
Figure 1.21 CMV esophagitis. This example of acute esophagitis shows prominent ulceration, mixed inflammation, and reactive endothelial and stromal cells. A CMV immunostain confirmed a diagnosis of CMV esophagitis.
Acute esophagitis describes an injury pattern that includes intraepithelial neutrophils, erosions, and/or ulcerations (Fig. 1.21). This pattern of injury is entirely nonspecific, but is most commonly caused by gastroesophageal reflux disease (GERD), infections, and medications. Malignancy, amyloidosis, radiation injury, and vasculitis are also potential causes of acute esophagitis, particularly if erosions and ulcerations are present. While findings in ulcer debris are easy to overlook since ulcers have a “busy” visual appearance, the cause of the ulcer can occasionally be identified by careful inspection.
CHECKLIST: Etiologic Considerations for the Acute Esophagitis Pattern
Gastroesophageal Reflux Disease
Infections
Medications
Other

Figure 1.22 Erosion. The surface epithelium is eroded and accompanied by fibroinflammatory debris (bracket). By definition, an erosion is confined to the mucosa (arrowheads highlight the muscularis mucosae). Ulcerations, in contrast to erosions, extend through the mucosa and involve at least the submucosa.

Figure 1.23 Erosion versus ulceration. This resection specimen illustrates the compartments of the esophageal wall. Note that erosions are limited to the mucosa (epithelium, lamina propria, and muscularis mucosae), while ulcerations extend through the mucosa into at least the submucosa.
PEARLS & PITFALLS
The distinction between erosion and ulceration occasionally presents a point of confusion. Erosions are denudations limited to the mucosa (epithelium, lamina propria, and muscularis mucosae). Characteristically erosions are accompanied by a rind of fibrin and inflammatory debris, allowing distinction of a true erosion from an artifactual epithelial denudation that occurs with aggressive tissue handling. In contrast, ulcerations extend through and beyond the muscularis mucosae and involve at least the submucosa (Figs. 1.22 and 1.23).
GASTROESOPHAGEAL REFLUX DISEASE (GERD)
GERD is a common cause of inflammation of the distal esophagus epithelium, caused by reflux of the acidic gastric contents into the tubular esophagus, discussed in detail in GERD subsection, Lymphocytic Pattern, this chapter. Histologically, it is comprised by a constellation of features, including dilatation of intercellular spaces, basal hyperplasia, elongation of the vascular papillae, intraepithelial eosinophils, vascular lakes, increased intraepithelial T lymphocytes, and balloon cells (epithelial cells with abundant pale cytoplasm). Of these features, dilation of intercellular spaces was most consistently reported, seen in 41% to 100% of patients with GERD and 0% to 30% of control patients.1 Papillary elongation is also a prominent finding, seen in up to 85% of those with GERD and 20% of control patients. GERD can further be stratified into three categories to more accurately describe the degree of pathology: Mild (subtle findings, including rare intraepithelial eosinophils), moderate (conspicuous findings), or marked GERD (striking findings) (Figs. 1.24–1.32). GERD is important to recognize owing to its association with strictures, Barrett mucosa, and malignancy. At this time there are no official consensus recommendations on biopsy protocol for GERD uncomplicated by Barrett esophagus or eosinophilic esophagitis (EoE). Treatment typically includes lifestyle modification and proton-pump inhibitors, with surgical procedures reserved for severe, refractory cases.
KEY FEATURES OF GERD (some, not all, of the following features are required):
• Dilatation of intercellular spaces
• Basal hyperplasia, >15% of epithelial thickness
• Elongation of the vascular papillae, top half of epithelium thickness
• Intraepithelial eosinophils
• Vascular lakes
• Increased intraepithelial T lymphocytes (squiggle cells)
• Balloon cells (epithelial cells with abundant pale cytoplasm)

Figure 1.24 Balloon cells (arrowheads). Balloon cells are seen throughout this biopsy as large squamous cells with abundant pale eosinophilic/smudgy cytoplasm.

Figure 1.25 Balloon cells. This example shows the balloon cells’ smudgy cytoplasm is similar to frosted glass.

Figure 1.26 Balloon cells. Higher power of previous figure.

Figure 1.27 Mild GERD. The descriptor “mild” can be used in GERD cases with rare intraepithelial eosinophils (arrowhead). Also depicted are basal hyperplasia and vascular papillae elongation.

Figure 1.28 Mild GERD. In this example, a single degranulated intraepithelial eosinophil is identified (arrowhead) along with mild basal hyperplasia.

Figure 1.29 Moderate GERD refers to more conspicuous GERD histologic changes. This case shows more readily identifiable intraepithelial eosinophils (no arrowhead is needed to appreciate the scattered intraepithelial eosinophils). Also note the basal hyperplasia&emdash;the basal 12 layers are expanded from the 1 to 2 cell thickness expected in a normal esophagus.

Figure 1.30 Moderate GERD. The easily identified intraepithelial eosinophils, basal hyperplasia, and elongation of vascular papillae meet the criteria for GERD. However, the findings are nonspecific and in the absence of clinical information, eosinophilic diseases of the esophagus should be considered.

Figure 1.31 Marked GERD shows striking histologic changes, easily appreciated at low power, as in this case. This epithelium is “too blue” due to the prominent basal hyperplasia. In addition, the vascular papillae are approaching the midpoint of the thickness (papillae should normally be confined to the lower third of the epithelial thickness). Eosinophils are abundant. Amyloidosis is also seen (arrowhead).

Figure 1.32 Marked GERD.
FAQ: Could the findings in Figure 1.32 represent eosinophilic esophagitis (EoE) instead of marked GERD?
Answer: Absolutely. It is clinically important to distinguish EoE from GERD because of differing etiologic specific therapies. In general, features favoring EoE include superficial eosinophilic microabscesses, eosinophil counts greater than 50/HPF, and basal hyperplasia greater than 50%. Since an unmapped biopsy of EoE can be histologically indistinguishable from GERD, clinicopathologic correlation and mapping of tandem proximal and distal esophageal biopsies are necessary to more definitively distinguish EoE from GERD. See also Eosinophilic pattern, this chapter.
INFECTIONS
Candida Esophagitis
Candida esophagitis appears endoscopically as scattered yellow plaques, patches, exudates, and ulcerations (Figs. 1.33–1.34). These endoscopic appearances can overlap with those of glycogenic acanthosis, esophageal leukoplakia/epidermoid metaplasia, lichen planus/“lichenoid” pattern, making correlation with biopsy findings essential to arrive at the correct diagnosis. Brushing samples sent to the microbiology or cytology laboratories may be more sensitive than biopsies alone.2,3 A history of HIV/AIDS is an important red flag to this diagnosis. In one study of 110 patients with HIV, 51.8% of patients were found to have candidiasis.3 The plaques histologically correlate with desquamated debris, which can coalesce to form extensive exudates and/or ulcerations in severe cases (Fig. 1.34).4 Histologically, acute inflammation in the squamous epithelium and hyperkeratosis are red flags and prompt a thorough high-power examination for the pseudohyphae forms characteristic of candidiasis (Figs. 1.35 and 1.36). Importantly, a complete absence of inflammation can be seen in immunosuppressed patients. A low threshold for ordering special stains such as PAS/D or Grocott methenamine-silver stain (GMS) is advised (Fig. 1.37). See also Parakeratotic pattern, this chapter.

Figure 1.33 Candida esophagitis often appears as scattered yellow plaques on endoscopy.

Figure 1.34 Candida esophagitis. In severe cases of candida esophagitis, the plaques coalesce to form confluent exudates and ulceration, as in this case.

Figure 1.35 Candida esophagitis. This biopsy is “too blue” because of marked inflammation and reactive squamous epithelium. Acute inflammation in the esophagus is often caused by GERD, but should also serve as a red flag to search carefully for Candida and viral cytopathic effect.

Figure 1.36 Candida esophagitis. Indeed, the diagnostic fungal forms were identified with a PAS/AB (magenta, circle). They would appear black on GMS.
FAQ: Do budding yeast signify Candida esophagitis?
Answer: No. Budding yeast often represent oral contamination. Pseudohyphal forms, in contrast, signify tissue invasion and are required for the diagnosis of Candida esophagitis.

Figure 1.37 Candida esophagitis (GMS). True hyphae are defined by the presence of septa, an uncommon finding in Candida. Pseudohyphae, in contrast, are composed of budding yeast-like forms (blastoconidia) joined end to end. The constrictions formed by the buds give the appearance of septations (pseudohyphae) (arrow).
FAQ: How are PAS, PAS/AB, or GMS special stains utilized in the evaluation of pseudohyphae?
Answer: PAS, PAS/AB, and GMS special stains highlight fungal forms and are advised in the following cases, assuming the fungal forms are not present on H&E:
• Clinical impression of candidiasis
• Striking acute inflammation
• Prominent parakeratosis
• Refractory GERD or EoE
Cytomegalovirus (CMV)
KEY FEATURES of CMV Esophagitis:
• Endoscopic findings are typically linear, serpiginous ulcerations with a propensity for the distal esophagus (Fig. 1.38)
• CMV viral cytopathic effect can be seen in endothelial cells, columnar epithelium, and stromal cells; biopsy of the ulcer base is critical for complete evaluation
• CMV viral cytopathic effect includes nuclear and cellular enlargement, smudged chromatin, and nuclear (“owl’s eye”) and/or cytoplasmic inclusions
• The inflammatory backdrop shows a prominence of mononuclear inflammation (Figs. 1.39–1.44)

Figure 1.38 CMV esophagitis. Discrete erosive changes and ulcerations are seen in the distal esophagus. These ulcers sometimes coalesce to broadly involve large regions of the esophagus, although small solitary ulcers are most commonly found.

Figure 1.39 CMV esophagitis. CMV viral cytopathic effect is identified with nuclear and cytoplasmic viral inclusions (arrowhead) and is sufficient for the diagnosis of CMV esophagitis: A CMV immunostain was not required for this diagnosis.

Figure 1.40 CMV esophagitis. Higher power of previous figure. Note the characteristic smudgy nuclear and coarse cytoplasmic inclusions with a deep magenta tinctorial quality.

Figure 1.41 CMV esophagitis (CMV immunostain). Although the H&E impression was diagnostic of CMV infection, less obvious cases often require a CMV immunostain. Note the nuclear reactivity in a large (“megalic”) cell.

Figure 1.42 CMV esophagitis (arrowhead). The affected cells are “megalic” or enlarged at low power and typically found in the endothelial or stromal cells at the ulcer base. The background shows prominent mixed inflammation with reactive endothelial cells, important red flags to the diagnosis.

Figure 1.43 CMV esophagitis. In this example, the indicated cell (arrowhead) is a markedly enlarged endothelial cell with prominent glassy and smudged cytoplasm. The features are highly suspicious for CMV infection but the nuclear detail is unclear and the characteristic deep magenta inclusion is not seen in this plane.

Figure 1.44 CMV esophagitis (CMV immunostain). Although CMV immunostains can be tricky to evaluate when there is high background or a suboptimal specimen, look for nuclear reactivity in “megalic” cells, as seen in this case.
Herpes simplex virus (HSV)
KEY FEATURES of HSV Esophagitis:
• Endoscopic findings include well-circumscribed ulcerations with raised yellow edges (“volcano ulcers”) which can be seen in any region of the esophagus (Fig. 1.45)
• HSV infects squamous epithelium; biopsy of the edge of the ulcer is recommended to ensure squamous epithelium is present5
• The classic nuclear features include molding of nuclear contours, margination of chromatin, and multinucleation (referred to as the “three M’s”) (Figs. 1.46–1.55)
• Cowdry A: Intranuclear inclusions with a clear halo
• Cowdry B: Intranuclear inclusions lacking a clear halo
PEARLS & PITFALLS
In Figure 1.49, the subtle HSV diagnosis could be easily overlooked if the “rule-out EoE” request narrowed the evaluation to counting eosinophils only, rather than taking a more open, systematic approach to the tissue. This case highlights the importance of always looking for the second and less obvious diagnosis. While examining the requisition is always worthwhile, it is more important to avoid being blinded by the history and endoscopic findings.

Figure 1.45 HSV esophagitis. This endoscopic image shows ulcerations, patchy erosions, and white exudates. HSV cannot be reliably distinguished from CMV or Candida by endoscopic evaluation. A complete evaluation should therefore include biopsy of the ulcer base (for CMV) and ulcer edge (for HSV).

Figure 1.46 HSV esophagitis. An HSV immunostain is not necessary because the classic diagnostic features are present (the three “M’s”): (1) Molding of nuclear contours; (2) margination of chromatin to the periphery of the nucleus resulting in a pale nuclear center and darkened peripheral rim; (3) multinucleation.

Figure 1.47 HSV esophagitis. This case of acute esophagitis features a rare cell suspicious for HSV viral cytopathic effect with multinucleation and equivocal molding (arrowhead). Since similar findings are occasionally seen in degenerating, reactive squamous cells, an HSV immunostain was performed.

Figure 1.48 HSV esophagitis (HSV immunostain). The corresponding HSV immunostain highlights more virally infected squamous epithelium than apparent on H&E.

Figure 1.49 HSV esophagitis. This case was from a patient with a history of eosinophilic esophagitis (EoE), although characteristic features of EoE are not seen in this field. Note the subtle viral cytopathic effect in the basal aspect of the squamous epithelium (arrowheads highlight nuclear molding and chromatin margination).

Figure 1.50 HSV esophagitis. Subtle viral cytopathic effect is seen in the lateral aspects of this specimen and in the free-floating fragment at the top right.

Figure 1.51 HSV esophagitis. Careful examination of ulcer debris can provide valuable clues to the etiology of the ulcer. In this example, viral cytopathic effect diagnostic of HSV esophagitis is identified within the ulcer debris. Numerous multinucleated cells show molding of nuclear contours and margination of chromatin. An HSV immunohistochemical stain is not necessary for these unequivocal morphologic features.

Figure 1.52 HSV esophagitis. This example shows a rare cell with equivocal HSV viral cytopathic effect (arrowhead) and background ulceration (not shown).

Figure 1.53 HSV esophagitis (HSV immunostain). The corresponding HSV immunostain confirms HSV esophagitis, and emphasizes that a low threshold for CMV, HSV, and PAS stains is prudent in the case of esophageal ulcerations.

Figure 1.54 HSV esophagitis. Cells suspicious for HSV viral cytopathic effect are seen at the base.

Figure 1.55 HSV esophagitis (HSV immunostain). The corresponding HSV immunostain highlights the virally infected cells.
FAQ: Does HSV2 infection in a child imply sexual activity/abuse?
Answer: No. Historically, the HSV1 serotype has been associated with oral ulcerations and HSV2 with genital ulcerations. Studies that are more recent suggest these historic associations may no longer be relevant.6,7 As a result, it is not necessary to routinely determine serotypes nor to suggest sexual abuse for HSV2 reactive cases, although the testing is technically feasible with HSV1- or HSV2-specific immunohistochemical stains or molecular-based assays.
FAQ: Does a positive HSV immunohistochemical stain exclude varicella-zoster virus (VZV)?
Answer: No. VZV is the causative agent of varicella (chickenpox) and herpes zoster (shingles). Both HSV and VZV belong to the Herpesviridae family, show identical viral cytopathic effect, and react identically with an HSV immunohistochemical stain. HSV can be distinguished from VZV by a specific VZV immunohistochemical stain, culture methods, or molecular assays.
FAQ: How are CMV, HSV immunostains utilized?
Answer: If the diagnosis can be made on H&E due to classic viral cytopathic effect, additional immunostains are not necessary. However, a low threshold for requesting CMV and HSV immunostains (and fungal special stains) is recommended in the setting of esophageal ulcerations because the diagnostic features can be easily obscured by the intense background inflammation.
Helicobacter
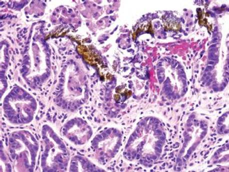
Whereas acute inflammation in the esophagus is most associated with GERD, inflamed cardia biopsies (which can be present in biopsies containing esophagus) are associated with Helicobacter infections in the majority of cases (78% to 97.7%).8,9 The concept of the cardia as a normal anatomic landmark is debated but, in general, the cardia is defined as the small segment of stomach between the distal esophagus and proximal stomach with oxyntic mucosa. Red flags to the diagnosis of Helicobacter infection include recognition of acute and chronic inflammation, superficial lymphoplasmacytosis, and lymphoid aggregates (Figs. 1.56–1.61), as discussed in detail in Acute Gastritis, Stomach chapter.

Figure 1.56 Helicobacter. Esophageal biopsies with columnar mucosa offer an opportunity to make additional diagnoses, such as Helicobacter carditis, as in this case. On low power, the active chronic inflammation, prominent lymphoid aggregate with a well-formed germinal center, and superficial lymphoplasmacytic inflammation strongly suggest Helicobacter infection.

Figure 1.57 Helicobacter pylori. The organisms were found in mucin-rich foci (arrowheads) and in gland lumina (not shown). Their wide one-and-a-half-turn spiral gives them a slightly bent appearance.

Figure 1.58 Helicobacter pylori (Diff-Quik). A Diff-Quik special stain highlights the Helicobacter pylori organisms (special stains are not necessary if the organisms are apparent on H&E).

Figure 1.59 Helicobacter pylori (Warthin–Starry). A Warthin–Starry special stain highlights the Helicobacter pylori organisms. This silver-based stain coats the organisms, making them slightly larger and easier to identify than the previous Diff-Quik stain.

Figure 1.60 Helicobacter heilmannii organisms are more slender and tightly spiraled than Helicobacter pylori organisms.

Figure 1.61 Helicobacter heilmannii (Diff-Quik). A Diff-Quik special stain highlights the tightly spiraled Helicobacter heilmannii organisms embedded within the surface mucus.
MEDICATIONS
Medication-related injury is seen with some regularity in centers enriched for elderly patients, and in the setting of polypharmacy. The resulting injury pattern can include a wide range of histologic findings including nonspecific reactive changes, prominent apoptotic bodies, intraepithelial lymphocytosis, mild acute esophagitis, eosinophilia, and/or marked ulceration. Medication injury can be seen throughout the GI tract, but in the esophagus so-called “pill esophagitis” is most common at the anatomic constriction points (Fig. 1.62).
Select Medications Considerations
• Iron
• Resins (Kayexalate, sevelamer, bile acid sequestrants)
• Bisphosphonates
Iron
Ferrous sulfate-mediated corrosive injury is seen in approximately 1% of individuals undergoing upper endoscopy and is associated with erosions and ulceration.10 The pigment can have a coarse, crystalline, or subtle brown hue on H&E, and it is blue on a Prussian blue iron special stain (Figs. 1.62–1.66). Recognition is important to help prevent further injury and potential stricture formation. These patients benefit from behavioral modifications such as maintaining upright posture for 30 minutes after taking the pill and/or taking the pill with ample liquids or food. See also Pigments and Extras, Stomach Chapter.

Figure 1.62 Iron pill esophagitis. This dramatic example features the pigmented crystalline form of iron pill deposition in a background of ulceration.

Figure 1.63 Iron encrustation, ulcerative esophagitis. Some cases of iron encrustation are quite subtle. In this case, a superficial rind of light brown suggests iron, but a confirmatory iron stain was required to arrive at the correct diagnosis.

Figure 1.64 Iron encrustation, ulcerative esophagitis (Prussian blue special stain). The iron pigment appears as a faint blue hue on a Prussian blue special stain.

Figure 1.65 Iron pill esophagitis. Iron pill esophagitis with a rind of coarse brown pigmentation admixed in ulcer debris. A Prussian blue iron special stain was reactive, confirming the above diagnosis.

Figure 1.66 Iron pill esophagitis. Iron pill esophagitis with coarse crystalline pigment deposition and ulcer debris. The patient endorsed a history of taking her iron pill with a few sips of water right before time. She was encouraged to take her pill with generous amounts of yogurt a few hours before bedtime, and her symptoms quickly resolved.
PEARLS & PITFALLS
Iron pill esophagitis occasionally raises concern for invasive carcinoma based on the sometimes ominous endoscopic appearance and prominent reactive changes seen in the corresponding biopsies. Recognition of the iron pigment is critical and, when in doubt, an iron special stain can be helpful. Alternatively, mass lesions constrict the esophageal lumen and can result in entrapped iron encrustation overlying the mass lesion. If the clinical suspicious for malignancy is high, deeper sections and repeat biopsy are often worthwhile.
Resins
Resins are nonabsorbable medications that exchange ions as they course through the GIT; they are often referred to as “medication crystals.” The three most common include Kayexalate, sevelamer, and the bile acid sequestrants. The resins can usually be confidently identified on H&E and confirmed with a quick review of the medication list. Awareness of these resins and comfort in discriminating between them is essential because the first two are associated with mucosal injury. This section will focus on red flags in the chart and distinctive features of the crystal morphology to quickly navigate to the correct diagnosis.
Kayexalate
Also known as sodium polystyrene sulfonate, Kayexalate was introduced in 1958 as a cation exchange resin used to treat hyperkalemia in renal failure patients.11–13 When administered via the upper tract, the resin releases sodium ions and becomes protonated in the acidic milieu of the stomach. As the resin traverses the bowel, the hydrogen is subsequently exchanged for potassium. The potassium bound resin is then released in the feces, thereby lowering serum potassium levels. Kayexalate was initially administered in an aqueous solution but initial reports found an association with constipation and, sometimes lethal, bezoar formation.13–15 As a result, Kayexalate was combined with a sorbitol diluent that effectively reduced these side effects but, unfortunately has been linked to ischemic and ulcerative GIT injury. Historically, these changes have been attributed to the hyperosmotic sorbitol diluent, although some suggest the resin itself may be a contributing factor.11,13,14 Today, the sorbitol diluent is strongly discouraged in favor of emulsifying the medication directly into food or drink.16 The resin can lodge anywhere along the GI tract since it can be administered via a nasogastric tube, orally, or a rectal enema. Kayexalate displays a so-called “fish-scale” or “mosaic” appearance due to regular, narrow cracking lines. It is purple on H&E, black-green on AFB, and hot pink on PAS/AB (Figs. 1.67–1.77).
KEY FEATURES of Kayexalate:
• Also known as sodium polystyrene sulfonate
• Administered via nasogastric tube, orally, or rectal enema (can be seen anywhere in the GIT)
• Used to treat hyperkalemia in renal failure patients
• The hyperosmotic sorbitol diluent is blamed for ischemic and ulcerative GIT injury
• Resin has narrow, regular “fish-scale” pattern
• Resin is purple on H&E, black-green on AFB, and hot pink on PAS/D (Figs. 1.67–1.77)

Figure 1.67 Kayexalate (sodium polystyrene sulfonate). Alternate case showing Kayexalate’s characteristic purple color on H&E and narrow, regularly positioned “fish-scales.”

Figure 1.68 Kayexalate (sodium polystyrene sulfonate). Note the necrotic background. This resin was identified in a perforated colon with transmural necrosis and inflammation. Kayexalate was concentrated in the necrotic bowel, and was the likely cause of the perforation.

Figure 1.69 Kayexalate (sodium polystyrene sulfonate). Alternate field. Identification of these crystals in the perforated bowel resulted in immediate contact with the clinician. As a result, Kayexalate was discontinued and the patient had an uneventful recovery.

Figure 1.70 Kayexalate (sodium polystyrene sulfonate). Alternate case. The purple color and narrow, regular “fish-scales” are consistent with Kayexalate.

Figure 1.71 Kayexalate (sodium polystyrene sulfonate). Alternate field. Note the fibrinoinflammatory background.

Figure 1.72 Kayexalate (sodium polystyrene sulfonate) (AFB). Kayexalate is dark black with a hint of green on AFB, similar to the skin of the wicked witch of the west in “The Wizard of Oz.”

Figure 1.73 Kayexalate (sodium polystyrene sulfonate) (PAS/D). Kayexalate is bright pink on PAS/D. These additional stains are not necessary on classic cases, but can be helpful if the specimen is suboptimal.

Figure 1.74 Iron pill esophagitis with Kayexalate. This case shows a rare Kayexalate resin (arrowhead) in a background of abundant iron pill and ulceration.

Figure 1.75 Iron pill esophagitis with Kayexalate. Higher-power view of previous figure. Note the characteristic purple hue and “fish-scale” appearance of the Kayexalate resin (arrowhead).

Figure 1.76 Iron pill esophagitis with Kayexalate. The corresponding Prussian blue stain highlights the background iron pigment.

Figure 1.77 Kayexalate (sodium polystyrene sulfonate). Kayexalate resins appear purple with a mosaic “fish-scale” appearance on H&E. These resins are often seen in association with ulcer debris, which has been historically attributed to the hyperosmotic sorbitol diluent.
PEARLS & PITFALLS
Identification of Kayexalate is a medical emergency, particularly if an ulcerated or ischemic background is seen. Kayexalate has been linked to fatality cases and the clinicians should be alerted to its presence and educated about its notorious association with GIT injury. If mucosa injury is seen, the patient should be closely monitored and or the medication list safely adjusted. Accurate diagnosis of this crystal and communication with the clinician is one way pathologists can potentially save a life without directly interacting with the patient.
SAMPLE NOTE: KAYEXALATE
Esophageal, Biopsy:
• Squamous mucosa with Kayexalate resins concentrated within ulceration and necroinflammatory debris.
Note: The history of renal failure and esophageal ulcerations is noted. The biopsy shows Kayexalate resins concentrated within the necroinflammatory and ulcer debris and are likely a contributing factor to this injury pattern. This information was verbally shared with Dr. Anderson by Dr. Arnold on 08/12/2013, 1613. CMV and HSV immunostains are negative. A PAS/D for fungal organisms is negative.
References
Lillemoe KD, Romolo JL, Hamilton SR, et al. Intestinal necrosis due to sodium polystyrene (Kayexalate) in sorbitol enemas: Clinical and experimental support for the hypothesis. Surgery. 1987;101:267–272.
Rashid A, Hamilton SR. Necrosis of the gastrointestinal tract in uremic patients as a result of sodium polystyrene sulfonate (Kayexalate) in sorbitol: An underrecognized condition. Am J Surg Pathol.1997;21:60–69.
Abraham SC, Bhagavan BS, Lee LA, et al. Upper gastrointestinal tract injury in patients receiving Kayexalate (sodium polystyrene sulfonate) in sorbitol: Clinical, endoscopic, and histopathologic findings. Am J Surg Pathol.2001;25:637–644.
Sevelamer
Sevelamer is a recently introduced, orally administered, ion-exchange resin. It lowers phosphate levels in patients with chronic kidney disease; therefore, its clinical presentation overlaps with Kayexalate. It was introduced in the tablet form as Renagel (sevelamer hydrochloride) in 2000 and in tablet and powder form as Renvela (sevelamer carbonate) in 2007.17,18 Both formulations show similar efficacy, but sevelamer carbonate (Renvela) is marketed as the preferred form based on a decreased incidence of metabolic acidosis.19–22 We recently reported the first morphologic description of sevelamer and found a provocative association with mucosal injury, which we relay to the clinicians in pertinent cases, similar to our approach to Kayexalate.23 We also disclose that the initial report is small and further studies are needed to fully clarify the possibility of sevelamer-mediated injury. The core histologic features of the sevelamer resins include broad, curved, and irregularly spaced “fish-scales” with a variable color.23 Whereas, most resins displayed a two-toned color imparted by bright pink linear accentuations and a rusty yellow background, those crystals embedded in extensive ulcer, ischemia, or necrotic debris acquired a deep eosinophilia or rusty brown color. Sevelamer crystals are magenta on AFB and lavender on PAS/D (Figs. 1.78–1.86).
KEY FEATURES of Sevelamer:
• Also known as Renagel (sevelamer hydrochloride) and Renvela (sevelamer carbonate)
• Administered orally (can be seen anywhere along the GIT)
• Lowers phosphate levels in patients with chronic kidney disease
• May be associated with mucosal injury
• Resins show broad, curved, and irregularly spaced “fish-scales”
• Resins are two-toned color (bright pink linear accentuations and a rusty yellow background) on H&E, magenta on AFB, and lavender on PAS/D
• Resins embedded in extensive ulcer, ischemia, or necrotic debris acquired a deep eosinophilia or rusty brown color

Figure 1.78 Sevelamer resins characteristically display broad, curved, and irregularly spaced “fish-scales” with a variable color. Like this example, most have a two-toned color imparted by bright pink linear accentuations and a rusty yellow background.

Figure 1.79 Sevelamer. This resin features all the usual features of Sevelamer: Two-toned color with bright pink lines amidst a rusty yellow background. Compared to Kayexalate, note these “fish-scales” are more broad and irregular.

Figure 1.80 Sevelamer. Sevelamer and Kayexalate are both seen in the setting of renal failure and both have been associated with mucosal injury. Awareness of their distinctive morphology is key to the right diagnosis.

Figure 1.81 Sevelamer. Note the prominent background fibrinoinflammatory debris. Close examination of ulcer debris is always worthwhile because it may contain “hidden” clues to the underlying etiology, such as sevelamer resins in this case.

Figure 1.82 Sevelamer. In cases of severe mucosal injury, the characteristic two-toned color of sevelamer transitions to deep eosinophilia or rusty brown color. Note the “fish-scale” pattern is consistent, providing helpful diagnostic clues to the diagnosis of sevelamer.

Figure 1.83 Sevelamer. This is a biopsy of a large esophageal ulcer. Note the sevelamer resin displays its usual “fish-scale” pattern but the color is rusty brown instead of the more typical two-toned color. This color shift has been described in the setting of severe background mucosal injury and may relate to varying binding capacity and pH properties of the entrapped resin.

Figure 1.84 Sevelamer. This resin was identified in an ischemic and perforated small bowel. While the characteristic “fish-scale” pattern is seen, the resin is deeply eosinophilic, typical of resins entrapped in severe background mucosal injury.

Figure 1.85 Sevelamer is magenta on AFB. Note the typical broad, irregular “fish-scale” pattern characteristic of sevelamer. Sevelamer is also known by its trademark names Renvela (sevelamer carbonate) and Renagel (sevelamer hydrochloride).

Figure 1.86 Sevelamer is lavender on PAS/D, helpful distinguishing features from Kayexalate and the bile acid sequestrants.
PEARLS & PITFALLS
Sevelamer is most commonly misdiagnosed as Kayexalate. Unfortunately, the medication list is almost guaranteed to be missing from the disclosed requisition. “Renal failure”, however, is a common accompanying comment and should invoke the possibility of both Kayexalate and sevelamer. Accurate discernment of sevelamer from Kayexalate relies on recognition of their distinct morphologic features (sevelamer: broad, curved, and irregularly spaced “fish-scales,” two-toned on H&E, magenta on AFB, and lavender on PAS/D; Kayexalate: narrow, regular “fish-scales,” purple on H&E, black-green on AFB, and hot pink on PAS/D).
SAMPLE NOTE: SEVELAMER
Esophageal, Biopsy:
• Squamous mucosa with sevelamer resins concentrated within ulceration and necroinflammatory debris.
Note: The history of renal failure and esophageal ulcerations is noted. The biopsy shows sevelamer resins concentrated within the necroinflammatory and ulcer debris. In the one small study available, sevelamer was associated with mucosal injury in a dose-dependent manner, suggesting sevelamer may be a contributing factor to the above pathology. Of note, the referenced study is small and no definitive conclusions can be drawn at until larger studies are available. This information was verbally shared with Dr. Anderson by Dr. Arnold on 08/12/2013, 1613. CMV and HSV immunostains are negative. A PAS/D for fungal organisms is negative.
Reference
Swanson BJ, Limketkai BN, Liu TC, et al. Sevelamer crystals in the gastrointestinal tract (GIT): A new entity associated with mucosal injury. Am J Surg Pathol. 2013;37(11):1686–1693.
Bile Acid Sequestrants
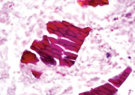
Cholestyramine (LoCholest, Prevalite, Questran) was introduced in 1973 and is the most commonly encountered bile acid sequestrant. Others in this family include colestipol (Colestid) and colesevelam (WelChol). Familiarity with these names, while cumbersome, makes confirmatory chart review a cinch. These medications are available in powder form for oral administration. The nonabsorbable resins bind negatively charged anions, such as bile acids, which are then eliminated in the feces.24–26 It is primarily used to lower serum cholesterol levels but can additionally be used to treat pruritus in patients with biliary tract disease or to treat bile acid–mediated diarrhea in patients with decreased bile acid absorption due to ileal resection (e.g., in Crohn disease). Historically, bile acid sequestrants are thought to be biologically inert and not associated with causing mucosal injury, unlike Kayexalate and sevelamer. Cholestyramine can be readily identified based on its unique morphology. The resin is smooth and glassy in texture because it lacks an internal “fish-scale” pattern, unlike Kayexalate and sevelamer. Bile acid sequestrants are bright orange on H&E, neon green on AFB, and variable gray or hot pink color on PAS/D (Figs. 1.87–1.94).

Figure 1.87 Cholestyramine resins are smooth and glassy in texture; they lack a “fish-scale” pattern. They are bright orange on H&E.

Figure 1.88 Cholestyramine. This resin is surrounded by ulcer debris. Cholestyramine crystals are biologically inert and do not cause mucosal injury; therefore, a search for the underlying etiologic agent of the ulcer debris is necessary. In this case, the background mucosa showed prominent CMV viral cytopathic effect. Therefore, the resin was an “innocent bystander” trapped within the CMV ulcer debris.

Figure 1.89 Cholestyramine. Alternate field. The clinician later called to ask if the cholestyramine should be discontinued based on the severe mucosal injury. We explained that cholestyramine does not cause mucosal injury; there was no need to adjust the medication injury. The patient had an uneventful recovery following antiviral therapy.

Figure 1.90 Cholestyramine. Note the characteristic smooth and glassy texture, and bright orange color on H&E. Bile acid sequestrants are known by many names: Cholestyramine (LoCholest, Prevalite, Questran); colestipol (Colestid); colesevelam (WelChol).

Figure 1.91 Cholestyramine. Bile acid sequestrants reduce bile acid levels and are most commonly used to treat hypercholesterolemia, pruritus, and bile acid–mediated diarrhea.

Figure 1.92 Cholestyramine.

Figure 1.93 Cholestyramine is neon green on AFB.

Figure 1.94 Cholestyramine resins display both gray or hot pink color on PAS/D.
KEY FEATURES of Bile Acid Sequestrants:
• Cholestyramine (LoCholest, Prevalite, Questran); colestipol (Colestid); colesevelam (WelChol)
• Lowers bile acids, most commonly used to treat hypercholesterolemia, pruritus, and bile acid–mediated diarrhea
• Not associated with mucosal injury
• Resins are smooth and glassy in texture (lacks a “fish-scale” pattern)
• Resins are bright orange on H&E, neon green on AFB, and variable gray or hot pink color on PAS/D
PEARLS & PITFALLS
While the bile acid sequestrants are generally smooth in texture, larger resins can have occasional, irregular “fracture” lines, which are a knife artifact from histologic processing of larger, thicker resins. Such cases are occasionally misdiagnosed as Kayexalate or sevelamer if the irregular fracture lines are mistaken for a “fish-scale” pattern. A true “fish-scale” pattern, however, shows geometric, predictable, internal structures. Examples of true “fish-scales” are illustrated in Figures 1.67–1.86.
FAQ: What should I report if I see a luminal resin but have no access to the medical chart to confirm the resin identity?
Answer: If the resin morphology is classic, chart review is not essential for diagnosis. In suboptimal cases, AFB and PAS/D special stains can help clarify the identity of the resin. If neither the medication list nor special stains are available, a careful descriptive note is most prudent.
SAMPLE NOTE: LUMINAL CRYSTAL, NOS
Esophagus, Biopsy:
• Ulcer debris with entrapped luminal crystals.
• Negative for fungal elements and viral cytopathic effect (H&E).
Note: The history of esophageal ulceration is noted. Entrapped luminal crystals are identified which are not further classifiable based on pronounced histologic artifact. The differential diagnoses include Kayexalate (sodium polystyrene sulfonate), sevelamer (Renagel, Renvela) and the bile acid sequestrants (cholestyramine [LoCholest, Prevalite, Questran]); colestipol (Colestid); colesevelam (WelChol). The former two are associated with mucosal injury. Correlation with the medication list is required for further identification.
References
Rashid A, Hamilton SR. Necrosis of the gastrointestinal tract in uremic patients as a result of sodium polystyrene sulfonate (Kayexalate) in sorbitol: An underrecognized condition. Am J Surg Pathol.1997;21:60–69.
Abraham SC, Bhagavan BS, Lee LA, et al. Upper gastrointestinal tract injury in patients receiving Kayexalate (sodium polystyrene sulfonate) in sorbitol: Clinical, endoscopic, and histopathologic findings. Am J Surg Pathol.2001;25:637–644.
Swanson BJ, Limketkai BN, Liu TC, et al. Sevelamer crystals in the gastrointestinal tract (GIT): A new entity associated with mucosal injury. Am J Surg Pathol. 2013;37(11):1686–1693.
Bisphosphonates
Bisphosphonates are medications that prevent bone reabsorption and are commonly used in the treatment of osteoporosis. Examples of bisphosphonates include Alendronate (Fosamax), Ibandronate (Boniva), and Risedronate (Actonel), among others. These medications are linked to acute esophagitis and ulcerations through direct mucosal irritation from the impacted pill and toxicity through the pill itself.27 While these polarizable pill fragments are capable of causing ulceration, they are not histologically specific and cannot be reliably distinguished from “bystander” pill fragments incidentally trapped within the ulcer debris (Fig. 1.95). Chart review and/or communication with the clinician can be helpful.

Figure 1.95 Ulcerative esophagitis seen in the setting of bisphosphonate usage. In this example of ulcerative esophagitis, no specific etiologic clues are apparent such as polarizable pill fragments. However, a careful chart review revealed usage of a bisphosphonate, a class of medications notorious for causing esophageal injury.
OTHER (MALIGNANCY, AMYLOIDOSIS, RADIATION INJURY, AND VASCULITIS)
Esophageal ulcerations can also be caused by any infiltrative process or any process that comprises the regional blood supply, such as malignancy, amyloidosis, radiation injury, or vasculitis (Figs. 1.96–1.102). Careful inspection of the ulcer, ulcer debris, and adjacent tissue is imperative for complete evaluation. Note, vasculitis is best evaluated in resection specimens.

Figure 1.96 Poorly differentiated squamous cell carcinoma. This patient had a history of esophageal squamous cell carcinoma status post resection and radiation. The endoscopic examination identified an ulcer, and histologic sections show markedly atypical cells with prominent nuclear pleomorphism and hyperchromasia.

Figure 1.97 Poorly differentiated squamous cell carcinoma and ulcer debris (p63). A p63 immunostain confirms the squamous origin of the malignant cells, supporting the above diagnosis.

Figure 1.98 Diffuse large B cell lymphoma (DLBCL) arising in a background of Barrett mucosa. This biopsy was adjacent to an ulcer and shows large, monomorphic lymphocytes arranged in sheets. Immunohistochemical studies confirmed the indicated malignant cells as B-lineage cells (CD20 reactive) with a Ki-67 proliferation index of 80%. Additional immunohistochemical stains were performed for prognostic information. The lesional cells were confirmed to be germinal center derived (CD10, Bcl-6 reactive, MUM1 nonreactive) which carries a better prognosis than nongerminal center-derived DLBCL. Bcl-2 is an independent prognostic marker that can confer a relatively worse prognosis, and was nonreactive in this case. The finding of both Barrett mucosa and DLBCL is thought to be coincidental.

Figure 1.99 Amyloidosis. Amyloidosis can have a varied endoscopic appearance. In this case, an esophageal nodule was seen (arrowhead).

Figure 1.100 Amyloidosis. Considerable bleeding was noted after nodule removal, and this post-biopsy image shows hemorrhagic mucosa. Patients with amyloidosis often bleed easily due to the fragile nature of the amyloid-laden vessels.

Figure 1.101 Amyloidosis. At low power the squamous mucosa has prominent hemorrhage and abundant amorphous eosinophilic material in the lamina propria. The deposition was bright orange on Congo red with direct light, and apple-green under polarized light, confirming the diagnosis of amyloidosis.

Figure 1.102 Amyloidosis. Higher power of the previous figure. The lamina propria shows abundant eosinophilic material with cracking and tissue tears. This characteristic artifact is produced when tissue sections containing amyloid are sectioned on a microtome in the histology laboratory. This is a helpful clue in identifying this subtle and easily missed entity.