Alexander T. Hawkins, MD, MPH and Amy Robin Deipolyi, MD, PhD
You are in Tuesday morning trauma rounds after a night shift. The room is warm, and the senior’s voice is monotonous. You begin to drift off to sleep when you hear your name called to go to the front of the room to read a chest x-ray. You know nothing about the patient. Where do you start?
1. What is the first thing you should do with the chest x-ray?
2. What is an easy acronym you can use to recall all of the important parts of the chest x-ray?
3. What else do you need to look for on an ICU film?
HOW TO READ A CHEST X-RAY
Answers
The key to reading a chest x-ray is to develop a system that you will be able to replicate time after time. This will ensure that you evaluate every important aspect of the chest x-ray consistently. If you are not looking for it, you are not going to see it! What follows is an example of such a system. It is by no means the only way to look at a chest x-ray, and you should develop your own system that works for you.
1. Make sure that it is hung (or displayed) correctly and that it is a chest x-ray of the correct patient. Sometimes images get mixed up or the side is incorrectly marked. Look for the heart on the left side of the chest (unless, of course, the patient has dextrocardia). Make sure that it has appropriate exposure and that you can see everything that you need to see (ie, apices of lungs, costophrenic angles). On a properly exposed film, the lungs are not too black and you can see the vertebral bodies through the heart. Ideally, patients are imaged straight on, rather than being rotated, which can distort the appearance of the mediastinum. Additionally, adequate inspiration is essential to good technique. In adults, approximately 9 posterior ribs should be identified. Low lung volumes mimic pulmonary edema.
2. Just like a trauma evaluation, ABCDE can be used to note each important part of the radiograph. This method takes advantage of the fact that all you want to do when you look at a chest x-ray is look at the lungs—which is why it saves the lungs for last.
A—Abdomen. Look for free air under the abdomen on an upright film.
B—Bones. Examine all of the ribs, clavicles, and vertebrae for fractures or dislocations.
C—Cardiac. Trace the cardiac silhouette starting from the right base, along the right atrium, and examine the mediastinum for any tumors or deviation. Evaluate the aortic arch on the left and trace the silhouette down to the left ventricle. On a PA CXR you can measure the width of the heart and compare it with the width of the chest. A ratio greater than 1:2 is evidence of cardiomyopathy. This rule does not apply to a portable AP CXR, which magnifies the mediastinum and heart.
D—Diaphragm. This one is really about the pleura, but ABCPE does not really make sense. Start at the diaphragm and trace the pleura all the way around the thoracic cavity. Blunting of the costophrenic angles can indicate a pleural effusion. Increased lucency and/or lines where they don’t belong can indicate a pneumothorax. Look especially hard in the apices of the lungs for this, although air can accumulate more inferiorly in patients who are supine. Look for a deep sulcus sign in supine patients, for example, in an ICU setting, which appears as a long pointed costophrenic angle.
E—Everything else. Now it is time to look at the lungs. Start with the trachea. Is it midline? Are any of the lobes opacified? Are there any tumors? Make sure you scan throughout the right and left lungs. Classic blind spots are the lung apices and lung behind the heart. Also note the pattern of an abnormal opacity. Is the process diffuse or localized? More central or peripheral? Hazy or linear? Does the opacity obscure a normal silhouette? For example, opacities that block the left or right heart borders represent an abnormality in the lingula or right middle lobe, respectively, whereas opacities obscuring either diaphragm are in the lower lobes. See Figure 25-1.

Figure 25-1. Structures seen on a posteroanterior (PA) chest x-ray. 1, first rib; 2–10, posterior aspect of ribs 2 to 10; AK, aortic knob; APW, aortopulmonary window; BS, breast shadow (labeled only on right); C, carina; CA, colonic air; CPA, costophrenic angle; DA, descending aorta; GA, gastric air; LHB, left heart border (Note: Most of the left heart border represents the left ventricle; the superior aspect of the left heart border represents the left atrial appendage); LPA, left pulmonary artery; RC, right clavicle (left clavicle not labeled); RHB, right heart border (Note: The right heart border represents the right atrium); RHD, right hemidiaphragm (left hemidiaphragm not labeled); RPA, right pulmonary artery; T, tracheal air column.
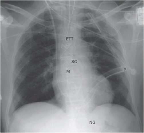
3. ICU patients are almost always imaged supine and are not able to take deep inspirations. Low lung volumes and portable technique significantly impair the ability to evaluate the lung parenchyma. Therefore, the most important function of the ICU chest x-ray is to identify tubes, lines, and drains and assure that they are in the proper positions. Three of the most important items you will use a CXR to assess include endotracheal tubes, esophagogastric tubes (including orogastric and nasogastric tubes), and central venous catheters (see Figure 25-2).

Figure 25-2. Frontal radiograph immediately after coronary artery bypass surgery shows typical lines and tubes encountered in the ICU. Endotracheal tube (ETT), nasogastric tube (NG), Swan-Ganz catheter (SG), mediastinal drain (M), and left pleural drain (P) are present.
Endotracheal tubes: The ideal position for an endotracheal tube is in the midtrachea, 3 to 5 cm from the carina when the head is neither flexed nor extended. The carina is the upside down V where the trachea splits into the left and right mainstem (see Figure 25-1). The minimum safe distance from the carina is 2 cm.
Esophagogastric tubes: Make sure the tube tracks down the esophagus and goes below the diaphragm into the stomach. A tube that does not make it all the way to the stomach should be advanced and the CXR retaken. A tube that makes a turn and stays above the diaphragm could be placed into the lung—you must replace the tube. Also check that the side hole is below the diaphragm. If it isn’t, giving tube feeds can cause aspiration pneumonia as fluid may reflux back up the esophagus. In patients who are very tall it is often difficult to see the tip of the tube and a KUB may be necessary (see Figure 25-2).
Central venous catheter (CVC): Central venous catheters include those that terminate in the SVC or IVC. They may be placed through the neck/chest (internal jugular/subclavian veins), arm (PICC lines), or even lower extremities. They can be used to monitor central venous pressure, infuse large volumes of fluid, and infuse caustic medications that cannot be given through a peripheral vein. The optimal position for a CVC is for the tip to be right at the cavoatrial junction. As the right superior heart border is not a reliable determinant of right atrial position, the best way to confirm correct placement is to look for the tip to be at the junction of the right heart border with the right mainstem bronchus. Catheters should always go toward the heart: catheters inserted from the left should cross midline and end up on the right side near the right atrium. When right-sided catheters cross midline, intra-arterial rather than intravenous placement should be suspected (see Figure 25-3).

Figure 25-3. PA view of a patient whose tunneled central venous catheter placement is normal with its tip in the superior vena cava above the right atrium (arrow).
TIPS TO REMEMBER
The best system for reading a chest x-ray is the one that you can remember easily and that helps you to remember to look for all important features.
Be sure to identify all tubes, lines, and drains on an ICU film.
COMPREHENSION QUESTIONS
1. What is the most important system to read a CXR?
A. The one that works best for you
B. The one in this book
C. The one you were taught in medical school
D. The one the Chief of Radiology uses
2. Where should the tip of the endotracheal tube lie?
A. Below the diaphragm
B. Above the clavicles
C. 3 to 5 cm above the carina
D. Anywhere as long as the oxygen saturation is 100%
3. Which of the following does not represent a problem with central venous catheter placement?
A. A right-sided pneumothorax after a right subclavian line placement
B. A left subclavian line with the tip in the jugular vein
C. A right-sided catheter that crosses midline
D. A left-sided catheter that crosses midline
Answers
1. A. It is imperative that you develop your own system to consistently and accurately read chest x-rays.
2. C. The tip of the endotracheal tube should be positioned 3 to 5 cm above the carina. Any further and you risk the tube sliding into a mainstem bronchus with neck extension.
3. D. A left-sided catheter should cross the midline. The other choices represent serious problems with placement.