Orthopedic Emergencies: Expert Management for the Emergency Physician 1st Ed.

Chapter 2. Shoulder and elbow emergencies

Sanjeev Malik, Molly Weiner and George Chiampas

Orthopedic Emergencies, ed. Michael C. Bond, Andrew D. Perron, and Michael K. Abraham. Published by Cambridge University Press. © Cambridge University Press 2013.

Glenohumeral dislocations

Key facts

· Anterior shoulder dislocations are usually clinically obvious

· Posterior shoulder dislocations can be difficult to identify

· The shoulder is the most commonly dislocated joint in the body

· 95% of shoulder dislocations will be anterior

· Patients < 30 years of age have a high risk of recurrence

Clinical presentation

· The shoulder is the most commonly dislocated joint in the body

· 95% of shoulder dislocations will be anterior

o Patients have a squared-off appearance to the shoulder

o The arm is held in slight abduction

· Posterior dislocations can be difficult to detect by appearance alone

o Patients often hold the arm adducted to the side

o Seizures are classically associated with posterior dislocations

· A thorough neurovascular exam of the affected extremity is essential to exclude a neurovascular injury

o The axillary nerve is most commonly injured

PEARL: Patients over the age of 40 should be evaluated for a possible rotator cuff tear, which may occur in greater than one-third of patients with glenohumeral dislocations.

Diagnostic testing

· Plain films of the shoulder are the test of choice

o Perform an AP (Figure 2.1A) and a lateral projection (axillary lateral or scapular Y-view) (Figure 2.1B)

PEARL: Failure to obtain a lateral projection can result in missing a posterior dislocation in up to 50% of cases.



Figure 2.1A and 2.1B Radiographs of a posterior shoulder dislocation.

A: An AP projection is shown with no obvious dislocation.

B: A lateral projection (scapular Y-view) for the same patient shows the humeral head to be dislocated posteriorly. (Reproduced with permission of the Department of Emergency Medicine, Feinberg School of Medicine, Northwestern University.)

Treatment

· Emergency Department management

o Provide adequate analgesia

§ Procedural sedation has been the historical mainstay for joint reductions

§ Reduction performed with an intra-articular anesthetic injection is an acceptable alternative

o Reduce the shoulder

§ There are a multitude of techniques

§ Be familiar with more than one – no technique has a 100% success rate

o Perform pre- and post neurovascular exams

o Perform confirmatory radiographs

o Place the patient in a standard sling or shoulder immobilizer

§ External rotation slings may provide better anatomic alignment but are not often available in many EDs

§ External rotation slings have been shown to reduce the recurrence rate of first-time dislocators

o Referral to an orthopedic surgeon in 7–10 days is appropriate

PEARL: Reductions performed with intra-articular anesthetic injections have been safely performed with equivalent success rates, similar patient comfort, shorter ED length of stays, and lower complication rates.

Prognosis

· Most patients can return to a pre-injury level of function after several weeks

o Patients < 30 years of age have a high risk of recurrence and may benefit from surgical stabilization

o Patients > 40 years of age may have greater morbidity if the rotator cuff has been injured

Procedures

· Intra-articular injection of lidocaine (Figure 2.2)

o Supplies needed

§ 1–3 cc syringe

§ 1–20 cc syringe

§ 2–18-gauge needles

§ 1–27-gauge needle

§ 1–20-gauge 3.5 inch spinal needle

§ Chlorhexidine/betadine scrub

§ 4 × 4 gauze pads

§ Sterile gloves

§ 30 cc vial of 1% lidocaine solution

o Technique

§ Positioning

§ Place the patient in the seated position with the affected arm adducted to the side

§ Preparation

§ Prep the lateral aspect of the shoulder with betadine or chlorhexidine solution

§ Apply sterile gloves and perform procedure with standard aseptic technique

§ Draw 1 cc of 1% lidocaine into the 3 cc syringe and cap with the 27-gauge needle; set aside for use as local skin anesthesia

§ Draw 15 cc of 1% lidocaine into the 20 cc syringe and cap with the 20-gauge spinal needle

§ Identify the lateral aspect of the acromion (identified by the squared-off shoulder)

§ Make a sterile mark 1 cm below the inferior-most aspect of the acromion

§ Procedure

§ Make a small skin wheal at the marked site using the 3 cc syringe with lidocaine

§ Holding negative pressure, insert the 20 cc syringe with attached spinal needle into the lateral aspect of the shoulder perpendicular to the skin

§ Continue advancing until the glenohumeral joint is entered

§ Hemarthrosis may be apparent

§ Change in resistance from entering the joint space can be felt

§ Inject 15 cc of 1% lidocaine into the joint space

§ Remove the needle and place a sterile dressing

§ Allow 15 minutes for the anesthetic to take effect

· Glenohumeral reduction

o Various different techniques exist with excellent success rates (Table 2.1)

o External rotation method: can be performed safely by a single provider and does not require a lot of strength for success (Figure 2.3)

§ Place the patient in the supine position

§ Hold the affected extremity adducted to the side with the elbow flexed at 90°

§ Bring the shoulder into 20° of forward flexion

§ The physician should hold the patient’s wrist with one hand, stabilize the elbow with the other hand and gently externally rotate the forearm

§ The physician should stop and hold the position when resistance is felt until the muscles relax and then proceed further

§ Once reduction is achieved, the arm can be returned to an internally rotated position and placed in a sling

Table 2.1 Comparison of common glenohumeral reduction techniques.



Data from Ufberg JW, Vilke GM, Chan TC, et al. Anterior shoulder dislocations: beyond traction-countertraction, J Emerg Med. 2004; 27(3):3001–6. Reproduced with permission from Malik, et al. 2010.



Figure 2.2 Intra-articular injection of lidocaine.

After sterile prep, the needle enters the shoulder perpendicular to the skin, just below the lateral edge of the acromion, until the glenohumeral joint is entered. (Reproduced with permission of the Department of Emergency Medicine, Feinberg School of Medicine, Northwestern University.)



Figure 2.3 The external rotation method for glenohumeral reduction.

A: Place the patient in the supine position with the affected extremity adducted to the side and the elbow flexed at 90° and shoulder forward flexed at 20°. The physician should hold the patient’s wrist with one hand and stabilize the elbow with the other.

B: Gently externally rotate the forearm, stopping periodically when resistance or muscle spasm is felt, to allow for muscle relaxation.

C: Once reduction is felt, the arm should be checked through a range of motion and may be returned to an internally rotated position with a sling. (Reproduced with permission of the Department of Emergency Medicine, Feinberg School of Medicine, Northwestern University.)

Scapular fractures

Key facts

· The scapula links the axial skeleton to the upper extremity and serves as the stabilizing platform for arm motion

· Scapular fractures result from a high-energy mechanism and require a thorough trauma assessment to exclude life-threatening injuries

Clinical presentation

· Scapular fractures account for only 1% of all fractures and 5% of shoulder fractures

o The majority of fractures occur in the body of the scapula

· Scapular fractures often occur with a high-energy mechanism and may be associated with more serious injuries

o In one series, patients with scapular fractures had an average of 3.9 additional major injuries

· Mechanism of injury

o High-energy direct blow/trauma to the shoulder area

o Fall on to an outstretched arm

o Shoulder dislocations may result in a glenoid fracture

· Physical examination findings

o Injured patients often hold the arm adducted to the side

o Significant pain with ipsilateral arm motion

o Localized tenderness over the scapula

o Swelling, crepitus, and ecchymosis may be present over the scapula

o Perform a careful neurovascular examination to rule out arterial injury or brachial plexopathy

§ May occur in 13% of scapular fractures

PEARL: Evaluate closely for associated pulmonary contusions that may lead to significant morbidity and mortality.

Diagnostic testing

· Plain radiography is the initial test of choice in the evaluation of suspected scapular fractures

o Dedicated scapular series includes an AP/lateral/scapular views

o Scapular fractures may be obscured by overlying structures

o Os acromiale may be confused for a mid-acromion fracture

§ Normal variant in 15% of patients

§ Rounded edges and bilateral appearance are reassuring

· CT scans of the chest or scapula may better identify fractures

· Electromyogram (EMG) testing can be performed at a later date to evaluate suspected nerve injuries

o Optimal results > 3 weeks after injury

o May evaluate the extent of the injury and potential for recovery

Treatment

· Emergency Department management

o Pain control

o Sling

o Encourage early ROM

o Referral to an orthopedic surgeon

o Treat concurrent injuries

· Long-term management

o Majority of fractures are treated non-surgically

§ Scapular body fractures

o Surgical intervention may be considered for

§ Glenoid fractures

§ Displaced scapular neck fractures

Prognosis

· 86% scapular body fractures heal with excellent or good results

· 82% glenoid fractures treated operatively heal with excellent or good results

· Complications are uncommon

o Glenoid fractures managed non-operatively may lead to shoulder instability

· Most fractures heal in approximately 6 weeks

o Full functional recovery may take up to a year

· Healing with slight non-union does not result in significant disability

o Associated with fractures of glenoid, acromion, and coracoid

Clavicle fractures

Key facts

· Clavicle fractures often result from high-mechanism trauma

· Adequate pain control is a key aspect in the management of clavicle fractures

· The majority of clavicle fractures can be managed conservatively with a simple sling

· Displaced mid-shaft clavicle fractures have a higher risk of non-union and should be referred to an orthopedic surgeon for operative consideration (Figure 2.4)



Figure 2.4 Displaced mid-shaft clavicle fracture. (Reproduced with permission of the Department of Emergency Medicine, Feinberg School of Medicine, Northwestern University.)

Clinical presentation

· The majority of patients will present with pain over the clavicle or shoulder region

· Males between the ages of 15–30 years are the most likely to suffer this injury

· Mechanism of injury

o Young patients generally require a high-impact direct trauma

§ Sporting injuries

§ Falls

§ Motor vehicle collisions

o Elderly patients may have a more minor mechanism such as a simple fall from standing height

· Physical examination findings are straightforward

o Affected limb held adducted to the side

o Tenderness over the clavicle

o Limited shoulder abduction and forward flexion because of pain

o Deformity is often apparent because of the subcutaneous location of the clavicle

· A thorough neurovascular examination of the affected extremity is essential to exclude an associated neurovascular injury

Diagnostic testing

· Plain radiographs are the preferred test for evaluation of suspected clavicle fractures

o Standard clavicle plain films

§ AP and 45° cephalic tilt views

o Serendipity view: 40° cephalic tilt view

§ Better evaluates the medial clavicle

o Zanca view: AP view where the x-ray beam is directed at the acromioclavicular joint with 10-degree cephalic tilt

§ Better evaluates the distal clavicle and AC joint

Classification

· Middle-third fractures (Allman Type I)

o Most common type (69–80%)

· Lateral-third fractures (Allman Type II)

o 21–25% of clavicle fractures

o More common in elderly

· Medial-third fractures (Allman Type III)

o Rare (2%)

o More common in elderly

Treatment

· Emergency Department management for all clavicle fractures

o Adequate pain control

o Sling for comfort

o Figure-of-8 bandages are an alternative

§ Reports of greater discomfort

§ Higher risk of brachial plexus injury

o Restrict from overhead activity

· Long-term management

o Majority of clavicle fractures can be managed non-operatively with recovery in 6–8 weeks

· Referral to an orthopedic specialist in 1–2 weeks

PEARL: Shortened or displaced (> 2 cm), mid-shaft clavicle fractures or fractures of the lateral third have a higher risk of non-union and should be referred early to an orthopedic surgeon for consideration of operative management.

Prognosis

· The majority of patients have an excellent recovery from clavicle fractures

Sternoclavicular injuries

Key facts

· Sternoclavicular (SC) injuries are relatively rare

· Anterior dislocations are unstable and often remain so after treatment

· Posterior sternoclavicular dislocations may result in concurrent injuries to mediastinal structures in 30% of cases

· Reduction of a posterior SC dislocation is best performed in the operating room with orthopedic and cardiothoracic surgery support

Clinical presentation

· SC dislocations are uncommon

· Injuries to patients < 25 years of age are often physeal injuries as opposed to true dislocations

· Patients present complaining of shoulder and/or chest pain

· Both anterior and posterior dislocations may occur

· Mechanism of injury:

o Anterior dislocations

§ Anterolateral force resulting in posterior pressure on the shoulder and medial directed pressure on the clavicle

o Posterior dislocations

§ Posterolateral force resulting in an anterior directed pressure on the shoulder and a simultaneous medial directed force on the clavicle

§ Direct hit to the medial clavicle

· Physical examination findings

o Tenderness at the SC joint

o Painful shoulder ROM

o Prominent medial clavicle in anterior dislocations

o Affected arm may be held adducted with elbow flexed

· A thorough examination is warranted to exclude associated injuries

o Venous congestion of the neck or ipsilateral arm, hoarseness, cough, shortness of breath may be concerning findings

PEARL: Presence of a posterior SC dislocation should prompt evaluation for associated injuries to the trachea, esophagus, and great vessels, which are in close proximity to the SC joint.

Diagnostic testing

· Plain radiography with a clavicle series or chest radiograph is often non-diagnostic

o A serendipity view to better evaluate the medial clavicle and SC joint may be obtained

· CT imaging is the test of choice for evaluation of the SC joint

· For posterior dislocations, additional evaluation for concurrent injuries should be considered

o CT angiography

o Chest radiography

o Bronchoscopy

o Endoscopy

Treatment

· Adequate pain control should be provided for all dislocations

· Anterior dislocations

o Anterior dislocations are unstable and may remain so even after treatment

o Closed reduction should be attempted in the ED

o Procedural sedation is often required

o Post reduction, the patient should be placed in a figure-of-8 brace or a clavicle harness for 4–6 weeks

o Referral to an orthopedic surgeon for follow-up is advised

· Posterior dislocations

o Associated injuries should be thoroughly evaluated and treated as appropriate

o An emergent orthopedic consultation should be obtained

o Reduction is best performed in the operating room

§ Closed reduction may be successful in the first 48 hours, but open reduction is often required

§ Consultation with a cardiothoracic surgeon is advised to address any complications from the reduction

o Post reduction, the patient should be placed in a figure-of-8 brace for 6–8 weeks

PEARL: Management of a posterior SC dislocation is best performed in consultation with an orthopedic and cardiothoracic surgeon.

Prognosis

· Anterior dislocations often remain unstable post treatment but rarely cause any long-term functional impairment

· Posterior dislocations are generally stable post reduction

o Associated injuries with a posterior dislocation can result in poorer outcomes

Procedure

· Closed reduction of anterior SC dislocation

o Local anesthesia or procedural sedation may be used for analgesia at the provider’s discretion

§ Cardiopulmonary monitoring as indicated

o Place the patient supine on the gurney with a towel roll or firm pad in between the shoulder blades

o Technique

§ Bring the affected arm into 90° abduction and 10° extension

§ Apply traction to the affected arm

§ An assistant should provide a posterior force on to the medial aspect of the clavicle until the deformity has resolved

o After reduction is complete, place the patient in a valpeau bandage or figure-of-8 brace

Acromioclavicular injuries

Key facts

· Acromioclavicular (AC) injuries are the most common shoulder injuries in contact sports

· Type I AC injuries are radiographically normal and may be missed without an adequate physical examination

· Classification of injuries using the Rockwood classification can be helpful in determining management and prognosis (Table 2.2)

· Emergency department treatment should be focused on adequate pain control and a sling for comfort

· Early referral to an orthopedic surgeon is advised for Type III–VI injuries (Figure 2.5)

Table 2.2 Rockwood classification of AC injuries.



Abbreviations: AC, acromioclavicular; CC, coracoclavicular; CCD, coracoclavicular distance; D, deltoid attachment at clavicle; T, trapezius attachment at clavicle. *Management of Type III injuries is controversial. Non-operative management is most common but surgical management may be considered in some populations.

Reproduced with permission from Malik, et al. 2010.



Figure 2.5 Grade III AC separation. Note the elevation of the distal clavicle relative to the acromion suggestive of injuries to both the acromioclavicular and coracoclavicular ligaments. (Reproduced with permission of the Department of Emergency Medicine, Feinberg School of Medicine, Northwestern University.)

Clinical presentation

· Acromioclavicular injuries involve injuries to the acromioclavicular and coracoclavicular ligaments

· AC injuries are the most common shoulder injury in contact sports

· Mechanism of injury

o Fall directly on the adducted shoulder

o Fall on outstretched hand (FOOSH)

· Physical examination findings

o Tenderness over the acromioclavicular joint

o Pain with cross-arm abduction test

o Deformity may be apparent in higher-grade AC injuries

· A thorough neurovascular examination of the affected extremity is essential to exclude an associated neurovascular injury

Diagnostic testing

· The diagnosis of AC injuries is often apparent on physical examination

· Plain radiographs of the shoulder are the preferred test for further evaluation of suspected AC injuries and assist in identifying the severity of the injury

o Type I AC sprains will be radiographically normal

o Widening of the AC joint greater than 3 mm is suggestive of an acromioclavicular ligament injury

o Widening of the coracoclavicular distance greater than 13 mm is suggestive of a coracoclavicular ligament injury

PEARL: A normal shoulder film does NOT exclude the diagnosis of an AC sprain.

Classification

Treatment

· Emergency Department management for all AC injuries

o Adequate pain control

o Sling for comfort

o Early range of motion

o Restrict the patient from overhead activity

· Referral to an orthopedic specialist in 1–2 weeks

o Consider earlier referral for Type III–VI AC injuries as they may be candidates for operative repair

PEARL: Type III AC separations have controversial management and should be referred to an orthopedic surgeon for further evaluation.

Prognosis

· Recovery may be 2–6 weeks depending on the severity of injury

· The majority of patients with lower-grade AC injuries will have a complete recovery of prior function

Proximal humerus fractures

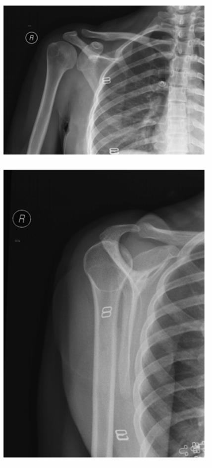
Key facts

· More than 80% of proximal humerus fractures are non-displaced (Figure 2.6) or minimally displaced and do not require surgery

· The rotator cuff tendons are at risk for concurrent injury given their insertion on to the greater and lesser tuberosities

· Early range of motion exercises improve functional recovery



Figure 2.6 Non-displaced proximal humerus fracture. (Reproduced with permission of the Department of Emergency Medicine, Feinberg School of Medicine, Northwestern University.)

Clinical presentation

· Proximal humerus fractures are the third most common fractures in the elderly

o Increased incidence with elderly age and female gender

· Mechanism of injury

o Fall on to an oblique angle on an outstretched hand

o Fall on to the shoulder from a standing height

o High-impact direct trauma to the shoulder in young patients

· Physical examination findings

o Distinct point of tenderness over the proximal humerus

o Painful range of motion

o Arm often held in slight abduction

o Deformity not often apparent

o A thorough neurovascular examination of the affected extremity is essential

§ Axillary nerve injuries are associated with displaced fractures or fracture–dislocations

§ Brachial plexus also at risk of injury

PEARL: Fractures of the anatomic neck compromise the blood supply to the humeral head and are at risk of avascular necrosis.

Diagnostic testing

· Plain radiographs are the test of choice to evaluate the shoulder

o AP view of the scapula and glenohumeral joint

o Axillary view and lateral Y-view of the scapula

· Findings

o Pseudo-subluxation of the humeral head inferiorly suggests hemarthrosis

o Greater tuberosity fractures are associated with anterior shoulder dislocations

§ Should raise suspicion for concurrent rotator cuff tear

Classification

Table 2.3 Neer classification of proximal humerus fractures.


Type

Description

1-part fractures

Non-displaced or minimally displaced

2-part fractures

A single segment is displaced*

3-part fractures

Surgical neck fracture with displaced fracture of one of the two tuberosities

4-part fractures

Surgical neck fracture with displaced fractures of both tuberosities*

Fracture–dislocations

Displacement of humeral head in addition to fracture fragments


The Neer classification separates the humerus into four anatomic parts based on old epiphyseal lines (anatomic neck, surgical neck, greater and lesser tuberosities). A fragment is defined as being displaced if separation is > 1 cm or angulation > 45°. *Note: Two-part anatomic neck fractures and four-part fractures are at highest risk for AVN.

Treatment

· Emergency department management

o Adequate pain control

o Immobilize with sling for 1–3 weeks

o Encourage early range of motion

o Urgent orthopedic consultation is advised for:

§ Anatomic neck fractures

§ Four-part fractures

§ Fracture/dislocations

· Long-term treatment

o Definitive treatment based primarily on the number of segments involved and degree of displacement

§ Non-displaced fractures managed conservatively with immobilization in a sling, early motion and orthopedic follow-up

§ Recovery may be 2–3 months

§ Multiple part fractures may benefit from operative management

§ Elderly patients may have acceptable results with non-operative treatment

PEARL: Early range of motion exercises can decrease pain and result in improved functional outcomes.

Prognosis

· The majority of patients have adequate recovery from proximal humerus fractures

Humeral shaft (diaphyseal) fractures

Key facts

· Humeral shaft fractures typically occur by direct trauma to the arm or shoulder in the middle-age population

· Humeral shaft fractures associated with an ipsilateral forearm fracture result in a floating elbow that requires urgent intervention

· Associated radial nerve injuries can lead to wrist drop

· Pain control and adequate immobilization are the key aspects to the emergent care of humeral shaft fractures

Clinical presentation

· Humeral shaft fractures are much less common than proximal humerus fractures

· Mechanism of injury

o Transverse fractures

§ Benign fall with a direct strike to the elbow producing a bending force

o Spiral fractures

§ Fall on to an outstretched hand with axial loading

· Physical examination findings

o Localized tenderness and swelling

o Painful deformed arm

o Arm shortening in the setting of displacement

§ Associated radial nerve palsy (wrist drop) occurs in 15–18%

§ Extension of the wrist and digits should be examined

PEARL: Perform a careful neurovascular examination. Radial nerve injury following a humerus shaft fracture may occur.

Diagnostic testing

· Plain radiographs are the preferred test for evaluation of suspected humeral shaft fractures (Figure 2.7A, B)

o AP and lateral views of the humerus

o Trans-thoracic and axillary views of the shoulder

o Both the shoulder and elbow should be visualized radiographically

PEARL: Consider additional forearm views to exclude concurrent fractures.



Figure 2.7 A: Humeral shaft fracture. B: Post-reduction film of a humeral shaft fracture stabilized in a coaptation splint. Note the persistent angulation and shortening. (Reproduced with permission of the Department of Emergency Medicine, Feinberg School of Medicine, Northwestern University.)

Treatment

· Emergency Department management

o Adequate pain control

o Fracture reduction is often not necessary, as reduction is difficult to maintain

§ 30–40° of angulation is acceptable because of the shoulder’s ability to compensate

o Immobilization can be achieved with a coaptation splint

§ Hanging cast may be considered

§ Sling and swathe may be acceptable alternative for non-displaced fractures in children and the elderly

o Majority of fractures are managed conservatively with orthopedic follow-up

PEARL: Floating elbow (ipsilateral humerus and forearm fracture) requires urgent ED orthopedic consultation and operative repair.

· Long-term management

o Majority of humeral shaft fractures are managed non-operatively with an expected recovery in 3–4 months

o Consider operative treatment for:

§ Unacceptable reduction

§ Radial nerve palsy

§ Floating elbow

§ Pathologic fractures

Prognosis

· The majority of patients have an excellent recovery from humeral shaft fractures

o Expected union rate > 90%

o 75–90% of radial nerve deficits recover after 3–4 months

Procedure

· Application of a coaptation splint (Figure 2.8)

o Supplies

§ 4-inch plaster

§ 4-inch WebrilTM or equivalent cotton padding

§ 4-inch elastic bandage

§ Scissors

§ Basin for water

§ Chux

§ Tape

§ Sling

o Technique

§ Place two to three layers of padding on the affected extremity, extending from the distal clavicle to the proximal forearm in the usual fashion

§ Prepare the plaster splint

§ Holding the arm abducted slightly, measure out an appropriate length plaster splint to extend from the axilla around the flexed elbow and up the lateral aspect of the arm covering the deltoid and acromion

§ Include eight to ten layers of plaster

§ Wet the plaster splint and remove excess water

§ Apply the plaster splint in a U-shaped manner surrounding the elbow and humerus, extending from the axilla medially to the deltoid and acromion on the lateral side

§ Secure the splint with an elastic bandage

§ Tape the superior-most aspect of the splint near the acromion

§ Place the affected arm in a sling



Figure 2.8 Application of a coaptation splint.

A: The cotton padding extends from the forearm to above the acromion. B: The splint material extends from the axilla medially in a U-shaped fashion around the flexed elbow to the acromion laterally. This will be secured with an elastic bandage and tape. (Reproduced with permission of the Department of Emergency Medicine, Feinberg School of Medicine, Northwestern University.)

Upper extremity nerve injuries

Key facts

· Injuries to upper extremity nerves may result in pain, paresthesias, and weakness

· The brachial plexus is formed by the C5–T1 cervical nerve roots and is the most common plexopathy

· Bilateral upper extremity neuropathic symptoms should be presumed to be caused by a cervical spine injury until proven otherwise

Clinical presentation

· Injuries to the upper extremity nerves often occur in combination with other traumatic injuries

· Patients complain of unilateral weakness and/or numbness

· Mechanism of injury

o Nerve injuries may occur by repetitive compression or direct trauma

o Brachial plexus injuries

§ Longitudinal stretching of the plexus caused by traction of the arm and opposite distraction of the head

§ Injury with the arm adducted to the side often leads to upper trunk injuries

§ Injury with the arm raised lends to lower trunk injuries

§ Motorcycle accidents (most common)

§ Contact sports such as football – “stinger” or “burner”

§ Neuropraxia from backpacks – “Rucksack palsy”

§ Direct blow to the supraclavicular region (Erb’s point)

o Axillary nerve injuries

§ Occurs in approximately 13.5% of glenohumeral dislocations

§ Surgical neck humeral fractures also at risk

· Physical examination findings

o Symptoms dependent on the nerve root distribution affected (see Table 2.4)

o Pain, paresthesias, and weakness may occur

PEARL: An ipsilateral Horner’s syndrome (ptosis, miosis, anhidrosis, enopthalmosis) may suggest a lower brachial plexus injury.

· Spurling’s test

· Axial loading of the head with the cervical spine extended and rotated toward the affected shoulder

o A positive test successfully reproduces the patient’s symptoms

o Helpful in identifying cervical root irritation

o Do not perform unless cervical spine injury has been excluded

· Motor and sensory testing of suspected nerves

· A vascular examination to exclude an associated vascular injury is imperative

PEARL: Bilateral symptoms should raise suspicion for a spinal cord injury.

Table 2.4 Upper-extremity nerve syndromes.



Several upper-extremity nerves and their representative muscles, motor and sensory functions are listed above.

Diagnostic imaging

· Diagnosis of upper extremity nerve injuries is clinical

· Plain radiographs may be helpful to exclude alternative etiologies of symptoms

o Cervical spine series

o Clavicle series

o Shoulder series

· CT or MRI should be performed as needed to exclude cervical spine injuries

· Further evaluation can be performed on an outpatient basis

o MRI

o CT myelography can assess cervical roots

o Electromyogram/nerve conduction velocity studies (EMG/NCV)

§ Can help localize nerve lesion

§ Perform at least 3 weeks after injury

Treatment

· Emergency Department management

o Most brachial plexopathies and peripheral nerve syndromes are managed conservatively

§ Initial rest followed by early range of motion

§ Anti-inflammatory agents

§ Moist heat

o Injuries due to cervical rib, mid-shaft clavicular fractures, or penetrating trauma should be referred for surgical evaluation

o Outpatient management

§ Referral to a specialist skilled in management of nerve injuries is recommended

§ Medical management with bracing and therapy can be trialed initially

§ Nerve transfers and root grafting may enhance outcomes in the reconstruction of brachial plexus injuries

Prognosis

· Prognosis is dependent on location and extent of nerve damage

· Athletic “stingers” have excellent outcomes with the majority of patients having a full return to function

· Pre-ganglionic injuries (proximal to the dorsal root ganglion) have poorer prognosis

Elbow dislocations

Key facts

· Most elbow dislocations are posterior, resulting from a fall on to an extended arm

· Simple dislocations can be reduced in the Emergency Department

· Patients should be observed in the ED for a few hours to monitor for delayed signs of vascular injury

· Stiffness and loss of full extension are the most common long-term deficits after this injury

Clinical presentation

· The elbow is the second most commonly dislocated major joint in the body

o > 90% are posterior

o Approximately 1/3 are associated with a fracture

· Mechanism of injury

o Posterior dislocation: fall on to an extended and abducted arm

o Anterior dislocation: high-energy force/mechanism to the posterior aspect of the flexed elbow

· Physical examination findings

o Patient usually in significant pain

o Elbow held in flexion and patient is unable to extend the forearm fully

o A prominent olecranon and effusion are often palpable

§ Deformity may be subtle

o Neuropraxia, typically of the ulnar nerve, may occur in approximately 20% of cases

§ Median nerve deficits should raise concern for arterial injury

PEARL: Have a high index of suspicion for injuries to the brachial artery and median nerve with anterior or open dislocations of the elbow.

Diagnostic testing

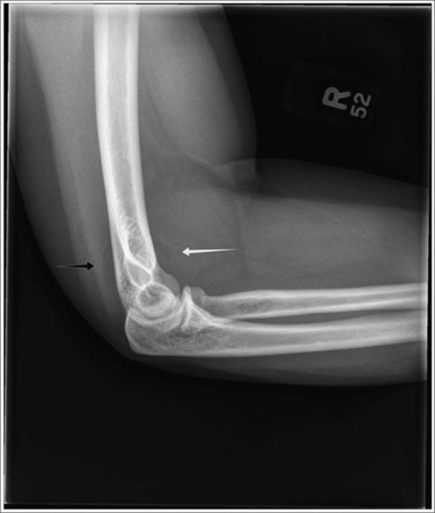
· Plain radiographs with a standard elbow series with AP and lateral projections are recommended (Figure 2.9)



Figure 2.9 Posterior elbow dislocation. (Reproduced with permission of the Department of Emergency Medicine, Feinberg School of Medicine, Northwestern University.)

Classification

· Simple: no associated fracture

· Complex: dislocation with associated fracture

o Terrible triad: dislocation with coronoid process fracture and radial head fracture

Treatment

· Emergency Department management

o Adequate analgesia should be provided

§ Procedural sedation

§ Intra-articular anesthetic injections

o Emergent orthopedic consultation is recommended for

§ Open dislocations

§ Anterior dislocations

§ Complex dislocations

§ Neurovascular compromise

o Emergent vascular surgery consultation should be obtained for any patient with signs of a vascular injury

o Simple posterior dislocations

§ Reduce the elbow

§ Place a long-arm posterior splint and sling

§ Obtain post-reduction films

§ Failure at closed reduction may suggest bone or nerve entrapment

PEARL: Patients should be observed post reduction for a few hours to detect delayed signs of a vascular injury or evolving compartment syndrome.

· Long-term management

o Orthopedic follow-up is suggested for all elbow dislocations

o Complex dislocations are often managed surgically

o Simple dislocations typically treated non-operatively

§ Short-term (1 week) immobilization followed by early range of motion

§ Immobilization longer than 3 weeks results in poorer outcomes

Prognosis

· 95% of patients are able to return to their previous job and functional status

o Many patients will experience loss of full extension by approximately 10–20° and some mild loss of full flexion

o Recurrent dislocations are uncommon

Procedure

· Reduction of posterior elbow dislocation

o Place the patient in the supine position on the stretcher

o An assistant should provide counter-traction to the humerus

o The operator should hold the patient’s wrist with one hand and stabilize the olecranon with the other hand

§ With the forearm supinated and in 30° flexion, the operator should pull in-line traction on the forearm

§ The hand on the olecranon should provide medial or lateral translation of the olecranon as appropriate

§ Reduction is often felt with a palpable clunk

o If difficulty arises, additional forearm flexion or manual manipulation of the olecranon with the second hand may be helpful

o If reduction is unsuccessful, there may be entrapment of the medial epicondyle or an osteochondral fragment

§ Orthopedic consultation is advised

o Post-reduction management

§ Check range of motion to ensure stability

§ Place a long-arm posterior splint with the elbow in flexion and supination

§ Obtain a post-reduction radiograph

Nursemaid’s elbow

Key facts

· Radial head subluxation (also commonly referred to as nursemaid’s elbow or pulled elbow) occurs almost exclusively in young children

· Radiographs are not necessary for patients with a classic presentation

· Counseling parents on how to avoid recurrent episodes is essential

· The hyperpronation method for reduction has excellent first-attempt success rates

Clinical presentation

· The “nursemaid’s elbow” refers to a subluxation of the radial head

o The annular ligament slides over the radial head and becomes interposed between the radial head and capitellum

· Typically occurs in children 1–4 years of age

· History can be very vague

o Child may refuse to use the arm

o No trauma is recalled but may be presumed by the parents

o Specific questioning about the circumstances may suggest the classic mechanism

· Mechanism of injury is a sudden pulling of the extended and pronated arm

o E.g., parent tugs on child’s outstretched forearm while walking

· Physical examination findings:

o Child usually holds arm in slight flexion and pronation

§ Refuses to use the arm

§ Parents often assume a wrist or elbow injury

§ The child should not be focally tender on palpation

§ No external signs of trauma are visible

Diagnostic testing

· History and physical examination are all that is necessary in the majority of cases

· Plain radiographs should be performed to exclude fracture if there is uncertainty regarding the diagnosis or suspicion for a fracture

o Radiographic findings for nursemaid’s elbow are non-specific

o Reduction often occurs from the positioning required to obtain the films

Treatment

· Emergency Department management

o Reduction (may be performed prior to radiographs if classic presentation)

§ Two common methods

§ Supination/flexion method

§ Hyperpronation method

§ Both with high success rates

· Hyperpronation with greater success on first attempt

o Reduction generally felt with a click

o > 90% positive success rate

o No immobilization is necessary

o Observe the child for 15–30 minutes post reduction

o Consider alternative diagnosis if the child does not return to normal use of the extremity without limitation

o Obtain radiographs if reduction is difficult or if the child does not regain use after reduction

o If unable to reduce, orthopedic consultation is advised

§ Place a sling or long-arm posterior splint

o Counsel the parents on how to avoid recurrent episodes in the future

PEARL: Care should be taken to evaluate for signs of other common injuries such as supracondylar fractures prior to attempting a nursemaid’s reduction.

Prognosis

· Long-term prognosis is excellent

o The annular ligament gains strength with age

o Recurrence unlikely after age 5

Procedures

· Reduction of a nursemaid’s elbow

o Supination/flexion method

§ Grasp the child’s wrist with one hand and the elbow with the other hand

§ Flex the elbow to 90°

§ Gently supinate the wrist 90°

§ Flex at the elbow further, bringing the wrist up to the shoulder

§ Reduction is usually felt with a click

o Hyperpronation method (Figure 2.10)

§ Grasp the child’s wrist with one hand and the elbow with the other hand

§ Flex the elbow slightly

§ Gently hyperpronate the wrist

§ Reduction is usually felt with a click



Figure 2.10 Hyperpronation technique for reduction of a nursemaid’s elbow.

Grasp the child’s wrist with one hand and the elbow with the other hand. Flex the elbow slightly and gently hyperpronate the wrist until a click is felt. (Reproduced with permission of the Department of Emergency Medicine, Feinberg School of Medicine, Northwestern University.)

Epicondylitis

Key facts

· Lateral epicondylitis or “tennis elbow” is an overuse injury of the forearm extensor and supinator muscles

· Medial epicondylitis or “golfer’s elbow” is an overuse injury of the forearm flexor and pronator muscles

· Conservative management with rest, icing and anti-inflammatories is adequate in most cases

· Patients should be counseled on preventative measures such as proper technique and equipment usage to reduce recurrence and morbidity

· Corticosteroid injections may be considered

Clinical presentation

· Lateral epicondylitis

o Overuse tendinopathy of the extensor muscles originating at the lateral epicondyle

§ Caused by microscopic tearing at the origin of the extensor carpi radialis brevis (ECRB)

o Results from repetitive movement

§ Tennis players

§ Repetitive lifting > 1 kg

o Physical exam findings

§ Maximal tenderness 5–10 mm distal to the lateral epicondyle, in the area of the ECRB muscle

§ Pain near lateral epicondyle with resisted wrist and long finger extension

§ Chair raise test

§ Patient stands behind chair

§ Attempts to raise it by putting their hands on the top of the chair back and lifting

§ Pain is a positive finding

o Medial epicondylitis

§ Overuse tendinopathy of the origin of the forearm flexor muscles at the medial epicondyle

§ Results from repetitive movement

§ Golfing

§ Throwing sports

§ Bowling

§ Weight lifting

§ Patients often describe pain in the acceleration phase of throwing

§ Physical exam findings

§ Tenderness over the medial epicondyle

§ Pain with resisted flexion and pronation of the forearm and wrist

PEARL: Medial epicondylitis is associated with an ulnar neuropathy in 20% of cases.

Diagnostic testing

· Epicondylitis is a clinical diagnosis

· Plain radiographs can be helpful to exclude alternative etiologies of pain

o Calcifications in the degenerative tissue may be present near the epicondyles in up to 20–30% of cases

Treatment

· Conservative treatment is adequate for most cases in the Emergency Department

o Rest from repetitive motion

o Icing

o Non-steroidal anti-inflammatories (NSAIDS)

o Bracing31

§ Lateral epicondylitis

§ Wrist extension splint

§ Counter-force strap brace – placed around the muscle bellies of the wrist extensors just distal to the elbow

§ Medial epicondylitis

§ Counterforce strap brace

o Corticosteroid injection may be considered for short-term relief of symptoms in refractory cases

§ The long-term benefits of corticosteroid injections are questionable

§ Orthopedic referral for follow-up in 1–2 weeks is advised

§ Alternative outpatient treatments include

§ Physical therapy

§ Surgical interventions

§ Newer potential therapies

§ Platelet-rich plasma (PRP) injections

§ Prolotherapy Injection of an otherwise non-pharmacological and non-active irritant solution into the region of tendons or ligaments for the purpose of strengthening weakened connective tissue and alleviating musculoskeletal pain

Prognosis

· 70–80% patient’s symptoms will resolve at 1 year without surgical intervention

Procedure

· Corticosteroid injection for lateral epicondylitis

o Supplies needed

§ 3 cc syringe

§ 1–18-gauge needle

§ 1–22-gauge needle

§ 1–2 ml of 1% lidocaine

§ 20–30 mg of methylprednisolone or 20 mg of triamcinolone

§ Sterile gauze

§ Chlorhexidine or betadine scrub

§ Sterile gloves

o Technique

§ Place the patient in the seated position with the arm pronated and elbow flexed at 90°

§ Palpate the lateral epicondyle

§ Sterile prep the region with chlorhexidine or betadine scrub

§ Draw 1–2 cc of 1% lidocaine and 20 mg of triamcinolone (or equivalent steroid) into the 3 cc syringe

§ Using 22-gauge needle, inject the contents of the syringe at the site of maximal tenderness just distal to the lateral epicondyle

§ Injection should be careful to avoid injection directly into the tendon

· The technique for medial epicondylitis is similar but extra care should be taken to avoid injection into the ulnar nerve which courses adjacent to the medial epicondyle

Radial head fractures

Key facts

· Radial head fractures are the most common fracture of the elbow in adults

· Non-displaced radial head fractures may be difficult to see on initial radiographs

· Closed reduction and prolonged immobilization may result in stiffness and loss of function in the elbow

· Open reduction and internal fixation is currently the treatment of choice for unstable and displaced radial head fractures

Clinical presentation

· Radial head fractures account for 33% of elbow fractures

· In conjunction with the medial collateral ligament (MCL), the radial head serves to stabilize the elbow against valgus stress and longitudinal forces

· Mechanism of injury

o Fall on to an outstretched hand with a pronated forearm or elbow in slight flexion

o Direct blow to the lateral elbow

· Physical examination findings

o Tenderness over the radial head distal to the lateral epicondyle

o Pain over the lateral elbow with pronation/supination of the forearm

o Decreased range of motion

o It is important to check for associated injuries

§ Posterior interosseus nerve (radial)

§ May occur with displaced fractures

§ Examine for inability to extend fingers

§ MCL instability

§ Perform valgus stress test with elbow at 30° of flexion

§ Distal radioulnar joint (DRUJ) injury – (Essex–Lopresti)

§ Tenderness over distal radius/ulnar articulation

Diagnostic testing

· Plain radiographs are the test of choice

o Standard series includes AP and lateral views

o Additional views include oblique and radial head–capitellum views

· Radiographic findings

o Fractures of the radial head are often not readily apparent on the plain film

o Secondary signs of fracture include

§ Displaced anterior fat pad – sail sign

§ Posterior fat pad

§ Displacement of fat pads suggest an effusion commonly caused by a fracture in the setting of an acute injury

PEARL: Ensure that the radial head aligns with the capitellum on all views as disruption of the radiocapitellar line is suggestive of a radial head dislocation.

Classification

· Mason classification system

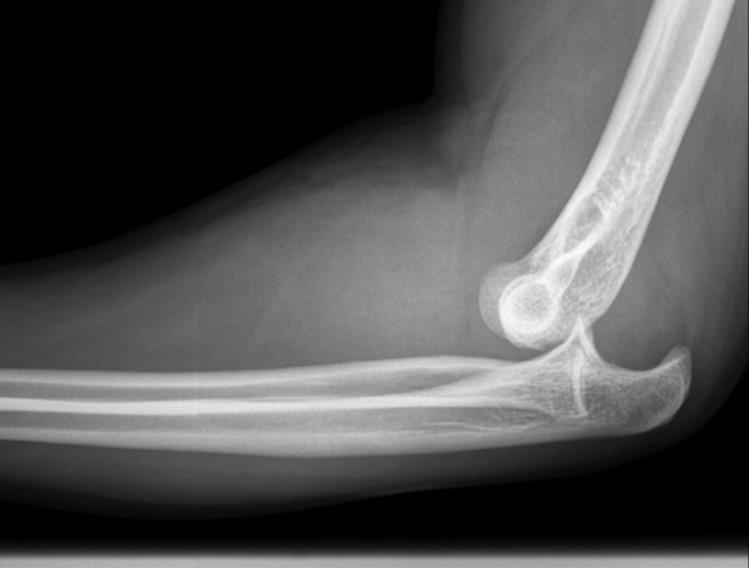
o Type I: fractures without displacement (62%) (Figure 2.11)

o Type II: fractures with displacement (20%)

o Type III: comminuted fractures involving the entire head (18%)

o Type IV: radial head fracture with elbow dislocation



Figure 2.11 Mason Type I fracture of the radial head. Note the presence of a posterior fat pad and a displaced anterior fat pad suggestive of an effusion and occult fracture. Upon close inspection, a radial head fracture is noted. (Reproduced with permission of the Department of Emergency Medicine, Feinberg School of Medicine, Northwestern University.)

Treatment

· Emergency Department management

o Adequate pain control

o Non-displaced (Type I) fractures

§ May be placed in a sling or posterior mold splint in ED

§ Early mobilization

§ Motion within 2 days shown to have better outcomes with improved range of motion and functional recovery

§ Referral to orthopedic specialist

o Mason Type II and III fractures

§ Place posterior mold splint

§ Early referral to orthopedics

§ Minimally displaced Mason Type II fractures may be treated conservatively with early motion

§ Displaced (> 2 mm or angulation > 30°) or comminuted fractures typically should be considered for surgical repair

· Long-term management

o Non-displaced fractures

§ Early motion

§ Functional bracing

§ Physical therapy

o Displaced and comminuted fractures

§ Mechanical stability with anatomic reduction and stable internal fixation minimizes long-term complications

§ ORIF preferential in most cases

Prognosis

· Bony union is generally achieved in 6–8 weeks

· Non-displaced fractures have an excellent prognosis

· Elbow stiffness and loss of full extension are the most common complications after radial head fracture

o More common in displaced or comminuted fractures

References

Beaty JH. Humeral shaft fractures. In: Orthopaedic Knowledge Update. Rosemont, IL: American Academy of Orthopaedic Surgeons. 1999; pp. 278–86.

Bek D, Yildiz C, Kose O, Sehirlioglu A, Basbozkurt M. Pronation versus supination maneuvers for the reduction of “pulled elbow”: a randomized clinical trial. Eur J Emerg Med. 2009;16(3):135–8.

Bertelli JA, Ghizoni MF. Nerve root grafting and distal nerve transfers for C5–C6 brachial plexus injuries. J Hand Surg Am. 2010;35(5): 769–75.

Birch R. Injuries to the brachial plexus. Neurosurg Clin North Am. 2001; 12:285.

Black WS, Becker JA. Common forearm fractures in adults. Am Fam Physician. 2009;80(10):1096–102.

Brody, Jane E. “Injections to Kick-Start Tissue Repair”. New York Times. Retrieved 2012–06-18. “Prolotherapy involves a series of injections designed to produce inflammation in the injured tissue”.

Carter SJ, Germann CA, Dacus AA, Sweeney TW, Perron AD. Orthopedic pitfalls in the ED: neurovascular injury associated with posterior elbow dislocations. Am J Emerg Med. 2010;28(8):960–5.

Clough TM, Bale RS. Bilateral posterior shoulder dislocation: the importance of the axillary radiographic view. Eur J Emerg Med. 2001;8(2):161–3.

Cole PA Scapular fractures. Orthop Clin North Am. 2002;33:1.

Ferrera PC, Wheeling HM. Sternoclavicular joint injuries. Am J Emerg Med. 2000;18:58.

Foster RJ, Dixon GL Jr, Bach AW, et al. Internal fixation of fractures and non-unions of the humeral shaft: indications and results in a multi-center study. J Bone Joint Surg Am. 1985;67(6):857–64.

Garg, R, Adamson GJ, Dawson PA, Shankwiler JA, Pink MM. A prospective randomized study comparing a forearm strap brace versus a wrist splint for the treatment of lateral epicondylitis. J Shoulder Elbow Surg. 2010:19(4):508–12.

Hartsock LA. Humeral shaft fractures. In: Levine AM, ed. Orthopaedic Knowledge Update, Trauma. Rosemont, IL: American Academy of Orthopaedic Surgeons. 1999; pp. 23–32.

Hildebrand KA, Patterson SD, King GJ. Acute elbow dislocations: simple and complex. Orthop Clin North Am. 1999;30(1):63–79.

Kohn HS. Prevention and treatment of elbow injuries in golf. Clin Sports Med. 1996:15(1):65–83.

Kontakis G, Koutras C, Tosounidis T, Giannoudis P. Early management of proximal humeral fractures with hemiarthroplasty: a systematic review. J Bone Joint Surg Br. Nov 2008;90(11):1407–13.

Lefevre-Colau MM, Babinet A, Fayad F, et al. Immediate mobilization compared with conventional immobilization for the impacted nonoperatively treated proximal humerus fracture: a randomized controlled trial. J Bone Joint Surg Am. 2007:89(12):2582–90.

MacDonald PB, Lapionte P. Acromioclavicular and sternoclavicular injuries. Orthop Clin North Am. 2008;39:535–45.

Macias CG, Bothner J, Wiebe R. A comparison of supination/flexion to hyperpronation in the reduction of radial head subluxations. Pediatrics. 1998;102(1): e10.

Malik S, Chiampas G, Leonard H. Emergent evaluation of injuries to the shoulder, clavicle and humerus. Emerg Med Clin North Am. 2010;28(4):739–63.

Marinelli M, de Palma L. The external rotation method for reduction of acute anterior shoulder dislocations. J Orthop Traumatol. 2009;10(1):17–20.

Mason ML. Some observations on fractures of the head of the radius with a review of one hundred cases. Br J Surg. 1954;42:123–32.

McCabe MP, Savoie FH 3rd. Simple elbow dislocations: evaluation, management, and outcomes. Phys Sportsmed. 2012;40(1):62–71.

Morrey BF. Radial head fracture. In: The Elbow and Its Disorders. 3rd edn. Philadelphia, PA: Saunders. 2000.

Neal S, Fields KB. Peripheral nerve entrapment and injury in the upper extremity. Am Fam Physician. 2010;81(2):147–55.

Neer CS 2nd. Displaced proximal humerus fractures. I. Classification and evaluation. J Bone Joint Surg Am. 1970;52(6):1077–89.

Paschos NK, Mitsionis GL, Vasiliadis HS, Georgoulis AD. Comparison of early mobilization protocols in radial head fractures. A prospective randomized controlled study. The effect of fracture characteristics on outcome. J Orthop Trauma. 2012. E-publication ahead of print.

Plancher KD, Halbrecht J, Lourie GM. Medial and lateral epicondylitis in the athlete. Clin Sports Med. 1996;15(2):283–305.

Robinson CM, Jenkins PJ, Markham PE, et al. Disorders of the sternoclavicular joint. J Bone Joint Surg Br. 2008;90(6):685–96.

Robinson CM, Shur N, Sharpe T, Ray A, Murray IR. Injuries associated with traumatic anterior glenohumeral dislocations. J Bone Joint Surg Am. 2012;94(1):4.

Stayner LR, Cummings J, Andersen J, Jobe CM. Shoulder dislocations in patients older than 40 years of age. Orthop Clin North Am. 2000;31(2);231–9.

Terzis J, Papakonstantinou K. The surgical treatment of brachial plexus injuries in adults. Plast Reconstr Surg. 2000;106:1097.

Thompson DA, Flynn TC, Miller PW, Fischer RP. The significance of scapular fractures. J Trauma. 1985;25(10):974–7.

Ufberg JW, Vilke GM, Chan TC, et al. Anterior shoulder dislocations: beyond traction–countertraction. J Emerg Med. 2004;27(3):301–6.

Zlodowski M, Bhandari M, Zelle BA, Kregor PJ, Cole PA. Treatment of capular fractures: systematic review of 520 fractures in 22 case series. J Orthop Trauma. 2006;20(3):230–3.

Zlowodzki M, Zelle BA, Cole PA, et al. Evidence-Based Orthopaedic Trauma Working Group: Treatment of acute mid-shaft clavicle fractures: systematic review of 2144 fractures; on behalf of the Evidence-Based Orthopaedic Trauma Working Group. J Orthop Trauma. 2005;19:504–7.



If you find an error or have any questions, please email us at admin@doctorlib.org. Thank you!