Federica Recine and Cora Sternberg
Case history
A 32-year-old woman presented with left abdominal pain unresponsive to pain medications. An abdominal US revealed a left renal mass. CT scan confirmed a 9cm solid lesion in the upper pole of the left kidney with no evidence of metastatic disease (Fig. 15.1). Her past medical history was unremarkable and there was no family history of renal cancer.
She underwent a left laparoscopic radical nephrectomy and pathology revealed chromophobe renal cell carcinoma (ChRCC), Fuhrman grade 3, with focal involvement of the renal capsule. The surgical margins were negative and the adrenal gland was not infiltrated. A single hilar lymph node was found to be positive.

Fig. 15.1
Questions
1. What is the stage of her disease?
2. How do you assess her prognosis?
3. What specific features differentiate ChRCC from clear cell renal cell carcinoma (CCRCC)?
4. How do you follow up this woman?
Answers
1. What is the stage of her disease?
The stage is pT3a pN1 cM0 according to the AJCC. T3 is due to involvement of the Gerota fascia but not beyond it, and N1 due to regional node metastasis.
2. How do you assess her prognosis?
Two systems can be used to assess the risk of progression in localized RCC: the UCLA integrated staging system (UISS) and the stage, size, grade, and necrosis (SSIGN) score. The UISS provides prognostic prediction for localized and meta-static disease. UISS staging depends on the TNM classification, Furhrman grade, and ECOG performance status (Table 15.1). Based on the UISS, this patient has low-risk metastatic disease (N1M0) and has a predicted 5-year disease-specific survival of 32%.
Table 15.1 The UISS staging system

3. What specific features differentiate ChRCC from clear cell renal cell carcinoma (CCRCC)?
RCC represents 85% of renal tumours and its incidence has significantly increased over the last 20 years. RCC is a heterogeneous disease including different histological types with various pathological and clinical characteristics. CCRCC is the most common form, accounting for 80% of RCC, while the remaining histological forms are grouped together as non-clear cell carcinoma, including ChRCC. ChRCC, which has an incidence of 6–11%, is an uncommon type of RCC with a better prognosis than other non-clear cell histologies. Because of the low incidence of this subtype of RCC and the limited number of cases in the literature the biology of this subtype of RCC and the therapeutic benefit from targeted therapies are not well understood, unlike for CCRCC.
ChRCC can be associated with overexpression of vascular endothelial growth factor (VEGF), a marker of angiogenesis that is crucial in tumour growth and metastases. Moreover, in this disease the c-kit(CD177) oncogene is upregulated, encoding a transmembrane tyrosine kinase receptor that plays a role in intracellular signal transduction.
The majority of cases of ChRCC are sporadic, but they may be associated with Birt–Hogg–Dubé (BHD) syndrome, an autosomal dominant hereditary cancer syndrome. Emerging data showing the pathogenetic mechanism in this hereditary form of ChRCC might suggest the molecular pathways driving the sporadic form of the disease. BHD syndrome is associated with germline inactivating mutations in the folliculin gene (FLCN) with a high risk of developing bilateral, multifocal ChRCC, skin lesions, and spontaneous pneumothorax.
FLCN is located on chromosome 17p11.2 and comprises 14 exons. The protein product of the FLCN gene, folliculin, is a tumour suppressor that is expressed in most tissues including the skin and its appendages, the lungs, and the kidney. Folliculin protein is a component of the cellular energy-sensing system and may interact with cellular-activated mitogen protein kinase (cAMPK) and mTOR pathways, suggesting a role also for mTOR antagonists in this disease.
4. How do you follow up this woman?
There is no standard protocol for follow-up for localized disease following surgery, but it often depends on the therapeutic possibilities upon recurrence. CT scan of the thorax and the abdomen is recommended for follow-up.
After surgery, there was no evidence of metastatic disease. She received immunotherapy with interferon-alpha (6 million IU) three times a week for 2 months at another oncology department. She was then followed closely and was free of disease for 7 months.
After 7 months she developed liver metastases in segments 3 and 8 (Fig. 15.2). She underwent surgical resection with a left hepatectomy and atypical resection of the eighth segment of the liver. The pathologist identified the presence of chromophobe cells, compatible with metastatic RCC. After this surgery, she was referred to our medical oncology department in Rome and observed with regular CT imaging.
Question
5. Is surgical resection of metastases recommended in ChRCC?

Fig. 15.2
Answer
5. Is surgical resection of metastases recommended in ChRCC?
Fewer than 5% of cases of ChRCC are metastatic at the time of diagnosis. Metastatic non-clear cell RCC has a poor survival, but the prognosis for patients with chromophobe tumours appears to be more favourable than for other subtypes of metastatic non-clear cell RCC. In fact, the median time to development of metastases from nephrectomy is twice as long for ChRCC as for other non-clear cell histologies.
While the most common site of renal cancer metastases is the lungs (75%), approximately 30–40% of patients will develop hepatic metastases. In most cases, liver metastases are multiple and occur in parallel with metastases to other sites.
Despite reports showing an improved survival with pulmonary metastatectomy in RCC, the role of liver-directed local treatments with surgery or radiofrequency ablation is not clearly established. Several clinical trials have shown that liver resection is effective and safe in the treatment of patients with hepatic metastases from RCC, even though these reports enrolled relatively small numbers of patients and did not distinguish between the different histological types. There are no established eligibility criteria for liver metastatectomy and the selection of patients is generally based on predicted prognosis and the feasibility of a margin-negative resection. Since patients with ChRCC seem to have a longer OS and DFS interval, those with resectable liver metastases are candidates for resection, which could be potentially curative even though this approach is still controversial in metastatic RCC.
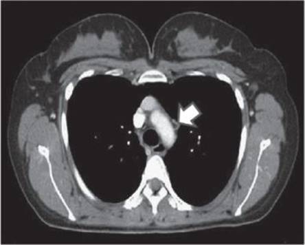
Nine months after the second surgery, a routine CT scan revealed mediastinal lymph nodes, measuring 40, 21, and 24mm (Fig. 15.3). The patient declined a biopsy.

Fig. 15.3
Question
6. What therapy would you recommend?
Answer
6. What therapy would you recommend?
The treatment strategy for ChRCC is not well defined. The evidence of overexpression of VEGF and CD117 in ChRCC suggests a potential role for targeted therapies, but the reported data concerning the efficacy of TKIs in ChRCC are derived from retrospective analyses and expanded access trials.
The majority of clinical trials in metastatic RCC focus on patients with predominantly clear cell histology. The trial results rarely report differences in outcome between clear and non-clear cell types after TKI treatment, and therefore very little is known about the therapeutic benefit of TKIs in patients with non-clear cell RCC histology. However, the expanded-access trials of sunitinib and sorafenib included a considerable number of patients with non-clear cell histology and showed clinical efficacy of these agents in this type of RCC. Even though inhibitors of VEGF and mTOR pathways have been shown to have significant clinical benefit in advanced RCC, the role of these agents in patients with ChRCC remains unclear. Thus, the treatment options for this patient include sunitinib and sorafenib.
One month later she started therapy with sunitinib 50mg orally on a 4-week on, 2-week off schedule. After two cycles she obtained a partial response that was confirmed after an additional four cycles (Figure 15.4). She received a total of 16 cycles of sunitinib. She tolerated the therapy well and had no hypertension, but 1 year later she developed mild hypothyroidism.
Seven months later, she developed multiple metastases in segments 4, 6, and 8 of the liver.

Fig. 15.4
Question
7. Would you recommend another TKI for this patient with ChRCC?
Answer
7. Would you recommend another TKI for this patient with ChRCC?
The optimal sequential treatment in patients affected by advanced RCC is still under evaluation and there is no established sequence of therapy for clear cell or non-clear cell RCC.
Everolimus, a mTOR inhibitor, and axitinib, a VEGF-receptor TKI, are the two approved drugs in the second-line setting after TKI inhibitors for the treatment of metastatic RCC. However, several retrospective and prospective clinical trials have demonstrated the clinical benefit of the sequence of TKIs, showing that there is no cross-resistance among TKIs and VEGF inhibitors in RCC. Both sorafenib and suntinib applied in sequential treatment, after failure of previous anti-angiogenic therapy, have shown antitumor activity in advanced RCC. In the phase III AXIS trial (Rini et al. 2011), axitinib showed an advantage in PFS and equal OS compared with sorafenib in patients affected by metastatic clear cell RCC previously treated with sunitinib and cytokines. The retrospective trial published by Choueiri et al (2008) showed that in patients with advanced papillary and ChRCC, who were progressing with VEGF inhibitor therapy, a subsequent anti-VEGF therapy achieved stable disease. The INTORSECT trial, an open label randomized phase III trial, compared temsirolimus with sorafenib, in patients with RCC who had previous treatment with sunitinib (Hutson et al. 2012). This trial also included a proportion of patients with advanced non-clear cell RCC, and showed an improvement in overall survival of 4 months in the sorafenib arm, suggesting that temsirolimus was not superior to another TKI as a second-line treatment in patients who progressed on a previous TKI. These results suggest a potential role for the sequential treatment TKI–TKI; hence it is reasonable to recommend another TKI in this patient.
Treatment and follow up
The patient started treatment with sorafenib 800mg/day, which is ongoing at the time of writing.
Further reading
Beck SDW, Manish I, Patel IM, et al. Effect of papillary and chromophobe cell type on disease-free survival after nephrectomy for renal cell carcinoma. Annals of Surgical Oncology 2004; 11: 71–77.
Choueiri TK, Plantade A, Elson P, et al. Efficacy of sunitinib and sorafenib in metastatic papillary and chromophobe renal cell carcinoma. Journal of Clinical Oncology 2008; 26: 127–131.
Dudek AZ, Zolnierek J, Dham A, Lindgren BR, Szczylik C. Sequential therapy with sorafenib and sunitinib in renal cell carcinoma. Cancer 2009; 115: 61–67.
Hutson T, Escudier B, Esteban E, et al. Temsirolimus vs sorafenib as second line of therapy in metastatic renal cell carcinoma: results from the INTORSECT trial. ESMO Congress, Vienna, Austria, 28 September–2 October 2012. Abstract LBA 22. (Available at: http://abstracts.webges.com/viewing/view.php?congress=esmo2012&congress_id= 370&publication_id=918)
Larkin JM, Fisher RA, Pickering LM, et al. Chromophobe renal cell carcinoma with prolonged response to sequential sunitinib and everolimus. Journal of Clinical Oncology 2011; 29: e241–e242.
Motzer RJ, Bacik J, Mariani T, Russo P, Mazumdar M, Reuter V. Treatment outcome and survival associated with metastatic renal cell carcinoma of non-clear-cell histology. Journal of Clinical Oncology 2002; 20: 2376–2381.
Patard JJ, Leray E, Rioux-Leclercq N, et al. Prognostic value of histologic subtypes in renal cell carcinoma: a multicenter experience. Journal of Clinical Oncology 2005; 23: 2763–2771.
Rini BI, Campbell SC, Escudier B. Renal cell carcinoma. The Lancet 2009; 373: 1119–1132.
Rini BI, Escudier B, Tomczak P, et al. Comparative effectiveness of axitinib versus sorafenib in advanced renal cell carcinoma (AXIS): a randomised phase 3 trial. The Lancet 2011; 378: 1931–1939.
Thelen A, Jonas S, Benckert C, et al. Liver resection for metastases from renal cell carcinoma. World Journal of Surgery 2007; 31: 802–807.