Alexcis P. Thomson1, 2
(1)
Department of Obstetrics, Gynecology and Reproductive BiologyGynecology and Reproductive Biology, Brigham and Women’s Hospital, Boston, MA, USA
(2)
Department of Obstetrics and Gynecology, Massachusetts General Hospital, Boston, MA, USA
Alexcis P. Thomson
Email: Athomson2@partners.org
Keywords
UrogynecologyMidurethral slingUrinary retentionRetropubic hematomaPessaryRectovaginal fistulaVesicovaginal fistula
Background
The goal of female pelvic reconstructive surgical procedures is to take advantage of the bony pelvis, relevant pelvic ligaments, and muscles to restore normal anatomy. These structures are reviewed briefly in the context of a survey of common urogynecological procedures (Fig. 19.1).

Fig. 19.1
Female pelvic anatomy . (A) Urethra, (B) bladder, (C) obturator foramen, (D) sacrospinous ligament
Definitions
Midurethral Sling Procedures
These procedures are performed to address stress urinary incontinence. The two most common variations are the tension-free vaginal tape and the transobturator tape. An incision is made in the anterior vaginal wall, and a portion of polypropylene mesh, approximately 1 centimeter (cm) in width, is placed below the midurethra. During times of increased intra-abdominal pressure, the urethra is compressed superiorly against the pubic symphysis and inferiorly by the tape [1]. At rest, a correctly placed tape is tension-free. Each has several different techniques by which to perform the procedure, which is chosen according to surgeon preference and patient parameters.
Retropubic or tension-free vaginal tape (TVT) : Placed lateral to the midurethra, through the retropubic space, emerging from the abdominal wall. This sling can also be placed in the reverse direction, entering at the abdominal wall. The TVT sling has a slightly higher incidence of cystotomy (4–7 %) and retropubic hematoma (1–2 %) as compared to the transobturator tape (TOT) sling [2, 3].
Transobturator tape (TOT): Passed through the obturator foramen laterally, typically emerging at the level of the clitoris. TOTs are associated with a higher incidence of major vascular injuries (1–2/1000) and neurologic injury but fewer complications overall, including bladder perforation, as compared with the TVT sling [2, 4, 5]. Patients receiving TOT are more likely to report groin pain and even transient inner thigh weakness or numbness [6].
In addition to the TVT and TOT procedures, newer self-retaining slings have been developed, requiring only a vaginal incision. Depending on the device, these may be deployed through the retropubic space or the obturator canal.
Total Vaginal Hysterectomy (TVH)
Preferred route of hysterectomy, although increasingly marginalized into specialty urogynecologic practice since the advent of laparoscopic hysterectomy [7]. TVH involves removing the uterus with or without the adnexa through the vagina by successively ligating and transecting the lateral supportive attachments and blood supply from the cervix to fundus. Several critical steps occur during a vaginal hysterectomy, including (1) entering the anterior and posterior cul-de-sacs without causing a cystotomy or enterotomy, respectively, (2) transection of the cardinal-uterosacral ligament complex as close to the uterus as possible to avoid ureteral injury, and (3) transection of the utero-ovarian ligaments and/or infundibulopelvic ligaments if oophorectomy is planned. TVH is associated with faster recovery and lower cost than laparoscopic or abdominal hysterectomies [8]. Urinary tract injuries (bladder injuries, far more common than ureteral injuries) occur in an estimated 0.7–4 % of patients; bowel injuries occur in 0.1 % of patients [8].
Uterosacral Ligament Suspension (USLS)
Suspension of the vaginal vault apex from the uterosacral ligaments bilaterally using delayed absorbable sutures placed at the level of the ischial spine or higher (closer to the ligaments’ sacral insertion) [9]. USLS is often performed after a concomitant TVH. A critical step is ensuring that the uterosacral sutures are placed sufficiently medially to avoid the ureters. The most common complications are ureteral obstruction (1.8 %) and bleeding (1.3 %) [10].
Sacrospinous Ligament Fixation (SSLF)
Fixation of the vaginal apex to the lateral third segment of the sacrospinous ligament, typically unilaterally and often on the right side as the rectum enters the pelvis from the left. The “Michigan Modification” affixes all four vaginal walls (anterior, posterior, left, and right) to the sacrospinous ligament. A critical step is the lateral placement of the sutures so as to avoid entrapment of the sciatic nerve. Care must also be taken to ensure placement at least 1–2 cm medial to the ischial spine to avoid injury to the pudendal vessels. Complications include hemorrhage and hematoma (2.3 %), injury to femoral, pudendal or sciatic nerves (1.8 %), injury to bladder or bowel (0.8 %), and ureteral kinking [11].
Sacrocolpopexy
Apical suspension of the vaginal vault after remote total hysterectomy or of the cervical stump after concomitant supracervical hysterectomy (more accurately called sacrocervicopexy) to the sacral promontory via nonabsorbable mesh. This can be performed abdominally, laparoscopically, or robotically. Critical steps are dissection of the vascular sacral promontory (with special care to avoid the middle sacral artery) and fine suturing of the mesh to the anterior and posterior portions of the vaginal vault as well as the sacrum, ensuring a robust repair. Complications include hemorrhage (4.4 %), cystotomy (3.1 %), bowel injury (1.6 %), and ureteral injury (1.0 %) [12].
Colpocleisis
An obliterative surgical repair of pelvic organ prolapse, typically performed in elderly women no longer desiring sexual function. The vaginal epithelium is removed, and the underlying anterior and posterior vaginal muscularis are sutured together; vaginal obliteration can be total (with hysterectomy) or partial. Complications include bleeding (5.7 %), followed by medical morbidity related to advanced patient age [11].
Anterior and/or Posterior Colporrhaphy
Employed to address anterior and posterior vaginal prolapse, respectively, separate from apical prolapse. Each involves plication of the vaginal fibromuscular layer and excision of redundant vaginal mucosa. For a more robust posterior repair, additional plication of the levator ani muscles is occasionally employed. Ureteral injuries occur during 1.7 % of anterior colporrhaphies; these and other urinary tract injuries are usually detected by cystoscopy, which is commonly performed after anterior colporrhaphy [13].
Cystoscopy
A commonly performed urogynecological procedure used to assess for transmural sutures and ureteral obstruction at the conclusion of a procedure. A cystoscope is used to visualize the urethra, trigone, ureteral orifices and jets, as well as bladder mucosa to ensure no cystotomy or sutures are present in the bladder. A thorough cystoscopy of the entire bladder and urethra can also visualize pathology that predated the surgery, such as masses or strictures.
Immediate Postoperative Issues: Calls from the Post-Anesthesia Care Unit (PACU)
Voiding Dysfunction
Background
For urogynecologic procedures in general, much of the focus of surgical manipulation is in close juxtaposition to the bladder and can involve frequent filling, emptying, and penetration of the urethra and bladder. This manipulation itself can cause voiding dysfunction secondary to irritation, inflammation, and edema of the surrounding soft tissue. More concerning is injury to the ureters, bladder, and urethra, though attempts are usually made to exclude these injuries at the conclusion of the surgical case by performing cystoscopy [14, 15]. Other potential causes are an extremely tight midurethral sling or large retropubic hematoma causing urethral obstruction and intravascular depletion resulting in decreased urine output. Please see Chap. 14, Common Postoperative and Inpatient Issues, for more information on low urine output.
Definition
Voiding Dysfunction
Variably categorized; familiarity with an institution’s voiding trial practice and definition of voiding trial failure is important, as these are not universal and may vary widely. For anterograde trials of void, the catheter is removed without backfilling, allowing 6–8 h for the patient to void; a common benchmark for passing is the ability to void at least 50 % of the total amount of urine in the bladder and a post-void residual (PVR) of less than 150 milliliters (mL). If a retrograde trial of void is performed, the bladder is first emptied (or has been decompressed with a Foley catheter), and 300 mL of normal saline is backfilled into the bladder and the catheter is removed. If the patient voids at least 150 mL within 30 min, the trial is passed [16].
Differential Diagnosis
· Postoperative edema
· Urinary tract injury
· Tight midurethral sling
· Retropubic hematoma
· Intravascular depletion
· True voiding dysfunction (urinary retention)
When You Get the Call
For a patient whose bladder was backfilled followed by an unsuccessful attempt to void, ask the nurse to replace the Foley immediately. For the urogynecologic patient population, particularly those who have had midurethral slings, acute bladder overdistension caused by urinary retention can cause bladder wall ischemia within 30 min, as well as subsequent reperfusion injury, leading to prolonged bladder dysfunction [17, 18]. For patients undergoing anterograde trials of void, ask for a post-void residual (PVR), which is measured by a bedside ultrasound device.
When You Arrive
Review the full vital signs flow sheet. Review the patient’s full record of input and output intraoperatively and in the PACU. Ensure that the Foley catheter has been replaced and is not obstructed or kinked.
History
Assess whether the patient has a history of voiding dysfunction. Review the patient’s medications, as urinary retention can be caused or exacerbated by many medications, including selective serotonin reuptake inhibitors, anticholinergics (which are often used intraoperatively), and antihistamines [19]. Review the patient’s operative report to assess the degree of urinary tract manipulation and possibility of urinary tract injury. Review the duration of the surgery, whether laparoscopic or open, and note the amount of intravenous resuscitation and blood loss.
Physical Examination
Assess whether the patient is in pain or distress. Perform an abdominal exam , particularly to assess for suprapubic pain and distention, suggestive of urinary retention or less commonly retropubic hematoma.
Diagnosis
If there is concern for bleeding, either by symptoms of acute anemia (including tachycardia or hypotension) or evidence by physical examination (including large vaginal hematoma, suprapubic fullness, or bleeding from surgical sites), a complete blood count and coagulation studies (prothrombin time, activated partial thromboplastin time, and fibrinogen) should be checked. Please see the next section for diagnosis and management of retropubic hematoma .
In a patient who failed an anterograde voiding trial and has not yet had a Foley replaced, a PVR, either by bedside ultrasound device or by catheterization, is helpful in determining the cause of urinary retention. A PVR less than 150 mL in a patient with a low voided amount suggests that the patient is intravascularly depleted. If the patient appears to be under resuscitated, a fluid bolus may improve urine output. If a patient appears adequately resuscitated with a PVR of more than 150 mL, she likely has true voiding dysfunction.
Management
Management is dependent upon the cause of the voiding dysfunction. Patients with acute bleeding may require transfusion or further interventions depending on the acuity and source of the bleeding. If a patient with true voiding dysfunction is admitted postoperatively, a repeat trial of void can be attempted the following morning. Limit exposure to causal medications if possible, including anticholinergic medications (such as scopolamine patches, commonly used for postoperative nausea). If a patient fails her trial of void again, or will be sent home immediately postoperatively, she should be sent home with an indwelling catheter, to be removed in the outpatient setting in 2–3 days. A safe and viable alternative to an indwelling catheter is intermittent home self-catheterization 4–5 times per day; this requires patient education and ideally, a patient will have been taught to do this preoperatively [20]. If the patient is catheter-dependent upon discharge, antibiotics for prophylaxis of urinary tract infection are not routinely prescribed [21].
Suprapubic Pain/Swelling
Definition
Retropubic Hematoma
Hematomas in the space of Retzius, also called the retropubic space, which is a potential space between the pubic symphysis and anterior bladder. Hematomas less than 100 mL in volume rarely cause symptoms; hematomas 100–200 mL in volume may cause moderate pain, while hematomas 300 mL or more in volume may cause severe pain requiring surgical evacuation [22]. Venous injury is typically self-limited but may take 1–5 months to resolve [22]. In a minority of cases, the hematoma is large enough to compress the bladder and urethra and cause voiding dysfunction, become a nidus for infection, or represent a significant blood loss.
Differential Diagnosis
· Physiologic tissue edema
· Retropubic hematoma
· Enlarged bladder due to acute urinary retention
When You Get the Call
Ask for a recent set of vital signs and the volume of voided urine output. Review the operative report if available.
When You Arrive
Review the full vital signs flow sheet, assessing for hemodynamic stability. Assess the patient’s distress and pain. If the patient does not have a Foley catheter in place, exclude urinary retention by requesting a bedside ultrasound of the bladder volume (a bladder scan) or catheterization. Unstable patients with significant suprapubic swelling and pain (not attributed to urinary retention) likely have a retropubic hematoma and may require emergent intervention, either embolization by interventional radiology or operative evacuation of a hematoma and control of ongoing bleeding.
History
Review when the pain started and its severity. Review of the operative report is crucial to clarify whether the retropubic space was entered. Review whether the patient has baseline voiding dysfunction or history of a bleeding diathesis or use of anticoagulant medications.
Physical Examination
Assess the suprapubic space to judge the degree of distention. Perform an abdominal exam to assess for peritoneal signs, including rebound (pain when abdominal pressure is withdrawn) or involuntary guarding.
Diagnosis
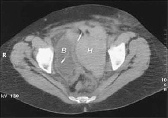
If a patient has pain and swelling consistent with retropubic hematoma, obtain a complete blood count and coagulation studies. In patients who are hemodynamically stable but with ongoing pain and distention, an ultrasound may be obtained to visualize a retropubic hematoma, either transabdominally or transvaginally (Fig. 19.2). Alternatively, a CT scan of the pelvic with IV contrast can be obtained (Fig. 19.3); extravasation of contrast may be identified in the retropubic space.

Fig. 19.2
Retropubic hematoma by transvaginal ultrasound, following a tension-free vaginal tape procedure. (a) Sagittal view. (b) Horizontal view. A nonhomogeneous mass behind the symphysis representing a clotted hematoma is displacing the bladder to the right (Flock et al. [22], with permission of the American College of Obstetricians and Gynecologists)

Fig. 19.3
Pelvic computed tomography scan of patient with a 10-cm hematoma (H) in the space of Retzius next to the bladder (B) (Walters et al. [24], with permission of the American College of Obstetricians and Gynecologists)
If a stable patient has not voided and does not have an indwelling Foley, a bladder scan can be performed to assess for urinary retention as the cause of suprapubic fullness; alternatively, consider presumptive catheterization for a potentially distended bladder, which would be both diagnostic and therapeutic. Of note, bladder distention and pain may elicit vasovagal symptoms (including transient hypotension and bradycardia).
Management
In a patient with hemodynamic changes (tachycardia, hypotension), severe pain, massive or enlarging suprapubic mass, and/or urinary retention, the retropubic space should be manually compressed while mobilizing resources. Severe hemorrhage can be managed with embolization by interventional radiology, or if this resource is unavailable, by laparotomy [23]. Management of transfusions are discussed in Chap. 13, Preparing for Urgent and Emergent Surgery.
Patients who are stable but with pain and a progressive decline in hemoglobin may require blood transfusion; a drain can also be placed in the suprapubic space by interventional radiology [24, 25]. If a patient is hemodynamically stable, with stable hemoglobin, able to void, and with well-controlled pain, her retropubic hematoma can be expectantly managed.
In cases of suprapubic swelling caused by urinary retention, the mass should resolve with an indwelling Foley catheter. These patients may have a repeat trial of void in the morning if they are admitted; if they are discharged, they should have a repeat trial of void in the office in 2–3 days.
Calls from the Emergency Room
Fever and/or Pelvic Pain
Please see Chap. 16, Complications of Minimally Invasive Gynecologic Surgery, for a full discussion of diagnosis and management of postoperative fever and pain, as well as management of urinary tract injury. Comment on conditions that should be considered in urogynecology patients in particular is provided here.
Urinary Tract Injuries
Injuries to the urinary tract may present as postoperative fever, pelvic pain, ileus (due to intraperitoneal urine), or leakage of urine through the vaginal cuff. In patients who have had urogynecologic surgery, urinary tract injury should be strongly considered. Urinary tract injuries are more common in procedures for correction of pelvic organ prolapse and urinary incontinence; cystoscopy is often performed at the time of surgery in an effort to identify urinary tract injury intraoperatively [26].
In a TVT sling placement, a bladder injury is most likely to occur as a puncture (through and through) at the anterior aspect of the bladder dome, attributable to a medial placement of the sling trocars [27]. Rarely, the trocars can cause injury to the midurethra if placed too close to the midline. In a sacrospinous ligament fixation, the ureter may become kinked at the location of the sacrospinous ligament suture. During hysterectomy, the ureter is in greatest danger of injury at the following points: (1) the pelvic brim, running medial to the infundibulopelvic ligament; (2) when attached to the medial leaf of the broad ligament, descending into the pelvis; (3) at the level of the internal cervical os, traversing below the cardinal ligament containing the uterine vessels; and (4) entering the posterior aspect of the bladder at the anterolateral fornix of the vagina [28].
Mesh Exposure or Erosion
Mesh complications should be considered as a source of pain and, less commonly, fever. Mesh erosions occur following 0.8–4.2 % of midurethral sling procedures and complicate 10 % or more of other vaginal mesh procedures [29–31]. Risk factors for mesh exposure include advanced age, diabetes, smoking, steroid use, elevated body mass index (BMI), vaginal incisions greater than 2 cm, and prior surgery for incontinence or prolapse [29, 31]. Patients may complain of vaginal bleeding, vaginal discharge, dyspareunia, and/or pelvic pain [32]. Of note, patients may also have pain from mesh contraction (shrinkage).
On physical examination, mesh may be visible in the vagina, usually through a separated suture line [31]. Limited mesh exposure (less than 0.5 cm) may be managed with trimming of the visible mesh by the patient’s urogynecologist and use of intravaginal estrogen (1 g, twice per week) [31]. Larger erosions often require operative excision of exposed mesh. Mesh may also erode into viscera, including the bladder and bowel (depending on the mesh implantation location), which may be diagnosed with cystoscopy and/or anoscopy, as indicated; these erosions require far more complex and multidisciplinary repair.
Mesh erosion may also rarely lead to infection; patients with infected mesh may have mesh-related abscess, fistulae, or necrotizing infection [33]. Rarely, patients may develop osteomyelitis following sacrocolpopexy [34]. Patients may present with fever, leukocytosis, worsening pain at the location of mesh, and/or imaging showing abscess associated with mesh; patients with infections associated with pelvic mesh usually require removal by a specialist and treatment with antibiotics [33, 35].
Vaginal Bleeding
Definition
Variably defined but soaking two pads per hour would be considered excessive. Early and late postoperative hemorrhage occurs in 2 % of cases [36]. Please see Chap. 2, Vaginal Hemorrhage, for diagnosis and management of this complaint.
Pessaries
Definitions
Pessaries
Utilized to reduce pelvic organ prolapse and improve stress urinary incontinence. A wide range of shapes and sizes of pessaries are available, depending upon the degree and nature of support needed (Fig. 19.4). In general, these should be removed, cleaned, and replaced at least every 3 months, accompanied by a pelvic exam to assess for vaginal erosions or ulcerations. Pessary management is largely relegated to the outpatient setting; however, rare serious complications from prolonged pessary neglect can result in emergency room visits. These can present as severe mucosal erosion or infection, or pessary migration into adjacent structures, such as bladder and bowel.

Fig. 19.4
Pessaries. Clockwise from 12 o’clock: Hodge with knob, Regula, Gellhorn, Shaatz, incontinence dish, ring, cube, Gehrung, with a donut pessary at the center (Photography supplied by CooperSurgical Inc.)
The proper placement of several common pessaries is shown below. The ring pessary with knob (Fig. 19.5) is used for incontinence, as the knob partially obstructs the urethra. The ring, donut, or Shaatz pessary (Fig. 19.6) is used for uterine prolapse and cystocele. The Gellhorn pessary (Fig. 19.7) is used for more advanced prolapse.

Fig. 19.5
Ring incontinence pessary with knob (image supplied by CooperSurgical Inc.)

Fig. 19.6
Shaatz pessary (image supplied by CooperSurgical Inc.)

Fig. 19.7
Gellhorn pessary (image supplied by CooperSurgical Inc.)
When You Get the Call
Routine issues of pessary maintenance can generally be referred to the outpatient setting.
When You Arrive
Review the full vital signs flow sheet to assess for hemodynamic stability. Observe whether the patient is in pain or distress.
History
Review with the patient how long she has been using the pessary and the indication for use. Review when she was last examined for vaginal erosion and whether she has been diagnosed with erosions in the past. Particularly if the patient is postmenopausal, review whether she is using vaginal estrogen, which can be protective against vaginal erosions.
Physical Examination
If the pessary is visible and mobile, it should be removed to allow for a more thorough exam. Pessaries are usually somewhat pliable and can be bent in an examiner’s fingers to allow for less traumatic removal. Lidocaine jelly (1 or 2 %) can be applied to the perineum to allow for more comfortable removal. After pessary removal, a speculum exam should be performed, during which the location and depth of erosions should be noted. If pelvic anatomy is obliterated or unrecognizable due to chronic infection, scarring, or fistulization, perform a rectovaginal exam to assess the anatomy.
Diagnosis
Vaginal erosions are diagnosed by physical examination. In the rare event of a significant erosion into surrounding structures, a CT of the abdomen and pelvis can help locate the pessary and visualize the tissue injury. In these extreme cases, an exam under anesthesia may be required to locate and remove the pessary and to assess a rectovaginal fistula or other erosive damage [37].
Management
For uncomplicated vaginal erosions, the pessary should remain out of the vagina, pending reexamination and replacement by the patient’s primary provider. In the interim, the vagina should be coated with an estrogen cream (such as Premarin®, Wyeth Pharmaceuticals, Philadelphia, PA, or Estrace®, Actavis, Parsippany, NJ) to help strengthen the vaginal epithelium [38]. One gram of estrogen cream can be applied nightly for severe erosions, with close interval follow-up in 1–2 weeks, at which point the dose can be lowered and/or spaced to twice per week. In the very unlikely event of pessary migration or fistulization, nonemergent surgical intervention is usually required, sometimes with colostomy in patients with rectovaginal fistula [39].
Rectovaginal and Vesicovaginal Fistulae
Definition
Rectovaginal or Vesicovaginal Fistula
An abnormal communication between either the rectum or bladder and the vagina. Fistulae occurring below the dentate line are referred to as anovaginal. Globally, the most common cause of fistulae in women is obstetric trauma; however in the United States, fistulae may occur following surgeries involving dissection or injury of the posterior vaginal wall, perineum, anus, or rectum or as a complication of infection, pelvic or perineal cancers, inflammatory bowel disease, or radiation treatment [40]. Patients may complain of stool and/or urine per vagina or malodorous vaginal discharge.
Differential Diagnosis
· Urinary or fecal incontinence
· Vaginitis or vaginal discharge
· Deep perianal or pelvic abscesses (often with imaging that suggests, potentially erroneously, communication with the vagina, uterus, bladder, or gastrointestinal tract)
When You Get the Call
Ask for a full set of vital signs.
When You Arrive
Review the full vital signs flow sheet to assess for hemodynamic stability. Observe whether the patient is in pain or distress. Assess for signs of sepsis, as fistulous tracts to the urinary tract may introduce severe infection.
History
Review the patient’s symptoms associated with pelvic fistulae, including leakage of urine or stool from the vagina and foul smelling vaginal discharge. Review when her symptoms started. Ask whether she has any preexisting urinary or fecal incontinence, which may result in poor hygiene that can be mistaken for leakage from the vagina. Review her medical and surgical history, including pelvic surgery, inflammatory bowel disease, and malignancy (particularly those treated with pelvic radiation).
Physical Examination
Perform a sterile speculum exam. In addition, take the speculum apart and use one blade at a time, to allow for better visualization of the vaginal mucosa and any fistulous tract. A cotton swab, lacrimal duct, or silver wire probe may be used to identify a fistulous tract, though fistulous tracts are often not visible. In patients with possible rectovaginal fistula, perform a rectovaginal exam to assess sphincter tone, as sphincter injury or deficiency may cause fecal incontinence, which may be mistaken from stool leaking from the vagina.
Diagnosis
There is no consensus regarding optimal diagnostic approach to fistulae of the female reproductive tract. Abdominal and pelvic CT scans are often a first step, which may reveal an abscess resulting in fistulous connections among viscera or malignancy [41]. Patients with vesicovaginal fistula may also have air bubbles visualized in the bladder by CT scan, though air bubbles may also be introduced by catheterization [42].
Regarding patients with vesicovaginal fistula, a voiding cystourethrogram is often helpful. In patients with fistulous connections to the distal gastrointestinal tract, MRIs are particularly helpful in delineating anovaginal collections or fistulae [41]. Fluoroscopy is available at many institutions but has relatively low sensitivity in the detection of rectovaginal or anovaginal fistulae [41]. Ultimately, exam under anesthesia may be needed for diagnosis; in patients with fistulous tracts between the urinary and gynecologic tracts, vaginoscopy and cystourethroscopy may be helpful, while protocoscopy can be revealing in patients with rectovaginal fistulae [42].
A simple tampon test may also be helpful. If a vesicovaginal or ureterovaginal fistula is suspected, a tampon is placed in the vagina, and the patient ingests oral phenazopyridine 200 mg; meanwhile, the bladder is emptied and filled with a dilute solution of normal saline and methylene blue [43]. If the tampon is stained orange, a ureterovaginal fistula is likely, whereas if the tampon is stained blue, a vesicovaginal fistula is more likely. If a rectovaginal fistula is of concern, a tampon is placed in the vagina, and an enema of warm saline dyed with a few drops of methylene blue can be instilled in the rectum using a syringe. If the tampon is stained blue, a rectovagina l fistula is likely [40].
Management
The management of vesicovaginal, ureterovaginal, rectovaginal, and anovaginal fistulae is beyond the scope of this chapter. If a fistula is diagnosed, the appropriate specialists should be consulted: urogynecology, colorectal surgery, and/or urology services. Fistulae, when requiring surgical intervention, are often repaired on an outpatient basis. In the emergent setting, however, immediate intervention is seldom indicated, except in the case of patients with abscesses or urinary tract infections, who require antibiotics and source control if possible. Please see Chap. 16, Complications of Minimally Invasive Gynecologic Surgery, for the management of urinary tract infection and pelvic abscess.
References
1.
Sarlos D, Kuronen M, Schaer GN. How does tension-free vaginal tape correct stress incontinence? Investigation by perineal ultrasound. Int Urogynecol J Pelvic Floor Dysfunct. 2003;14:395–8.CrossRefPubMed
2.
Barber MD, Kleeman S, Karram MM, Paraiso MFR, Walters MD, Vasavada S, et al. Transobturator tape compared with tension-free vaginal tape for the treatment of stress urinary incontinence: a randomized controlled trial. Obstet Gynecol. 2008;111:611–21.CrossRefPubMed
3.
Brubaker L, Norton PA, Albo ME, Chai TC, Dandreo KJ, Lloyd KL, et al. Adverse events over two years after retropubic or transobturator midurethral sling surgery: findings from the Trial of Midurethral Slings (TOMUS) study. Am J Obstet Gynecol. 2011;205:498.e1–6.CrossRef
4.
Seklehner S, Laudano MA, Xie D, Chughtai B, Lee RK. A meta-analysis of the performance of retropubic mid urethral slings versus transobturator mid urethral slings. J Urol. 2015;193:909–15.CrossRefPubMed
5.
Ford AA, Rogerson L, Cody JD, Ogah J. Mid-urethral sling operations for stress urinary incontinence in women. Cochrane Database Syst Rev. 2015;(7):CD006375.
6.
Ogah J, Cody DJ, Rogerson L. Minimally invasive synthetic suburethral sling operations for stress urinary incontinence in women: a short version Cochrane review. Neurourol Urodyn. 2011;30:284–91.CrossRefPubMed
7.
Committee Opinion No ACOG. 444: choosing the route of hysterectomy for benign disease. Obstet Gynecol. 2009;114:1156–8.CrossRef
8.
Nieboer TE, Johnson N, Lethaby A, Tavender E, Curr E, Garry R, et al.. Surgical approach to hysterectomy for benign gynaecological disease. Cochrane Database Syst Rev. 2009; (3):CD003677.
9.
Chung CP, Miskimins R, Kuehl TJ, Yandell PM, Shull BL. Permanent suture used in uterosacral ligament suspension offers better anatomical support than delayed absorbable suture. Int Urogynecol J. 2012;23:223–7.CrossRefPubMed
10.
Margulies RU, Rogers MA, Morgan DM. Outcomes of transvaginal uterosacral ligament suspension: systematic review and metaanalysis. Am J Obstet Gynecol. 2010;202:124–34.CrossRefPubMed
11.
Beer M, Kuhn A. Surgical techniques for vault prolapse: a review of the literature. Eur J Obstet Gynecol Reprod Biol. 2005;119:144–55.CrossRefPubMed
12.
Nygaard IE, McCreery R, Brubaker L, Connolly A, Cundiff G, Weber AM, et al. Abdominal sacrocolpopexy: a comprehensive review. Obstet Gynecol. 2004;104:805–23.CrossRefPubMed
13.
Kwon CH, Goldberg RP, Koduri S, Sand PK. The use of intraoperative cystoscopy in major vaginal and urogynecologic surgeries. Am J Obstet Gynecol. 2002;187:1466–71.CrossRefPubMed
14.
Ibeanu OA, Chesson RR, Echols KT, Nieves M, Busangu F, Nolan TE. Urinary tract injury during hysterectomy based on universal cystoscopy. Obstet Gynecol. 2009;113:6–10.CrossRefPubMed
15.
Jelovsek JE, Chiung C, Chen G, Roberts SL, Paraiso MFR, Falcone T. Incidence of lower urinary tract injury at the time of total laparoscopic hysterectomy. JSLS J Soc Laparoendosc Surg Soc Laparoendosc Surg. 2007;11:422–7.
16.
Pulvino JQ, Duecy EE, Buchsbaum GM, Flynn MK. Comparison of 2 techniques to predict voiding efficiency after inpatient urogynecologic surgery. J Urol. 2010;184:1408–12.CrossRefPubMed
17.
Madersbacher H, van Ophoven A, van Kerrebroeck PEVA. GAG layer replenishment therapy for chronic forms of cystitis with intravesical glycosaminoglycans – a review. Neurourol Urodyn. 2013;32:9–18.CrossRefPubMed
18.
Hinman F. Editorial: postoperative overdistention of the bladder. Surg Gynecol Obstet. 1976;142:901–2.PubMed
19.
Verhamme KM, Sturkenboom MC, Stricker BH, Bosch R. Drug-induced urinary retention: incidence, management and prevention. Drug Saf. 2008;31:373–88.CrossRefPubMed
20.
Turi MH, Hanif S, Fasih Q, Shaikh MA. Proportion of complications in patients practicing clean intermittent self-catheterization (CISC) vs indwelling catheter. JPMA J Pak Med Assoc. 2006;56:401–4.PubMed
21.
Niël-Weise BS, van den Broek PJ, da Silva EMK, Silva LA. Urinary catheter policies for long-term bladder drainage. Cochrane Database Syst Rev. 2012;(8):CD004201.
22.
Flock F, Reich A, Muche R, Kreienberg R, Reister F. Hemorrhagic complications associated with tension-free vaginal tape procedure. Obstet Gynecol. 2004;104:989–94.CrossRefPubMed
23.
Zorn KC, Daigle S, Belzile F, le Tu M. Embolization of a massive retropubic hemorrhage following a tension-free vaginal tape (TVT) procedure: case report and literature review. Can J Urol. 2005;12:2560–3.PubMed
24.
Walters MD, Tulikangas PK, LaSala C, Muir TW. Vascular injury during tension-free vaginal tape procedure for stress urinary incontinence. Obstet Gynecol. 2001;98:957–9. Part 2.PubMed
25.
Kobashi KC, Govier FE. Perioperative complications: the first 140 polypropylene pubovaginal slings. J Urol. 2003;170:1918–21.CrossRefPubMed
26.
Johnson N, Barlow D, Lethaby A, Tavender E, Curr L, Garry R. Methods of hysterectomy: systematic review and meta-analysis of randomised controlled trials. BMJ. 2005;330:1478.CrossRefPubMedPubMedCentral
27.
Crosby EC, Vilasagar S, Duecy EE, Flynn MK. Expectant management of cystotomy at the time of midurethral sling placement: a retrospective case series. Int Urogynecol J. 2013;24:1543–6.CrossRefPubMed
28.
Sorinola O, Begum R. Prevention and management of ureteric injuries. Hosp Med Lond Engl. 2005;66:329–34.
29.
Kokanali MK, Doğanay M, Aksakal O, Cavkaytar S, Topçu HO, Özer İ. Risk factors for mesh erosion after vaginal sling procedures for urinary incontinence. Eur J Obstet Gynecol Reprod Biol. 2014;177:146–50.CrossRefPubMed
30.
Nguyen JN, Jakus-Waldman SM, Walter AJ, White T, Menefee SA. Perioperative complications and reoperations after incontinence and prolapse surgeries using prosthetic implants. Obstet Gynecol. 2012;119:539–46.CrossRefPubMed
31.
Davila GW, Jijon A. Managing vaginal mesh exposure/erosions. Curr Opin Obstet Gynecol. 2012;24:343–8.CrossRefPubMed
32.
Lo TS, Tan YL, Cortes EF, Wu PY, Pue LB, Al-Kharabsheh A. Clinical outcomes of mesh exposure/extrusion: presentation, timing and management. Aust N Z J Obstet Gynaecol. 2015;55:284–90.CrossRefPubMed
33.
Falagas ME, Velakoulis S, Iavazzo C, Athanasiou S. Mesh-related infections after pelvic organ prolapse repair surgery. Eur J Obstet Gynecol Reprod Biol. 2007;134:147–56.CrossRefPubMed
34.
Weidner AC, Cundiff GW, Harris RL, Addison WA. Sacral osteomyelitis: an unusual complication of abdominal sacral colpopexy. Obstet Gynecol. 1997;90:689–91.CrossRefPubMed
35.
Barski D, Deng DY. Management of mesh complications after SUI and POP repair: review and analysis of the current literature. Biomed Res Int. 2015;2015:831285.CrossRefPubMedPubMedCentral
36.
Dicker RC, Greenspan JR, Strauss LT, Cowart MR, Scally MJ, Peterson HB, et al. Complications of abdominal and vaginal hysterectomy among women of reproductive age in the United States. The Collaborative Review of Sterilization. Am J Obstet Gynecol. 1982;144:841–8.CrossRefPubMed
37.
Powers K, Grigorescu B, Lazarou G, Greston WM, Weber T. Neglected pessary causing a rectovaginal fistula: a case report. J Reprod Med. 2008;53:235–7.PubMed
38.
Clemons JL, Aguilar VC, Tillinghast TA, Jackson ND, Myers DL. Risk actors associated with in unsuccessful pessary fitting trial in women with pelvic organ prolapse. Am J Obstet Gynecol. 2004;190:345–50.CrossRefPubMed
39.
Cichowski S, Rogers RG. Nonsurgical management of a rectovaginal fistula caused by a Gellhorn pessary. Obstet Gynecol. 2013;122:446–9.CrossRefPubMed
40.
Debeche-Adams TH, Bohl JL. Rectovaginal fistulas. Clin Colon Rectal Surg. 2010;23:99–103.CrossRefPubMedPubMedCentral
41.
Champagne BJ, McGee MF. Rectovaginal fistula. Surg Clin North Am. 2010;90:69–82.CrossRefPubMed
42.
Yu NC, Raman SS, Patel M, Barbaric Z. Fistulas of the genitourinary tract: a radiologic review. Radiographics. 2004;24:1331–52.CrossRefPubMed
43.
O’Brien WM, Lynch JH. Simplification of double-dye test to diagnose various types of vaginal fistulas. Urology. 1990;36:456.CrossRefPubMed