule has considerable elasticity, the lens is pulled into a flattened shape. If the gaze is directed at a near object, the ciliary muscle contracts. This decreases the distance between the edges of the ciliary body and relaxes the lens ligaments, so that the lens springs into a more convex shape (Figure 9–13). The change is greatest in the anterior surface of the lens. In young individuals, the change in shape may add as many as 12 diopters to the refractive power of the eye. The relaxation of the lens ligaments produced by contraction of the ciliary muscle is due partly to the sphincterlike action of the circular muscle fibers in the ciliary body and partly to the contraction of longitudinal muscle fibers that attach anteriorly, near the corneoscleral junction. As these fibers contract, they pull the whole ciliary body forward and inward. This motion brings the edges of the ciliary body closer together. Changes in accommodation with age are described in Clinical Box 9–5.

FIGURE 9–13 Accommodation. The solid lines represent the shape of the lens, iris, and ciliary body at rest, and the dashed lines represent the shape during accommodation. When gaze is directed at a near object, ciliary muscles contract. This decreases the distance between the edges of the ciliary body and relaxes the lens ligaments, and the lens becomes more convex. (From Waxman SG: Clinical Neuroanatomy, 26th ed. McGraw-Hill, 2010.)
CLINICAL BOX 9–5
Accommodation & Aging
Accommodation is an active process, requiring muscular effort, and can therefore be tiring. Indeed, the ciliary muscle is one of the most used muscles in the body. The degree to which the lens curvature can be increased is limited, and light rays from an object very near the individual cannot be brought to a focus on the retina, even with the greatest of effort. The nearest point to the eye at which an object can be brought into clear focus by accommodation is called the near point of vision. The near point recedes throughout life, slowly at first and then rapidly with advancing age, from approximately 9 cm at age 10 to approximately 83 cm at age 60. This recession is due principally to increasing hardness of the lens, with a resulting loss of accommodation due to the steady decrease in the degree to which the curvature of the lens can be increased. By the time a normal individual reaches age 40–45, the loss of accommodation is usually sufficient to make reading and close work difficult. This condition, which is known as presbyopia, can be corrected by wearing glasses with convex lenses.
In addition to accommodation, the visual axes converge and the pupil constricts when an individual looks at a near object. This three-part response—accommodation, convergence of the visual axes, and pupillary constriction—is called the near response.
PUPILLARY LIGHT REFLEXES
When light is directed into one eye, the pupil constricts (direct light response). The pupil of the other eye also constricts (consensual light response). The optic nerve fibers that carry the impulses initiating this pupillary reflex leave the optic tract near the lateral geniculate bodies. On each side, they enter the midbrain via the brachium of the superior colliculus and terminate in the pretectal nucleus. From this nucleus, nerve fibers project to the ipsilateral and contralateral Edinger–Westphal nuclei which contain preganglionic parasympathetic neurons within the oculomotor nerve. These neurons terminate in the ciliary ganglion from which postganglionic nerves project to the ciliary muscle. This pathway is dorsal to the pathway for the near response. Consequently, the light response is sometimes lost while the response to accommodation remains intact (Argyll Robertson pupil). One cause of this abnormality is CNS syphilis, but the Argyll Robertson pupil is also seen in other diseases producing selective lesions in the midbrain.
RESPONSES IN THE VISUAL PATHWAYS & CORTEX
NEURAL PATHWAYS
The axons of the ganglion cells pass caudally in the optic nerve and optic tract to end in the lateral geniculate body in the thalamus (Figure 9–14). The fibers from each nasal hemiretina decussate in the optic chiasm. In the geniculate body, the fibers from the nasal half of one retina and the temporal half of the other synapse on the cells whose axons form the geniculocalcarine tract. This tract passes to the occipital lobe of the cerebral cortex. The effects of lesions in these pathways on visual function are discussed below.

FIGURE 9–14 Visual pathways. Transection of the pathways at the locations indicated by the letters causes the visual field defects shown in the diagrams on the right. The fibers from the nasal half of each retina decussate in the optic chiasm, so that the fibers in the optic tracts are those from the temporal half of one retina and the nasal half of the other. A lesion that interrupts one optic nerve causes blindness in that eye (A). A lesion in one optic tract causes blindness in half of the visual field (C) and is called homonymous (same side of both visual fields) hemianopia (half-blindness). Lesions affecting the optic chiasm destroy fibers from both nasal hemiretinas and produce a heteronymous (opposite sides of the visual fields) hemianopia (B). Occipital lesions may spare the fibers from the macula (as in D) because of the separation in the brain of these fibers from the others subserving vision.
Some ganglion cell axons bypass the lateral geniculate nucleus (LGN) to project directly to the pretectal area; this pathway mediates the pupillary light reflex and eye movements. The frontal cortex is also concerned with eye movement, and especially its refinement. The bilateral frontal eye fields in this part of the cortex are concerned with control of saccades, and an area just anterior to these fields is concerned with vergence and the near response.
The brain areas activated by visual stimuli have been investigated in monkeys and humans by positron emission tomography (PET) and other imaging techniques. Activation occurs not only in the occipital lobe but also in parts of the inferior temporal cortex, the posteroinferior parietal cortex, portions of the frontal lobe, and the amygdala. The subcortical structures activated in addition to the lateral geniculate body include the superior colliculus, pulvinar, caudate nucleus, putamen, and claustrum.
The axons of retinal ganglion cells project a detailed spatial representation of the retina on the lateral geniculate body. Each geniculate body contains six well-defined layers (Figure 9–15). Layers 3–6 have small cells and are called parvocellular, whereas layers 1 and 2 have large cells and are called magnocellular. On each side, layers 1, 4, and 6 receive input from the contralateral eye, whereas layers 2, 3, and 5 receive input from the ipsilateral eye. In each layer, there is a precise point-for-point representation of the retina, and all six layers are in register so that along a line perpendicular to the layers, the receptive fields of the cells in each layer are almost identical. It is worth noting that only 10–20% of the input to the LGN comes from the retina. Major inputs also occur from the visual cortex and other brain regions. The feedback pathway from the visual cortex has been shown to be involved in visual processing related to the perception of orientation and motion.

FIGURE 9–15 Ganglion cell projections from the right hemiretina of each eye to the right lateral geniculate body and from this nucleus to the right primary visual cortex. Note the six layers of the geniculate. P ganglion cells project to layers 3–6, and M ganglion cells project to layers 1 and 2. The ipsilateral (I) and contralateral (C) eyes project to alternate layers. Not shown are the interlaminar area cells, which project via a separate component of the P pathway to blobs in the visual cortex. (Modified from Kandel ER, Schwartz JH, Jessell TM [editors]: Principles of Neural Science, 4th ed. McGraw-Hill, 2000.)
There are several types of retinal ganglion cells. These include large ganglion cells (magno, or M cells), which add responses from different kinds of cones and are concerned with movement and stereopsis. Another type is the small ganglion cells (parvo, or P cells), which subtract input from one type of cone from input from another and are concerned with color, texture, and shape. The M ganglion cells project to the magnocellular portion of the lateral geniculate, whereas the P ganglion cells project to the parvocellular portion. From the LGN, a magnocellular pathway and a parvocellular pathway project to the visual cortex. The magnocellular pathway, from layers 1 and 2, carries signals for detection of movement, depth, and flicker. The parvocellular pathway, from layers 3–6, carries signals for color vision, texture, shape, and fine detail. The small-field bistratified ganglion cells may be involved in color vision and carry the short (blue) wavelength information to the intralaminar zones of the LGN.
Cells in the interlaminar region of the LGN also receive input from P ganglion cells, probably via dendrites of interlaminar cells that penetrate the parvocellular layers. They project via a separate component of the P pathway to the blobs in the visual cortex.
EFFECT OF LESIONS IN THE OPTIC PATHWAYS
Lesions along the visual pathways can be localized with a high degree of accuracy by the effects they produce in the visual fields. The fibers from the nasal half of each retina decussate in the optic chiasm, so that the fibers in the optic tracts are those from the temporal half of one retina and the nasal half of the other. In other words, each optic tract subserves half of the field of vision. Therefore, a lesion that interrupts one optic nerve causes blindness in that eye, but a lesion in one optic tract causes blindness in half of the visual field (Figure 9–14). This defect is classified as a homonymous (same side of both visual fields) hemianopia (half-blindness).
Lesions affecting the optic chiasm, such as pituitary tumors expanding out of the sella turcica, cause destruction of the fibers from both nasal hemiretinas and produce a heteronymous (opposite sides of the visual fields) hemianopia. Because the fibers from the macula are located posteriorly in the optic chiasm, hemianopic scotomas develop before vision in the two hemiretinas is completely lost. Selective visual field defects are further classified as bitemporal, binasal, and right or left.
The optic nerve fibers from the upper retinal quadrants subserving vision in the lower half of the visual field terminate in the medial half of the lateral geniculate body, whereas the fibers from the lower retinal quadrants terminate in the lateral half. The geniculocalcarine fibers from the medial half of the lateral geniculate terminate on the superior lip of the calcarine fissure, and those from the lateral half terminate on the inferior lip. Furthermore, the fibers from the lateral geniculate body that subserve macular vision separate from those that subserve peripheral vision and end more posteriorly on the lips of the calcarine fissure (Figure 9–16). Because of this anatomic arrangement, occipital lobe lesions may produce discrete quadrantic visual field defects (upper and lower quadrants of each half visual field).

FIGURE 9–16 Medial view of the human right cerebral hemisphere showing projection of the retina on the primary visual cortex in the occipital cortex around the calcarine fissure. The geniculocalcarine fibers from the medial half of the lateral geniculate terminate on the superior lip of the calcarine fissure, and those from the lateral half terminate on the inferior lip. Also, the fibers from the lateral geniculate body that relay macular vision separate from those that relay peripheral vision and end more posteriorly on the lips of the calcarine fissure.
Macular sparing, that is, loss of peripheral vision with intact macular vision, is also common with occipital lesions (Figure 9–14) because the macular representation is separate from that of the peripheral fields and very large relative to that of the peripheral fields. Therefore, occipital lesions must extend considerable distances to destroy macular as well as peripheral vision. Bilateral destruction of the occipital cortex in humans causes subjective blindness. However, there is appreciable blind-sight, that is, residual responses to visual stimuli even though they do not reach consciousness. For example, when these individuals are asked to guess where a stimulus is located during perimetry, they respond with much more accuracy than can be explained by chance. They are also capable of considerable discrimination of movement, flicker, orientation, and even color. Similar biasing of responses can be produced by stimuli in the blind areas in patients with hemianopia due to lesions in the visual cortex.
The fibers to the pretectal region that subserve the pupillary reflex produced by shining a light into the eye leave the optic tracts near the geniculate bodies. Therefore, blindness with preservation of the pupillary light reflex is usually due to bilateral lesions caudal to the optic tract.
PRIMARY VISUAL CORTEX
The primary visual receiving area (primary visual cortex; also known as V1) is located principally on the sides of the calcarine fissure (Figure 9–16). Just as the ganglion cell axons project a detailed spatial representation of the retina on the lateral geniculate body, the lateral geniculate body projects a similar point-for-point representation on the primary visual cortex. In the visual cortex, many nerve cells are associated with each incoming fiber. Like the rest of the neocortex, the visual cortex has six layers. The axons from the LGN that form the magnocellular pathway end in layer 4, specifically in its deepest part, layer 4C. Many of the axons that form the parvocellular pathway also end in layer 4C. However, the axons from the interlaminar region end in layers 2 and 3.
Layers 2 and 3 of the cortex contain clusters of cells about 0.2 mm in diameter that, unlike the neighboring cells, contain a high concentration of the mitochondrial enzyme cytochrome oxidase. The clusters have been named blobs.They are arranged in a mosaic in the visual cortex and are concerned with color vision. However, the parvocellular pathway also carries color opponent data to the deep part of layer 4.
Like the ganglion cells, the lateral geniculate neurons and the neurons in layer 4 of the visual cortex respond to stimuli in their receptive fields with on centers and inhibitory surrounds or off centers and excitatory surrounds. A bar of light covering the center is an effective stimulus for them because it stimulates the entire center and relatively little of the surround. However, the bar has no preferred orientation and, as a stimulus, is equally effective at any angle.
The responses of the neurons in other layers of the visual cortex are strikingly different. So-called simple cells respond to bars of light, lines, or edges, but only when they have a particular orientation. When, for example, a bar of light is rotated as little as 10° from the preferred orientation, the firing rate of the simple cell is usually decreased, and if the stimulus is rotated much more, the response disappears. There are also complex cells, which resemble simple cells in requiring a preferred orientation of a linear stimulus but are less dependent upon the location of a stimulus in the visual field than the simple cells and the cells in layer 4. They often respond maximally when a linear stimulus is moved laterally without a change in its orientation. They probably receive input from the simple cells.
The visual cortex, like the somatosensory cortex, is arranged in vertical columns that are concerned with orientation (orientation columns). Each is about 1 mm in diameter. However, the orientation preferences of neighboring columns differ in a systematic way; as one moves from column to column across the cortex, sequential changes occur in orientation preference of 5–10°. Thus, it seems likely that for each ganglion cell receptive field in the visual field, there is a collection of columns in a small area of visual cortex representing the possible preferred orientations at small intervals throughout the full 360°. The simple and complex cells have been called feature detectorsbecause they respond to and analyze certain features of the stimulus. Feature detectors are also found in the cortical areas for other sensory modalities.
The orientation columns can be mapped with the aid of radioactive 2-deoxyglucose. The uptake of this glucose derivative is proportional to the activity of neurons. When this technique is employed in animals exposed to uniformly oriented visual stimuli such as vertical lines, the brain shows a remarkable array of intricately curved but evenly spaced orientation columns over a large area of the visual cortex.
Another feature of the visual cortex is the presence of ocular dominance columns. The geniculate cells and the cells in layer 4 receive input from only one eye, and the layer 4 cells alternate with cells receiving input from the other eye. If a large amount of a radioactive amino acid is injected into one eye, the amino acid is incorporated into protein and transported by axoplasmic flow to the ganglion cell terminals, across the geniculate synapses, and along the geniculocalcarine fibers to the visual cortex. In layer 4, labeled endings from the injected eye alternate with unlabeled endings from the uninjected eye. The result, when viewed from above, is a vivid pattern of stripes that covers much of the visual cortex (Figure 9–17) and is separate from and independent of the grid of orientation columns.

FIGURE 9–17 Reconstruction of ocular dominance columns in a subdivision of layer 4 of a portion of the right visual cortex of a rhesus monkey. Dark stripes represent one eye, light stripes the other. (Reproduced with permission from LeVay S, Hubel DH, Wiesel TN: The pattern of ocular dominance columns in macaque visual cortex revealed by a reduced silver stain. J Comp Neurol 1975;159:559.)
About half the simple and complex cells receive an input from both eyes. The inputs are identical or nearly so in terms of the portion of the visual field involved and the preferred orientation. However, they differ in strength, so that between the cells to which the input comes totally from the ipsilateral or the contralateral eye, there is a spectrum of cells influenced to different degrees by both eyes.
Thus, the primary visual cortex segregates information about color from that concerned with form and movement, combines the input from the two eyes, and converts the visual world into short line segments of various orientations.
OTHER CORTICAL AREAS CONCERNED WITH VISION
As mentioned above, the primary visual cortex (V1) projects to many other parts of the occipital lobes and other parts of the brain. These are often identified by number (V2, V3, etc) or by letters (LO, MT, etc). The distribution of some of these in the human brain is shown in Figure 9–18, and their putative functions are listed in Table 9–1. Studies of these areas have been carried out in monkeys trained to do various tasks and then fitted with implanted microelectrodes. In addition, the availability of PET and functional magnetic resonance imaging (fMRI) scanning has made it possible to conduct sophisticated experiments on visual cognition and other cortical visual functions in normal, conscious humans. The visual projections from V1 can be divided roughly into a dorsal or parietal pathway, concerned primarily with motion, and a ventral or temporal pathway, concerned with shape and recognition of forms and faces. In addition, connections to the sensory areas are important. For example, in the occipital cortex, visual responses to an object are better if the object is felt at the same time. There are many other relevant connections to other systems.

FIGURE 9–18 Some of the main areas to which the primary visual cortex (V1) projects in the human brain. Lateral and medial views. LO, lateral occipital; MT, medial temporal; VP, ventral parietal. See also Table 9–1. (Modified from Logothetis N: Vision: A window on consciousness. Sci Am [Nov] 1999;281:69-75.)

TABLE 9–1 Functions of visual projection areas in the human brain.
It is apparent from the preceding paragraphs that parallel processing of visual information occurs along multiple paths. In some as yet unknown way, all the information is eventually pulled together into what we experience as a conscious visual image.
COLOR VISION
Colors have three attributes: hue, intensity, and saturation (degree of freedom from dilution with white). For any color there is a complementary color that, when properly mixed with it, produces a sensation of white. Black is the sensation produced by the absence of light, but it is probably a positive sensation because the blind eye does not “see black;” rather, it “sees nothing.”
Another observation of basic importance is the demonstration that the sensation of white, any spectral color, and even the extraspectral color, purple, can be produced by mixing various proportions of red light (wavelength 723–647 nm), green light (575–492 nm), and blue light (492–450 nm). Red, green, and blue are therefore called the primary colors. A third important point is that the color perceived depends in part on the color of other objects in the visual field. Thus, for example, a red object is seen as red if the field is illuminated with green or blue light, but as pale pink or white if the field is illuminated with red light. Clinical Box 9–6 describes color blindness.
CLINICAL BOX 9–6
Color Blindness
The most common test for color blindness uses the Ishihara charts, which are plates containing figures made up of colored spots on a background of similarly shaped colored spots. The figures are intentionally made up of colors that are liable to look the same as the background to an individual who is color blind. Some color-blind individuals are unable to distinguish certain colors, whereas others have only a color weakness. The prefixes “prot-,” “deuter-,” and “trit-” refer to defects of the red, green, and blue cone systems, respectively. Individuals with normal color vision are called trichromats. Dichromats are individuals with only two cone systems; they may have protanopia, deuteranopia, or tritanopia. Monochromats have only one cone system. Dichromats can match their color spectrum by mixing only two primary colors, and monochromats match theirs by varying the intensity of only one. Abnormal color vision is present as an inherited abnormality in Caucasian populations in about 8% of the males and 0.4% of the females. Tritanopia is rare and shows no sexual selectivity. However, about 2% of the colorblind males are dichromats who have protanopia or deuteranopia, and about 6% are anomalous trichromats in whom the red-sensitive or the green-sensitive pigment is shifted in its spectral sensitivity. These abnormalities are inherited as recessive and X-linked characteristics. Color blindness is present in males if the X chromosome has the abnormal gene. Females show a defect only when both X chromosomes contain the abnormal gene. However, female children of a man with X-linked color blindness are carriers of the color blindness and pass the defect on to half of their sons. Therefore, X-linked color blindness skips generations and appears in males of every second generation. Color blindness can also occur in individuals with lesions of area V8 of the visual cortex since this region appears to be uniquely concerned with color vision in humans. This deficit is called achromatopsia. Transient blue–green color weakness occurs as a side effect in individuals taking sildenafil (Viagra) for the treatment of erectile dysfunction because the drug inhibits the retinal as well as the penile form of phosphodiesterase.
RETINAL MECHANISMS
The Young–Helmholtz theory of color vision in humans postulates the existence of three kinds of cones, each containing a different photopigment and that are maximally sensitive to one of the three primary colors, with the sensation of any given color being determined by the relative frequency of the impulses from each of these cone systems. The correctness of this theory has been demonstrated by the identification and chemical characterization of each of the three pigments (Figure 9–19). One pigment (the blue-sensitive, or short-wave, pigment) absorbs light maximally in the blue-violet portion of the spectrum. Another (the green-sensitive, or middle-wave, pigment) absorbs maximally in the green portion. The third (the red-sensitive, or long-wave, pigment) absorbs maximally in the yellow portion. Blue, green, and red are the primary colors, but the cones with their maximal sensitivity in the yellow portion of the spectrum are sensitive enough in the red portion to respond to red light at a lower threshold than green. This is all the Young–Helmholtz theory requires.

FIGURE 9–19 Absorption spectra of the three cone pigments in the human retina. The S pigment that peaks at 440 nm senses blue, and the M pigment that peaks at 535 nm senses green. The remaining L pigment peaks in the yellow portion of the spectrum, at 565 nm, but its spectrum extends far enough into the long wavelengths to sense red. (Reproduced with permission from Michael CR: Color vision. N Engl J Med 1973;288:724.)
The gene for human rhodopsin is on chromosome 3, and the gene for the blue-sensitive S cone pigment is on chromosome 7. The other two cone pigments are encoded by genes arranged in tandem on the q arm of the X chromosome. The green-sensitive M and red-sensitive L pigments are very similar in structure; their opsins show 96% homology of amino acid sequences, whereas each of these pigments has only about 43% homology with the opsin of blue-sensitive pigment, and all three have about 41% homology with rhodopsin. Many mammals are dichromats; that is, they have only two cone pigments, a short-wave and a long-wave pigment. Old World monkeys, apes, and humans are trichromats, with separate middle- and long-wave pigments—in all probability because there was duplication of the ancestral long-wave gene followed by divergence.
There are variations in the red, long-wave pigment in humans. It has been known for some time that responses to the Rayleigh match, the amounts of red and green light that a subject mixes to match a monochromatic orange, are bimodal. This correlates with new evidence that 62% of otherwise color-normal individuals have serine at site 180 of their long-wave cone opsin, whereas 38% have alanine. The absorption curve of the subjects with serine at position 180 peaks at 556.7 nm, and they are more sensitive to red light, whereas the absorption curve of the subjects with alanine at position 180 peaks at 552.4 nm.
NEURAL MECHANISMS
Color is mediated by ganglion cells that subtract or add input from one type of cone to input from another type. Processing in the ganglion cells and the LGN produces impulses that pass along three types of neural pathways that project to V1: a red–green pathway that signals differences between Land M-cone responses, a blue–yellow pathway that signals differences between S-cone and the sum of L- and M-cone responses, and a luminance pathway that signals the sum of L- and M-cone responses. These pathways project to the blobs and the deep portion of layer 4C of V1. From the blobs and layer 4, color information is projected to V8. However, it is not known how V8 converts color input into the sensation of color.
OTHER ASPECTS OF VISUAL FUNCTION
DARK ADAPTATION
If a person spends a considerable length of time in brightly lighted surroundings and then moves to a dimly lighted environment, the retinas slowly become more sensitive to light as the individual becomes “accustomed to the dark.” This decline in visual threshold is known as dark adaptation. It is nearly maximal in about 20 min, although some further decline occurs over longer periods. On the other hand, when one passes suddenly from a dim to a brightly lighted environment, the light seems intensely and even uncomfortably bright until the eyes adapt to the increased illumination and the visual threshold rises. This adaptation occurs over a period of about 5 min and is called light adaptation, although, strictly speaking, it is merely the disappearance of dark adaptation.
The dark adaptation response actually has two components. The first drop in visual threshold, rapid but small in magnitude, is known to be due to dark adaptation of the cones because when only the foveal, rod-free portion of the retina is tested, the decline proceeds no further. In the peripheral portions of the retina, a further drop occurs as a result of adaptation of the rods. The total change in threshold between the light-adapted and the fully dark-adapted eye is very great.
Radiologists, aircraft pilots, and others who need maximal visual sensitivity in dim light can avoid having to wait 20 min in the dark to become dark-adapted if they wear red goggles when in bright light. Light wavelengths in the red end of the spectrum stimulate the rods to only a slight degree while permitting the cones to function reasonably well. Therefore, a person wearing red glasses can see in bright light during the time it takes for the rods to become dark-adapted.
The time required for dark adaptation is determined in part by the time required to build up the rhodopsin stores. In bright light, much of the pigment is continuously being broken down, and some time is required in dim light for accumulation of the amounts necessary for optimal rod function. However, dark adaptation also occurs in the cones, and additional factors are undoubtedly involved.
CRITICAL FUSION FREQUENCY
The time-resolving ability of the eye is determined by measuring the critical fusion frequency (CFF), the rate at which stimuli can be presented and still be perceived as separate stimuli. Stimuli presented at a higher rate than the CFF are perceived as continuous stimuli. Motion pictures move because the frames are presented at a rate above the CFF, and movies begin to flicker when the projector slows down.
VISUAL FIELDS & BINOCULAR VISION
The visual field of each eye is the portion of the external world visible out of that eye. Theoretically, it should be circular, but actually it is cut off medially by the nose and superiorly by the roof of the orbit (Figure 9–20). Mapping the visual fields is important in neurologic diagnosis. The peripheral portions of the visual fields are mapped with an instrument called a perimeter, and the process is referred to as perimetry. One eye is covered while the other is fixed on a central point. A small target is moved toward this central point along selected meridians, and, along each, the location where the target first becomes visible is plotted in degrees of arc away from the central point (Figure 9–20). The central visual fields are mapped with a tangent screen, a black felt screen across which a white target is moved. By noting the locations where the target disappears and reappears, the blind spot and any objective scotomas (blind spots due to disease) can be outlined.

FIGURE 9–20 Monocular and binocular visual fields. The dashed line encloses the visual field of the left eye; the solid line, that of the right eye. The common area (heart-shaped clear zone in the center) is viewed with binocular vision. The colored areas are viewed with monocular vision.
The central parts of the visual fields of the two eyes coincide; therefore, anything in this portion of the field is viewed with binocular vision. The impulses set up in the two retinas by light rays from an object are fused at the cortical level into a single image (fusion). The term corresponding points is used to describe the points on the retina on which the image of an object must fall if it is to be seen binocularly as a single object. If one eye is gently pushed out of alignment while staring fixedly at an object in the center of the visual field, double vision (diplopia) results; the image on the retina of the eye that is displaced no longer falls on the corresponding point. When visual images no longer fall on corresponding retinal points, strabismus occurs (see Clinical Box 9–4).
Binocular vision has an important role in the perception of depth. However, depth perception also has numerous monocular components, such as the relative sizes of objects, the degree one looks down at them, their shadows, and, for moving objects, their movement relative to one another (movement parallax).
EYE MOVEMENTS
The eye is moved within the orbit by six ocular muscles that are innervated by the oculomotor, trochlear, and abducens nerves. Figure 9–21 shows the movements produced by the six pairs of muscles. Because the oblique muscles pull medially, their actions vary with the position of the eye. When the eye is turned nasally, the inferior oblique elevates it and the superior oblique depresses it. When it is turned laterally, the superior rectus elevates it and the inferior rectus depresses it.

FIGURE 9–21 Diagram of eye muscle actions. The eye is adducted by the medial rectus and abducted by the lateral rectus. The adducted eye is elevated by the inferior oblique and depressed by the superior oblique; the abducted eye is elevated by the superior rectus and depressed by the inferior rectus. (From Waxman SG: Clinical Neuroanatomy, 26th ed. McGraw-Hill, 2010.)
Because much of the visual field is binocular, it is clear that a very high order of coordination of the movements of the two eyes is necessary if visual images are to fall at all times on corresponding points in the two retinas and diplopia is to be avoided.
There are four types of eye movements, each controlled by a different neural system but sharing the same final common path, the motor neurons that supply the external ocular muscles. Saccades, sudden jerky movements, occur as the gaze shifts from one object to another. They bring new objects of interest onto the fovea and reduce adaptation in the visual pathway that would occur if gaze were fixed on a single object for long periods. Smooth pursuit movements are tracking movements of the eyes as they follow moving objects. Vestibular movements, adjustments that occur in response to stimuli initiated in the semicircular canals, maintain visual fixation as the head moves. Convergence movements bring the visual axes toward each other as attention is focused on objects near the observer. The similarity to a human-made tracking system on an unstable platform such as a ship is apparent: saccadic movements seek out visual targets, pursuit movements follow them as they move about, and vestibular movements stabilize the tracking device as the platform on which the device is mounted (ie, the head) moves about. In primates, these eye movements depend on an intact visual cortex. Saccades are programmed in the frontal cortex and the superior colliculi and pursuit movements in the cerebellum.
SUPERIOR COLLICULI
The superior colliculi, which regulate saccades, are innervated by M fibers from the retina. They also receive extensive innervation from the cerebral cortex. Each superior colliculus has a map of visual space plus a map of the body surface and a map for sound in space. A motor map projects to the regions of the brain stem that control eye movements. There are also projections via the tectopontine tract to the cerebellum and via the tectospinal tract to areas concerned with reflex movements of the head and neck. The superior colliculi are constantly active positioning the eyes, and they have one of the highest rates of blood flow and metabolism of any region in the brain.
CHAPTER SUMMARY
The major parts of the eye are the sclera (protective covering), cornea (transfer light rays), choroid (nourishment), retina (receptor cells), lens, and iris.
The retina is organized into several layers: the outer nuclear layer contains the photoreceptors (rods and cones), the inner nuclear layer contains bipolar cells, horizontal cells, and amacrine cells, and the ganglion cell layer contains the only output neuron of the retina.
The bending of light rays (refraction) allows one to focus an accurate image onto the retina. Light is refracted at the anterior surface of the cornea and at the anterior and posterior surfaces of the lens. To bring diverging rays from close objects to a focus on the retina, the curvature of the lens is increased, a process called accommodation.
In hyperopia (farsightedness), the eyeball is too short and light rays come to a focus behind the retina. In myopia (nearsightedness), the anteroposterior diameter of the eyeball is too long. Astigmatism is a common condition in which the curvature of the cornea is not uniform. Presbyopia is the loss of accommodation for near vision. Strabismus is a misalignment of the eyes; it is also known as “crossed eyes.” Eyes can be deviated outward (exotropia) or inward (esotropia).
Na+ channels in the outer segments of the rods and cones are open in the dark, so current flows from the inner to the outer segment. When light strikes the outer segment, some of the Na+ channels are closed and the cells are hyperpolarized.
In response to light, horizontal cells are hyperpolarized, bipolar cells are either hyperpolarized or depolarized, and amacrine cells are depolarized and develop spikes that may act as generator potentials for the propagated spikes produced in the ganglion cells.
The visual pathway is from the rods and cones to bipolar cells to ganglion cells then via the optic tract to the thalamic lateral geniculate body to the occipital lobe of the cerebral cortex. The fibers from each nasal hemiretina decussate in the optic chiasm; the fibers from the nasal half of one retina and the temporal half of the other synapse on the cells whose axons form the geniculocalcarine tract.
Neurons in layer 4 of the visual cortex respond to stimuli in their receptive fields with on centers and inhibitory surrounds or off centers and excitatory surrounds. Neurons in other layers are called simple cells if they respond to bars of light, lines, or edges, but only when they have a particular orientation. Complex cells also require a preferred orientation of a linear stimulus but are less dependent on the location of a stimulus in the visual field. Projections from area V1 can be divided into a dorsal or parietal pathway (concerned primarily with motion) and a ventral or temporal pathway (concerned with shape and recognition of forms and faces).
The decline in visual threshold after spending long periods of time in a dimly lit room is called dark adaptation. The fovea in the center of the retina is the point where visual acuity is greatest.
The Young–Helmholtz theory of color vision postulates the existence of three kinds of cones, each containing a different photopigment and that are maximally sensitive to one of the three primary colors, with the sensation of any given color being determined by the relative frequency of the impulses from each of these cone systems.
Eye movement is controlled by six ocular muscles innervated by the oculomotor, trochlear, and abducens nerves.
The inferior oblique muscle turns the eye upward and outward; the superior oblique turns it downward and outward. The superior rectus muscle turns the eye upward and inward; the inferior rectus turns it downward and inward. The medial rectus muscle turns the eye inward; the lateral rectus turns it outward.
Saccades (sudden jerky movements) occur as the gaze shifts from one object to another, and they reduce adaptation in the visual pathway that would occur if gaze were fixed on a single object for long periods. Smooth pursuit movements are tracking movements of the eyes as they follow moving objects. Vestibular movements occur in response to stimuli in the semicircular canals to maintain visual fixation as the head moves. Convergence movements bring the visual axes toward each other as attention is focused on objects near the observer.
MULTIPLE-CHOICE QUESTIONS
For all questions, select the single best answer unless otherwise directed.
1. A visual exam in an 80-year-old man shows he has a reduced ability to see objects in the upper and lower quadrants of the left visual fields of both eyes but some vision remains in the central regions of the visual field. The diagnosis is
A. central scotoma.
B. heteronymous hemianopia with macular sparing.
C. lesion of the optic chiasm.
D. homonymous hemianopia with macular sparing.
E. retinopathy.
2. A 45-year-old female who had never needed to wear glasses experienced difficulty reading a menu in a dimly-lit restaurant. She then recalled that as of late she needed to have the newspaper closer to her eyes in order to read it. A friend recommended she purchase reading glasses. Visual accommodation involves
A. increased tension on the lens ligaments.
B. a decrease in the curvature of the lens.
C. relaxation of the sphincter muscle of the iris.
D. contraction of the ciliary muscle.
E. increased intraocular pressure.
3. A 28-year-old male with severe myopia made an appointment to see his ophthalmologist when he began to notice flashing lights and floaters in his visual field. He was diagnosed with a retinal detachment. The retina
A. is epithelial tissue that contains photoreceptors.
B. lines the anterior one-third of the choroid.
C. has an inner nuclear layer that contains bipolar cells, horizontal cells, and amacrine cells.
D. contains ganglion cells whose axons form the oculomotor nerve.
E. contains an optic disk where visual acuity is greatest.
4. A 62-year-old Caucasian woman experienced a rapid onset of blurry vision along with loss of central vision. A comprehensive eye exam showed that she had wet age-related macular degeneration. The fovea of the eye
A. has the lowest light threshold.
B. is the region of highest visual acuity.
C. contains only red and green cones.
D. contains only rods.
E. is situated over the head of the optic nerve.
5. Which of the following parts of the eye has the greatest concentration of rods?
A. Ciliary body
B. Iris
C. Optic disk
D. Fovea
E. Parafoveal region
6. Which of the following is not correctly paired?
A. Rhodopsin: retinal and opsin
B. Obstruction of the canal of Schlemm: elevated intraocular pressure
C. Myopia: convex lenses
D. Astigmatism: nonuniform curvature of the cornea
E. Inner segments of rods and cones: synthesis of the photosensitive compounds
7. The correct sequence of events involved in phototransduction in rods and cones in response to light is:
A. activation of transducin, decreased release of glutamate, structural changes in rhodopsin, closure of Na+ channels, and decrease in intracellular cGMP.
B. decreased release of glutamate, activation of transducin, closure of Na+ channels, decrease in intracellular cGMP, and structural changes in rhodopsin.
C. structural changes in rhodopsin, decrease in intracellular cGMP, decreased release of glutamate, closure of Na+ channels, and activation of transducin.
D. structural changes in rhodopsin, activation of transducin, decrease in intracellular cGMP, closure of Na+ channels, and decreased release of glutamate.
E. activation of transducin, structural changes in rhodopsin, closure of Na+ channels, decrease in intracellular cGMP, and decreased release of glutamate.
8. A 25-year-old medical student spent a summer volunteering in the sub-Saharan region of Africa. There he noted a high incidence of people reporting difficulty with night vision due to a lack of vitamin A in their diet. Vitamin A is a precursor for the synthesis of
A. rods and cones.
B. retinal.
C. rod transducin.
D. opsin.
E. cone transducin.
9. An 11-year-old male was having difficulty reading the graphs that his teacher was showing at the front of classroom. His teacher recommended he be seen by an ophthalmologist. Not only was he asked to look at a Snellen letter chart for visual acuity but he was also asked to identify numbers in an Ishihara chart. He responded that he merely saw a bunch of dots. Abnormal color vision is 20 times more common in men than women because most cases are caused by an abnormal
A. dominant gene on the Y chromosome.
B. recessive gene on the Y chromosome.
C. dominant gene on the X chromosome.
D. recessive gene on the X chromosome.
E. recessive gene on chromosome 22.
10. Which of the following is not involved in color vision?
A. Activation of a pathway that signals differences between S cone responses and the sum of L and M cone responses
B. Geniculate layers 3–6
C. P pathway
D. Area V3A of visual cortex
E. Area V8 of visual cortex
11. A 56-year-old female was diagnosed with a tumor near the base of the skull, impinging on her optic tract. Which of the following statements about the central visual pathway is correct?
A. The fibers from each temporal hemiretina decussate in the optic chiasm, so that the fibers in the optic tracts are those from the temporal half of one retina and the nasal half of the other.
B. In the geniculate body, the fibers from the nasal half of one retina and the temporal half of the other synapse on the cells whose axons form the geniculocalcarine tract.
C. Layers 2 and 3 of the visual cortex contain clusters of cells called globs that contain a high concentration of cytochrome oxidase.
D. Complex cells have a preferred orientation of a linear stimulus and, compared to simple cells, are more dependent on the location of the stimulus within the visual field.
E. The visual cortex is arranged in horizontal columns that are concerned with orientation.
CHAPTER RESOURCES
Baccus SA: Timing and computation in inner retinal circuitry. Annu Rev Physiol 2007; 69:271.
Chiu C, Weliky M: Synaptic modification by vision. Science 2003;300:1890.
Gegenfurtner KR, Kiper DC: Color vision. Annu Rev Neurosci 2003;26:181.
Logothetis N: Vision: A window on consciousness. Sci Am 1999;281:99.
Masland RH: The fundamental plan of the retina. Nat Neurosci 2001;4:877.
Oyster CW: The Human Eye: Structure and Function. Sinauer, 1999.
Pugh EN, Nikonov S, Lamb TD: Molecular mechanisms of vertebrate photoreceptor light adaptation. Curr Opin Neurobiol 1999;9:410.
Tobimatsu S, Celesia GG, Haug BA, Onofri M, Sartucci F, Porciatti V: Recent advances in clinical neurophysiology of vision. Suppl Clin Neurophysiol 2000;53:312.
Wässle H, Boycott BB: Functional architecture of the mammalian retina. Physiol Rev 1991;71:447.
Wu S: Synaptic Organization of the Vertebrate Retina: General Principles and Species-Specific Variations (The Friedenwald Lecture). Invest Ophthalmol Vis Sci 2010;51:1264.