Introduction
Successful treatment of multiple sclerosis (MS), the most common demyelinating disorder of the CNS, requires mastery of four distinct disease stages:
• A clinically isolated syndrome (CIS) suggestive of MS due to a single nervous system lesion often poses a substantial diagnostic challenge, as there is no single definitive diagnostic test for MS, and there are numerous MS imitators.
• Relapsing–remitting MS (RRMS) leads to frequent hospital admissions during MS flares, and requires great familiarity with disease-modifying agents and their potential side effects.
• Progressive MS is characterized by the accumulation of disability. Management of this stage is dominated not only by understanding disease-modifying agents, but also by knowing how to manage the long-term complications of MS.
• Fulminant MS is a rapidly progressive but fortunately uncommon variant of the disease that requires strong immunosuppression for which supporting high-quality evidence is frequently unavailable.
Clinically isolated syndromes suggestive of multiple sclerosis
Visual loss
Optic neuritis is one of the most common presentations of MS (see also Chapter 5). Typically, this condition is characterized by unilateral visual loss and a tugging retrobulbar pain that develops over several days. Eye movements and bright lights may exacerbate the eye pain. Visual acuity may be decreased to any degree (but usually does not lead to an absence of light perception) and color vision is often affected out of proportion to other elements of vision. A relative afferent pupillary defect is present in the affected eye. Ophthalmoscopic examination is usually normal or may show mild swelling at presentation.
Myelopathy
Transverse myelitis is an inflammatory disorder of the white matter of the spinal cord that produces acute or subacute weakness, sensory loss, gait impairment, and urinary incontinence. In patients with MS, transverse myelitis is characteristically incomplete and results in a partial myelopathy rather than dense paraplegia (Chapter 17).
Sensory syndromes
A variety of different sensory syndromes may herald the onset of MS. Typical symptoms include numbness and a perception of abnormal vibration or of pins and needles. Although constant, sharp, burning pains are less consistent with MS, many patients with MS do describe lancinating pains. Common sensory symptom locations include a single limb, both legs simultaneously, a band around the thorax, and in the distribution of the trigeminal nerve. Trigeminal neuralgia in a young person, especially when associated with trigeminal sensory loss, suggests MS. L’hermitte’s symptom is a symptom of both MS and other disorders of the upper spinal cord, and occurs when forward flexion of the neck leads to an abnormal electrical sensation shooting down the back.
Motor syndromes
Focal weakness is another common initial MS presentation. A lesion in the subcortical white matter or brainstem may produce weakness of the contralateral face, arm, or leg. Pontine lesions may lead to ipsilateral facial weakness that mimics Bell’s palsy. Patchy spinal cord lesions may result in ipsilateral monoparesis. Transverse myelitis, as noted above, may cause bilateral leg weakness.
Diplopia
The best-known pattern of diplopia in MS is internuclear ophthalmoplegia (INO) in which a lesion of the medial longitudinal fasciculus disconnects the contralateral abducens nucleus in the pons from the ipsilateral oculomotor nucleus in the midbrain (Chapter 6). Abduction of the contralateral eye is normal while adduction of the ipsilateral eye is impaired. When INO occurs in MS, it is typically bilateral. Other brainstem lesions may produce a number of different patterns of horizontal, vertical, or oblique diplopia. Diplopia in MS is often complex and difficult to pinpoint to a single site within the brainstem.
Incoordination
Demyelination involving the cerebellar white matter and its brainstem connections, particularly the middle cerebellar peduncle, may lead to incoordination and ataxia. This is usually accompanied by severe action or intention tremor.
Multifocal and progressive presentations
Approximately 20% of the time, MS presents with dysfunction at more than one level of the nervous system.1 Patients with multifocal presentations may be dismissed as having psychogenic disease because of the great variety of their symptoms. Multiple sclerosis is progressive from onset rather than relapsing in approximately 15% of patients.1
Abnormal MRI
The use of MRI to evaluate headaches and other vague neurological complaints is widespread and growing. T2-weighted hyperintensities are common findings on MRI, and many asymptomatic patients with nonspecific lesions are referred to neurologists for MS evaluation. Some patients, however, have radiographically typical MS lesions (see below) without clinical correlation and may be labeled as having “radiologically isolated syndromes.” Because these patients have up to a 25% chance of developing a CIS or MS, they should be monitored closely.2
Atypical symptoms
A number of signs and symptoms suggest diagnoses other than MS. From an epidemiologic perspective, new MS is unlikely in patients older than 65, and uncommon even in those older than 50. Obvious peripheral nervous system dysfunction including dense distal sensory loss, sensory ataxia, areflexia, and bilateral hearing loss strongly suggests that MS is not the diagnosis. Symptoms including dry eyes, dry mouth, rash, persistent fevers, and joint aches point to primary rheumatological processes rather than to MS. Mental retardation or psychiatric dysfunction should prompt consideration of mitochondrial disorders, spinocerebellar ataxias, and the leukodystrophies. Strong family histories are uncommon in MS, and suggest spinocerebellar ataxias, the leukodystrophies, hereditary spastic paraplegia, or Leber’s hereditary optic neuropathy.
Making the diagnosis
Unfortunately, there is no single symptom, sign, imaging finding, or laboratory test that is 100% reliable in diagnosing MS. The diagnosis is established only by examining the clinical and laboratory data for evidence of demyelination separated in space and time (or progressive demyelination), and then excluding conditions that imitate MS. In some cases, the diagnosis is established by history and physical examination. More often than not, adjunctive tests are necessary to make the diagnosis. Although uncertainty is frequent, early diagnosis is valuable because it allows disease-modifying therapy to be initiated earlier.
Past history
Inquire about prior symptoms typical of MS such as visual loss, weakness, numbness, double vision, vertigo, and clumsiness. Deficits that last longer than 24 hours support the diagnosis while those that last only for several minutes or hours are less suggestive of MS. When reviewing the past history, ask about the evaluation that was performed at the time of each prior symptom and review these results if available.
Physical examination
Physical examination often discloses evidence of prior episodes of demyelination. Most useful among these are findings that suggest prior optic neuritis such as red desaturation, optic atrophy, and relative afferent pupillary defects (Chapter 5), or those that reflect demyelination of the spinal cord such as hyperreflexia and upgoing toes.
MRI
MRI of the brain and spinal cord are the most useful diagnostic studies for patients with suspected MS. As noted above, the diagnosis of MS hinges upon

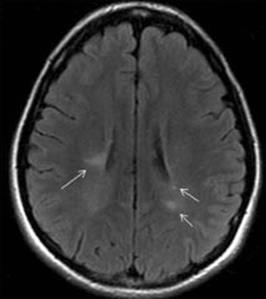
Figure 22.1 Axial FLAIR MRI showing characteristic T2-hyperintense plaques (arrows) in a patient with MS.
demonstrating CNS demyelination separated in both space and time, and MRI is capable of offering important information in both dimensions. Standard MS protocols should include T1, T2, fluid attenuation inversion recovery (FLAIR; in both the axial and sagittal planes), and contrast-enhanced T1 images of the brain. Patients with spinal presentations require T1, T2, and contrast-enhanced T1 images of the spine. A diagnosis of MS is highly unusual when multiple imaging studies are normal.
T2 and fluid attenuation inversion recovery imaging
The T2 hyperintense plaque is the characteristic MRI finding of demyelination secondary to MS (Figure 22.1). Plaques are generally easier to visualize by FLAIR, a sequence in which the bright CSF signal is removed. Common plaque locations are in the periventricular white matter, corpus callosum, centrum semiovale, and middle cerebellar peduncle. Although plaques may have a variety of appearances, those that are ovoid in shape are most suggestive of MS. Lesions in the corpus callosum that are oriented perpendicularly to the lateral ventricles are known as Dawson’s fingers (Figure 22.2) and are particularly characteristic of MS. These lesions are best visualized using FLAIR sequences in the sagittal plane. Plaques may accompany both new and old (presumably inactive) MS symptoms.

Figure 22.2 Sagittal FLAIR MRI showing Dawson’s fingers (arrows): two periventricular plaques oriented perpendicularly to the lateral ventricles, a finding highly characteristic of MS.

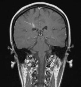
Figure 22.3 Contrast-enhanced coronal MRI showing a contrast-enhancing lesion (arrow) in a patient with relapsing–remitting MS.
Contrast-enhanced T1-weighted imaging
Gadolinium enhancement is used to detect active foci of blood–brain barrier disruption, and therefore active MS (Figure 22.3). Almost 75% of MS lesions will enhance for <1 month, and almost 95% will enhance

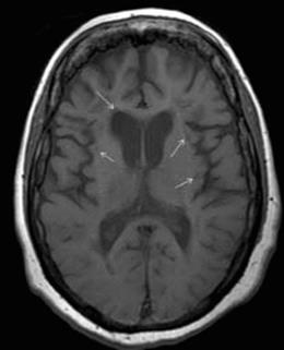
Figure 22.4 T1 black holes (arrows) in a patient with advanced MS. Note also the presence of cerebral atrophy.
for < 2 months.3 It is important to understand, however, that new symptoms may not necessarily correlate with enhancing lesions and that enhancing lesions may not be accompanied by new symptoms.
T1 black holes
The meaning of these hypointense (dark) signals on T1-weighted images is not entirely clear. Although many T1 black holes revert to an isointense signal over time, it is likely that those that persist reflect severe demyelination and irreversible axon loss (Figure 22.4).4
Lumbar puncture
Basic studies
CSF abnormalities may support the diagnosis of MS and help to exclude imitators. The typical CSF profile in MS includes a mild elevation in lymphocytes (never exceeding 50 cells/mm3) and a mildly elevated protein (<100 mg/dl). Neutrophilic predominance, very low glucose, and very high protein levels should prompt consideration of other diagnoses.
Oligoclonal banding and antimyelin antibodies
Patients with MS synthesize abnormal IgG intrathecally. These antibodies can be separated using gel electrophoresis into oligoclonal bands (OCBs), preferably by using isoelectric focusing on agarose gels with immunoblotting. Using this technique, 95% of patients with MS will have positive OCBs.5 When evaluating for OCBs, also perform serum protein electrophoresis to look for distinct bands that are not present in the serum, thus verifying that the IgG is being synthesized intrathecally. Testing for antibodies to myelin basic protein and myelin oligodendrocyte glycoprotein was once popular, but these antibodies are not associated with an increased risk for developing MS.6
Visual evoked potentials
Visual evoked potentials (VEPs) are the electrical potentials recorded from the scalp over the occipital lobes in response to visual stimuli. The most commonly used protocol involves presenting an alternating checkerboard pattern to each eye in sequence and measuring the latency of the response recorded in the occipital cortex. Normally, this response has a positive deflection and a latency of approximately 100 ms, and is thus called the P100 response. Patients with prior optic neuritis have prolonged or absent P100 responses recorded from the affected eye. In practice, an abnormal P100 is usually used to establish the presence of an old optic nerve lesion in a patient with an otherwise normal examination.7
Patience
In most cases, MS is diagnosed by demonstrating clinical and radiographic white matter lesions separated in both space and time. This is often not possible at the initial encounter despite the most thorough history, examination, and set of investigations. When the diagnosis remains in doubt, a comprehensive re-evaluation in 3–6 months or at a time when further symptoms develop is usually the most appropriate approach.
Differential diagnosis
Other primary demyelinating disorders
Devic’s disease (neuromyelitis optica)
The clinical features of Devic’s disease are optic neuritis and transverse myelitis. There is a wide range of time intervals between the development of the two symptoms: they are separated by 24 hours in approximately 10%, but the second symptom develops more than a year after the first in a small minority.8 The disorder usually has a relapsing course similar to MS, but may also be monophasic.8 Whether Devic’s disease is a variant of MS or a distinct syndrome is a subject of controversy. Several features help to differentiate between the two conditions. Optic neuritis in Devic’s disease is usually bilateral, which is unusual for MS. The myelopathy of Devic’s disease is much more severe and is characterized by involvement of three or more consecutive segments with enlargement and cavitation of the spinal cord, features that are all distinctly unusual in MS.9 Sparing of the brain both clinically and radiographically also favors a diagnosis of Devic’s disease rather than MS. CSF findings that are more consistent with Devic’s disease include a neutrophilic pleocytosis during an attack and an absence of OCBs.8 The diagnosis of Devic’s disease is best confirmed by finding antibodies to the aquaporin-4 water channel (also referred to as NMO-IgG) in the serum.10 Unfortunately, patients with Devic’s disease have a worse long-term prognosis than those with MS. Treatment with intravenous steroids and plasmapheresis may be helpful during acute attacks, but once cavitation develops in the cord, treatment is of limited benefit.
Acute disseminated encephalomyelitis
Acute disseminated encephalomyelitis (ADEM) is a multifocal demyelinating disorder of the CNS that usually develops several days or weeks after an infection or vaccination. Symptoms of ADEM are usually more severe and more numerous than those of MS. Cognitive changes, seizures, and even coma may occur in ADEM, but are distinctly unusual presenting symptoms for MS. Imaging features that suggest ADEM rather than MS include white matter changes that extend from the subcortical region to the cerebral cortex, thalamic involvement, and extension of demyelination over multiple contiguous spinal cord levels. Spinal fluid usually shows a mild-to-moderate lymphocytosis. Oligoclonal bands are less common in ADEM than in MS. Despite the apparent abundance of clinical and laboratory clues that help to distinguish between ADEM and MS, the two diagnoses may resemble each other at presentation, and the only definitive way to separate them is by observing the patient over time: the monophasic, nonrelapsing course of ADEM distinguishes it from the relapsing or progressive course of MS. An attack of ADEM is usually treated with methylprednisolone (1 g IV × 5 days). Intravenous immunoglobulin and plasmapheresis are options in patients with severe disease or an incomplete response to steroids.
Secondary demyelinating disorders: reasonable exclusion of multiple sclerosis mimics
A wide variety of medical conditions may mimic MS, but surprisingly little guidance exists as to what constitutes a reasonable exclusion of alternative diagnoses. This is problematic, as many of the other causes of multifocal demyelination are at least partially reversible and do not produce long-term disability if treated properly. In a patient with a CIS, MRI findings highly suggestive of MS, and no other systemic signs of an alternative condition, additional diagnostic testing is seldom worthwhile. Tables 22.1–22.4 contain brief descriptions of the possible alternative diagnoses that should be considered when evaluating a patient with suspected CNS demyelination.
Treatment of clinically isolated syndromes and relapsing–remitting multiple sclerosis
Optic neuritis
Patients with optic neuritis are among the most heavily studied and carefully followed cohorts of patients with neurological disease. Patients in the treatment arm of the Optic Neuritis Treatment Trial (ONTT) received methylprednisolone 250 mg IV qid × 3 days followed by oral prednisone 1 mg/kg/day PO for 14 days. Because this regimen may be impractical in many cases, a methylprednisolone dose of 1 g IV qd × 3 days is often employed without a prednisone taper in clinical practice. Sequential follow-up of patients in the ONTT offers several important pieces of information:
• Treatment with methylprednisolone hastens recovery but does not change the typically excellent long-term visual prognosis of optic neuritis.11
• Patients with optic neuritis who receive intravenous methylprednisolone have a decreased probability of developing MS in the short-term (2 years).12
• Methylprednisolone does not reduce the lifetime chance that a patient with optic neuritis will develop MS.13
Table 22.1 Differential diagnosis of multiple sclerosis mimics that may affect the brain, optic nerve, or spine, in combination or in isolation

Table 22.2 Differential diagnosis of predominantly cerebral presentations of multiple sclerosis

PCR = polymerase chain reaction
Table 22.3 Differential diagnosis of predominantly spinal presentations of multiple sclerosis (see also Chapter 17)

Table 22.4 Differential diagnosis of optic neuropathy

• At 15 years, the overall probability that a patient with optic neuritis will develop MS is 50%. The long-term risk of developing MS is best stratified with brain MRI at the time of presentation13:
• 25% for patients with no lesions
• 60% for patients with one lesion
• 68% for patients with two lesions
• 78% for patients with three lesions
Based on these data, it is important to strongly consider treating a patient with optic neuritis and one or more MRI lesions with disease-modifying therapy as discussed below.
Other clinically isolated syndromes suggestive of multiple sclerosis
The data to support treatment of CIS other than optic neuritis are less robust. Management decisions for patients with CIS depend on the severity of their deficits and the likelihood of developing MS. Patients with mild deficits do not necessarily require any acute treatment. Use methylprednisolone for patients with more severe deficits, as it hastens symptom resolution. Although there is no dosing regimen that is clearly more effective than any others, methylprednisolone 1000 mg IV × 3 days is used most commonly.
Disease-modifying treatment
In addition to managing acute symptoms with corticosteroids, patients with CIS at high risk of developing MS should be treated with a disease-modifying therapy such as beta interferon (IFN-β) or glatiramer acetate, as these agents delay the development of clinically definite MS.14
Beta interferon
The exact mechanism of action of IFN-β in MS is unclear, although multiple studies show that it is an effective treatment option for RRMS.14 The three available IFNs are:
• IFN-β-1a (Avonex) 30 µg IM injection weekly
• IFN-β-1a (Rebif) 22 or 44 µg SC three times a week
• IFN-β-1b (Betaseron) 250 µg SC every other day
Common side effects of IFN therapy include flu-like reactions, joint aches, injection site reactions, headaches, and depression. More serious side effects include lymphopenia, thrombocytopenia, asymptomatic transaminitis, and, rarely, hepatitis. Patients should therefore undergo complete blood counts and liver function tests upon initiation, at 1 month, 3 months, 6 months, and periodically thereafter. Studies suggest that IFN formulations with higher doses reduce the subsequent number of flares compared with lower-dose formulations.15,16 These benefits are counterbalanced by the need for less frequent dosing and a lower incidence of developing neutralizing antibodies (see Box 22.1) with the lower dose formulations.
Box 22.1 Interferon-neutralizing antibodies
Patients who are treated with IFN-β may develop neutralizing antibodies (NAbs). These antibodies are associated with more frequent clinical relapses and larger numbers of radiographic lesions. The exact incidence with which NAbs develop is difficult to establish due to a variety of study methodologies. What is known is that patients who receive IFN-β more than once per week are more likely to develop antibodies than those who receive only a single weekly injection.17 Whether this information should merit any consideration in choosing a first IFN is uncertain. The exact role of testing for NAbs is also unclear. Many patients who develop the antibodies show no evidence of clinical worsening. Others may develop the antibodies and later revert to an antibody-negative status. For patients with stable disease, screening for NAbs is not indicated. For those with more frequent flares or evidence of disease progression, the decision to discontinue an IFN in favor of a different disease-modifying therapy should be made on clinical grounds, and little weight should be assigned to the presence or absence of NAbs.
Glatiramer acetate
This semirandom amino acid mixture reduces the number of relapses and possibly slows disease progression in patients with RRMS.18 Glatiramer acetate is administered subcutaneously at a dose of 20 mg qd. Side effects include injection site reactions, chest pain, flushing, and tachycardia. Patients who take glatiramer acetate do not require any blood tests for monitoring purposes.
Multiple sclerosis flares
New neurological deficits account for the majority of hospitalizations in patients with known MS. The three possible explanations for new symptoms are new demyelinating lesions, unmasking of old deficits by superimposed infectious or metabolic insults, and unrelated neurological disease. Screen all patients with new deficits for possible infectious and metabolic exacerbants including complete blood count, electrolytes, glucose levels, urinalysis, and chest X-rays. Contrast-enhanced MRI is often necessary to distinguish active MS lesions from other causes of neurological symptoms. In general, patients with MS flares should be treated with a 3-day course of 1000 mg IV methylprednisolone. Oral prednisone (1250 mg qd × 3 days) may be used as a substitute if methylprednisolone is unavailable or if outpatient treatment is absolutely required.19
Relapsing–remitting multiple sclerosis
This refers to a milder or early stage of the disease characterized by episodic flares separated by remissions in which there is little or no evidence of disease activity. Most trials of disease-modifying therapy in MS are directed at this relapsing–remitting form. Patients with RRMS are generally treated with IFN-β or glatiramer acetate as described above. Relapsing–remitting MS with frequent flares or with evidence of progression usually requires a more aggressive strategy than IFNs or glatiramer acetate. Treatment options in this clinical scenario include:
• Switching from IFN-β to glatiramer acetate or vice versa.
• Natalizumab. This is an α4-integrin antagonist that theoretically prevents leukocyte migration across the blood–brain barrier, thereby reducing CNS inflammation. It decreases the number of flares, reduces radiological evidence of active disease, and slows disease progression.20 While it is possible that natalizumab is the most effective single agent available to treat MS, it is associated with an estimated 1 in 1500 annual risk for developing progressive multifocal leukoencephalopathy (PML).21 Because PML is difficult to treat and often fatal, this side effect must be discussed seriously with any natalizumab candidate.22All physicians who prescribe natalizumab must be enrolled in the TOUCH Prescribing Program to ensure patient safety.
• Mitoxantrone. Mitoxantrone is an immunomodulatory agent that reduces MS flares and slows disease progression.23 It is prescribed as an infusion of 12 mg/m2 every 3 months, with a maximum lifetime dose of 140 mg/m2. The two most serious potential side effects of mitoxantrone are cardiotoxicity and bone marrow suppression. All patients must therefore undergo echocardiography prior to each dose, and cannot receive the medication if their ejection fraction is <50% or if it is declining.
Progressive multiple sclerosis and symptomatic treatment
Disease-modifying therapy
Unfortunately, approximately 80% of patients with MS have progressive disease. While flares are less frequent in this stage, disability accumulates and many patients become house bound or lose their ability to live independently. Progressive deterioration from disease onset is known as primary progressive MS, whereas deterioration that develops after several relapses and remissions is known as secondary progressive MS. While there is evidence that IFNs and glatiramer acetate may help to slow disease progression, they tend to be less effective in patients with more severe disability. Natalizumab and mitoxantrone are commonly employed options for patients with advanced MS. Cyclophosphamide is an alkylating agent that may help patients with rapidly progressive disease, although its use is controversial due to conflicting study results.24,25 Alternative treatment options for patients who continue to progress include monthly steroids, methotrexate, azathioprine, plasmapheresis, and intravenous immunoglobulin.
Symptomatic treatment
Spasticity
Spasticity secondary to MS may lead to intense pain and impaired mobility. Physical therapy emphasizing range-of-motion exercises is only modestly helpful, but in some cases may prevent contractures. Baclofen (initiated at 10 mg tid and titrated upward to a maximum daily dose of 80 mg) is usually the first line of treatment for spasticity secondary to MS. In patients who do not respond to baclofen, alternative treatment options include tizanidine (2–8 mg tid), dantrolene (25–100 mg tid) and diazepam (5–20 mg tid). Consider placing an intrathecal baclofen pump in patients with refractory symptoms. Although botulinum toxin injections are theoretically helpful, most patients require injections in a large number of muscles, which makes them somewhat impractical.
Urinary dysfunction
The majority of patients with MS will develop bladder dysfunction.26 After excluding urinary tract infection by performing urinalysis and treating any relevant infection, the next step in evaluating bladder complaints is to try to localize the problem:
• Cervical and upper thoracic level lesions produce a spastic bladder and urge incontinence. The patient has a sudden urge to urinate and cannot make it to the bathroom in time.
• Mid-to-lower thoracic level lesions result in detrusor–sphincter dyssynergia in which the urinary detrusor contracts against a closed urethral sphincter. The patient has difficulty voiding and feels an excessive strain in an attempt to produce a weak urinary stream.
• Lumbosacral level lesions lead to bladder hypotonia and overflow incontinence. The patient feels that they are emptying their bladder incompletely and note intermittent urinary leakage.
Patients often describe their urinary symptoms inaccurately, and, as a first step, it is usually best to measure the postvoid urine residual volume in order to better classify the problem. Incontinence in a patient with a postvoid residual of <100 cm3 is most likely due to a spastic bladder with urge incontinence, and should be treated with an anticholinergic agent such as oxybutinin (5 mg bid–qid) or tolteridone (1 mg qd–2 mg bid). Incontinence in a patient with a postvoid residual of >100 cm3 is most likely due to a flaccid bladder with overflow incontinence, and should be treated with intermittent straight catheterization. It is often best to refer patients with bladder dysfunction with MS for formal urological evaluation. Refractory symptoms may require a chronic suprapubic catheter, botulinum toxin injections, or sacral stimulator placement.
Fatigue
Although the exact mechanisms by which MS leads to fatigue are not entirely clear, it is often the most prominent and disabling MS symptom. Patients with MS describe exhaustion, myalgias, and impaired concentration, although they usually do not report a specific urge to sleep. The most commonly used agent for fatigue is amantidine 100 mg bid. Other medications that may be effective include selective serotonin reuptake inhibitors (SSRIs), aspirin, and methylphenidate. While modafinil (200 mg qam) helps many patients with daytime sleepiness, it is often ineffective for patients with fatigue related to MS.
Depression and anxiety
Depression and anxiety affect approximately 50% of patients with MS, and are due to a combination of the neurodegenerative process and psychological maladjustment to the disease.27 Although patients treated with IFN-β were once thought to be at higher risk of depression, the evidence that this is true is unclear. Patients with MS and depression or anxiety usually benefit from a combination of cognitive–behavioral therapy and SSRIs. Short-acting anxiolytics should be used cautiously for patients with anxiety. Social workers and psychologists often play an important role in dealing with adjustment issues related to MS.
Cognitive dysfunction
Cognitive dysfunction develops in about half of patients with MS, and is usually a manifestation of the later stages of the disease.28 The classic pattern of impairment in MS is “subcortical dementia” in which processing speed and attentional problems outweigh cortical defects such as aphasia and apraxia. Whether disease-modifying agents reduce the probability or slow the onset of dementia is unclear. Patients with dementia secondary to MS are treated in much the same fashion as those with other forms of dementia (Chapter 4). Donepezil is used most frequently, although the evidence for its effectiveness in MS is somewhat limited.
Pain and paresthesias
Sensory symptoms affect almost all patients with MS. Agents such as gabapentin, nortriptyline, and pregabalin are employed in much the same fashion as for other patients with neuropathic pain (Chapter 15).Trigeminal neuralgia is particularly common in patients with MS. Conventional treatments for this condition include carbamazepine, phenytoin, and gabapentin (Chapter 19). The prostaglandin E1 analog misoprostol (600 µg qd) is an additional treatment option specifically for trigeminal neuralgia in the setting of MS.29 Gamma knife radiosurgery may be useful for patients with refractory symptoms.30
Tremor
Tremor is one of the most difficult MS symptoms to treat. The tremor is usually an action tremor (Chapter 14), and in some patients may be of large amplitude and quite disabling. First-line agents used for essential tremor including propranolol and primidone are only marginally effective. Other options include benzodiazepines, carbamazepine, and isoniazid. If tremor fails to respond to medical treatment, thalamotomy or deep brain stimulation of the nucleus ventralis intermedius may help.31
Motor impairments
Motor decline is usually the symptom that is of greatest concern to patients with newly diagnosed MS. While the course of each individual MS patient is different and somewhat difficult to predict, most patients will require a walking aid and some will need a wheelchair.

Figure 22.5 Axial FLAIR MRI showing Balo’s concentric sclerosis (arrow), a severe variant of MS characterized by alternating concentric rings of demyelination and remyelination.
Early and frequent involvement of physical therapists is often helpful to teach effective compensatory strategies and to determine the need for assistive devices.
Fulminant MS
Rare fulminant variants of MS cause rapidly progressive disability and sometimes death. The two best-known examples are Balo’s concentric sclerosis and Marburg variant MS. Balo’s concentric sclerosis is pathologically and radiologically characterized by alternating rings of demyelination alternating with rings of preserved myelin (Figure 22.5). The Marburg variant of MS is characterized by progression of deficits to severe disability or death within a few weeks to months.32 Obviously, immunomodulatory therapy must be initiated quickly and aggressively for patients with rapidly progressive variants. In most cases, patients should undergo plasmapheresis in addition to corticosteroid treatment. Other chemotherapeutic agents including cyclophosphamide may be helpful if prescribed at an early enough stage of the disease.
References
1. Confavreux C, Vukusic S, Moreau T, Adeleine P. Relapses and progression of disability in multiple sclerosis. N Engl J Med 2000;343:1430–1438.
2. Okuda DT, Mowry EM, Beheshtian A, et al. Incidental MRI anomalies suggestive of multiple sclerosis: the radiologically isolated syndrome. Neurology 2009;72:800–805.
3. Harris JO, Frank JA, Patronas N, McFarlin DE, McFarland HF. Serial gadolinium-enhanced magnetic resonance imaging scans in patients with early, relapsing–remitting multiple sclerosis: implications for clinical trials and natural history. Ann Neurol 1991;29:548–555.
4. van Walderveen MAA, Kamphorst W, Scheltens P, et al. Histopathologic correlate of hypointense lesions on T1-weighted spin-echo MRI in multiple sclerosis. Neurology 1998;50:1282–1288.
5. Freedman MS, Thompson EJ, Deisenhammer F, et al. Recommended standard of cerebrospinal fluid analysis in the diagnosis of multiple sclerosis. A consensus statement. Arch Neurol 2005;62:865–870.
6. Kuhle J, Pohl C, Mehling M, et al. Lack of association between antimyelin antibodies and progression to multiple sclerosis. N Engl J Med 2007;356:371–378.
7. Hume AL, Waxman SG. Evoked potentials in suspected multiple sclerosis: diagnostic value and prediction of clinical course. J Neurol Sci 1988;83:191–210.
8. Wingerchuk DM, Hogancamp WF, O’Brien PC, Weinshenker BG. The clinical course of neuromyelitis optica (Devic’s syndrome). Neurology 1999;53: 1107–1114.
9. Mandler RN, Davis LE, Jeffery DR, Kornfeld M. Devic’s neuromyelitis optica: a clinicopathological study of 8 patients. Ann Neurol 1993;34:162–168.
10. Lennon VA, Wingerchuk DM, Kryzer TJ, et al. A serum autoantibody marker of neuromyelitis optica: distinction from multiple sclerosis. Lancet 2004;364:2106–2112.
11. Beck RW, Cleary PA, Anderson MM, et al. A randomized controlled trial of corticosteroids in the treatment of acute optic neuritis. N Engl J Med 1992;326:581–588.
12. Beck RW, Cleary PA, Trobe JD, et al. The effect of corticosteroids for acute optic neuritis on the subsequent development of multiple sclerosis. N Engl J Med 1993;329:1764–1769.
13. The Optic Neuritis Study Group. Multiple sclerosis risk after optic neuritis. Final Optic Neuritis Treatment Trial follow-up. Arch Neurol 2008;65:727–732.
14. Goodin DS, Frohman EM, Garmany GP, et al. Disease modifying therapies in multiple sclerosis: Subcommittee of the American Academy of Neurology and the MS Council for Clinical Practice Guidelines. Neurology2002;58:169–178.
15. Panitch H, Goodin DS, Francis G, et al. Randomized, comparative study of interferon-β-1a treatment regimens in MS: the EVIDENCE trial. Neurology 2002;59:1496–1506.
16. Durelli L, Verdun E, Barbero P, et al. Every-other-day interferon β-1b versus once-weekly interferon β-1a for multiple sclerosis: results of a 2-year prospective randomised multicentre study. Lancet2002;359:1453–1460.
17. Goodin DS, Frohman EM, Hurwitz B, et al. Neutralizing antibodies to interferon beta: assessment of their clinical and radiographic impact: an evidence report. Neurology 2007;68:977–984.
18. Johnson KP, Brooks BR, Cohen JA, et al. Copolymer 1 reduces relapse rate and improves disability in relapsing–remitting multiple sclerosis: results of phase III multicenter, double-blind placebo-controlled trial. Neurology 1995;45:1268–1276.
19. Morrow SA, Stoian CA, Dmitrovic J, Chan SC, Metz LM. The bioavailability of IV methylprednisolone and oral prednisone in multiple sclerosis. Neurology 2004;63:1079–1080.
20. Polman CH, O’Connor PW, Havrdova E, et al. A randomized, placebo-controlled trial of natalizumab for relapsing multiple sclerosis. N Engl J Med 2006;354:899–910.
21. Goodin DS, Cohen BA, O’Connor P, et al. Assessment: the use of natalizumab for the treatment of multiple sclerosis (an evidence-based review). Neurology 2008;71:766–773.
22. Wenning W, Haghikia A, Laubenberger J, et al. Treatment of progressive multifocal leukoencephalopathy associated with natalizumab. N Engl J Med 2009;361:1075–1080.
23. Goodin DS, Arnason BG, Coyle PK, et al. The use of mitoxantrone (Novantrone) for the treatment of multiple sclerosis. Neurology 2003;61:1332–1338.
24. Weiner HL, Mackin GA, Orav EJ, et al. Intermittent cyclophosphamide pulse therapy in progressive multiple sclerosis: final report of the Northeast Cooperative Multiple Sclerosis Treatment Group. Neurology1993;43:910–918.
25. The Canadian Cooperative Multiple Sclerosis Study Group. The Canadian cooperative trial of cyclophosphamide and plasma exchange in progressive multiple sclerosis. Lancet 1991;337:441–446.
26. Fowler CJ, Panicker JN, Drake M, et al. A UK consensus on the management of the bladder in multiple sclerosis. J Neurol Neurosurg Psychiatry 2009;80:470–477.
27. Siegert RJ, Abernethy DA. Depression in multiple sclerosis: a review. J Neurol Neurosurg Psychiatry 2005;76:469–475.
28. Chiaravalloti ND, DeLuca J. Cognitive impairment in multiple sclerosis. Lancet Neurol 2008;7:1139–1151.
29. Evers S. Misoprostol in the treatment of trigeminal neuralgia associated with multiple sclerosis. J Neurol 2003;250:542–545.
30. Zorro O, Lobato-Polo J, Kano H, et al. Gamma knife radiosurgery for multiple sclerosis-related trigeminal neuralgia. Neurology 2009;73:1149–1154.
31. Koch M, Mostert J, Heersema D, De Keyser J. Tremor in multiple sclerosis. J Neurol 2007;254:133–145.
32. Mendez MF, Pogacar S. Malignant monophasic multiple sclerosis or “Marburg’s disease”. Neurology 1988;38:1153–1155.