Michael F. McGee, MD and Brian C. George, MD
You evaluate an otherwise healthy 56-year-old man in the emergency department with a 4-day history of worsening left lower quadrant abdominal pain and fever. He has no evidence of peritonitis or sepsis. Computed tomography (CT) imaging of the abdomen and pelvis reveals sigmoid diverticulitis without abscess. The patient is admitted for a trial of bowel rest and broad-spectrum intravenous antibiotics. After 48 hours, the patient worsens clinically and undergoes sigmoid colectomy, end colostomy, and oversewing of the distal rectal stump (Hartmann procedure).
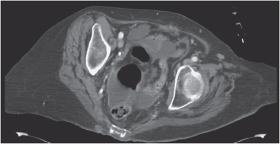
Six days later, while on call for the general surgery service, you are asked to evaluate the same patient who has been recovering uneventfully until now. He complains of new mild pelvic discomfort, anorexia, and difficulty voiding. His bowel function has not yet returned. He has a low-grade fever, mild tachycardia, and moderate right lower quadrant tenderness to deep palpation. A CBC with differential reveals leukocytosis with neutrophil predominance. CT of his abdomen and pelvis with oral and intravenous contrast reveals a 6-cm rim-enhancing pelvic fluid collection surrounding the rectal stump (see Figure 22-1).

Figure 22-1. Axial CT of a postoperative pelvic fluid collection.
1. Does this patient have an abscess or does he have a phlegmon?
2. Would this fluid collection be classified as primary, secondary, or tertiary?
3. Why does this patient have an ileus?
4. Is it reasonable to treat this patient with antibiotics alone?
5. What class of microbes should you cover with antibiotics?
6. Would you order this patient’s CT with oral, IV, or both types of contrast?
7. Based on the available CT imaging, do you think your interventional radiology (IR) colleagues would agree to drain this abscess percutaneously?
INTRA-ABDOMINAL ABSCESS
Answers
1. An intra-abdominal abscess (IAA) is a contained collection of infected fluid within the confines of the peritoneal cavity, with or without associated pockets of gas. A phlegmon, in contrast, is an inflammatory mass without identifiable fluid. The patient in the case vignette has IAA.
2. There are several ways to classify IAA, although the etiologic classification is the most common:
• Primary IAAs are monomicrobial infections that arise spontaneously without any identifiable breach of the gastrointestinal tract. Spontaneous bacterial peritonitis is an example of a primary IAA.
• Secondary IAAs result from spontaneous, surgical, or iatrogenic violation of the gastrointestinal tract and account for the overwhelming majority of abscesses encountered by the surgeon. Diverticular abscesses are a common example of secondary IAA.
• Tertiary IAAs are recurrent infections following treatment of primary or secondary abscesses. These recalcitrant IAAs typically contain antibiotic-resistant nosocomial infections.
Given the relative infrequency of primary and tertiary abscesses, this chapter will focus on secondary IAA, and more specifically on intraperitoneal secondary IAA, which is present in the patient in the case vignette.
3. IAA may present with a wide range of clinical manifestations. Classic findings for spontaneous IAA include fever, lethargy, leukocytosis, and abdominal pain or fullness. Rarely, IAA may present with overt peritonitis or sepsis. The local inflammation can cause changes in bowel habits, including nausea, vomiting, diarrhea, or constipation. Similarly, a prolonged postoperative ileus can often be the initial manifestation of postoperative IAA, as is the case in this vignette. Subphrenic abscesses can cause hiccups and a sympathetic pleural effusion, while pelvic abscesses can cause tenesmus, lower back pain, and urinary retention. Physical exam may reveal focal tenderness or occasionally a palpable abdominal mass, while low pelvic abscesses may be palpated on digital rectal exam.
4. Generally no. Systemic antibiotic therapy is thought to have poor penetration into an abscess cavity for several reasons. First, host neutrophils form an inflammatory rind of fibrin that encases and entraps the collection, walling the cavity off from host circulation and preventing penetration of circulating antibiotic. It also markedly reduces the oxygen available in the cavity, and as a consequence of these anaerobic conditions, the abscess cavity contents are usually acidic. This acid further reduces the efficacy of any antibiotic that does manage to penetrate the cavity.
For these reasons, classical surgical dogma states that antibiotics alone are not helpful and recommend source control via abscess drainage. Antibiotics should still be used, but only as adjunctive treatment for IAA in order to prevent extension of infection into the surrounding soft tissue. There are a few narrow circumstances, however, where it may be appropriate to violate the classical dogma and treat with antibiotics alone. For example, immunocompetent patients who only have small abscesses and do not have any other concerning signs (eg, peritonitis, sepsis) may not require drainage for full recovery. It bears emphasizing, however, that any patient with sepsis, peritonitis, or evidence of end-organ dysfunction requires emergent (likely surgical) drainage—in those cases, antibiotic therapy alone is typically not helpful.
5. Virtually all secondary IAAs contain gut flora. Common aerobes include Escherichia coli, Enterococcus, and Klebsiella species while common anaerobes include Bacteroides fragilis and Peptostreptococcus species. Suitable first-line antimicrobials include piperacillin–tazobactam, ticarcillin–clavulanate, ertapenem, or tigecycline as single-agent therapy, or combinations of metronidazole with cefazolin, cefuroxime, levofloxacin, or ciprofloxacin.
6. Both types of contrast should be used. Contemporary CT imaging can accurately diagnose IAA with a sensitivity and specificity that exceeds 90%. In the stable patient without indication for immediate surgical exploration, cross-sectional imaging presents important data to the surgeon regarding underlying abscess etiology and may provide nonoperative treatment alternatives that may obviate or temporize surgery until conditions are ideal. In special circumstances, ultrasound may play an ancillary role in diagnosing IAA with slightly lower accuracy rates compared with CT or MRI.
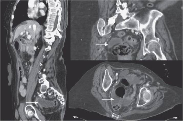
IAAs are defined on CT as a fluid collection with or without associated pockets of gas. An abscess is in contradistinction to a phlegmon, which is an inflammatory mass without identifiable fluid. Enteral contrast (either oral or rectal) can be a helpful adjunct that distinguishes loops of bowel from the abscess cavity and may provocatively assess anastomoses for leaks or fistulae. Intravenous contrast provides a pathognomonic “rim enhancement” that is seen along the outer rind of the abscess cavity. Abscess architecture can be classified as simple or loculated, referring to the degree of internal pockets or presence of septae. The location of the abscess, both absolute and relative to other organs, can be assessed and may diagnose the pathology responsible for the abscess (see Figure 22-2).

Figure 22-2. Axial, coronal, and sagittal CT reconstructions of a postoperative pelvic abscess.
7. The development of percutaneous image-guided drainage techniques in the early 1980s has markedly impacted the management of IAA. Prior to the advent of cross-sectional imaging, the diagnosis and management of IAA often required surgical reexploration that conveyed mortality rates as high as 40%.
IAA with favorable characteristics can often be managed with image-guided drain placement. Ideally, the target fluid collection must be well circumscribed and have radiographic characteristics of an abscess, rather than free ascites. There must be a radiographic window that permits a safe percutaneous trajectory for real-time image-guided needle passage without causing injury to other structures. Abscesses typically must be larger than 4 cm for consideration of drain placement, although smaller abscesses can be aspirated without placement of a drain or treated with antibiotics alone. Solitary, noncomplex, nonloculated abscesses are ideal candidates for successful image-guided drainage procedures with success rates of approximately 80%.
TIPS TO REMEMBER
IAAs with sepsis, peritonitis, or failing nonoperative management typically require prompt resuscitation and surgical exploration.
Image-guided drain placement is suitable for stable patients with confirmed abscess >4 cm. Smaller fluid collections can be aspirated under image guidance or treated with antibiotics alone.
Antibiotic therapy alone is only helpful for small abscesses or phlegmons. Larger abscesses require drainage via percutaneous or surgical approaches with antibiotics relegated to an adjunctive role.
Some abscess locations will not permit a safe radiographic window or trajectory for image-guided drainage and may require surgical drainage.
COMPREHENSION QUESTIONS
1. A 16-year-old male with a 3-week history of right lower quadrant pain presents to the emergency department. An abdominopelvic CT shows a 6-cm phlegmon adjacent to an inflamed appendix with small pockets of free air. He is febrile, mildly tachycardic, and normotensive without peritoneal signs. The next step of management should be which of the following?
A. Begin intravenous piperacillin–tazobactam.
B. Appendectomy.
C. Arrange for image-guided percutaneous drain placement.
D. Colonoscopy.
2. A 32-year-old woman with Crohn disease has been receiving inpatient intravenous steroids and antibiotics for 2 weeks. She suddenly develops fever and worsening abdominal pain. CT reveals a 6-cm rim-enhancing fluid collection adjacent to a thickened, inflamed terminal ileum. The next step of management should be which of the following?
A. Continue antibiotics and observe.
B. Terminal ileal resection and operative abscess drainage.
C. Arrange for image-guided percutaneous drain placement.
D. Start acetaminophen for fever and β-blocker for tachycardia.
3. A 55-year-old male presents to the emergency department with a 5-day history of worsening left lower quadrant pain. He is tachycardic and febrile with intense left lower quadrant tenderness. CT reveals a 7-cm left lower quadrant fluid and air collection adjacent to a segment of thickened sigmoid colon with multiple diver-ticula. After resuscitation and IV antibiotics his blood pressure is 85/60 mm Hg and he has left lower quadrant guarding. The next management step should be which of the following?
A. Sigmoid colectomy.
B. Broaden antibiotics to cover tertiary abscesses.
C. Arrange for image-guided percutaneous drain placement.
D. Repeat CT scan.
Answers
1. A. A chronic phlegmon without sepsis or peritonitis should be managed first with antibiotics and close observation. A chronic phlegmon may be hostile (difficult and dangerous to operate on), and surgery is reserved for sepsis or failure of medical therapy. A phlegmon typically contains no drainable fluid and is not amenable to percutaneous drainage. Colonoscopy may eventually be necessary to evaluate for inflammatory bowel disease, but is not necessary acutely.
2. C. Image-guided drain placement would be ideal for the stable patient with a drainable abscess. This patient is worsening despite 2 weeks of antibiotics and continued antibiotic therapy alone will not help. In this high-risk patient, operation would be reserved for failure of percutaneous drainage, sepsis, or peritonitis. Acetaminophen and β-blockers may only mask symptoms and will not treat the patient’s underlying pathology.
3. A. This patient requires abscess drainage. He is hypotensive, which determines the means by which you should drain the abscess. Hypotension makes image-guided drainage a risky procedure and is generally considered a contraindication. Instead, he should undergo prompt resuscitation and an emergent operation. Antibiotics play only an adjunctive role for a large drainable abscess. Short-interval re-imaging is wasteful, dangerous, and unhelpful in this hypotensive patient.