An Introduction to Orthodontics, 2nd Edition

18. Functional appliances (N. E. Carter)

18.1. INTRODUCTION

The functional appliances are a group of orthodontic appliances which are quite distinct in the way that they work. In general they have no active components such as springs or elastics, but instead harness forces generated by the masticatory and facial musculature (they are often called myofunctional appliances). This is achieved by constructing the appliance such that it holds the mandible in a postured position away from its position of rest, and, whilst there are many designs of functional appliance, they all engage both dental arches and cause mandibular posturing with displacement of the condyles within the glenoid fossae. Functional appliances of all types are most effective during active growth.

The purpose of functional appliances is to alter the anteroposterior occlusion between the two dental arches, and they cannot on their own treat irregularities of arch alignment such as crowding. The temporomandibular joints primarily permit opening and protrusion of the mandible, and the vast majority of functional appliances are made to a forward postured working bite. Thus they are mostly used in the treatment of Class II malocclusions, particularly Class II division 1 where the overjet is increased.

Before discussing functional appliances in detail, Fig. 18.1 gives an overview of this type of functional appliance in clinical use. This patient has a Class II division 1 malocclusion of the type for which functional appliances are very suitable, and for which they have been used for many years.

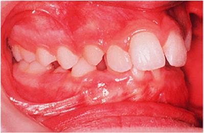
There are a number of important features to note which will be discussed further later in the chapter. First, the patient is still growing and the signs are that her pattern of facial growth is likely to be favourable. Although the skeletal pattern is Class II, the vertical relationships are close to average and the direction of mandibular growth is likely to be a mild forward rotation (see Chapter 4) which is favourable to the correction of a Class II malocclusion. Second, the soft tissue morphology is favourable despite the lips being incompetent, with the lower lip resting behind the upper incisors. The lower lip line is above the level of the upper incisal edges, and after the overjet has been reduced the lower lip will rest labially to the upper incisors, so helping to resist any tendency for relapse of the overjet. Third, the arches are well aligned — functional appliances have no mechanism for treating irregularities of alignment of the teeth.

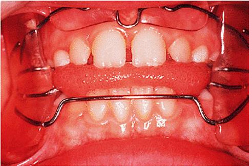
The appliance holds the mandible in a forward postured position, in this case with the incisors edge to edge (Fig. 18.1(f)). The facial musculature is thus stretched, and applies a posterior force to the upper arch and an anterior force to the lower arch. The lower incisors have acrylic capping to prevent excessive labial tilting of the lower incisors, and this also serves as a bite-plane to reduce the overbite (Chapter 10). The appliance must be worn for at least 14–16 hours each day, but once the overjet has been reduced fully the amount of daily wear can gradually be reduced to sleeping hours only. The patient should continue to wear the appliance overnight in this way as a retainer, at least until the period of rapid pubertal growth is complete. Figures 18.1(g) and 18.1(h) show the dental and facial changes which occurred during treatment.

A functional appliance can be used as the first part of a two-stage treatment, in which the overjet is reduced, followed by a second phase of treatment with fixed appliances to deal with crowding or other irregularities of dental alignment.

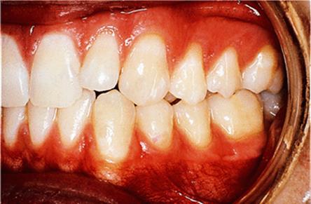
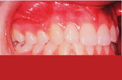
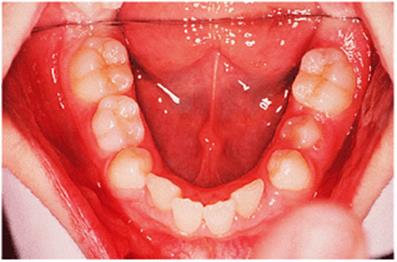
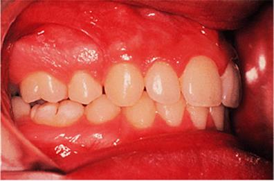
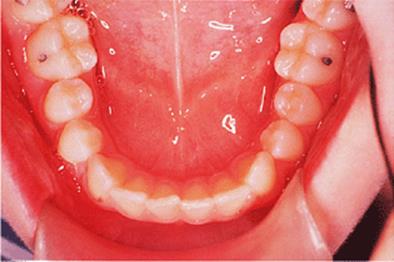
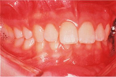
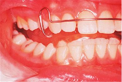
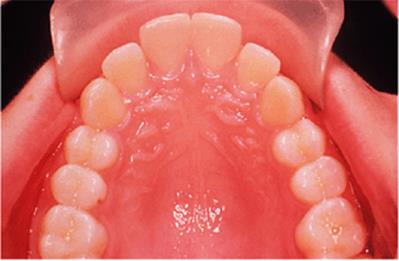
Fig. 18.1. (a) This 12-year-old girl had a skeletal II facial pattern and average facial proportions. The lips were incompetent with the lower lip lying below the upper incisors at rest. (b), (c) She had a Class II division 1 malocclusion with an overjet of 10 mm, the overbite was increased and complete, and the molar relationship was Class II on both sides. (d), (e) The upper and lower arches were well aligned. (f) A functional appliance (an activator) was fitted. (g) The corrected occlusion with Class I incisor and molar relationships. (h) The patient's facial profile at the end of treatment.

image(a)

image(b)

image(c)

image(d)

image(e)

image(f)

image(g)

image(h)

18.2. MODE OF ACTION

The way that functional appliances work is not fully understood, but they are thought to achieve their effect by the posturing of the mandible causing stretching of the facial musculature. This generates forces which are delivered primarily to the teeth, and there is no doubt that a posteriorly directed force acts upon the upper arch and an anteriorly directed force must therefore act upon the lower. However, it is the clinical impression of many orthodontists that there are more widespread effects upon the facial skeleton as well as upon the dentition. The sites where functional appliances might induce facial changes are the maxillary complex, the mandible, and the glenoid fossa.

The extent of these changes has become something of a controversy within orthodontics. There are those who claim that functional appliances alter the environment of the growing facial skeleton enough to bring about significant changes in the growth pattern. The alternative point of view is that growth of the facial skeleton is under close genetic control and therefore orthodontic appliances can have little effect other than to move the teeth within the alveolar bone. The truth probably lies somewhere in between. However, one important principle is clear: functional appliances only work in growing children and have their greatest effect when growth is most rapid.

Much research effort is directed at trying to determine what impact functional appliances have upon facial growth, but studies in this field face problems and limitations. The main types of research have been animal experiments and cephalometric studies of human subjects.

Animal studies allow greater control of the experimental conditions than is possible with human clinical studies. For example, variables such as the genetic background of the animals can be controlled and operative techniques can be standardized. Precise measurements of the jaws can be made after sacrifice, and studies at a cellular level can demonstrate changes indicative of active growth, for instance in the mandibular condyle. These studies have involved various species but primates are most relevant to the human situation. However, primate studies are very expensive and therefore the numbers of animals involved are small. There are also the obvious limitations that species other than the human are being investigated and that the regime of appliance wear is different. Appliances to produce mandibular posturing in animals have usually been fixed, unlike the functional appliances for humans which are removable and are worn only part-time. Animal facial morphology is very different and the facial skeletal discrepancies seen in humans are almost unknown in animals; therefore the appliances are usually making normal occlusions become abnormal. Thus the changes seen in animals do not compare directly with humans and the results must be applied to human clinical practice with caution.

Human studies of necessity are non-invasive, and cephalometric radiography has proved to be a useful tool in the measurement of human facial growth. However, it does have significant limitations in terms of technique error, which are discussed in Chapter 6. Measurements are made from landmarks identified on the radiographs, and it is not always possible to select a landmark which is both easy to identify reliably and truly representative of the structure being measured. The measurement errors which are inherent within the technique may be as large as the changes which are being examined, and there is also considerable variation among patients in their responses to appliances. These difficulties do not invalidate cephalometry as a research tool but, if the findings of a cephalometric study are to have any real meaning, proper experimental design and the inclusion of sufficiently large numbers of patients are essential.

Many reported studies are retrospective, that is subjects are selected for inclusion in the study after completion of the orthodontic treatment. These tend to have an element of bias as, for various reasons, studies have often only included patients who have achieved a successful result from the treatment being examined, but very few have also looked at those in whom the treatment failed. Thus the study sample may be biased in that these successful patients may have inherently favourable growth patterns while the unsuccessful ones, which perhaps were not included in the study, were those with unfavourable growth. The changes induced by the treatment need to be distinguished from those which occur during normal growth, and in theory this can be done by comparing the group of treated patients with an untreated control group which is matched for age, sex, and malocclusion. In practice this is also difficult, as very few patients with malocclusions of any severity decline treatment and yet have serial orthodontic records taken over a period of years.

Prospective randomly allocated clinical trials give much better evidence by eliminating selection bias. In these studies, subjects are selected for inclusion before the treatment begins and are allocated randomly to one of the treatment methods being examined. Such studies have to be large to allow for patients abandoning the treatment being studied or being lost to follow-up, and they have to extend over several years to allow the long-term effects of treatment to be assessed. Several prospective clinical studies of functional appliances are currently under way but so far only preliminary results have been reported.

In summary, the question of the precise mode of action functional appliances is not easily resolved and it continues to be controversial. At present, the evidence of the better scientific studies suggests the following changes when a forward postured functional appliance is used:

· Dento-alveolar changes There is no doubt that functional appliances move the upper teeth posteriorly. Anterior movement of the lower arch may also occur but is a less consistent finding.

· Changes in maxillary growth There is restriction of forward growth of the maxilla, similar to the effect of headgear. However, this change may not be permanent as there is evidence that ‘catch-up’ growth of the maxilla occurs after treatment.

· Changes in mandibular growth There is evidence that functional appliances may induce on average an extra 1–2 mm of growth of the mandible. However, there appears to be considerable variation in this response, and it is possible that some patients exhibit significant acceleration of mandibular growth during functional appliance treatment, although such effects may be only be transitory, and others do not. The direction of mandibular growth may also be improved by functional appliance therapy. Unfortunately, at present, reliable prediction of patient response is not possible, but on average the changes are modest.

· Changes in the glenoid fossae Remodelling of the glenoid fossa more anteriorly has been seen in animal experiments and there is some evidence that it may occur in humans. If this does happen, the temporomandibular joint and the mandible would become repositioned slightly further forward.

18.3. INDICATIONS FOR FUNCTIONAL APPLIANCES

All patients must meet the following general criteria for a functional appliance to be appropriate:

· The patient must still be growing, preferably approaching a phase of rapid growth.

· The pattern and direction of facial growth should be reasonably favourable.

While functional appliances may have a small effect on growth, this must be regarded as being limited and it is not possible to make a dramatic improvement upon a very unfavourable growth pattern.

· The patient must be well motivated. These appliances are bulky and must be worn for a substantial amount of time. This requires a considerable effort and commitment by the patient and the family, particularly in the early stages of treatment.

The timing of treatment needs careful consideration. These appliances only work in patients who are growing, and their effect is greatest when growth is most rapid. The timing of dental development correlates poorly with that of skeletal growth and the pubertal growth spurt, and some children establish the permanent dentition at a relatively early age while others are still in the late mixed dentition at puberty. It is common practice to fit functional appliances in the mixed dentition stage, but some designs of functional appliance become difficult to manage when many primary teeth are mobile and exfoliating. The appliance should be worn until the end of the pubertal growth spurt, and if treatment is started early in a young child it is likely to be very lengthy. The patient's enthusiasm for treatment may well wane in these circumstances. However, in many cases the advantages of early treatment may be felt to outweigh the disadvantages, such as where the overjet is very large and causing concern because of teasing or risk of trauma to the upper incisors.

Therefore it can be quite difficult in some cases to decide when to begin treatment, particularly when the functional appliance is to be used in conjunction with other treatment such as for crowding. It is useful to record the patient's standing height over a period before and during treatment, as this gives some indication of the rate of growth. Although it is not possible to predict the onset of the pubertal growth spurt precisely, this information may help to determine when the treatment should start.

18.3.1. Class II division 1

Functional appliances are most often used in Class II division 1 malocclusions. They are particularly appropriate where the arches are well aligned as they contain no mechanism for aligning irregular arches (Fig. 18.1). It is possible to use a functional appliance where there is crowding within the arches, but these cases are often more easily treated in other ways. Where a functional appliance is to be used, arch alignment is carried out either before or after the functional appliance phase of treatment.

The functional appliance may be fitted during the mixed dentition stage to achieve anteroposterior correction of the malocclusion, and the crowding treated later in a second phase of treatment after the first premolar teeth have erupted. This usually requires extractions and either removable or fixed appliances to align the arches. This sequence of treatment has the advantage of achieving early overjet reduction, but overall treatment time is often long. There is also a risk of some relapse of the overjet when the functional appliance has been stopped to make way for the appliances needed to align the arches. It may be necessary to reinsert a functional appliance as a retainer after the teeth have been aligned, but this must be done before the growth spurt is finished.

Fig. 18.2. (a)–(c) Class II division 1 malocclusion with lower arch crowding; (d) a combination of removable and fixed appliances to align the arches prior to fitting the functional appliance; (e) activator appliance modified to fit over the fixed appliance; (f) the occlusion at the end of treatment.

image(a)

image(b)

image(c)

image(d)

image(e)

image(f)

Where the premolars erupt before the pubertal growth spurt takes place, the sequence of treatment can be reversed. The crowding is relieved by extracting premolar teeth, and then the arches are aligned using fixed or removable appliances, or a combination of the two, but making no attempt to correct the incisor or molar relationships (Fig. 18.2). The functional appliance is fitted when the arches have been aligned, and some designs can be made to fit over a fixed appliance. It should be worn until the growth spurt is complete, and can serve as a retainer after the brackets have been removed.

The degree of overbite should be considered when selecting the design of functional appliance. Lower incisor capping acts as an anterior bite-plane to reduce an increased overbite, limiting lower incisor eruption and allowing molar eruption. Conversely, where the overbite is reduced, a design which incorporates molar capping, such as the twin-block appliance (see Section 18.5.6), will help to prevent an anterior open-bite from developing.

18.3.2. Class II division 2

Treatment of a Class II division 2 malocclusion can be prolonged and difficult because correction of the incisor relationship requires reduction of the overbite and reduction of the inter-incisal angle to ensure stability of the result (Chapter 10). This can be done with fixed appliances, but the treatment is extensive as it involves correcting the retroclination of the upper incisors by moving their apices palatally, thus reducing the inter-incisal angle.

An alternative approach is to correct the upper incisor angulation by moving their crowns labially, which is often straightforward using a removable appliance. The resulting increased overjet and the deep overbite can then be corrected using a functional appliance. This method is particularly appropriate where the lower arch is well aligned. The retroclined upper incisors are often crowded, but this resolves as they are tilted labially into a larger arc. The malocclusion has then been changed from Class II division 2 to a Class II division 1 with aligned arches, which is ideal for treatment with a functional appliance (Fig. 18.3).

Fig. 18.3. (a) Class II division 2 malocclusion with well-aligned lower arch; (b) upper removable appliance to expand the arch and procline the upper incisors; (c) activator appliance in place; (d) some overcorrection was achieved.

image(a)

image(b)

image(c)

image(d)

18.3.3. Class III

The problem faced by functional appliances designed to correct Class III malocclusion is that only minimal posterior posturing of the mandible is possible. Thus they are limited in the degree of activation which can be achieved, and the working bite is usually open rather than forced posteriorly. The pattern of mandibular growth is also less likely to be favourable for correction of a Class III malocclusion. One of the more popular designs of Class III functional appliances is a variant of the Frankel appliance, the FR3 (Fig. 18.4). This includes wires lying labial to the lower incisors and palatal to the upper incisor which, together with the acrylic shield in the upper labial sulcus, induce slight lingual movement of the lower incisors and labial movement of the upper incisors. Thus the effect is a dento-alveolar correction of the Class III incisor relationship, and at present there is no evidence that functional appliances achieve any clinically significant skeletal correction in Class III cases.

Fig. 18.4. Frankel appliance for Class III correction.

18.4. MANAGEMENT OF FUNCTIONAL APPLIANCES

It is essential that adequate records, comprising study models and panoramic and lateral skull radiographs, are taken before treatment begins. Photographs and a note of the patient's standing height are also useful.

Well-extended upper and lower impressions are needed together with a working bite. The exact nature of the bite depends on the type of functional appliance to be used, but all of them require the mandible to be postured forward, usually by no more than about 8 mm or to edge-to-edge, whichever is less. The upper and lower centrelines should be coincident, and a degree of opening is usually necessary, with the exact amount depending upon the over-bite and design of appliance to be used.

When the appliance is fitted, the patient should find it comfortable, if strange, to start with. These appliances are demanding to wear and the patient needs to be well motivated. With this type of treatment, almost more than any other, the orthodontist must enthuse the patient and family. The appliance should be worn for at least 14 hours out of every 24, and preferably more. Clinical experience has shown that, while some patients may achieve some improvement with less wear than this, many do not, and it certainly seems that the more the appliance is worn each day, the faster will be the response. As with all orthodontic appliances, the patient will find that the first few days after fitting are the most difficult, and they will need time to become accustomed to wearing it. Initially, it should be worn for a few hours each day as a training period, gradually increasing the amount of wear over the first week or two until the minimum of 14 hours is being achieved. For most children this time is found between coming home from school and getting up next morning. Appliance wear does not need to be continuous as long as the total time is achieved, and most designs of functional appliance have to be removed for meals. Children can increase the amount of wear by taking the functional appliance to school, provided that they can be trusted to take care of it when it is out of the mouth. It is helpful to give patients a time chart so that they can record for themselves how they are getting on.

The patient should be seen after 2 weeks to ensure that the appliance is comfortable and to encourage adequate wear. During active treatment, review appointments should be every 6 to 8 weeks. Progress is assessed by measuring the overjet and observing correction of the buccal segment relationship, ensuring that the mandible is fully retruded and that the patient is not posturing forwards.


The fit of the appliance should be checked and adjusted — for obvious reasons it must be as comfortable as possible. It is important to check that the appliance is not causing unwanted interference with the eruption of permanent teeth, and it should be trimmed as appropriate. The activation of the appliance should be checked, and in cases where the initial overjet was large it may be necessary to reactivate or replace it. Finally, it is worth recording the standing height, as slow progress with the appliance may be because the patient is not in a rapid growth phase.

One of the main tasks at review appointments is to encourage and motivate the patient, and this is made much easier if the patient and family can see an improvement for themselves. The patient's time chart should be looked at and discussed — it is important to remember to take an interest in this. The rate of response will vary, but if progress is slow or non-existent the problem should be talked through with the patient and parent. If growth in height is rapid this should be pointed out forcibly, as the overjet should be reducing rapidly and there is no second chance once the growth spurt has finished.

When the overjet has been reduced fully, or preferably overcorrected slightly, the amount of time that the appliance is worn each day can be reduced progressively to 12 hours, then 10 hours, and finally down to sleeping hours only. This reduction should be very gradual, over about a year, and the overjet and buccal segment correction must be monitored to ensure that they remain stable. The patient should continue to wear the appliance at night until they are well through the pubertal growth spurt, as clinical experience has shown that gradual relapse may occur during the late stages of growth if the appliance is withdrawn too soon. Wearing the appliance in bed at night is not a problem for most teenagers.

18.5. TYPES OF APPLIANCE

There are many designs of functional appliance, but they all share the common feature that the mandible is held in a postured position. One of the earliest designs was Pierre Robin's monobloc which was designed to hold the mandible forward in infants with extreme mandibular retrognathism (Pierre Robin syndrome). Andresen originally developed his appliance as a retainer for use after fixed appliances had been removed and found that it continued to reduce increased overjets.

Six popular designs of functional appliance will be described briefly here, but there are many adaptations and most orthodontists have developed their own variants. Some designs are worn with headgear which further helps the Class II correction.

18.5.1. The Andresen activator

There are many variations upon Andresen's original design. An Andresen activator is shown in Fig. 18.5. It is a monoblock design, that is to say it comprises upper and lower acrylic appliances fused together. The original design had a solid palate, but that shown has been made with an open palate to reduce its bulk. The lower incisors are capped to minimize the tendency for them to procline during overjet reduction, and which also serves as a bite-plane to reduce the overbite. The capping resists tipping of the teeth so that any labial movement will have to be bodily translation and is therefore minimized. The labial bow lies passively against the upper incisors, and the palatal wire is again intended to minimize palatal tilting of the upper incisors.

Fig. 18.5. Andresen activator used to treat the patient shown in Fig. 18.1.

The interdental acrylic in the buccal segments has been trimmed to make a series of inclined planes which guide the eruption of the upper molars and premolars buccally and distally. The distal movement is intended to help correct the Class II buccal segment relationship. The buccal movement is needed because, as the buccal segment relationship corrects, the upper posterior teeth occlude against a wider part of the lower arch. With lower incisor eruption restricted by the capping, eruption of the molars brings about reduction of the overbite. Where the overbite is normal at the start of treatment, the molar capping should be trimmed to allow expansion but not eruption, so that the molars cannot erupt more than the incisors and cause an anterior open bite to develop (Fig. 18.6).

Fig. 18.6. Andresen activator with buccal capping to prevent excessive reduction of overbite.

The appliance has no clasps; the intention is that the looseness in the mouth causes the patient to bite into it. Many patients find this difficult to tolerate in the early stages of treatment, finding that the appliance often comes out during the night, and a common modification is to clasp the upper first molars although this prevents spontaneous expansion.

18.5.2. The medium opening activator

The acrylic in this variant of the activator has been kept to a minimum to make it better tolerated (Fig. 18.7). The lower acrylic extends lingually the labial segment only, and the upper and lower parts are joined by two stout acrylic posts, leaving a breathing hole anteriorly. The appliance has clasps in the upper buccal segments. There is no molar capping, and this design is thus not suitable where the initial overbite is normal or reduced.

Fig. 18.7. Medium opening activator.

Where the upper molars are clasped, there can be no spontaneous expansion of the upper arch while the activator is being worn. Therefore it is necessary to fit an expansion appliance first, such as that shown in Fig. 18.8. This gives the patient an easy introduction to appliance wear, and it may also include springs to improve the alignment of the upper incisors. In cases where a fixed appliance has been used to align the arches before fitting the functional appliance, the medium opening activator design can be modified to fit around fixed attachments (Fig. 18.2).

Fig. 18.8. Expansion appliance fitted prior to the functional appliance.

18.5.3. The Harvold activator

The most obvious differences between the Harvold and Andresen activators are that the Harvold appliance is made to a widely open working bite so as to gain maximum effect from stretching the muscles and has occlusal shelves which contact the upper but not the lower posterior teeth (Fig. 18.9). As the lower posterior teeth erupt they move forwards slightly, and the theory is that using occlusal shelves to prevent eruption of the upper posterior teeth and encourage eruption of the lower posterior teeth helps to correct the molar relationship from Class II to Class I. However, where the overbite is normal and does not need to be reduced, the shelves should contact both upper and lower posterior teeth. The appliance has no clasps and can be used in conjunction with fixed appliances.

Fig. 18.9. Harvold activator (courtesy of Mr T. G. Bennett).

18.5.4. The bionator

The bionator was originally designed to modify tongue behaviour on the basis that the tongue was the main cause of increased overjet. It is now recognized that this is only very rarely the case, if at all, but the bionator design has proved to a be a useful functional appliance with a minimal bulk of acrylic which makes it easy to wear. A heavy wire loop takes the place of the palatal acrylic and buccal extensions of the labial bow hold the cheeks out of contact with the buccal segment teeth to allow some arch expansion (Fig. 18.10). It is usually made to an edge-to-edge working bite which is opened up as little as possible. The original bionator design has no lower incisor capping but does have posterior capping, which potentially causes problems with excessive proclination of the lower incisors and with management of a deep overbite. The appliance can be modified to include lower incisor capping and omit posterior capping, and in this form it becomes another variant of the activator.

Fig. 18.10. Bionator appliance (courtesy of Mr T. G. Bennett).

18.5.5. The Frankel appliance

Frankel originally called this the function regulator (FR). It looks very different, having acrylic shields in the buccal sulci and little or no acrylic lingually, but in common with all functional appliances it induces mandibular posturing. The buccal shields are intended to cause expansion of the arches by holding the cheeks away from the teeth and also to enlarge the alveolar process by stretching the periosteum in the depth of the sulcus, thus causing bone to be laid down on the buccal aspect. There is little evidence to support this theory, but the appliance is very effective for anteroposterior correction.

Frankel described three main variants of the appliance. The FR1 (Fig. 18.11) is for treatment of Class II division 1 malocclusions and incorporates lip pads labial to the lower incisors to allow forward development of the mandibular alveolar process. Where the lower lip is trapped behind the upper incisors, the lip pads help the lower lip to unfurl and function in front of the upper incisors. Overbite control is less easy because of the lack of lower incisor capping, but variants have been described which incorporate capping.

Fig. 18.11. Frankel appliance for correction of Class II division 1 malocclusion.

The FR2 has in addition a palatal wire to procline the upper incisors and is intended for Class II division 2 malocclusions.

The FR3 (Fig. 18.4) is for treatment of Class III malocclusions, having acrylic shields labial to the upper incisors which, together with a palatal arch, procline them, and a lower labial bow which retroclines the lower incisors. Thus the FR3 achieves only a dento-alveolar correction of the incisor relationship, but it is the best of the functional appliance designs for Class III malocclusions. There is little evidence that any skeletal correction is achieved.

Frankel appliances are complex and must be made to a very high standard if they are to be tolerated — an ill-fitting Frankel appliance is extremely uncomfortable, particularly where the acrylic shields extend deeply into the buccal sulci. However, a keen patient with a well-fitting appliance can wear it virtually full-time, except for eating, and induce rapid changes. The complex design makes the appliance expensive to make and vulnerable to distortion of the wires, and it can be difficult or impossible to correct a distorted or damaged appliance.

18.5.6. The twin-block appliance

The unique feature of this appliance is that it is constructed in two parts, as separate upper and lower appliances (Fig. 18.12). Forward mandibular posturing is achieved by incorporating buccal blocks with interlocking inclined planes, with the lower blocks engaging in front of the upper ones. The appliance is often used with headgear to the upper arch. The two-part construction makes it well tolerated, even during eating, and many operators instruct the patient to wear their twin blocks full time. It will therefore often produce rapid changes.

Fig. 18.12. Twin-block appliance, showing the lower buccal block engaging anteriorly to the upper buccal block.

This appliance's main difficulty is management of deep overbite, because of the buccal blocks. As the overjet reduces, lateral open bites develop which are then closed by progressively trimming the blocks in such a way as to allow the posterior teeth to erupt but at the same time maintain the forward posturing.


This can be very fiddly and as a result many operators find the appliance most useful where the overbite is normal or reduced, rather than increased.

PRINCIPAL SOURCES AND FURTHER READING

Barton, S. and Cook, P. A. (1997). Predicting functional appliance treatment outcome in Class II malocclusions — a review. American Journal of Orthodontics and Dentofacial Orthopedics, 112, 282–6.

A concise summary of the evidence about the use and effects of functional appliances.

Clark, W. J. (1988). Twin block technique. A functional orthopedic appliance system. American Journal of Orthodontics and Dentofacial Orthopedics, 93, 1–18.

The twin block appliance described by its originator.

Isaacson, K. G., Reed, R. T., and Stephens, C. D. (1990). Functional orthodontic appliances. Blackwell, Oxford.

The use and effects of functional appliances, including an extensive literature review.

Mills, J. R. E. (1983). Clinical control of craniofacial growth: a skeptic's viewpoint. In Clinical alterations of the growing face. (ed. J. A. McNamara, K. A. Ribbons, and R. P. Howe), Monograph 14,. Center for Human Growth and Development, University of Michigan.

An exhaustive appraisal of the evidence concerning the effects of functional appliances.

Orton, H. S. (1990). Functional appliances in orthodontic treatment. Quintessence, London.

A manual of laboratory construction of the appliances.



If you find an error or have any questions, please email us at admin@doctorlib.org. Thank you!