Caroline Dowling, Mark Frydenberg
9.1 Introduction: urinary tract
History
Urinary disease presents with a relatively small number of defined symptoms as presenting problems. Patients may present with lower urinary tract symptoms (LUTS) that are subcategorised as storage or irritative symptoms (urinary frequency, urgency, nocturia, dysuria), voiding or obstructive symptoms (change in strength of the urinary stream) and incontinence. Ongoing obstructive LUTS may eventually present as retention of urine. Haematuria may be due to benign or malignant disease; renal pain (colic) results from obstruction, most often with ureteric calculi. Occasionally there may be recognition of a renal mass. However, the majority of renal masses are now detected as incidental findings on abdominal imaging performed for investigation of often unrelated symptoms. Prostate cancer is increasingly detected in the context of overall health assessments or as a case finding during assessment of LUTS. A careful assessment of the history often suggests the diagnosis, which is usually supported by an imaging modality.
Common pathologies are congenital anomalies, functional disorders and specific malignancies, including those affecting children. Other malignancies of the urinary tract and prostate increase in frequency with age. Urinary tract trauma and infections are common to all ages. Bladder neck obstruction from prostatic disease is the most common problem in the elderly male.
Patients should be assessed for evidence of renal failure (Ch 10.7). Symptoms of chronic renal failure include nocturnal polyuria and a constellation of nonspecific symptoms: anorexia, nausea and vomiting, headache, visual disturbances, lethargy, sallow skin, oedema and general malaise.
Physical examination
Physical examination is often normal in patients with urinary tract disease. Detection of abnormalities involves identification of renal or bladder masses, together with examination of the lower urinary tract in both sexes. Imaging is often then required.
Renal masses are usually found to be due to simple renal cysts, tumours or obstruction causing hydronephrosis. Abdominal examination may reveal a unilateral renal mass or the bilateral masses of polycystic kidneys.
A renal swelling has the following characteristics:
• It fills out the flank and loin as it enlarges laterally and downwards. One may be able to get above a focal renal mass, but the upper margin of an enlarged kidney is often indistinct or disappears under the costal margin. In contradistinction to spleen or liver, a kidney swelling’s inner margin rarely crosses the midline (apart from congenital anomalies such as horseshoe kidneys).
• It has a smooth, rounded lower pole.
• It moves up and down with respiration but not usually markedly as liver or splenic enlargements.
• It has a band of colonic resonance over it anteriorly.
• It is bimanually palpable and ballottable — a hand from behind can displace the mass forwards where it is palpated by the hand in front. The sign is classic of a mobile retroperitoneal renal swelling but can be shared by any large flank swelling such as a very large liver or spleen (Fig 9.1).

Figure 9.1 Palpation of right kidney
Digital rectal examination (DRE) may reveal the changes of benign prostatic hypertrophy, prostatitis or carcinoma of the prostate. The external genitalia should also be examined. As with all physical examination, appropriate consent is obtained and privacy should be provided.
Diagnostic tests
Several special investigations are of critical importance. They range from simple examination of the urine (which must never be omitted) to sophisticated functional and imaging tests. Those most commonly employed are:
• urinary examination and its chemical, cytological and bacteriological analyses
• serum biochemistry including estimation of creatinine, urea and electrolytes and PSA (prostate specific antigen) where appropriate
• functional tests determining total renal function and that of individual kidneys and the adequacy of urine flow and its dynamics; nuclear medicine has facilitated assessment of renal function, using radionucleides such as technetium 99-MDTPA and MAG3 (mercaptoacetyl triglycerine) to measure glomerular filtration rate
• intravenous urography, retrograde and antegrade pyelo-ureterography, cystography and urethrography; nonionic radiological contract agents have significantly increased the safety of these investigations
• cysto-urethroscopy (Figs 9.2a, b and c)
• ultrasound, plain X-ray and computed tomography, angiography and MRI.

Figure 9.2a Cystoscopy and ureteric catheterisation
A: tip of cystoscope with elevating bridge; B: trigone of bladder; C: ureteric oriface; D: interureteric bar

Figure 9.2b Normal right ureteric orifice as seen on cystoscopy

Figure 9.2c Right ureteric orifice with guidewire in situ
9.2 Loin pain
The most common cause of loin pain is acute or chronic renal pain. Acute obstruction with dilatation of the urinary tract above the bladder causes acute renal pain (renal or ureteric ‘colic’) that has a wide distribution. Pain often radiates from the flank on the affected side to the anterior abdomen and groin and may extend into the penis or scrotum, or labia in females, or into the upper thigh (Fig 9.3). It is severe and prostrating in character and although described as ‘colic’ is usually continuously and unremittingly severe until relieved. Renal ‘colic’ is due to ureteric obstruction by stone, crystal, blood clot, necrotic papilla or infective debris, or back pressure due to a neuropathic bladder. Chronic renal pain gives a dull loin ache and can be due to a variety of renal and perirenal causes.

Figure 9.3 Renal ‘colic’
Typically, a continuous severe pain that radiates from the renal angle and flank to the abdomen, parallel to the inguinal ligament, to the base of the penis and into the scrotum.
Causes
1. Renal pain (colic)
2. Referred pain from the ovary or other abdominal viscera
3. Musculoskeletal pain
4. Less common causes
Clinical assessment
1 Renal pain (colic)
Acute renal colic is usually unmistakable because of: the location of the pain and its radiation from flank to abdomen and groin; its acutely severe and unremitting character (despite its description as colic, it is frequently constant); an associated urge to void (usually indicating stone in the lower or intramural ureter); microscopic or macroscopic haematuria; and the response to the pain by the patient, who usually walks, bends or rolls about in an effort to obtain relief. The patient looks pale, sweats and may vomit. The pain is often characterised as the worst pain ever experienced. Examination may reveal tenderness in the renal angle or a tender renal swelling. The urine usually shows blood macroscopically or on chemical testing (dipstick), with numerous red cells on microscopic examination.
2 Pain referred from the ovary or other abdominal viscera
It is important to distinguish renal colic from other causes of abdominal pain, particularly those that may be imminently life-threatening such as leaking abdominal aortic aneurysm or ectopic pregnancy. Ovarian pain, as from a twisted ovarian cyst, can sometimes be confused with renal pain because of its similarly wide distribution, but associated gynaecological symptoms, pelvic tenderness and an ovarian mass will usually enable the two to be easily distinguished. Pain referred from other sources, such as dissecting or leaking aortic aneurysm or thoracolumbar nerve root pain, is usually distinguishable by associated signs of vascular occlusion or locomotor abnormality. Renal pain with a predominantly abdominal component may occasionally be confused with acute cholecystitis, diverticulitis or appendicitis when those organs are sited in a lumbar position. These and other causes of severe abdominal pain, such as perforated ulcer, are usually distinguishable because of associated clinical features and signs of peritonitis and because such patients lie still with the pain.
3 Musculoskeletal pain
Pain from the lower thoracic spine can be felt in the lumbar region. The onset of musculoskeletal pain (unless traumatic) is less acute than renal colic and is exacerbated by standing, heavy lifting and twisting movements. The acute pain of lower thoracic intraspinal disease is also made worse by coughing and sneezing and often relieved by rest. Examination will usually reveal local tenderness and deformity of the spine. Muscular injury or strain in the lumbar region can be confused with renal colic but the history of injury is usually diagnostic.
4 Less common causes
Renal ‘colic’, without objective evidence of obstruction and requiring repeated narcotic injections without relief, should raise suspicion of narcotic addiction but this should always be a diagnosis of exclusion. Such patients may discolour their urine with blood obtained from finger-prick to make the clinical picture more convincing. Occasionally herpes zoster (shingles) may present with loin pain.
Diagnostic plan
On presentation to hospital, the diagnosis is usually made after clinical history, examination and then urine dipstick with a commercial kit with positive for red blood cells is demonstrated and infection largely excluded by the absence of nitrites. The imaging modality to confirm the diagnosis will then usually be a non-contrast spiral computed tomography (CT) scan of the abdomen and pelvis. An accompanying plain abdominal X-ray is helpful in planning treatment and elucidating if the stone is radio-opaque or radiolucent. The X-ray may demonstrate an opaque calculus (85% of urinary calculi are radio-opaque — Box 9.1), which needs to be distinguished from phleboliths and other opacities. The CT findings consistent with an obstructing stone include perinephric fat stranding, dilatation of the renal pelvis and/or ureter and identification of the stone itself. The presence of the contralateral kidney should be sought and the size and position of other calculi that appear bright white should be noted. Urine should then be sent for formal microscopy and culture to definitively exclude infection and quantitate the haematuria, and to look for crystals (oxalate). At the time of presentation, blood should be drawn for full examination, creatinine, urea and electrolytes to ascertain renal function and screen for metabolic abnormalities and serum uric acid; calcium and phosphate estimations are also useful screening tests for major metabolic abnormalities. Stone analysis is done if the stone is recovered. The patient is instructed to strain the urine to check for stone passage and obtain the stone for analysis.
Box 9.1
Types of urinary calculi
70% are calcium oxalate and phosphate in acid urine (radio-opaque)
15% are urate calculi in acid urine (radiolucent)
10% are magnesium ammonium phosphate in alkaline, usually infected urine (radio-opaque)
1% are cystine (partly radio-opaque)
Prior to the popularity of CT for diagnosis, which has the advantages of high sensitivity, speed, lack of contrast administration and ability to detect other intra-abdominal pathologies, intravenous urography (IVP) was used to confirm the diagnosis of urinary obstruction, with demonstration of the causative calculus, either as a radio-opaque shadow in line with the ureter or as a radiolucent filling defect (Figs 9.4a-c), or showing a dilated upper urinary tract as the aftermath of a stone that has passed. IVP is now rarely performed in most emergency departments but is a useful adjunct if the diagnosis is equivocal. Ultrasound can be helpful in excluding other intra-abdominal and pelvic lesions or to demonstrate and serially monitor upper urinary tract dilatation due to obstruction. Ultrasound is thus of particular value in children, in whom repeated X-rays should be avoided. Renal colic with symptoms and signs of pyelonephritis (fever, systemic toxicity) always requires urgent imaging. An obstructed and infected kidney requires urgent relief, whereas obstruction in the absence of infection can be observed over the course of a week or more without likelihood of renal parenchymal damage.

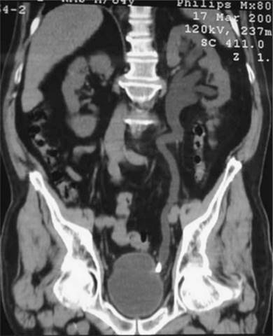
Figure 9.4a Ureteric stone
Right-sided obstruction from stone causing hydronephrosis.

Figure 9.4b CT stone coronal view of VUJ stone
Reproduced with permission from John Kourambas

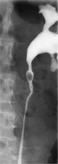
Figure 9.4c IVP demonstrating proximal ureteric stone
Reproduced with permission from John Kourambas
Treatment plan
Renal colic
Parenteral narcotic injection is required for pain relief. Intravenous pethidine or morphine relieves pain within a short time and a protocol of administration is usually followed in the emergency department. In most instances the pain settles after adequate administration of initial narcotic and a period of observation in the emergency or short-stay ward. Adequate antiemetic should be given with the narcotic. Oral nonsteroidal anti-inflammatory drugs (NSAIDS) should be given with the initial narcotic (e.g. indomethcin 100 mg) and these can be given as suppositories if the patient is not tolerating oral medication. Precautions should be taken in those with a history of peptic ulcer disease. NSAIDS are a very effective form of pain relief in renal colic and can be continued as an outpatient. The patient can also be given oral narcotics such as paracetomol.
Management of urinary calculi
Most urinary calculi pass spontaneously, especially if they are small or less than 5 mm. Treatment is therefore initially expectant. The patient is treated with euvolemia, as pushing fluids will exacerbate pain, and observed at regular intervals by repeat imaging; a plain film if the stone was initially visualised this way will suffice. Additional CT, ultrasound or IVP may be necessary to confirm if the stone has passed. If the stone enters the bladder its spontaneous passage is usually assured; occasionally a stone subsequently impacts in the urethra causing acute stoppage of the urinary stream. Conservative management may be supported by agents that aid stone passage by ureteric relaxation such as an alpha-blocker (e.g. tamsulosin) or calcium channel antagonists (verapamil) alone or in combination.
Indications for stone removal (Box 9.2). Removal is indicated only when parenchymal damage is a concern, for example, with unresolved urinary infection or the stone seems very unlikely to pass spontaneously, as with large calculi (>1 cm diameter) or persisting pain without progress. It is also mandatory in the case of a solitary kidney, where anuria may ensue.
Box 9.2
Indications for removal/disruption of symptomatic renal or ureteric stone
Solitary kidney
Persistent symptomatic obstruction with urinary infection and danger of renal parenchymal damage
Large calculus (>1 cm) that is unlikely to pass spontaneously
Persistent symptomatic obstruction without improvement or onward passage over one or two weeks
Methods of stone removal. Stone removal is largely an endoscopic procedure via the upper or lower urinary tract depending on the site of the stone, with or without the use of an energy source to shatter the stone prior to removal (Fig 9.4d). The other key method of removal is extracorporeal shock wave lithotripsy (ESWL, Fig 9.4e). Rarely is open stone removal required (open ureterolithotomy, pyelolithotomy or anatrophic nephrolithotomy). Laparoscopic surgery may now be used for difficult, large, impacted ureteric stones that cannot be manipulated up or down. The following methods are most frequently used in the operative management of urinary tract calculi.

Figure 9.4d URS/ureteroscopic view of stone
Reproduced with permission from John Kourambas

Figure 9.4e Extracorporeal shock wave lithotripsy (ESWL)
Photo courtesy of Dornier MedTech GmbH
Cystoscopy and ureteroscopy with stone basket extraction is suitable for small calculi in the lower or intramural ureter that fail to pass despite persisting pain. Energy sources commonly used to fragment the calculi may include pneumatic lithotripsy or laser (holmium). The patient may require temporary stenting with a flexible, double J pigtail stent to guard against recurrence of colic from the oedema left by the stone itself or the procedure to remove it, which can be removed under local anaesthetic at a later date. Stent symptoms include frequency, urgency and loin pain, especially with voiding (stents cause reflux) and haematuria. Patients should be assessed for infection, bearing in mind a degree of red and white cell loss in the urine is consistent with the stent itself.
Extracorporeal shock wave lithotripsy (ESWL). A semi-ellipsoid reflector is used and shock waves are generated from the near focal point and directed to the distant focal point to converge on the calculus in the kidney or upper ureter to fragment it. Many shock waves are required (2500 to 3000) and patients are maintained under anaesthesia or with an epidural block to maintain constant position. Stones can usually be adequately fragmented at one sitting. Most fragmented stones will then be passed spontaneously and subsequently most patients remain stone-free. About 10% of patients require additional percutaneous, ureteroscopic or open surgery to remove residual renal or ureteric fragments. Stones in the middle or lower ureter are shielded by the bony pelvis and need to be manipulated into the pelvis or upper ureter if ESWL is to be used.
Percutaneous nephrolithotomy. A percutaneous nephrostomy tract is first established and a nephroscope introduced along the track. Small stones are removed with grasping forceps; larger stones are initially fragmented with an ultrasonic lithotriptor.
Percutaneous stone surgery and, more recently, ESWL have revolutionised management of renal stones. Most upper tract stones can now be removed by ESWL or percutaneous and endoscopic means. If all modalities are available, ESWL is successful for most stones and percutaneous techniques can deal with almost all the remainder.
Management of recurrent urinary calculi
Recurrent urinary calculi require reinvestigation with 24-hour urine collection and serum biochemistry to identify:
• idiopathic hypercalciuria (the most common abnormality)
• hyperparathyroidism
• renal tubular acidosis
• metabolic disorders — cystinuria, hyperoxaluria
• urinary tract obstructions and infections
• hyperuricosuria.
Recurrent calculi are prevented by the general measures of maintaining dilute urine of high volume, including fluids at night, and by eliminating obstructions, infections and immobilisation. More specific measures include treatment of hypercalciuria by low-calcium diet and diuretics, of hyperparathyroidism by parathyroidectomy, of renal tubular acidosis by correction of acidosis and by making the alkaline with oral sodium and potassium bicarbonate treatment and of hyperuricosuria by allopurinol, restricting protein and alcohol intake and alkalinising the urine. General measures for those with no specific metabolic abnormality include maintaining a high fluid intake, avoidance of a high intake of animal protein and salt and oral preparations that are usually citrate-based to act as an inhibitor of stone formation.
9.3 Painless haematuria
This symptom must always be taken seriously. Haematuria, particularly if painless, should always raise the suspicion of a malignancy and demands full investigation and imaging of the urinary tract to exclude this cause. An underlying urological malignancy is most likely when bleeding is macroscopic and painless. It occurs more often in people over 45 years, particularly in males with a history of heavy cigarette use. Benign prostatic hypertrophy is the most common source of haematuria in men over 60 years. Haematuria is common in painful conditions such as stone and cystitis. The differential diagnosis in these cases relates to the dysuria or loin pain; haematuria is usually a secondary problem. Haematuria may be microscopic and only detected on routine chemical (dipstick) or microscopic examination. Menstrual bleeding may be mistaken for haematuria in females. Haematuria needs to be differentiated from biliuria and from dietary and drug causes of reddish discolouration of the urine. Haemoglobinuria or myoglobinuria, from intravascular haemolysis or rhabdomyolysis, cause a dark urine that is positive for blood on clinical testing.
Causes
Painless haematuria has a number of common and less common causes (Fig 9.5).
1. Renal and urothelial tumours
2. Prostatic hypertrophy
3. Acute glomerulonephritis
4. Bleeding disorders — anticoagulants, thrombocytopenia
5. Less common causes

Figure 9.5 Common causes of painless haematuria
A: renal tumour; B: tuberculosis; C: transitional cell tumour; D: engorged prostatic veins
Clinical assessment and urine microscopy
In localising the most likely source of bleeding, help may be obtained from the history and by urine microscopy. Macroscopic haematuria arising from kidney or ureter is usually dark or smoky and evenly mixed with the urine. Blood entering from the bladder, prostate or urethra is usually brighter red. Bleeding from the bladder may be evenly mixed or terminal. From the prostate, bleeding may be heaviest initially or terminally; urethral bleeding is usually heaviest initially. Bleeding from the urethra or prostate may appear at the external urethral meatus apart from micturition and cause bloodstaining of underpants or pyjamas. It should be noted if clots are present; threadlike clots may signify upper tract bleeding. These characteristics are, however, only rough guides to the source of bleeding. The history taken must also check for other evidence of a bleeding tendency, drug intake including analgesics, recent streptococcal sore throat, oedema of face or limbs, family history and evidence of renal injury. Examination will concentrate on identifying renal masses or evidence of diseases associated with haematuria and should include taking the patient’s blood pressure, which may be elevated with glomerulonephritis. Commonly, a physical examination is unrewarding in finding a cause for haematuria.
Normal urine shows fewer than four erythrocytes per high power field in microscopy of fresh centrifuged specimens. Microscopy of a fresh specimen can distinguish between glomerular and urothelial erythrocytes. The former are irregular in outline and haemoglobin content (dysmorphic). The latter are usually undamaged circular cells with normal haemoglobin content or ghost cells of normal shape lacking haemoglobin. Dysmorphic cells are most easilyrecognised under phase-contrast microscopy. The presence of red cell casts or heavy proteinuria is also indicative of glomerular disease.
Diagnostic and treatment plan
Cases of haematuria require full investigation and the following are suggested.
• Urine microscopy and culture and urine cytology are indicated.
• Conduct a full blood examination and coagulation studies where clinically indicated (prothrombin time, partial thromboplastin time); these may reveal a systemic cause.
• Carry out renal function tests (serum creatinine and urea).
• Imaging: IVP remains the gold standard for investigation of haematuria, but has largely been superseeded by CT/IVP. However, most patients will undergo an initial ultrasound of the renal tract, which has the advantage of being a fast, easy, safer screening tool that will also delineate parenchymal renal masses and give superior views of the bladder, where a small urothelial tumour may be found. The patient is then referred for intravenous urography with an after-micturition cystogram in the event that all other investigations are negative and the possibility of a small renal pelvis or ureteric lesion cannot be excluded. In most instances this is now done with a CT/IVP with CT performed, contrast given and coronal IVP-like images of the renal pelvis and ureter reconstructed.
• Cystourethroscopy to identify urethral or bladder causes or to localise the source of bleeding to one or other kidney is critical. Cystoscopy cannot be omitted from the assessment and for microscopic haematuria or cases of macroscopic haematuria where the bleeding has subsided and the ultrasound is unrevealing, this is most frequently done as a local anaesthetic flexible cystoscopy.
• Retrograde pyelourethrography and renal angiography may also be required if the diagnosis is still unclear and the bleeding persists.
Macroscopic haematuria must be considered as being caused by a urinary tract malignancy until proven otherwise. If macroscopic haematuria remains unexplained after full investigation, the urine should be examined frequently for malignant cytology and investigations repeated in a month.
Treatment depends on the cause. Haematuria rarely causes shock requiring transfusion or iron deficiency anaemia, except after trauma.
Microscopic haematuria is investigated along similar lines, but often percutaneous renal biopsy will be necessary to identify glomerular lesions.
Bleeding due to prostatic hypertrophy, acute glomerulonephritis, bleeding disorders and less common causes, such as renal papillary necrosis, hydronephrosis, congenital renal anomalies and renal tuberculosis, will usually be associated with other diagnostic features on clinical assessment and investigations.
Urothelial tumours. Urothelial tumours are usually transitional cell tumours. The rare, squamous cell carcinoma follows chronic infection and urolithiasis.
Transitional cell tumours result from diffuse and multicentric epithelial dysplasia, often secondary to urinary carcinogens. Cigarette smoking and heavy analgesic consumption are the common risk factors. Exposure to organic solvents in the dye and paint industries is a further risk, as is chronic bilharzial (schistosomiasis) infection in endemic areas. Tumours occur after middle age and are more common in men.
The bladder is the most frequent site but all urothelium is at risk. Tumour malignancy and prognosis exhibit a spectrum from fronded papillary tumours of low grade or medium malignancy that do not invade the lamina propria, to those that are sessile, ulcerated and invasive from the onset. These latter tumours spread by direct invasion, via lymphatics and at a later stage by the bloodstream. Simple staging into superficial disease and muscle-invasive disease is helpful in determining treatment and prognosis (Figs 9.6a and b).

Figure 9.6a Staging of bladder tumour
T1: confined to lamina propria; T2: invading the muscle wall of the bladder; T3: extending through the bladder wall; T4: involving other organs or nodal spread

Figure 9.6b Endoscopic photo of TCC
More precise staging is from Ta/T1 to T4, namely:
• Ta — papillary, epithelial confined
• Tis — carcinoma in situ
• T1 — confined to lamina propria
• T2 — invading muscle wall of bladder/muscularis propria/detrusor muscle
• T3 — extending through bladder wall
• T4 — involving other organs or nodal spread.
Endoscopic and surgical ablations are the preferred treatments for superficial disease (i.e. Ta and some T1 and Tis). These patients require permanent, repeated urinary cytology and endoscopic review to monitor progress.
Deeper tumours extending into the detrusor muscle need surgical resection with radical cystectomy and diversion of ureters to an ileal conduit or in some circumstances to a neobladder created from a bowel segment. Radiotherapy and endoscopic removal may be used as primary therapy in muscle-invasive disease with or without chemotherapy but is more often reserved for those unfit for radical surgery.
Radiotherapy is particularly helpful for palliation of advanced disease. Intravesical immunotherapy (BCG) or chemotherapy can control superficial and multiple bladder tumours and is usually indicated for Tis, recurrent Ta and some cases of T1 disease.
The BCG is given as an instillation after the insertion of a catheter with an aseptic, and in particular an atraumatic, technique. A six-week course of once weekly instillation is usually undertaken; in some cases a maintenance schedule is given beyond this. BCG is usually well tolerated but has some significant side effects including sepsis (usually in association with concurrent bacterial UTI and/or traumatic catherisation), common local side effects such as dysuria, frequency, macroscopic haematuria or less commonly granulomatous prostatitis, epididymo-orchitis and rarely in the long term, a small contracted bladder. Uncommon systemic side effects, such as pneumonitis, arthritis and hepatitis, are fortunately rare. For the prevention of potentially life-threatening sepsis all patients undergo urinalysis to check for infection prior to treatment each week and treatment is delayed if infection is detected.
Renal transitional cell carcinoma is most common in association with analgesic abuse and presents as haematuria or colic. Treatment is by nephroureterectomy with excision of a cuff of adjacent bladder. This is now more frequently laparoscopically assisted.
Renal cell carcinoma (RCC). RCC is an adenocarcinoma that is more common in men and in smokers, occurs usually after middle age, and spreads by direct extension into perinephric fat, the renal vein and vena cava and via lymphatic spread to locoregional nodes. Metastases to lung, adrenal or bone are the most common sites of advanced disease and may be solitary in nature.
RCC used to present with a classic triad of haematuria, pain and a renal mass. All are features of relatively advanced disease. However, the most common presentation now is occult disease found on imaging initiated for investigation of an unrelated problem such as upper abdominal discomfort, back pain or voiding symptoms. Rarely will a patient present with one of the paraneoplastic syndromes associated with RCC such as pyrexia of unknown origin (PUO), anaemia, hypercalcaemia or symptoms due to synthesis of hormones by the tumour (e.g. erythropoietin, renin, parathyroid hormone). As a result of the plethora of paraneoplastic syndromes associated with RCC, it is sometimes termed ‘the physician’s tumour’.
Investigation needs accurate imaging by triple-phase CT of the abdomen and pelvis to delineate the lesion and any locoregional invasion of nodes or veins or to identify adrenal or liver metastases and assess the contralateral renal unit for presence, size, stones, synchronous cancer or other pathology. Occasionally an ultrasound is also required if there is difficulty differentiating between a solid tumour and a solitary renal cyst (the most common mass lesion in the kidney). Rarely, percutaneous needle biopsy or cyst aspiration is required. Plain chest X-ray or chest CT is used to detect metastases.
The usual treatment is radical nephrectomy if the tumour is locally confined. Small RCCs are often now managed with laparoscopic radical nephrectomy. Where there is a requirement for nephron-sparing surgery, for example, in a single kidney, a partial nephrectomy can be performed. Cancer-specific survival figures for the management of small RCCs of less than or equal to 4 cm with partial nephrectomy are now equivalent to those for radical nephrectomy, making partial removal an alternative. Occasionally, radical nephrectomy can be combined with removal of a locally resectable single-lung metastasis.
Prognosis is good for small tumours, especially those less than 4 cm and even those up to 7 cm. If, however, there is extensive, histologically poorly differentiated (especially sarcomatoid) or metastatic disease, the prognosis is poor. About one-third of patients have metastases on initial diagnosis. Other poor prognostic parameters are lymph node spread and spread beyond the renal capsule. Renal vein extension at the time of nephrectomy has less prognostic significance and removal of intravenous extension of tumour is worthwhile. The tumour is resistant to radiotherapy and traditionally has been highly chemoresistant, though newer immunotherapy and tyrosine kinase inhibitors (sorafenib and sunitinib) based therapies are showing some promise with regard to small improvements in survival time for those with metastatic disease.
Wilms’ tumour (nephroblastoma). This is the second most common abdominal neoplasm of childhood and occurs in children under six years of age (mean age at presentation 3.5 years). Presentation is most frequently because of increased abdominal girth, abdominal mass or serendipitous finding on ultrasound performed for other indications. Children may have microscopic haematuria (25%) but macroscopic haematuria is uncommon.
Imaging by ultrasound usually enables the differentiation to be made from a hydronephrotic or cystic kidney and gives information on renal vein or caval involvement. CT or MRI scan of the abdomen and chest will confirm the diagnosis and provide staging information about retroperitoneal and lung involvement. Wilms’ tumours may be hereditary or sporadic and may be bilateral.
These tumours may be classified as having either favourable or unfavourable histology. They are sensitive to radiotherapy and chemotherapy and usually managed with a combination of surgery and chemotherapy. (In the US, most will have surgery followed by chemotherapy. In Europe and Australia, most will have induction chemotherapy to shrink the tumour, followed by surgery. Radiotherapy is reserved for chemoresistant tumours.) Prognosis has improved with multimodal therapy and high cure rates are possible.
Neuroblastoma is a common tumour in infants and children. It is a malignant tumour of the autonomic nervous system, particularly the adrenal gland. It usually presents younger than Wilms’ (mean age at presentation 1.5 years) and often occurs in neonates. It can be confused with Wilms’ tumour initially, with a rather similar clinical picture. However, these children are usually more unwell, with anaemia, weight loss, irritability, fever and pain. They have high levels of urinary vanillylmandelic acid (VMA) and the mass can extend across the midline and around major vessels. A neuroblastoma displaces the normal kidney and is often calcified. Surgical biopsy and complex chemotherapy is required; however, delayed definitive surgical resection in advanced disease rarely improves the poor outcome for this tumour.
9.4 Lower urinary tract symptoms (LUTS)
Frequency of micturition is normally influenced by age and sex, social behaviour, climate and fluid intake. A young adult male may pass urine approximately four to five times daily and not be woken from sleep to void. A woman of the same age may normally pass urine somewhat less frequently. In assessing the patient’s normal pattern any increased frequency should be noted, including voiding at night, and the overall assessment is greatly assisted by a voiding diary recording the volume of urine passed at each void and fluid intake for three 24-hour periods. LUTS occur frequently in the community and with equal frequency in men and women. LUTS chiefly comprise symptoms that are related to voiding, such as hesitancy, poor stream or intermittent stream, and those that are related to storage. Storage symptoms include frequency, urgency (the complaint of a sudden compelling desire to pass urine that is difficult to defer) and urge-related incontinence. Increased frequency is a nonspecific symptom common to many conditions of the urinary tract and may result from either increased volume of urine or reduced capacity to store urine. Nocturnal polyuria is an important early symptom of renal injury and diabetes. Dysuria is an irritative symptom that manifests as painful frequency of micturition that is often felt as pain not over the bladder itself but at the external urethral meatus or along the urethra. Dysuria is most often due to infective and obstructive causes. Straining and urgency (strangury) often coexist with painful frequency. Incontinence and enuresis are also considered as LUTS and are explored in the next section.
Common causes
1. Urinary tract infection
• Acute bacterial infection — cystitis, prostatitis
• Infection with uncommon organisms (tuberculosis and schistosomiasis)
2. Benign prostatic hyperplasia (BPH) with obstruction
3. Detrusor muscle weakness and/or instability
4. Chronic (non-infective) prostatitis
5. Urinary calculi
6. Malignancy: prostate or bladder
7. Neurological disease
8. Urethral caruncle
9. Urinary fistula (vesicocolic)
10. Painful bladder syndrome including interstitial cystitis and urethral syndrome
Clinical features and diagnostic plan
The evaluation of LUTS requires a careful history, and of primary importance in formulating a differential diagnosis will be the patient’s age, sex and associated conditions (such as diabetes or neurological disease) and assessment of whether the symptoms are predominantly obstructive or irritative or both. This can be done in a quantitative way with the use of validated questionnaires such as the international prostate symptom score (IPSS). All patients should complete a voiding diary. Initial immediate evaluation to exclude urinary infection should be performed.
Pneumaturia and faecaluria are striking symptoms that usually cause an early attendance to seek medical help. Foul-smelling urine interpreted as faeculent by the patient may be merely the result of severe anaerobic infection. Other irritant symptoms include urethral discharge or haemospermia — these symptoms usually also cause early presentation.
The management of LUTS after exclusion of infection will depend on the predominant symptoms, the patient’s other medical conditions and their treatment, the presence of any complications such as haematuria or renal impairment and most importantly, the degree of bother caused by the LUTS. Many patients will derive benefit from simple measures such as fluid manipulation, regular bowel actions, medication timing and assistance with mobility or proximity to the toilet. Beyond this the management of some of the most common scenarios is dealt with in the next sections.
Urinary tract infections
LUTS must be distinguished from those similar symptoms that are caused by urinary tract infection. Frequency and dysuria in females are often due to cystitis. Infections are more common at various ages. They can occur in neonates and children, become more common when sexual activity commences, may complicate pregnancy and have a final peak after the menopause. Urinary infections in males are usually a consequence of instrumentation but always demand full investigation for another originating cause. Congenital anomalies (urethral valves, hydronephrosis) can present at any age. Obstruction and stasis are potent causes of urinary infection; the other risk factors for infection are stones and reflux. Where appropriate — and especially in males — such risk factors must be detected and treated. Other complications of a lower urinary tract infection in males are prostatitis and epididymo-orchitis, which in the younger male may mimic testicular torsion, a urological emergency. Symptoms and signs of renal injury may be present in these patients.
Physical examination is usually nonspecific and not diagnostic but should never be omitted and should include an abdominal, genital, perineal, digital rectal examination (DRE) and vaginal examination where appropriate, after consent and in the appropriate setting. Urethral caruncle is common in postmenopausal women and can present as dysuria and it is simple diagnoses like this that are missed if the physical examination is inadequate.
Symptoms of dysuria require urine microscopy and culture. Urinary tract infections are more common in females and occur in all age groups. Most are caused by enteric Gram-negative organisms (Escherichia coli, Proteusspecies, Pseudomonas, Klebsiella, Enterobacter), some by Streptococcus faecalis and occasionally Staphylococcus aureus. Most originate in the commensal flora of the bowel and enter the urinary tract by the ascending route. The bladder’s resistance to infection depends on complete emptying with voiding and the anti-adherent property of its urothelium to organisms. Most cases of pyelonephritis are also seen in women. Primary or secondary (to obstruction) vesico-ureteric reflux is a common factor that leads to ascending infection. In these cases dysuria is accompanied by fever and chills and a dull ache in the loin.
Ascending infection from the bladder can cause acute pyelonephritis, particularly if vesico-ureteric reflux is present. Acute pyelonephritis may also originate by haematogenous spread. The obstructed kidney is also more liable to haematogenous infection. Obstruction and infection represents a urological emergency.
Pyuria is an abnormal number of leucocytes in the urine (>4/HPF). Pyuria associated with symptomatic bacilluria with more than 105 organisms/mL (or more 5 bacteria per HPF) in a freshly voided and accurately collected midstream urine specimen is indicative of infection.
Sterile pyuria may also be detected and if it is obstructing, lesions such as papillary necrosis and specific infections such as tuberculosis or schistosomiasis should be excluded. Tuberculosis should also always be considered as a possible cause in the case of infection that does not respond to adequate antibiotic treatment.
Treatment of symptomatic urinary infections is with appropriate antibiotics. Investigations must be adequate to exclude obstructions, stones, reflux and tumours as precipitating causes. These will need individual management.
Lower urinary tract infections
Females with uncomplicated urinary tract infection do not usually require further investigation unless the infections become recurrent. In males the usual investigations are a renal tract ultrasound with post-void residual bladder volume and further tests according to the suspected diagnosis; these may include voiding flow rate, flexible cystoscopy, urine cytology, serum creatinine urea and electrolytes. More sophisticated urodynamics studies are reserved for specific cases. Most lower urinary tract infections such as cystitis can be cured by a three- to five-day course of treatment with an appropriate antibiotic such as trimethoprim, first-generation cephalosporin or amoxycillin, or as otherwise determined by urine culture and sensitivity. Recurrence is due to reinfection and can be managed by conservative means such as topical oestrogen, cranberry tablets, advice about hygiene and post-coital voiding or, in some cases, simple low-dose daily prophylaxis, which may be required for prolonged periods such as three to six months.
Upper urinary tract infections
Upper urinary tract infections such as acute pyelonephritis characterised by loin pain and tenderness, fever and constitutional symptoms require hospitalisation and antibiotics on the basis of urine culture. Severely ill patients will require parenteral gentamicin and ampicillin treatment. All patients should undergo initial imaging to ensure there is not an obvious underlying cause for the obstruction. A renal ultrasound will delineate hydronephrosis and further testing can then be performed, usually CT scanning. Patients with obstructed systems require urgent decompression, most commonly with a percutaneous nephrotomy tube and sometimes with insertion of a double J pigtail stent. Apart from the renal parenchymal damage that may be caused by urinary infections, the urinary tract is a potent focus for life-threatening Gram-negative septicaemia. Other complications that can occur and require urgent imaging and surgical or radiologically controlled drainage are perinephric abscess or renal abscess.
Storage LUTS
Symptoms such as frequency, urgency and urge incontinence are common in the ageing patient, especially females, and relate to altered ability to store urine or in the minority, an overproduction of urine. The most common cause of urinary symptoms in elderly males is bladder neck obstruction. Painful frequency is often associated with difficulties with the urinary stream (Ch 9.5). Where infection has been excluded and there is no other suggestion of pathology, such as haematuria, renal injury, drug-induced diuresis, prior pelvic radiotherapy or neurological condition, the diagnosis is usually an overactive bladder (OAB) secondary to idiopathic detrusor overactivity. This is managed initially with bladder drill and assessment of intake and output, optimally in a multidisciplinary environment with the assistance of continence nurse advisors and physiotherapists. Anticholinergic drugs are also used with caution in the elderly; these act by antimuscarinic means and are associated with side effects of dry mouth, reflux oesophagitis, constipation and dry eyes (e.g. propantheline, oxybutnin). Newer selective agents show promise in their improved side effect profile (e.g. tolterodine, solfenacin). More complex surgical treatment is similar to that for the management of urge-related incontinence.
Urinary tract pain
A subset of patients also experience pain associated with the urinary tract, including bladder, urethral, perineal and testicular. This pain can be very troublesome and the cause hard to elucidate, though increasingly pelvic floor muscle tone is thought to play an important role. After assessment of voiding function and exclusion of infection the patient should be assessed for the location, intensity of pain and its precipitants. Bladder pain causes suprapubic discomfort. Prostatic pain is usually vague and poorly localised in the pelvis or perineum. Pain may radiate from the perineum down the inside leg and is sometimes associated with rectal pain and tenderness.
Similar symptoms to urinary tract infection without evidence of infection on formal assessment are commonly seen in young females (painful bladder syndrome). Symptoms may be worse post coitus, after certain foods or with stress. The diagnosis is one of exclusion and may respond to conservative measures with physiotherapy, dietary and fluid manipulation but may require further treatment with cystoscopy and hydrodistention, oral drugs or bladder instillations.
Voiding LUTS
LUTS commonly present in the older male who complains about slowing of urinary stream, hesitancy at starting the stream, intermittency of stream and post-micturition dribble. The ultimate complication of these symptoms is presentation with acute urinary retention. These cases are considered to be voiding LUTS (obstructive) and may coexist with storage (irritative) symptoms, as defined in the previous section. Storage symptoms develop in concert with obstruction as the bladder decompensates due to the ongoing pressure required to expel urine. Females may also experience voiding-related LUTS and atrophic vaginitis can be a potent but curable cause of urethral stenosis. The concept of poor urinary stream and obstruction is discussed in detail in the next section.
9.5 Poor urinary stream
Poor urinary stream is usually due to mechanical obstruction of the lower urinary tract. Poor urinary stream is one of the principal symptoms of voiding or obstructive LUTS. Unrelieved obstruction results in progressive hypertrophy and dilatation of the upper urinary tract and obstructive renal injury. Stasis is often the basis of infection of the obstructed urinary tract.
Common causes
1. Prostatic obstruction
2. Urethral strictures
3. Phimosis and meatal stenosis
Symptoms and signs
In patients with decreased urinary stream the stream is slow to start (hesitancy), lacks power and pressure, may stop and start (intermittency) and dribbles terminally. This may progress to acute or chronic retention of urine. The storage symptom of painless frequency is a common associated symptom. This is often more troublesome at night, is of small volume and often associated with urgency. Urge incontinence or in longstanding obstruction, overflow incontinence, may occur. Symptoms of the complications of obstruction may also be present (Fig 9.7a). These include: urinary tract infection with frequency, dysuria and haematuria; bladder diverticula predisposing to cystitis and stone formation; prostatitis and epididymo-orchitis; vesical calculus causing haematuria, dysuria and frequency; and, eventually, renal injury.

Figure 9.7a Effect of urinary obstruction
A: obstruction effect; 1: prostatic hyperplasia, submucosal venular bleeding; 2: muscle trabeculation, detrusor muscle hypertrophy, bladder diverticula and stone; 3: hydronephrosis and renal failure. B: transurethral resection. The resectoscope is in position. The diathermy cutting loop is drawn back to remove hypertrophied prostate tissue in layers.
Poor urinary stream is most commonly due to outflow obstruction at the bladder neck due to prostatic obstruction in men aged over 60 years, a problem increasing in frequency with the rising proportion of elderly men in the population. Poor flow can also result from urethral stricture or a hypocontractile bladder or a small capacity bladder. The history usually serves to differentiate these less common causes.
On examination the signs of upper urinary tract distension, and of renal injury, are sought.
Benign prostatic obstruction
On DRE, the prostate is enlarged, smooth, regular, mobile and soft. Benign prostatic hyperplasia (BPH) is normally present in most males aged over 60 years. A variant is a small muscular prostate, which gives similar symptoms of bladder neck obstruction but the prostate feels of normal size and consistency. Hence the size of the prostate on rectal examination will not always correlate with the degree of symptoms reported (Fig 9.7b).

Figure 9.7b The prostate on rectal examination
A: the normal prostate; B: benign prostatic hypertrophy; C: carcinoma of the prostate
Carcinoma of the prostate
This increases in frequency with age. It is the commonest noncutaneous malignancy in men, usually arises from the gland periphery and posteriorly and most commonly is an adenocarcinoma. A small malignancy will be felt as a firm or hard nodule within the gland. Later the gland becomes generally hard, irregular and fixed, with extension of the tumour laterally to pelvic structures. Spread occurs by direct extension, the pelvic lymphatics and by the bloodstream to the axial skeleton causing sclerotic metastases. It should be noted that men who present with LUTS uncommonly have prostate cancer and that benign disease is usually the cause, even in situations where cancer may coexist.
Diagnostic plan
Patients with poor urinary stream are considered to belong to the group of patients who have LUTS. Hence their investigation is the same as any patient with LUTS. A full history, examination and urine culture are mandatory. The recording of a voiding diary over three days, documenting the volumes passed and those taken orally, is also extremely helpful, particularly in patients with irritative symptoms. Symptom scores (e.g. IPSS) allow quantification of the patient’s symptoms and a comparison over time of any changes that occur. Further investigation will depend on the result of the clinical assessment and urine culture. A patient with a normal urine culture and non-malignant DRE who is minimally bothered may require minimal intervention.
The following series of investigations are indicated in appropriate patients with poor urinary stream or LUTS:
1. urine microscopy, culture and sensitivity in all
2. urine cytology, upper tract imaging and cystoscopy in those with haematuria detected
3. renal tract ultrasound is performed when information regarding renal anatomy and upper tract changes (e.g. hydronephrosis, stones or tumours), bladder anatomy and post-void residual is sought
4. flexible cystoscopy is performed when urethral anatomy is in question (stricture, previous prostatic surgery) or when bladder pathology needs to be excluded
5. voiding flow rate and residual is a useful adjunct in assessing obstructive LUTS and may give clues to aetiology by its pattern
6. serum creatinine urea and electrolytes should be performed if renal function is suspected to be abnormal
7. urodynamic assessment
8. prostate-specific antigen.
Urodynamic assessment. Urodynamics is the study of pressure and flow relationships during the storage and transport of urne within the urinary tract. Urodynamic assessment aims to investiagte bladder filling and voiding function, accurately define bladder storage disorders and assess the severity of voiding dysfunction. This will be required in those suspected of having bladder dysfunction due to a hypocontractible bladder or with symptoms potentially unrelated to obstruction. This applies particularly to young patients and to those with predominantly storage/irritative symptoms of dysuria, frequency and urgency; these latter symptoms are less likely to respond well to prostatectomy than obstructive symptoms. Patients with a major neurological diagnosis, such as stroke, spinal cord injury or multiple sclerosis, are likely to require urodynamics.
Prostate-specific antigen (PSA). PSA is a serine protease produced by prostate cells and involved in the liquefaction of semen. It is a prostate-specific test that is elevated in conditions that affect the prostate, such as infection, hypertrophy, infarction and malignancy. As a result it is an imperfect test as a screening tool for prostate malignancy. The current recommendations by the Urological Society of Australia and New Zealand as to who should receive a PSA test reads ‘PSA based testing, and subsequent treatment where appropriate, has been shown to reduce prostate cancer mortality in large randomised studies and therefore should be offered to men after informing them of the risks and benefits of such testing. Valuable predictive information can be obtained through even a single PSA test and prognostic information can be obtained by biopsy where indicated. Where possible, over-treatment should be avoided and surveillance with early intervention discussed with carefully selected patients’.[1] Hence the test can be offered to fit men with a good life expectancy, with or without LUTS if they are adequately informed prior to the test of its limitations and the likely ramifications of the test returning positive. As this is an area of controversy the reader is urged to refer to the latest literature on the topic and the guidelines produced and updated by their local professional bodies. The upper-most value of the PSA test as normal is also a point of contention but for most purposes, normal is less than 4 ng/ml. However, in a younger male with a small prostate, lower values may be considered abnormal. If concern exists, the patient should be referred to a urologist.
PSA values may be very high in metastatic disease. In the lower ranges of PSA, different ancillary tests may be done to further enhance the specificity of the test. An estimation of the free:total PSA ratio may be helpful in men with a PSA between 4 and 10 ng/mL to further assess their risk of prostate cancer. PSA is usually circulating complexed to binding proteins, with less than 30% found free in serum. In cancer, there is more complexed PSA and less free PSA, leading to a lower ratio than, for example, in BPH. Each laboratory will refer to a particular reference range but a free:total ratio that is low (less than 10%) has up to a 50% risk of cancer being detected. Further manipulations of PSA to increase the positive predictive value of the test include estimations of PSA density (a density greater than 0.15 ng/mL per cc volume of prostate on TRUS estimation confers and increased risk of cancer) and tracking PSA over time to assess the velocity of the PSA rise. A velocity of more than 0.75 ng/mL/year or a doubling time of less than two years is significant for increased risk of cancer.
Bone scan is done as a staging procedure if prostatic cancer is diagnosed. Technetium phosphate complexes have greater uptake in areas of bone formation stimulated by tumour, inflammation or repair. Scans cannot distinguish the various causes of increased uptake, so X-rays of ‘hot’ areas are performed to differentiate Paget’s disease, arthritis and fractures from malignancies. In about one-fifth of bone scans positive for metastases no radiographic abnormality is seen — X-ray changes of metastases are not visible until about half the bone has been destroyed.
Transrectal ultrasound and biopsy (TRUS biopsy). Prostate biopsy is performed for investigation of an elevated PSA or abnormal DRE to detect if prostate cancer is present. It is done with a transrectal ultrasound probe under antibiotic cover, usually with some form of anaesthesia, and usually 8–12 samples or cores of tissue are taken. The Gleason pattern, which describes the histological degree of differentiation in the cancer, is decided from the biopsy and gives prognostic information used in the planning of treatment.
CT scanning of the pelvis and abdomen helps stage malignant disease in some cases.
Treatment plan
1 Prostatic obstruction
Prostatic obstruction due to BPH. Only a proportion of those with symptoms come to surgery. Prostatectomy is indicated if:
• complications of obstruction have occurred — acute retention or overflow incontinence, urinary infections, stones, renal failure or ongoing haematuria
• significant obstructive symptoms exist — hesitancy, poor stream, postmicturition dribbling, and they are bothersome
• significant obstruction exists on investigations — trabeculation of bladder, diverticula, residual urine, upper tract dilatation
Conservative treatment is appropriate for many men with poor urinary stream due to BPH. Some men will require no intervention and a policy of observation may be adopted. Alternative medicines such as saw palmetto, for which there is some published data to support its use, might be used. For men with more bothersome symptoms wishing to avoid surgery, alpha-blockers such as prazosin or the more selective, tamsulosin, may be prescribed. 5HT reductase inhibitors such as finasteride lead to gland shrinkage by blocking the peripheral conversion of testosterone to dihydrotestosterone and can be used in conjunction with an alpha-blocker. They are not widely used in Australia due to side effect profile and cost. For men who are poor operative candidates, intra-prostatic stents can also be used but these carry the risk of encrustation and migration.
The operative procedure is now almost invariably transurethral resection of the prostate (TURP) using a resectoscope (endoscopic). The method is suitable for BPH, fibrous prostates or malignant prostates causing obstruction (Fig 9.8a and b).

Figure 9.8a Endoscopic view of prostate pre-TURP

Figure 9.8b Endoscopic view of prostatic fossa post resection with verum montanum in foreground
Complications of TURP include haemorrhage and clot retention, urinary infection and septic shock, stress incontinence and stricture. All patients should be aware that due to the resection of the bladder neck, retrograde ejaculation will result in nearly all cases. Patients may also experience erectile dysfunction after a TURP, though this is thought to be more in keeping with the age-related decline in erections than the surgery specifically and occurs in only around 5% of men. TUR syndrome occurs where there is absorption of the irrigation solution into the bloodstream. This risk is reduced by using isosmolar nonelectrolyte bladder washout solutions. Ablation of tissue can also be achieved using a holmium laser, which has the advantage of using the saline as the irrigant and therefore can treat larger prostates due to a lessened restriction on time of resection.
Alternatives to the traditional TURP with electrocautery include minimally invasive techniques such as microwave therapy or transurethral needle ablation (TUNA) of the prostate. These treatments have less overall impact on symptoms but possibly also less side effects and can be done as a day case. However, they have had a relatively low uptake and have not always proved to be as expeditious as anticipated. Day-case prostatic removal techniques are in constant evolution with lasers (e.g. photoselective potassium titanyl phosphate (KTP) ‘green light’ laser vaporisation) being performed in increasing numbers.
Carcinoma of the prostate. Treatment depends on the stage of disease and the complications caused by local or metastatic disease. Treatment is often undertaken in the multidisciplinary environment and patients may require input from urologists, radiation oncologists, medical oncologists, specialist urological and oncological nurses and palliative care depending on the stage of their disease and the treatment required. Specific complications of advanced disease include acute or chronic retention, painful metastases, pathological fractures and obstructive renal injury.
Prostatic cancer is staged using the TNM system. This is quite complex and for purposes of simplicity, treatment is predicated on whether the cancer is ‘organ confined’ within the prostate or has spread and become advanced and on the patient’s overall health status.
Men who present with early or organ-confined disease, and who are medically fit, will usually be offered treatment with intent to cure. This treatment may be radical surgery with removal of the prostate and re-anastomosis of the bladder to the urethra. Alternatively they may undergo radiotherapy. Both surgery and radiotherapy can take different forms. Surgical removal is commonly open surgery in the extraperitoneal retropubic space with a lower abdominal incision. A perineal approach can be used. The increasing use of laparoscopy and robotics has facilitated surgical removal, with potential improvements in the rate of recovery.
Radiotherapy can be external beam or by placement of low-dose radioactive seeds into the prostate (brachytherapy). High-dose brachytherapy with iridium wires can be administered, usually in conjunction with external beam radiotherapy, in men with higher risk disease.
All radical treatments for prostate cancer carry varying risks to future potency, continence and surrounding structures; for example, rectal toxicity associated with radiotherapy. For this reason, extensive pre-treatment counseling takes place to discuss the various risks and benefits of each approach.
A subset of men with low volume and histological low-grade disease may be offered active surveillance for their disease. This is because the biology of these tumours is such that they may not progress and the patient’s eventual death might be due to other causes. This is of particular importance in the older patient or one who is unfit for medical reasons. The decision to undertake active surveillance with regular PSA monitoring, DRE and possibly biopsy is done after careful urological consultation. There is an expectation that in some men, deferred radical treatment will be offered if their disease parameters change during the period of observation. Unexpected malignancy found on TUR is usually well differentiated and of low biological activity and can be followed by active surveillance.
In the case of advanced disease, where the aim of treatment is quality of life, the mainstay of treatment is androgen deprivation. Most prostate cancer begins as a hormone-dependant cancer and the removal of androgens, chiefly testosterone, results in a measurable decline in PSA and a clinical regression of the cancer both locally and distantly. This has not been conclusively demonstrated to prolong cancer-specific survival; however, there is emerging indirect evidence that it might and there are benefits in terms of symptomatic relief and quality of life. Historically, endocrine treatment with androgen deprivation was achieved by orchidectomy but the development of luteinising hormone, releasing hormone agonists that therefore block testicular testosterone production via a feedback loop, have lessened the requirement for orchidectomy, though the two approaches are equally efficacious, but the side effect profile differs marginally. Any form of androgen deprivation is associated with side effects related to the loss of circulating testosterone, in particular, loss of libido and potency, osteoporosis, alteration in haematological and biochemical parameters including anaemia and lipid metabolism changes, altered body fat distribution, hot flushes and changes in executive mental functioning. Patients require ongoing monitoring of these metabolic parameters, which often requires assessment by an endocrinologist.
During the ongoing management of advanced disease patients may require a variety of treatments aimed at improvement of quality of life. These might include TURP for patients with acute retention or those with persisting obstructive symptoms and can control persisting haematuria. Palliative radiotherapy is indicated for painful skeletal metastases uncontrolled by hormones. Intravenous radioisotopes are helpful for more widespread bony metastases but have significant haematologic toxicity.
Newer treatments for advanced disease that may in the future improve longevity include bisphophonates and taxane-based chemotherapy. These agents have some toxicity and are currently under further investigation.
2 Urethral stricture
Urethral stricture is treated according to its site and size and the patient’s age. This may include regular dilatation using graduated sounds, visual urethrotomy with a cold knife or laser via a urethroscope or formal open repair with or without a graft.
3 Phimosis and meatal stenosis
The treatment of phimosis and meatal stenosis is considered in Chapter 9.8.
9.6 Urinary retention
Acute retention of urine causes painful distension of the bladder with inability to void. The diagnosis is usually (but not always) obvious.
Causes
1. Bladder neck obstruction — benign or malignant prostatic disease
2. Urethral stricture
3. Functional causes — after spinal anaesthesia and pelvic operations
4. Less common causes
Clinical assessment
Retention may be acute or chronic. Acute retention is associated with a painfully distended bladder that can be palpated above the pubis on physical examination as a tense, dull, pear-shaped midline swelling arising out of the pelvis. Suprapubic compression causes an urge to urinate with lesser degrees of distension. By far the most common cause of acute retention in the elderly male is benign or malignant prostatic obstruction; occasionally a lower tract stricture is responsible. It is notable that the obstruction caused by benign prostatic enlargement is dynamic; the prostate can be easily traversed by a large instrument or catheter, it is just that the pressure flow dynamics between the bladder and outlet have progressed to the point where no urine will pass. Drugs often contribute to precipitating an episode of acute retention, particularly in elderly males. Alcohol, anticholinergic agents, sympathomimetic agents, beta-blockers and tricyclic antidepressants are the most common. Acute retention may also be due to neurologic disorders such as multiple sclerosis or spinal injury or may be of psychogenic origin. In women, apart from neurogenic and psychogenic causes, the gravid uterus or fibroids or an ovarian cyst may cause retention by pressing on and obstructing the bladder. Postoperative retention is usually acute and follows operations on the abdomen, pelvis, perineum, anorectum, genitalia and inguinal region and is due to pain inhibiting relaxation of the external sphincter and contraction of abdominal muscles.
Chronic painless retention in elderly males, due to longstanding prostatic obstruction, may be associated with overflow incontinence and with renal injury.
Diagnostic plan
The assessment of acute retention is similar to that of the patient with LUTS. All patients should have their urine checked for infection (urine microscopy, culture and sensitivity) and this will often be done with placement of a catheter. Any urinary infection is treated. Tests of renal function with serum electrolytes and creatinine and urea should be done at initial assessment. PSA is not routinely performed, as the retention event will artificially elevate the result. It should be used only if there is an obvious extensive palpable cancer or suspicion of metastatic disease, which would usually markedly elevate the result.
Treatment plan
Conservative treatment should be tried first. The patient should be encouraged to void in privacy and in a warm environment and, if possible, is allowed to stand out of bed or use a toilet or a commode. Pain is relieved by opiate injection; running taps are also helpful. If these measures are unsuccessful, an anxiolytic agent, such as diazepam, and a warm bath may prevail. The addition of alpha-blockers, such as tamsulosin, in those patients with suspected bladder outflow obstruction due to BPH may be of use, especially in the setting of a trial of voiding (see below).
Conservative measures are of greatest help for those without a preceding history of bladder neck obstruction. In patients with a preceding history of poor stream, they are less likely to be successful, but still should be tried.
Catheterisation will be necessary for unrelieved retention. The catheter is left indwelling in those with a significant preceding obstructive history while their investigations proceed. In those without preceding problems, the catheter is removed after emptying the bladder (trial of voiding). If catheterisation is again required, the catheter is left indwelling pending investigation.
Technique. The technique of urethral catheterisation must minimise the risk of introducing infection in both sexes. Bacteria may come from the urethra and its environs and from the catheter contacting other unsterile objects. Breaches of asepsis are particularly liable to occur if the first attempt does not succeed and the catheter is inserted and removed several times with increasing frustration, impatience and discomfort affecting both operator and patient. Damage to the urethral mucous membrane is more likely in the male and other risk factors are a brusque and intemperate technique and the presence of urethral or prostatic pathology. Ensuring the catheter is in the bladder (flow of urine sited) prior to balloon inflation will prevent urethral injury.
Catheterisation is facilitated by adequate opiate analgesia and by initial lubrication of the urethra by an anaesthetic gel (1% lignocaine).
Using presterilised single-use catheters made of plastic, latex rubber or silicone rubber is now routine. Catheters, bougies and sounds are calibrated on the French (or Charrière) scale, which indicates external circumference in millimetres (so dividing by three gives the approximate external catheter diameter in millimetres).
The simplest catheter (Nélaton) is straight with a smooth round tip and subterminal side holes. The Tiemann catheter has a less flexible, curved olivary tip to aid in negotiating a urethra distorted by prostatic enlargement or stricture. These simple catheters are only used if the catheter is to be removed after relief of the retention (an ‘in/out’ catheter). For simple bladder evacuation a small (12F) Nélaton catheter is thus adequate as a first choice.
Further specialised types of catheters increase the range (e.g. the more exaggerated curves of the coudé and bicoudé catheters) but are infrequently used. The curved introducer of the Foley catheter also mimics the curve of the posterior urethra and adds a degree of rigidity to the otherwise flexible catheter. Use of an introducer increases the risk of urethral damage and inadvertent false passage and should be restricted to those who have had the required training in their use. Finesse and gentleness must never give way to forceful impatience. If blood clots or other debris require drainage or aspiration, a wide-bore catheter (22 or 24F) that will tolerate suction without collapsing is required; for example, a whistle-tip catheter (with end and side holes) is suitable.
For patients with acute retention requiring continuing drainage, a balloon catheter, preferably made of silicone rubber, is desirable. The catheter should not be so large as to hinder free drainage of urethral secretions and a 12F Foley catheter is satisfactory in an adult in most cases. If a Foley catheter cannot be passed, a thinner (6–8F) plastic Gibbon catheter may succeed in navigating a stricture, but often if stricture is present direct visualisation will be needed or suprapubic drainage. In the instance of a large prostate, it is often easier to pass a larger size 16 or 18F catheter with a little more inherent rigidity than a smaller catheter. It will more easily pass through the curve of the bulbar urethra without coiling up than might a smaller bore catheter. If urethral catheterisation for urinary retention is unsuccessful, the distended bladder can be drained suprapubically by percutaneous insertion of a balloon suprapubic catheter. Again, an experienced operator is required and kits based on Seldinger techniques now exist to ensure safe suprapubic puncture without traversing other organs or vessels. Any patient who has had a prior laparotomy or has a lower midline abdominal incision should have a preplacement ultrasound to mark the site of safe puncture (Fig 9.9).

Figure 9.9 Catheterisation of a distended bladder by percutaneous puncture
Acute retention due to prostatic obstruction and with pre-existing symptoms of bladder outlet obstruction is an indication for prostatectomy. After passage of a silicone-rubber urethral catheter and connection to a closed drainage system, preoperative tests and preparation are performed.
9.7 Urinary incontinence
Urinary incontinence (involuntary loss of urine) is a particularly distressing symptom. In women, it most commonly relates to the stresses of parturition and the ageing process and in men, to partial bladder neck obstruction, but many other causes, including infections, operative injuries, neurologic bladder lesions and bladder contracture after radiation, exist. Functionally, incontinence may relate to bladder neck and sphincter problems or to problems of the detrusor mechanism. The assessment of urinary incontinence often overlaps with that of LUTS, as the two may coexist. Nocturnal enuresis (loss of urine occurring during sleep) may be considered a subtype of incontinence but is usually dealt with as a specific isolated symptom when it occurs (monosymptomatic nocturnal enuresis).
Types of urinary incontinence
1. Stress incontinence (urethral hypermobility, intrinsic sphincter deficiency)
2. Urge incontinence (detrusor overactivity)
3. Continuous or total incontinence
Clinical features
These vary with the cause and may also commonly overlap.
1 Stress incontinence
Urethral incontinence of small volumes occurs with coughing, sneezing, straining and laughing. Nocturnal frequency and incontinence do not usually occur.
Stress incontinence is very common in women. The normal competence of the female urethra depends on:
• the supports of the bladder neck and urethra maintaining the position of the proximal urethra above the pelvic floor
• the competence of the urethral sphincter, which is situated at about the mid-urethral level.
Parturition predisposes to weakening and stretching of the sphincter and to urethral descent (hypermobility). Cysto-urethral descent can be observed clinically, by cystography or on ulstrasound. Urodynamic studies can measure sphincter competence. Elevation of the urethra (by intravaginal pressure) may be observed clinically to control incontinence.
The sphincteric tone can be inhibited by alpha- antagonists (prazosin), by angiotensin converting enzyme inhibitors and by a number of other agents that may contribute to stress incontinence. Oestrogen status also affects urethral competence and postmenopausal oestrogen lack may contribute to incontinence.
2 Urge incontinence
Patients with urge incontinence have frequency of micturition by day and night, cannot put off the desire to void and may be incontinent on the way to the toilet, often with large volume losses. Factors causing local irritation or stimulation of the detrusor muscle, such as urinary infections, stones, tumours, neurological lesions and the urethral syndrome, must be identified, but in many cases the cause is idiopathic detrusor overactivity. Detrusor overactivity (which is an urodynamic diagnosis) or OAB can lead to LUTS or incontinence (OAB wet). Other factors contributing to overactivity or low compliance of the bladder are a small capacity bladder, due to irradiation or chronic infection. Detrusor overactivity may also be caused by neurological disease and a history should be sought in all cases of urge incontinence. Careful neurological assessment to exclude neuropathies includes testing for perineal sensation, anal sphincter tone and for scrotal and anal reflexes.
It is common for patients, especially females, to present with mixed incontinence, that is, a mixture of urge and stress-related symptoms or the complaint of involuntary loss of urine associated with urgency and also with effort or physical exertion. Where conservative measures fail in these cases, urodynamics may assist in diagnosis (see next page).
3 Continuous or total incontinence
In continuous incontinence, dribbling of small amounts occurs at all times. It is clearly important to exclude neurogenic and anatomic causes or that overflow is occurring, as described below. Ectopic ureters or urinary fistulas may cause extra-urethral incontinence. Overflow incontinence causes continual dribbling also, but the bladder is constantly full. Organic bladder neck obstruction from prostatic disease or neurogenic causes are usually responsible. Inability to prevent post-micturition dribbling accompanies prostatic obstruction in elderly males. In females, neuropathies, detrusor abnormalities causing a hypocontractile or atonic bladder and drugs with anticholinergic effect are other likely causes.
Bladder distension with overflow incontinence is identified by physical examination and by checking for residual urine. Over 100 mL is significant in adults but a single measure of a residual in this vicinity is not diagnostic of voiding dysfunction. The pattern of residuals over time is more important and their relationship to the voided volume should be observed. Patients who are asked to present for assessment with a full bladder may be over distended and will record a residual on voiding.
Treatment plan
Irritative conditions (especially infections) must be diagnosed and treated and anatomic abnormalities causing extra-urethral incontinence identified.
Treatment is then primarily aimed at correcting urethral hypermobility or intrinsic sphincter deficiency causing stress incontinence or the OAB. Overlap of the two conditions is common and characterisation of the cause can be helped in difficult instances by urodynamic studies, which are used to demonstrate objective abnormalities. Bladder pressures and flow rate recordings can be combined with radiographic imaging (video or fluoroscopic urodynamics). Parameters measured include flow rate, residual urine, bladder volume, compliance, and voiding pressures and imaging during voiding.
1 Stress incontinence
Conservative treatment includes pelvic floor exercises, perhaps with biofeedback, correction of obesity and constipation, cessation of aggravating medications, fluid management and oestrogen replacement.
Over 100 operations have been described to correct stress incontinence. Most aim to buttress and support the tissues surrounding the bladder neck and to draw the urethra upwards behind the pubis. Abdominal or vaginal approaches can be used to achieve these aims. The most common procedures now rely on the passage of synthetic, autologous or biomaterial slings or tapes around the mid or proximal urethra and into either the retropubic space or via the obturator canal (Figs 9.10a and b). Retropubic (Burch) colposuspension is another option that can be performed either open or laparoscopically for the treatment of incontinence.

Figure 9.10a Fascial sling for stress incontinence
Based on Cardozo & Staskin, 2006

Figure 9.10b A retropubic tape such as a TVT and a transobturator tape through the same pelvic bones
From Reiffenstuhl, 1996
2 Urge incontinence
Elimination of obvious causes of irritation, neuropathy (such as upper motor neurone lesion) and obstruction, as well as urodynamic studies with cystometry, will identify by exclusion a group in whom no clearly defined abnormality can be detected and who are classified as having idiopathic detrusor instability. Anticholinergic drugs (oxybutinin, tolterodine, solifenacin, darafenacin) may help, together with bladder drill. Newer approaches include the injection of intradetrusor botulinum toxin, which has reduced the need for more complex surgical procedures, including augmentation cystoplasty (incorporation of a patch of bowel onto the bladder dome).
Management of complex cases of incontinence
Urinary diversion, most commonly in the form of ileal conduit formation where the ureters are anastomosed to the proximal end of a segment of ileum the distal end of which is brought to the surface as a stoma, does not cure urinary incontinence but merely substitutes for it a controllable abdominal fistula. It is rarely required for intractable incontinence usually associated with neurological dysfunction where the upper urinary tract may be at risk from high baldder pressures or in the case of radiation damage.
Sphincter replacement. When urinary incontinence results from permanent damage to the sphincter mechanism (e.g. in lower motor neuron lesions such as spina bifida or postoperatively after radical prostatectomy), urinary continence can be restored in both sexes by the implantation of artificial sphincters. These involve a silicone cuff surrounding the urethra connected to a reservoir and a small pressure pump that inflates the cuff and is buried suprapubically or in the scrotum or labium. A suitably placed valve is also buried and pressure on this allows the cuff to deflate and voiding to occur.
Chronic painless retention with overflow incontinence is treated by transurethral prostatectomy. These patients are at greater risk of perioperative renal failure.
9.8 Penile lesions
The penis has urinary and sexual functions. Disorders can be grouped anatomically and functionally.
Common causes
1. Disorders affecting the foreskin
2. Disorders affecting the urethral meatus
3. Disorders affecting the glans
4. Disorders affecting the shaft
5. Sexual and functional disorders
6. Sexually transmitted infections
Clinical assessment and diagnostic tests
1 Disorders affecting the foreskin
Phimosis is stenosis of the preputial orifice, preventing its free retraction over the glans. The foreskin is usually nonretractile over the first few months of life. Congenital soft adhesions between the prepuce and glans are normal for several months after birth; they normally separate by six to 18 months of age, allowing retraction of the foreskin over the glans. By one year more than 50% will retract. Occasionally, congenital phimosis persists, with ballooning of urine beneath the prepuce on micturition. More commonly phimosis is due to fibrosis following infection or trauma in the adult. Recurrent infection of the glans and preputial sac (balanoposthitis) is both a cause and a common complication of phimosis. Most such infections are nonspecific and associated with poor hygiene; diabetes can be a factor. The prepuce must be retracted to perform an adequate clinical examination of the glans; occasionally a carcinoma of the glans or an infective ulcer of venereal origin is revealed as the cause of phimosis.
Paraphimosis is inability to replace the prepuce over the glans after its retraction, due to a constricting ring behind the glans. Paraphimosis is a potential danger of forcible retraction of a phimosed prepuce. Paraphimosis is a specific danger after urethral catheterisation if the foreskin is left retracted after catheter insertion. Continuing paraphimosis leads to oedema and congestion of the glans, creating a vicious cycle. On examination the glans is swollen and oedematous. A deep groove is seen just proximal to the glans, created by the tight meatal skin. This constricting band may spontaneously split, ulcerate and weep.
Traumatic ulcer may be slow to heal and resemble a venereal ulcer. Circumcision may be necessary if chronic infection becomes established.
2 Disorders affecting the urethral meatus
The normal external meatus is a sagittal slit and is normally the narrowest point of the urethra. The urethra immediately proximal to the orifice is dilated, causing rotational streaming and focusing of the issuing urinary stream.
Hypospadias is malpositioning of the urethral orifice on the underside of the penis. Congenital hypospadias may be glanular (most common), coronal, penile or perineal. An associated fibrous band between the orifice and the normal position of the urethral meatus is often present and may cause bowing of the penile shaft (chordee).
Epispadias, the reverse disorder, is much less common and is usually associated with gross defects of fusion of the anterior bladder and urethra and of the pelvic girdle (extroversion).
Meatal strictures may be congenital or acquired. A meatal ulcer is a common problem in infancy and is virtually confined to circumcised infants. Meatal strictures can follow ammoniacal dermatitis (nappy rash) in babies. Any urethral discharge should be noted, its character observed and a bacteriologic swab taken for smear and culture.
3 Disorders affecting the glans
Discharge from the prepuce with inflammatory skin changes suggests an underlying disorder. The glans is examined after gently retracting the prepuce fully. Balanitis and balanoposthitis are often nonspecific but may be due to a number of specific venereal infections or secondary to malignant or premalignant conditions. Ulcers of the penis are most commonly found on the glans. It is advisable that a penile ulcer be considered infective and gloves should be worn when examining the penoscrotal area.
Cancer of the penis is uncommon or unknown in circumcised individuals and seems also largely preventable by adequate hygiene.
Premalignant lesions of the glans include:
• leukoplakia, an area of whitish, painless indurated epithelium secondary to chronic balanitis
• erythroplasia of Queyrat (or Paget’s disease), an indurated plaque of epithelium of similar origin with a violaceous hue, which is similar to Bowen’s disease of the skin elsewhere and indicates carcinoma-in-situ of the glans, prepuce or shaft.
Carcinoma of the penis usually starts as a nodular warty growth on the glans near the coronal sulcus or on the inner aspect of the prepuce. The lesion may initially resemble a venereal wart. Progressive growth causes a purulent or bloodstained discharge and the lesion has the typical characteristics of a squamous cell carcinoma with elevation, induration and fungative ulceration. Associated lymphadenopathy may be infective or neoplastic. Carcinoma is usually seen in elderly patients with poor hygiene.
4 Disorders affecting the shaft
Sebaceous (epidermoid) cysts are most common in the scrotal skin but may occur on the penis.
Subcutaneous induration of the shaft with a firm, nontender plaque of fibrous tissue in the fascia surrounding the corpus cavernosum on one or both sides is due to Peyronie’s disease, a condition of unknown cause akin to Dupuytren’s disease and which results in irreversible damage of the tunica albuginea of the corpora cavernosa. Peyronie’s disease is one of the causes of chordee during erection (Fig 9.11). The natural history of the disease is an active and painful phase of plaque development and then a quiescent phase. The active phase is treated symptomatically and no further treatment of the quiescent phase is required unless chordee that limits voiding in the upright position or sexual penetration results from the plaque.

Figure 9.11 Peyronie’s disease
From Andrology Australia
5 Sexual and functional disorders
Impotence is a common problem and is defined as failure to obtain or maintain an erection strong enough for satisfactory sexual activity. Organic causes can be grouped by aetiology and are most commonly: vasculogenic, associated with and having the same risk factors as generalised vascular disease; traumatic, particularly to the pelvic nerves and vasculature (including surgery for prostate cancer); neurogenic, including spinal cord injury and multiple sclerosis; endocrine, including diabetes, where the autonomic neuropathy and vascular insufficiency result in loss of erections; any debilitating disease (anaemia, carcinoma); and old age. Many drugs are thought to be contributory (alcohol, opiates, hypotensives, phenothiazines and sedatives), although the association is often poorly understood. Functional causes associated with psychogenic factors are not as common and, as a primary cause, are diagnoses of exclusion once organic causes have been excluded.
Priapism is a prolonged erection of greater than six hours and is a urological emergency. It can be considered as high flow (arterial) or low flow (venous) in cause. Low-flow priapism occurs where there is venous stasis that can be due to multiple causes, including persistent spasm of the venous smooth muscle sphincters that maintain erection, after use of intracavernosal injection for impotence, conditions causing hypercoaguable states such as sickle cell anaemia, multiple myeloma or leukaemia, other malignancy and other drugs including anticoagulants, phenothiazine, fluoxzetine and cocaine. High-flow priapism results from an arteriovenous anomaly after pelvic, perineal or penile trauma and unlike low-flow, is generally not painful early on. If prolonged, priapism of either cause will lead to thrombosis of the veins draining erectile tissue. Subsequently, even though priapism is relieved, there may be permanent impotence. The corpora cavernosa are stiff and distended and painful, the corpus spongiosum and glans are flaccid.
Impaction of foreign bodies and lacerations are usually due to measures aimed at maintaining or inducing erection or to unusual forms of sexual behaviour (fetishism).
Haemospermia can occur with urinary infections or epididymo-orchitis or occasionally as an isolated event. Thorough urological work-up and investigation as for haematuria, with the addition of a transrectal ultrasound and semen analysis, are performed; about half of the cases are found to be idiopathic.
6 Sexually transmitted infections
The management of sexually transmitted infections (STIs) requires up-to-date knowledge of diagnostic and treatment practices, awareness of contact tracing and compassionate non-judgemental care. An increasing number of patients with STIs have human immunodeficiency virus (HIV) infection, with either overt disease or positive antibody titre. All patients who present with a suspected STI should be screened for HIV and hepatitis B and C.
Syphilitic (Hunterian) chancre. As a general rule it should be assumed that an ulcer on the glans penis is a syphilitic ulcer until proved otherwise. Care to prevent cross-infection should be taken. The ulcer takes about four weeks to appear from the time of contact. The chancre is usually painless. The lesion first appears as a firm reddened macule, usually in the coronal sulcus which, in most cases, undergoes ulceration and eventually regresses. The inguinal lymph nodes are invariably enlarged and are firm, discrete and mobile. Patients are not toxic at the time of penile ulceration but become so during the secondary stage of the disease (about six to eight weeks after the appearance of the penile lesion). The causal organism, Treponema pallidum, is recognised by dark-field examination of exudate obtained from the lesion. The diagnosis may also be made by positive serology. Pain during micturition with a purulent discharge is commonly due to gonococcal urethritis. The causative organism is Neisseria gonorrhoea. Infection often also involves the epididymis, seminal vesicles, prostate and bladder. Urethral stricture is a late complication.
Ulceration, particularly if painful, may be due to herpes simplex infection. This viral infection starts as a patch of erythema on the inner surface of the prepuce or on the glans, which develops vesicles and pustules that, on abrasion, form small ulcers. The diagnosis is made cytologically by finding the characteristic ‘ground glass’ inclusion in giant cells from the involved epithelium. The common venereal viral warts (condylomata acuminata) occasionally ulcerate. Rare causes of ulceration include chancroid (soft chancre). Chancroid is an acute ulcerative lesion with lymphadenopathy caused by Haemophilus ducrey. Other diseases diagnosed by smear and culture are lymphogranuloma venereum (Chlamydia) and granuloma inguinale (Donovan bacillus). These infections are commoner in tropical countries. Penile candidiasis presents as an itchy balanitis with white plaques. All these forms of ulceration are common in patients with HIV infection.
Treatment plan
Phimosis and chronic balanitis are treated by circumcision. Paraphimosis should be reduced with the aid of analgesia and sedation, if possible; if necessary, a dorsal slit is made in the constricting band. Circumcision is usually necessary for permanent relief.
The treatment of carcinoma is by amputation or local excision with a 2 cm margin. Inguinal gland management is usually delayed because of the frequency of infection within the nodes. In many cases the nodes disappear with control of infection. Later excision of inguinal nodes is essential if they are involved. The decision to explore and excise impalpable lymph nodes is based on the assessment of the overall risk of the disease as determined by the clinical stage, histological grade and the presence of vascular invasion on histology.
Management of impotence has been revolutionised by the development of phosphodiesterase type 5 (PDE5) enzyme inhibitors. These drugs act in the breakdown of cyclic guanosine monophosphate (cGMP), which causes smooth muscle relaxation in the arterioles of the corpora cavernosa, hence increasing intracavernosal blood flow and invoking erection. These drugs (sildenafil, tadalafil and vardenafil)can be taken by most patients, except where there is concomitant nitrate use for the management of angina. There is a small incidence of minor side effects such as headache and facial flushing.
Initial management of impotence therefore should take place in the general practice or primary care setting where, after careful history and examination to exclude organic pathologies that should be otherwise treated, a trial of PDE5 inhibitors may take place.
Local intracavernosal injections of a vasodilator, such as alprostadil or a papaverine-based mixture, can be used in patients who do not respond to PDE5 drugs. Long-term compliance with this treatment is poor.
Implanting an inflatable penile prosthetic device, which have high satisfaction and efficacy rates, are suitable for men who want a long-term ‘cure’ of their erectile dysfunction.
In about a quarter of cases of priapism there is an associated malignancy. If initial treatment with cold showers and oral pseudoephedrine fails then intracavernosal washout with saline followed by a dilute solution of phenylephrine with cardiac monitoring should be attempted. If these measures fail, then a shunt between one of the corpora cavernosa and the corpus spongiosum or between corpus cavernosum and saphenous vein should be carried out within six hours. Impotence is a common sequel of persistent priapism.
Sexually transmitted infections usually respond to antibiotics. Syphilis and gonorrhoea are treated with penicillin. Azithromycin 1 g orally in a single dose or doxycycline 100 mg orally two times a day for seven days is the treatment of choice for nongonococcal urethritis in men or other infection with Chlamydia trachomatis. Uncomplicated gonococcal infections are treated with ceftriaxone. Herpes genitalis is treated with acyclovir and the modern antiretroviral medications have greatly improved the prognosis of HIV infection, but this should not impact on the judicious use of condoms and needle exchange to prevent spread of the disease. Chancroid is treated with sulfonamides, granuloma venereum and inguinale with tetracycline and venereal warts are treated by local diathermy excision. Treatment of the patient’s partner is important in preventing recurrence.
The authors wish to thank Mr Chris Kimber, Dr Nathalie Webb and Mr Chris Love for their contributions to this chapter and to Mr John Kourambas for the illustrations.
1 Genitourinary Oncology Special Advisory Group (SAG) Factsheet: PSA Testing for Prostate Cancer. Urological Society of Australia and New Zealand. Online. Available: <www.urosoc.org.au/consumer-information>.