Paula C. Brady1 and J. Sawalla Guseh2
(1)
Department of Obstetrics, Gynecology and Reproductive Biology, Brigham and Women’s Hospital, Boston, MA, USA
(2)
Division of Cardiology, Massachusetts General Hospital (MGH), Boston, MA, USA
Paula C. Brady (Corresponding author)
Email: Pbrady2@partners.org
J. Sawalla Guseh
Email: jguseh@partners.org
Keywords
HypoxemiaChest painHypotensionPulmonary embolismPulmonary edemaTransfusion complicationAcute coronary syndromeAltered mental status
Hypoxemia
Definitions
Hypoxemia
Low oxygen saturation in the blood, usually defined as peripheral capillary oxygen saturation (SpO2) of 90 % or less [1].
Atelectasis
Collapse of alveoli, occurring in up to 90 % of surgical patients [2]. Atelectasis is theorized to serve as a nidus for infection. While sometimes associated with hypoxemia, atelectasis has also commonly been associated with low-grade postoperative fevers, though data for this association are sparse [3].
Acute Respiratory Distress Syndrome (ARDS)
Alveolar injury leading to inflammation and respiratory failure, which usually occurs within 1 week of the inciting clinical insult [4]. Conditions associated with ARDS include but are not limited to pneumonia, aspiration of gastric contents, sepsis, drug overdose, and acute pancreatitis [5]. The mortality rate of ARDS approaches 40 % [6].
Pulmonary Embolism (PE)
Embolization of a thrombus, usually from the lower extremities or pelvic vasculature, to the pulmonary arteries. Risk factors include age over 40 years, obesity, smoking, immobility, malignancy, acute medical illness, diabetes, cardiac disease, chronic pulmonary disease, prior venous thrombosis, pregnancy or the postpartum period, or inherited or acquired thrombophilias (including factor V Leiden mutation, prothrombin gene mutation, and antiphospholipid antibody syndrome) [7]. This is a potentially life-threatening complication, with a mortality rate up to 2.3 %, with increased risk of death reported in patients over 80 years and with a history of malignancy or chronic cardiac or pulmonary disease, a heart rate above 110 beats per minute, or arterial oxygen saturation less than 90 % [8, 9].
Pulmonary Edema
Accumulation of fluid in the pulmonary alveoli. Causes of pulmonary edema are cardiogenic, due to elevated pulmonary capillary wedge pressure resulting from left-sided heart failure, or noncardiogenic, due to endothelial damage such as in patients with pneumonia, sepsis, or ARDS [10, 11]. Risk factors for pulmonary edema include renal artery stenosis as well as the risk factors for acute decompensated heart failure, such as hypertension, coronary artery disease, diastolic dysfunction, and valvular disease [12, 13]. Acute decompensated heart failure, and thereby cardiogenic pulmonary edema, may be precipitated by medication nonadherence, acute coronary syndromes, uncorrected hypertension, cardiac arrhythmia, pericarditis, aortic dissection, pulmonary embolus, increased salt intake, diabetes, and thyroid dysfunction [14]. Patients with pulmonary edema often complain of dyspnea, cough, and tachypnea.
Transfusion-Associated Circulatory Overload (TACO)
Clinically significant fluid overload occurring shortly after transfusion of blood products in up to 8 % of patients [15]. Patients report dyspnea and may have hypertension, tachypnea, and/or tachycardia. TACO is more common in patients with a positive fluid balance, receiving a large volume or rapid infusion of blood products, advanced age, and preexisting left ventricular dysfunction or renal dysfunction [16, 17]. The risk of TACO may be reduced with preemptive administration of intravenous furosemide (20–40 milligrams (mg) once) in between units of blood products or after transfusion [18].
Transfusion-Related Acute Lung Injury (TRALI)
A clinical syndrome of acute-onset hypoxemia and noncardiogenic pulmonary edema occurring during or immediately after the transfusion of blood products [19]. The leading cause of transfusion-related deaths, TRALI occurs in at least 1 in 5,000 transfusions of blood products [19]. Risk factors include but are not limited to sepsis, aspiration of gastric contents, multiple transfusions, disseminated intravascular coagulation, current smoking, liver surgery, and chronic alcohol abuse [20]. Patients complain of dyspnea and are hypoxemic. They are also often tachypneic, febrile, tachycardic, hypertensive, or hypotensive.
Anaphylaxis
A life-threatening allergic reaction, estimated to occur in 1.7 % of people in their lifetimes [21].
Differential Diagnosis [22, 23]
· Sepsis
· Acute respiratory distress syndrome (ARDS)
· Pulmonary embolism (PE)
· Pulmonary edema
· Transfusion-associated circulatory overload (TACO)
· Transfusion-related lung injury (TRALI)
· Pneumonia
· Pleural effusion
· Pneumothorax
· Atelectasis
· Asthma
· Chronic obstructive pulmonary disease (COPD)
· Acute chest syndrome due to sickle cell disease
· Acute coronary syndrome (ACS)
· Arrhy thmia
· Heart failure
· Cardiac tamponade
· Anaphylaxis
· Obstructive sleep apnea (OSA)
· Hypoventilation due to oversedation, neuromuscular disorders, and pain
When You Get the Call
Ask for a full set of vital signs including pulse oximetry. If the patient is hemodynamically unstable or reported to be somnolent, call for respiratory support staff and additional personnel while en route.
When You Arrive
In patients receiving a transfusion, stop the transfusion, and confirm the blood product and patient identifiers to ensure an error has not occurred. Place the pulse oximeter on the patient’s other hand, a foot, or earlobe to confirm the hypoxemia. Assess whether the patient is tachypneic or appears distressed or lethargic; a patient with significant dyspnea may assume the “tripod” position, which is a hunched position with the arms (often with hands on knees) supporting the torso [24]. You may see the patient using accessory muscles of respiration. If the patient is in distress, hemodynamically unstable, or nonresponsive to verbal stimuli, mobilize additional medical personnel and respiratory support staff. If the patient is stable, ask her to take a few slow, deep breaths to assess whether her oxygenation improves; mild atelectatic or hypoventilatory hypoxemia often improves. Review the full vital sign flow sheet including the patient’s fluid balance. Note whether the hypoxemia occurs when she is sleeping, characteristic of obesity and/or obstructive sleep apnea.
History
Ask the patient whether she is having chest pain, shortness of breath, dyspnea, cough, or hemoptysis; review whether she is experiencing orthopnea (inability to lie flat due to dyspnea), paroxysmal nocturnal dyspnea (waking from sleep with dyspnea), decreased exercise tolerance, or any other new symptoms. Ask if her symptoms are acute or gradual in onset and whether she has had these symptoms previously. Inquire whether she has a cough productive of sputum, and ask her to describe the sputum, whether clear, purulent (concerning for pneumonia or COPD exacerbation), or frothy (consistent with pulmonary edema).
Review whether the patient is currently receiving a transfusion, or completed one in the last 6 h. Obtain a full past medical history, including sleep apnea, heart failure, hypertension, coronary artery disease, cardiac valvular disease, cardiac arrhythmia, chronic obstructive pulmonary disease, asthma, malignancy, sickle cell anemia, or a history of thromboembolism. Ask whether the patient smokes, for how long, and if she quit, how recently. Review whether the patient is receiving thromboprophylaxis. If the patient is postoperative, review whether she received thromboprophylaxis (such as sequential compression boots or heparin) at the time of surgery.
Physical
Assess the patient’s mental status , agitation, use of accessory muscles for breathing, and her ability to speak in full sentences. Perform a cardiac exam, noting tachycardia, arrhythmia, and muffled or extra heart sounds. On pulmonary exam, note the presence of decreased breath sounds, particularly at one or both lung bases, crackles, stridor, or wheezing. Assess the patient’s lower extremities for signs of fluid overload (edema) or deep vein thrombosis, particularly asymmetrical lower extremity edema or calf pain.
Diagnosis
Sepsis should be among the leading diagnoses in patients with fever, hypotension, tachycardia, and/or altered mental status. Please see Chap. 1, Acute Pelvic Pain, for the diagnosis and management of sepsis.
In approaching the patient with hypoxemia, the diagnostic algorithm depends in part on the patient’s degree of distress. In patients with an elevated respiratory rate who appear fatigued or lethargic, or have other vital sign abnormalities, an arterial blood gas while breathing room air, a troponin I or T, complete blood count, and complete metabolic panel should be obtained. In patients with a history of heart failure or evidence of fluid overload, consider adding a brain natriuretic peptide (BNP); acute heart failure is unlikely with a BNP less than 100 picograms per milliliter (pg/mL) [25]. Of note, BNP can be impacted by comorbid conditions. In particular, it is often low in patients with high BMI and therefore the value should be integrated into a full clinical assessment.
In all patients, an electrocardiogram (ECG) should be obtained, which may reveal an arrhythmia or changes suggestive of ischemia, particularly ST segment changes or T wave inversions [26, 27]. If any abnormalities are noted, compare the ECG to a prior one. Of note, ST segment deviation may be noted in nonischemic disease, including acute pericarditis, left ventricular hypertrophy (LVH), left bundle branch block (LBBB), and cardiomyopathies [28]. In patients with ECG changes, or any patient with concerning chest pain, a troponin I or T should be drawn; three serial levels every 8 h are usually collected in high-risk patients [27].
A chest radiograph is of high clinical utility in a patient with hypoxemia, particularity a patient with crackles (concerning for pulmonary edema) or decreased breath sounds on lung exam (suggestive of pneumonia, pleural effusion, or pneumothorax), a productive cough (particularly in conjunction with fever), or evidence of fluid overload. Chest radiographs can reveal opacities or infiltrates suggestive of pneumonia, ARDS, acute chest syndrome, pleural effusion, atelectasis and pulmonary edema; a chest radiograph may also show pneumothorax, COPD and cardiomegaly. A chest CT can be considered in clinically ill patients with chest radiograph findings that are indeterminate, such as diffuse consolidations that could be consistent with pneumonia, pulmonary edema, atelectasis, or the acute respiratory distress syndrome.
In patients with tachycardia and hypoxemia, and/or risk factors for thromboembolism (malignancy, obesity, immobility, recent surgery), a D-dimer can be obtained, though a D-dimer level may be falsely elevated in pregnant, postoperative, or elderly patients [29–31]. For patients in whom the leading clinical diagnosis is pulmonary embolism, particularly those with significant tachycardia or hypoxemia, ordering a chest CT with IV contrast may be a prudent first step, instead of waiting for a D-dimer result.
Management
Administration of oxygen by nasal cannula or face mask is an acceptable first step while diagnostic tests are pending and further resources are mobilized [32]. The exception is patients with COPD, whose normal partial pressure of oxygen is 60–65 millimeters of mercury (mmHg), corresponding to an oxygen saturation of 90–92 %; a higher oxygen level may result in worsening hypercapnia in patients with COPD [33]. Patients with altered mental status, hemodynamic instability, severe hypoxemia, or failure to respond to less invasive measures may require noninvasive positive pressure ventilation in the form of continuous positive airway pressure (CPAP), bilevel positive airway pressure (BPAP), or intubation, as directed by critical care providers.
Acute coronary syndromes are discussed in the following section “Chest pain.”
Acute Chest Syndrome
Acute chest syndrome is diagnosed in patients with sickle cell anemia, with a new infiltrate in at least one lung segment, a temperature over 38.5 C, and evidence of respiratory distress, including tachypnea, hypoxemia, wheezing, and cough [34].
Patients with acute chest syndrome require pain control, supplemental oxygen, and usually simple or exchange transfusion [34]. Patients may benefit from bronchodilators—particularly in patients with wheezing—folic acid supplementation, and broad-spectrum antibiotics.
Anaphylaxis
Criteria for the diagnosis of anaphylaxis include acute onset (over minutes to hours) of symptoms involving the skin and/or mucosa, including hives, pruritus, or edema, with either respiratory compromise (such as dyspnea, wheezing, or hypoxemia) or evidence of hypoperfusion, such as hypotension or syncope [35]. Patients may also develop abdominal cramping or vomiting. Hypotension in isolation after exposure to a known allergen is an alternative diagnostic criterion of anaphylaxis.
Any current medication or blood product infusions at the time of a suspected anaphylactic reaction should be stopped. Additional medical personnel and respiratory support staff should be called. If the patient was receiving a blood transfusion when her symptoms began, confirm patient and blood product identifiers, and contact the blood bank. Anaphylaxis should be treated with epinephrine intramuscularly (0.01 mg per kilogram (kg), for a maximum dose 0.5 mg every 5–15 min) [35]. Albuterol or racemic nebulized epinephrine may be used as an adjunct to IM epinephrine in patients with bronchospasm; patients should also receive an antihistamine, such as diphenhydramine (25–50 mg IV). Intravenous steroids are also commonly used, such as methylprednisolone 1.0–2.0 mg/kg every 6 h. Patients should also receive high-flow oxygen and aggressive fluid resuscitation and be positioned supine with elevated legs if possible. Vasopressors may be needed for refractory hypotension.
ARDS
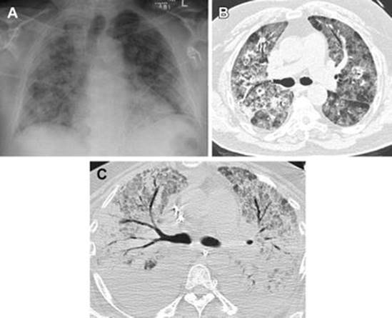
In patients with ARDS , chest radiographs reveal bilateral opacities not attributable to effusions, pneumothorax or lung nodules, and pulmonary edema not explained by fluid overload or cardiac failure (Fig. 15.1) [36]. In patients with ARDS, the ratio of arterial partial pressure of oxygen to fraction of inspired oxygen (PaO2/FiO2) is expected to be less than 300 mmHg; this ratio will be lower in more severe disease [36].

Fig. 15.1
Acute respiratory distress syndrome (ARDS). (a) AP chest radiograph shows low lung volumes and diffuse bilateral pulmonary opacities. (b) Axial CT image in the same patient shows ground-glass and consolidative opacities without pleural effusions. (c) Axial CT image from another patient shows dense bilateral consolidation with air bronchograms and diffuse ground-glass opacity (Reprinted from Bentz and Primack [11], with permission from Elsevier)
Patients with suspected ARDS require care by a multidisciplinary team, most often in an intensive care unit, and many patients require mechanical ventilation. Underlying infections must be treated aggressively [5]. Adequate intravascular volume should be provided, though excessive fluid administration may cause or exacerbate pulmonary edema [5].
Asthma
In patients with a history of asthma reporting shortness of breath and symptoms consistent with prior asthma exacerbations, a forced expiratory volume in 1 s (FEV1) or peak expiratory flow (PEF) should be measured. A mild exacerbation is indicated by values >70 % of predicted, while values less than 40 % of predicted constitute a severe exacerbation; predicted FEV1 and PEF by age, height, and ethnicity are available at the website for the Centers for Disease Control and Prevention [37, 38]. Inability to speak in complete sentences, agitation or distress, use of accessory muscles, and an oxygen saturation less than 90 % are consistent with an asthma exacerbation [24].
Supplemental oxygen should be administered, with a goal oxygen saturation of 95 % or more [37]. Short-acting beta-agonists, particularly albuterol, may be administered by an inhaler or nebulizer, depending on the patient’s degree of distress. Addition of ipratropium bromide to an albuterol nebulizer is beneficial, particularly in severe exacerbations; a 3 mL nebulized solution, consisting of 0.5 mg of ipratropium bromide and 2.5 mg of albuterol, can be administered every 20 min for 3 doses, then as needed [37]. In patients with worsening distress, hypoxemia, and concern for impending respiratory arrest, the use of intravenous systemic steroids has an important role (e.g. IV methylprednisone 40–80 mg every 6–12 h) [37].
COPD
In patients with exacerbations of COPD , supplemental oxygen can be administered and titrated to an oxygen saturation of 90–92 %; bilevel noninvasive positive pressure ventilation may be required [33]. Ipratropium bromide and albuterol inhalers can be administered every 4–6 h. In patients with worsened dyspnea or increased volume or purulence of sputum, antibiotics are often administered for a 10-day course, including trimethoprim–sulfamethoxazole, doxycycline, or amoxicillin [39]. As in patients with asthma, worsening distress, hypoxemia, and concern for impending respiratory arrest, the use of intravenous systemic steroids has an important role (e.g. IV methylprednisone 40–80 mg every 6–12 h).
Hypoventilation
Pain-related hypoventilation is typically the result of inadequate tidal volumes due to shallow breathing, in patients for whom taking deep breaths exacerbates pain. In patients with hypoventilation due to pain, provide adequate pain control. Conversely, narcotic-related hypoventilation is principally due to suppression of medullary centers resulting in a low respiratory rate. In patients with hypoventilation potentially due to excessive administration of narcotics, doses and/or frequency of the medication should be decreased. In severe or refractory hypoxemia attributed to narcotics consider administering intravenous naloxone. Start with 0.4 mg, which can be increased to 2 mg if there is no response; doses can be repeated every 2-3 min, up to a total dose of 10 mg [39]. Naloxone drips may be used in patients who received a longer acting narcotic, and in whom repeated administration of IV naloxone has proven incompletely effective. In this setting, be sure to remove fentanyl patches. If altered mental status, lethargy, or stupor is contributing to a patient’s hypoventilation, see section “Altered mental status” below.
OSA
Obstructive sleep apnea is characterized by intermittent airway occlusion during sleep; patients commonly become hypoxemic and hypercarbic while sleeping. For patient with OSA admitted to the hospital, CPAP should be ordered at the patient’s home settings. Patients with OSA should be closely monitored while receiving opiates or sedatives as these may unmask the obesity hypoventilation syndrome [41].
Pleural Effusion
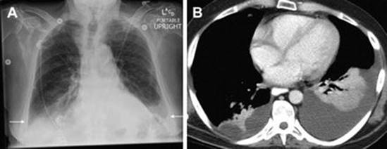
In gynecology patients, pleural effusions will most commonly be identified in patients with ovarian hyperstimulation syndrome (OHSS) or malignancy. Pleural effusions are associated with a blunting of the costophrenic angles on chest radiograph (Fig. 15.2) [11]. A chest CT scan may be helpful in distinguishing pleural effusions from parenchymal disease or atelectasis [11]. An empyema (purulent pleural effusion) may be suspected when the pleura is thickened and enhanced around the pleural fluid.

Fig. 15.2
Pleural effusion . (a) AP chest radiograph shows blunting of the costophrenic angles and a small amount of fluid tracking up the pleural space laterally (arrows), indicating bilateral pleural effusions. (b) Axial CT image confirms moderate left and small right pleural effusions, with adjacent atelectasis (Reprinted from Bentz and Primack [11], with permission from Elsevier)
In patients with hypoxemia or dyspnea attributed to a pleural effusion, thoracentesis should be considered, and can be performed at the bedside by appropriately trained providers or by interventional radiology [42]. Patients with OHSS may also have respiratory distress due to compression from abdominal ascites, which may require concomitant drainage [43]. In patients with recurrent symptomatic malignant effusion, indwelling catheters can be placed, or pleurodesis can be performed [44, 45].
Pneumonia
Risk factors for hospital-acquired pneumonia include intubation, age greater than 70 years, a depressed level of consciousness, thoracic or upper abdominal surgery, and chronic lung disease [46]. Patients may be febrile or report cough with or without sputum production, dyspnea, and/or pleuritic chest pain. On physical examination, patients may have decreased breath sounds in a focal area or other abnormalities on auscultation [47]. Chest radiograph is a widely available, rapid test for confirmation.
For the management of patients with septic physiology attributed to pneumonia, please see Chap. 1, Acute Pelvic Pain, for more information on the diagnosis and management of sepsis. In stable patients diagnosed with pneumonia, risk factors for multidrug-resistant pathogens include antibiotic exposure within the last 90 days, current hospitalization of 5 days or more, hospitalization of 2 days or more in the past 90 days, immunosuppression, and residence in a nursing home or extended care facility [48]. Patients who do not meet these criteria can be treated with ceftriaxone (2 g IV daily), fluoroquinolones such as levofloxacin (750 mg IV or PO daily), ampicillin–sulbactam (3 g IV every 6 h), or ertapenem (1 g IV daily). Patients with risk factors for multidrug resistance require broad-spectrum coverage: an antipseudomonal cephalosporin (cefepime 1–2 g IV every 8–12 h or ceftazidime 2 g IV every 8 h) or an antipseudomonal carbapenem (imipenem 500 mg IV every 6 h or meropenem 1 g every 8 h) or piperacillin–tazobactam (4.5 g every 6 h), plus linezolid (600 mg IV every 12 h) or vancomycin (12 mg/kg IV every 12 h) [48]. The original American Thoracic Society (ATS) and Infectious Diseases Society of America (IDSA) guidelines propose double coverage with an aminoglycoside such as gentamicin or a fluoroquinolone such as levofloxacin or ciprofloxacin, which may add to the toxicity of the regimen, but can be considered in patients with cultures showing gram-negative bacilli or risk factors for resistant gram negative organisms [49].
Pulmonary Edema
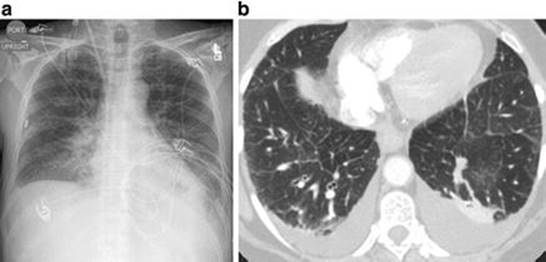
Pulmonary edema can be visualized on chest radiograph as diffuse interstitial opacities, which may coalesce into consolidations; the periphery is often spared in cardiogenic pulmonary edema (Fig. 15.3) [13].

Fig. 15.3
Pulmonary edema . (a) AP chest radiograph shows pulmonary vascular indistinctness, diffuse opacification, and septal thickening. Blunting of the costophrenic angles indicates bilateral pleural effusions. (b) Axial CT image through the lower lobes, demonstrating interlobular septal thickening, ground-glass opacities, and small bilateral pleural effusions (Reprinted from Bentz and Primack [11], with permission from Elsevier)
The underlying cause of the pulmonary edema should be considered, as treatment varies according to etiology. A brain natriuretic peptide (BNP) can be collected in patients with risk factors or signs of heart failure, as heart failure is unlikely with a BNP less than 100 pg/mL; a cutoff of 200 pg/mL has been suggested in patients with an estimated glomerular filtration rate less than 60 mL per minute [13, 50]. If not already ordered, an ECG should be obtained in patients complaining of chest pain, shortness of breath, or with risk factors for myocardial infarction—age greater than 65 years in women, prior coronary artery disease, current smoking, diabetes, hypertension, hyperlipidemia, obesity, and family history of coronary artery disease [51]. In addition to an ECG, patients with an extra heart sound on cardiac exam, elevated jugular venous pressure, a history of heart failure, or risk factors for heart failure—including known diastolic dysfunction, coronary artery disease, hypertension, or valvular dysfunction—may need an echocardiogram to assess for left ventricular dysfunction or valvular dysfunction [12, 13].
In patients with pulmonary edema or TACO, supplemental oxygen should be administered; noninvasive positive pressure ventilation may be required to maintain adequate oxygenation. Treatment is primarily with diuretics; intravenous furosemide is commonly used, administered at a dose 20–40 mg in patients not routinely taking this medication [14, 52]. Diuretic therapy can result in intravascular fluid depletion and hypotension; diuretics may not work as well in patients with impaired renal function. Patients started on loop or thiazide diuretics should have daily electrolytes checked while in the hospital, as low serum potassium and magnesium may result [14].
If cardiogenic pulmonary edema is suspected, consultation with internal medicine or cardiology should be considered. Angiotensin-converting enzyme (ACE) inhibitors, beta blockers, and diuretics are often used in the chronic management of heart failure [14]. However, in the acute setting, beta-blockers should be avoided as the reduction in contractility may lead to clinical deterioration.
Pulmonary Embolism
Patients with pulmonary embolism are commonly tachycardic, hypoxemic, and/or tachypneic. ECG may sometimes reveal findings suggestive of pulmonary embolism, including tachycardia, T wave inversions in leads V1–V3, and right bundle branch block, which is associated with greater mortality [53, 54]. The classic S1Q3T3 (or McGinn–White) pattern—an exaggerated S wave in lead I, a Q wave, and inverted T wave in lead III (Fig. 15.4)—has poor sensitivity, but is highly specific for the diagnosis of pulmonary embolism [55, 56].

Fig. 15.4
The ECG showing S1Q3T3 in a patient with pulmonary embolism. The admission ECG (left) was normal. The ECG after deterioration (right) shows sinus tachycardia and S1Q3T3 (Reprinted from Zhan et al. [55], with permission of John Wiley & Sons, Inc)
If a D-dimer has been obtained, PE is unlikely below a level of 500 nanograms (ng) per mL, potentially obviating the need for chest CT with IV contrast [29, 30]. Patients may also be stratified according to Wells’ criteria, shown in Table 15.1. A total of less than 2 points is low risk, with an associated rate of PE of 2.0 %. A score of 2–6 points is considered moderate risk, with a rate of PE of 18.8 %, while a score of greater than 6 points is considered high risk, with a rate of PE of 50 %. In patients with a positive D-dimer (above 500 ng/mL), moderate to high risk of PE by Wells’ criteria, or who raise strong clinical suspicion for PE, a chest CT with IV contrast, with a protocol specific to the detection of PE, should be ordered.
Table 15.1
Wells’ criteria for the prediction of pulmonary embolism (PE)
|
Clinical data |
Points |
|
Clinical symptoms concerning for deep vein thrombosis (DVT), particularly lower extremity swelling or pain |
3 |
|
Clinical suspicion of PE as the leading diagnosis |
3 |
|
Heart rate of greater than 100 beats per minute |
1.5 |
|
Immobilization or surgery within the past month |
1.5 |
|
History of a prior DVT or PE |
1.5 |
|
Hemoptysis |
1 |
|
Malignancy (treated currently or within the past 6 months or palliative) |
1 |
From Wells et al. [57]
Patients with pulmonary embolism require prompt anticoagulation. For patients with hemodynamic instability, shock or severe hypoxemia, an unfractionated heparin IV infusion should be started, in a weight-based algorithm guided by activated partial thromboplastin time. Clinical specialties comfortable with the management of acute PE (cardiology, vascular medicine, and pulmonary intensivists) should be consulted, and can evaluate for the potential use of thrombolytic therapy with streptokinase, urokinase, or recombinant tissue plasminogen activator, catheter-directed lysis or surgical embolectomy [58].
Hemodynamically stable patients with pulmonary embolism at low risk for bleeding and with normal renal function should be started on subcutaneous low molecular weight heparin, such as enoxaparin (1 mg/kg subcutaneously twice daily or 1.5 mg/kg subcutaneously once daily) or fondaparinux [59, 60]. In patients without cancer, warfarin can begin in 5 days, titrated to a target international normalized ratio (INR) of 2–3; warfarin should be continued for 3 months if the PE was considered provoked, by surgery or a medical illness, while warfarin should be continued for more than 3 months if the PE was unprovoked. Those with malignancy should be continued on low molecular weight heparin as opposed to warfarin, for the duration of the active malignancy. Patients with renal dysfunction (creatinine clearance less than 30 mL/min) should be treated with unfractionated heparin. Although not discussed in detail here, an emerging role for non-vitamin K oral anticoagulants has been established and can be considered in treating patients with PE (e.g. rivaroxaban, dabigatran, edoxaban, apixaban).
TRALI
TRALI is suspected in patients with no preexisting lung injury and with new-onset respiratory distress during or within 6 h of transfusion of plasma-containing blood products [21]. Diagnostic criteria include acute onset of symptoms, with an oxygen saturation of less than 90 %, pulmonary artery wedge pressure of less than 18 mmHg (when available), and a chest radiograph with bilateral infiltrates [61].
Any transfusion should be stopped and the blood bank notified. In patients with TRALI, administer additional oxygen, which may be sufficient in mild illness [62]. Patients with significant or refractory hypoxemia may require mechanical ventilation or even extracorporeal membrane oxygenation; respiratory support should be called to the patient’s bedside and consultation emergently requested with an intensivist.
Chest Pain
Definitions
Acute Coronary Syndromes (ACSs)
Syndromes of myocardial ischemia include unstable angina, non-ST segment elevation myocardial infarction (NSTEMI), and ST segment elevation myocardial infarction (STEMI) [27]. These syndromes are attributed to atherosclerotic plaque formation in the coronary arteries, which may rupture and/or thrombose [63]. Risk factors include age greater than 65 years in women, prior coronary artery disease, current smoking, diabetes, hypertension, hyperlipidemia, obesity, and family history of coronary artery disease [51].
Acute Aortic Syndrome
A clinical syndrome encompassing classical aortic dissection as well as variant forms including penetrating atherosclerotic ulcer and intramural hematoma [64]. Risk factors include hypertension, dyslipidemia, cardiac valvular disease, smoking, illicit drug use, connective tissue disorders such as Marfan syndrome, autoimmune diseases such as giant cell or Takayasu arteritis, syphilis, tuberculosis, and cardiac surgery [65].
Pericarditis and Cardiac Tamponade
Inflammation of the pericardium, the fibrous sac surrounding the heart, resulting in chest pain and ECG changes. Pericarditis can occur due to a variety of causes, including but not limited to viral and bacterial infections, sepsis, autoimmune or rheumatologic diseases, acute coronary syndromes, renal insufficiency, diabetes, malignancy, paraneoplastic disease, and following cardiac surgery or trauma [66]. Pericarditis can rarely result in constriction of the pericardium, which is usually chronic, eventually leading to hemodynamic compromise. Pericardial effusions may develop, which may consist of transudate, exudate, purulence, or blood; 60 % of pericardial effusions are due to known medical conditions [67]. In patients with pericardial effusions, compression of the atria or ventricles may develop, called cardiac tamponade, which is a potentially life-threatening condition requiring immediate intervention.
Differential Diagnosis [56, 68]
· Pulmonary embolism
· Acute coronary syndrome
· Angina
· Acute aortic syndrome
· Pericarditis
· Myocarditis
· Pneumonia
· Pneumothorax
· Pleural effusion
· Asthma
· Acute chest syndrome
· Costochondritis
· Gastroesophageal reflux (GERD)
· Biliary colic
· Mastalgia (breast pain)
· Shoulder pain (including referred diaphragmatic irritation postoperatively)
· Psychogenic/anxiety
When You Get the Call
Ask for a complete set of vital signs and a 12-lead ECG.
When You Arrive
Review the full vital signs flow sheet. If the patient is tachypneic, tachycardic, hypoxemic, or otherwise hemodynamically unstable, consider calling for additional medical support for resuscitation. If the patient describes tearing chest pain, obtain blood pressures in both upper extremities and prepare for urgent aortic dissection protocol imaging [69].
History
Ask the patient when her pain started; review the distribution, quality, and radiation of her pain, any exacerbating (such as deep breaths) or alleviating factors, and whether she has had this pain before. Review whether certain actions or events preceded the pain, including ambulation/exertion, vomiting, eating, or feelings of anxiety. Review associated symptoms of dyspnea, palpitations, diaphoresis, pre-syncope or syncope, cough, nausea, or vomiting. If the patient is postoperative, review the details of her surgery, including surgical approach (vaginal, laparotomy, or laparoscopy), duration, thromboembolism prophylaxis, and intraoperative fluid resuscitation.
Review her past medical history, including prior cardiac disease, arrhythmias, hyperlipidemia, pulmonary disease, gastroesophageal reflux disease, costochondritis, arthritis, rheumatologic disease, sickle cell anemia, and risk factors for hypercoagulability (including recent surgery, obesity, or active malignancy). Review the patient’s medications, including current prophylaxis against thromboembolism.
Physical Exam
Perform a targeted physical exam, first observing the patient’s degree of distress and mental status. In patients with altered mental status or complaining of headache, neck pain, or blurry vision, perform a neurologic exam. Assess whether the patient’s chest pain is reproducible by palpation of the chest, particularly the costochondral joints. Perform a cardiac exam, noting tachycardia, arrhythmia, muffled or extra heart sounds, or a pericardial rub. On pulmonary exam, note the presence of decreased breath sounds, particularly at one or both lung bases, crackles, stridor, or wheezing. Assess the patient’s pulses in bilateral upper and lower extremities. Assess the patient’s fluid status, including edema in the extremities, and check for signs of deep vein thrombosis, particularly asymmetrical lower extremity edema or calf pain.
Diagnosis
In an acutely ill patient, particularly one with mental status changes or hemodynamic instability, a complete blood count and comprehensive metabolic panel should be collected; a lactate level should be obtained in patients with signs of sepsis. An arterial blood gas should be obtained in any patient with altered mental status, hypoxemia, or other evidence of hemodynamic instability. A troponin I or T should be collected in any patient with possible acute coronary syndrome. A D-dimer may be of utility in ruling out acute pulmonary embolism or acute aortic syndrome, though a D-dimer level may be falsely elevated in pregnant, postoperative, or elderly patients [29–31].
An ECG should be obtained in all patients with chest pain or pressure. If any abnormalities are noted, compare the most recent ECG to a prior one. ECG changes consistent with an acute coronary syndrome include ST segment changes, T wave inversions, pathologic Q waves, and/or a new left bundle branch block [70]. An ECG may also reveal an arrhythmia or changes associated with pulmonary embolism (Fig. 15.4).
In patients with “tearing” or sharp chest pain (usually maximal at onset), the diagnosis of an acute aortic syndrome should be considered. If an absent carotid or extremity pulse and/or a blood pressure differential between the upper extremities is found, the diagnosis of acute aortic syndrome should be assumed. For confirmation, the most rapidly available test of the following should be ordered for the diagnosis of aortic dissection: transesophageal echocardiogram, chest CT, or cardiac MRI [71].
In patients with chest pain and fever, productive cough, other pulmonary symptoms or positive pulmonary exam findings (particularly decreased breath sounds or crackles), or clinical evidence of fluid overload, a chest radiograph should be obtained, which may reveal such pathology as pneumonia, pneumothorax, pulmonary effusion, pulmonary edema, cardiomegaly, mediastinal or aortic widening, and acute chest syndrome.
In patients with tachycardia and/or hypoxemia in addition to their chest pain, pulmonary embolism should be considered. Please see the preceding section, “Hypoxemia,” for further information on the diagnosis and management of pulmonary embolism.
Management
Please see the preceding section, “Hypoxemia,” for the management of pulmonary edema, pulmonary embolism, pneumonia, asthma, and acute chest syndrome.
Acute Coronary Syndrome
Reported symptoms most suggestive of an acute coronary syndrome are exertional chest pain, with radiation to one or both arms [72]. Chest pressure, nausea, and diaphoresis are moderately predictive, while pleuritic, positional, sharp, and reproducible pains are least consistent with an acute coronary syndrome.
Diagnosis of an acute myocardial infarction requires elevated troponin cTn (troponin I or troponin T) above the 99th percentile upper reference limit, with symptoms of ischemia or characteristic ECG changes (Fig. 15.5, Table 15.2) [70].

Fig. 15.5
ST elevation myocardial infarction (STEMI). The ECG demonstrates ST segment elevation in an anteroseptal (V1–V4) and high lateral distribution (avL) with inferior (III, avF) reciprocal ST segment depressions. These findings are consistent with the diagnosis of acute myocardial infarction. The patient’s underlying rhythm is atrial fibrillation
Table 15.2
Electrocardiogram (ECG) findings concerning for acute coronary syndrome
|
ECG findings |
Comment |
|
ST segment elevations in two contiguous leads |
Elevation >0.1 millivolts (mV), except in V2 or V3, where elevations should be >0.15 mV in women. Shown in Fig. 15.5 |
|
ST segment depression >0.05 mV in two contiguous leads |
ST depressions can also result from nonischemic causes |
|
T wave inversion in two contiguous leads with prominent R wave or R/S ratio of greater than 1 |
|
|
New left bundle branch block |
|
|
Pathologic Q waves |
Thygesen et al. [70]
Of note, ST segment deviations may be noted in nonischemic disease, including acute pericarditis, left ventricular hypertrophy (LVH), left bundle branch block (LBBB), and stress cardiomyopathies [28].
In patients with clinical symptoms or ECG suggestive of an acute coronary syndrome, cardiology must be contacted emergently for further assessment and management. In patients with ECG changes and symptoms consistent with an acute coronary syndrome, cardiology can be contacted before a troponin level is resulted, in order to limit time to possible percutaneous intervention. ECGs should be obtained every 15 min, and the patient should be given a full-dose aspirin that should be chewed to promote rapid absorption. If the patient is a candidate for percutaneous coronary intervention, weight-based heparin should be initiated immediately. While awaiting potential mobilization for percutaneous intervention, the patient’s risk for bleeding should be assessed, including a bleeding diathesis, active bleeding, recent surgery, or surgery planned for the near future. These elements help to define the patient’s suitability for dual antiplatelet therapy which is required during and after intervention.
Acute Aortic Syndrome
Sudden tearing chest pain that migrates from the chest to the lower back, particularly associated with neurologic deficits, a blood pressure difference of 20 mmHg or more between the upper extremities, and an absent carotid or extremity pulse are very strongly associated with acute aortic syndrome [69]. These findings are rarely all seen together.
A D-dimer less than 500 ng/mL decreases the likelihood of an acute aortic syndrome [73]. Transesophageal echocardiogram, chest CT, and cardiac MRI are equally useful in diagnosing aortic dissection, though MRI requires the longest examination time, which limits clinicians’ ability to closely monitor an unstable patient (Fig. 15.6) [74]. Chest radiograph and ECG are insufficient to diagnose or exclude an aortic dissection, though mediastinal widening may be noted on chest radiograph [69, 74].

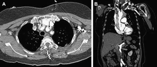
Fig. 15.6
Stanford type A aortic dissection by contrast-enhanced CT. (a) Intimomedial flap (arrows) is noted in brachiocephalic, left common carotid, and left subclavian artery at the level of left brachiocephalic vein. (b) Intimomedial flap (arrows) extending into brachiocephalic artery is noted on coronal image. The contrast enhancement in the true lumen (T) is higher than that of false lumen (F) (Reprinted from Yoo et al. [74], with permission from Elsevier)
Aortic dissections are classified as Type A, involving just the aortic arch, and Type B, occurring below the brachiocephalic vessels [75]. Cardiothoracic surgery (Type A) or vascular surgery (Type B) should be emergently consulted in the event of a positive radiographic finding of aortic dissection.
Pericarditis and Cardiac Tamponade
Patients may be febrile, with chest pain, cough, and/or orthopnea [66]. On exam, patients may have a pericardial friction rub; patients with tamponade usually demonstrate an exaggerated pulsus paradoxus, which is a decline in systolic blood pressure of 10 mmHg or more with inspiration [66]. Tamponade in the absence of two or more signs of inflammation (pain, fever, pericardial friction rub on exam, or diffuse ST segment elevations) is more likely to due to a malignant effusion [66]. Patients with tamponade develop cardiogenic shock, evidenced by tachycardia, hypotension, and/or altered mental status.
Blood work may reveal leukocytosis, elevated erythrocyte sedimentation rate (ESR) and C-reactive protein (CRP), and potentially elevated troponin if the patient has myopericarditis. The ECG in pericarditis may reveal diffuse ST segment elevations and T wave inversions, often in a non-vascular distribution [76]. In contrast, the ECG in tamponade may reveal only low ECG voltage, and sometimes electrical alternans. Chest radiograph may show an enlarged, globular cardiac silhouette [77]. An echocardiogram may reveal an effusion; in patients with large effusions resulting in tamponade, echocardiogram will reveal the diastolic collapse of atrial or ventricular walls [66].
Pericarditis in stable patients can be treated with nonsteroidal anti-inflammatory drugs in addition to colchicine (0.5 mg PO twice per day); corticosteroids may be used for patients with pericardial disease attributed to autoimmune or rheumatologic conditions or uremia [66]. Steroids are not first-line therapy for pericarditis as they are associated with an increased rate of recurrent pericarditis. Large effusions resulting in hemodynamic changes or tamponade require drainage [66].
GERD
In patients with a history of gastroesophageal reflux, retrosternal burning pain, and/or an acidic taste in the mouth, a trial of an antacid—proton pump inhibitors or H2-receptor antagonists—may be helpful [78]. GERD should be a diagnosis of exclusion in patients with chest pain.
Musculoskeletal
Patients with reproducible chest or breast pain, in the absence of other clinically significant findings or vital sign changes, can be treated with analgesia; heating pads may also improve symptoms. Patients with primarily shoulder pain after surgery, particularly laparoscopy, may be symptomatic from diaphragmatic irritation by pneumoperitoneum or fluid. This is a diagnosis of exclusion [79].
Hypotension
Definition
Hypotension
Definitions include a systolic blood pressure (SBP) decline of 20 % or more from a patient’s baseline for 15 min or more or an SBP below 90 mmHg [80, 81]. While hypotension may be due to a variety of causes, when it is due to hemorrhage, up to 40 % of a patient’s blood volume has already been lost by the time hypotension begins; this often marks the onset of decompensated hypovolemic shock [82].
Differential Diagnosis [83–85]
· Hypovolemia, including hemorrhage
· Sepsis
· Cardiac dysfunction, including myocardial infarction, tamponade, heart failure, pulmonary embolus, arrhythmia
· Anaphylaxis
· Medication effect: antihypertensives, antipsychotics, anxiolytics, diuretics, nitrates, and opioids
· Orthostasis
Vasovagal
When You Get the Call
Ask for a full set of vital signs and a repeat blood pressure measurement, preferably manually if possible. Ask whether any events instigated the hypotension, such as standing quickly.
When You Arrive
Assess the patient’s distress and mental status. Confirm the patient’s blood pressure, with a manual cuff if possible. In hypotensive patients who are febrile, hypoxemic, and tachycardic or have altered mental status, call for additional medical personnel, particularly if the patient may require triage to an intensive care unit.
Confirm that the patient has IV access; place a second IV in patients with hypotension and altered mental status, clinical evidence of bleeding, or other evidence of hemodynamic instability . Review the patient’s known allergies, and compare with any new recent exposures that may have instigated anaphylaxis. Review the full vital sign flow sheet, including assessing for fever and adequate urine output (0.3–0.5 mL/kg per hour) [84]. Review any available blood pressure measurements prior to admission to establish her baseline blood pressure.
History
Review whether the patient is symptomatic from her hypotension, including headache, dizziness, pre-syncope, palpitations, chest pain, and shortness of breath. Ask the patient for her baseline blood pressure, whether low, normal, or high. Review the patient’s past medical history, including known thrombophilia, bleeding diatheses, or cardiac disease including heart failure, hypertension, coronary artery disease, cardiac valvular disease, or cardiac arrhythmia. Review whether the patient was taking glucocorticoids prior to admission, which may place her at risk of adrenal insufficiency in the setting of surgery or acute illness.
Review the patient’s current medications including epidural anesthesia and any recent medication or dosage changes. Review the patient’s recent hemoglobin values, noting any downtrend. Assess whether she has had emesis or diarrhea, resulting in hypovolemia. If the patient is recently postoperative, review the operative report, including extent of surgical dissection, intravascular resuscitation, and blood loss. Of note, many surgical patients are already hypovolemic preoperatively due to fasting and an oral mechanical bowel preparation, and intraoperative blood and insensible fluid losses may have been inadequately replaced.
Physical Examination
Perform a focused physical examination , including a mental status assessment, cardiopulmonary exam, and abdominal exam for evidence of distension, rebound, or guarding. Examine recent surgical incisions for deformity (suggestive of dehiscence, hernia or hematoma), drainage or bleeding. Examine the abdomen and flanks for ecchymosis (the latter suggestive of retroperitoneal bleeding). Assess for vaginal hemorrhage. Examine the extremities for evidence of deep vein thrombosis, also noting whether the extremities are cool and clammy (suggestive of shock).
Diagnosis
Any patients with acute hypotension should have a complete blood count and basic metabolic panel; an ECG should be obtained, particularly in any patient with a cardiac history or symptoms of chest pain or dyspnea. Obtain coagulation studies (prothrombin time (PTT), activated partial thromboplastin time (aPTT) and fibrinogen) in patients receiving therapeutic anticoagulation or with clinical findings suggestive of hemorrhage. A lactate level should be obtained in patients with signs of sepsis or exam findings concerning for an acute intra-abdominal process. An arterial blood gas should be obtained in any patient with altered mental status, hypoxemia, or other evidence of hemodynamic instability [84].
Regarding patients who are acutely hypotensive in the hours after surgery—usually occurring in the postanesthesia care unit—inform the anesthesiology service. In addition to lab work, assess for vaginal bleeding and consider a focused assessment with sonography for trauma (FAST) scan for the rapid assessment of hemoperitoneum if ultrasound is readily available [86]. Assess for intraoperative exposures that may cause anaphylaxis, including medications, latex, and adhesives [84]. Consider chest x-ray if lung exam suggests decreased breath sounds and/or possible pneumothorax. The ECG remains critical in this setting to evaluate for arrhythmias that are poorly tolerated.
In patients with fever, obtain blood cultures, urine cultures, and sputum or wound cultures as applicable and a lactate level. A chest radiograph may be helpful, particularly in hypoxemic patients and postoperative patients who may have aspiration pneumonia. Please see Chap. 1, Acute Pelvic Pain, for more information on the diagnosis and management of sepsis.
In a postoperative patient, or an oncology patient receiving bevacizumab (conferring an increased risk of spontaneous bowel perforation), who also have a fever or otherwise concerning abdominal exam, consider an emergency abdominal CT scan to assess for abscess, bowel leakage, urinary tract injury, or hemorrhage [87]. Postoperative hemorrhage is likely to present in the hours after surgery, while abscess and occult gastrointestinal or urinary tract injuries commonly present days later. Please see Chap. 16, Complications of Minimally Invasive Gynecologic Surgery, for the diagnosis and management of visceral injury.
Management
In acutely ill patients, particularly those with fever, tachycardia, or altered mental status, call for additional medical personnel for support, particularly if the patient may require triage to an intensive care unit.
In patients with sepsis, expeditious resuscitation, including antibiotic initiation within 1 h of the diagnosis of sepsis , is vital to improved patient survival. Please see Chap. 1, Acute Pelvic Pain, for the management of sepsis. Essentially, identification of the suspected source of infection is crucial, either by clinical history, examination, or imaging. Antibiotic selection should be tailored to the suspected source and recent antibiotic exposure. Please refer to Chap. 16, Complications of Minimally Invasive Gynecologic Surgery, for antibiotic recommendations for specific infectious sources. In patients with sepsis from an unknown source, a broad-spectrum regimen can include vancomycin (15 mg/kg IV every 12 h in patients with normal renal function) and piperacillin–tazobactam (3.375–4.5 g IV every 6 h); alternatives to piperacillin–tazobactam include cefepime (2 g IV every 8 h) and ceftazidime (2 g IV every 8 h) [88].
Please see the preceding section “Hypoxemia” for the diagnosis and management of pulmonary embolism and anaphylaxis. Acute coronary syndromes are discussed in section “Chest pain.” Please see Chap. 14, Common Postoperative and Inpatient Issues, section “Tachycardia” for the diagnosis and management of atrial fibrillation, the most common arrhythmia in postoperative or acutely ill patients.
Patients taking glucocorticoids chronically often require additional glucocorticoid supplementation—“stress dose steroids”—in the setting of acute illness or surgery [89]. Patients without this supplementation may develop adrenal insufficiency, resulting in hypotension and/or hyponatremia [89]. Patients taking more than 5 mg of prednisone or the equivalent per day for more than 3 weeks require stress dose steroids [89, 90]. For minor surgeries or illness (such as mild febrile illness), hydrocortisone (25 mg IV once) or methylprednisolone (5 mg IV once) is recommended, in addition to the patient’s maintenance steroids [89]. Patients undergoing moderate surgeries or illness (such as hemicolectomy or pneumonia) can be treated with hydrocortisone (50–75 mg IV) or methylprednisolone (10–15 mg IV) on the day of the procedure, tapered over 1–2 days. Patients undergoing major surgery or severely ill (such as a Whipple procedure or pancreatitis) should be treated with hydrocortisone (100–150 mg IV) or methylprednisolone (20–30 mg IV) on the day of the procedure, tapered over 1–2 days. Finally, critically ill patients, with sepsis or septic shock, should receive hydrocortisone (50–100 mg IV every 6–8 h) and fludrocortisone (50 micrograms (μg) per day) until the shock is resolved, then tapered over a week.
Subacute relative hypotension in an otherwise stable patient is often due to hypovolemia and can usually be remedied with a fluid challenge, by infusing a 500-1,000 mL normal saline bolus over 15–20 min [91]. Fluid should be administered judiciously in older patients with cardiac, pulmonary or renal disease, due to the risk of fluid overload. In acutely ill patients, time should not be wasted with a trial of IV hydration alone.
Older and/or recently postoperative patients may also have orthostatic hypotension. If the patient is symptomatic or has vital sign changes with movement, check orthostatic vital signs by measuring blood pressure and pulse while the patient is lying down then standing [92]. A positive finding is a decrease in systolic blood pressure by at least 20 mmHg or diastolic blood pressure by at least 10 mmHg within 3 min of standing, usually accompanied by compensatory tachycardia. Conditions associated with orthostasis are hypovolemia—such as due to hemorrhage, dehydration from vomiting/diarrhea, or inadequate resuscitation in the operating room—deconditioning, and medications such as diuretics and narcotics. Orthostasis in the absence of more acute pathology is a diagnosis of exclusion. Until fully resuscitated, patients with orthostasis should be accompanied when standing up and may ultimately benefit from physical therapy consult depending on their functional capacity.
Finally, even in the absence of an allergic reaction, medications may contribute to relative hypotension in otherwise hemodynamically stable, well-appearing patients; consider decreasing the dose and/or frequency of narcotics. In surgical patients, epidural medication infusions can produce hypotension, and decreasing the analgesic infusion rate may be of utility in correcting hypotension [93].
Altered Mental Status
Definitions
Delirium
An acute alteration in attention, awareness, and cognition, which often fluctuates [94]. Delirium is common in older people admitted to the hospital or residing in long-term care facilities; delirium occurs in 15–53 % of older adults after surgery [94]. Risk factors for delirium include major surgery, anesthesia, chronic illness, age greater than 65 years, dementia, and cognitive or vision impairment [95, 96]. Delirium confers an increased risk of mortality [95].
Alcohol Withdrawal
Symptoms precipitated by alcohol cessation include anxiety, tachycardia, tachypnea, hypertension, pyrexia, and hand tremors [97]. Patients with severe withdrawal (delirium tremens) may have vomiting, hallucinations, agitation, and generalized tonic–clonic seizures [97]. After alcohol cessation, symptoms may begin within 8 h, peak in 72 h, and begin to resolve by 5–7 days [98].
Thrombotic thrombocytopenic purpura (TTP)
A rare thrombotic microangiopathy, either familial or more commonly acquired, which results in a syndrome of thrombocytopenia, microangiopathic hemolytic anemia, neurologic abnormalities, renal failure, and fever [99, 100].
Differential Diagnosis [101]
· Sepsis
· Infection (urinary tract infection, pneumonia, bacteremia, meningitis)
· Stroke
· Seizure (postictal)
· Hypertensive encephalopathy
· Withdrawal (alcohol, sedatives)
· Hypoxia
· Hypoperfusion of the brain, including hypotension and cardiac arrhythmia
· Medication effect (sedatives, narcotics, anticholinergics, barbiturates, dopamine agonists, serotonin syndrome)
· Metabolic (electrolytes, renal failure, uremia, thyrotoxicosis, hyper-/hypoglycemia)
· Thiamine deficiency
· Urinary retention
· Thrombotic thrombocytopenic purpura (TTP)
· Dementia
· Delirium
· Psychiatric illness
When You Get the Call
Ask for a full set of vital signs, including temperature and oxygenation.
When You Arrive
Review the full vital signs flow sheet. Ensure that the patient has IV access. Assess the patient’s degree of alertness and agitation. Stupor—meaning the patient is not arousable to verbal stimuli—or coma constitutes a medical emergency, and additional help should be called.
History
The extent of history taking may be limited by the acuity of the patient’s illness or obtained while resuscitation maneuvers have begun. The patient may not be able to provide a history of her symptoms; collateral history from nurses and family is helpful. Ascertain the onset of symptoms (sudden or progressive) and whether the patient complained, or is complaining, of any symptoms such as abdominal pain, chest pain, shortness of breath, and severe headache. Determine whether the patient had any baseline cognitive or sensory impairments, which would predispose to delirium or affect the current assessment.
Review the patient’s current medications including narcotics, sedatives, benzodiazepines, digoxin, and lithium. Review her full patient medical history, including seizure disorders, prior strokes or thromboembolic disease, risk factors for thromboembolism (including hereditary thrombophilias, obesity, immobility, recent surgery, or active malignancy), thrombotic thrombocytopenic purpura, renal insufficiency, liver disease, thyroid dysfunction, diabetes, dementia, psychiatric illness, or alcohol abuse.
Physical
Assess the patient’s alertness and orientation. Assess for meningeal signs (including pain with flexion of the neck), asterixis, and involuntary movements. Perform a full neurologic exam. Ophthalmoplegia can also be seen in patients with increased intracranial pressure or Wernicke encephalopathy (thiamine deficiency); the latter may also demonstrate ataxia [40]. The remainder of the physical exam should be directed to the patient’s complaints. All postoperative patients should have an abdominal exam to assess for distention, pain, ecchymosis, and intact incisions.
Diagnosis
In any patient who becomes lethargic or somnolent, obtain a complete blood count with differential, complete metabolic panel (electrolytes including calcium, a creatinine level, and liver function tests), and an ECG. Obtain a lactate dehydrogenase (LDH) and ADAMTS 13 in patients with a history of TTP. If hemorrhage—vaginal or intra-abdominal—is suspected, coagulation studies, and a blood type and antibody screen should be collected. A finger-stick and arterial blood gas should be obtained in any patient with lethargy or somnolence. A toxicology screen can be obtained in new admissions or patients suspected of bringing illicit substances into the hospital. A urinalysis should also be obtained, as urinary tract infection can instigate delirium, particularly in the elderly. An emergent head CT should be ordered for any patients with focal neurologic findings or concern for stroke. In patients suspected of having had a seizure, urgent neurology consultation should be requested; these patients may require electroencephalograms. Please see Chap. 1, Acute Pelvic Pain, for the diagnosis and management of sepsis.
Differentiating delirium from dementia is an important step. Delirium is rapid onset and fluctuating; patients have inattention, altered consciousness, and disturbances of the sleep–wake cycle and may have disorganized thinking and hallucinations [40]. Dementia is gradual in onset, typically in a stably progressive course over months to years. Inattention, altered consciousness, disordered thinking, hallucinations, and sleep–wake cycle disturbances are not usually present in patients with dementia. To meet the criteria for delirium, a patient’s symptoms must wax and wane, with evidence of inattention—commonly tested by asking patients to count backward from 20 or recite the days of the week backward [102]. In addition, patients should demonstrate either disorganized thinking or altered consciousness, which can span lethargy to agitation [103].
Management
In an acutely somnolent patient who may not “protect the airway,” optimally position the patient with extended neck and chin thrust if necessary. Altered mental status may result from hypoxemia; please see the preceding section “Hypoxemia” for the differential diagnosis and management of causal conditions. For the management of severe elevations in blood pressure or cardiac arrhythmias which may contribute to altered mental status, please see Chap. 14, Common Postoperative and Inpatient Issues, sections “Asymptomatic hypertension” and “Tachycardia,” respectively, for more information. Please see Chap. 1, Acute Pelvic Pain, for the management of sepsis.
Metabolic derangements should be corrected. In patients with hypoglycemia, administer an ampule (50 mL) of a dextrose 50 % solution (D50) intravenously or 2 mg glucagon intramuscularly [40]. In malnourished patients or those with alcohol abuse, consider administering 100 mg of thiamine IV before administering glucose, as Wernicke encephalopathy (an acute, potentially life-threatening encephalopathy resulting from thiamine deficiency) can be precipitated or exacerbated by glucose administration.
In patients with new thrombocytopenia and an elevated LDH, TTP is a strong possibility and hematology should be consulted. Clinically, the presence of thrombocytopenia, schistocytes (fragmented erythrocytes) on a blood smear, and an elevated LDH, suggestive of hemolysis, are sufficient for diagnosis [100]. Acquired TTP, which is more common than familial TTP and generally presents in adolescents and adults, requires emergent plasma exchange, which is overseen by hematology. Pregnancy is a known risk factor for the TTP syndrome. TTP is a medical emergency and a high index of clinical suspicion should remain in any patient with altered mental status and thrombocytopenia.
In patients receiving narcotics, particularly postoperative patients who may be receiving large doses of narcotics, consider the diagnosis of narcotic excess, managed by administering intravenous naloxone. Start with 0.4 mg, which can be increased to 2 mg if there is no response; doses can be repeated every 2–3 min, up to a total dose of 10 mg [40]. In this setting, be sure to remove fentanyl patches.
Signs and symptoms of alcohol withdrawal are commonly assessed using the Clinical Institute Withdrawal Assessment of Alcohol Scale (CIWA-Ar) [104, 105]. The score is based on a patient’s symptoms of sweating, anxiety, agitation, tremor, auditory, visual or tactile disturbances, nausea, headache, or clouded sensorium [105]. Scores lower than 8 are generally mild. Patients with scores above 8–10 can receive chlordiazepoxide (50–100 mg), diazepam (10–20 mg), or lorazepam (2–4 mg), with reassessment hourly for improvement or need for more medication [106]. Patients with scores above 15 are at risk of delirium tremens and require close observation, sometimes in an intensive care unit [105]. The nutritional (such as thiamine) and intravascular volume deficits of patients in alcohol withdrawal must also be carefully repleted.
Medications contributing to altered mental status should be decreased or discontinued. Patients with delirium should be reoriented; a normal sleep cycle should be facilitated, adequate hydration and nutrition should be ensured, and early mobilization should be encouraged [95]. In patients with acute agitation who may be a danger to themselves, medication treatment options exist (Table 15.3). Haloperidol should be avoided in patients in substance withdrawal, hepatic insufficiency, Parkinson disease, or neuroleptic malignant syndrome [94]. Obtain baseline ECGs in hospitalized patients receiving these or other QT-prolonging medications, and repeat ECGs in patients receiving escalating doses; the QTc should be less than 500 msec [107].
Table 15.3
Medical management of delirium
|
Medication |
Dose |
Side effects |
|
Haloperidol |
0.5–1.0 mg PO twice per day with additional doses every 4 h as needed 0.5–1.0 mg IM or IV every 60 min as needed Maximum dose: 20 mg in 24 h |
Extrapyramidal effects, prolonged QT, and torsades de pointes |
|
Atypical antipsychotics |
Olanzapine: 2.5–5.0 mg PO daily. Maximum dose of 20 mg in 24 h Quetiapine: 25 mg PO twice daily Risperidone: 0.5 mg PO twice daily |
Extrapyramidal effects, prolonged QT and torsades de pointes, cerebrovascular accident, anticholinergic effects, hypotensionIncreased morality rate among elderly with dementia |
|
Lorazepam |
0.5–1.0 mg PO every 4 h |
Oversedation, paradoxical excitation, worsened delirium |
|
Trazodone |
25–150 mg PO at bedtime |
Oversedation or worsened delirium |
From (1) Kalish et al. [94]. (2) Inouye [96]
References
1.
Xue FS, Li BW, Zhang GS, Liao X, Zhang YM, Liu JH, et al. The influence of surgical sites on early postoperative hypoxemia in adults undergoing elective surgery. Anesth Analg. 1999;88:213–9.PubMed
2.
Hedenstierna G, Edmark L. Mechanisms of atelectasis in the perioperative period. Best Pract Res Clin Anaesthesiol. 2010;24:157–69.CrossRefPubMed
3.
Mavros MN, Velmahos GC, Falagas ME. Atelectasis as a cause of postoperative fever: where is the clinical evidence? Chest. 2011;140:418–24.CrossRefPubMed
4.
Piantadosi CA, Schwartz DA. The acute respiratory distress syndrome. Ann Intern Med. 2004;141:460–70.CrossRefPubMed
5.
Ware LB, Matthay MA. The acute respiratory distress syndrome. N Engl J Med. 2000;342:1334–49.CrossRefPubMed
6.
Villar J, Blanco J, Anon JM, Santos-Bouza A, Blanch L, Ambrós A, et al. The ALIEN study: incidence and outcome of acute respiratory distress syndrome in the era of lung protective ventilation. Intensive Care Med. 2011;37:1932–41.CrossRefPubMed
7.
Davis JD. Prevention, diagnosis, and treatment of venous thromboembolic complications of gynecologic surgery. Am J Obstet Gynecol. 2001;184:759–75.CrossRefPubMed
8.
Zondag W, Kooiman J, Klok FA, Dekkers OM, Huisman MV. Outpatient versus inpatient treatment in patients with pulmonary embolism: a meta-analysis. Eur Respir J. 2013;42:134–44.CrossRefPubMed
9.
Jiménez D, Aujesky D, Díaz G, Monreal M, Otero R, Martí D, et al. Prognostic significance of deep vein thrombosis in patients presenting with acute symptomatic pulmonary embolism. Am J Respir Crit Care Med. 2010;181:983–91.CrossRefPubMed
10.
Murray JF. Pulmonary edema: pathophysiology and diagnosis. Int J Tuberc Lung Dis. 2011;15:155–60.PubMed
11.
Bentz MR, Primack SL. Intensive care unit imaging. Clin Chest Med. 2015;36:219–34.CrossRefPubMed
12.
Rimoldi SF, Yuzefpolskaya M, Allemann Y, Messerli F. Flash pulmonary edema. Prog Cardiovasc Dis. 2009;52:249–59.CrossRefPubMed
13.
Ware LB, Matthay MA. Clinical practice. Acute pulmonary edema. N Engl J Med. 2005;353:2788–96.CrossRefPubMed
14.
Yancy CW, Jessup M, Bozkurt B, Butler J, Casey Jr DE, Drazner MH, et al. 2013 ACCF/AHA guideline for the management of heart failure: a report of the American College of Cardiology Foundation/American Heart Association Task Force on Practice Guidelines. J Am Coll Cardiol. 2013;62:e147–239.CrossRefPubMed
15.
Narick C, Triulzi DJ, Yazer MH. Transfusion-associated circulatory overload after plasma transfusion. Transfusion. 2012;52:160–5.CrossRefPubMed
16.
Li G, Rachmale S, Kojicic M, Shahjehan K, Malinchoc M, Kor DJ, et al. Incidence and transfusion risk factors for transfusion-associated circulatory overload among medical intensive care unit patients. Transfusion. 2011;51:338–43.CrossRefPubMed
17.
Alam A, Lin Y, Lima A, Hansen M, Callum JL. The prevention of transfusion-associated circulatory overload. Transfus Med Rev. 2013;27:105–12.CrossRefPubMed
18.
Lieberman L, Maskens C, Cserti-Gazdewich C, Hansen M, Lin Y, Pendergrast J, et al. A retrospective review of patient factors, transfusion practices, and outcomes in patients with transfusion-associated circulatory overload. Transfus Med Rev. 2013;27:206–12.CrossRefPubMed
19.
Toy P, Popovsky MA, Abraham E, Ambruso DR, Holness LG, Kopko PM, et al. Transfusion-related acute lung injury: definition and review. Crit Care Med. 2005;33:721–6.CrossRefPubMed
20.
Sayah DM, Looney MR, Toy P. Transfusion reactions: newer concepts on the pathophysiology, incidence, treatment, and prevention of transfusion-related acute lung injury. Crit Care Clin. 2012;28:363–72.CrossRefPubMedPubMedCentral
21.
Wood RA, Camargo Jr CA, Lieberman P, Sampson HA, Schwartz LB, Zitt M, et al. Anaphylaxis in America: the prevalence and characteristics of anaphylaxis in the United States. J Allergy Clin Immunol. 2014;133:461–7.CrossRefPubMed
22.
Ray P, Birolleau S, Lefort Y, Becquemin MH, Beigelman C, Isnard R, et al. Acute respiratory failure in the elderly: etiology, emergency diagnosis and prognosis. Crit Care. 2006;10:R82.CrossRefPubMedPubMedCentral
23.
Sachdev G, Napolitano LM. Postoperative pulmonary complications: pneumonia and acute respiratory failure. Surg Clin North Am. 2012;92:321–44.CrossRefPubMed
24.
Adams JY, Sutter ME, Albertson TE. The patient with asthma in the emergency department. Clin Rev Allergy Immunol. 2012;43:14–29.CrossRefPubMed
25.
Dao Q, Krishnaswamy P, Kazanegra R, Harrison A, Amirnovin R, Lenert L, et al. Utility of B-type natriuretic peptide in the diagnosis of congestive heart failure in an urgent-care setting. J Am Coll Cardiol. 2001;37:379–85.CrossRefPubMed
26.
Nikus K, Pahlm O, Wagner G, Birnbaum Y, Cinca J, Clemmensen P, et al. Electrocardiographic classification of acute coronary syndromes: a review by a committee of the International Society for Holter and Non-Invasive Electrocardiology. J Electrocardiol. 2010;43:91–103.CrossRefPubMed
27.
Kumar A, Cannon CP. Acute coronary syndromes: diagnosis and management, part I. Mayo Clin Proc. 2009;84:917–38.CrossRefPubMedPubMedCentral
28.
Wang K, Asinger RW, Marriott HJ. ST-segment elevation in conditions other than acute myocardial infarction. N Engl J Med. 2003;349:2128–35.CrossRefPubMed
29.
van Belle A, Büller HR, Huisman MV, Huisman PM, Kaasjager K, Kamphuisen PW, et al. Effectiveness of managing suspected pulmonary embolism using an algorithm combining clinical probability, D-dimer testing, and computed tomography. JAMA. 2006;295:172–9.CrossRefPubMed
30.
Bounameaux H, de Moerloose P, Perrier A, Reber G. Plasma measurement of D-dimer as diagnostic aid in suspected venous thromboembolism: an overview. Thromb Haemost. 1994;71:1–6.PubMed
31.
Righini M, Goehring C, Bounameaux H, Perrier A. Effects of age on the performance of common diagnostic tests for pulmonary embolism. Am J Med. 2000;109:357–61.CrossRefPubMed
32.
Frat JP, Thille AW, Mercat A, Girault C, Ragot S, Perbet S, et al. High-flow oxygen through nasal cannula in acute hypoxemic respiratory failure. N Engl J Med. 2015;372:2185–96S.CrossRefPubMed
33.
Stoller JK. Clinical practice. Acute exacerbations of chronic obstructive pulmonary disease. N Engl J Med. 2002;346:988–94.CrossRefPubMed
34.
Laurie GA. Acute chest syndrome in sickle cell disease. Intern Med J. 2010;40:372–6.CrossRefPubMed
35.
Sampson HA, Muñoz-Furlong A, Campbell RL, Adkinson Jr NF, Bock SA, Branum A, et al. Second symposium on the definition and management of anaphylaxis: summary report – second National Institute of Allergy and Infectious Disease/Food Allergy and Anaphylaxis Network symposium. Ann Emerg Med. 2006;47:373–80.CrossRefPubMed
36.
Definition Task Force ARDS, Ranieri VM, Rubenfeld GD, Thompson BT, Ferguson ND, Caldwell E, et al. Acute respiratory distress syndrome: the Berlin Definition. JAMA. 2012;307:2526–33.
37.
National Asthma Education and Prevention Program. Expert Panel Report 3 (EPR-3): guidelines for the diagnosis and management of asthma-summary report 2007. J Allergy Clin Immunol. 2007;120:S94–138.CrossRef
38.
National Institute for Occupational Safety and Health Division of Respiratory Disease Studies, website for the Centers for Disease control and prevention. http://www.cdc.gov/niosh/topics/spirometry/nhanes.html. Updated 2 Dec 2011. Accessed 15 Aug 2015.
39.
Anthonisen NR, Manfreda J, Warren CPW, Hershfield ES, Harding GK, Nelson NA. Antibiotic therapy in exacerbations of chronic obstructive pulmonary disease. Ann Intern Med. 1987;106:196–204.CrossRefPubMed
40.
Han JH, Wilber ST. Altered mental status in older patients in the emergency department. Clin Geriatr Med. 2013;29:101–36.CrossRefPubMedPubMedCentral
41.
Mason M, Cates CJ, Smith I. Effects of opioid, hypnotic and sedating medications on sleep-disordered breathing in adults with obstructive sleep apnoea. Cochrane Database Syst Rev. 2015;7:CD011090.PubMed
42.
Feller-Kopman D, Berkowitz D, Boiselle P, Ernst A. Large-volume thoracentesis and the risk of reexpansion pulmonary edema. Ann Thorac Surg. 2007;84:1656–61.CrossRefPubMed
43.
Junqueira JJ, Bammann RH, Terra RM, Castro AC, Ishy A, Fernandez A. Pleural effusion following ovarian hyperstimulation. J Bras Pneumol. 2012;38:400–3.CrossRefPubMed
44.
Fortin M, Tremblay A. Pleural controversies: indwelling pleural catheter vs. pleurodesis for malignant pleural effusions. J Thorac Dis. 2015;7:1052–7.PubMedPubMedCentral
45.
Pollak JS. Malignant pleural effusions: treatment with tunneled long-term drainage catheters. Curr Opin Pulm Med. 2002;8:302–7.CrossRefPubMed
46.
Celis R, Torres A, Gatell JM, Almela M, Rodríguez-Roisin R, Agustí-Vidal A. Nosocomial pneumonia. A multivariate analysis of risk and prognosis. Chest. 1988;93:318–24.CrossRefPubMed
47.
Metlay JP, Kapoor WN, Fine MJ. Does this patient have community-acquired pneumonia? Diagnosing pneumonia by history and physical examination. JAMA. 1997;278:1440–5.CrossRefPubMed
48.
American Thoracic Society, Infectious Diseases Society of America. Guidelines for the management of adults with hospital-acquired, ventilator-associated, and healthcare-associated pneumonia. Am J Respir Crit Care Med. 2005;171:388–416.CrossRef
49.
Ottosen J, Evans H. Pneumonia: challenges in the definition, diagnosis, and management of disease. Surg Clin North Am. 2014;94:1305–17.CrossRefPubMed
50.
Silver MA, Maisel A, Yancy CW, McCullough PA, Burnett Jr JC, Francis GS, et al. BNP Consensus Panel 2004: a clinical approach for the diagnostic, prognostic, screening, treatment monitoring, and therapeutic roles of natriuretic peptides in cardiovascular diseases. Congest Heart Fail. 2004;10:1–30.CrossRef
51.
Khot UN, Khot MB, Bajzer CT, Sapp SK, Ohman EM, Brener SJ, et al. Prevalence of conventional risk factors in patients with coronary heart disease. JAMA. 2003;290:898–904.CrossRefPubMed
52.
Scott MC, Winters ME. Congestive heart failure. Emerg Med Clin North Am. 2015;33:553–62.CrossRefPubMed
53.
Digby GC, Kukla P, Zhan ZQ, Pastore CA, Piotrowicz R, Schapachnik E, et al. The value of electrocardiographic abnormalities in the prognosis of pulmonary embolism: a consensus paper. Ann Noninvasive Electrocardiol. 2015;20:207–23.CrossRefPubMed
54.
Agrawal N, Ramegowda RT, Patra S, Hegde M, Agarwal A, Kolhari V, et al. Predictors of inhospital prognosis in acute pulmonary embolism: keeping it simple and effective! Blood Coagul Fibrinolysis. 2014;25:492–500.CrossRefPubMed
55.
Zhan ZQ, Wang CQ, Nikus KC, He CR, Wang J, Mao S, et al. Electrocardiogram patterns during hemodynamic instability in patients with acute pulmonary embolism. Ann Noninvasive Electrocardiol. 2014;19:543–51.CrossRefPubMed
56.
Bösner S, Haasenritter J, Hani MA, Keller H, Sönnichsen AC, Karatolios K, et al. Gender differences in presentation and diagnosis of chest pain in primary care. BMC Fam Pract. 2009;10:79.CrossRefPubMedPubMedCentral
57.
Wells PS, Anderson DR, Rodger M, Ginsberg JS, Kearon C, Gent M, et al. Derivation of a simple clinical model to categorize patients probability of pulmonary embolism: increasing the models utility with the SimpliRED D-dimer. Thromb Haemost. 2000;83:416–20.PubMed
58.
Cohen AT, Dobromirski M, Gurwith MM. Managing pulmonary embolism from presentation to extended treatment. Thromb Res. 2014;133:139–48.CrossRefPubMed
59.
Siragusa S, Cosmi B, Piovella F, Hirsh J, Ginsberg JS. Low-molecular-weight heparins and unfractionated heparin in the treatment of patients with acute venous thromboembolism: results of a meta-analysis. Am J Med. 1996;100:269–77.CrossRefPubMed
60.
Kearon C, Akl EA, Comerota AJ, Prandoni P, Bounameaux H, Goldhaber SZ, et al. Antithrombotic therapy for VTE disease: antithrombotic therapy and prevention of thrombosis, 9th ed: American College of Chest Physicians Evidence-Based Clinical Practice Guidelines. Chest. 2012;141:e419S–94.CrossRefPubMedPubMedCentral
61.
Bernard GR, Artigas A, Brigham KL, Carlet J, Falke K, Hudson L, et al. Report of the American-European consensus conference on acute respiratory distress syndrome: definitions, mechanisms, relevant outcomes, and clinical trial coordination. Consensus Committee. J Crit Care. 1994;9:72–81.CrossRefPubMed
62.
Silliman CC, McLaughlin NJ. Transfusion-related acute lung injury. Blood Rev. 2006;20:139–59.CrossRefPubMed
63.
Naghavi M, Libby P, Falk E, Casscells SW, Litovsky S, Rumberger J, et al. From vulnerable plaque to vulnerable patient: a call for new definitions and risk assessment strategies: part I. Circulation. 2003;108:1664–72.CrossRefPubMed
64.
Song JK. Update in acute aortic syndrome: intramural hematoma and incomplete dissection as new disease entities. J Cardiol. 2014;64:153–61.CrossRefPubMed
65.
Nienaber CA, Clough RE. Management of acute aortic dissection. Lancet. 2015;385:800–11.CrossRefPubMed
66.
Maisch B, Seferović PM, Ristić AD, Erbel R, Rienmüller R, Adler Y, et al. Guidelines on the diagnosis and management of pericardial diseases executive summary; The Task force on the diagnosis and management of pericardial diseases of the European society of cardiology. Eur Heart J. 2004;25:587–610.
67.
Sagristà-Sauleda J, Mercé J, Permanyer-Miralda G, Soler-Soler J. Clinical clues to the causes of large pericardial effusions. Am J Med. 2000;109:95–101.
68.
Lenfant C. Chest pain of cardiac and noncardiac origin. Metabolism. 2010;59 Suppl 1:S41–6.CrossRefPubMed
69.
von Kodolitsch Y, Schwartz AG, Nienaber CA. Clinical prediction of acute aortic dissection. Arch Intern Med. 2000;160:2977–82.CrossRef
70.
Thygesen K, Alpert JS, Jaffe AS, Simoons ML, Chaitman BR, White HD, et al. Third universal definition of myocardial infarction. J Am Coll Cardiol. 2012;60:1581–98.
71.
Hagan PG, Nienaber CA, Isselbacher EM, Bruckman D, Karavite DJ, Russman PL, et al. The International Registry of Acute Aortic Dissection (IRAD): new insights into an old disease. JAMA. 2000;283:897–903.
72.
Swap CJ, Nagurney JT. Value and limitations of chest pain history in the evaluation of patients with suspected acute coronary syndromes. JAMA. 2005;294:2623–9.
73.
Suzuki T, Distante A, Zizza A, Trimarchi S, Villani M, Salerno Uriarte JA, et al. Diagnosis of acute aortic dissection by D-dimer: the International Registry of Acute Aortic Dissection Substudy on Biomarkers (IRAD-Bio) experience. Circulation. 2009;119:2702–7.CrossRefPubMed
74.
Yoo SM, Lee HY, White CS. MDCT evaluation of acute aortic syndrome. Radiol Clin North Am. 2010;48:67–83.CrossRefPubMed
75.
Daily PO, Trueblood HW, Stinson EB, Wuerflein RD, Shumway NE. Management of acute aortic dissections. Ann Thorac Surg. 1970;10:237–47.
76.
Lange RA, Hillis LD. Clinical practice. Acute pericarditis. N Engl J Med. 2004;351:2195–202.
77.
Spodick DH. Acute cardiac tamponade. N Engl J Med. 2003;349:684–90.
78.
Vakil N, van Zanten SV, Kahrilas P, Dent J, Jones R, Global Consensus Group. The Montreal definition and classification of gastroesophageal reflux disease: a global evidence-based consensus. Am J Gastroenterol. 2006;101:1900–20.CrossRefPubMed
79.
Magrina JF. Complications of laparoscopic surgery. Clin Obstet Gynecol. 2002;45:469–80.CrossRefPubMed
80.
Vincent JL, De Backer D. Circulatory shock. N Engl J Med. 2014;370:583.PubMed
81.
Rose DK, Cohen MM, DeBoer DP. Cardiovascular events in the postanesthesia care unit: contribution of risk factors. Anesthesiology. 1996;84:772–81.CrossRefPubMed
82.
Cherkas D. Traumatic hemorrhagic shock: advances in fluid management. Emerg Med Pract. 2011;13:1–19.PubMed
83.
Holler JG, Bech CN, Henriksen DP, Mikkelsen S, Pedersen C, Lassen AT. Nontraumatic hypotension and shock in the emergency department and the prehospital setting, prevalence, etiology, and mortality: a systematic review. PLoS One. 2015;10:e0119331.CrossRefPubMedPubMedCentral
84.
Plante A, Ro E, Rowbottom JR. Hemodynamic and related challenges: monitoring and regulation in the postoperative period. Anesthesiol Clin. 2012;30:527–54.CrossRefPubMed
85.
Jones D, Kho A, Francesco L. Chapter 91. Hypotension. In: McKean SC, Ross JJ, Dressler DD, Brotman DJ, Ginsberg JS, editors. Principles and practice of hospital medicine. New York: McGraw-Hill; 2012. http://accessmedicine.mhmedical.com.ezp-prod1.hul.harvard.edu/content.aspx?bookid=496&Sectionid=41304063. Accessed 10 Aug 2015.
86.
Scalea TM, Rodriguez A, Chiu WC, Brenneman FD, Fallon Jr WF, Kato K, et al. Focused Assessment with Sonography for Trauma (FAST): results from an international consensus conference. J Trauma. 1999;46:466–72.CrossRefPubMed
87.
Abu-Hejleh T, Mezhir JJ, Goodheart MJ, Halfdanarson TR. Incidence and management of gastrointestinal perforation from bevacizumab in advanced cancers. Curr Oncol Rep. 2012;14:277–84.CrossRefPubMed
88.
Bartlett J. Sepsis – syndromes. In: Pham P, Auwaerter P, Bartlett J, editors. Johns Hopkins M. Johns Hopkins ABX guide: diagnosis and treatment of infectious diseases [e-book]. Burlington: Jones and Bartlett Learning; 2012. Available from: eBook Collection (EBSCOhost), Ipswich. Accessed 8 June 2015.
89.
Coursin DB, Wood KE. Corticosteroid supplementation for adrenal insufficiency. JAMA. 2002;287:236–40.CrossRefPubMed
90.
Cooper MS, Stewart PM. Corticosteroid insufficiency in acutely ill patients. N Engl J Med. 2003;348:727–34.CrossRefPubMed
91.
Goldhaber SZ. Chapter 262. Deep venous thrombosis and pulmonary thromboembolism. In: Longo DL, Fauci AS, Kasper DL, Hauser SL, Jameson J, Loscalzo J, editors. Harrison’s principles of internal medicine, 18e. New York: McGraw-Hill; 2012. http://accessmedicine.mhmedical.com.ezp-prod1.hul.harvard.edu/content.aspx?bookid=331&Sectionid=40727045. Accessed 1 Oct 2014.
92.
Swope R, Adams A. Prevention and treatment of orthostatic hypotension in the orthopedic patient population. Orthopedics. 2012;35:600–3.CrossRefPubMed
93.
Leslie K, McIlroy D, Kasza J, Forbes A, Kurz A, Khan J, et al. Neuraxial block and postoperative epidural analgesia: effects on outcomes in the POISE-2 trial. Br J Anaesth. 2016;116:100–12.
94.
Kalish VB, Gillham JE, Unwin BK. Delirium in older persons: evaluation and management. Am Fam Physician. 2014;90:150–8.PubMed
95.
Francis J, Martin D, Kapoor WN. A prospective study of delirium in hospitalized elderly. JAMA. 1990;263:1097–101.CrossRefPubMed
96.
Inouye SK. Delirium in older persons. N Engl J Med. 2006;354:1157–65.CrossRefPubMed
97.
Schuckit MA. Recognition and management of withdrawal delirium (delirium tremens). N Engl J Med. 2014;371:2109–13.CrossRefPubMed
98.
Kosten TR, O’Connor PG. Management of drug and alcohol withdrawal. N Engl J Med. 2003;348:1786–95.CrossRefPubMed
99.
Amorosi EL, Ultmann JE. Thrombotic thrombocytopenic purpura: report of 16 cases and review of the literature. Medicine (Baltimore). 1966;45:139–59.CrossRef
100.
Moake JL. Thrombotic microangiopathies. N Engl J Med. 2002;347:589–600.CrossRefPubMed
101.
Douglas VC, Josephson SA. Altered mental status. Continuum (Minneap Minn). 2011;17:967–83.
102.
Blazer DG, van Nieuwenhuizen AO. Evidence for the diagnostic criteria of delirium: an update. Curr Opin Psychiatry. 2012;25:239–43.CrossRefPubMed
103.
Wong CL, Holroyd-Leduc J, Simel DL, Straus SE. Does this patient have delirium?: value of bedside instruments. JAMA. 2010;304:779–86.CrossRefPubMed
104.
Williams D, Lewis J, McBride A. A comparison of rating scales for the alcohol-withdrawal syndrome. Alcohol Alcohol. 2001;36:104–8.CrossRefPubMed
105.
Sullivan JT, Sykora K, Schneiderman J, Naranjo CA, Sellers EM. Assessment of alcohol withdrawal: the revised Clinical Institute Withdrawal Assessment for Alcohol Scale (CIWA-Ar). Br J Addict. 1989;84:1353–7.CrossRefPubMed
106.
Bayard M, McIntyre J, Hill KR, Woodside Jr J. Alcohol withdrawal syndrome. Am Fam Physician. 2004;69:1443–50.PubMed
107.
Glassman AH, Bigger JT. Antipsychotic drugs: prolonged QTc interval, torsade de pointes, and sudden death. Am J Psychiatry. 2001;158:1774–1782.