Greater Occipital Nerve, Transverse View
Greater Occipital Nerve, Longitudinal View
Mandibular Nerve
Maxillary Nerve
Long Thoracic Nerve
Suprascapular Artery and Nerve
Suprascapular Nerve, Longitudinal View
Dorsal Scapular Nerve
Intercostal Space, High Thoracic Level
Interscalene Brachial Plexus, Transverse View, C5 Level
Interscalene Brachial Plexus, Longitudinal View
Phrenic Nerve at the Interscalene Level
Accessory Phrenic Nerve
Ansa Cervicalis and Phrenic Nerve, Transverse View
Vagus Nerve
Stellate Ganglion
Vertebral Artery, Transverse View
Vertebral Artery, Longitudinal View
Supraclavicular Brachial Plexus
Subclavian Artery, Dorsal Scapular Artery, and Brachial Plexus
Infraclavicular Brachial Plexus, Transverse View
Infraclavicular Brachial Plexus Lateral and Posterior Cords, Longitudinal View
Infraclavicular Brachial Plexus Medial Cord, Transverse View
Infraclavicular Brachial Plexus Medial Cord, Longitudinal View
Axillary Nerve
Axilla: Median, Ulnar, Radial, and Musculocutaneous Nerves
Axilla: Musculocutaneous Nerve
Axilla: Ulnar Nerve
Midhumerus: Posterior Antebrachial Cutaneous Nerve and Radial Nerve
Ulnar Nerve Above the Elbow
Medial Antebrachial Cutaneous Nerve Above the Elbow
Biceps Tendon, Median, and Lateral Antebrachial Cutaneous Nerve at the Elbow
Median Nerve at the Elbow
Radial Nerve at the Midforearm
Median and Ulnar Nerve at the Midforearm
Posterior Interosseous Nerve at the Midforearm
Posterior Interosseous Nerve at the Wrist
Radial Nerve and Palmar Cutaneous Branches at the Wrist
Radial Nerve
Median Nerve at the Wrist
Ulnar Nerve at the Wrist
Posterior Interosseous Nerve at the Wrist
Iliohypogastric and Ilioinguinal Nerves at the Abdominal Wall
Genital Branch of the Genitofemoral Nerve at the Abdominal Wall
Femoral Branch of the Genitofemoral Nerve and Rectus Abdominis Nerve
Paramedian Epidural Space at the Midthoracic Spine
Paramedian Epidural Space at the Lumbar Spine, Longitudinal View
Paravertebral Space, Midthoracic Spine, Transverse View
Lumbar Plexus, Transverse View
Facet Joints at the Lumbar Level, Transverse View
Lumbar Plexus, Lateral Transverse View
Lumbar Plexus, Lateral Longitudinal View
Lumbar Plexus, Posterior Oblique View
Anatomy of the Lumbar Spine, Posterior Longitudinal View
Sacral Plexus, Posterior Transverse View
Sciatic Nerve, Anterior Longitudinal View
Sciatic Nerve, Anterior Transverse View
Sciatic Nerve, Lateral Transverse View
Sciatic Nerve at the Popliteal Fossa, Posterior View
Anatomy of the Sciatic Nerve at the Distal Popliteal Fossa
Femoral Nerve, Transverse View
Obturator Nerve, Transverse View
Pudendal Nerve and Pudendal (Alcock’s) Canal
Lateral Femoral Cutaneous Nerve, Transverse View
Saphenous Nerve at Mid-thigh
Saphenous Nerve at Distal Thigh
Tibial Nerve at the Level of the Calf
Saphenous Nerve Below the Knee
Common Peroneal Nerve at the Fibular Neck
Peroneal Nerve, Deep and Superficial Branches
Peroneal Nerve, Deep and Superficial Branches at the Level of the Ankle
Posterior Tibial Nerve at the Ankle, Medial Aspect
Saphenous Nerve at the Ankle
Superficial Peroneal Nerve at the Ankle
Deep Peroneal Nerve at the Ankle
Sural Nerve at the Ankle
LIST OF ABBREVIATIONS




Greater Occipital Nerve, Transverse View

FIGURE 7.1.1A Ultrasound transducer position to image the greater occipital nerve in transverse view.

FIGURE 7.1.1B Ultrasound image of greater occipital nerve in transverse view.

FIGURE 7.1.1CLabeled ultrasound image of greater occipital nerve, transverse view.

FIGURE 7.1.1D Labeled cross-sectional anatomy of greater occipital nerve, transverse view.
Abbreviations: TrM, Trapezius Muscle; SsCM, Semispinalis Capitis Muscle; IObCM, Inferior Oblique Capitis Muscle; GON, Greater Occipital Nerve; LsCM, Longissimus Capitis Muscle.
Greater Occipital Nerve, Longitudinal View

FIGURE 7.1.2A Ultrasound transducer position to image the greater occipital nerve, longitudinal view.

FIGURE 7.1.2B Ultrasound image of greater occipital nerve, longitudinal view.

FIGURE 7.1.2C Labeled ultrasound image of greater occipital nerve, longitudinal view.
Abbreviations: TrM, Trapezius Muscle; SsCM, Semispinalis Capitis Muscle; IObCM, Inferior Oblique Capitis Muscle; GON, Greater Occipital Nerve; LsCM, Longissimus Capitis Muscle.
Mandibular Nerve

FIGURE 7.2.1A Ultrasound transducer position to image the mandibular nerve.

FIGURE 7.2.1B Ultrasound image of mandibular nerve.

FIGURE 7.2.1C Labeled ultrasound image of mandibular nerve.

FIGURE 7.2.1D Labeled ultrasound image of mandibular nerve with color Doppler.
Maxillary Nerve

FIGURE 7.3.1A Ultrasound transducer position to image the maxillary nerve.

FIGURE 7.3.1B Ultrasound image of maxillary nerve.

FIGURE 7.3.1C Labeled ultrasound anatomy of maxillary nerve, transverse view.
Long Thoracic Nerve

FIGURE 7.4.1A Ultrasound transducer position to image the long thoracic nerve.

FIGURE 7.4.1B Ultrasound image of long thoracic nerve.

FIGURE 7.4.1C Labeled ultrasound image of long thoracic nerve.

FIGURE 7.4.1D Labeled cross-sectional anatomy of long thoracic nerve.
Abbreviations: AseM, Anterior Serratus Muscle; LThN, Long Thoracic Nerve; PMaM, Pectoralis Major Muscle.
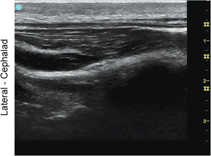
Suprascapular Artery and Nerve

FIGURE 7.5.1A Ultrasound transducer position to image the suprascapular artery and nerve.

FIGURE 7.5.1B Ultrasound image of suprascapular artery and nerve.

FIGURE 7.5.1C Labeled ultrasound image of suprascapular artery and nerve.

FIGURE 7.5.1D
Abbreviations: SpsN, Suprascapular Nerve; SpsM, Supraspinatus Muscle; SpsA, Suprascapular Artery.
Suprascapular Artery and Nerve

FIGURE 7.5.1D Labeled ultrasound image of suprascapular artery and nerve with color flow Doppler.

FIGURE 7.5.1E Labeled cross-sectional anatomy of suprascapular artery and nerve.
Abbreviations: SpsN, Suprascapular Nerve; SpsM, Supraspinatus Muscle, SpsA, Suprascapular Artery; TrM, Trapezius Muscle.
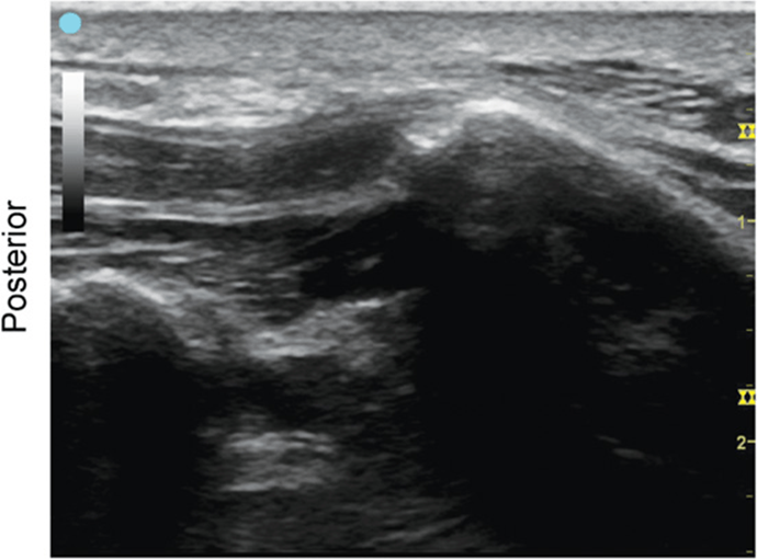
Suprascapular Nerve, Longitudinal View

FIGURE 7.5.2A Ultrasound transducer position to image the suprascapular nerve, longitudinal view.

FIGURE 7.5.2B Ultrasound image of suprascapular nerve, longitudinal view.

FIGURE 7.5.2C Labeled ultrasound image of suprascapular nerve, longitudinal view.

FIGURE 7.5.2D
Abbreviations: SpsN, Suprascapular Nerve; SpsM, Suprascapular Muscle; TrM, Trapezius Muscle.
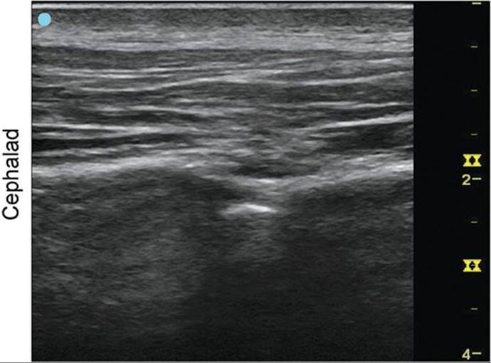
Dorsal Scapular Nerve

FIGURE 7.6.1A Ultrasound transducer position to image the dorsal scapular nerve.

FIGURE 7.6.1B Ultrasound image of dorsal scapular nerve.

FIGURE 7.6.1C Labeled ultrasound image of dorsal scapular nerve.
Abbreviations: DSN, dorsal scapular nerve; DSA, dorsal scapular artery; SsCM, Semispinalis Capitis Muscle; RhM, Rhomboids Muscle; TrM, Trapezius Muscle.
Intercostal Space, High Thoracic Level

FIGURE 7.7.1A Ultrasound transducer position to image the intercostal space at the high thoracic level.

FIGURE 7.7.1B Ultrasound image of the intercostal space at the high thoracic level.

FIGURE 7.7.1C Labeled ultrasound image of the intercostal space at the high thoracic level.

FIGURE 7.7.1D Labeled cross-sectional anatomy of intercostal space, at the high thoracic level.
Abbreviations: TrM, Trapezius Muscle; RhM, Rhomboid Muscle; SePSM, Serratus Posterior Superior Muscle; IcM, Intercostal Muscle; Ic Lig - Intercostal Ligament; Nv, Neurovascular.
Interscalene Brachial Plexus, Transverse View, C5 Level

FIGURE 7.8.1A Ultrasound transducer position to image the interscalene brachial plexus, transverse view.

FIGURE 7.8.1B Ultrasound image of the interscalene brachial plexus, transverse view.

FIGURE 7.8.1C Labeled ultrasound image of the interscalene brachial plexus, transverse view.

FIGURE 7.8.1D Labeled cross-sectional anatomy of the interscalene brachial plexus.
Abbreviations: SCM, sternocleidomastoid muscle; ASM, anterior scalene muscle; MSM, middle scalene muscle; TP, transverse process.
Interscalene Brachial Plexus, Longitudinal View

FIGURE 7.8.2A Ultrasound transducer position to image the interscalene brachial plexus, longitudinal view.

FIGURE 7.8.2B Ultrasound image of the interscalene brachial plexus, longitudinal view.

FIGURE 7.8.2C Labeled ultrasound image of the interscalene brachial plexus, longitudinal view.

FIGURE 7.8.2D
Abbreviations: SCM, sternocleidomastoid muscle; ASM, anterior scalene muscle; MSM, middle scalene muscle; TP, transverse process; PhN, Phrenic nerve; IvF, Intervertebral Foramen; VA, vertebral artery.
Phrenic Nerve at the Interscalene Level

FIGURE 7.9.1A Ultrasound transducer position to image the phrenic nerve at the interscalene level.

FIGURE 7.9.1B Ultrasound image of the phrenic nerve.

FIGURE 7.9.1C Labeled ultrasound image of the phrenic nerve.

FIGURE 7.9.1D Labeled cross-sectional anatomy of the phrenic nerve.
Abbreviations: SCM, sternocleidomastoid muscle; IVJ, internal jugular vein; ASM, anterior scalene muscle; CA, carotid artery; PhN, Phrenic nerve; Sup. Tr., Superior Trunk; Mid. Tr., Middle trunk; BP, Brachial Plexus.
Accessory Phrenic Nerve

FIGURE 7.9.2A Ultrasound image of the accessory phrenic nerve.

FIGURE 7.9.2B Labeled ultrasound image of the accessory phrenic nerve.

FIGURE 7.9.2C Labeled cross-sectional anatomy of the accessory phrenic nerve.
Abbreviations: SCM, sternocleidomastoid muscle; IVJ, internal jugular vein; ASM, anterior scalene muscle; CA, carotid artery; PhN, Phrenic nerve; Acc. PhN, Accessory Phrenic Nerve; VA, vertebral artery.
Ansa Cervicalis and Phrenic Nerve, Transverse View

FIGURE 7.10.1A Ultrasound transducer position to image the ansa cervicalis and phrenic nerve, transverse view.

7.10.1B Ultrasound image of the ansa cervicalis and phrenic nerve, transverse view.

FIGURE 7.10.1C Labeled ultrasound image of the ansa cervicalis and phrenic nerve, transverse view.
Abbreviations: SCM, sternocleidomastoid muscle; IVJ, internal jugular vein; ASM, anterior scalene muscle; CA, carotid artery.
Vagus Nerve

FIGURE 7.11.1A Ultrasound transducer position to image the vagus nerve.

FIGURE 7.11.1B Ultrasound image of the vagus nerve.

FIGURE 7.11.1C Labeled ultrasound image of the vagus nerve.

FIGURE 7.11.1D Labeled cross-sectional anatomy of the vagus nerve.
Abbreviations: SCM, sternocleidomastoid muscle; IVJ, internal jugular vein; ASM, anterior scalene muscle; CA, carotid artery; Th, Thyroid.
Stellate Ganglion

FIGURE 7.12.1A Ultrasound transducer position to image the stellate ganglion.

FIGURE 7.12.1B Ultrasound image of the stellate ganglion.

FIGURE 7.12.1C Labeled Ultrasound image of the stellate ganglion.

FIGURE 7.12.1D Labeled cross-sectional anatomy of the stellate ganglion.
Abbreviations: SCM, sternocleidomastoid muscle; IVJ, internal jugular vein; ASM, anterior scalene muscle; CA, carotid artery; VA, vertebral artery; SG, Stellate Ganglion; Th, Thyroid; VB, Vertebral body.
Vertebral Artery, Transverse View

FIGURE 7.13.1A Ultrasound transducer position to image the vertebral artery, transverse view.

FIGURE 7.13.1B Ultrasound image of the vertebral artery, transverse view.

FIGURE 7.13.1C Labeled ultrasound image of the vertebral artery and muscles, transverse view.
Abbreviations: SCM, sternocleidomastoid muscle; ASM, anterior scalene muscle; VA, vertebral artery; TP, transverse process.
Vertebral Artery, Longitudinal View

FIGURE 7.13.2A Ultrasound transducer position to image the vertebral artery, longitudinal view.

FIGURE 7.13.2B Ultrasound image of the vertebral artery, longitudinal view.

FIGURE 7.13.2C Labeled ultrasound image of the vertebral artery, longitudinal view.
Abbreviations: VA, vertebral artery; ScA, Subclavian Artery.
Supraclavicular Brachial Plexus

FIGURE 7.14.1A Ultrasound transducer position to image the supraclavicular brachial plexus.

FIGURE 7.14.1B Ultrasound image of the supraclavicular brachial plexus.

FIGURE 7.14.1C Labeled ultrasound image of the supraclavicular brachial plexus.

FIGURE 7.14.1D Labeled cross-sectional anatomy of the supraclavicular brachial plexus.
Abbreviations: BP, Brachial Plexus; ScA, Subclavian Artery.
Subclavian Artery, Dorsal Scapular Artery, and Brachial Plexus

FIGURE 7.14.2A Ultrasound transducer position to image the subclavian artery.

FIGURE 7.14.2B Ultrasound image of the subclavian artery and supraclavicular brachial plexus.

FIGURE 7.14.2C Labeled ultrasound image of the dorsal scapular artery and supraclavicular brachial plexus.

FIGURE 7.14.2D Labeled ultrasound image of the subclavian artery and dorsal scapular artery.
Abbreviations: BP, Brachial Plexus; ASM, Anterior Scalene Muscle; MSM, Middle Scalene Muscle; ScA, Subclavian Artery, DSA, Dorsal Scapular Artery.
Infraclavicular Brachial Plexus, Transverse View

FIGURE 7.15.1A Ultrasound transducer position to image the infraclavicular brachial plexus, transverse view.

FIGURE 7.15.1B Ultrasound image of the lateral and posterior cords of the brachial plexus, transverse view.

FIGURE 7.15.1C Labeled ultrasound image of the lateral and posterior cords of the brachial plexus, transverse view.

FIGURE 7.15.1D Labeled cross-sectional anatomy of the infraclavicular brachial plexus.
Abbreviations: PMaM, Pectoralis Major Muscle; PMiM, Pectoralis Minor Muscle; AA, Axillary Artery; AV, Axillary vein; PC, Posterior Cord; LC, Lateral Cord; MC, Medial Cord; Cl, Clavicle.
Infraclavicular Brachial Plexus Lateral and Posterior Cords, Longitudinal View

FIGURE 7.15.2A Ultrasound transducer position to image the infraclavicular brachial plexus lateral and posterior cords, longitudinal view.

FIGURE 7.15.2B Ultrasound image of the infraclavicular brachial plexus lateral and posterior cords, longitudinal view.

FIGURE 7.15.2C Labeled ultrasound image of the infraclavicular brachial plexus lateral and posterior cords, longitudinal view.
Abbreviations: PMaM, Pectoralis Major Muscle; PMiM, Pectoralis Minor Muscle; LC, Lateral Cord; PC, Posterior Cord.
Infraclavicular Brachial Plexus Medial Cord, Transverse View

FIGURE 7.15.3A Ultrasound transducer position to image the infraclavicular brachial plexus medial cord, transverse view.

FIGURE 7.15.3B Ultrasound image of the infraclavicular brachial plexus medial cord, transverse view.

FIGURE 7.15.3C Labeled ultrasound image of the infraclavicular brachial plexus medial cord, transverse view.
Abbreviations: PMaM, Pectoralis Major Muscle; PMiM, Pectoralis Minor Muscle; MC, Medial Cord; AA, Axillary Artery; AV, Axillary Vein.
Infraclavicular Brachial Plexus Medial Cord, Longitudinal View

FIGURE 7.15.4A Ultrasound transducer position to image the infraclavicular brachial plexus medial cord, longitudinal view.

FIGURE 7.15.4B Ultrasound image of the infraclavicular brachial plexus medial cord, longitudinal view.

FIGURE 7.15.4C Labeled ultrasound image of the infraclavicular brachial plexus medial cord, longitudinal view.
Abbreviations: PMaM, Pectoralis Major Muscle; PMiM, Pectoralis Minor Muscle; MC, Medial Cord.
Axillary Nerve

FIGURE 7.16.1A Ultrasound transducer position to image the axillary nerve.

FIGURE 7.16.1B Ultrasound image of the axillary nerve.

FIGURE 7.16.1C Labeled ultrasound image of the axillary nerve.

FIGURE 7.16.1D Labeled cross-sectional anatomy of the axillary nerve.
Abbreviations: AA, Axillary Artery; TMaM, Teres Major Muscle; AN, Axillary Nerve; CBM, Coracobrachialis Muscle; PCHA, Posterior Circumflex Humeral Artery.
Axilla: Median, Ulnar, Radial, and Musculocutaneous Nerves

FIGURE 7.17.1A Ultrasound transducer position to image the axilla: median, ulnar, radial, and musculocutaneous nerves.

FIGURE 7.17.1B Ultrasound image of the axilla: median, ulnar, radial, and musculocutaneous nerves.

FIGURE 7.17.1C Labeled ultrasound image of the axilla: median, ulnar, radial, and musculocutaneous nerves.

FIGURE 7.17.1D Labeled cross-sectional anatomy of the axilla: median, ulnar, radial, and musculocutaneous nerves.
Abbreviations: UN, Ulnary Nerve; MN, Median Nerve; RN, Radial Nerve; MCN, Musculocutaneous Nerve; AA, Axillary Nerve; CBM, Coracobrachialis Muscle; AV, Axillary Vein.
Axilla: Musculocutaneous Nerve

FIGURE 7.18.1A Ultrasound transducer position to image the axilla: musculocutaneous nerve.

FIGURE 7.18.1B Ultrasound image of the axilla: musculocutaneous nerve.

FIGURE 7.18.1C Labeled ultrasound image of the axilla: musculocutaneous nerve.
Abbreviations: MCN, Musculocutaneous Nerve; AA, Axillary Nerve; CBM, Coracobrachialis Muscle; AV.
Axilla: Ulnar Nerve

FIGURE 7.19.1A Ultrasound transducer position to image the ulnar nerve at the level of the axilla.

FIGURE 7.19.1B Ultrasound image of the ulnar nerve at the level of the axilla.

FIGURE 7.19.1C Labeled ultrasound image of the ulnar nerve.

FIGURE 7.19.1D
Abbreviations: AA, Axillary Nerve; UN, Ulnar Nerve.
Midhumerus: Posterior Antebrachial Cutaneous Nerve and Radial Nerve

FIGURE 7.20.1A Ultrasound transducer position to image the posterior antebrachial cutaneous and radial nerves.

FIGURE 7.20.1B Ultrasound image of the midhumerus: posterior antebrachial cutaneous nerve and radial nerve.

FIGURE 7.20.1C Labeled ultrasound image of the midhumerus: posterior antebrachial cutaneous nerve and radial nerve.

FIGURE 7.20.1D Labeled cross-sectional anatomy of the midhumerus: posterior antebrachial cutaneous nerve and radial nerve.
Abbreviations: PAbCN, Posterior Antebrachial Cutaneous Nerve; RN, Radial Nerve.
Ulnar Nerve Above the Elbow

FIGURE 7.21.1A Ultrasound transducer position to image the ulnar nerve above the elbow.

FIGURE 7.21.1B Ultrasound image of the ulnar nerve above the elbow.

FIGURE 7.21.1C Labeled ultrasound image of the ulnar nerve above the elbow.

FIGURE 7.21.1D Labeled cross-sectional anatomy of the ulnar nerve above the elbow.
Abbreviations: UN, Ulnar Nerve; SUCA, Superior Ulnar Collateral Artery.
Medial Antebrachial Cutaneous Nerve Above the Elbow

FIGURE 7.22.1A Ultrasound transducer position to image the medial antebrachial cutaneous nerve above the elbow.

FIGURE 7.22.1B Ultrasound image of the medial antebrachial cutaneous nerve above the elbow.

FIGURE 7.22.1C Labeled ultrasound image of the medial antebrachial cutaneous nerve above the elbow.

FIGURE 7.22.1D Labeled cross-sectional anatomy of the medial antebrachial cutaneous nerve above the elbow.
Abbreviations: BcV, Basilic Vein; PrTM, Pronator Teres Muscle; BM, Brachialis Muscle; MAbCN, Medial Antebrachial Cutaneous Nerve; MN, Median Nerve; BA, Brachial Artery.
Biceps Tendon, Median, and Lateral Antebrachial Cutaneous Nerve at the Elbow

FIGURE 7.23.1A Ultrasound transducer position to image the biceps tendon, median, and lateral antebrachial cutaneous nerve at the elbow.

FIGURE 7.23.1B Ultrasound image of the biceps tendon, median, and lateral antebrachial cutaneous nerve at the elbow.

FIGURE 7.23.1C Labeled ultrasound image of the biceps tendon, median, and lateral antebrachial cutaneous nerve at the elbow.

FIGURE 7.23.1D Labeled cross-sectional anatomy of the biceps tendon, median, and lateral antebrachial cutaneous nerve at the elbow.
Abbreviations: CV, Cephalic Vein; PrTM, Pronator Teres Muscle; BM, Brachialis Muscle; LAbCN, Lateral Antebrachial Cutaneous Nerve; MN, Median Nerve; BA, Brachial Artery; BrM, Brachioradialis Muscle.
Median Nerve at the Elbow

FIGURE 7.24.1A Ultrasound transducer position to image the median nerve at the elbow.

FIGURE 7.24.1B Ultrasound image of the median nerve at the elbow.

FIGURE 7.24.1C Labeled ultrasound image of the median nerve at the elbow.

FIGURE 7.24.1D Labeled cross-sectional anatomy of the median nerve at the elbow.
Abbreviations: MN, Median Nerve; BM, Brachialis Muscle; BA, Brachial Artery; PrTM, Pronator Teres Muscle; BrM, Brachioradialis Muscle.
Radial Nerve at the Midforearm

FIGURE 7.25.1A Ultrasound transducer position to image the radial nerve at the midforearm.

FIGURE 7.25.1B Ultrasound image of the radial nerve at the midforearm.

FIGURE 7.25.1C Labeled ultrasound image of the radial nerve at the midforearm.

FIGURE 7.25.1D Labeled cross-sectional anatomy of the radial nerve at the midforearm.
Abbreviations: RN, Radial Nerve; ECRLM, Extensor Carpi Radialis Longus Muscle; FCRM, Flexor Carpi Radialis Muscle; BrM, Brachioradialis Muscle; PrTM, Pronator Teres Muscle, CV, Cephalic Vein; RA, Radial Artery.
Median and Ulnar Nerve at the Midforearm

FIGURE 7.26.1A Ultrasound transducer position to image the median and ulnar nerve at the midforearm.

FIGURE 7.26.1B Ultrasound image of the median and ulnar nerve at the midforearm.

FIGURE 7.26.1C Labeled ultrasound image of the median and ulnar nerve at the midforearm.

FIGURE 7.26.1D Labeled cross-sectional anatomy of the median and ulnar nerve at the midforearm.
Abbreviations: MN, Median Nerve; UN, Ulnar Nerve; UA, Ulnar Artery; FDPM, Flexor Digitorum Profundus Muscle; FCUM, Flexor Carpi Ulnaris Muscle; FCRM, Flexor Carpi Radialis Muscle; PLM, Palmaris Longus Muscle.
Posterior Interosseous Nerve at the Midforearm

FIGURE 7.27.1A Ultrasound transducer position to image the posterior interosseous nerve at the Midforearm.

FIGURE 7.27.1B Ultrasound image of the posterior interosseous nerve at the Midforearm.

FIGURE 7.27.1C Labeled ultrasound image of the posterior interosseous nerve at the midhumerus.

FIGURE 7.27.1D Labeled cross-sectional anatomy of the posterior interosseous nerve at the Midforearm.
Abbreviations: EDM, Extensor Digitorum Muscle; ECUM, Extensor Carpi Ulnaris Muscle; Ant.IN, Anterior Interosseous Nerve; PIN, Posterior Interosseous Nerve.
Posterior Interosseous Nerve at the Wrist

FIGURE 7.28.1A Ultrasound transducer position to image the posterior interosseous nerve at the wrist.

FIGURE 7.28.1B Ultrasound image of the posterior interosseous nerve at the wrist.

FIGURE 7.28.1C Labeled ultrasound image of the posterior interosseous nerve at the wrist.

FIGURE 7.28.1D Labeled cross-sectional anatomy of the posterior interosseous nerve at the wrist.
Abbreviations: PIN, Posterior Interosseous Nerve; PIA, Posterior Interosseous Artery; EDT, Extensor Digitorum Tendon.
Radial Nerve and Palmar Cutaneous Branches at the Wrist

FIGURE 7.29.1A Ultrasound transducer position to image the radial nerve and palmar cutaneous branches at the wrist.

FIGURE 7.29.1B Ultrasound image of the radial nerve palmar cutaneous branches at the wrist.

FIGURE 7.29.1C Labeled ultrasound image of the radial nerve and palmar cutaneous branches at the wrist.

FIGURE 7.29.1D Labeled cross-sectional anatomy of the radial nerve palmar cutaneous branches at the wrist.
Abbreviations: Cut. Br., Cutaneous Branche; RN, Radial Nerve; RA, Radial Artery; RV, Radial Vein.
Radial Nerve

FIGURE 7.30.1A Ultrasound transducer position to image the radial nerve.

FIGURE 7.30.1B Ultrasound image of the radial nerve.

FIGURE 7.30.1C Labeled ultrasound image of the radial nerve.

FIGURE 7.30.1D Labeled cross-sectional anatomy of the radial nerve.
Abbreviations: RA, Radial Artery; PQM, Pronator Quadratus Muscle; FPLT, Flexor Pollicus Longus Tendon; FCRT, Flexor Carpi Radialis Tendon; APLT, Abductor Pollicis Longus Tendon.
Median Nerve at the Wrist

FIGURE 7.31.1A Ultrasound transducer position to image the median nerve at the wrist.

FIGURE 7.31.1B Ultrasound image of the median nerve at the wrist.

FIGURE 7.31.1C Labeled ultrasound image of the median nerve at the wrist.

FIGURE 7.31.1D Labeled cross-sectional anatomy of the median nerve at the wrist.
Abbreviations: RA, Radial Artery; FCRT, Flexor Carpi Radialis Tendon; PLT, Palmaris Longus Tendon; FPLT, Flexor Pollicis Longus Tendon; MN, Median Nerve; PQM, Pronator Quatratus Muscle.
Ulnar Nerve at the Wrist

FIGURE 7.32.1A Ultrasound transducer position to image the ulnar nerve at the wrist.

FIGURE 7.32.1B Ultrasound image of the ulnar nerve at the wrist.

FIGURE 7.32.1C Labeled ultrasound image of the ulnar nerve at the wrist.

FIGURE 7.32.1D Labeled cross-sectional anatomy of the ulnar nerve at the wrist.
Abbreviations: UA, Ulnar Artery; UN, Ulnar Nerve; FCUM, Flexor Carpi Ulnaris Muscle; FDPM, Flexor Digitorum Profundus Muscle.
Posterior Interosseous Nerve at the Wrist

FIGURE 7.33.1A Ultrasound transducer position to image the posterior interosseous nerve at the wrist.

FIGURE 7.33.1B Ultrasound image of the posterior interosseous nerve at the wrist.

FIGURE 7.33.1C Labeled ultrasound image of the posterior interosseous nerve at the wrist.

FIGURE 7.33.1D Labeled cross-sectional anatomy of the posterior interosseous nerve at the wrist.
Abbreviations: EPLT, Extensor Pollicis Longus Tendon; EDT, Extensor Digitorum Tendon; PIN, Posterior Interosseous Nerve; PIA, Posterior Interosseous Artery.
Iliohypogastric and Ilioinguinal Nerves at the Abdominal Wall

FIGURE 7.34.1A Ultrasound transducer position to image the iliohypogastric and ilioinguinal nerves at the abdominal wall.

FIGURE 7.34.1B Ultrasound image of the iliohypogastric and ilioinguinal nerves at the abdominal wall.

FIGURE 7.34.1C Labeled ultrasound image of the iliohypogastric and ilioinguinal nerves at the abdominal wall.
Abbreviations: EOM, External Oblique Muscle; IOM, Internal Oblique Muscle; TAM, Transverse Abdominis Muscle; IiN, Ilioinguinal Nerve; IhN, Iliohypogastric Nerve; ASIS, Anterior Superior Iliace Spine.
Genital Branch of the Genitofemoral Nerve at the Abdominal Wall

FIGURE 7.35.1A Ultrasound transducer position to image the genital branch of the genitofemoral nerve at the abdominal wall.

FIGURE 7.35.1B Ultrasound image of the genital branch of the genitofemoral nerve at the abdominal wall.

FIGURE 7.35.1C Labeled ultrasound image of the genital branch of the genitofemoral nerve at the abdominal wall.
Abbreviations: IOM, Internal Oblique Muscle; RAM, Rectus Abdominis Muscle; PuT, Pubic Tubercle.
Femoral Branch of the Genitofemoral Nerve and Rectus Abdominis Nerve

FIGURE 7.36.1A Ultrasound transducer position to image the femoral branch of the genitofemoral nerve and the rectus abdominis nerve.

FIGURE 7.36.1B Ultrasound image of the femoral branch of the genitofemoral nerve and the rectus abdominis nerve.

FIGURE 7.36.1C Labeled ultrasound image of the femoral branch of the genitofemoral nerve and the rectus abdominis nerve.
Abbreviations: RAN, Rectus Abdominis Nerve; RAM, Rectus Abdominis Muscle; TF, Transversalis Fascia; Ext. IA, External Iliac Artery; Int. IA, Internal Iliac Artery.
Paramedian Epidural Space at the Midthoracic Spine

FIGURE 7.37.1A Ultrasound transducer position to image the paramedian epidural space at the midthoracic spine.

FIGURE 7.37.1B Ultrasound image of the paramedian epidural space at the midthoracic spine.

FIGURE 7.37.1C Labeled ultrasound image of the paramedian epidural space at the midthoracic spine.
Paramedian Epidural Space at the Lumbar Spine, Longitudinal View

FIGURE 7.38.1A Ultrasound transducer position to image the paramedian epidural space at the lumbar spine, longitudinal view.

FIGURE 7.38.1B Ultrasound image of the paramedian epidural space at the lumbar spine, longitudinal view.

FIGURE 7.38.1C Labeled ultrasound image of the paramedian epidural space at the lumbar spine, longitudinal view.
Abbreviations: Post. Long. Lig., Posterior Longitudinal Ligament; Lig. Flavum, Ligamentum Flavum; Ant. Dura Mater, Anterior Dura Mater; Post. Dura Mater, Posterior Dura Mater.
Paravertebral Space, Midthoracic Spine, Transverse View

FIGURE 7.39.1A Ultrasound transducer position to image the paravertebral space, midthoracic spine, transverse view.

FIGURE 7.39.1B Ultrasound image of the paravertebral space, midthoracic spine, transverse view.

FIGURE 7.39.1C Labeled ultrasound image of the paravertebral space, midthoracic spine, transverse view.
Abbreviations: Lat. Costotrans. Lig., Lateral Costotransverse Ligament; TP, Transverse Process; Pv Space, Paravertebral Space.
Lumbar Plexus, Transverse View

FIGURE 7.40.1A Ultrasound transducer position to image the lumbar plexus, transverse view.

FIGURE 7.40.1B Ultrasound image of the lumbar plexus, transverse view.

7.40.1C Labeled ultrasound image of the lumbar plexus, transverse view.

FIGURE 7.40.1D Labeled cross-sectional anatomy of the lumbar plexus, transverse view.
Abbreviations: SP, Spinous process; Map, Mammillary Process; ESM, Erector Spinae Muscle; QLM, Quadratus Lumborum Muscle; LP, Lumbar Plexus; PsMM, Psoas Major Muscle; VB, Vertebral Body; MfM, Multifidus Muscle; LDM, Longissimus Dorsi Muscle.
Facet Joints at the Lumbar Level, Transverse View

FIGURE 7.41.1A Ultrasound transducer position to image the facet joints at the lumbar level, transverse view.

FIGURE 7.41.1B Ultrasound image of the facet joints at the lumbar level, transverse view.

FIGURE 7.41.1C Labeled ultrasound image of the facet joints at the lumbar level transverse view.
Abbreviations: TP, Transverse Process; PsMM, Psoas Major Muscle.
Lumbar Plexus, Lateral Transverse View

FIGURE 7.42.1A Ultrasound transducer position to image the lumbar plexus, lateral transverse view.

FIGURE 7.42.1B Ultrasound image of the lumbar plexus, lateral transverse view.

FIGURE 7.42.1C Labeled ultrasound image of the lumbar plexus via the lateral approach, transverse view.
Abbreviations: AcP, Accessory Process; LP, Lumbar Plexus; B, Vertebral Body; PsMM, Psoas Major Muscle; LDM, Latissumus Dorsi Muscle.
Lumbar Plexus, Lateral Longitudinal View

FIGURE 7.43.1A Ultrasound transducer position to image the lumbar plexus, lateral longitudinal view.

FIGURE 7.43.1B Ultrasound image of the lumbar plexus, lateral longitudinal view.

FIGURE 7.43.1C Labeled ultrasound image of the lumbar plexus via the lateral approach, longitudinal view.
Abbreviations: VB, Vertebral Body; IvD, Intervertebral Disc; Ant. Lig., Anterior Ligament; LP, Lumbar Plexus.
Lumbar Plexus, Posterior Oblique View

FIGURE 7.44.1A Ultrasound transducer position to image the lumbar plexus, posterior oblique view.

FIGURE 7.44.1B Ultrasound image of the lumbar plexus, posterior oblique view.

FIGURE 7.44.1C Labeled ultrasound image of the lumbar plexus via the posterior, posterior, oblique view.

FIGURE 7.44.1D Labeled ultrasound image of the lumbar plexus, posterior oblique view with color flow Doppler.
Abbreviations: TP, Transverse Process; VB, Vertebral Body; PsMM, Psoas Major Muscle; LP, Lumbar Plexus.
Anatomy of the Lumbar Spine, Posterior Longitudinal View

FIGURE 7.45.1A Anatomy of the lumbar spine, posterior longitudinal view.

FIGURE 7.45.1B Anatomy of the lumbar spine, posterior longitudinal view.

FIGURE 7.45.1C Labeled anatomy of the lumbar spine, posterior longitudinal view.
Abbreviations: TP, Transverse Process; LP, Lumbar Plexus; PsMM, Psoas Major Muscle.
Sacral Plexus, Posterior Transverse View

FIGURE 7.46.1A Ultrasound transducer position to image the sacral plexus, posterior transverse view.

FIGURE 7.46.1B Ultrasound image of the sacral plexus, posterior transverse view.

FIGURE 7.46.1C Labeled ultrasound image of the sacral plexus, posterior transverse view.

FIGURE 7.46.1D Labeled cross-sectional anatomy of the sacral plexus, posterior transverse view.
Abbreviations: Sup. GlA, Superior Gluteal Artery; Inf. GlA, Inferior Gluteal Artery; PuN, Pudendal Nerve; ScN, Sciatic Nerve.
Sciatic Nerve, Anterior Longitudinal View

FIGURE 7.47.1A Ultrasound transducer position to image the sciatic nerve, anterior longitudinal view.

FIGURE 7.47.1B Ultrasound image of the sciatic nerve, anterior longitudinal view.

FIGURE 7.47.1C Labeled ultrasound image of the sciatic nerve, anterior longitudinal view.
Abbreviation: SCN, Sciatic Nerve.
Sciatic Nerve, Anterior Transverse View

FIGURE 7.47.2A Ultrasound transducer position to image the sciatic nerve, anterior transverse view.

FIGURE 7.47.2B Ultrasound image of the sciatic nerve, anterior transverse view.

FIGURE 7.47.2C Labeled ultrasound image of the sciatic nerve, anterior transverse view.

FIGURE 7.47.2D Labeled cross-sectional anatomy of the sciatic nerve, anterior transverse view.
Abbreviations: FA, Femoral Artery; ALM, Adductor Longus Muscle; ABM, Adductor Brevis Muscle; AMM, Adductor Magnus Muscle; ScN, Sciatic Nerve; StM, Semitendinosus Muscle; SmM, Semimembranosus Muscle.
Sciatic Nerve, Lateral Transverse View

FIGURE 7.47.3A Ultrasound transducer position to image the sciatic nerve, lateral transverse view.

FIGURE 7.47.3B Ultrasound image of the sciatic nerve, lateral transverse view.

FIGURE 7.47.3C Labeled ultrasound image of the sciatic nerve, lateral transverse view.

FIGURE 7.47.3D Labeled cross-sectional anatomy of the sciatic nerve, lateral transverse view.
Abbreviations: ScN, Sciatic Nerve; GMM, Gluteus Maximus; Vast. Lat., Vastus Lateralis Muscle; BFM, Biceps femoris Muscle; SmM, Semimembranosus Muscle; StM, Semitendinosus Muscle.
Sciatic Nerve at the Popliteal Fossa, Posterior View

FIGURE 7.48.1A Ultrasound transducer position to image the sciatic nerve at the popliteal fossa, posterior view.

FIGURE 7.48.1B Ultrasound image of the sciatic nerve at the popliteal fossa, posterior view.

FIGURE 7.48.1C Labeled ultrasound image of the sciatic nerve at the popliteal fossa, posterior view.

FIGURE 7.48.1D Labeled cross-sectional anatomy of the sciatic nerve at the popliteal fossa, posterior view.
Abbreviations: StM, Semitendinosus Muscle; SmM, Semimembranosus Muscle; BFM, Biceps Femoris Muscle; ScN, Sciatic Nerve; PA, Popliteal Artery.
Anatomy of the Sciatic Nerve at the Distal Popliteal Fossa

FIGURE 7.48.2A Ultrasound transducer position to image the sciatic nerve bifurcation at the popliteal fossa, posterior view.

FIGURE 7.48.2B Ultrasound image of the sciatic nerve bifurcation at the popliteal fossa, posterior view.

FIGURE 7.48.2C Labeled ultrasound image of the sciatic nerve bifurcation at the popliteal fossa, posterior view.

FIGURE 7.48.2D Labeled cross-sectional anatomy of the sciatic nerve bifurcation at the popliteal fossa, posterior view.
Abbreviations: StM, Semitendinosus Muscle; SmM, Semimembranosus Muscle; BFM, Biceps Femoris Muscle; CPN, Common Peroneal Nerve; TN, Tibial Nerve; PV, Popliteal Vein; PA, Popliteal Artery.
Femoral Nerve, Transverse View

FIGURE 7.49.1A Ultrasound transducer position to image the femoral nerve, transverse view.

FIGURE 7.49.1B Ultrasound image of the femoral nerve, transverse view.

FIGURE 7.49.1C Labeled ultrasound image of the femoral nerve, transverse view.

FIGURE 7.49.1D Labeled cross-sectional anatomy of the femoral nerve at the level between inguinal ligament and femoral crease.
Abbreviations: FA, Femoral Artery; PFA, Profunda Femoris Artery; FN, Femoral Nerve; FV, Femoral Vein.
Obturator Nerve, Transverse View

FIGURE 7.50.1A Ultrasound transducer position to image the obturator nerve, transverse view.

FIGURE 7.50.1B Ultrasound image of the obturator nerve, transverse view.

FIGURE 7.50.1C Labeled ultrasound image of the obturator nerve, transverse view.

FIGURE 7.52.1D Labeled cross-sectional anatomy of the obturator nerve, transverse view.
Abbreviations: FA, Femoral Artery; FV, Femoral Vein; ALM, Adductor Longus Muscle; ABM, Adductor Brevis Muscle; AMM, Adductor Magnus Muscle; GsM, Gracilis Muscle; Ant. Br., Anterior Branch of Obturator Nerve; Post. Br., Posterior Branch of Obturator Nerve, Pectineus, Pectineus Muscle.
Pudendal Nerve and Pudendal (Alcock’s) Canal

FIGURE 7.51.1A Ultrasound transducer position to image the pudendal nerve and pudendal canal.

FIGURE 7.51.1B Ultrasound image of the pudendal nerve, medial approach, transverse view.

FIGURE 7.51.1C Labeled ultrasound image of the pudendal nerve, medial approach, transverse view.
Abbreviations: AMM, Adductor Magnus Muscle; ALM, Adductor Longus Muscle; GsM, Gracilis Muscle; IPA, Internal Pudendal Artery; PN, Pudendal Nerve.
Lateral Femoral Cutaneous Nerve, Transverse View

FIGURE 7.52.1A Ultrasound transducer position to image the lateral femoral cutaneous nerve, transverse view.

FIGURE 7.52.1B Ultrasound image of the lateral femoral cutaneous nerve, transverse view.

FIGURE 7.52.1C Labeled ultrasound image of the lateral femoral cutaneous nerve, transverse view.

FIGURE 7.52.1D Labeled cross-sectional anatomy of the lateral femoral cutaneous nerve, transverse view.
Abbreviations: LFCN, Lateral Femoral Cutaneous Nerve; SaM, Sartorius Muscle; IpM, Iliopsoas Muscle; TFLM, Tensor Fasciae Latae Muscle; Glu. Max. M., Gluteus Maximus Muscle.
Saphenous Nerve at Mid-thigh

FIGURE 7.53.1A Ultrasound transducer position to image the saphenous nerve at mid-thigh.

FIGURE 7.53.1B Ultrasound image of the saphenous nerve at mid-thigh.

FIGURE 7.53.1C Labeled ultrasound image of the saphenous nerve at mid-thigh.

FIGURE 7.53.1D Labeled cross-sectional anatomy of the saphenous nerve at mid-thigh.
Abbreviations: SaM, Sartorius Muscle; SaN, Sartorius Nerve; FA, Femoral Artery; Motor Br. (FN), Motor Branch of Femoral Nerve.
Saphenous Nerve at Distal Thigh

FIGURE 7.53.2A Ultrasound transducer position to image the saphenous nerve at distal thigh.

FIGURE 7.53.2B Ultrasound image of the saphenous nerve at distal thigh.

FIGURE 7.53.2C Labeled Ultrasound image of the saphenous nerve at distal thigh.

FIGURE 7.53.2D Labeled cross-sectional anatomy of the saphenous nerve at distal thigh.
Abbreviations: SaN, Sartorius Nerve; DGA, Descending Genicular Artery; SaM, Sartorius Muscle; GsM, Gracilis Muscle.
Tibial Nerve at the Level of the Calf

FIGURE 7.54.1A Ultrasound transducer position to image the tibial nerve at the level of the calf.

FIGURE 7.54.1B Ultrasound image of the tibial nerve at the level of the calf.

FIGURE 7.54.1C Labeled ultrasound image of the tibial nerve at the level of the calf.

FIGURE 7.54.1D Labeled cross-sectional anatomy of the tibial nerve at the level of the calf.
Abbreviations: TN, Tibial Nerve; PTA, Posterior Tibial Artery.
Saphenous Nerve Below the Knee

FIGURE 7.55.1A Ultrasound transducer position to image the saphenous nerve below the knee.

FIGURE 7.55.1B Ultrasound image of the saphenous nerve below the knee.

FIGURE 7.55.1C Labeled ultrasound image of the saphenous nerve below the knee.

FIGURE 7.55.1D Labeled cross-sectional anatomy of the saphenous nerve below the knee.
Abbreviations: SaV, Great Saphenous Vein and its contributories; SaN, Saphenous Nerve.
Common Peroneal Nerve at the Fibular Neck

FIGURE 7.56.1A Ultrasound transducer position to image the common peroneal nerve at the fibular neck.

FIGURE 7.56.1B Ultrasound image of the common peroneal nerve at the fibular neck.

FIGURE 7.56.1C Labeled ultrasound image of the common peroneal nerve at the fibular neck.

FIGURE 7.56.1D Labeled cross-sectional anatomy of the common peroneal nerve at the fibular neck.
Abbreviations: CPN, Common Peroneal Nerve; PLM, Peroneus Longus Muscle.
Peroneal Nerve, Deep and Superficial Branches

FIGURE 7.57.1A Ultrasound transducer position to image the peroneal nerve, deep and superficial branches.

FIGURE 7.57.1B Ultrasound image of the peroneal nerve, deep and superficial branches.

FIGURE 7.57.1C Labeled ultrasound image of the peroneal nerve, deep and superficial branches.

FIGURE 7.57.1D Labeled cross-sectional anatomy of the peroneal nerve, deep and superficial branches.
Abbreviations: PBM, Peroneus Brevis Muscle; EDL, Extensor Digitorum Longus; SPN, Superficial Peroneal Nerve; DPN, Deep Peroneal Nerve; ATA, Anterior Tibial Artery.
Peroneal Nerve, Deep and Superficial Branches at the Level of the Ankle

FIGURE 7.58.1A Ultrasound transducer position to image the peroneal nerve, deep and superficial branches at the level of the ankle.

FIGURE 7.58.1B Ultrasound image of the peroneal nerve, deep and superficial branches at the level of the ankle.

FIGURE 7.58.1C Labeled ultrasound image of the peroneal nerve, deep and superficial branches at the level of the ankle.

FIGURE 7.58.1D Labeled cross-sectional anatomy of the peroneal nerve, deep and superficial branches at the level of the ankle.
Abbreviations: PBM, Peroneus Brevis Muscle; EDL, Extensor Digitorum Longus; SPN, Superficial Peroneal Nerve; DPN, Deep Peroneal Nerve; ATA, Anterior Tibial Artery.
Posterior Tibial Nerve at the Ankle, Medial Aspect

FIGURE 7.59.1A Ultrasound transducer position to image the posterior tibial nerve at the ankle, medial aspect.

FIGURE 7.59.1B Ultrasound image of the posterior tibial nerve at the ankle, medial aspect.

FIGURE 7.59.1C Labeled ultrasound image of the posterior tibial nerve at the ankle, medial aspect.

FIGURE 7.59.1D Labeled cross-sectional anatomy of the peroneal nerve, deep and superficial branches at the level of the ankle.
Abbreviations: PTN, Posterior Tibial Nerve; PTA, Posterior Tibial Artery; PTV, Posterior Tibial Vein; Med. Mall., Medial Malleolus.
Saphenous Nerve at the Ankle

FIGURE 7.60.1A Ultrasound transducer position to image the saphenous nerve at the ankle.

FIGURE 7.60.1B Ultrasound image of the saphenous nerve at the ankle.

FIGURE 7.60.1C Labeled ultrasound image of the saphenous nerve at the ankle.

FIGURE 7.60.1D Labeled cross-sectional anatomy of the saphenous nerve at the ankle.
Abbreviations: SaN, Saphenous Nerve; Med. Br. (SaN), Medial Branch of Saphenous Nerve; SaV, Saphenous Vein; Med. Mall., Medial Malleolus.
Superficial Peroneal Nerve at the Ankle

FIGURE 7.61.1A Ultrasound transducer position to image the superficial peroneal nerve at the ankle.

FIGURE 7.61.1B Ultrasound image of the superficial peroneal nerve at the ankle.

FIGURE 7.61.1C Labeled ultrasound image of the superficial peroneal nerve at the ankle.

FIGURE 7. 61.1D Labeled cross-sectional anatomy of the superficial peroneal nerve at the ankle.
Abbreviations: SPN, Superficial Peroneal Nerve; PTM, Peroneus Tertius Muscle.
Deep Peroneal Nerve at the Ankle

FIGURE 7.62.1A Ultrasound transducer position to image the deep peroneal nerve at the ankle.

FIGURE 7.62.1B Ultrasound image of the deep peroneal nerve at the ankle.

FIGURE 7.62.1C Labeled ultrasound image of the deep peroneal nerve at the ankle.

FIGURE 7.62.1D Labeled cross-sectional anatomy of the deep peroneal nerve at the ankle.
Abbreviations: EHL, Extensor Hallucis Longus; EDL, Extensor Digitorum Longus; DPN, Deep Peroneal Nerve; ATA, Anterior Tibial Artery.
Sural Nerve at the Ankle

FIGURE 7.63.1A Ultrasound transducer position to image the sural nerve at the ankle.

FIGURE 7.63.1B Ultrasound image of the sural nerve at the ankle.

FIGURE 7.63.1C Labeled ultrasound image of the sural nerve at the ankle.

FIGURE 7.63.1D Labeled cross-sectional anatomy of the sural nerve at the ankle.
Abbreviations: SuN, Sural nerve; SSV, Small Saphenous Vein; SoM, Soleus Muscle; Lat. Mall., Lateral Malleolus.