Paula C. Brady1 and Elizabeth S. Ginsburg1
(1)
Department of Obstetrics and Gynecology, Massachusetts General Hospital, Boston, MA, USA
Paula C. Brady (Corresponding author)
Email: Pbrady2@partners.org
Elizabeth S. Ginsburg
Email: eginsburg@partners.org
Keywords
Assisted reproductionIn vitro fertilizationOvarian hyperstimulation syndromeOvarian torsionEctopic pregnancyEndometrioma
Definitions
Infertility
Defined as the failure to achieve pregnancy after 12 months of unprotected intercourse in women under 35 years, and after 6 months in women aged 35 years and older. It is estimated to affect up to 15 % of couples [1, 2].
Clomiphene Citrate
A selective estrogen receptor modulator used to induce ovulation. Clomiphene acts as an estrogen antagonist in the hypothalamus which leads to increased endogenous gonadotropin secretion by the pituitary, stimulating ovarian follicular development [3]. It is administered in the early follicular phase of the menstrual cycle, starting on day 3–5 of the cycle and continued for 5 days. Common side effects include abdominal distention or discomfort, nausea, and breast tenderness; patients may rarely report visual disturbances, which are reversible but the clomiphene should be stopped [4, 5]. Ovarian enlargement may occur, though torsion and ovarian hyperstimulation syndrome (OHSS) are rare [6].
Gonadotropins
Injectable purified or recombinant luteinizing hormone and follicle-stimulating hormone, used in ovarian stimulation. Complications can include ovarian enlargement, torsion, and OHSS.
Intrauterine Insemination (IUI)
Introduction of a processed and concentrated sperm sample (either fresh from a partner or a previously frozen sample) into the uterus, using a catheter placed through the cervix. IUIs are performed for both female and male infertility indications. Women may take medications for ovulation induction (such a clomiphene citrate, letrozole, or gonadotropins), with or without an injection of human chorionic gonadotropin (hCG) to promote final oocyte maturation. IUIs are timed with a patient’s ovulation using the hCG injection or home ovulation predictor kits. IUI is a very low-risk procedure, with a very low risk of upper genital tract infection [7].
In Vitro Fertilization (IVF)
IVF begins with ovarian stimulation, most commonly achieved with exogenous injectable gonadotropins. Ovarian follicular development and serum estradiol are closely monitored during this process. Once adequate follicular development is achieved according to an IVF program’s protocols, final oocyte maturation is triggered with hCG or gonadotropin-releasing hormone (GnRH) agonists.
Thirty-six hours after the trigger injection, oocytes are retrieved transvaginally, or less commonly transabdominally, by ultrasound-guided needle aspiration of ovarian follicles. The oocytes are then fertilized, and the embryos are returned to the patient’s uterus 2–6 days later, as dictated by an IVF program’s protocols and the patient’s clinical details.
For a variety of reasons, including but not limited to high risk of ovarian hyperstimulation syndrome or medical illness, patients’ embryos or unfertilized oocytes may be cryopreserved (frozen) and not transferred. Conversely, patients may receive cryopreserved embryos or embryos derived from donated oocytes, meaning that these patients have not undergone ovarian hyperstimulation prior to embryo transfer. Instead, they receive various formulations of estrogen and progesterone for endometrial preparation.
To assess for successful implantation, patients’ hCG levels are checked approximately 12 days after embryo transfer. If hCG levels are checked too soon, the result may be a false positive, as patients who received hCG for oocyte maturation may have residual serum hCG levels for up to 10 days [8]. Serum hCG levels after either subcutaneous or intramuscular hCG trigger injections peak at 24–36 h afterward, at levels of approximately 300 milli-international units per milliliter (mIU/mL) [8, 9].
IVF is an independent risk factor for ectopic pregnancy. The rate of ectopic pregnancy is estimated at 2–5 % among patients who have utilized assisted reproductive technologies [10, 11]. Risks of oocyte retrieval and OHSS are discussed in the following sections.
Oocyte Retrieval
Removal of oocytes from a patient’s ovaries following controlled ovarian hyperstimulation using an ultrasound-guided needle introduced transvaginally (Fig. 20.1), though rarely obesity or anatomic variants may require transabdominal aspiration. This is an ambulatory, low-risk procedure, and complications occur in less than 0.5 % of cases [12]. Complications include (1) intra-abdominal bleeding usually ovarian in origin; (2) infection, including tubo-ovarian abscess, superinfected endometrioma, or other pelvic abscess; and (3) visceral injury.

Fig. 20.1
Transvaginal oocyte retrieval following controlled ovarian hyperstimulation
Vaginal bleeding can occur but is usually identified and resolved with tamponade at the time of the retrieval. Intra-abdominally, some degree of bleeding after oocyte retrieval is to be expected. Studies have estimated the blood loss following an uncomplicated oocyte retrieval at 72–230 mL, with a mean hemoglobin decline of 1.6 g per dL (g/dL) [13, 14]. Even patients with stable post-procedural hemoglobin levels develop intraperitoneal free fluid on imaging [13].
Clinically significant intra-abdominal hemorrhage originates most commonly from the ovaries, though vascular injuries do rarely occur [12, 15]. Intra-abdominal hemorrhage is more likely in patients with bleeding disorders, including von Willebrand disease or coagulation factor deficiencies [12]. Most, though not all, patients with significant intra-abdominal hemorrhage following oocyte retrieval present within the first 24 h following the procedure [16]. Intraperitoneal hemorrhage is discussed in Diagnosis and Management.
Injury to intra-abdominal organs, usually the bowel, due to direct puncture with the oocyte retrieval needle, occurs rarely; injuries to the appendix, bladder, and ureter have also been detailed in case reports [17]. Intra-abdominal infections can also occur, including tubo-ovarian abscesses [18]. Infection of an endometrioma, likely due to bacteria introduced through a puncture, is less common but has been reported [19].
Finally, patients usually receive sedation for oocyte retrieval and are therefore subject to complications of anesthesia as well, including medication reactions and aspiration. Embryo transfers, conversely, do not generally require sedation and are performed with flexible catheters, with minimal risk of uterine perforation or other complications.
Ovarian Hyperstimulation Syndrome
An iatrogenic condition resulting from ovarian stimulation. It is usually a response to gonadotropin administration, though it can also occur after administration of clomiphene citrate [20]. Severe OHSS has been reported in 0.1–2 % of IVF cycles [21]. The clinical syndrome of OHSS results largely from capillary permeability, leading to ascites, electrolyte imbalances, and hemoconcentration. Elevated levels of vascular endothelial growth factor (VEGF), originating from ovarian follicles, are implicated in the pathophysiology of OHSS [22].
Symptoms of OHSS may begin as early as 48 h after administration of the hCG trigger injection and peak in 7–10 days [23]. Symptoms of OHSS are exacerbated and potentiated by pregnancy, likely due to rising hCG levels which increase VEGF levels [24]. Patients experience abdominal pain, nausea, and/or vomiting. Due to intravascular depletion, patients may develop hypotension, tachycardia, and oliguria. Patients with severe disease may develop ascites or pleural effusions and/or renal failure. All patients undergoing IVF are at increased risk of venous thromboembolism (VTE) due to elevated estradiol levels, with an incidence rate of 0.2 % or twice the rate of the normal population; in patients with OHSS—due to elevated estradiol and hemoconcentration—the incidence is 1.7 % [25]. Patients are also at increased risk of ovarian torsion or rupture.
Risk factors for OHSS are shown in (Table 20.1) [26–29]. Patients with elevated antimüllerian hormone (AMH), which is a serum marker of ovarian reserve, may be at higher risk of OHSS as well; AMH levels greater than 3.3–3.75 nanograms (ng) per mL have been associated with an elevated OHSS risk [30, 31]. Serum estradiol (E2) during ovarian stimulation is also a predictor of OHSS; serum E2 greater than 5000–6000 picograms (pg) per mL is considered a risk factor, though even levels above 2500 pg/mL may carry some increased risk of OHSS [1, 26]. Rapidly rising estradiol (E2) levels, increasing by 50–75 % from the prior 1–2 days, are also considered a risk factor [26–29]. Risk of OHSS is also higher after triggering final oocyte maturation with hCG, whereas rates are much lower following triggering with a GnRH agonist [32]. Pregnancy after IVF is a risk for “late” OHSS, which is more likely to be severe than “early” OHSS , occurring immediately after ovarian stimulation [33].
Table 20.1
Risk factors for ovarian hyperstimulation syndrome
|
Risk factors |
Definition |
|
Age |
Less than 33 years |
|
Low body weight |
|
|
Polycystic ovarian syndrome |
See Chap. 4 for diagnostic criteria of PCOS |
|
High number of oocytes retrieved |
Greater than 15 oocytes |
|
Prior OHSS |
|
|
Elevated antimüllerian hormone (AMH) |
Greater than 3.3–3.75 nanograms (ng) per mL |
|
Elevated E2 |
Greater than 5000–6000 picograms (pg) per mL |
|
Triggering with hCG |
|
|
Pregnancy |
Results in “late OHSS,” more likely to be severe |
References are contained within the text
Differential Diagnosis
Patients may present in the emergent setting after fertility treatment with a variety of complaints, chief among these being abdominal pain and vaginal bleeding. Vaginal bleeding is usually light immediately following oocyte retrieval; heavier bleeding is likely to occur in patients who have become pregnant and are having a threatened or spontaneous abortion. Withdrawal bleeding (menses) may be heavier than usual in nonpregnant patients following a failed IVF cycle, usually occurring approximately 10–12 days after trigger. For more information on diagnosis and management of vaginal hemorrhage, please see Chap. 2. For assessment and management of spontaneous abortion, refer to Chap. 8. For a complete discussion of adnexal masses, refer to Chap. 4.
Vaginal Bleeding
· Post-oocyte retrieval bleeding from vaginal puncture
· Non-gravid vaginal bleeding (including withdrawal bleeding after failed IVF cycle)
· Threatened or spontaneous abortion
· Ectopic pregnancy
Abdominal Pain
· Ovarian torsion
· OHSS
· Post-oocyte retrieval: bleeding, visceral injury, pelvic infection/abscess
· Positive hCG: ectopic pregnancy, spontaneous abortionOvarian enlargement due to stimulation
Adnexal Masses
· Tubo-ovarian abscess
· Endometrioma, rarely infected after oocyte retrieval
· Appendicitis or other gastrointestinal (GI)-related abscess
· Ectopic pregnancy
· Less acute issues: post-stimulation enlarged ovaries, ovarian cyst, hydrosalpinx
When You Get the Call
Ask for a full set of vital signs, and request a pelvic ultrasound if one has not already been performed. In patients with pain, request that the patient not receive further pain medications prior to a physical examination by gynecology, if possible, to allow for an accurate assessment.
When You Arrive
Review the patient’s vital signs to assess for hypotension, tachycardia, or hypoxia. If possible, review the patient’s records for details of the fertility treatments. If the patient underwent in vitro fertilization, review the patient’s peak serum estradiol, number of oocytes retrieved and embryos transferred, in addition to the dates of retrieval or transfer. If the patient presents with pain or fever, review whether perioperative antibiotics were administered at her oocyte retrieval.
History
If not available through records, ask the patient for details of her infertility treatment, including dates of clomiphene administration or hCG or GnRH agonist trigger. If the patient underwent IVF, ask her for the peak serum estradiol level, number of eggs retrieved, and number of embryos transferred, as well as the dates of these procedures. If the patient is known to be pregnant following fertility treatment, calculate her gestational age, and review any available hCG values and obstetrical ultrasound.
Obtain a history regarding the onset of any abdominal pain, including whether the pain began acutely or gradually, and whether it followed any treatment steps (such as oocyte retrieval). Acute-onset pain may be more consistent with torsion or hemorrhage. Ask patients about nausea, vomiting, fevers, chest pain, dyspnea, calf pain, or vaginal bleeding.
Review the patient’s past medical history, including a history of ectopic pregnancy, OHSS, bleeding disorders, or postoperative bleeding issues.
Of note, due to ovarian enlargement following ovarian hyperstimulation, and direct vaginal and ovarian punctures during oocyte retrieval, IVF patients commonly report abdominal or pelvic pain. Patients can be expected to have cervical motion tenderness after oocyte retrieval, due to peritoneal irritation caused by intra-abdominal blood. Differentiating expected pain from a true complication can be challenging.
Physical Exam
In patients with symptoms suggestive of OHSS, a lung exam should be performed to assess for pulmonary edema or pleural effusion. An abdominal exam should be performed to assess for pain, peritoneal signs, distention, or a fluid wave suggesting ascites. An examination of the extremities may reveal edema or evidence of a deep vein thrombosis. In general, a bimanual exam in a patient who has recently undergone IVF should be avoided, as the ovaries are enlarged and tender; significant complications, such as intra-abdominal bleeding or ovarian torsion, can be detected by peritoneal signs on the abdominal examination. A speculum exam can be performed in patients presenting with vaginal bleeding to quantify the amount of bleeding and to identify the source.
Diagnosis
In patients who are acutely unstable following fertility treatments (particularly more than 3 weeks after oocyte transfer), consider a urine hCG to triage for risk of ectopic pregnancy and a focused assessment with sonography for trauma (FAST) scan—a bedside ultrasound assessing for free fluid in the perihepatic, perisplenic, and pelvic space—to assess for intra-abdominal free fluid [34]. Please refer to Chap. 3, Pregnancy of Unknown Location and Ectopic Pregnancy, for more information on the diagnosis of ruptured ectopic pregnancy.
In patients with either pain or bleeding, an hCG should be obtained—with the caveat that hCG may be detectable in the serum for up to 10 days after an hCG trigger injection. A complete blood count should also be obtained. In patients with pain and at risk of OHSS, additional laboratory tests should include electrolytes, creatinine, and liver function testing.
In patients with abdominal pain and who have received ovarian-stimulating medications, particularly gonadotropins, ultrasound should be obtained to assess for ovarian enlargement and ascites (Figs. 20.2 and 20.3). In patients who have undergone oocyte retrieval, a pelvic ultrasound may show adnexal masses, including multiple hemorrhagic follicles that were recently aspirated, ectopic pregnancy, endometrioma, or tubo-ovarian abscess, and may also reveal hemoperitoneum. Imaging may also be helpful in those with vaginal bleeding, to assess for intrauterine or ectopic pregnancies or other endometrial lesions such as polyps or fibroids.

Fig. 20.2
Hyperstimulated ovaries. Transvaginal ultrasound reveals bilaterally enlarged multicystic ovaries (8 cm) in a patient undergoing controlled ovarian hyperstimulation

Fig. 20.3
Ascites from ovarian hyperstimulation syndrome . Transabdominal ultrasound reveals perihepatic free fluid following recent oocyte retrieval, indicated with an asterisk (*)
Patients undergoing (or who recently underwent) controlled ovarian hyperstimulation commonly report dyspnea due to abdominal discomfort and distention; pleural effusions in patients with OHSS can be seen by ultrasound. Pulmonary embolism—and workup with a chest CT—should be considered in patients with respiratory symptoms, particularly those with hypoxia and without pleural effusion to explain their symptoms [23]. For diagnosis and management of pulmonary embolism, see Chap. 16, Complications of Minimally Invasive Gynecologic Surgery.
Intraperitoneal Bleeding
A patient with significant intraperitoneal hemorrhage may show signs of hemorrhagic shock, the first sign of which is tachycardia; hypotension may only occur after 30–40 % of a patient’s blood volume is lost, particularly in young, healthy women. Please refer to Chap. 1, Acute Pelvic Pain, for the diagnosis of intra-abdominal hemorrhage and hemorrhagic shock. The patient may also show signs of peritonitis, including a rigid, exquisitely tender abdomen. A pelvic ultrasound may show free fluid, particularly echogenic, complex, free fluid concerning for hemoperitoneum (Fig. 20.4). Obtain repeat hemoglobin levels in 2–4 h in patients with suspected intra-abdominal bleeding; patients with ongoing bleeding will have progressively declining hemoglobin. In patients who are clinically worsening, or with declining hemoglobin, obtain coagulation studies to assess for underlying bleeding disorders or evolving coagulopathy, while beginning aggressive intravascular resuscitation with fluids and blood products as needed. For more information on intravascular resuscitation and transfusion, please see Chap. 13, Preparing for Urgent and Emergent Surgery.

Fig. 20.4
Hemoperitoneum . Transvaginal ultrasound showing complex free fluid in the posterior cul-de-sac, indicated with an asterisk (*)
OHSS
OHSS ranges from mild to critical in its clinical manifestations, and several classification methods have been proposed, summarized in Table 20.2. In general, laboratory parameters remain normal in mild and moderate OHSS, while severe and critical OHSS are accompanied by significant derangements in multiple organ systems, evidenced by laboratory results and physical examination [35–37]. In addition to findings noted in Table 20.2, severe disease may be accompanied by hyponatremia or hyperkalemia, and the risk of thromboembolism increases with worsening hemoconcentration. In patients who require paracentesis or thoracentesis, the fluid is exudative, with high protein (4.8 g/10 mL), many red blood cells, and few leukocytes [23].
Table 20.2
Classification of OHSS
|
Severity |
Clinical findings |
Laboratory and Imaging |
|
Mild |
Mild abdominal pain Mild abdominal distention |
Ovaries usually <8 cm in diameter No other laboratory abnormalities |
|
Moderate |
Nausea/vomiting or diarrhea Abdominal distention Ascites |
Ovaries 8–12 cm in diameter No other laboratory abnormalities |
|
Severe |
Large ascites Pleural effusion Respiratory distress |
Ovaries > 12 cm in diameter Hematocrit > 45% WBC > 15,000/uL Creatinine 1.0–1.5 mg/mL Elevated liver enzymes |
|
Critical |
Tense ascites Large pleural effusion Thromboembolism Oliguria Acute respiratory distress syndrome (ARDS) |
Hematocrit > 55% WBC > 25,000/uL Creatinine > 1.6 mg/mL |
From Navot et al. [35], Golan et al. [36], Mathur et al. [37]
Pelvic Infections
Following oocyte retrieval, patients with fever, abdominal pain, nausea, and leukocytosis may have a pelvic infection. Patients with pelvic infections may have peritoneal signs on abdominal exam, mucopurulent cervicitis on speculum exam (if performed), and leukocytes may be noted on a wet mount [38]. In patients also found to have complex adnexal masses on imaging, the most common etiologies are tubo-ovarian abscesses or, less commonly, infected endometriomas. Clinicians should also consider the possibility of appendicitis or other non-adnexal abscesses, potentially—though not necessarily—related to oocyte retrieval. For more information on other adnexal masses, please refer to Chap. 4, Adnexal Masses and Ovarian Cyst Rupture. In patients with signs of pelvic infection after oocyte retrieval and/or embryo transfer in the absence of an adnexal mass or other identifiable source, consider upper genital tract infection, treated with regimens for pelvic inflammatory disease or endometritis. For more information, please refer to Chaps. 6 and 16, respectively. Avoid teratogenic medications in patients who have undergone embryo transfer.
In general, for infectious adnexal masses, a CT scan may reveal surrounding inflammatory changes, including stranding or free fluid [38]. A CT scan may also help clarify any gastrointestinal involvement, including appendicitis or diverticulitis, which can lead to inflammation in the region of an adnexa. By MRI, internal gas bubbles are highly specific for abscess [39].
Ultrasound sensitivity and specificity for tubo-ovarian abscesses are greater than 90 %; by ultrasound, TOAs may appear as a complex, septated cystic adnexal structure with irregular, thick walls, and sometimes with internal debris (Fig. 20.5) [38]. By CT scan, TOAs also appear as complex, thick-walled , septated masses (Fig. 20.6).

Fig. 20.5
Tubo-ovarian abscess by ultrasound. Transvaginal ultrasound showing an enlarged fallopian tube with debris, indicated with an asterisk (*)

Fig. 20.6
Tubo-ovarian abscess by CT scan. Left-sided tubo-ovarian abscess is indicated with an asterisk (*)
Conversely, by ultrasound, endometriomas appear as homogenous masses with low-level interval echogenicity and smooth, thick walls (Fig. 20.7) [40, 41]. By CT, endometriomas are nonenhancing (Fig. 20.8). By MRI, endometriomas demonstrate high signal intensity (brightness) on T1-weighted images (Fig. 20.9a), while on T2-weighted images, endometriomas have less intense signal intensity than simple cysts and may demonstrate fluid-fluid levels (Fig. 20.9b) [42].

Fig. 20.7
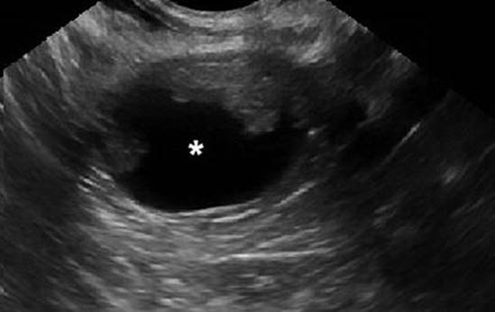
Endometrioma by ultrasound . Transvaginal ultrasound showing an ovarian endometrioma, indicated with an asterisk (*)

Fig. 20.8
Endometrioma by CT scan. Pelvic CT scan showing a large left adnexal endometrioma, indicated with an asterisk (*)

Fig. 20.9
Endometrioma by MRI. (a) Left adnexal endometrioma, indicated with an asterisk (*), by T1-weighted fat-suppressed MRI image. (b) Left adnexal endometrioma, indicated with an asterisk (*), by T2-weighted MRI image
Other Acute Diagnoses
Ovarian torsion should be part of the differential diagnosis for any patient with an enlarged ovary—simply from hyperstimulation or associated with a mass—and abdominal pain. The rate of torsion following IVF is approximately 1 in 1000 women, though up to one-third of these have concomitant OHSS [43]. Please see Chap. 5 for the diagnosis and management of adnexal torsion.
Ectopic pregnancy should always be considered in a patient with abdominal pain and a positive serum or urine hCG. Please see Chap. 3, Pregnancy of Unknown Location and Ectopic Pregnancy, for more information on ectopic pregnancy.
Management
Intraperitoneal Bleeding
In patients with hemoperitoneum following oocyte retrieval, particularly those presenting within a few days following the procedure, bleeding most commonly originates from ovarian puncture sites [18]. In hemodynamically stable patients, first-line management of suspected intra-abdominal bleeding after oocyte retrieval is close observation and supportive care. Hemoglobin measurements should be obtained every 4 h until stable values are confirmed; if the hemoglobin continues to decline, provide transfusions as needed. Patients requiring transfusion should be admitted for close monitoring. Please see Chap. 1, Acute Pelvic Pain, for the management of intra-abdominal hemorrhage.
Patients who are hemodynamically unstable or have persistently declining hemoglobin—refractory to aggressive management with blood products—may require surgical management, either by interventional radiology or by laparoscopy or laparotomy, as determined by resource availability and the patient’s clinical stability [16, 44]. Interventional radiology offers the advantage of identifying and embolizing vascular injuries using angiography. If a patient is taken to the operating room, suturing and electrocauterization of bleeding ovarian puncture sites have been described, in addition to application of hemostatic agents [16]. For persistent or uncontrollable bleeding, patients may require oophorectomy. A full survey of the abdominal and pelvic organs should be performed at the time of surgery to assess for injuries to other pelvic organs or vessels.
OHSS
Mild OHSS in the properly counseled patient can be managed in the outpatient setting with hydration, pain medications, and antiemetics [1]. Patients should drink at least a liter of electrolyte-rich fluid per day and can be asked to keep a log of intake and outputs. Patients are at risk of ovarian torsion or rupture and should avoid intercourse or strenuous activity. Patients should be counseled to weigh themselves daily, and a weight gain of 2 lb or more per day is an indication for repeat laboratory assessment and discussion of symptoms. Patients should be followed with frequent office visits, to assess for worsening ascites or laboratory abnormalities. Patients who then become pregnant are at risk of “late” OHSS and should be followed particularly closely [33].
In both the inpatient and outpatient settings, patients with large ascites and significant discomfort may require paracentesis—transvaginally or transabdominally—under ultrasound guidance [23]. Large pleural effusions, particularly those resulting in respiratory compromise, may require thoracentesis.
Patients with severe OHSS require hospitalization. Findings that may prompt admission include intractable abdominal pain or vomiting, tachypnea, tachycardia, hypotension, syncope, significant hyponatremia, hyperkalemia, hemoconcentration (>45 %), or elevations in creatinine or liver function tests [1]. Patients who are admitted should have regular vital signs recorded, daily weights, physical examination (assessing for new or worsening pleural effusion or ascites), and laboratory testing (CBC, electrolytes, and creatinine). Electrolyte abnormalities should be addressed. Strict inputs and outputs should be recorded. Due to risk of thromboembolism, patients should receive subcutaneous heparin (5000 units every 12 h) [1].
Intravenous hydration, preferably with an isotonic fluid such as normal saline, should be administered to maintain a urine output of at least 20–30 mL/h [1]. Excessive hydration will only lead to more extravasation due to vascular permeability. Diuretics are not appropriate therapy, as patients with OHSS are already hemoconcentrated and intravascularly depleted.
TOA
Please see Chap. 6, Pelvic Inflammatory Disease and Tubo-Ovarian Abscess, for management for TOA.
Infected Endometrioma
Endometriomas may be difficult to penetrate with intravenous antibiotics, due to sparse blood flow and the presence of fibrosis [19]. Regardless, antibiotics should be started; options include regimens usually used for TOAs: (1) doxycycline (100 mg PO or IV every 12 h) for 14 days plus either (1) cefoxitin (2 g IV every 6 h) or (2) cefotetan (2 g IV every 12 h). An alternative regimen is clindamycin (900 mg IV every 8 h) plus gentamicin (2 mg/kg load, followed by 1.5 mg/kg every 8 h) or (3) ampicillin-sulbactam (3 g IV every 6 h) plus doxycycline (100 mg PO or IV every 12 h). Once a patient has been afebrile for at least 24 h, she can be transitioned to oral antibiotics; the CDC recommends doxycycline (100 mg PO every 12 h) plus either clindamycin (450 mg PO every 6 h) or metronidazole (500 mg PO every 12 h). Doxycycline should not be continued alone. Twenty-four hours of inpatient observation of the patient’s clinical status following transition to oral antibiotics is recommended.
Ideally, teratogenic medications should be avoided in patients who have already undergone embryo transfer. All of the above regimens include a pregnancy class D medication (meaning fetal risk has been demonstrated); consider infectious disease consultation for further guidance. These medications may ultimately be required in acutely ill patients with TOA or infected endometrioma.
In patients initially treated with intravenous antibiotics alone, persistent pain, fever, or leukocytosis indicates need for further intervention; in the past, intervention has usually been surgical. Patients with endometriomas are likely to have adhesive disease, and due to the inflammation caused by an acute infection, these cases are highly challenging and may result in oophorectomy.
As an alternative to surgical intervention, percutaneous or transvaginal drainage with ultrasound guidance has been described for the management of endometriomas, though the recurrence rate is high (at least two-thirds or more in studies) [45–47]. While endometriomas are likely to recur after drainage, decompression of the infection may have utility in the acute setting. Of note, malignant transformation of endometriosis occurs in less than 1 % of cases, and aspiration may theoretically lead to peritoneal spread [48].
References
1.
Practice Committee of American Society for Reproductive Medicine. Definitions of infertility and recurrent pregnancy loss: a committee opinion. Fertil Steril. 2013;99:63.
2.
Thoma ME, McLain AC, Louis JF, King RB, Trumble AC, Sundaram R, et al. Prevalence of infertility in the United States as estimated by the current duration approach and a traditional constructed approach. Fertil Steril. 2013;99:1324–31.CrossRefPubMedPubMedCentral
3.
Hoffman BL, Schorge JO, Schaffer JI, Halvorson LM, Bradshaw KD, Cunningham F, et al. Chapter 20. Treatment of the infertile couple. In Hoffman BL, Schorge JO, Schaffer JI, Halvorson LM, Bradshaw KD, Cunningham F, Calver LE, editors. Williams gynecology. 2nd edn. New York: McGraw-Hill; 2012. http://accessmedicine.mhmedical.com.ezp-prod1.hul.harvard.edu/content.aspx?bookid=399&Sectionid=41722309. Accessed 02 June 2015.
4.
Purvin VA. Visual disturbance secondary to clomiphene citrate. Arch Ophthalmol. 1995;113:482–4.CrossRefPubMed
5.
Practice Committee of the American Society for Reproductive Medicine. Use of clomiphene citrate in infertile women: a committee opinion. Fertil Steril. 2013;100:341–8.CrossRef
6.
Mitchell SY, Fletcher HM, Williams E. Ovarian hyperstimulation syndrome associated with clomiphene citrate. West Indian Med J. 2001;50:227–9.PubMed
7.
Sacks PC, Simon JA. Infectious complications of intrauterine insemination: a case report and literature review. Int J Fertil. 1991;36:331–9.PubMed
8.
Weissman A, Lurie S, Zalel Y, Goldchmit R, Shoham Z. Human chorionic gonadotropin: pharmacokinetics of subcutaneous administration. Gynecol Endocrinol. 1996;10:273–6.CrossRefPubMed
9.
Mannaerts BM, Geurts TB, Odink J. A randomized three-way cross-over study in healthy pituitary-suppressed women to compare the bioavailability of human chorionic gonadotrophin (Pregnyl) after intramuscular and subcutaneous administration. Hum Reprod. 1998;13:1461–4.CrossRefPubMed
10.
Barnhart K. Ectopic pregnancy. N Engl J Med. 2009;361:379–87.CrossRefPubMed
11.
Practice Committee of the American Society for Reproductive Medicine. Medical treatment of ectopic pregnancy: a committee opinion. Fertil Steril. 2013;100:638–44.CrossRef
12.
Bodri D, Guillén JJ, Polo A, Trullenque M, Esteve C, Coll O. Complications related to ovarian stimulation and oocyte retrieval in 4052 oocyte donor cycles. Reprod Biomed Online. 2008;17:237–43.CrossRefPubMed
13.
Ragni G, Scarduelli C, Calanna G, Santi G, Benaglia L, Somigliana E. Blood loss during transvaginal oocyte retrieval. Gynecol Obstet Invest. 2009;67:32–5.CrossRefPubMed
14.
Dessole S, Rubattu G, Ambrosini G, Miele M, Nardelli GB, Cherchi PL. Blood loss following noncomplicated transvaginal oocyte retrieval for in vitro fertilization. Fertil Steril. 2001;76:205–6.CrossRefPubMed
15.
Bolster F, Mocanu E, Geoghegan T, Lawler L. Transvaginal oocyte retrieval complicated by life-threatening obturator artery haemorrhage and managed by a vessel-preserving technique. Ulster Med J. 2014;83:146–8.PubMedPubMedCentral
16.
Nouri K, Walch K, Promberger R, Kurz C, Tempfer CB, Ott J. Severe haematoperitoneum caused by ovarian bleeding after transvaginal oocyte retrieval: a retrospective analysis and systematic literature review. Reprod Biomed Online. 2014;29:699–707.CrossRefPubMed
17.
Roest J, Mous HV, Zeilmaker GH, Verhoeff A. The incidence of major clinical complications in a Dutch transport IVF programme. Hum Reprod Update. 1996;2:345–53.CrossRefPubMed
18.
Ludwig AK, Glawatz M, Griesinger G, Diedrich K, Ludwig M. Perioperative and post-operative complications of transvaginal ultrasound-guided oocyte retrieval: prospective study of >1000 oocyte retrievals. Hum Reprod. 2006;21:3235–40.CrossRefPubMed
19.
Somigliana E, Benaglia L, Paffoni A, Busnelli A, Vigano P, Vercellini P. Risks of conservative management in women with ovarian endometriomas undergoing IVF. Hum Reprod Update. 2015;21:486–99.CrossRefPubMed
20.
Practice Committee of American Society for Reproductive Medicine. Ovarian hyperstimulation syndrome. Fertil Steril. 2008;90:S188–93.
21.
Delvigne A. Symposium: update on prediction and management of OHSS. Epidemiology of OHSS. Reprod Biomed Online. 2009;19:8–13.CrossRefPubMed
22.
Levin ER, Rosen GF, Cassidenti DL, Yee B, Meldrum D, Wisot A, et al. Role of vascular endothelial cell growth factor in Ovarian Hyperstimulation Syndrome. J Clin Invest. 1998;102:1978–85.CrossRefPubMedPubMedCentral
23.
Delvigne A, Rozenberg S. Review of clinical course and treatment of ovarian hyperstimulation syndrome (OHSS). Hum Reprod Update. 2003;9:77–96.CrossRefPubMed
24.
Neulen J, Yan Z, Raczek S, Weindel K, Keek C, Weich HA, et al. Human chorionic gonadotropin-dependent expression of vascular endothelial growth factor/vascular permeability factor in human granulosa cells: importance in ovarian hyperstimulation syndrome. J Clin Endocrinol Metab. 1995;80:1967–71.PubMed
25.
Rova K, Passmark H, Lindqvist PG. Venous thromboembolism in relation to in vitro fertilization: an approach to determining the incidence and increase in risk in successful cycles. Fertil Steril. 2012;97:95–100.CrossRefPubMed
26.
Papanikolaou EG, Pozzobon C, Kolibianakis EM, Camus M, Tournaye H, Fatemi HM, et al. Incidence and prediction of ovarian hyperstimulation syndrome in women undergoing gonadotropin-releasing hormone antagonist in vitro fertilization cycles. Fertil Steril. 2006;85:112–20.CrossRefPubMed
27.
Asch RH, Li HP, Balmaceda JP, Weckstein LN, Stone SC. Severe ovarian hyperstimulation syndrome in assisted reproductive technology: definition of high risk groups. Hum Reprod. 1991;6:1395–9.PubMed
28.
Lee TH, Liu CH, Huang CC, Wu YL, Shih YT, Ho HN, et al. Serum anti-Müllerian hormone and estradiol levels as predictors of ovarian hyperstimulation syndrome in assisted reproduction technology cycles. Hum Reprod. 2008;23:160–7.CrossRefPubMed
29.
Enskog A, Henriksson M, Unander M, Nilsson L, Brännström M. Prospective study of the clinical and laboratory parameters of patients in whom ovarian hyperstimulation syndrome developed during controlled ovarian hyperstimulation for in vitro fertilization. Fertil Steril. 1999;71:808–14.CrossRefPubMed
30.
Nardo LG, Gelbaya TA, Wilkinson H, Roberts SA, Yates A, Pemberton P, et al. Circulating basal anti-Müllerian hormone levels as predictor of ovarian response in women undergoing ovarian stimulation for in vitro fertilization. Fertil Steril. 2009;92:1586–93.CrossRefPubMed
31.
Ocal P, Sahmay S, Cetin M, Irez T, Guralp O, Cepni I. Serum anti-Müllerian hormone and antral follicle count as predictive markers of OHSS in ART cycles. J Assist Reprod Genet. 2011;28:1197–203.CrossRefPubMedPubMedCentral
32.
Youssef MA, Van der Veen F, Al-Inany HG, Mochtar MH, Griesinger G, Nagi Mohesen M, et al. Gonadotropin-releasing hormone agonist versus HCG for oocyte triggering in antagonist-assisted reproductive technology. Cochrane Database Syst Rev. 2014;(10):CD008046.
33.
Mathur RS, Akande AV, Keay SD, Hunt LP, Jenkins JM. Distinction between early and late ovarian hyperstimulation syndrome. Fertil Steril. 2000;73:901–7.CrossRefPubMed
34.
Scalea TM, Rodriguez A, Chiu WC, Brenneman FD, Fallon Jr WF, Kato K, et al. Focused Assessment with Sonography for Trauma (FAST): results from an international consensus conference. J Trauma. 1999;46:466–72.CrossRefPubMed
35.
Navot D, Bergh PA, Laufer N. Ovarian hyperstimulation syndrome in novel reproductive technologies: prevention and treatment. Fertil Steril. 1992;58:249–61.CrossRefPubMed
36.
Golan A, Ron-el R, Herman A, Soffer Y, Weinraub Z, Caspi E. Ovarian hyperstimulation syndrome: an update review. Obstet Gynecol Surv. 1989;44:430–40.CrossRefPubMed
37.
Mathur R, Evbuomwan I, Jenkins J. Prevention and management of ovarian hyperstimulation syndrome. Curr Obstet Gynaecol. 2005;15:132–8.CrossRef
38.
Granberg S, Gjelland K, Ekerhovd E. The management of pelvic abscess. Best Pract Res Clin Obstet Gynaecol. 2009;23:667–78.CrossRefPubMed
39.
Noone TC, Semelka RC, Worawattanakul S, Marcos HB. Intraperitoneal abscesses: diagnostic accuracy of and appearances at MR imaging. Radiology. 1998;208:525–8.CrossRefPubMed
40.
Yaron Y, Peyser MR, Samuel D, Amit A, Lessing JB. Infected endometriotic cysts secondary to oocyte aspiration for in-vitro fertilization. Hum Reprod. 1994;9:1759–60.PubMed
41.
Mais V, Guerriero S, Ajossa S, Angiolucci M, Paoletti AM, Melis GB. The efficiency of transvaginal ultrasonography in the diagnosis of endometrioma. Fertil Steril. 1993;60:776–80.CrossRefPubMed
42.
Heilbrun ME, Olpin J, Shaaban A. Imaging of benign adnexal masses: characteristic presentations on ultrasound, computed tomography, and magnetic resonance imaging. Clin Obstet Gynecol. 2009;52:21–39.CrossRefPubMed
43.
Rackow BW, Patrizio P. Successful pregnancy complicated by early and late adnexal torsion after in vitro fertilization. Fertil Steril. 2007;87:697.e9–12.
44.
Kart C, Guven S, Aran T, Dinc H. Life-threatening intraabdominal bleeding after oocyte retrieval successfully managed with angiographicembolization. Fertil Steril. 2011;96:e99–102.CrossRefPubMed
45.
Aboulghar MA, Mansour RT, Serour GI, Rizk B. Ultrasonic transvaginal aspiration of endometriotic cysts: an optional line of treatment in selected cases of endometriosis. Hum Reprod. 1991;6:1408–10.PubMed
46.
Chan LY, So WW, Lao TT. Rapid recurrence of endometrioma after transvaginal ultrasound-guided aspiration. Euro J Obstet Gynecol Reprod Biol. 2003;109:196–8.CrossRef
47.
Alborzi S, Zarei A, Alborzi S, Alborzi M. Management of ovarian endometrioma. Clin Obstet Gynecol. 2006;49:480–91.CrossRefPubMed
48.
Nishida M, Watanabe K, Sato N, Ichikawa Y. Malignant transformation of ovarian endometriosis. Gynecol Obstet Invest. 2000;50:18–25.CrossRefPubMed