Brittney Murray, MS, CGC, and Hugh Calkins, MD
CASE PRESENTATION
A 21-year-old competitive triathlete was brought into the emergency department after collapsing during a local race. She reported the onset of a rapid heart rate near the finish line of the cycling portion and suddenly collapsed. Upon arrival, the emergency medical services found her to be in sustained ventricular tachycardia (VT) at 260 ms (Figure 54-1), and she was converted to sinus rhythm with a 200 J external shock. Upon arrival to the emergency room, she was found again to be in VT at 263 bpm with left bundle branch block (LBBB), superior axis morphology. She lost consciousness and was again externally cardioverted (Figure 54-2). A 12-lead electrocardiogram (ECG) (Figure 54-3) demonstrated T-wave inversions across the precordium. An echocardiogram revealed no evidence of structural heart disease. Due to her ECG abnormalities, this was followed up with cardiac MRI, which revealed a dilated right ventricle (RV) with akinetic segments in the RV free wall and base (Figure 54-4). She was taken for electrophysiology study (EPS) which demonstrated easily inducible VT with two different morphologies (LBBB superior axis, and LBBB indeterminate axis) (Figure 54-5). Ablation was attempted but was unsuccessful in eliminating all inducible VTs. An epicardial focus was suspected. Based upon her evaluation, she was found to meet diagnostic criteria for arrhythmogenic right ventricular dysplasia/cardiomyopathy (ARVD/C). She was implanted with a single chamber ICD and discharged on β-blockers. During follow-up, frequent symptomatic runs of NSVT were recorded by her ICD. Antiarrhythmic drug therapy was discussed with the patient, but she preferred not to take more medications. For this reason, an epicardial VT ablation procedure was performed. Her VT was mapped to the anterior lateral RV free wall and ablated successfully (Figure 54-6). She did well following her ablation procedure and remained VT-free. She was advised to give up participation in athletic activities. She was also referred to a genetic counselor for genetic counseling and testing. Upon inquiry, it was noted that her maternal grandfather died suddenly of a “heart attack” in his 40s. No other details were known, and there was no other history of cardiomyopathy or sudden death. Genetic testing returned a pathogenic mutation in the plakophilin-2(PKP2) gene: 2146-1G>C. Her older brother, also an athlete, was tested and found also to carry this mutation and was scheduled for appropriate cardiac screening.

FIGURE 54-1 Patient’s presenting VT upon arrival of EMS, recorded at 260 ms.

FIGURE 54-2 Ventricular tachycardia recurred in the emergency department, recorded on 12-lead ECG, revealed LBBB, superior axis morphology.

FIGURE 54-3 T-wave inversions in leads V1 to V4, a major diagnostic criterion for ARVD/C.

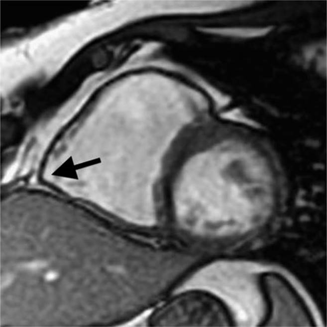
FIGURE 54-4 Cardiac MRI notes a dilated RV with akinesis of the base of the RV. Outpouching of the angle of the RV (denoted by arrow) is a classic MRI finding in ARVD/C.


FIGURE 54-5 During electrophysiology study and ablation two VTs were noted: (A) LBBB superior and (B) LBBB, indeterminate axis.

FIGURE 54-6 Epicardial three-dimensional voltage mapping created on a CARTO system demonstrating significant RV scar from the anterior to inferior RV extending from base to apex. Late potentials were also clearly present on the epicardial sites of scar.
ETIOLOGY AND PATHOPHYSIOLOGY OF ARVD/C
ARVD/C is an inherited cardiomyopathy characterized by fibrofatty replacement of the myocardium, life-threatening ventricular arrhythmias and ventricular dysfunction (right > left ventricle). The disease has a prevalence estimated 1 per 5000, though some reports estimate the real prevalence could be as high as 1 in 1000 due to under-recognition. Sudden cardiac death (SCD) is the first manifestation in up to 50% of cases.1
Subsequent to the discovery of pathogenic mutations in the desmosomal genes (Table 54-1) in families with ARVD/C, the disruption of the desmosomal structure as the key factor in many cases leading to ARVD/C development has been widely accepted in the field.2,3 The desmosomes not only provide structural attachment among cells, they also mediate intracellular signal transduction pathways as part of the intercalated disc4 (Figure 54-7). The specific mechanism by which the mutations in these genes may translate into the variety of disease expression seen clinically, however, has been the subject of many hypotheses.
TABLE 54-1 Genes Currently Associated with ARVD/C


FIGURE 54-7 Schematic representation of the structure of the cardiac desmosome and intercalated disc. The desmosome links in the intermediate filament of the heart muscle (oval) and is embedded in the cell membrane (vertical line).
Proposed mechanisms include that desmosomal mutations disrupt a triad between gap junction, voltage-gated sodium channel complex, and desmosomes, or intercalated disc.5 It is thought that the desmosomal proteins may have two roles: signal molecules that may promote cardiac myocyte apoptosis and also structural connections in the gap junction.6 Disruption of the desmosomes leaves the cardiomyocytes unable to handle mechanical stress, which leads to the cells being ripped apart and cell death.7 Evidence in mouse models and new clinical evidence from patient data have indicated that strenuous exercise in ARVD/C patients may play a pivotal role in advancing disease as mechanical stress of stretch in the heart disrupts these weakened connections.8,9
DIAGNOSIS
An ARVD/C diagnosis is made by meeting a set of major and minor diagnostic criteria (Table 54-2). There is no gold-standard test or criterion in the diagnostic criteria that is pathognomonic for ARVD/C, and a diagnosis of ARVD/C should not be made based on a single clinical test. The first diagnostic criteria for ARVD/C were published in 1994.10 Over time, however, they were shown to lack sensitivity for the identification of early/mild disease, and they did not include the newly discovered utility of genetic testing for ARVD/C. Revised diagnostic criteria were proposed by a working task force in 2010.11 In the revised criteria, a definite diagnosis of ARVD/C is fulfilled by two major or one major and two minor criteria, or four minor criteria. An important specification is that criterion must be from separate categories. A borderline diagnosis is made by one major and one minor, or three minor criteria, and a possible diagnosis by one major or two minor criteria.
TABLE 54-2 Revised 2010 Task Force Criteria for Diagnosis of ARVD/C


The diagnostic criteria are based on assessment of the extent of ventricular structural alterations and dysfunction, tissue characterization on biopsy, repolarization and depolarization abnormalities on ECG and signal averaged ECG (SAECG), arrhythmias and ventricular ectopy, and family history and genetic criteria. Recommended noninvasive testing when evaluating for ARVD/C includes 12-lead ECG, SAECG, echocardiogram, cardiac MRI, exercise stress testing, and ambulatory ECG monitoring (24-hour Holter monitoring). Cardiac MRI has a much higher specificity and sensitivity for diagnosis than echocardiogram, especially in detecting early disease.11 The revised diagnostic criteria remain limited in that it does not include those with left sided dominant disease. Left dominant disease in ARVD/C (LDAC) can be differentiated from DCM by a marked electrical instability that exceeds the degree of dysfunction. Up to one-third of genotyped individuals with an LDAC presentation had an identifiable pathogenic desmosomal mutation.12
Microscopic evaluation of samples at necropsy, surgery, or biopsy may reveal interstitial and replacement fibrosis and fatty infiltration. Pure fat infiltration of the RV is reported in >50% of normal hearts in elderly patients.13Furthermore, those with exclusively fatty infiltration of the RV on autopsy were older, lacked any family history of sudden cardiac death (SCD), and died during nonstrenuous activities. These studies have led to the conclusion that fibrofatty histology and not solely adipose replacement is associated with ARVD/C.14 Autopsies and endomyocardial biopsy as part of a diagnosis of ARVD/C should be evaluated carefully.
Family history is an important component of evaluation for ARVD/C. First-degree relatives of an individual diagnosed with ARVD/C are at 50% risk also to inherit the genetic predisposition to ARVD/C. A negative family history does not exclude the possibility of ARVD/C. Up to 50% of ARVD/C index cases have no family history of SCD or cardiomyopathy. Families should also be cautioned regarding the high variable expressivity of ARVD/C. Even within the same family and same known pathogenic mutation, severity of disease and type of presentation may vary greatly.1
Differential diagnosis in ARVD/C includes idiopathic premature ventricular contractions or ventricular tachycardia, myocarditis, and cardiac sarcoidosis. Patients presenting with ventricular arrhythmias should be first evaluated for more common idiopathic right ventricular outflow tract (RVOT) ectopy or VT.1 Misdiagnosis is common in ARVD/C. Most commonly, over-read and over-reliance on cardiac MRI is part of the error.15 There are also other diseases that may mimic ARVD/C. Many patients who present with right-sided cardiac sarcoidosis meet diagnostic criteria for ARVD/C. This can be differentiated in the involvement of the septum in the disease, presence of high-grade atrioventricular conduction block on ECG at presentation, which is unusual in ARVD/C, and rapid progression of disease.16,17 Differentiation between myocarditis and ARVD/C is sometimes difficult, and the role of inflammation of the heart in the disease process of ARVD/C has yet to be fully clarified.18,19
MANAGEMENT
Definite ARVD/C Per Task Force Criteria
Hallmarks of ARVD/C clinical management include arrhythmia management, prevention of further structural progression, and adjustment to life with a chronic genetic condition. An important management decision to consider is the placement of an implantable cardioverter defibrillator (ICD) for protection from sustained ventricular arrhythmias and SCD. This decision should be made slowly and with consideration as these are young patients who are expected to live many years with a device that is not complication-free. It is currently recommended that ARVD/C patients presenting with sustained VT and/or ventricular fibrillation (VF) should undergo placement of an ICD because of a high risk of recurrent VT and/or SCD.20,21 In contrast, there is much more uncertainty regarding placing an ICD for primary prevention.22 We also recommend ICD implantation for most probands diagnosed with ARVD/C and also family members with high-risk features. Factors which have been identified as predictors of increased risk for development of a sustained ventricular arrhythmia include severity of structural heart disease and ECG abnormalities, frequent PVCs and runs of NSVT, cardiac syncope, proband status (probands are at higher risk than family members), inducible VT at EP testing, and the continuation of competitive or high level athletics. It is also important to consider patient preference when considering implantation of an ICD.23-26
ARVD/C traditionally disproportionately affects the right ventricle, save for left dominant forms described previously. The left ventricle may be involved in more advanced stages of the disease. Cardiac transplantation, however, is rare. Patients with early age presentation of the disease are those who are more likely to be considered for cardiac transplantation.27
Once a decision is reached regarding ICD placement and heart failure symptoms are managed, management should continue on a minimum annual basis. We currently advise that patients with ARVD/C be seen in follow-up at least on an annual basis at which time we recommend that an ECG, echocardiogram, device interrogation, and 24-hour Holter monitor are obtained. β-blockers and class III antiarrhythmic agents (sotalol and amiodarone) are commonly used to reduce arrhythmia burden and avoid ICD discharge.22,28 We also routinely recommend that patients with ARVD/C, and especially those with significant RV or LV dysfunction, be treated with an angiotensin-converting enzyme inhibitor.
Catheter ablation has increasingly become a useful management tool for arrhythmias that are not controlled by medication.29 Catheter ablation is generally used to decrease the frequency of episodes of sustained and nonsustained VT. For most patients, one or more antiarrhythmic medications are used initially. But if these medications are ineffective or poorly tolerated, catheter ablation is a reasonable next step. Although endocardial catheter ablation is effective in some, patients often require an epicardial approach. For this reason, our current approach is to offer patients a combined endocardial/epicardial ablation procedure when catheter ablation is considered. Using this approach, VTs can be controlled in more than 80% of patients.30
Exercise and ARVD/C
Competitive athletes with ARVD/C have a five fold relative risk of SCD compared to nonathletes.24 Individuals diagnosed with ARVD/C are recommended to avoid competitive and most recreational athletics.31 Even if an ICD has been implanted, physical activity, especially strenuous activity, endurance, and highly competitive athletics, have been associated with an increased risk for acceleration of the disease phenotype.8,32 Experimental evidence has shown that endurance training in heterozygous JUP-deficient mice accelerates the development of RV dysfunction and arrhythmias.8 Recently, in the first study in patients, desmosomal mutations carriers that participated in more vigorous activity were more likely to present with ARVD/C, and once diagnosed, more likely to develop arrhythmias and stage C heart failure.9 Patients should be counseled that significantly reducing physical exercise will not only reduce the risk of ventricular arrhythmias, but also moderate disease progression.31 There is no evidence of a “safe” heart rate or level of exertion, and further studies are needed to clarify restrictions for patients and their families.
Family Member Screening
First-degree relatives of an ARVD/C proband should have screening with cardiac MRI, ECG, SAECG, exercise stress testing, and 24-hour Holter monitoring. Current recommendations state that this screening should be repeated every 2 to 3 years. Cascade genetic screening of a known genetic mutation in a family is useful to make screening recommendations for relatives. Genetic counseling by a trained professional is also recommended to discuss this option and benefits, limitations, and psychosocial concerns.33 Mutation carriers should have complete screening described above every 1 to 2 years dictated by level of physical activity. Those who have tested negative for the family mutation have a significantly decreased risk of ARVD/C but are not completely risk-free considering the amount of families known with digenic inheritance of mutations and ambiguity regarding additional genetic and environmental factors contributing to disease.34 Those testing negative for the family mutation may consider baseline screening with ECG and should have a low threshold to evaluate any symptoms.1,35
Age-related penetrance is well established in ARVD/C. Presentation in childhood is exceedingly rare.1 Screening is recommended to begin around puberty. There is no guaranteed cutoff age at which clinical evaluation may be terminated; however, guidelines suggest that adolescents should be evaluated every 6 to 12 months through the second decade of life, and annually through the fourth decade, with less frequent evaluation afterwards.1 Regardless, family members should have a low threshold for evaluation of symptoms.
OTHER MANAGEMENT CONSIDERATIONS
Pregnancy
Most individuals with mild to moderate ARVD/C and no symptoms of heart failure tolerate pregnancy well and have uneventful deliveries.36 Increased evaluation is recommended, including echocardiogram and 24-hour Holter monitoring at baseline, 24-hour Holter monitoring at 7 months gestation, and echocardiogram and 24-hour Holter monitoring at 3 months postpartum. Potential teratogenic effects of medications should be considered. Genetic counseling should be offered regarding risk to offspring.
Psychosocial Counseling
Individuals with ARVD/C have been found to be at significant risk for anxiety and depression, especially in regards to adaptation to living with disease. This is complicated by their young age at presentation and high frequency of arrhythmias, often requiring device shocks.37 Those without a prior family history have a particularly difficult time. Providers should consider referral for psychological counseling and referral to patient/family support organizations as part of clinical management.
CONCLUSION
In conclusion, ARVD/C is a rare but important cause of life-threatening cardiac arrhythmias resulting from an inherited defect in one or more desmosomal proteins. Patients with ARVD/C generally present with symptoms of the disease after puberty and before the age of 50 years with a mean age at presentation of 31 years. Diagnosis of ARVD/C is made after performing a number of diagnostic tests and is based on the 2010 Task Force Criteria. Important components of management include placement of an implantable defibrillator in high risk patients, antiarrhythmic drug therapy, catheter ablation, and exercise restriction. Cardiac transplantation is rarely required. With appropriate treatment, most patients with ARVD/C live long and high quality lives.
REFERENCES
1. Sen-Chowdhry S, Syrris P, Pantazis A, et al. Mutational heterogeneity, modifier genes, and environmental influences contribute to phenotypic diversity of arrhythmogenic cardiomyopathy. Circ Cardiovasc Genet. 2010;3(4):323-330.
2. McKoy G, Protonotarios N, Crosby A, et al. Identification of a deletion in plakoglobin in arrhythmogenic right ventricular cardiomyopathy with palmoplantar keratoderma and woolly hair (Naxos disease).Lancet. 2000;355(9221):2119-2124.
3. Sen-Chowdhry S, Syrris P, Ward D, et al. Clinical and genetic characterization of families with arrhythmogenic right ventricular dysplasia/cardiomyopathy provides novel insights into patterns of disease expression. Circulation. 2007;115(13):1710-1720.
4. Garcia-Gras E, Lombardi R, Giocondo MJ, et al. Suppression of canonical Wnt/beta-catenin signaling by nuclear plakoglobin recapitulates phenotype of arrhythmogenic right ventricular cardiomyopathy. J Clin Invest. 2006;116(7):2012-2021.
5. Delmar M. Desmosome-ion channel interactions and their possible role in arrhythmogenic cardiomyopathy. Pediatr Cardiol. 2012;33(6):975-979.
6. Oxford EM, Musa H, Maass K, et al. Connexin43 remodeling caused by inhibition of plakophilin-2 expression in cardiac cells. Circ Res. 2007;101(7):703-711.
7. Li D, Liu Y, Maruyama, M, et al. Restrictive loss of plakoglobin in cardiomyocytes leads to arrhythmogenic cardiomyopathy. Hum Mol Genet. 2011;20(23):4582-4596.
8. Kirchhof P, Fabritz L, Zwiener M, et al. Age- and training-dependent development of arrhythmogenic right ventricular cardiomyopathy in heterozygous plakoglobin-deficient mice. Circulation. 2006;114(17):1799-1806.
9. James CA, Bhonsale A, Tichnell C, et al. Exercise increases penetrance and arrhythmic risk in arrhythmogenic right ventricular dyplasia/cardiomyopathy (ARVD/C). J Am Coll Cardiol. 2013;62(14):1290-1297.
10. McKenna WJ, Thiene G, Nava A, et al. Diagnosis of arrhythmogenic right ventricular dysplasia/cardiomyopathy. Task Force of the Working Group Myocardial and Pericardial Disease of the European Society of Cardiology and of the Scientific Council on Cardiomyopathies of the International Society and Federation of Cardiology. Br Heart J. 1994;71(3):215-218.
11. Marcus FI, McKenna WJ, Sherrill D, et al. Diagnosis of arrhythmogenic right ventricular cardiomyopathy/dysplasia: proposed modification of the Task Force Criteria. Eur Heart J 2010;31(7):806-814.
12. Sen-Chowdhry S, Syrris P, Prasad SK, et al. Left-dominant arrhythmogenic cardiomyopathy: an under-recognized clinical entity. J Am Coll Cardiol. 2008;52(25):2175-2187.
13. Gallo P, d’Amati G, and Pelliccia F. Pathologic evidence of extensive left ventricular involvement in arrhythmogenic right ventricular cardiomyopathy. Hum Pathol. 1992;23(8):948-952.
14. Burke AP, Farb A, Tashko G, Virmani R. Arrhythmogenic right ventricular cardiomyopathy and fatty replacement of the right ventricular myocardium: are they different diseases? Circulation. 1998;97(16):1571-1580.
15. Bomma C, Rutberg J, Tandri H, et al. Misdiagnosis of arrhythmogenic right ventricular dysplasia/cardiomyopathy. J Cardiovasc Electrophysiol. 2004;15(3):300-306.
16. Dechering DG, Kochhauser S, Wasmer K, et al. Electrocardiographic characteristics of ventricular tachyarrhythmias in cardiac sarcoidosis versus arrhythmogenic right ventricular cardiomyopathy. Heart Rhythm. 2013;10(2):158-164.
17. Steckman DA, Schneider PM, Schuller J, et al. Utility of cardiac magnetic resonance imaging to differentiate cardiac sarcoidosis from arrhythmogenic right ventricular cardiomyopathy. Am J Cardiol. 2012;110(4):575-579.
18. Basso C, Thiene G, Corrado D, et al. Arrhythmogenic right ventricular cardiomyopathy. Dysplasia, dystrophy, or myocarditis? Circulation. 1996;94(5):983-991.
19. Corrado D, Basso C, Thiene G, et al. Spectrum of clinicopathologic manifestations of arrhythmogenic right ventricular cardiomyopathy/dysplasia: a multicenter study. J Am Coll Cardiol. 1997;30(6):1512-1520.
20. Corrado D, Leoni L, Link MS, et al. Implantable cardioverter-defibrillator therapy for prevention of sudden death in patients with arrhythmogenic right ventricular cardiomyopathy/dysplasia. Circulation. 2003;108(25):3084-3091.
21. Corrado D, Calkins H, Link MS, et al. Prophylactic implantable defibrillator in patients with arrhythmogenic right ventricular cardiomyopathy/dysplasia and no prior ventricular fibrillation or sustained ventricular tachycardia. Circulation. 2010;122(12):1144-1152.
22. Wichter T, Paul TM, Eckardt L, et al. Arrhythmogenic right ventricular cardiomyopathy. Antiarrhythmic drugs, catheter ablation, or ICD? Herz. 2005;30(2):91-101.
23. Bhonsale A, James CA, Tichnell C, et al. Incidence and predictors of implantable cardioverter-defibrillator therapy in patients with arrhythmogenic right ventricular dysplasia/cardiomyopathy undergoing implantable cardioverter-defibrillator implantation for primary prevention. J Am Coll Cardiol. 2011;58(14):1485-1496.
24. Corrado D, Leoni L, Link MS, et al. Implantable cardioverter-defibrillator therapy for prevention of sudden death in patients with arrhythmogenic right ventricular cardiomyopathy/dysplasia. Circulation. 2003;108(25):3084-3091.
25. Piccini JP, Dalal D, Roguin A, et al. Predictors of appropriate implantable defibrillator therapies in patients with arrhythmogenic right ventricular dysplasia. Heart Rhythm. 2005;2(11):1188-1194.
26. Dalal D, Molin LH, Piccini J, et al. Clinical features of arrhythmogenic right ventricular dysplasia/cardiomyopathy associated with mutations in plakophilin-2. Circulation. 2006;113(13):1641-1649.
27. Tedford RJ, James C, Judge DP, et al. Cardiac transplantation in arrhythmogenic right ventricular dysplasia/cardiomyopathy. J Am Coll Cardiol. 2012;59(3):289-290.
28. Wichter T, Borggrefe M, Haverkamp W, Chen X, Breithardt G. Efficacy of antiarrhythmic drugs in patients with arrhythmogenic right ventricular disease. Results in patients with inducible and noninducible ventricular tachycardia. Circulation. 1992;86(1): 29-37.
29. Basso C, Bauce B, Corrado D, Thiene G. Pathophysiology of arrhythmogenic cardiomyopathy. Nat Rev Cardiol. 2011;9(4):223-233.
30. Philips B, Madhavan S, James C, et al. Outcomes of catheter ablation of ventricular tachycardia in arrhythmogenic right ventricular dysplasia/cardiomyopathy. Circ Arrhythm Electrophysiol. 2012;5(3):499-505.
31. Maron BJ, Chaitman BR, Ackerman MJ, et al: Recommendations for physical activity and recreational sports participation for young patients with genetic cardiovascular diseases. Circulation. 2004;109(22):2807-2816.
32. Fabritz L, Hoogendijk MG, Scicluna BP, et al. Load-reducing therapy prevents development of arrhythmogenic right ventricular cardiomyopathy in plakoglobin-deficient mice. J Am Coll Cardiol. 2011;57(6):740-750.
33. Ackerman MJ, Priori SG, Willems S, et al. HRS/EHRA Expert Consensus Statement on the State of Genetic Testing for the Channelopathies and Cardiomyopathies. Heart Rhythm. 2011;8(8):1308-1339.
34. Kapplinger JD, Landstrom AP, Salisbury BA, et al. Distinguishing arrhythmogenic right ventricular cardiomyopathy/dysplasia-associated mutations from background genetic noise. J Am Coll Cardiol. 2011;57(23):2317-2237.
35. Corrado D, Thiene G. Arrhythmogenic right ventricular cardiomyopathy/dysplasia: clinical impact of molecular genetic studies. Circulation. 2006;113(13):1634-1637.
36. Bauce B, Daliento L, Frigo G, Russo G, Nava A. Pregnancy in women with arrhythmogenic right ventricular cardiomyopathy/dysplasia. Eur J Obstet Gynecol Reprod Biol. 2006;127(2):186-189.
37. James CA, Tichnell C, Murray B, et al. General and disease specific psychosocial adjustment in patients with arrhythmogenic right ventricular dysplasia/cardiomyopathy with implantable cardioverter defibrillators: a large cohort study. Circ Cardiovasc Genet. 2012;5(1):18-24.