DEBRA BOYER
TREGONY SIMONEAU
HISTORY OF PRESENT ILLNESS
The patient is a 15-year-old boy with a history of asthma and chronic sinusitis who presented with a 2-day history of shortness of breath and chest pain. He described the pain as an ache with an occasional squeezing feeling. He developed wheezing which required increasing use of his Albuterol inhaler. However, this did not relieve his symptoms. He also developed a productive cough. His mother believed that he had increasing fatigue since the morning of his presentation, as well as a decreased appetite. He denied fever, vomiting, or diarrhea.
MEDICAL HISTORY
The boy had asthma diagnosed at the age of 7 years, requiring multiple emergency department visits and hospitalizations. Two years prior he had one asthma admission which lasted for 1 week. He has never required endotracheal intubation or intensive care unit hospitalization. He had recently been started on a leukotriene inhibitor for his asthma. Many of his prior admissions for asthma exacerbations have included cardiology evaluations for chest pain. He also has a history of chronic sinusitis requiring six sinus surgeries during the last 3 years, as well as a somatization disorder diagnosed by psychiatry. His daily medications included montelukast and inhaled fluticasone and albuterol as needed.
The patient was recently admitted to the hospital for an asthma exacerbation and gastroenteritis. During that admission, he was seen by cardiology for bradycardia and chest pain. An echocardiogram at that time revealed a shortening fraction of 26% and a left ventricular end-diastolic pressure of 5.5 mmHg. A Holter monitor and exercise test were both normal.
PHYSICAL EXAMINATION
T 37.0°C; HR 110/min; RR 26/min; BP 85/60 mmHg; Oxygen saturation, 91% in room air
In general, he was an uncomfortable boy in moderate respiratory distress. He was short of breath and only able to speak in fragmented sentences. He was sitting up for comfort. His oropharynx was dry. His chest examination revealed that he had diffuse rales and wheezes with fair aeration throughout. His cardiac examination indicated an active precordium, tachycardia with regular rhythm. There were no murmurs or rubs noted. An intermittent gallop was appreciated. His liver was palpable 3 cm below the right costal margin. His extremities were cool with weak pulses and slightly delayed capillary refill.
DIAGNOSTIC STUDIES
Laboratory analysis revealed 7500 WBCs/mm3. Electrolytes, blood urea nitrogen, creatinine, and liver function tests were all within normal limits. Electrocardiogram revealed a normal sinus rhythm at a rate of 100 bpm. There was possible right atrial enlargement and some ST segment depression.
COURSE OF ILLNESS
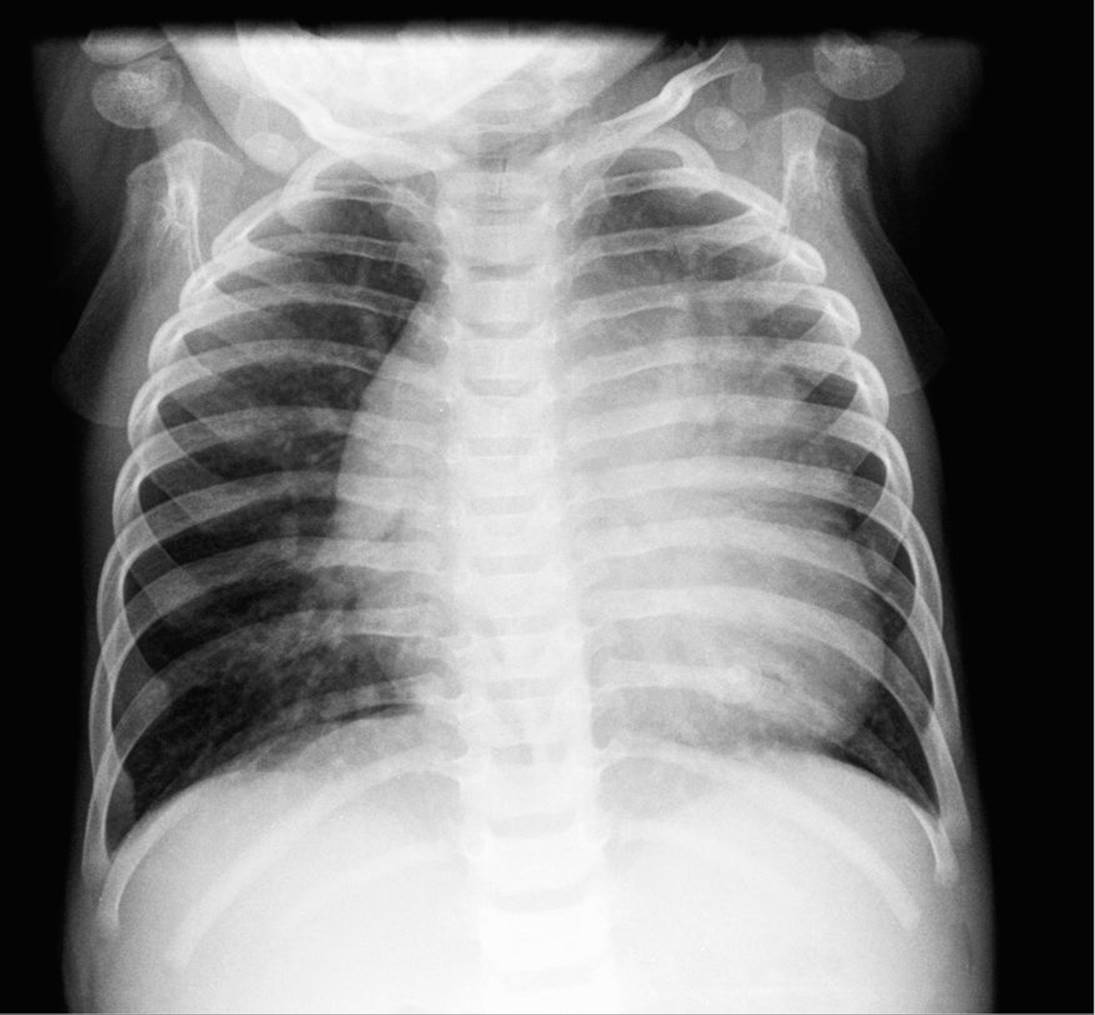
A chest roentgenogram suggested the diagnosis (Figure 14-8).

FIGURE 14-8. Chest radiograph revealing cardiomegaly and pulmonary edema.
DISCUSSION CASE 14-6
DIFFERENTIAL DIAGNOSIS
The most common causes for chest pain in the adolescent age group are cough, asthma, pneumonia, musculoskeletal, and idiopathic. With this patient’s medical history of asthma, it is natural for asthma to be the initial focus of concern. However, the patient’s physical examination was not consistent with an asthma exacerbation, and therefore, other diagnoses were appropriately considered.
The concerning features on this patient’s physical examination included signs of congestive heart failure: bilateral rales, a gallop, and a palpable liver edge 3 cm below the right costal margin. Furthermore, his shortness of breath was significantly worse while lying down. Dyspnea with an asthma exacerbation is not generally positional in nature to this extent.
Thus, the differential diagnosis for heart failure in this adolescent would include (1) congenital heart disease from pressure overload (e.g., aortic stenosis), or volume overload (e.g., aortic regurgitation, arrhythmias), (2) acquired heart disease (e.g., myocarditis, cardiomyopathy, (3) pericarditis, (4) cor pulmonale, endocarditis), (5) hypoglycemia, (6) storage diseases, and (7) ingestions such as cardiac toxins (e.g., digitalis) and arrythmogenic drugs (e.g., tricyclic antidepressants).
DIAGNOSIS
The boy’s chest roentgenogram revealed pulmonary edema with massive cardiomegaly (Figure 14-8). An echocardiogram was performed and demonstrated a shortening fraction of less than 20% with left-ventricular end diastolic pressure of 6.4 cm. The left ventricle was noted to be dilated. The diagnosis is a dilated cardiomyopathy. He was initially treated with intravenous furosimide. He was then started on a milrinone infusion. Multiple laboratory studies were sent including infectious serologies and thyroid function tests which did not reveal an etiology for his cardiomyopathy. Ultimately, a cardiac catheterization was performed which revealed a cardiac index of 2.81 and superior vena cava saturation of 75%. An endomyocardial biopsy was performed which demonstrated an eosinophilic and monocytic infiltrate.
INCIDENCE AND EPIDEMIOLOGY
By definition, cardiomyopathy is a structural or functional abnormality of the ventricular myocardium which does not involve coronary artery disease, hypertension, valvular, or congenital heart disease. Cardiomyopathy in children can be divided into primary and secondary forms. Primary cardiomyopathies are either dilated, hypertrophic, restrictive, or arrhythmogenic. Dilated cardiomyopathy occurs in 40/100 000 people. Secondary cardiomyopathies can occur as a result of multiple etiologies including infection, metabolic disorders, general systemic diseases, hereditary forms, and toxins. Table 14-7summarizes the known causes of dilated cardiomyopathy.
TABLE 14-7. Known causes of dilated cardiomyopathies.

This patient presented with a dilated cardiomyopathy with no definitive etiology. Two-thirds of children with primary dilated cardiomyopathy have an idiopathic etiology. For patients with dilated cardiomyopathy, the 1-year risk of death or transplantation is approximately 30% and the 5-year risk is approximately 40%. Aside from idiopathic, the most common causes of dilated cardiomyopathy in children include myocarditis and neuromuscular diseases.
CLINICAL PRESENTATION
Patients with a dilated cardiomyopathy will most commonly have an insidious onset to their symptoms. The most common complaints in adolescents include shortness of breath and poor exercise tolerance which are the result of decreased cardiac output and pulmonary edema. It is important to note that infants will not be able to complain of these same symptoms. Thus, their presentation will often include more subtle symptoms including tachypnea, irritability, and difficulty with feeding. Seventy-one percent of children with dilated cardiomyopathy present with congestive heart failure at diagnosis.
Patients will often be tachycardic, tachypneic, and nervous. Hypotension may be seen with poor cardiac output and fever may indicate an infection that has brought the patient to medical attention. Quite often, patients will have orthopnea, preferring to remain in the upright position. With pulmonary edema, many patients will wheeze, but will be unresponsive to traditional asthma therapies.
On chest wall palpation, one may find a laterally displaced point of maximal impulse. With auscultation of the cardiac sounds, one may appreciate a prominent pulmonic segment of the second heart sound and/or a gallop. With congestive heart failure, many patients will have a liver edge that is abnormally below the right costal margin.
DIAGNOSTIC APPROACH
Chest roentgenogram. Patients will generally have an increased heart size noted. This is secondary to left-sided dilation. Accompanying signs include pulmonary edema and possibly pleural effusions.
Electrocardiogram. Sinus tachycardia is the most common finding, with supraventricular or ventricular tachycardia possible as well. Signs of left ventricular hypertrophy and nonspecific ST-segment and T-wave abnormalities may also be seen.
Echocardiogram. The left atrium and left ventricle are generally noted to be enlarged. There may be increased end-diastolic and systolic volumes. Poor wall movement may be seen secondary to ischemic injury. With this imaging modality, pericardial, and pleural effusions may also be noted.
Cardiac catheterization. One can obtain hemo-dynamic data on pressures in the aorta, left ventricle, pulmonary capillary wedge, and pulmonary artery. The cardiac output can be calculated and will be decreased. An endomyocardial biopsy can be performed and may be useful to determine the etiology for the cardiomyopathy.
TREATMENT
Inotropic agents such as the sympathomimetic drugs dopamine, dobutamine, and epinephrine are often required to support the poor cardiac output. Milrinone and amrinone are inotropes as well that can be used to treat patients with signs of congestive heart failure. Digoxin is used for long-term therapy and increased cardiac contractility.
Since fluid overload is quite common in this clinical scenario, diuretics such as furosemide are often necessary. Peripheral vasodilators including nitroprusside and hydralazine may be used to decrease afterload and thus increase cardiac output. ACE inhibitors can have similar effects to reduce afterload.
With dilation of the cardiac chambers, the patient is at risk for thrombus formation. Anticoagulation or antiplatelet drugs should be considered. Certainly, if the underlying etiology of the cardiomyopathy is determined, a more specific therapy may be warranted.
Finally, in severe cases, cardiac transplantation is required. It is difficult to determine which children/adolescents should be considered for transplantation. Certainly, those children who are still quite ill despite maximal intervention should have this option explored.
SUGGESTED READINGS
1. Gewitz MH, Woolf PK. Cardiac emergencies. In: Fleisher GR, Ludwig S, eds. Textbook of Pediatric Emergency Medicine. 6th ed. Philadelphia: Lippincott Williams & Wilkins; 2010:690-729.
2. Spencer CT. Dilated cardiomyopathy and myocarditis. In: Lai WW, Mertens LL, Cohen MS, Geva T, eds. Echocardiography in Pediatric and Congenital Heart Disease: From Fetus to Adult. Hoboken: Wiley-Blackwell; 2009:558-580.
3. Towbin JA, Bowles NE. Cardiomyopathy. In: McMillan JA ed. Oski’s Pediatrics 4th ed. Philadelphia: Lippincott Williams & Wilkins; 2006:1606-1614.
4. Olson TM, Hoffman TM, Chan DP. Dilated congestive cardiomyopathy. In: Driscoll DJ, eds. Moss and Adams’ Heart Disease in Infants, Children, and Adolescents. 7th ed. Philadelphia: Lippincott Williams & Wilkins; 2008:1195-1206.
5. Wilkinson JD, Landy DC, Colan SD, et al. The Pediatric cardiomyopathy registry and heart failure: key results from the first 15 years. Heart Fail Clin. 2010;6(4):401-413.