STACEY R. ROSE
HISTORY OF PRESENT ILLNESS
The patient is a 1-day-old girl in the newborn nursery. The baby was born the previous night at term by vaginal delivery. This morning, the nurses noted that she appeared jaundiced. She has some nasal congestion since birth but is otherwise doing well. She is bottle-feeding, taking 1-2 oz of formula every 2-3 hours with normal urine and stool patterns. She is afebrile.
MEDICAL HISTORY
The baby was born at 37 2/7 weeks by a precipitous vaginal delivery to a 20-year-old G5P3 mother. Apgar scores at 1 and 5 minutes were 9 and 9, respectively. The patient’s mother did not receive any prenatal care and all prenatal laboratories are unknown, except for her blood type which is A+. There were no known complications during pregnancy. Since the delivery was precipitous, she did not receive antibiotics prior to giving birth. She was afebrile at delivery and rupture of membranes occurred 4 hours prior.
PHYSICAL EXAMINATION
T 36.7°C; HR 146 bpm; RR 42/min; BP 89/46 mmHg; Pulse oximetry 100%; Weight 2.77 kg (10th percentile); Length 47 cm (10th percentile); Head Circumference 32 cm (5th percentile)
The patient is awake and alert. On HEENT examination, she has a flat, open anterior fontanelle, scleral icterus, and clear rhinorrhea. Her cardiac and lung examinations are within normal limits. Abdominal examination reveals a liver edge palpable 3 cm below the costal margin and a spleen palpable 1 cm below the costal margin. Her abdomen is otherwise soft, nontender, and nondis-tended with normoactive bowel sounds. The skin examination is significant for jaundice and erythematous peeling skin at her palms and soles but no other rash or petechiae. She has prominent axillary lymphadenopathy. While examining her extremities, she becomes irritable during palpation of her right arm and that she has little spontaneous movement of her arms or legs. However, there is no swelling or bruising along the extremities and she has full range of motion of all joints.
DIAGNOSTIC STUDIES
Complete blood count: WBCs, 29 000/mm3 (neutrophils 37%, bands 15%, lymphocytes 37%); hemoglobin, 12.7 g/dL; platelets, 48 000/mm3. Serum electrolytes: sodium, 136 mEq/L; potassium, 3.5 mEq/L; chloride, 105 mEq/L; bicarbonate, 22 mEq/L; blood urea nitrogen, 20 mg/dL; creatinine, 0.7 mg/dL; glucose, 72 mg/dL; calcium, 9.6 mg/dL. Liver function tests: total bilirubin, 4.1 mg/dL; direct bilirubin, 1.1 mg/dL; total protein, 7.1 mg/dL; albumin, 3.5 mg/dL; AST, 14 U/L; ALT, 47 U/L; alkaline phosphatase, 316 U/L.
COURSE OF ILLNESS
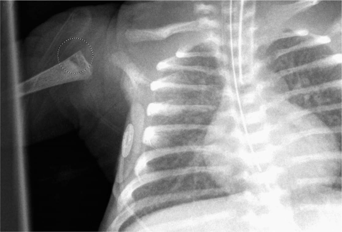
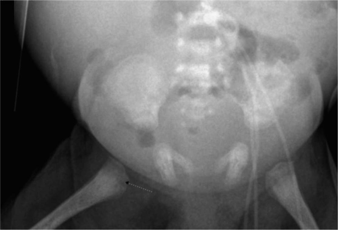
During the assessment, a rash noted on the mothers hands strongly suggested the infant’s diagnosis (Figure 15-1). Radiographs of the infant’s humerus (Figure 15-2) and femur (Figure 15-3) were also consistent with the diagnosis. The infant was admitted to the neonatal intensive care unit for additional diagnostic testing and treatment.

FIGURE 15-1. Rash on the hands of the patient’s mother.

FIGURE 15-2. There are areas of metaphyseal lucency in the proximal humerus.

FIGURE 15-3. There are areas of metaphyseal lucency in the proximal femur.
DISCUSSION CASE 15-1
DIFFERENTIAL DIAGNOSIS
The patient had an unconjugated hyperbilirubinemia with otherwise normal liver function tests. While many term infants develop physiologic jaundice within the first 24 hours of life, the presence of hepatosplenomegaly and thrombocytopenia should raise immediate concern for a pathologic process. Jaundice, hepatomegaly, and splenomegaly may be caused by congenital infections, often referred to as the TORCH infections; these infections can be acquired either in utero or during birth (Table 15-2). Given the lack of prenatal care, this patient is at particular risk for some of these conditions such as syphilis, HIV, and viral hepatitis. Sepsis and urinary tract infections can also cause an unconjugated hyperbilirubinemia, hepatomegaly, and thrombocytopenia and should be considered. Since the patient did not have a conjugated hyperbilirubinemia, anatomical or obstructive causes of hepatosplenomegaly, like biliary atresia, and metabolic processes, such as galactosemia, are less likely.
TABLE 15-2. TORCH infections.

DIAGNOSIS
The mothers’ hand revealed a pink, elliptical macules (Figure 15-1); the central area was darker than the periphery, which blended into the surrounding skin. The reddish hue, due to localized hyperemia, is characteristic of early secondary syphilis. Laboratory testing was significant for an RPR of 1:8 in the mother and 1:64 in the baby. These positive tests were confirmed with a positive Treponema pallidumparticle agglutination (TP-PA) assay. The infant received a lumbar puncture to evaluate for neurosyphilis. CSF protein and cell count were normal and CSF Venereal Disease Research Laboratory (VDRL) test was 1:8. She had a liver ultrasound that showed a homogenous enlarged liver and spleen with a normal gallbladder. The chest radiograph was normal. However, long-bone radiographs revealed metaphyseal lucencies involving the proximal humerus (Figure 15-2) and femur (Figure 15-3) that were consistent with the diagnosis of congenital syphilis. Testing for other TORCH infections as well as hepatitis B and C and HIV was negative. Given the presence of a positive RPR and TP-PA in both the mother and baby, in conjunction with the clinical findings of lymphadenopathy, jaundice, hepatosplenomegaly, and metaphyseal dystrophy, the patient was diagnosed with congenital syphilis.
INCIDENCE AND EPIDEMIOLOGY
Syphilis is a sexually transmitted infection caused by the spirochete Treponema pallidum. Syphilis in children may be either acquired, usually due to sexual abuse, or congenital, resulting from trans-placental transmission of the organism from an infected mother to her child. Rates of fetal transmission may occur at any stage of the disease and at any time during pregnancy but are highest when the mother is in the first and second stages of syphilis (60% to 90%) and lowest in late latent syphilis (<10%).
Rates of congenital syphilis parallel rates of syphilis in the adult population. There was a steep rise in the incidence of syphilis throughout the 1980s with a peak in congenital syphilis cases in 1991. Due in large part to enhanced screening, improved education for providers and increased awareness in communities with high rates of infection, syphilis rates fell precipitously through the 1990s, reaching a nadir in 2000, increasing again until 2008 with a slight decrease between 2009 and 2011. In 2011, there were 8.5 cases of congenital syphilis per 100 000 live births, resulting in 360 reported cases of congenital syphilis. Three states (Texas, California, and Florida) accounted for nearly one-half of all cases of congenital syphilis. Maternal risk factors associated with congenital syphilis include lack of, or poor prenatal care, unprotected sexual contact, trading of sex for drugs and cocaine abuse.
CLINICAL PRESENTATION
Transmission of syphilis during pregnancy can result in fetal or perinatal death, hydrops fetalis, intrauterine growth retardation, prematurity, or congenital abnormalities, which may occur early or late. Infants may be asymptomatic at birth but signs of early congenital syphilis usually present within the first few weeks of life. Late congenital syphilis results from chronic inflammation involving the bones, teeth, and CNS and appears after 2 years of age (Table 15-3).
The infant displayed many of the clinical features consistent with early congenital syphilis, including jaundice, hepatosplenomegaly, thrombocytopenia, rash, “snuffles,” pseudoparalysis, and metaphyseal dystrophy of the humerus and femur.
TABLE 15-3. Clinical manifestations of congenital syphilis.

DIAGNOSTIC APPROACH
Darkfield microscopy. Identification of spiro-chetes from moist lesions by darkfield microscopy is the quickest and most definitive way to diagnosis syphilis. However, this method requires special equipment, reagents, and trained personnel that may not be available in all clinical settings. As a result, serologic testing is much more widely used.
Treponemal and nontreponemal serologic testing. Two forms of serologic testing are available; nontreponemal and treponemal tests. Because each of these tests has several limitations with significant false-positive and false-negative result rates, a combination of tests is needed to establish the diagnosis of syphilis. Generally, a nontreponemal test, such as a VDRL or rapid plasma reagin (RPR), is used to screen for the disease and to follow response to treatment. If either of these tests is reactive, a confirmatory treponemal test, such as the fluorescent treponemal antibody absorption (FTA-ABS) or T pallidum particle agglutination (TP-PA), is performed.
Since maternal antibody may be passively transmitted to the fetus even after adequate treatment of syphilis in the mother, interpretation of serologic testing in the infant may be difficult. As in this case, congenital syphilis is confirmed when the infant’s nontreponemal titers are at least four times greater than those of the mother. However, infants with titers less than fourfold their mothers’ values may still be diagnosed with congenital syphilis based on the presence of other features. These include certain physical examination findings, serum and CSF laboratory values, radiologic studies, the presence of treponemes in the umbilical cord or placenta, and the treatment status of the mother. Given the complex algorithm used to diagnose and treat syphilis, please refer to the Centers for Disease Control and Prevention or the American Academy of Pediatrics for specific diagnostic and treatment algorithms and additional information.
Additional testing. The serologic status of the mother must be established before any newborn infant is discharged from the hospital. If maternal screening is positive and inadequately treated or untreated syphilis is suspected, or if the baby has any signs of congenital syphilis, the infant should undergo a (1) complete physical examination; (2) quantitative serum nontreponemal test; (3) complete blood count, including platelet count; (4) lumbar puncture with testing for CSF cell count, protein concentration, and a VDRL of the CSF; and (5) long-bone radiographs. Among infected infants, the CSF is abnormal in 50% of those with symptoms and 10% of those without symptoms. Additional testing such as a chest radiograph, liver function tests, ultrasonography, ophthalmologic examination and auditory brainstem response testing should be considered in the appropriate clinical setting. Infants evaluated for congenital syphilis should also be evaluated for other congenital infections.
TREATMENT
Infants with proven or highly probably congenital syphilis should be treated with aqueous crystalline penicillin G or penicillin G procaine for 10 days. Nontreponemal titers should be followed closely to monitor response to treatment. If the initial CSF examination is abnormal, repeat lumbar punctures are recommended every 6 months until values normalize. Treatment failures are uncommon but treatment with an additional 10-day course of penicillin may be necessary if serum nontreponemal titers continue to rise or remain elevated, or, if the CSF evaluation remains abnormal. Infants with congenital syphilis should be examined and have quantitative nontreponemal tests every 2-3 months until nonreactivity is documented.
SUGGESTED READINGS
1. Azimi P. Syphilis (Treponema pallidum). In: Behrman RE, Kliegman RM, Arvin AR, eds. Nelson’s Textbook of Pediatrics. 17th ed. Philadelphia, PA: WB Saunders Co.; 2004:978-982.
2. Centers for Disease Control and Prevention: 2011 sexually transmitted diseases surveillance. http://www.cdc. gov/std/stats11/syphilis.htm. Updated December 13, 2012. Accessed December 26, 2012.
3. Hyman EL: Syphilis. Pediat Rev. 2006;27:37-39.
4. Johnson KE. Overview of TORCH infections. UpToDate. www.uptodate.com/content/overview-of-torch-infections. Updated March 15, 2011. Accessed September 29, 2011.
5. Michelow IC, Wendel GD, Norgard MV, et al. Central nervous system infection in congenital syphilis. New Eng J Med. 2002;346:1792-1798.
6. American Academy of Pediatrics. Syphilis. In: Pickering LK, Baker CJ, Long SS, McMillan JA, eds. Red Book: 2009 Report of the Committee on Infectious Diseases. 28th ed. Elk Grove Village, IL: American Academy of Pediatrics; 2009:638-651.