Anatomical Fundamentals
The Main Spinal Cord Syndromes and Their Anatomical Localization
Spinal Cord Trauma
Spinal Cord Compression
Circulatory Disorders of the Spinal Cord
Infectious and Inflammatory Diseases of the Spinal Cord
Syringomyelia and Syringobulbia
Diseases Mainly Affecting the Long Tracts of the Spinal Cord
Diseases of the Anterior Horns
Anatomical Fundamentals
The spinal cord is the component of the central nervous system that connects the brain to the peripheral nerves. It contains:
in the white matter, fiber pathways leading from the brain to the periphery and vice versa;
in the gray matter, an intrinsic neuronal system consisting of:

Fig. 7.1 Topographical relations of the vertebral column and nerve roots to the spinal cord. The growth of the spinal cord during embryonic development lags behind that of the spinal column; therefore, more caudally lying nerve roots traverse greater distances in the spinal subarachnoid space to reach their exit foramina. In the conventional numbering system, the cervical spinal nerves exit the spinal canal above the correspondingly numbered vertebra, while all spinal nerves from T1 downward exit below the correspondingly numbered vertebra.

Fig. 7.2 Important fiber tracts of the spinal cord (cross-sectional view). Descending tracts are shown in red, ascending tracts in gray.
interneurons, i. e., relay neurons for the conducting pathways and reflex loops;
motor neurons in the anterior horns, whose efferent axons travel in the peripheral nerves;
somatosensory neurons in the dorsal horns (although many sensory neurons are located outside the spinal cord, in the spinal ganglia);
nociceptive sensory neurons in the dorsal horns that receive and transmit impulses mainly from pain and temperature fibers; and
autonomic neurons in the lateral horns.
The topographic relations of the spinal cord, vertebral column, and nerve roots are shown in Fig. 7.1, and the major ascending and descending pathways of the spinal cord are shown in Fig. 7.2. The blood supply of the spinal cord is described below (p. 148).
The Main Spinal Cord Syndromes and Their Anatomical Localization
Diseases of the spinal cord, like those of the brain, can be of traumatic, vascular, neoplastic, paraneoplastic, infectious, inflammatory, metabolic, endocrine, toxic, or hereditary degenerative origin.The clinical manifestations of spinal cord lesions depend on their level and extent and are largely independent of etiology. Thus, the first step in the diagnostic evaluation of spinal cord diseases, as of brain diseases, is topographical localization, i.e., the deduction of the level of the lesion from the patient's constellation of neurological deficits. The next step is the determination of the etiology, usually based on further criteria (accompanying non-neurological manifestations, temporal course, results of ancillary tests).
Spinal cord transection syndrome is the pattern of neurological deficits resulting from damage of the entire cross-section of the spinal cord at some level. Most acutely arising cases of the complete spinal cord transection syndrome are of either traumatic or ischemic origin; rare cases are due to inflammation or infection (transverse myelitis) or nontraumatic compression (e. g., by a hematoma or tumor). The clinical features of the spinal cord transection syndrome are:
dysfunction of all of the ascending sensory pathways up to the level of the lesion, and of the posterior horns and posterior roots at the level of the lesion: there is a sensory level below which all modalities of sensation are impaired or, in a complete transection, absent;
bilateral pyramidal tract dysfunction: spastic paraparesis or paraplegia, or, with cervical lesions, spastic quadriparesis or quadriplegia (immediately after a trauma, in the phase of “spinal shock” and diaschisis, there is usually flaccid weakness, which subsequently becomes spastic);
bladder dysfunction;
dysfunction of the motor neurons of the anterior horn at the level of the lesion: possibly, flaccid paresis in the myotome(s) supplied by the cord at the level of the lesion, corresponding loss of reflexes, and, later muscle atrophy.
Spinal cord hemisection syndrome (Brown–Séquard syndrome, e.g., caused by a compressing tumor). An anatomical or functional disconnection of one half of the spinal cord exactly to the midline is a rare event. The associated symptoms and signs are described in Table. 7.1. Incomplete unilateral lesions are, understandably, more common and present with a subset of these manifestations.
Table 7.1 Brown–Séquard syndrome
|
Involved structure |
Ipsilateral deficits |
Contralateral deficits |
|
Pyramidal tract |
paresis |
|
|
Lateral spinothalamic tract |
diminution or loss of pain and temperature sensation (dissociated sensory deficit) |
|
|
Anterior spinothalamic tract |
mildly diminished sense of touch |
|
|
Vasomotor fibers of the lateral columns |
initially, warmth and redness of the skin; sometimes absence of sweating |
|
|
“Overload” of the contralateral spinothalamic tract with tactile stimuli? |
transient cutaneous hyperesthesia |
|
|
Posterior columns |
loss of proprioception and vibration sense |
|
|
Anterior horns and anterior roots |
segmental muscular atrophy and flaccid weakness |
|
|
Entering posterior roots |
segmental anesthesia and analgesia |
Central cord syndrome is the classic presentation of syringomyelia (see below), but can also be due to an intramedullary hemorrhage or tumor. Its clinical features are:
pyramidal tract dysfunction: spasticity of the limbs below the level of the lesion; cervical lesions tend to affect the upper limbs more than the lower limbs;
interruption of the pain and temperature fibers of the anterior spinal commissure: bilateral impairment of pain and temperature sensation in the dermatome(s) at the level(s) of the lesion, with preservation of touch (segmentally restricted dissociated sensory deficit); in analogous fashion, concomitant involvement of the posterior horn(s), if present, causes segmental impairment of touch sensation, either uni-or bilaterally, depending on whether one posterior horn is affected, or both;
dysfunction of the lateral horn/intermediolateral tract: autonomic and trophic disturbances (disturbances of sweating, nail growth, and bone metabolism; hyperkeratosis and edema; all disturbances more pronounced in the upper limbs);
possible concomitant involvement of the spinothalamic tracts: bilateral deficit of pain and temperature sensation below the level of the lesion, with impaired touch sensation;
possible concomitant involvement of the motor neurons of the anterior horns at the level of the lesion: segmentally distributed flaccid weakness, loss of reflexes, and muscle atrophy;
sparing of the posterior horns and spinocerebellar tracts: touch, vibration sense, and proprioception usually remain intact;
bladder dysfunction.
Bilateral lesion of the anterolateral region of the spinal cord (e.g., ischemia in the territory of the anterior spinal a.) produces the following symptoms and signs:
pyramidal tract dysfunction: depending on the level ofthe lesion, quadriparesis (quadriplegia) or paraparesis (paraplegia), with enhanced intrinsic muscle reflexes and pyramidal tract signs;
involvement of the spinothalamic tracts and the pain and temperature fibers crossing in the anterior spinal commissure: dissociated sensory deficit in the entire region of the body below the level of the lesion; less commonly, the spinothalamic tracts are spared and there is a segmentally restricted dissociated sensory deficit;
intact posterior columns: no impairment of touch or proprioception;
bladder dysfunction.
Isolated or combined long tract processes (of various causes) present with:
for example, pure spastic paraparesis (isolated lesion of the pyramidal tracts, e.g., in spastic spinal paralysis);
impaired touch and position sense (posterior column lesion);
ataxia (lesion of the spinocerebellar tracts and/or posterior columns);
combinations of the above (e.g., pyramidal tract and posterior column dysfunction in funicular myelosis, dysfunction of both of these and the spinocerebellar tracts in Friedreich ataxia).
Anterior horn lesions (e.g., spinal muscle atrophy, acute poliomyelitis) cause the following manifestations:
flaccid weakness of various muscles, muscle atrophy (and fasciculations in chronic processes),
diminution or loss or reflexes,
no sensory impairment.
Combined anterior horn and long tract lesions, e.g., in amyotrophic lateral sclerosis (simultaneous involvement of the anterior horn ganglion cells and of the pyramidal and corticobulbar tracts due to upper motor neuron degeneration; brisk reflexes).
Conus medullaris syndrome (Fig. 7.3). The conus medullaris is the lower end of the spinal cord and lies in the spinal canal at the L1 level. An isolated conus lesion typically produces:

Fig. 7.3a, b Neurological deficits resulting from spinal cord transection at the C7 level (a) and at the T10 level (b).
bladder dysfunction,
dysfunctional defecation with sphincter weakness,
impairment of sexual function,
possibly a dissociated sensory deficit or complete loss of sensation in the cutaneous distribution of the sacral and coccygeal spinal cord segments (saddle anesthesia);
usually, preserved motor function and absence of pyramidal tract signs.
Cauda equina syndrome (Fig. 7.3) results from compression of the nerve roots coursing through the spinal canal below the conus medullaris, i.e., below the L1/2 level. Unlike conus medullaris syndrome, it involves a variably severe impairment of sensory and motor function in the lower limbs. Its clinical manifestations are:
flaccid weakness and areflexia of the lower limbs, without pyramidal tract signs;
impairment of all sensory modalities in multiple lumbar and/or sacral dermatomes, usually most pronounced in the “saddle” area;
impaired urination, defecation, and sexual function, with sphincter weakness.

Fig. 7.3c Epiconus syndrome and cauda equina syndrome, d Conus medullaris syndrome.
Spinal Cord Trauma
Traumatic spinal cord lesions are usually due to fractures and dislocations of the spine causing displacement of fragments of bone and/or intervertebral disk. The spinal cord can also be compressed by a traumatic hemorrhage in the spinal canal or sustain direct traumatic compression in the absence of a fracture. The clinical signs of spinal cord trauma depend on the level and severity of the lesion, as shown schematically in Fig. 7.3.
Like traumatic brain injury, spinal cord trauma can be classified by severity:
Spinal concussion. Immediately after blunt trauma to the trunk, a more or less complete spinal cord transection syndrome arises, usually at a cervical or thoracic level. The neurological deficits regress completely within minutes.
Spinal contusion. The traumatic event has caused extensive structural damage and compression of the spinal cord, usually with hemorrhage. There is a partial or complete spinal cord transection syndrome (depending on the extent of the lesion), including bladder dysfunction (p. 142) and an initially flaccid paraparesis (paraplegia) or quadriparesis (quadriplegia) (phase of spinal shock, diaschisis). The transection syndrome usually improves no more than partially, if at all.
If a spinal cord contusion is very extensive, the associated cord edema and/or hemorrhage may secondarily lead to compression of the affected segments of the cord within the spinal canal (see spinal cord compression, discussed in the next section). As long as this compression is not severe enough to choke off the cord's blood supply and cause infarction, the neural tissue may be able to recover its function again once the traumatic edema has subsided and any hemorrhage has been resorbed.
Practical steps to be taken in acute spinal cord trauma are the following:
a gentle, nontraumatic neurological examination to determine the level of the lesion;
directed neuroimaging, usually with plain films followed by MRI, to identify fractures and dislocations of the vertebral column and assess damage of the intraspinal structures, including the spinal cord;
by means of the foregoing, objective correlation of the anatomic findings with the clinically determined level, extent, and type of spinal cord injury;
catheterization of the bladder;
prophylaxis against decubitus ulcers from the beginning, with frequent repositioning of the patient;
surgical treatment of bony or other injuries, where indicated;
transfer to a specialized institution for the rehabilitation of patients with spinal cord injuries.
The intravenous administration of high-dose corticosteroids in acute spinal cord injury may have a modest neuroprotective effect, but it is currently unclear whether the benefit of this treatment outweighs the risk of additional complications.
Spinal Cord Compression
Spinal cord compression may develop acutely or by slow progression. Acute spinal cord compression is usually due to trauma (see above) or hemorrhage (e.g., epidural hematoma). Slowly progressive compression is usually due to a tumor, less commonly an abscess or granuloma. Other causes include deformities of the spine (kyphoscoliosis, ankylosing spondylitis), degenerative narrowing of the spinal canal (especially in the cervical region, see below), and massive intervertebral disk herniation.
Clinical manifestations that are typical of slowly progressive spinal cord compression include:
increasing stiffness or fatigability of the lower limbs,
more or less rapidly progressive gait impairment,
bladder dysfunction,
impaired sensation in one or both lower limbs,
bandlike paresthesiae around the chest or abdomen,
back pain.
Diagnostic evaluation. Neuroimaging usually provides definitive evidence of spinal cord compression; MRI is generally superior to CT for this purpose.
General aspects of treatment. The treatment is determined by the nature of the compressive lesion and is generally analogous to the treatment of corresponding lesions affecting the brain.
Spinal Cord Tumors
Tumors in the spinal canal can arise from the spinal cord tissue itself (intrinsic spinal cord tumors), from the spinal meninges (meningioma), or from the Schwann cells of the nerve roots (neurinoma). Tumors (particularly metastases) can also project into the spinal canal from the vertebral and paravertebral regions. Intrinsic spinal cord tumors are intramedullary; leptomeningeal tumors are usually extramedullary, though still intradural. Tumors growing into the spinal canal from without are both extramedullary and extradural. Some highly invasive tumors arising in an extramedullary location can infiltrate the substance of the spinal cord, thereby becoming partly intramedullary.
In this section, we will briefly describe the more common varieties of spinal cord tumor.
Extramedullary Tumors
Metastases usually arise from the vertebral bodies and grow into the spinal canal. Their initial symptom is usually pain, which may be restricted to the site of the tumor, or else radiate in a radicular distribution. Paraparesis can arise quite rapidly thereafter, followed by bladder dysfunction. Clinical examination reveals the corresponding neurological deficits (pyramidal tract signs, possible sensory level, radicular segmental deficits) and, often, focal tenderness of one or more spinous processes to percussion. Neuroimaging studies are essential for the definitive diagnosis (Fig. 7.4). The most common primary tumors are carcinomas of the lung and breast, followed by carcinoma of the prostate gland.
Meningiomas arise from the spinal dura mater and account for one-third of all intraspinal masses. They are usually found in the thoracic and lumbar regions. They produce very slowly progressive gait impairment and spastic paraparesis, often over the course of several years, and have a characteristic appearance in imaging studies (Fig. 7.5).
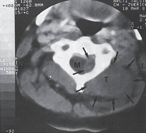
Neurinomas (also called schwannomas) are nearly as common as meningiomas and, like them, are usually found in the thoracic and abdominal regions. They arise from the Schwann cells of the spinal nerve root sheaths. They nearly always present with radicular pain and radicular deficits. A neurinoma arising from a nerve root and straddling an intervertebral foramen, so that it has both intra- and extraspinal portions, is called a dumbbell or hourglass tumor (Fig. 7.6).

Fig. 7.4 Metastatic carcinoma of the breast. The MR image reveals destruction of several thoracic vertebral bodies and spinal cord compression by tumor projecting into the vertebral canal at a mid-thoracic level.

Fig. 7.5 Extramedullary meningioma at T4, based on the ventral dura mater. Spinal cord compression is clearly visible. (T2-weighted MR image.)

Fig. 7.6 Neurinoma at C4, as seen by CT. The arrows indicate the intra and extraspinal portions of the tumor. The intraspinal portion compresses the spinal cord (c). (Image courtesy of the Neuroradiological CT Institute, PD Dr. H. Spiess, Zurich.)
Meningeal carcinomatosis and leukemic meningitis can cause clinically evident spinal cord compression, in addition to pain (the most common symptom) and polyradicular neurological deficits.
Intramedullary Tumors
Intramedullary tumors are less common. Their manner of presentation depends on their location. The two most common types are astrocytoma and ependymoma; imaging studies are essential for definitive diagnosis (Fig. 7.7).

Fig.7.7 Intramedullary ependymoma in the conus medullaris, as seen in T1-weighted (a) and T2-weighted (b) MR images. The spinal cord is expanded, especially dorsally.
Tumors are only one possible cause of slowly compressive spinal cord compression. Another very common cause is discussed in the next section.
Myelopathy Due to Cervical Spondylosis
Cervical myelopathy is often due to degenerative narrowing of the spinal canal with resulting spinal cord compression. Patients with inflammatory diseases of the spine, such as rheumatoid arthritis, are at elevated risk. The initial presentation is often with (poly-)radicular deficits due to narrowing of the intervertebral foramina; as the spinal canal itself becomes increasingly stenotic, clinically evident spinal cord compression develops. Patients typically complain at first of paresthesiae in the fingers and impairment of the sense of touch (examination reveals astereognosis). The intrinsic muscles of the hands may become atrophic. Ultimately—or, rarely, as the sole manifestation—involvement of the long white matter tracts produces spastic paraparesis, enhanced reflexes, and pyramidal tract signs. Neuroimaging is essential for the establishment of the diagnosis; MRI is best (Fig. 7.8). Neurosurgical decompression of the spinal canal, possibly with spinal stabilization (fusion) at the same procedure, generally arrests the progression of the neurological deficits.

Fig. 7.8 Myelopathy in cervical spondylosis. The T2-weighted MR image reveals narrowing of the spinal canal at C5/C6 and C6/C7 both anteriorly and posteriorly because of degenerative spondylotic changes. A signal abnormality in the spinal cord below C6/C7 indicates a lesion induced by compression.
Circulatory Disorders of the Spinal Cord
Vascular lesions of the spinal cord, as of the brain, are of two main types: hemorrhage and ischemia. The latter is due to blockage of either the arterial blood supply (e.g., because of thrombosis or embolism) or the venous outflow.
Blood Supply of the Spinal Cord
The spinal cord receives arterial blood from three vessels: the unpaired anterior spinal a., which runs down the anterior median fissure of the cord and supplies the anterior two-thirds of its cross-sectional area, and the paired posterolateral spinal aa. Each of these spinal arteries is made up of a series of individual segments that are linked with one another along the longitudinal axis and receive arterial blood from various sources (Fig. 7.9). At cervical levels, the anterior spinal a. receives blood mainly from the vertebral a. and the costocervical and thyrocervical trunks;, further down the spinal cord, it is supplied by segmental arteries arising from the aorta (spinal branches and radicular arteries, each of which has an anterior and a posterior branch). In the embryo, there is a radicular artery for each spinal segment; postnatally, only six to eight such arteries are still present. The largest of these, called the great radicular a. or the artery of Adamkiewicz, usually enters the spinal canal between T10 and L2, more commonly on the left side. The anatomy of the spinal vessels is shown in Fig. 7.9 and the intramedullary blood supply of a cross-section of the cord in Fig. 7.10. Venous blood flows out of the spinal cord through radicular veins and into the vena cava.

Fig.7.9 Blood supply of the spinal cord (diagram, longitudinal view).

Fig. 7.10 Blood supply of the spinal cord (diagram, cross-sectional view). Occlusion of the anterior spinal a. produces infarction in the area shaded in gray.
Arterial Hypoperfusion
Global (arterial) myelomalacia. Infarction of the entire cross-section of the spinal cord at a particular level may be due to the occlusion of a local spinal artery or of a radicular artery, or to extraspinal vascular pathology, such as an aortic aneurysm. The clinical presentation is usually an acute spinal cord transection syndrome (complete or partial, see p. 142), though, in some patients, symptoms develop subacutely over the course of a few days, or stepwise. Affected patients usually remain paraplegic, particularly if the ischemic lesion is very extensive.
Anterior spinal artery syndrome. Thrombotic or embolic occlusion of the anterior spinal a. damages the anterolateral aspect of the spinal cord over one or more segments. The characteristic clinical manifestations are described above on p. 143. An occlusion at a distal location along the course of the anterior spinal a., e.g., in a sulcocommissural artery (cf. Fig. 7.10), may cause a partial Brown–Séquard syndrome (Table. 7.1), with preservation of the sense of touch.
Central cord infarction. Infarction of the spinal cord, whether it involves the entire cross-section of the cord or only a part of it, is usually not restricted to a single cord segment in the vertical dimension, but rather tends to involve multiple segments. As part of this process, necrosis affects the motor neurons of the anterior horn, causing flaccid paresis and areflexia at the level of the lesion, in addition to the spastic paresis below the level of the lesion due to involvement of the corticospinal tracts. In a few weeks' time, the flaccid muscles become atrophic. The clinical picture is, therefore, that of a “peripheral” paralysis at the level of the transection and also a short distance below it.
Intermittent spinal ischemia is very rare and causes a type of spinal intermittent claudication with fluctuating spastic paraparesis.
Chronically progressive vascular myelopathy can cause slowly progressive spastic paraparesis, as well as muscle atrophy owing to involvement of the anterior horns.
Impaired Venous Drainage
Spinal cord ischemia due to impaired venous drainage is a rare cause of infarction. It is usually due to a spinal arteriovenous fistula or arteriovenous malformation.
Spinal Arteriovenous Malformations and Fistulae
Arteriovenous malformations are usually found in the thoracolumbar region, while fistulae are usually found at lower lumbar levels (Fig. 4.10, p. 51). Both types of vascular anomaly are more common in men. They tend to present between the ages of 10 and 40, often with (bandlike) pain as the initial symptom. Neurological deficits referable to the spinal cord are often only intermittent at first and are (partially) reversible at this stage; later, they take a chronic, progressive course and become permanent. A dural arteriovenous fistula, for example, can cause chronically progressive spastic paraparesis. These vascular anomalies also occasionally present with spinal subarachnoid hemorrhage. MRI is the most important diagnostic study for the establishment of the diagnosis. Spinal angiography can provide useful additional anatomical detail.
Hemorrhage in or Adjacent to the Spinal Cord
The function of the spinal cord can be affected by an intramedullary, subdural or epidural hemorrhage. These types of hemorrhage can arise spontaneously in anticoagulated patients, or they can be caused by ruptured vascular malformations or trauma. They usually produce intense pain and more or less pronounced neurological deficits, depending on their site and extent. Hemorrhage in or adjacent to the spinal cord requires immediate diagnostic evaluation and, in some patients, emergency neurosurgical decompression.
Infectious and Inflammatory Diseases of the Spinal Cord
The spinal cord and spinal nerve roots, like the brain, can be infected by bacteria, viruses, and other pathogenic organisms. Combined infection of the brain and spinal cord is common: simultaneous manifestations of encephalitis, meningitis, myelitis, and radiculitis (cf. pp. 116ff.) can be caused by spirochetes (borrelia, leptospira, treponemes; cf. pp. 209ff.) and by many viruses. Acute anterior poliomyelitis, on the other hand, affects only the motor neurons of the anterior horns of the spinal cord.
Any infectious or inflammatory disease of the spinal cord, whatever its etiology, is called myelitis. The causes of myelitis include direct infection, secondary autoimmune processes in the wake of an infectious disease, and chronic autoimmune inflammatory disease of the central nervous system, such as multiple sclerosis.
The main causes of acute myelitis include viruses (measles, mumps, varicella-zoster, herpes simplex, HIV), as well as rickettsiae and leptospira. Postvaccinal and postinfectious myelitis have also been described, as has myelitis in the setting of granulomatous disease. The clinical manifestations range from progressive spastic paraparesis to partial spinal cord transection syndrome. Myelitis can be visualized by MRI (Fig. 7.11).

Fig. 7.11 Myelitis (T2-weighted MR image). A spindle-shaped signal anomaly extends from C3 to C5 and expands the spinal cord (which is wider here than the normal cervical enlargement).
Transverse myelitis affects the entire cross-section of the spinal cord, producing a complete spinal cord transection syndrome. It has a variety of causes. Often, the neurological manifestations are preceded by nonspecific flulike symptoms one to three weeks before onset. The spinal cord deficits usually arise acutely or subacutely and become maximally severe within a few days. Fever, back pain, and myalgiaaccompany the acute phase. The cerebrospinal fluid displays inflammatory changes (lymphocytic pleocytosis, elevated IgG and total protein concentrations). A neuroimaging study (usually MRI) must be performed to rule out a mass or ischemic event. The responsible organism is treated specifically if it can be identified; otherwise, only symptomatic treatment can be given. The spinal cord transection syndrome persists, or resolves less than completely, in two-thirds of all patients.
Acute Anterior Poliomyelitis
Etiology and epidemiology. This disease, caused by a poliovirus, almost exclusively affects the motor neurons of the anterior horn of the spinal cord. Its incidence in countries with a well-developed public health system has been reduced nearly to zero by prophylactic vaccination. The disease is transmitted by the fecal–oral route under conditions of poor sanitation.
Clinical manifestations. After an incubation period ranging from three to 20 days, nonspecific prodromal manifestations arise, consisting of fever, flulike symptoms, and, in some patients, meningeal signs. The prodrome may resolve without further consequence or be followed, within a few days, by a paralytic phase (likewise accompanied by fever). Over the course of a few hours or days, flaccid paralysisarises in various different muscles or muscle groups; it is asymmetrical, often mainly proximal, and of variable extent and severity. There is no sensory deficit, but the affected muscles may be painful and tender.
Diagnostic evaluation. The diagnosis is based on the typical course and physical findings, combined with an inflammatory CSF pleocytosis: at first, there are several hundred cells per microliter, often mainly polymorphonuclear granulocytes. Later, there is a transition to a predominantly lymphocytic picture. The responsible organism (poliovirus) can be identified in the patient's stool.
Treatment. There is no specific etiologic treatment; the most important aspect of treatment is the management of respiratory insufficiency (if present).
Prognosis. Brain stem involvement and respiratory paralysis confer a worse prognosis; in the remainder of patients, paralysis may regress partially or completely in a few weeks or months. There is usually some degree of residual weakness.
Postpolio syndrome. This term refers to two different syndromes. Some authors use it for a symptom complex seen a few years after the acute illness in polio patients with residual weakness, characterized by fatigability, respiratory difficulties, pain, and abnormal temperature regulation (with negative polio titers). Others use it for a syndrome with progressive worsening of residual weakness occurring decades after the acute illness. Before this problem can be ascribed to the earlier polio infection, other possible causes of weakness must be ruled out, e.g., compression of the spinal cord or spinal nerve roots because of secondary degenerative disease of the spine.
Spinal Abscesses
Spinal abscesses are most often epidural, less often subdural, and only rarely intramedullary. The most common pathogen is Staphylococcus aureus, which reaches the spinal canal from a site of primary infection outside it by way of the bloodstream (hematogenous spread). The typical clinical features are general signs of infection (fever, elevated erythrocyte sedimentation rate, leukocytosis, chills in some cases), pain, and neurological deficits referable to the spinal nerve roots or spinal cord, depending on the specific anatomic situation. Spinal abscesses usually require prompt surgical treatment, followed by weeks of high-dose antibiotics.
Syringomyelia and Syringobulbia
Syringomyelia, a condition coming under the general heading of spinal dysraphism, is some times seen in combination with other congenital defects such as the Arnold–Chiari syndrome or spina bifida. It has several different causes; it can be classified into primary syringomyelia and symptomatic forms due to (for example) hemorrhage, infection, or a tumor.
Syringomyelia is defined by the pathological finding of a tubelike or cleftlike cavity (syrinx) within the spinal cord, often lined by ependyma, and usually extending over several spinal segments. The cavity may reach all the way up to the medulla, or even the midbrain (syringobulbia, syringomesencephaly). Mere widening of the central canal of the spinal cord is called hydromyelia.
Clinical manifestations of syringomyelia depend on the location of the syrinx within the spinal cord and on its vertical extent; they usually arise in the patient's second or third decade. The typical signs and symptoms are summarized in Table. 7.2.
Diagnostic evaluation. Syringomyelia can be diagnosed from its typical symptoms and physical findings; the characteristic picture is of a dissociated sensory deficit combined with trophic disturbances. The diagnosis must then be confirmed with neuroimaging, specifically MRI (Fig.7.12).
Clinical course. Syringomyelia is usually slowly progressive.
Treatment. Neurosurgical methods are occasionally successful. The options include the Puusepp operation (opening the posterior aspect of a large syrinx into the subarachnoid space), drainage of the syrinx with a shunt, or operation of an accompanying Arnold–Chiari malformation at the craniocervical junction.
Table. 7.2 Common symptoms and signs of syringomyelia
|
Symptoms/signs |
Localizing significance |
Remarks |
|
Spastic paraparesis/aspastic quadriparesis |
pressure of syrinx cavity on the pyramidal tracts |
may be unilateral or asymmetric |
|
Muscle atrophy |
loss of anterior horn ganglion cells |
segmental, usually unilateral |
|
Sensory level |
pressure of syrinx cavity on all ascending sensory pathways |
differential diagnosis: extramedullary lesion compressing the spinal cord |
|
Uni- or bilateral dissociated sensory deficit below a given level |
uni- or bilateral involvement of the ascending spinothalamic tract |
highly characteristic |
|
Segmental loss of all modalities of sensation |
syrinx involving posterior root entry zone |
usually unilateral or asymmetrical; predisposes to burns and other types of mutilating injury |
|
Pain |
involvement of entering sensory fibers or ascending spinal cord pathways |
|
|
Segmental dissociated sensory deficit |
syrinx involving the anterior spinal commissure, thereby interrupting the decussating fibers of the spinothalamic tract |
segmental, bilateral, less commonly unilateral |
|
Autonomic disturbances |
involvement of the intermediolateral tract in the upper thoracic spinal cord, or of the lateral horns |
impaired sweating, succulent edema, osteolytic bone lesions, arthropathy |
|
Trophic disturbances |
as above |
severe spondylosis, mutilation of the fingers |
|
Kyphoscoliosis |
secondary to weakness of the paravertebral muscles |
usually later in the course of the disease; rarely congenital |
|
Associated anomalies |
part of a disorder of prenatal development |
basal impression, Arnold–Chiari malformation, spina bifida, hydrocephalus |

Fig. 7.12 Thoracic syringomyelia (MRI). a The axial image reveals the expanded central canal as a cavity (syrinx) in the middle of the spinal cord. b The sagittal image shows the syrinx extending from T4 to the lower border of T8.
Diseases Mainly Affecting the Long Tracts of the Spinal Cord
The diseases described up to this point affect both the gray and the white matter of the spinal cord. Other diseases of the spinal cord remain confined to the white matter, primarily involving one or more of its long tracts. The origin of these diseases is genetic in many patients (e.g., the spinocerebellar ataxias) but can also be metabolic (e.g., vitamin B12 deficiency), endocrine, paraneoplastic, or infectious.
Hereditary Diseases of the Long Tracts of the Spinal Cord
Some of the spinocerebellar ataxias have already been described above in Chapter 6 (p. 136); there are a number of other diseases that mainly affect the long tracts of the spinal cord. Their pathophysiology is well understood in only a few patients, not (yet) understood in others.
Friedreich Ataxia
This autosomal recessive hereditary disease is due to a defect on chromosome 9. Its major pathological findings include cell loss in the dentate nucleus and combined degeneration of the spinocerebellar tracts, pyramidal tracts, and posterior columns.
Clinical manifestations. The disease usually becomes manifest in the second decade, initially through signs of posterior column degeneration and then through spasticity and cerebellar signs. Typical findings include:
progressive (spinal) ataxia with disequilibrium, particularly when walking with the eyes closed;

Fig. 7.13 The typical foot deformity in Friedreich ataxia (“Friedreich foot”).
diminution or loss of intrinsic muscle reflexes;
impaired proprioception;
in advanced stages of the disease, cerebellar dysarthria.
Diagnostic evaluation. The diagnosis is based on the typical symptoms and signs. Physical examination characteristically reveals the following:
a typical deformity of the foot due to the pathological abnormality of muscle tone (Fig. 7.13),
intracardiac conduction abnormalities,
often kyphoscoliosis,
sometimes optic nerve atrophy, nystagmus, pyramidal tract signs, and distal muscle atrophy,
psychopathological changes tending toward dementia.
Course. Friedreich ataxia is chronically progressive and causes invalidism within a few years of onset. It sometimes takes a protracted course.
Treatment. No effective treatment is known.
Familial Spastic Spinal Paralysis
This genetically heterogeneous syndrome can be inherited in X-linked, autosomal dominant, or (most commonly) autosomal recessive fashion. Its pathophysiological hallmark is degeneration of the pyramidal tracts, more severe at caudal levels, due to diffuse loss of neurons in the primary motor cortex. This condition is thus caused by isolated disease of the first (upper) motor neuron, as opposed to the spinal muscular atrophies, which involve isolated disease of the second (lower) motor neuron (as will be described further below). Clinically, spastic spinal paralysis is characterized by spastic paraparesis, usually beginning in childhood and then progressing slowly over many years, with exag-gerated reflexes, pyramidal tract signs, and increasing gait impairment (“scissors gait” due to adductor spasticity).
Nongenetic Diseases of the Long Tracts of the Spinal Cord
Funicular myelosis is caused by vitamin B12 deficiency. The latter, in turn, may be due either to inadequate dietary intake or to impaired resorption, owing to a lack of sufficient gastric intrinsic factor (e.g., in atrophic gastritis, or after gastrectomy). The pathological findings include demyelination of the posterior columns, posterior roots, and pyramidal tracts; in later stages of the disease, other tracts of the spinal cord, and the cerebral white matter, can be affected as well. There is often, but by no means always, an accompanying hyper-chromic, megaloblastic anemia with macrocytosis, and the patient's skin is pale yellow. Neurological examination reveals an ataxic gait, impaired proprioception, and, rarely, other sensory deficits. These abnormalities may arise subacutely (over a few weeks) or acutely (over a few days). The intrinsic muscle reflexes are diminished because of posterior root involvement, pyramidal tract signs are common, and mental abnormalities may be seen, ranging to dementia. The diagnosis rests on the demonstration of vitamin B12 deficiency. Vitamin B12 must be given as rapidly as possible, preferably by the intramuscular route.
Long tracts of the spinal cord can also be involved in paraneoplastic syndromes, tabes dorsalis due to neurosyphilis (pp. 116f.), adrenoleukodystrophy (p. 122), and a number of congenital metabolic diseases.
Diseases of the Anterior Horns
Isolated diseases of the anterior horn cells are mostly of genetic (spinal muscular atrophies) or infectious origin (acute anterior poliomyelitis, p. 150). Amyotrophic lateral sclerosis, in which there is simultaneous degeneration of the anterior horn cells and the corticospinal and/or corticobulbar tracts, is usually sporadic.
The typical clinical features of diseases involving chronic loss of anterior horn cells are summarized in Table. 7.3. Some of these diseases are described in further detail in this section.
Spinal Muscular Atrophies
These diseases are due to a genetic defect on chromosome 5 that causes isolated degeneration of the second (lower) motor neurons, i. e., the motor neurons of the anterior horn cells and the cranial nerve nuclei. The result is the typical clinical syndrome of anterior horn degeneration described above (flaccid weakness, muscle atrophy, loss of reflexes, fasciculations). The main clinical types of spinal muscular atrophy are classified according to their age of onset and the pattern of motor deficits that they cause:
In the early infantile type (Werdnig–Hoffmann), neonates and infants suffer from rapidly progressive muscle weakness, beginning in the muscles of the pelvic girdle. The affected children can survive for no more than a few years.

• Pseudomyopathic spinal muscular atrophy (Kugelberg–Welander) becomes symptomatic between the 2nd and 10th years of life. The pelvic girdle is most severely affected at first, as in the early infantile type, but the weakness and atrophy progress more slowly, and the overall prognosis is much more favorable. The first signs of disease are progressive quadriceps weakness, disappearance of the patellar tendon reflex, and, sometimes, pseudohypertrophy of the calves.
Types that become symptomatic from the third decade onward tend to be generalized, though the initial presentation tends to be either mainly distal (Aran–Duchenne) or mainly proximal (Vulpian–Bernhardt). The Aran–Duchenne type often presents with atrophy of the intrinsic muscles of the hand, the Vulpian Bernhardt type with scapulohumeral atrophy. The latter is now considered a subtype of familial amyotrophic lateral sclerosis (see below); it affects not only the muscles of the limbs, but also those of the trunk and respiratory apparatus (Fig. 7.14).
Amyotrophic Lateral Sclerosis (ALS)
This disease, also known as motor neuron disease (MND), is characterized by combined degeneration of the first and second motor neurons. Its clinical features are thus a combination of flaccid paresis, muscular atrophy, and spasticity.
Epidemiology. Three-quarters of patients are men, most of them between the ages of 40 and 65. More than 95% of cases are sporadic; the rare familial cases are thought to be due to a defect of the Cu/Zn superoxide dismutase gene.
Neuropathological hallmark of this disease is loss of anterior horn cells, combined with degeneration of the pyramidal and corticobulbar tracts and of the Betz pyramidal cells of the precentral gyri.
Characteristic clinical manifestations are:
weakness and atrophy of the muscle groups of the limbs and trunk (including the respiratory apparatus) and/or the bulbar muscles (tongue, throat), progressing slowly over months,
fasciculations,
exaggerated reflexes,
(in some patients) pyramidal tract signs,
intact sensation,
often muscle cramps and pain.
Course. At first, there is circumscribed, asymmetrical, predominantly distal muscle atrophy, which is usually most obvious in the intrinsic muscles of the hands. There may be accompanying pain or fasciculations, which are often evident only on prolonged observation. As the disease progresses, muscle atrophy spreads proximally. Spasticity gradually appears as well; it is usually only mild at first and may indeed remain so over the ensuing course of the disease. The intrinsic muscle reflexes are usually brisk, more than one would expect in view of the concomitant atrophy and weakness, but pyramidal tract signs are not necessarily demonstrable. The bulbar muscles are also involvedin about 20% of patients, as manifested by atrophy, weakness, and fasciculations of the tongue (Fig. 7.15), dysarthria, and dysphagia (true bulbar palsy). Involvement of the corticobulbar tracts is indicated by exaggerated nasopalpebral, perioral and masseteric reflexes, and by involuntary laughter and crying, which are often present.

Fig. 7.14 Spinal muscular atrophy in a 46-year-old woman. There is marked atrophy of the muscles of the shoulder girdles, arms, and hands, as well as of the paravertebral musculature.

Fig. 7.15 Atrophy of the tongue due to true bulbar palsy in a 65-year-old woman with amyotrophic lateral sclerosis.
Treatment. Riluzole marginally slows the progression of the disease. There is no other specific treatment.
Prognosis. ALS takes a chronically progressive course. Death usually ensues within one or two years, although a minority of patients survives longer.