Paula C. Brady1 and Daniela Carusi1
(1)
Department of Obstetrics, Gynecology and Reproductive Biology, Brigham and Women’s Hospital, Boston, MA, USA
Paula C. Brady
Email: Pbrady2@partners.org
Keywords
Vaginal bleedingAnovulatory bleedingDisseminated intravascular coagulationTransfusion
Definitions
Disseminated Intravascular Coagulation (DIC )
Systematic activation of coagulation pathways causing diffuse fibrin deposition, leading to consumption of coagulation factors and platelets, which can result in hemorrhage and/or thrombosis [1]. Conditions leading to DIC include sepsis, malignancy, trauma, obstetrical complications (amniotic fluid embolism, placental abruption, intrauterine fetal demise), liver failure, and ABO incompatibility [1].
Differential Diagnosis [2]
Spontaneous
· In any group:
o Bleeding diathesis or other hematologic abnormality including thrombocytopenia or DIC
o Malignancy: uterine, cervical, vaginal, or gestational trophoblastic neoplasia
o Anticoagulation therapy
· Nonpregnant :
o Endometrial polyps
o Uterine fibroids
o Adenomyosis
o Primary menorrhagia (heavy menses)
o Anovulatory bleeding , such as in polycystic ovarian syndrome, perimenopause, or hypothyroidism
· Early pregnancy :
o Complete, incomplete, threatened abortion, or early pregnancy failure
o Subchorionic hematoma
o Placenta previa (overlying the cervical os)
o Placental abruption
o Retained products of conception
o Gestational trophoblastic neoplasia
o Ectopic pregnancy
· Pregnancy at 20 weeks of gestation or more:
o Uterine rupture
o Placental abruption
o Placenta previa
o Cervical dilation
· Postpartum :
o Atony
o Cervical or vaginal lacerations
o Uterine inversion
o Retained products of conception, including abnormally adherent placenta (i.e. placenta accreta)
Traumatic
· Vaginal laceration from intercourse , assault, or sexual trauma
· Surgical site bleeding (such as following a hysterectomy, vaginal surgery, loop electrosurgical excision procedure (LEEP), or cone biopsy)
· Any uterine instrumentation leading to retained products of conception, perforation, atony, or uterine, vaginal, or cervical lacerations
This chapter will focus on the diagnosis and management of vaginal bleeding in nonpregnant women, attributed to anovulatory bleeding , menorrhagia, uterine pathology (such as fibroids), anticoagulation, or bleeding diatheses. For diagnosis and management of ectopic pregnancies, which can result in vaginal bleeding (particularly cervical or cesarean scar ectopic pregnancies), please refer to Chap. 3, Pregnancy of Unknown Location and Ectopic Pregnancy. For diagnosis and management of hemorrhage from a spontaneous abortion, please refer to Chap. 8, Spontaneous Abortion. For diagnosis of management of bleeding due to intrauterine pregnancies in the second or third trimesters, please see Chap. 12, Obstetrics in the Emergency Room. For diagnosis and management of bleeding complications of medical or surgical abortion, please see Chap. 17, Induced Abortion. Vaginal hemorrhage due to gynecologic malignancies is discussed in Chap. 18, Gynecologic Oncology.
When You Get the Call
Ask for a full set of the patient’s vital signs. As a means of triaging the acuity of the patient’s bleeding, consider asking the caller to describe the volume of bleeding, including whether the source of the vaginal bleeding could be visualized or if too much bright red bleeding was present. Ensure that a pregnancy test has been performed in any premenopausal patient, and request that the patient be moved to a private room on bed or stretcher equipped for gynecologic exams (i.e., with stirrups).
When You Arrive
Review the full vital sign flow sheet to assess for hemodynamic instability and hemorrhagic shock (Table 2.1). Assess the patient’s distress, including whether she is pale or diaphoretic and whether she is alert and oriented. Confirm that the patient has IV access. If there is evidence of significant bleeding or vital sign changes, order a second IV to be placed. Tachycardia, hypotension, and/or lethargy requires immediate resuscitation. Request that blood products be cross-matched, and consider requesting delivery of emergency release, O-negative blood to the beside for clinically unstable patients.
Table 2.1
Stages of hemorrhagic shock
|
Class I: blood volume lost <15 % |
Class II: blood volume lost 15–30 % |
|
Heart rate <100 beats per minute |
Heart rate >100 beats per minute |
|
Blood pressure normal |
Blood pressure normal |
|
Respiratory rate 14–20 breaths per minute |
Respiratory rate 20–30 breaths per minute |
|
Urine output >30 mL/h |
Urine output 20–30 mL/h |
|
Mental status normal |
Mental status mildly anxious |
|
Class III: blood volume lost 30–40 % |
Class IV: blood volume lost >40 % |
|
Heart rate >120 beats per minute |
Heart rate >140 beats per minute |
|
Blood pressure decreased |
Blood pressure decreased |
|
Respiratory rate 30–40 breaths per minute |
Respiratory rate >35 breaths per minute |
|
Urine output 5–15 mL/h |
Urine output negligible |
|
Mental status anxious/confused |
Mental status confused/lethargic |
|
Often marks the onset of decompensated hypovolemic shock |
Committee on Trauma [4]
History
The history may be abbreviated in clinically unstable patients. In these patients, the history may consist of a brief review of medical problems, medications (including anticoagulants and contraception), allergies, prior surgeries, and possible causes for her bleeding, such as recent surgery, pregnancy, fibroids, anovulation, and known bleeding diathesis.
In stable patients, the history of present illness includes when the bleeding started and how many maxi pads or tampons she is using per day. Soaking two thick maxi pads or tampons per hour for 2 h is a rough estimate of potentially excessive bleeding. Record the date of her last menstrual period. Ask the patient whether she has any associated symptoms of pain, fever, bowel, or bladder dysfunction. Review whether any activities—such as intercourse—precipitated the bleeding, which may suggest a laceration, or vaginal cuff injury or dehiscence in a patient who has undergone total hysterectomy (particularly within the last 6–8 weeks). If the patient underwent recent gynecologic surgery, review the operative report.
Review the patient’s full medical history , including her obstetrical history, whether her menses are regular (occurring roughly every 21 to 35 days), and whether she has menorrhagia or any known uterine lesions including fibroids, polyps, or adenomyosis. Review whether the patient has a current or prior gynecologic malignancy, a known bleeding diathesis, or history suggestive of a bleeding problem (Table 2.2) [2]. Review the patient’s medications, particularly whether she is taking anticoagulant or hormonal medications.
Table 2.2
History suggestive of bleeding diathesis
|
One of the following: |
|
Menorrhagia (particularly since menarche) |
|
Postpartum hemorrhage |
|
Peri- or postoperative hemorrhage |
|
And/or two of more of the following: |
|
Easy bruising (at least once or twice per month) |
|
Epistaxis (at least once or twice per month) |
|
Bleeding from the gums |
|
Family history of excessive bleeding |
American College of Obstetricians and Gynecologists [2]
Physical Examination
Assess the patient’s alertness and orientation. Check for capillary refill by pressing on the fingernails; delayed reperfusion of the fingernail beds is evidence of decreased perfusion, associated with sepsis or anemia [3]. Perform an abdominal examination, noting the presence of peritoneal signs, including rebound (pain when abdominal pressure is quickly withdrawn), involuntary guarding, or shake tenderness (pain when shaking the patient’s abdomen or bed), which may indicate intra-abdominal infection, inflammation, or hemorrhage.
If bleeding is heavy, prepare to use wall suction, which is available in most emergency room bays and hospital rooms, for the speculum exam in order to enhance visualization. Localize the source of bleeding, and assess for cervical or vaginal lacerations. In a patient likely having a spontaneous abortion, if products of conception are visualized extruding from the cervical os, remove these and send them to pathology for confirmation. Of note, if the tissue cannot be easily extracted, abort efforts to remove it. This could represent a cervical (or other abnormal) implantation, and extraction could lead to severe hemorrhage . Similarly, cervical or vaginal polyps or other masses (including possible malignancy) should not be removed or biopsied in the emergency room, as hemorrhage may result. On bimanual exam, note the uterine size, which may indicate the presence of pregnancy , adenomyosis, or fibroids; also note uterine tenderness.
Diagnosis
Hemorrhagic shock can be diagnosed clinically, shown in Table 2.1 [4]. Hypotension is defined as systolic blood pressure (SBP) below 90 millimeters of mercury (mmHg) or 20 % or more below a patient’s baseline [5, 6]. In severely decompensated patients, the presence of a femoral pulse can be used for reference, reflecting an SBP of 60–70 mmHg; alternatively, the presence of a carotid pulse represents an SBP of at least 60 mmHg [7]. Notably, tachycardia is the first sign of hemorrhagic shock, and hypotension may not appear until 30–40 % of a patient’s blood volume has been lost. These findings require immediate, aggressive resuscitation, which should begin alongside diagnosis. Resuscitation is discussed under “Management” below.
In patients with vaginal bleeding, a complete blood count and blood type and antibody screen should be ordered. A human chorionic gonadotropin (hCG) should be ordered in any patient who is not menopausal, defined as 1 year without menses, occurring at a mean age of 51 years [8]. Complicating this definition are some women with over a year of amenorrhea who are premenopausal but anovulatory, which is a risk factor for endometrial hyperplasia and malignancy and heavy bleeding.
In patients using anticoagulant medications , and those with major hemorrhage, possible or known bleeding diathesis, pregnancy-related bleeding, or possible disseminated intravascular coagulation, order coagulation studies (prothrombin time (PT) and activated partial thromboplastin time (aPTT)) and a fibrinogen [1].
The diagnosis of DIC is both clinical and by laboratory criteria (usually thrombocytopenia, low fibrinogen and/or prolonged PT/aPTT); serial laboratory testing may reveal worsening parameters. In patients with possible bleeding diathesis, particularly von Willebrand disease, check a von Willebrand factor, ristocetin cofactor assay, and factor VIII level, which are less helpful acutely; pregnancy, thyroid dysfunction, and use of hormonal medication affect these levels [9, 10]. In patients with irregular periods or baseline menorrhagia, consider checking a thyroid-stimulating hormone (TSH) if not recorded in the past year.
If a patient is sufficiently stable to be sent for imaging, a pelvic ultrasound should be obtained, which may reveal uterine pathology such as polyps or fibroids.
In patients who are perimenopausal , anovulatory or oligo-ovulatory, obese and/or receiving hormone replacement therapy, or any woman over 45 years with irregular bleeding, endometrial sampling is recommended to assess for endometrial hyperplasia or malignancy [2]. This is ideally performed prior to initiating any hormones, though sampling should be performed in a setting in which the results can be reliably followed up. For patients with significant anovulatory bleeding , uterine evacuation (with curettage or manual vacuum extraction) can be both diagnostic and therapeutic.
Management
Management is determined according to the patient’s clinical stability; hemodynamically unstable patients require intervention (detailed below), while stable patients can be managed medically. The goal of management of vaginal hemorrhage is to significantly reduce or stop a patient’s bleeding.
Resuscitation
In hemodynamically unstable patients, resuscitation should begin alongside the assessment. In recommendations drawn from the trauma literature, patients receiving massive transfusion (>10 units of packed red cells), red blood cells, fresh frozen plasma (FFP), and platelets should be administered in a ratio of 1:1:1, meaning 6 units of pooled random donor platelets (which equals one apheresis platelet unit) should be given for every 6 units of red blood cells and 6 units of FFP [11–13].
For non-massive, goal-oriented resuscitation, goals include (1) hemoglobin greater than 7 g per deciliter (dL), though higher thresholds are advisable in elderly patients and those with cardiopulmonary disease; (2) platelets above 50,000 per uL, particularly if surgery is planned; (3) an international normalized ratio (INR) less than 1.5; and (4) a fibrinogen level above 100 milligrams (mg) per dL [14, 15]. A patient’s goal heart rate should generally be less than 100 beats per minute, with urine output at least 0.5 milliliters (mL) per kilogram per hour.
Please refer to Chap. 13, Preparing for Urgent or Emergent Surgery, for further information regarding specific blood products and fibrinogen concentrates.
Medical Management of Vaginal Hemorrhage
In the acute setting, medical management is preferable in hemodynamically stable patients with vaginal bleeding attributed to anovulatory bleeding , menorrhagia, or uterine pathology such as fibroids and may be helpful in subacute bleeding attributed to anticoagulation or bleeding diatheses. Commonly used medications are shown in Table 2.3.
Table 2.3
Medical management of vaginal bleeding
|
Premarin® (conjugated equine estrogen) |
25 mg IV every 4–6 h, effect should be seen in 6–8 h |
|
Monophasic oral contraceptive pills |
1 pill PO, up to every 6 h, then tapered |
|
Tranexamic acid, as adjunct |
IV: 10 mg/kg up to 1 g (or 1 g presumptively) over 10 min, repeated every 8 h as needed |
|
PO: 1 g PO every 6 h, or 1.3 g every 8 h. |
|
|
Medroxyprogesterone acetate |
20 mg PO every 8 h (up to 80 mg per day) |
|
Norethindrone acetate |
5–15 mg per day |
American College of Obstetricians and Gynecologists [2], James et al. [9]
Please refer to the text for contraindications and side effects of these medications
PO by mouth, IV intravenous
Medical management alone has a limited role in the management of unstable patients, though intravenous estrogen, in conjunction with resuscitative efforts, can be an effective intervention for vaginal hemorrhage, with improvement in bleeding within 6 h [16]. In many unstable patients, medical management—such as correction of DIC, reversal of anticoagulation, treatment of bleeding diathesis, or adjunctive treatment with tranexamic acid—may be used, while the underlying cause of bleeding (such as retained products of conception or severe intrauterine infection) is addressed surgically.
Medical management of severe vaginal hemorrhage
For acute vaginal bleeding unrelated to pregnancy, intravenous conjugated equine estrogen (Premarin®, Wyeth Pharmaceuticals, Philadelphia, PA, 25 mg IV every 4–6 h) can be used [9, 16]. Improvement is usually seen in 1–2 doses; continuation should be reevaluated at 48 h at the latest. This medication is highly thrombogenic; contraindications to estrogen therapy include, but are not limited to, migraines with aura, smoking (in women over 35 years of age), prior deep vein thrombosis or pulmonary embolism, known thrombophilia, cerebrovascular disease, ischemic cardiac disease, severe hypertension, complicated vascular disease, peripartum cardiomyopathy within the last 6 months or with impaired cardiac function, severe cirrhosis, liver malignancy, active breast cancer, and lupus with positive antiphospholipid antibodies [17]. Ultimately, the thrombogenic risks of the medication must be weighed against the severity of the bleeding and the risks to the patient of alternative management such as surgery.
Once bleeding has improved with IV estrogen , a patient should be transitioned to monophasic combined oral contraceptive pills (COC) with 50 micrograms (μg) of ethinyl estradiol every 6 h until the bleeding is much improved; a suggested downtitration protocol involves decreasing pill frequency to every 8 h for 2–7 days and then every 12 h for 2–7 days, followed by daily administration going forward [9]. Lower doses of ethinyl estradiol and more rapid downtitration should be considered in patients whose bleeding is much improved, particularly patients over age 35 years and/or with comorbidities such as diabetes and hypertension [17]. Side effects of high-dose estrogen therapy include nausea, and antiemetics should be prescribed as needed.
As an adjunct to treatment of acute bleeding, intravenous tranexamic acid can be used. Tranexamic acid is an antifibrinolytic medication, administered in a dose of 10 mg/kg for a maximum of 1 g, or 1 g presumptively (extrapolating from the trauma literature) intravenously over 10 min and repeated every 8 h as needed [18–20]. Tranexamic acid can also be administered orally in the acute setting, 1 gram every 6 h. Oral tranexamic acid (1.3 g every 8 h), administered for the 5 days of menses, is used for chronic menorrhagia and may reduce blood loss by up to half [21]. Contraindications include, but are not limited to, acquired defective color vision and active intravascular clotting. The risk of thromboembolism associated with tranexamic acid is controversial, though in general, this medication should be used with caution in patients at high risk for thromboembolism, including those with known thrombophilia or a history of venous thromboembolism [22]. Dosing should be adjusted in patients with renal dysfunction.
Medical management of subacute vaginal bleeding
For patients without severe hemorrhage or hemodynamic instability, upfront use of oral medications can be considered. Contraindications to estrogen apply to the use of combined oral contraceptive pills and can be found in the Centers for Disease Control and Prevention’s U.S. Medical Eligibility Criteria for Contraceptive Use [17]. The patient’s risk of thromboembolism must be balanced with the severity of her bleeding.For patients with severe bleeding and anemia, a monophasic COC containing 30–50 μg ethinyl estradiol can be administered at a dose of 1 tab orally every 6–8 h until the bleeding slows significantly, at which point the interval can be downtitrated over a week to one pill per day [9]. In patients with stable bleeding, a daily COC can be prescribed.
Oral progestins are a useful alternative for the management of vaginal bleeding in nonpregnant patients who are not appropriate candidates for estrogen-containing medications. Options suggested by a European consensus group include medroxyprogesterone acetate (20 mg every 8 h, up to 80 mg per day) or norethindrone acetate (up to 15 mg per day) [9, 23, 24]. These medications can be continued until bleeding improves, at which point the doses can be titrated down over a week to daily or twice daily administration. Contraindications to progesterone therapy include, but are not limited to, current breast cancer and severe liver dysfunction [17].
Gonadotropin-releasing hormone agonists , such as leuprolide acetate, are also effective in gradually reducing vaginal bleeding, as well as fibroid volume, but are not helpful in the acute setting. A 3-month course of treatment with monthly 3.75 mg intramuscular leuprolide injections is associated with a median reduction in fibroid volume of 47 %, and amenorrhea is 89 % of women [25]. Side effects include vasomotor symptoms and decreased bone density [26]. Gonadotropin-releasing hormone agonists should be administered in the luteal phase of the menstrual cycle to avoid a flare effect [27].
DIC
For patients with DIC , the patient’s bleeding should be managed by both addressing the underlying cause and correcting the coagulopathy. Patients with platelets less than 50,000/μL who will undergo a procedure should receive a platelet transfusion [1]. In patients with bleeding and prolonged PT or aPTT, fresh frozen plasma (FFP) can be administered, for a goal INR of 1.5 [28]. Fibrinogen levels less than 100 mg/dL not improved with FFP should be treated with cryoprecipitate or commercially available fibrinogen concentrates. Please see Chap. 13, Preparing for Urgent or Emergent Surgery, for more information on blood products and fibrinogen concentrates.
Von Willebrand Disease
In patients with type 1 von Willebrand disease and severe bleeding, a ristocetin cofactor assay and factor VIII level should be drawn at baseline and 1 h after administration of desmopressin (DDAVP, 0.3 ug/kg IV in 50 mL of saline over 30 minutes) [29]. Risks of DDAVP include vasodilation and hyponatremia. Consult hematology for monitoring treatment response and determining ongoing management. In patients with type 2 or type 3 disease, DDAVP is less likely to be helpful; von Willebrand factor- containing products or concentrates can be used (dosing varies) [29]. Additional medical management options for patients with von Willebrand disease also include amino-caproic acid (50–60 mg/kg PO or IV, every 4–6 h) or tranexamic acid (10–15 mg/kg IV every 8–12 h); doses of these medications must be adjusted in patients with renal dysfunction [29].
Anticoagulants
In patients with bleeding exacerbated by anticoagulant medications, assessment of the acuity of the patient’s bleeding is vital to deciding whether her medications should be stopped or reversed, in consultation with the prescribing physician. At other times, these medications are absolutely crucial, such as in patients with mechanical cardiac values or active venous thromboses, and solutions to a patient’s vaginal bleeding must be found in parallel. Please see Chap. 13, Preparing for Urgent or Emergent Surgery, for information on reversing anticoagulant medications.
Interventional/Surgical Management of Vaginal Hemorrhage
Lacerations of the vagina or cervix leading to significant ongoing bleeding, either due to sexual activities, trauma, or postoperative complications, should be repaired and may require an exam under anesthesia to allow for adequate visualization. In patients with hemorrhage due to a laceration, vaginal packing can be placed while mobilizing resources to the operating room; the number of sponges or vaginal packs should be recorded, to ensure complete removal later. When addressing injuries sustained due to sexual activities, patients should be asked about sexual abuse or assault, which is addressed in further detail in Chap. 9, Sexual Assault.
As a specific note, patients with recent LEEP and cone biopsy may also present with postoperative bleeding. For these patients, ferric subsulfate solution (Monsel’s solution) can be applied, with or without a vaginal packing [30]. If a vaginal packing is placed with plans to observe the patient overnight, a Foley catheter should be placed in the bladder. Any refractory bleeding will require an exam under anesthesia.
For acute hemorrhage attributed to uterine bleeding, consider uterine tamponade, which can be performed in parallel with resuscitation and medical management, and/or while preparing for operative management or uterine artery embolization by interventional radiology. Tamponade is achieved by carefully placing one of the following into the uterine cavity using a ring clamp: (1) a 30 mL Foley catheter inflated with up to 60 mL of saline and (2) a Bakri® balloon (Cook Medical, Bloomington, IN), which can hold up to 500 mL of saline, which is usually too large to place into a uterine cavity that is neither postabortion nor postpartum [31]. If these techniques are successful, the device can stay in place for 12–24 h, with or without antibiotic prophylaxis [32]. If a Foley or a Bakri balloon is not available, laparotomy sponges or vaginal packing can be placed into a postpartum or postabortion uterus (i.e. one sufficiently enlarged to accommodate them); a sponge count should be recorded to ensure that all are eventually removed.
For patients with acute vaginal bleeding, surgical management is indicated for those who are clinically unstable and who have failed or declined medical or less invasive management. Dilation and curettage is a common approach to vaginal bleeding in a hemodynamically unstable patient. This procedure is both diagnostic and therapeutic, allowing for analysis of the endometrium by pathologists for signs of hyperplasia or malignancy. Manual vacuum aspiration , known to be effective for surgical abortions up to 10 weeks of gestational age and endometrial sampling for hyperplasia or malignancy, is an easily accessible method of uterine evacuation that can potentially be performed in the emergency room with a paracervical block or light systemic sedation. Studies are lacking, however, regarding the efficacy of manual vacuum aspiration in addressing acute vaginal bleeding outside of the abortion setting [33, 34]. Appropriate hormonal medication should be continued after surgical intervention to further decrease bleeding and prevent recurrence of acute hemorrhage.
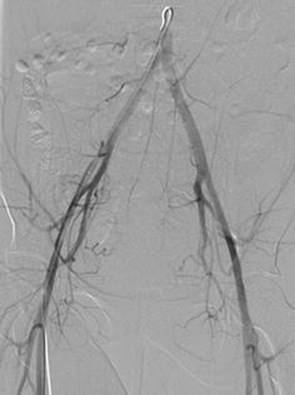
In patients in whom fertility is not desired, or for whom more conservative measures have failed, emergent endometrial ablation , uterine artery embolization (UAE) , or hysterectomy may be required. None of these methods are recommended for women desiring future fertility, and endometrial ablation is contraindicated in the setting of known or suspected uterine malignancy (and endometrial sampling beforehand is mandatory) [35]. Endometrial ablationentails the transvaginal destruction of the endometrium, performed using a variety of methods, including hysteroscopic resection, bipolar radiofrequency, microwave energy, and heat, among others [36–38]. Uterine artery embolization, performed by interventional radiology, involves the cannulation of the femoral artery followed by catheter-guided delivery of embolic particles to the uterine arteries (Fig. 2.1) [39]. UAE is used for the management of fibroids and uterine arteriovenous malformations and can be considered for the urgent management of refractory acute uterine or cervical hemorrhage due to other causes [40, 41]. Contraindications include current pregnancy or severe coagulopathy in which femoral puncture and intravascular procedure would be very high risk for bleeding. Overall, UAE is a relatively low-risk and well-tolerated procedure, though it can result in significant cramping and fevers; complications include groin puncture site infection or hematoma, contrast allergy, arterial trauma, or accidental embolization of nontarget vessels [42]. Though not recommended in women desiring future fertility, UAE may be required for severe vaginal hemorrhage that would otherwise require hysterectomy. Successful pregnancies after UAE have been reported [43].

Fig. 2.1
Uterine artery embolization . Pelvic angiogram during bilateral uterine artery embolization, performed in a 24-year-old with refractory anovulatory uterine bleeding, not adequately addressed with IV conjugated equine estrogen
Hysterectomy is the most invasive and definitive method of control of vaginal bleeding, requiring the longest recovery time and associated with the highest morbidity [44]. The method of approach, by laparoscopy or laparotomy, depends on the patient’s stability, uterine size, surgical history, and physician preference.
References
1.
Levi M, Toh CH, Thachil J, Watson HG. Guidelines for the diagnosis and management of disseminated intravascular coagulation. British Committee for Standards in Haematology. Br J Haematol. 2009;145:24–33.CrossRefPubMed
2.
American College of Obstetricians and Gynecologists. ACOG committee opinion no. 557: Management of acute abnormal uterine bleeding in nonpregnant reproductive-aged women. Obstet Gynecol. 2013;121:891–6.
3.
Dellinger RP, Levy MM, Rhodes A, Annane D, Gerlach H, Opal SM, et al. Surviving sepsis campaign: international guidelines for management of severe sepsis and septic shock: 2012. Crit Care Med. 2013;41:580–637.CrossRefPubMed
4.
Committee on Trauma. Advanced trauma life support 1 student manual. 8th ed. Chicago: American College of Surgeons; 2008.
5.
Vincent JL, De Backer D. Circulatory shock. N Engl J Med. 2014;370:583.PubMed
6.
Rose DK, Cohen MM, DeBoer DP. Cardiovascular events in the postanesthesia care unit: contribution of risk factors. Anesthesiology. 1996;84:772–81.CrossRefPubMed
7.
Gutierrez G, Reines HD, Wulf-Gutierrez ME. Clinical review: hemorrhagic shock. Crit Care. 2004;8:373–81.CrossRefPubMedPubMedCentral
8.
Kato I, Toniolo P, Akhmedkhanov A, Koenig KL, Shore R, Zeleniuch-Jacquotte A. Prospective study of factors influencing the onset of natural menopause. J Clin Epidemiol. 1998;51:1271–6.CrossRefPubMed
9.
James AH, Kouides PA, Abdul-Kadir R, Dietrich JE, Edlund M, Federici AB. Evaluation and management of acute menorrhagia in women with and without underlying bleeding disorders: consensus from an international expert panel. Eur J Obstet Gynecol Reprod Biol. 2011;158:124–34.CrossRefPubMed
10.
van den Burg PJ, Hospers JE, van Vliet M, Mosterd WL, Bouma BN, Huisveld IA. Changes in haemostatic factors and activation products after exercise in healthy subjects with different ages. Thromb Haemost. 1995;74:1457–64.PubMed
11.
Riskin DJ, Tsai TC, Riskin L, Hernandez-Boussard T, Purtill M, Maggio PM, et al. Massive transfusion protocols: the role of aggressive resuscitation versus product ratio in mortality reduction. J Am Coll Surg. 2009;209:198–205.CrossRefPubMed
12.
Holcomb JB, Wade CE, Michalek JE, Chisholm GB, Zarzabal LA, Schreiber MA, et al. Increased plasma and platelet to red blood cell ratios improves outcome in 466 massively transfused civilian trauma patients. Ann Surg. 2008;248:447–58.PubMed
13.
Holcomb JB, Zarzabal LA, Michalek JE, Kozar RA, Spinella PC, Perkins JG, et al. Increased platelet: RBC ratios are associated with improved survival after massive transfusion. J Trauma. 2011;71:S318–28.CrossRefPubMed
14.
Erber WN, Perry DJ. Plasma and plasma products in the treatment of massive haemorrhage. Best Pract Res Clin Haematol. 2006;19:97–112.CrossRefPubMed
15.
Levy JH, Szlam F, Tanaka KA, Sniecienski RM. Fibrinogen and hemostasis: a primary hemostatic target for the management of acquired bleeding. Anesth Analg. 2012;114:261–74.CrossRefPubMed
16.
Vore GR, Owens O, Kase N. Use of intravenous Premarin in the treatment of dysfunctional uterine bleeding— a double-blind randomized control study. Obstet Gynecol. 1982;59:285–91.
17.
Centers for Disease Control and Prevention (CDC). U.S. medical eligibility criteria for contraceptive use, 2010. MMWR Recomm Rep. 2010;59:1–86.
18.
Singh S, Best C, Dunn S, Leyland N, Wolfman WL, Clinical Practice – Gynaecology Committee, et al. Abnormal uterine bleeding in pre-menopausal women. J Obstet Gynaecol Can. 2013;35:473–9.CrossRefPubMed
19.
CRASH-2 trial collaborators, Shakur H, Roberts I, Bautista R, Caballero J, Coats T, et al. Effects of tranexamic acid on death, vascular occlusive events, and blood transfusion in trauma patients with significant haemorrhage (CRASH-2): a randomised, placebo-controlled trial. Lancet. 2010;376:23–32.
20.
Henry DA, Carless PA, Moxey AJ, O’Connell D, Stokes BJ, Fergusson DA et al. Anti-fibrinolytic use for minimising perioperative allogeneic blood transfusion. Cochrane Database Syst Rev. 2011;(3):CD001886.
21.
Bradley LD, Gueye NA. The medical management of abnormal uterine bleeding in reproductive-aged women. Am J Obstet Gynecol. 2016; 214: 31–44.
22.
Sundström A, Seaman H, Kieler H, Alfredsson L. The risk of venous thromboembolism associated with the use of tranexamic acid and other drugs used to treat menorrhagia: a case-control study using the General Practice Research Database. BJOG. 2009;116:91–7.CrossRefPubMed
23.
Munro MG, Mainor N, Basu R, Brisinger M, Barreda L. Oral medroxyprogesterone acetate and combination oral contraceptives for acute uterine bleeding: a randomized controlled trial. Obstet Gynecol. 2006;108:924–9.CrossRefPubMed
24.
AHFS Drug Information 2007. McEvoy GK, editors. Norethindrone, Norethindrone acetate. Bethesda: American Society of Health-System Pharmacists; 2007. p. 3235–7.
25.
Donnez J, Tomaszewski J, Vázquez F, Bouchard P, Lemieszczuk B, Baró F, et al. Ulipristal acetate versus leuprolide acetate for uterine fibroids. N Engl J Med. 2012;366:421–32.CrossRefPubMed
26.
Matsuo H. Prediction of the change in bone mineral density induced by gonadotropin-releasing hormone agonist treatment for endometriosis. Fertil Steril. 2004;81:149–53.CrossRefPubMed
27.
Tan YH, Lethaby A. Pre-operative endometrial thinning agents before endometrial destruction for heavy menstrual bleeding. Cochrane Database Syst Rev. 2013;(11):CD010241.
28.
Sharma S, Sharma P, Tyler LN. Transfusion of blood and blood products: indications and complications. Am Fam Physician. 2011;83:719–24.PubMed
29.
Bhat R, Cabey W. Evaluation and management of congenital bleeding disorders. Emerg Med Clin North Am. 2014;32:673–90.CrossRefPubMed
30.
Martin-Hirsch PL, Bryant A. Interventions for preventing blood loss during the treatment of cervical intraepithelial neoplasia. Cochrane Database Syst Rev. 2013;(12):CD001421.
31.
Kauff ND, Chelmow D, Kawada CY. Intractable bleeding managed with Foley catheter tamponade after dilation and evacuation. Am J Obstet Gynecol. 1995;173:957–8.CrossRefPubMed
32.
Ashok PW, Templeton A, Wagaarachchi PT, Flett GM. Midtrimester medical termination of pregnancy: a review of 1002 consecutive cases. Contraception. 2004;69:51–8.CrossRefPubMed
33.
Suarez RA, Grimes DA, Majmudar B, Benigno BB. Diagnostic endometrial aspiration with the Karman cannula. J Reprod Med. 1983;28:41–4.PubMed
34.
Wen J, Cai QY, Deng F, Li YP. Manual versus electric vacuum aspiration for first-trimester abortion: a systematic review. BJOG. 2008;115:5–13.CrossRefPubMed
35.
Chapa HO, Antonetti AG, Sandate J, Silver L. Emergent thermal balloon ablation for acute uterine hemorrhage: a report of 2 cases. J Reprod Med. 2010;55:511–3.PubMed
36.
Nakayama K, Rahman MT, Rahman M, Ishikawa M, Yeasmin S, Katagiri A, et al. Microwave endometrial ablation is a highly efficacious way to emergently control life-threatening uterine hemorrhage. Arch Gynecol Obstet. 2011;283:1065–8.CrossRefPubMed
37.
Yeasmin S, Nakayama K, Ishibashi M, Katagiri A, Iida K, Nakayama N, et al. Microwave endometrial ablation as an alternative to hysterectomy for the emergent control of uterine bleeding in patients who are poor surgical candidates. Arch Gynecol Obstet. 2009;280:279–82.CrossRefPubMed
38.
Dickersin K, Munro MG, Clark M, Langenberg P, Scherer R, Frick K, et al. Surgical Treatments Outcomes Project for Dysfunctional Uterine Bleeding (STOP-DUB) Research Group. Hysterectomy compared with endometrial ablation for dysfunctional uterine bleeding: a randomized controlled trial. Obstet Gynecol. 2007;110:1279–89.
39.
Lopera J, Suri R, Kroma GM, Garza-Berlanga A, Thomas J. Role of interventional procedures in obstetrics/gynecology. Radiol Clin North Am. 2013;51:1049–66.CrossRefPubMed
40.
Ghai S, Rajan DK, Asch MR, Muradali D, Simons ME, TerBrugge KG. Efficacy of embolization in traumatic uterine vascular malformations. J Vasc Interv Radiol. 2003;14:1401–8.CrossRefPubMed
41.
Bulman JC, Ascher SM, Spies JB. Current concepts in uterine fibroid embolization. Radiographics. 2012;32:1735–50.CrossRefPubMed
42.
Katz MD, Sugay SB, Walker DK, Palmer SL, Marx MV. Beyond hemostasis: spectrum of gynecologic and obstetric indications for transcatheter embolization. Radiographics. 2012;32:1713–31.CrossRefPubMed
43.
Gizzo S, Saccardi C, Patrelli TS, Di Gangi S, Breda E, Fagherazzi S, et al. Fertility rate and subsequent pregnancy outcomes after conservative surgical techniques in postpartum hemorrhage: 15 years of literature. Fertil Steril. 2013;99:2097–107.
44.
Sweet MG, Schmidt-Dalton TA, Weiss PM, Madsen KP. Evaluation and management of abnormal uterine bleeding in premenopausal women. Am Fam Physician. 2012;85:35–43.PubMed