Marsha M. Neumyer
Study Guide
INTRODUCTION
Over the past two decades, there has been an explosive advancement in ultrasound transducer technology that has contributed to improved tissue penetration and image resolution. These developments have allowed exploration of the abdominal vasculature with ease and accuracy. Real-time two-dimensional imaging, complemented with spectral, color, and power Doppler, provides excellent depiction of anatomy, tissue texture and density, acoustic characteristics associated with pathology, blood flow patterns, and alterations in flow direction. All of these features have value in differentiating normal tissue from lesions associated with vascular disorders, and in classification of the hemodynamic patterns detected in the circulatory system of the abdomen.
This chapter addresses the arterial and venous vascular systems in the abdomen separately. The discussion of each system covers, individually, the anatomy of the vessels within that system, common vascular disorders, sonographic and spectral Doppler characteristics, and current usage of correlating imaging modalities. Hopefully, this arrangement will allow the student to relate disease processes to functional structure and anatomy and to the signature Doppler spectral waveforms and flow patterns associated with alterations in vascular resistance that occur normally and in response to disease.
ABDOMINAL AORTA
Anatomy
The abdominal aorta begins at the aortic hiatus of the diaphragm as a continuation of the thoracic aorta, coursing in the left paramedian scan plane in approximately 70% of the population. It parallels the inferior vena cava (IVC), which lies to its right.1, 2 It can be differentiated from the IVC by its rigid contour, pulsatility, and thicker, echogenic walls. At the level of the fourth lumbar vertebra, it bifurcates into the right and left common iliac arteries. The right iliac artery lies superior to the left iliac vein, a situation that serves as a precursor to left iliac vein thrombosis in many patients. In normal adults, the diameter of the aorta averages 2 cm proximally tapering to about 1.5 cm at the level of the bifurcation. The common iliac arteries have an average diameter of 1 cm.3 The diameter of the abdominal aorta varies somewhat with age, gender, race, and body habitus and may be ectatic or smaller than normal throughout its length. Because the diameter of a vessel impacts velocity parameters, it is important to consider vessel size in diagnostic vascular examinations.
In most patients, the abdominal aorta can be imaged in the longitudinal plane throughout its length. Proximally, the aorta can be visualized just inferior to the diaphragm. The celiac and superior mesenteric arteries arise proximally from the anterior wall of the aorta, while the renal arteries originate from the lateral or posterolateral wall in its midsegment. The small inferior mesenteric artery originates from the anterolateral aspect of the mid-to-distal aorta (Fig. 11–1). Aortic diameter measurements are best determined from cross-sectional images, which allow documentation of both anteroposterior and transverse dimensions.

FIGURE 11–1. Diagram of abdominal aorta and aortic branches.
Sonographic and Spectral Doppler Characteristics
A sonographic image of the aorta will demonstrate walls with linear reflectivity. In a normal vessel, the lumen is anechoic and the walls are smooth (Fig. 11–2). Because the proximal aorta gives rise to branches that supply blood to the low-resistance vascular beds of the liver, spleen, and kidneys, the Doppler spectral waveform from this segment of the vessel may feature forward flow throughout the cardiac cycle. Below the renal arteries, blood flow from the aorta is supplying the high-resistance vascular beds fed by the lumbar and lower extremity arteries and the spectral pattern will normally be triphasic (Fig. 11–3). This pattern, which characterizes peripheral arterial flow, exhibits rapid systolic upstroke, a sharp systolic peak, rapid systolic deceleration to a reversed flow component, and forward diastolic flow. If there is a loss of vessel elasticity or compliance proximal to the Doppler sample site, or if there is increased peripheral resistance distally, the forward diastolic flow component may be absent. Peak systolic velocity in the abdominal aorta normally ranges from 70 to 140 cm/s dependent on age, gender, body habitus, and cardiac output.4

FIGURE 11–2. Real-time image of the abdominal aorta.

FIGURE 11–3. Doppler spectral waveform from the normal infrarenal abdominal aorta.
Aortic Disease
Stenosis and Occlusion. Narrowing of the lumen of the aorta may be caused by atherosclerotic disease, webs, or extrinsic compression. Two-dimensional real-time imaging will detail atherosclerotic disease as either acoustically homogeneous plaque along the wall of the aorta consistent with fatty or fibro-fatty lesions or as brightly echogenic deposits that may demonstrate acoustic shadowing. These features are characteristic of complex, calcified plaque. Narrowing of the lumen due to stenosis or compression can be visualized with color-flow or power Doppler imaging. Flow-limiting stenosis causes an increase in peak systolic and end-diastolic velocities and loss of the reversed flow component of the normal triphasic Doppler spectral waveform. Disordered or turbulent flow results in spectral broadening throughout systole (Fig. 11–4). A comparison of pre-stenotic and stenotic velocities will demonstrate at least a twofold increase in peak systolic velocity when the diameter of the aorta is narrowed by more than 50% and at least a fourfold increase when the luminal diameter is compromised by more than 75%.5 Classic post-stenotic turbulence and decreased velocity are noted in association with both lesions.

FIGURE 11–4. Doppler spectral waveform from flow-reducing abdominal aortic stenosis. Note spectral broadening throughout systole.
Aortic occlusion is characterized by longitudinal, rather than cross-sectional, pulsation, intraluminal echoes, and absence of flow documented by optimized spectral, color, or power Doppler. The spectral waveform immediately proximal to the occlusion exhibits a high-resistance pattern with low or no diastolic flow and a “thump of the stump” appearance. If the aorta is reconstituted distal to the occlusion, the signal in the patent segment of the aorta will be monophasic with delayed systolic upstroke, a blunt systolic peak, and delayed runoff (Fig. 11–5).

FIGURE 11–5. Doppler spectral waveform distal to aortic occlusion.
Aneurysm. An aneurysm is defined as an abnormal focal dilation of a vessel. All three layers of the arterial wall (intima, media, and adventitia) remain intact with a true aneurysm. In contrast, a false, or pseudoaneurysm, is described as a tear involving two or all three layers of the arterial wall allowing blood to escape into the surrounding tissues. True aneurysms are most often associated with atherosclerosis, smoking, diabetes, hypertension, hyperlipidemia, pregnancy, trauma, or infection.3 Pseudoaneurysms characteristically result from trauma or surgery but may be mycotic in origin.
The abdominal aorta is considered aneurysmal when its diameter exceeds 3 cm or is one and one-half times larger than the more proximal segment.3 Visceral and peripheral arterial aneurysms are frequently associated with abdominal aortic aneurysmal disease.
Most aneurysms develop in the infrarenal segment of the aorta, superior to the aortic bifurcation, although they may be found in the juxtarenal or suprarenal segments or involve the iliac arteries.
Abdominal aortic aneurysms (AAAs) are most common in elderly (older than 65 years) male smokers. Aneurysmal dilation is quite often discovered incidentally during routine physical examinations. Patients may be asymptomatic or present with a pulsatile abdominal mass; back or abdominal pain that radiates down the leg; a “throbbing” sensation in the abdomen (abdominal bruit); shortness of breath; or numbness in the extremities.6
Aortic aneurysms are at risk for rupture when their diameter exceeds 6 cm.3 Rupture is considered a surgical emergency; there is a 50% mortality rate in current surgical practice. Patients usually experience acute abdominal or back pain that becomes worse when they assume an upright position.6 A cyanotic-appearing discoloration may be apparent in the groin region.
Classification of True Aneurysms. Aneurysms are classified according to their anatomical configuration. Fusiform aneurysms are most often spindle-shaped, with stretching of the aortic walls occurring concentrically. This anatomic configuration accounts for approximately 90% of aortic aneurysms. Saccular aneurysms are characterized by an outpouching from the anterior aortic wall (Fig. 11–6). The aorta is considered to be ectatic when it is diffusely dilated along its length with diameter measurements averaging 3–6 cm.3, 6

FIGURE 11–6. Arteriogram demonstrating a saccular aortic aneurysm.
Other complications that may result in dilation of the aorta include mycotic infections and intimal tears. Mycotic aneurysms can result from any infection but are commonly associated with Staphylococcus, Escherichia coli, or Salmonella and have been found with cases of pancreatitis.6 The majority of mycotic aneurysms are saccular and are most often located in the suprarenal segment of the aorta.
If the walls of an aneurysm are calcified, or if the aneurysm displaces surrounding organs or structures, it may be identified on plain film but that is not the modality of choice for initial screening. If leakage or rupture of an aneurysm is suspected, this can best be demonstrated with computed tomography (CT) or magnetic resonance imaging (MRI). CT scanning is most commonly chosen prior to surgical repair to facilitate choice and sizing of graft material, as well as location and patency of aortic branch vessels.
Sonographic and Doppler Characteristics of AAAs. Sono-graphy is the procedure of choice for identification of abdominal aneurysmal disease and for monitoring for aneurysm enlargement. B-mode imaging will define the area(s) of aortic dilation and allow classification of the aneurysm (Fig. 11–7). Maximal anteroposterior and transverse diameters should be documented with care taken to measure along the axis of the aorta and not the axis of the spine.3Thrombus and atherosclerotic debris within the aneurysmal sac should be documented and notes taken of the presence of aortic dissection or free fluid within the abdomen, which could indicate rupture.

FIGURE 11–7. Diagrams illustrating (A) fusiform and (B) saccular aortic aneurysms.
Color-flow imaging facilitates recognition of the swirling bidirectional flow pattern common to true aneurysms (Fig. 11–8). Spectral Doppler demonstrates disordered bidirectional flow with peak systolic velocity slightly reduced when compared to the proximal adjacent normal segment of the aorta.

FIGURE 11–8. Transverse color-flow image of abdominal aorta illustrating bidirectional (yin-yang) flow pattern.
Surgical and Endovascular Repair of Aortic Aneurysms. Historically, the majority of AAAs have been repaired surgically with resection or grafts. In recent years, endovascular repair with percutaneous insertion of aortic stent grafts has been successfully used in selective patients. The grafts may be modular or bifurcated and are inserted through the femoral artery into the aorta over a catheter, excluding the aneurysm.3, 7 Attachment of the graft to the wall of the aorta is achieved with balloon dilation. The graft is anchored to the arterial wall, proximally and distally, by metallic barbs. The residual aneurysm sac remains, surrounding the aortic stent graft. Occasionally, blood may reenter the aneurysm sac via leaks (endoleaks) at the attachment sites, through aortic branch vessels such as the inferior mesenteric or lumbar arteries, or through the graft wall. If the leak is severe, it may place the aneurysm at risk for rupture.
Sonographic and Doppler Characteristics of Aortic Stent Grafts. High-resolution real-time imaging demonstrates the residual aortic aneurysm sac (Fig. 11–9). The sac will contain acoustically homogeneous material; sonolucent areas or hypoechoic regions may appear within the sac if endoleaks are present. The brightly echogenic walls of the aortic stent graft are easily identified in the majority of patients (see Figure 11–9). If a bifurcated graft has been used, the limbs of the graft are apparent within the aneurysm sac and may have been crossed to stabilize the graft. Color-flow imaging will facilitate confirmation of patency of the body and limbs of the graft and, when optimized for slow flow, can be used to identify flow within the residual aneurysm sac. Power Doppler is a valued tool for confirmation of endoleaks. Spectral Doppler is used to demonstrate the flow patterns within the stent graft, direction and source of flow associated with endoleaks, and the difference in spectral pattern recorded in endoleaks compared to the flow pattern in the stent graft.

FIGURE 11–9. Real-time longitudinal image of abdominal aorta illustrating echogenic walls of an aortic endograft and the residual aneurysm sac.
Dissection. Aortic dissection occurs when there is a tear in the intima or between the intima and media allowing the layers to separate from the arterial wall.3, 7 Blood is then able to course between the separated layers and the remaining arterial wall, creating a true lumen and a false lumen. This condition has a high rate of mortality; however, 50% of treated patients have a 10-year survival rate.6 Dissection may occur secondarily to trauma, aortic catheterization, or surgical procedures but is commonly associated with Marfan syndrome, hypertension, aortic coarctation, bicuspid aortic valve, atherosclerosis, pregnancy, cystic medial necrosis, and arteritis.
The DeBakey classification is commonly used to describe the extent and severity of the aortic compromise3 (Fig. 11–10).

FIGURE 11–10. DeBakey classification of aortic dissection.
• Type I dissection involves the ascending aorta, aortic arch, and descending aorta
• Type II dissection involves only the ascending aorta
• Type III dissection involves the descending thoracic aorta and may extend into the abdominal aorta
Sonographic and Doppler Characteristics. The real-time image will detail the echogenic intima separated from the aortic wall (Fig. 11–11). Color-flow imaging facilitates identification of the true and false lumens. Flow direction may reverse in the false lumen if there is only one tear; however, there may be multiple points of entry and exit and flow patterns may be complex. Doppler spectral waveforms should demonstrate antegrade flow in the true lumen with evidence of spectral broadening. Turbulent flow and elevated velocity are not commonly seen in the true lumen unless the lumen is significantly narrowed. The spectral waveforms in the false lumen may demonstrate increased resistance with low or absent diastolic flow if an outflow channel is not present. Because the false lumen often thromboses, it is important to determine, to the extent possible, whether the aortic branch vessels originate from the true or the false lumen.

FIGURE 11–11. Real-time image of aortic dissection. Echogenic intima noted to be separated from arterial wall (arrows).
Confirmation of aortic dissection is most often achieved with standard contrast arteriography or dynamic contrast or helical CT imaging.
SPLANCHNIC ARTERIES (CELIAC AND MESENTERIC ARTERIES)
Celiac, Common, Hepatic, Splenic, Left Gastric
Anatomy. The celiac artery is the first major branch of the abdominal aorta. It arises from the anterior aortic wall approximately 2 cm below the diaphragm at about the level of the twelfth thoracic vertebra and the first lumbar vertebra. The celiac artery (a.k.a. celiac axis, celiac trunk) is most often 2–3 cm in length. Approximately 1–2 cm from its origin, it divides into the common hepatic, splenic, and left gastric arteries. The splenic artery supplies blood to the spleen, pancreas, left half of the greater omentum, greater curvature of the stomach, and part of the fundus of the stomach. The common hepatic artery supplies the liver, gallbladder, stomach, pancreas, duodenum, and greater omentum.1, 2
Sonographic and Doppler Characteristics. The celiac artery can be located as it arises from the anterior wall on a longitudinal image of the proximal aorta. It is best demonstrated, however, in the transverse scan plane of the aorta, as it is quite often tortuous. At its bifurcation into the common hepatic and splenic arteries, it assumes a “seagull” appearance, as these branches arise almost perpendicular to the celiac trunk (Fig. 11–12).

FIGURE 11–12. Transverse image of celiac artery bifurcation. Note “seagull” appearance created by position of the common hepatic and splenic arteries.
The splenic artery, the largest branch of the celiac, is most often tortuous. It courses along the posterosuperior margin of the pancreas and terminates within the hilum of the spleen.1, 2 It is most easily imaged along its course in the transverse plane beneath the body of the pancreas. The distal segment of the artery can be interrogated in the splenic hilum using a left lateral scan plane with a splenic window.
From its origin at the celiac bifurcation, the common hepatic artery courses along the superior border of the pancreatic head.1, 2 It gives rise to the gastroduodenal artery between the duodenum and the anterior surface of the head of the pancreas. It then courses superiorly and gives rise to the right gastric artery before entering the porta hepatis where it becomes the proper hepatic artery. The proper hepatic artery branches into the right and left hepatic arteries within the liver. These branches then divide into the segmental and subsegmental hepatic artery branches that course parallel to the bile ducts and portal vein branches.1, 2 The hepatic artery can be imaged from its origin to its termination within the liver. Its course and flow patterns are best delineated with color-flow imaging. The intrahepatic branches are most easily interrogated using a coronal oblique image plane.
The left gastric artery is occasionally seen longitudinally for approximately 1–2 cm but is not commonly visualized sonographically due to its small diameter and anatomic course.6 The artery courses along the lesser curvature of the stomach, sending branches to the anterior and posterior segments of the stomach and esophagus.1, 2
The celiac artery and its branches supply the low-resistance vascular beds of the liver and spleen. For this reason, these vessels will normally demonstrate a low-resistance waveform pattern characterized by constant forward diastolic flow (Fig. 11–13). The peak systolic velocity is <200 cm/s with an end-diastolic velocity <55 cm/s. Flow is laminar in the absence of significant disease. Postprandially, there is little to no increase in systolic or diastolic velocities, as the liver and spleen do not alter their vascular resistance in response to digestion.5

FIGURE 11–13. Classic low-resistance Doppler spectral waveform of the celiac artery.
Superior and Inferior Mesenteric Arteries
Anatomy. The superior mesenteric artery (SMA) arises from the anterior wall of the aorta approximately 1–3 cm inferior to the celiac artery origin at about the level of the first lumbar vertebra.1, 2 In a small percentage of patients, the celiac artery and SMA may share a common trunk or the right hepatic artery may originate from the proximal segment of the SMA, also known as a replaced hepatic artery. Just beyond its origin, the SMA arcs anteriorly and then courses inferiorly to parallel the anterior aortic wall to the level of the ileocecal valve.1, 2 From the transverse scan plane of the aorta, it can be seen that the SMA lies anterior to the left renal vein and duodenum and posterior to the pancreas. Unlike the celiac, the SMA has multiple branches that supply the pancreas, duodenum, jejunum, ileum, cecum, and the ascending and transverse colon. However, because of their small size, these vessels are not typically visualized sonographically.
The inferior mesenteric artery (IMA) originates from the left anterolateral wall of the aorta. It provides important collateral pathways when there is occlusive disease in the celiac or SMA circulation. The IMA is normally smaller in diameter than the SMA and can most often be identified from the transverse scan plane using surface anatomy as a landmark. Color-flow imaging facilitates identification of the artery’s origin approximately two finger widths above the level of the umbilicus. The IMA supplies the left third of the transverse colon, the descending colon, sigmoid colon, and most of the rectum.1, 2
Sonographic and Doppler Characteristics. The SMA can be visualized along its length from a longitudinal image plane. It will appear as a tubular structure that courses parallel to the anterior aortic wall originating just distal to the origin of the celiac artery (Fig. 11–14). It courses posterior to the splenic vein and pancreas and left of the superior mesenteric vein. From a transverse image plane, it is located superior to the left renal vein and appears disc-like with a dense echogenic ring caused by a fatty collar. From this image plane, it is noted that a portion of the body of the pancreas drapes over the SMA.

FIGURE 11–14. Real-time image of abdominal aorta demonstrating origins of the celiac and superior mesenteric arteries. Also note the adjacent lymphadenopathy.
Because the SMA supplies the muscular tissues of the duodenum, jejunum, and colon, it will exhibit a high resistance flow pattern characterized by low diastolic flow in its fasting state (Fig. 11–15). Following ingestion of a meal, vascular resistance decreases to meet the metabolic demands for additional blood flow that are associated with digestion (Fig. 11–16). To meet this demand, systolic and diastolic velocities normally increase at least twofold. Doppler spectral waveforms from the IMA mimic those of the SMA in both the fasting and postprandial states.

FIGURE 11–15. High-resistance spectral waveform pattern from a normal fasting superior mesenteric artery.

FIGURE 11–16 Low-resistance spectral waveform pattern from a postprandial superior mesenteric artery. Note the increase in diastolic flow.
Splanchnic Arterial Disease
Stenosis and Occlusion. Flow-limiting disease involving the celiac artery and its branches or the SMA and IMA is most often caused by atherosclerosis and is commonly located at the vessel origins or at points of bifurcation. While the prevalence of mesenteric occlusive disease is low, women are affected more often than men, and in general, mesenteric disease is a problem of the elderly. Under normal circumstances, the visceral arteries receive 25–30% of the cardiac output and, in the fasting condition, contain one-third of the total blood volume.6, 7 When the flow demand in the gastrointestinal circulation cannot be met due to arterial stenosis or occlusion (usually in at least two of the three major splanchnic vessels), patients complain of postprandial abdominal angina, i.e., pain associated with ingestion of a meal. As a result of pain associated with eating, they develop a “fear of food” syndrome and subsequent gastrointestinal impairment and significant weight loss. Even though the progression of atherosclerotic disease may be slow and insidious, the vascular compromise can lead to bowel infarction. Occasionally, patients suffer acute occlusion of the mesenteric arteries and will present with severe abdominal pain. This should be considered a surgical emergency as delayed revascularization may result in gastrointestinal catastrophe.
Flow impairment may also be caused by compression of the splanchnic arteries. During normal respiration, the celiac artery may be intermittently compressed by the median arcuate ligament of the diaphragm. The ligament slides off the celiac artery allowing it to return to normal diameter when the patient takes a deep breath. The proximal superior mesenteric artery may be compressed in the mesentery or the duodenum may be “trapped” between the SMA and the aorta. This leads to SMA compression syndrome, which is characterized by an epigastric bruit, colicky abdominal pain, and occasionally malabsorption.
The visceral arterial circulation is richly collateralized with a network of vessels that connect the celiac and its branches with the branches of the superior and inferior mesenteric arteries.2 When the celiac artery is critically stenosed or occluded, the pancreaticoduodenal arcade, a complex of small arteries surrounding the pancreas and duodenum, provides a collateral pathway. Collateral flow through branches of the inferior mesenteric artery via the arc of Riolan or the marginal artery of Drummond, or the pancreaticoduodenal arcade may be apparent when there is occlusion of the superior mesenteric artery.
Sonographic and Doppler Characteristics. Although disease may be found in any segment of the visceral arteries, atherosclerotic disease occurs most often at the vessel origins as an extension of plaque found on the aortic wall. B-mode imaging will detail the location and extent of plaque. The severity of luminal compromise may be estimated visually using color or power Doppler to define residual lumen. If stenosis is severe, a color bruit that is characterized by a mosaic color pattern and perivascular color artifact may be apparent.
Flow-limiting stenosis (>60–70% diameter reduction) of the celiac artery will demonstrate peak systolic velocities in excess of 220 cm/s and end-diastolic velocities >55 cm/s.3, 5, 7 A post-stenotic signal must be confirmed to differentiate elevated velocities due to focal stenosis from those associated with collateral compensatory flow. Median arcuate ligament compression of the celiac artery will result in high-velocity signals during normal respiration with return to normal velocity ranges when the patient takes a deep breath.
Peak systolic velocity in the SMA will be >275 cm/s with an end-diastolic velocity exceeding 45 cm/s when the diameter of the SMA is reduced more than 70%.3, 5, 7 As with the celiac artery, a post-stenotic signal must be confirmed to ensure identification of focal flow-limiting disease.
Arterial occlusion should be confirmed using spectral, color, or power Doppler optimized to show low-velocity flow.
Standard contrast arteriography with selective lateral views of the aorta provides confirmation of stenosis or occlusion of the visceral arteries and defines the presence and extent of collateral circulation prior to revascularization. In recent years, CT scanning has demonstrated a valuable role in localization of disease and display of relational anatomy.8
RENAL ARTERIES
Anatomy
The renal arteries arise from the lateral, posterolateral, or anterolateral wall of the abdominal aorta at the level of the second or third lumbar vertebrae.1, 2 Most often they are single, but in approximately 35% of the population, there may be multiple renal arteries on each side.5, 6 This anomaly occurs more often on the left than on the right. The right renal artery is longer than the left and courses superiorly in its proximal segment and then courses posterior to the IVC to enter the hilum of the right kidney. The left renal artery courses through the flank posterior to the left renal vein to enter the hilum of the left kidney. The main renal artery gives rise to branches that supply blood to the adrenal gland and the ureter and then divides into anterior and posterior branches within the renal hilum. These in turn subdivide into the segmental arteries within the renal sinus and then give rise to the interlobar arteries that parallel the renal pyramids. The interlobar arteries divide into the arcuate arteries that curve around the bases of the pyramids. The arcuate arteries further subdivide into the small lobular arteries that supply the renal cortex.1, 2, 5
Sonographic and Doppler Characteristics
The proximal-to-mid segments of the renal arteries can most often be visualized from the transverse scan plane of the aorta at the level of the left renal vein (Fig. 11–17). Alternatively, the proximal segments of the arteries can be seen arising laterally from the aorta by scanning in a coronal plane through the liver so that the IVC and aorta are superimposed on each other (Fig. 11–18). The origin of the right renal artery can frequently be visualized on longitudinal images of the IVC as a small discshaped structure lying posterior to the IVC (Fig. 11–19). The distal-to-mid segments of the renal arteries are best seen with transverse imaging of the kidney using a subcostal or intercostal approach.5, 7 Quite often this approach will provide excellent images of the length of the renal artery from the hilum to its origin at the lateral wall of the aorta (Fig. 11–20). In an adult, kidney length is normally 11–13 cm and the width is 5–7 cm (Fig. 11–21). The anteroposterior thickness averages 2–3 cm, with the left organ being slightly larger than the right.6

FIGURE 11–17. Transverse color-flow image of the proximal to mid segments of the renal arteries (yellow arrows) at the level of the left renal vein (white arrow).

FIGURE 11–18. Longitudinal color-flow image of the inferior vena cava and abdominal aorta demonstrating origins of renal arteries from the coronal plane.

FIGURE 11–19. Real-time longitudinal image of the inferior vena cava. Note the disc-like appearance of the right renal artery posteriorly (yellow arrow).

FIGURE 11–20. Color-flow image of the right renal artery as it courses from the hilum of the kidney to the aortic wall.

FIGURE 11–21. Gray-scale image of a kidney illustrating measurement of length and thickness.
The normal renal arterial waveform exhibits the classic features associated with flow to low-resistance end-organs; it is characterized by constant forward flow throughout diastole (Fig. 11–22). The peak systolic and end-diastolic velocities decrease proportionately from the main renal artery to the segmental arteries within the renal sinus to the arcuate arteries within the cortex of the kidney. Peak systolic velocity within the main renal artery is normally <120 cm/s with end-diastolic velocities averaging 30–50% of the peak systolic velocity.5, 7 A resistive index may be calculated to demonstrate evidence of impedance to arterial inflow. A normal resistive index in an adult is <0.70, while the indices are notably higher in premature infants and children younger than 4 years (0.70–1.0).6
Renal Arterial Disease
Stenosis and Occlusion. Atherosclerotic renal artery stenosis is the most common curable cause of renovascular hypertension. Atherosclerotic plaque occurs most frequently at the renal artery ostium (origin) or within the proximal third of the renal artery. Ostial disease represents extension of plaque from the aortic wall. Medial fibromuscular dysplasia of the renal artery or its segmental branches is the second most common cause of renovascular hypertension.7This is a nonatherosclerotic disease entity that causes concentric regions of narrowing and dilation in the mid-to-distal segment of the renal artery (Fig. 11–23). In addition to atherosclerosis and fibromuscular dysplasia, causes of renal artery dysfunction include arteritis, aneurysm, congenital renal artery stenosis, congenital fibrous bands, neoplasms, vascular malformations, emboli, thrombus, trauma, fistulas, pheochromocytoma, neurofibromatosis, middle aortic syndrome, aortic coarctation, irradiation, and perirenal hematoma. Although patients with renal artery stenosis or occlusion may be asymptomatic, the majority present with systolic hypertension (>140 mm Hg), a flank bruit, congestive heart failure, or renal failure, or they are outside the normal age range for hypertension.

FIGURE 11–22. Color-flow image and Doppler spectral waveforms from a normal renal artery. Note the classic low-resistance waveform pattern.

FIGURE 11–23. Arteriogram illustrating the concentric narrowing and dilation associated with renal arterial medial fibromuscular dysplasia.
Medical renal disease (intrinsic parenchymal disease) should be included in the differential diagnosis for patients with hypertension. Parenchymal vascular disorders will cause elevated renovascular resistance. This may occur secondary to renal artery stenosis or be the primary etiology for elevated blood pressure.
Sonographic and Doppler Characteristics. B-mode imaging may reveal narrowed segments along the course of the renal artery, but confirmation of stenosis will be facilitated with color or power Doppler imaging (Fig. 11–24). In regions of flow-limiting disease, color Doppler will exhibit disordered flow patterns; a perivascular color artifact may be present if the stenosis is severe enough to cause a bruit. If the renal artery is occluded, no flow should be evident using spectral, color, or power Doppler optimized for slow flow. Low-amplitude, dampened spectral waveforms with tardus parvus (“late to rise”) characteristics will be found within the renal parenchyma as a result of collateral flow. As renal artery stenosis progresses, renal length decreases. There is commonly a difference in renal length >3 cm side-to-side. Pole-to-pole length of the kidney will most often be <8 cm if the renal artery is occluded.5, 7

FIGURE 11–24. Color-flow image of the right renal artery demonstrating a region of disordered flow associated with stenosis.
Flow-limiting renal artery stenosis causes elevation in the peak systolic velocity. This velocity can be compared to the aortic velocity as a ratio of the angle corrected aortic peak systolic velocity recorded at the level of the celiac artery and the highest angle-corrected velocity in the main renal artery. When the renal-aortic velocity ratio (RAR) exceeds 3.5, there is evidence of flow-limiting renal artery stenosis (>60% diameter reduction). Care must be taken to ensure that the aortic peak systolic velocity is >40 cm/s but <100 cm/s, as use of the RAR when velocity is outside these values will result in overestimation or underestimation of the severity of renal artery stenosis.7 If the RAR cannot be used to confirm flow-limiting disease due to suspect aortic velocities, attention should be given to the peak systolic velocity in the renal artery and presence or absence of a classic post-stenotic signal. Recognition of hemodynamically significant stenosis is dependent on a renal artery peak systolic velocity >180 cm/s and a post-stenotic signal. Stenosis that is < hemodynamically significant (<60% diameter reducing) can be recognized when the renal artery peak systolic velocity is more than 180 cm/s, but no post-stenotic signal is present.7
Renal artery stenosis may also be identified using indirect methods that assess the distal renal artery and its segmental branches. While this technique has not been well validated, it has value in patients in whom the length of the renal artery cannot be adequately interrogated due to excessive abdominal gas, body habitus, post-interventional, or traumatic causes. Using a 0° angle of insonation and a slow sweep speed, Doppler spectral waveforms are recorded from the distal renal artery and the segmental branches within the renal sinus. An acceleration time (time from onset of systole to the early systolic peak, which is seen on the systolic upstroke prior to peak systole) >100 ms indicates >60% diameter reducing renal artery stenosis. An acceleration index may also be used to identify flow-limiting renal artery disease. The index is defined as the change in distance between the onset of systolic flow and the peak systolic velocity divided by the acceleration time. An index <291 cm/s2 is consistent with significant renal artery stenosis.7, 9
Many types of medical renal diseases are accompanied by elevation of vascular resistance apparent in the intersegmental and arcuate arteries within the renal parenchyma. Normally, the end-diastolic velocity is at least 30–50% of the peak systolic velocity. As vascular resistance increases, diastolic flow decreases and a ratio of systolic to end-diastolic velocities within the intrarenal vessels will be >0.20.5, 7
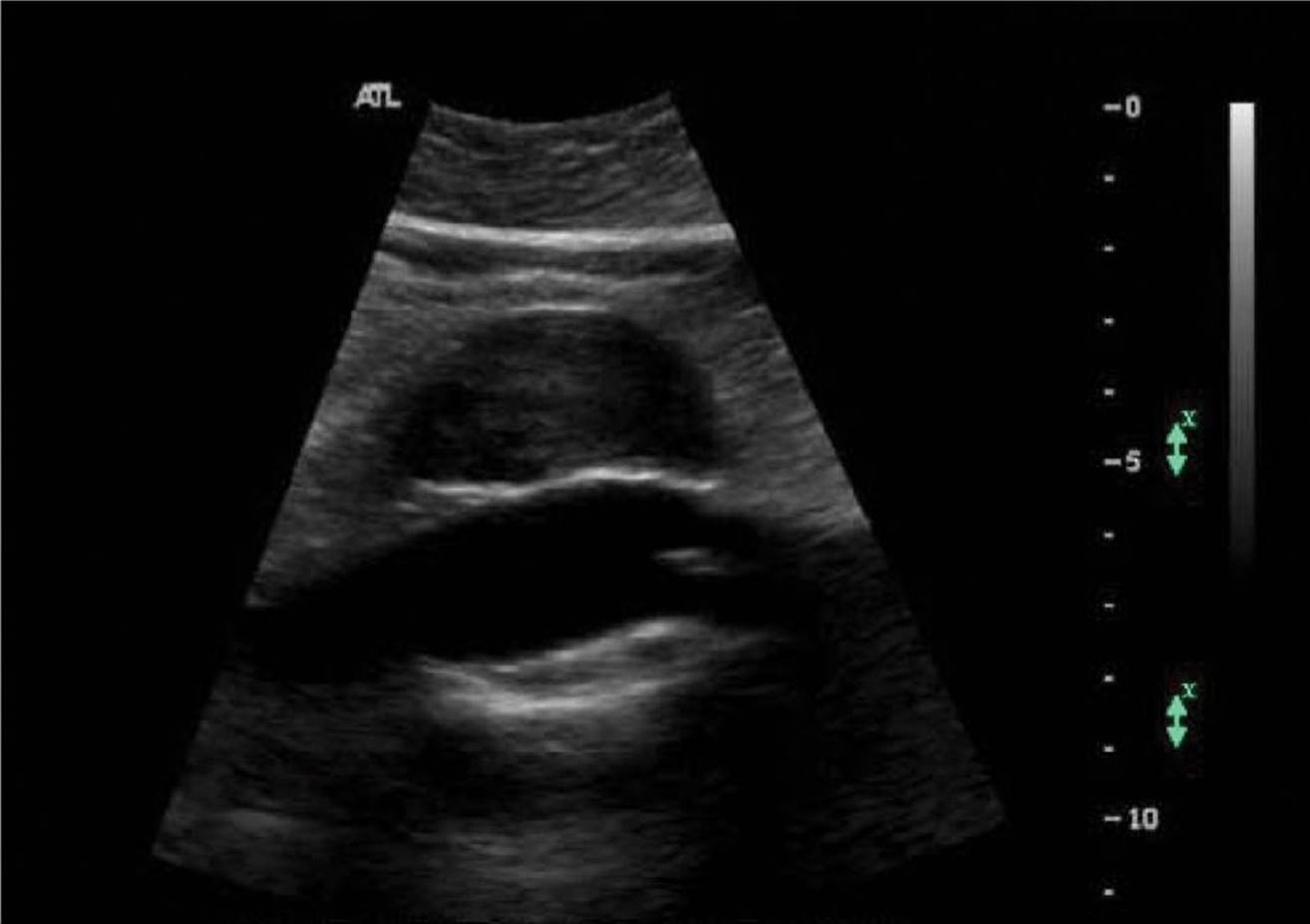
Hydronephrosis is characterized by abnormal dilation of the renal calyces and renal pelvis caused by obstruction of the urinary tract. Sonographically, the renal sinus exhibits a hypoechoic or cystic area that may be variable dependent on the severity of the obstructive process (Fig. 11–25). The resistive index is commonly elevated with values >0.70 in patients with obstructive hydronephrosis but may also be increased in patients with intrinsic renal parenchymal disease, perinephric or subcapsular hematoma, hypotension, and decreased heart rate.4

FIGURE 11–25. Real-time image of a kidney with hydronephrosis. Note the cystic appearance of the renal sinus.
Although standard contrast arteriography remains the gold standard for confirmation of renal artery stenosis and occlusion, other imaging modalities may be used for confirmation of the sonographic examination or clinical findings. These include CT or MRI scanning, radionuclide renography, and intravenous pyelography.
INFERIOR VENA CAVA
Anatomy
The common iliac veins come together to form the IVC at approximately the level of the umbilicus or the fourth lumbar vertebra. The distal IVC ascends superiorly toward the diaphragm coursing to the right of the aorta and the spine. Although it will parallel the aorta along most of its course, it curves anteriorly in its proximal segment to enter the right atrium of the heart. The IVC receives blood from the hepatic, renal, right gonadal, right suprarenal, inferior phrenic, and lumbar veins1, 2 (Fig. 11–26). Normally, the IVC diameter is <2.5 cm, with slight increase in diameter above the entry level of the renal veins because of the increased volume of blood that is returned from the kidneys.6 Diameter of the IVC is dependent on the patient’s body habitus, the stage of respiration, and right atrial pressure. Anatomic anomalies may be noted including duplication (0.2–3.0% of the population) or absence of the IVC (<0.2%) or transposition to the left side (0.2–0.5%).1, 2

FIGURE 11–26. Diagram of the inferior vena cava illustrating its major branches.
Sonographic and Spectral Doppler Characteristics
The IVC normally appears as an anechoic, tubular structure, the diameter of which varies with changes in respiration. Deep inspiration causes increased abdominal pressure and impedes venous return from the abdomen. This results in dilation of the IVC. Dilation can also occur in the presence of congestive heart failure, tricuspid regurgitation, or any condition that results in increased right atrial pressure.
Spectral Doppler demonstrates pulsatility in the proximal segment of the IVC because of the reflected right atrial pressure. Velocities are variable but remain low. The Doppler spectral waveform in the distal IVC demonstrates phasicity, similar to that seen in the lower extremity veins (Fig. 11–27). Color-flow imaging reveals directional variations associated with respirophasicity in the distal segment of the vein and reflected right atrial pulsations proximally.

FIGURE 11–27. Doppler spectral waveforms from the infrarenal inferior vena cava. The respirophasicity is similar to that seen in the lower extremity veins.
Inferior Vena Caval Disease
Thrombosis is the most common vascular problem affecting the IVC and most often results from migration of thromboembolic material from the lower extremities or pelvic veins. IVC thrombosis is likely to occur with any condition that promotes stasis of blood flow in the abdominal veins, trauma to the vein wall, or hypercoagulability (Virchow’s triad). Conditions that are associated with these features include dehydration, generalized sepsis, shock, retroperitoneal infection, pelvic inflammatory disease, caval filters or catheters, and extremity or abdominal surgery. Tumor thrombus may also be noted in association with carcinomas of the kidney, adrenal gland, pancreas, or liver. Other malignancies may involve the IVC including ovarian and uterine neoplasms, lymphatic metastases from the prostate, pheochromocytomas, and Wilms’ tumor.
While IVC thrombosis may be asymptomatic, the majority of patients will present with lower extremity edema and discomfort or symptoms characteristic of malignant conditions.
Sonographic and Doppler Characteristics. Thrombosis of the IVC causes dilation at the site of outflow obstruction. Acute thrombus will appear hypoechoic and a free-floating thrombus tail may be seen in the very acute phase (Fig. 11–28). The IVC will be noncompressible or partially compressible with transducer pressure applied directly over the vein in the transverse imaging plane. As the thrombus ages, it will initially increase in echogenicity but then progresses through a variety of characteristics ranging from acoustic heterogeneity with anechoic regions to homogeneity. The acoustic features return to heterogeneity and the vein walls contract as the thrombus becomes chronic.

FIGURE 11–28. Real-time longitudinal image of the inferior vena cava demonstrating acute, free-floating thrombus.
Doppler spectral waveforms demonstrate continuous, nonphasic flow patterns with partial obstruction of the caval lumen. No flow will be demonstrated by optimized spectral, color, or power Doppler when the lumen is totally obstructed. Low-amplitude, continuous waveforms may be recorded distal to the site of thrombosis if recanalization or collateralization of the thrombosed segment has occurred.
Correlative imaging is achieved with venocavography, MRI, or CT scanning.
HEPATIC AND PORTAL VEINS
Anatomy of the Hepatic Veins
The hepatic veins drain into the IVC and are the largest tributaries to the IVC. There are three major hepatic veins: the right, middle, and left. These large veins serve as boundary markers between the hepatic lobes and have multiple smaller branches throughout the liver parenchyma. The left and middle hepatic veins frequently share a common trunk at the IVC confluence, while the right hepatic vein remains independent. Occasionally, an accessory (inferior) right hepatic vein may be noted; one or more of the hepatic veins may be absent. The middle hepatic vein courses within the main interlobar fissure thus, dividing the liver into right and left lobes. The right lobe of the liver is divided into posterior and anterior segments by the right hepatic vein. The left hepatic vein divides the left lobe of the liver into medial and lateral segments.1, 2, 5
Sonographic and Spectral Doppler Characteristics. The hepatic veins are best imaged from a subcostal approach, angling the transducer cephalad under the xiphoid process or from a right intercostal plane of view. Most often all three branches can be visualized. When only two branches are imaged from the subcostal approach, the veins mimic the head and ears of a rabbit. This is referred to as the “Playboy bunny sign” (Fig. 11–29). B-mode images normally reveal anechoic tubular structures that lack echogenic walls. While the diameter of the hepatic vein branches may appear small within the parenchyma of the liver, their diameters increase as they course toward the IVC.6

FIGURE 11–29. Real-time image of two hepatic veins at the hepatocaval confluence. The image illustrates the “Playboy bunny” sign.
The Doppler spectral waveform from normal hepatic veins is pulsatile with two forward-flow cycles corresponding to the two phases of atrial filling. This is followed by a brief period of reversed flow (Fig. 11–30). This “W-shaped” waveform is dependent on variations in central venous pressure. The waveform is also influenced by respiration and compliance of the liver parenchyma. Flow direction in the hepatic veins is normally hepatofugal (away from the liver).

FIGURE 11–30. Classic Doppler spectral waveform pattern from normal hepatic veins.
Anatomy of the Portal Vein
The portal vein is formed by the confluence of the splenic and superior mesenteric veins and carries nutrient-rich blood from the gastrointestinal tract, gallbladder, pancreas, and spleen to the liver where it is processed and filtered. The portal vein is responsible for carrying approximately 75–80% of the blood to the liver, while the hepatic artery supplies the remaining 20%.
Beyond the confluence of the splenic and superior mesenteric veins, the main portal vein courses to the right and cephalad to enter the porta hepatis where it bifurcates into right and left branches. The confluence of the splenic and portal veins is posterior to the neck of the pancreas. The inferior mesenteric vein drains into the splenic vein immediately to the left of this confluence. The coronary (left gastric) vein most often enters the splenic vein superiorly near the superior mesenteric/portal venous confluence and courses in a cranio-caudad plane.10 The main portal vein lies anterior to the IVC, cephalad to the head of the pancreas, and caudal to the caudate lobe. It enters the liver along with the hepatic artery and common bile duct.1, 2, 6, 10 This portal triad travels as a unit throughout the liver parenchyma bound together by a collagenous membrane (Glisson’s capsule).6
Within the porta hepatis, the main portal vein divides into the right and left portal vein branches. The right portal vein divides into anterior and posterior branches; the left divides into medial and lateral branches.1, 2
Sonographic and Spectral Doppler Characteristics. The portal vein can be followed sonographically from a transverse plane at the level of the splenic confluence and the porta hepatis. The course of the vein, its branches, and flow direction can be defined by using a right intercostal approach with the transducer angled toward the porta hepatis (Fig. 11–31). It should be noted that in contrast to the hepatic vein walls, the walls of the main portal vein and its branches are echogenic. This feature is attributed to the acoustic properties of collagen fibers found in the intimal and medial layers of the vein. While hepatic veins are boundary formers and course longitudinally toward the IVC, portal veins branch horizontally and are oriented as branches from the porta hepatis. The diameters of the left and right portal veins are greater at their origin in the region of the porta hepatis; minimal changes in diameter are noted during respiration. The diameter of the main portal vein is normally <13 mm in the segment just anterior to the IVC. An increase in diameter occurs during expiration, while inspiration results in decreased diameter. These changes are regulated by the volume of blood entering the visceral arterial system and the volume outflow through the systemic venous channels.

FIGURE 11–31. Color-flow image of the main portal vein from a right intercostal approach.
Doppler spectral waveforms from the portal veins normally demonstrate hepatopetal flow (toward the liver) with minimal phasicity and mean velocity ranging from 20 to 30 cm/s in the supine, fasting patient (Fig. 11–32). Mean velocity decreases slightly with inspiration and increases with expiration. Pulsatility of the portal veins may be apparent in patients with tricuspid insufficiency or congestive heart failure.

FIGURE 11–32. Color-flow image and Doppler spectral waveforms demonstrating normal hepatopetal flow direction and minimal phasicity.
Hepatoportal Disease
Budd–Chiari Syndrome. Obstruction of the outflow veins, or Budd–Chiari syndrome, results from high-grade stenosis or occlusion of some or all of the hepatic veins. Its occurrence is uncommon and is most often caused by membranous obstruction of the suprahepatic or infrahepatic portion of the IVC, but it may be related to tumor invasion or thrombosis. Budd–Chiari syndrome also occurs secondary to pregnancy, use of oral contraceptives, trauma, hypercoagulable states, polycythemia vera, radiation therapy, Behçet’s syndrome, or hepatic abscesses. The hepatic veins may recanalize or they may become fibrotic. Parenchymal fibrosis, hemorrhage, and vascular congestion are associated with chronic hepatic veno-occlusive disease. While many patients may remain asymptomatic, the majority will present with right-upper-quadrant discomfort or pain, abdominal distention secondary to ascites, hepatomegaly, and superficial collateral veins. Budd–Chiari syndrome can be confirmed with CT or MRI scanning. Both modalities can demonstrate narrowing or absence of the hepatic veins. Venography may be used to confirm partial or complete obstruction of the IVC and the presence and extent of collateralization.
Portal Vein Thrombosis. Portal vein thrombosis is most commonly associated with biliary atresia, cirrhosis, tumor, trauma, hypercoagulable states, portal hypertension, and inflammatory conditions such as pancreatitis or inflammation of the bowel. Other conditions may lead to thrombosis including dehydration and blood disorders. Interventional procedures such as endoscopic esophageal sclerotherapy or percutaneous injection of ethanol for ablation of hepatocellular carcinoma may occasionally result in portal vein thrombosis. Periportal collaterals may form in the porta hepatis (cavernous transformation) or venous recanalization may be apparent following thrombosis of the extrahepatic portal vein. While cavernous transformation occurs in adults secondary to cirrhosis, pancreatitis, or malignancy, it is not commonly seen in patients with liver disease but, surprisingly, is frequently encountered in patients with healthier livers.10 It has been noted in neonates in association with omphalitis, systemic infection, abdominal inflammation, or dehydration or as a result of exchange transfusion or umbilical vein catheterization.
Portal venography is most often used to confirm the sonographic findings and to determine portal venous pressure. CT with contrast enhancement and MRI are also used to demonstrate portal vein thrombosis and cavernous transformation.
Portal Hypertension. Normally, blood pressure within the liver is low (5–10 mm Hg) and commonly only slightly higher than that in the IVC. Portal hypertension causes the blood pressure in the liver to exceed 30 mm Hg as a result of obstruction to venous outflow.5 In Western countries, cirrhosis is the usual cause of portal hypertension followed by hepatic vein thrombosis and portal venous occlusion. As resistance to normal portal venous flow increases, pressure within the liver increases and alternative routes for blood flow spontaneously develop. Flow in the main portal vein most often becomes hepatofugal in direction and normal portal tributaries enlarge to serve as collateral pathways.
Portal hypertension is classified into three categories: prehepatic, intrahepatic and posthepatic. Prehepatic (presinusoidal) portal hypertension is caused by thrombosis or obstruction of the main portal vein before it enters the liver. Intrahepatic (sinusoidal) portal hypertension is the most common and is due to impedance to portal venous flow within the liver. Posthepatic (post-sinusoidal) portal hypertension occurs secondary to obstruction of the outflow veins or suprahepatic IVC.
Historically, standard contrast angiography has been used for confirmation of portal hypertension, determination of portal venous pressure, and demonstration of portosystemic collaterals. Angiography is also used to direct placement of coils or foam for embolization of varices and catheters for transjugular intrahepatic portosystemic shunts (TIPSs).
Sonographic and Doppler Characteristics of Hepatoportal Disease. Budd–Chiari syndrome causes the liver to enlarge and may result in development of ascites. Splenomegaly is usually present and the caudate lobe may be enlarged as a result of increased outflow through the caudate veins. Sonographically, the liver parenchyma appears heterogeneous with increased echogenicity. While intraluminal echoes consistent with thrombus may be apparent in the acute stages, most commonly the hepatic veins are difficult to visualize because of reduced or absent flow. Spectral, color and/or power Doppler optimized for very low flow should be used to demonstrate the presence of collateral pathways and to confirm patency or occlusion of the hepatic veins. Continuous, low-velocity Doppler spectral waveforms are commonly apparent proximal to stenotic segments while markedly elevated velocities are found at the site of stenosis. This pattern will be altered if the IVC is obstructed; low-velocity signals will be noted even in stenotic segments of the hepatic veins.
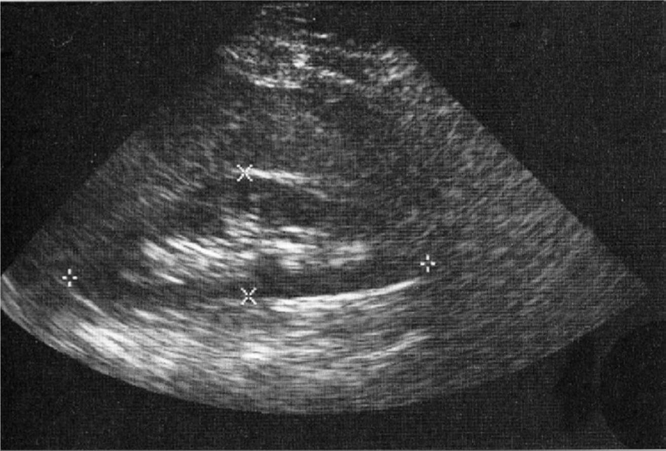
If the portal vein is acutely thrombosed, it will be dilated with acoustically homogeneous echoes within the lumen (Fig. 11–33). The thrombotic process may be segmental with sparing of one or more of the main tributaries.5Chronic thrombosis may cause the portal vein and its branches to be difficult to visualize because of a decrease in vein diameter and the presence of increased intraluminal echogenicity resulting from fibrosis.

FIGURE 11–33. Real-time image demonstrating acute thrombus within the lumen of the portal vein.
Total obstruction of the portal vein can be demonstrated with color or power Doppler to show the absence of flow. Thrombosis can then be confirmed with optimized spectral Doppler. Color or power Doppler will demonstrate flow around the thrombus when the vein is partially obstructed. Spectral Doppler waveforms will be nonphasic, consistent with the absence of respiratory variation as a result of increased venous pressure. If cavernous transformation has replaced the main portal vein, multiple small tubular structures will be noted in the porta hepatis (Fig. 11–34). They will appear anechoic but will demonstrate low-velocity, minimally phasic spectral waveforms characteristic of portal venous flow. When flow in the portal vein is compromised, the hepatic artery assumes responsibility for supplying the majority of oxygenated blood to the liver. As a result of flow demand, the hepatic artery may enlarge, vascular resistance in the hepatic artery decreases, and velocity may increase.

FIGURE 11–34. Real-time image of the porta hepatis demonstrating small, serpiginous venous collaterals. This finding is consistent with cavernous transformation of the portal vein.
Tumor infiltration of the portal vein occurs most often in patients with hepatocellular carcinoma or liver metastases. Color Doppler will define multiple small vessels throughout the tumor-filled portal vein. While cavernous transformation of the portal vein will demonstrate venous signals in the small channels, tumor blood flow is characterized by low-resistance arterial waveforms.
Portal hypertension can be characterized by its sonographic findings. The portal vein is commonly enlarged, decompression of the liver results in changes in normal blood flow patterns and direction of flow, and collateral pathways and varices (enlarged veins) develop (Fig. 11–35). Hepatic cirrhosis results in loss of respirophasicity in the portal vein and its branches. As portal venous pressure increases, the Doppler spectral waveform may become bidirectional, demonstrating both hepatopetal and hepatofugal flow. Continuous hepatofugal portal venous flow is consistent with portal hypertension and velocity commonly is <12 cm/s (Fig. 11–36). Portal vein diameter at the level of the IVC is frequently greater than 13 mm and respiratory variation in vein diameter disappears.10 Periportal fibrosis causes increased echogenicity of the portal venous walls and the vein may become comma-shaped. The coronary vein diameter usually increases to exceed 5 mm. Additionally, the diameter of the splenic and superior mesenteric veins may increase to more than 10 mm, but most often, there is <20% increase in diameter of these veins from quiet respiration to deep inspiration. Varices may be noted in the splenic hilum and the region of the gallbladder.

FIGURE 11–35. Diagram illustrating portosystemic collateral pathways.

FIGURE 11–36. Doppler spectral waveform demonstrating continuous, low-velocity hepatofugal flow in the portal vein. This finding is suggestive of portal hypertension.
There are other sonographic findings that characterize portal hypertension. Commonly there is fatty infiltration of the liver and portosystemic collaterals are apparent within the liver parenchyma and the splenic hilum (splenorenal and splenocaval), as well as a recanalized paraumbilical vein. Identification of the collateral pathways is facilitated with color flow imaging which will define their presence and confirm flow direction. Splenomegaly may be present (>13 cm), while liver size decreases to <10 cm anteroposteriorly, less than 15 cm in length, and <20 cm in width.6 Dilated, tortuous superficial veins may be obvious surrounding the umbilicus (caput medusa). These arise from a recanalized paraumbilical vein, which can be imaged in a longitudinal or transverse scan plane in the region of the falciform ligament (Fig. 11–37).10 The umbilical vein will appear as a “bull’s eye” when imaged in the transverse plane.

FIGURE 11–37. Gray-scale image of the paraumbilical vein in the long axis within the falciform ligament.
TRANSJUGULAR INTRAHEPATIC PORTOSYSTEMIC SHUNTS
The current nonsurgical procedure of choice for reduction of venous pressure, variceal bleeding, and ascites is diversion of blood from the portal vein to the systemic venous circulation by way of an intrahepatic shunt. The shunt is created by catheter entry through the right internal jugular vein. The catheter is then advanced to the superior vena cava (SVC) and the hepatic (usually right or middle) vein. The catheter traverses the liver parenchyma and enters the main portal vein. A metallic stent is placed over the catheter and balloon dilated to create a shunt between the portal venous system and the hepatic vein (Fig. 11–38).

FIGURE 11–38. Diagram illustrating a transjugular intrahepatic portosystemic shunt (TIPS).
Sonographic and Doppler Characteristics of TIPS
Prior to placement of the TIPS, sonography has shown value in confirming patency and flow direction in the portal vein and its branches, demonstration of a recanalized paraumbilical vein or other portosystemic collaterals, varices, and location and extent of ascites. Attention is given to assessment of the internal jugular vein to ensure its patency.
Following placement of the TIPS, the shunt is evaluated to obtain baseline information on shunt velocity, direction of flow in the main portal vein and its intrahepatic branches, and the hepatic veins. Flow velocities in the main portal vein usually exceed 80 cm/s, with a waveform pattern mimicking the pulsatile flow common to the hepatic veins (Fig. 11–39). Because most of the intrahepatic flow will be toward the shunt (low resistance), hepatofugal flow direction is expected in the portal vein branches. Flow in the hepatic veins should remain hepatofugal. A change in normal flow direction in the intrahepatic venous channels signifies shunt dysfunction and stenosis or occlusion of the shunt should be determined.9

FIGURE 11–39. Color-flow image and Doppler spectral waveforms demonstrating normal flow in a TIPS.
High-resolution B-mode imaging is used to define location of the shunt within the hepatic and portal veins; the shunt should extend well into both vessels. Sonographically, the shunt will appear as an echogenic tubular structure extending along a curved path from the portal vein to the hepatic vein (Fig. 11–40). Most often, it measures 8–10 mm in diameter.

FIGURE 11–40. Real-time image of a TIPS within the parenchyma of the liver. Note the echogenic walls of the shunt.
Recognition of TIPS Dysfunction
Because TIPSs are susceptible to malfunction over time, it is important to maintain a surveillance program to monitor blood flow within the shunt and the intrahepatic vessels. Follow-up evaluations are usually performed at quarterly intervals as long as the shunt remains patent. Shunt dysfunction is most often caused by stenosis of the shunt or hepatic vein or shunt thrombosis. Acute thrombus is acoustically homogeneous and may cause partial or total compromise of the shunt lumen. The presence and extent of the thrombus may be defined with color Doppler imaging, while total obstruction of the shunt must be confirmed with optimized spectral Doppler. The direction of flow in the main portal vein may revert to hepatofugal with decreased velocities and varices may recur.
Intimal hyperplasia is the primary factor in shunt stenosis and is caused by a buildup of collagenous material between the shunt and its endothelial surface. While it commonly occurs in the early post-shunt period, it may develop any time within the first year. Acoustically, it is homogeneous and will be noted to compromise the lumen of the shunt. The extent of compromise can be defined with color-flow imaging and the severity of stenosis determined by velocity spectral waveform parameters.
While problems may be encountered in the portal vein, body of the shunt, or the hepatic outflow vein, most often the obstruction is on the hepatic end of the conduit. B-mode imaging will confirm a reduction in the internal diameter of the shunt when compared to the baseline measurement. Magnified views will facilitate comparative measurements. Color-flow imaging will define narrow segments, regions of disordered flow, and changes in flow direction in the portal and hepatic veins. Additional signs of shunt dysfunction include recurrence of varices and portosystemic collaterals and new onset of ascites.
Changes in velocity and flow direction when compared to the baseline evaluation are key to identification of shunt dysfunction. Depending on the severity of stenosis, velocities may either increase or decrease compared to the previous examination. TIPS velocities are typically higher than those of native vessels, but an interval increase or decrease in velocity exceeding 50 cm/s has been shown to be consistent with stenosis, while actual velocities <60 cm/s are diagnostic of flow limitation that is clinically significant.3, 9
RENAL VEINS
Anatomy of the Renal Veins
The renal veins return blood from the kidneys to the IVC. The intrarenal subcapsular veins converge to form the stellate veins. These veins drain into the interlobular veins, which empty into the interlobar veins. The interlobar veins form the main renal vein. The right renal vein courses superiorly to the right renal artery to the lateral wall of the IVC and is the shorter of the two renal veins. The left renal vein courses from the hilum of the left kidney to cross the aorta anteriorly and the pancreas inferiorly before entering the IVC. As it crosses the aorta, it is visualized posterior to the SMA.1, 2 The vein may be compressed in the mesentery between the aorta and SMA, resulting in the “nutcracker sign.” Multiple venous branches are common.
Sonographic and Doppler Characteristics
Sonographically, the renal veins appear as anechoic tubular structures extending from the renal hila to the posterolateral walls of the IVC (Fig. 11–41). The renal veins are routinely evaluated with optimized spectral and color Doppler to determine patency and flow direction. The Doppler spectral waveform pattern demonstrates low-velocity respirophasicity with flow away from the renal hilum.

FIGURE 11–41. Color-flow image and Doppler spectral waveforms from a normal renal vein.
Renal Venous Disorders
Renal Vein Thrombosis. Renal vein thrombosis most commonly occurs secondary to trauma or tumor. Trauma frequently causes extrinsic compression of the vein or endothelial damage, which leads to flow obstruction and thrombosis. Renal tumors often advance to the renal vein. In the neonate, thrombosis may result from infection, dehydration, hypotension, or maternal diabetes. Primary renal disorders including membranous glomerulonephritis and nephrotic syndrome are frequently the etiology for this condition in adults. Systemic causes must also be considered including lupus erythematosus, amyloidosis, diabetes mellitus, and sickle cell anemia.
Renal vein thrombosis is encountered more often in the left renal vein and children are affected more often than adults. Patients may present initially with proteinuria, microscopic hematuria, and epigastric discomfort or pain. Adults may present acutely with dehydration, vascular congestion, or hypercoagulopathies. Clinical symptoms may also include pulmonary embolism.
Sonographic and Doppler Characteristics of Renal Venous Disorders. Acute renal vein thrombosis causes the kidney to increase in size while cortical echogenicity decreases. The renal sinus becomes hypoechogenic, the pyramids are prominent with poor definition and the corticomedullary junction is indistinct. Thrombosis causes the renal vein to dilate. Acute thrombus will appear acoustically homogeneous; chronicity leads to increased echogenicity. Color and power Doppler imaging may facilitate differentiation of partial from total venous obstruction by outlining the filling defect. Continuous, nonphasic flow is associated with partial thrombosis, while the absence of flow due to total obstruction can be confirmed with optimized spectral, color and power Doppler. When the renal vein is thrombosed, the Doppler spectral waveform from the renal artery characteristically demonstrates increased resistance as having a rapid systolic upstroke, rapid deceleration, and reversed, blunted diastolic flow (Fig. 11–42).

FIGURE 11–42. Doppler spectral waveforms from a renal artery with outflow to a thrombosed renal vein.
LIVER, RENAL, AND PANCREAS TRANSPLANTS
Liver Transplantation
Liver transplantation is the treatment of choice for end-stage liver disease. With current surgical techniques and immunosuppressive therapy, the expected survival rate at 1 year exceeds 85%.9 Sonography plays a major role in the preoperative and postoperative evaluation. Children with biliary atresia may have an associated polysplenia syndrome with intestinal malrotation, bilateral symmetry of the major bronchi, and abnormal location of the portal vein to a position anterior to the duodenum. Additionally, the IVC may be interrupted. Hepatic artery anatomic variants and the presence and flow patterns associated with portacaval or mesocaval shunts must be defined. It is critical that these conditions are identified prior to transplantation.
The donor liver may be cadaveric (orthotopic) in origin or the patient may retain his or her own liver and a portion of a donor liver is transplanted (heterotopic). The vascular anatomy and anastomotic sites will differ with each type of procedure. If an orthotopic cadaveric transplant (OLTX) is used, the recipient’s liver and gallbladder are removed and a cadaveric donor liver is transplanted (Fig. 11–43). The arterial and venous anastomoses include the extrahepatic portal vein, hepatic artery, and suprahepatic and infrahepatic IVC. Biliary drainage is achieved with a Roux-en-Y cholecystojejunostomy or choledochostomy with a T-tube. With heterotopic transplantation, the vascular anastomoses are to the suprahepatic IVC, hepatic artery, and portal vein. Biliary drainage is temporary through a choledochojejunostomy.7

FIGURE 11–43. Diagram illustrating liver transplant procedure.
Sonographic and Doppler Characteristics of Liver Transplants. Sonography is generally performed pretransplantation and post-transplantation. Preoperatively, the abdomen is assessed for fluid collections and masses, hepatomegaly, splenomegaly, patency of the hepatic artery, and its branches, portal vein and its branches, superior mesenteric vein, splenic artery and vein, and the IVC. Particular attention is given to the measurements of the liver and spleen and to detection of malignancy. The post-transplant evaluations are directed to confirmation of vessel patency and flow patterns at the anastomotic sites. Flow velocities may be slightly elevated in the early post-transplant period due to vascular accommodation, extrinsic compression due to tissue edema, and slight diameter mismatch. Even so, there is normally no evidence of remarkable velocity increase in any vessel or post-stenotic turbulence associated with flow-limiting compromise of vessel lumen. Color-flow imaging may facilitate identification of the hepatic artery and hepatic veins and confirmation of appropriate flow direction in all vessels.
Recognition of Liver Transplant Complications
Organ Rejection. Rejection of the liver transplant is a primary cause of organ dysfunction. Clinically, patients experience fever, malaise, anorexia, and hepatomegaly. Sonography is neither sensitive nor specific for the identification of hepatic transplant rejection but has value in excluding stenosis or thrombosis of the hepatic artery, portal vein, or IVC, as well as biliary complications. Laboratory tests are valuable in refining the suspected diagnosis and include elevated serum bilirubin, alkaline phosphatase, and serum transaminase. Confirmation of rejection is achieved most commonly with needle biopsy.
Hepatic Artery Thrombosis. Thrombosis of the hepatic artery post-transplant is considered a critical complication as it jeopardizes transplant viability and the possibility of re-transplantation. While it may be difficult to demonstrate intraluminal thrombus with real-time imaging, optimized spectral, color, or power Doppler will confirm absence of flow. Standard contrast angiography has historically been chosen to validate the sonographic findings.
Hepatic Artery Stenosis. Kinking, coiling, or curling of the extrahepatic segment of the hepatic artery may occur as a result of excessive length of the anastomosed vessel. Flow-reducing stenosis can occur in any of the segmental branches of the artery within the liver parenchyma. Color-flow imaging will define regions of disordered flow and occasional evidence of perivascular color artifact characteristic of an arterial bruit associated with chaotic flow patterns. Hepatic arterial Doppler spectral waveforms exhibit peak systolic velocities in excess of 180 cm/s, with evidence of post-stenotic turbulence and a systolic acceleration time >0.8 seconds (Fig. 11–44). Distal to the site of narrowing, the Doppler waveform is usually dampened with low velocity forward diastolic flow (resistive index<0.5).4, 7


FIGURE 11–44. Arteriogram with associated Doppler spectral waveforms from a liver transplant hepatic artery stenosis.
Portal Vein Thrombosis. Post-transplant thrombosis of the portal vein is associated with early transplant failure and a high mortality rate. High-resolution B-mode imaging will demonstrate dilation of the portal vein and acoustically homogeneous intraluminal echoes. The thrombus may be partially or totally obstructive. Color or power Doppler imaging may be used effectively to highlight flow around a thrombus that is partially occluding a vein lumen or confirm absence of flow when total obstruction is suspected. Thrombosis may extend beyond the main portal vein and include the right and left branches and their tributaries. Attention should be given to identification of periportal collaterals and patency of the hepatic artery that may continue to provide flow to the liver.
Portal Vein Stenosis. Stenosis of the portal vein is an uncommon complication following liver transplantation. When present, it is most often found in the region of the portal vein anastomosis as an irregularity of the vein wall or a band-like stricture. Aneurysmal dilation and portal hypertension may be associated with chronic stenosis.
Inferior Vena Cava Thrombosis and Stenosis. Flow may be compromised in the IVC post-transplant as a result of an anastomotic stricture or extrinsic compression from tissue edema, hematomas, or fluid collections adjacent to the IVC anastomoses. Real-time imaging will demonstrate acoustically homogeneous or heterogeneous intraluminal echoes dependent on the age of the thrombus. Partial versus total obstruction can be determined with color or power Doppler and confirmed with optimized spectral Doppler interrogation. Luminal compromise may cause elevation of IVC velocities in the region of narrowing with dampening of the distal signal.
Biliary Complications. Obstruction and leaks are the most common biliary complications post-transplantation. Obstruction is considered to be present if the common bile duct diameter exceeds 6 mm. This complication is most often caused by strictures associated with surgical technical errors, infection, chronic rejection, or ischemia. Additional causes may be related to dysfunction of T-tubes or stents, redundancy of the common bile duct, biliary stones, and mucoceles of the remnant of the cystic duct. Bile leaks are identified sonographically as anechoic fluid collections in the biliary system. Bilomas may be present in the gallbladder fossa and porta hepatis. These will appear cystlike with internal echoes and demonstrate acoustic enhancement. Most often, they are irregularly shaped.
Pseudoaneurysms. Pseudoaneurysms occur when at least two of the three layers of the arterial wall have been punctured, allowing blood to escape into the surrounding tissue. Pseudoaneurysms (false aneurysms) may occur when there is leakage of blood through an anastomotic site or from an artery that has mistakenly been punctured during the transplant procedure or post-transplantation biopsy. This is an uncommon complication and is most often associated with graft needle biopsy or infection. Recognition of pseudoaneurysms is facilitated with colorflow imaging and differentiation of pseudoaneurysm from true aneurysmal dilation is dependent on documentation of a to-and-fro Doppler spectral waveform in the tract that connects the false aneurysm to the punctured artery (Fig. 11–45).

FIGURE 11–45. Characteristic “to-and-fro” Doppler spectral waveform pattern recorded in the neck of a pseudoaneurysm.
Correlative imaging modalities for confirmation of liver transplant dysfunction are chosen based on the clinical presentation. Standard contrast arteriography is used to demonstrate patency of the primary arteries and veins and for assessment of organ perfusion. Radionuclide scintigraphy has shown value for evaluation of liver perfusion, hepatocyte function, and assessment of bile excretion. While bilomas and abscesses may be identified sonographically, hepatobiliary scintigraphy is used to confirm these lesions. CT imaging has value for confirmation of biliary necrosis; however, cholangiography is the procedure of choice for confirmation of biliary system compromise.
Renal Transplantation
Renal transplantation was first introduced in the 1950s and has become the procedure of choice for patients with end-stage renal disease. Survival rates are excellent in the current surgical era as a result of improved surgical procedures and advances in immunosuppression. Multiple causes of post-transplantation renal failure still exist, however, and many of these can be identified sonographically. Real-time imaging, coupled with spectral, color, and power Doppler, has shown value as a tool for preoperative assessment and post-transplantation surveillance of tissue and flow characteristics that are consistent with renal transplant dysfunction.
If a living related donor kidney is used, sonography plays an important preoperative role in ensuring that the arterial and venous circulations are normal and that the recipient aorta and external iliac arteries are free of atherosclerotic debris. Following transplantation, sonographic surveillance is employed to identify increased renovascular resistance associated with acute rejection, acute tubular necrosis (ATN), transplant renal artery stenosis/occlusion, and arteriovenous communication.
In adult patients, the transplanted kidney is most often placed superficially in the right lower abdomen. The donor renal artery is anastomosed to the right external or internal iliac artery while the transplant renal vein is anastomosed to the external iliac vein. Drainage from the ureter into the bladder is achieved via ureteroneocystostomy (Fig. 11–46).

FIGURE 11–46. Diagram illustrating the surgical anastomoses used for renal transplantation. K is kidney; A is arterial; V is vernous; U is ureter; B is bladder.
Sonographic and Doppler Characteristics of Renal Transplants. Since the 1980s, real-time imaging has been used to identify acute renal transplant rejection. The more popular characteristics include increased renal volume, enlargement of the renal pyramids, decrease in the amount of renal sinus fat, increased cortical echogenicity, decreased echogenicity of the renal parenchyma, indistinct corticomedullary boundaries, and thickening of the renal pelvis. These criteria are neither sensitive nor specific for renal allograft rejection when correlated histologically.
Greater emphasis has been placed on assessment of the flow patterns within the transplant renal artery and vein and the parenchymal vessels because these patterns alter with increased vascular resistance. Many investigators have shown that elevation of the resistive index is associated with acute transplant rejection, acute tubular necrosis, renal vein thrombosis, obstruction, and extrinsic compression of the renal artery or transplant. Others have concentrated on changes in the Doppler spectral waveform patterns that occur with increased vascular resistance. Sequential monitoring of blood flow patterns has provided recognition of Doppler spectral patterns associated with acute transplant rejection, acute tubular necrosis, transplant renal artery stenosis/occlusion, renal vein thrombosis, and arteriovenous fistulas.4, 9
Sonographically, the normal renal transplant will appear as an elliptical organ lying in close proximity to the psoas muscle in the lower right iliac fossa. The ureter may be difficult to image unless it is enlarged due to obstruction. The region surrounding the transplant should be surveyed for fluid collections and care should be taken to identify hydronephrosis or inappropriate echogenicity of the renal tissues. Color-flow imaging will facilitate identification of the anastomoses of the transplant renal artery and vein to the external iliac artery and vein and confirmation of flow throughout all segments of the renal medulla and cortex (Fig. 11–47). Arteriovenous fistulas and stenosis associated with kinking or intrinsic narrowing of an artery will present on the color-flow image as regions of disordered flow and mosaic coloration. Tissue infarction is best confirmed with optimized power and spectral Doppler to show absence of flow.

FIGURE 11–47. Color-flow image illustrating the iliac arterial and venous anastomoses and flow within the parenchyma of a renal transplant.
Doppler spectral waveforms from the normal external iliac artery demonstrate phasicity with forward flow in the segment of the artery proximal to the anastomosis of the transplant renal artery. The relatively low resistant flow pattern is caused by the flow demand of the transplanted organ. In the segment of the external iliac artery distal to the renal artery anastomosis, the Doppler spectral waveform will be triphasic, characteristic of the high resistance peripheral arterial system of the lower extremities (Fig. 11–48). The external iliac vein normally demonstrates respirophasicity consistent with venous flow patterns in the extremities.3, 9

FIGURE 11–48. Doppler spectral waveforms demonstrating the flow pattern in the external iliac artery in the region of the transplant renal artery anastomosis.
Slight flow disturbance may be apparent at the renal artery anastomosis due to slight deviation of the flow stream. High-velocity, turbulent flow patterns are not normally seen. The Doppler spectral waveform demonstrates a low-resistance pattern with constant forward flow throughout diastole. This pattern is propagated throughout the transplant renal artery and the vessels within the medulla and cortex of the organ (Fig. 11–49). The peak systolic and end-diastolic velocities decrease proportionately from the main renal artery to the arcuate vessels within the cortex. Although venous respirophasicity may decrease, continuous nonphasic flow is not normal.3, 9

FIGURE 11–49. Normal low-resistance Doppler spectral waveforms from a renal transplant.
Recognition of Renal Transplant Complications
Acute Renal Transplant Rejection. Real-time imaging details an enlarged organ with a slightly irregular renal outline, indistinct corticomedullary boundaries, decreased echogenicity of the pyramids, decreased echogenicity of the renal sinus, increased cortical echogenicity, and irregular fluid-filled areas within the renal cortex.
Acute vascular rejection is characterized by proliferative endovasculitis, which causes the arterial intima to thicken. Blood flow is impeded by the arterial narrowing and vascular resistance increases (resistive index >0.8). The increase in resistance is characterized by a decrease in diastolic flow. This is evident in the Doppler spectral waveform pattern throughout the kidney (Fig. 11–50). As the severity of the rejection episode continues to advance, the diastolic flow component of the waveform may deteriorate from low to zero to a reversed flow phase. In the most critical cases of rejection, diastolic flow may be altogether absent. Platelet-fibrin aggregates may form to the extent that the intersegmental and arcuate arteries of the transplant thrombose; this results in organ failure.9

FIGURE 11–50. High-resistance Doppler spectral waveform pattern associated with acute renal transplant rejection.
Acute Tubular Necrosis. ATN may be difficult to identify with real-time imaging, as the tissues appear normal. Mild ATN is characterized by peritubular necrosis and medullary arterialvenous shunting. As the necrotic process becomes more severe, tubular and interstitial edemas are apparent and impedance to arterial inflow to the transplanted organ increases. Resistive indices will increase, but this quantitative method of assessment only signifies increased renovascular resistance and does not define its etiology. We have shown a continuum of Doppler spectral patterns associated with mild, moderate, and severe ATN.5, 9 Mild ATN produces a spectral pattern that appears normal except for rapid deceleration from the systolic peak to an increased diastolic forward-flow component. This is thought to be the result of the arterial-venous medullary shunting. Moderate ATN is associated with a spectral waveform that demonstrates rapid systolic deceleration and increased pulsatility (Fig. 11–51). As the severity of the necrotic process increases, vascular resistance increases and diastolic flow decreases further. The Doppler spectral pattern for severe ATN demonstrates a reduction in the amount of diastolic flow, amplitude of the signal, and descent of the diastolic flow component. The waveform may be indistinguishable from the pattern associated with severe acute rejection.5, 9

FIGURE 11–51. Doppler spectral waveform pattern associated with moderate acute tubular necrosis. Note the rapid systolic deceleration and increased pulsatility compared to the normal spectral pattern.
Transplant Renal Artery Stenosis and Occlusion. Transplant renal artery stenosis has been shown to occur in as many as 12% of cases. This is most often the result of one of two complications. The first is due to sharp angulation of the transplant renal artery at the anastomosis to the external iliac artery. The kinking may result in flow reduction in the renal artery. The second type may result from anastomotic stricture as a consequence of technical error or from progression of atherosclerotic disease in the iliac artery. The second type may also be related to arterial injury during harvesting, chronic rejection, or post-transplant intimal hyperplasia. Clinically, patients present with new onset hypertension, elevated serum creatinine levels, and perhaps a bruit in the region of the transplant renal artery anastomoses.
If anastomotic kinking is present, real-time imaging will define sharp angulation at the anastomotic site; color or power Doppler can be used to confirm narrowing of the arterial lumen. Spectral Doppler waveforms from the external iliac and transplant renal artery reveal high-velocity, turbulent flow and a renal-iliac artery ratio of more than 3.05 (Fig. 11–52).

FIGURE 11–52. Flow-reducing transplant renal artery stenosis is characterized by high-velocity, turbulent signals and a renal-iliac artery ratio >3.0.
Severe vascular rejection may lead to thrombosis of the transplant renal artery or the vessels within the sinus and cortex of the kidney. Infarction may be complete or segmental. Immediate surgical or lytic intervention is required to salvage the organ. High resolution B-mode imaging details a hyperechoic organ or regions of ischemic tissue. Occlusion of the transplant renal arteries is suggested when there is no evidence of flow using optimized spectral, color, or power Doppler.
Thrombosis of the transplant renal vein is most often caused by surgical technical complications or from extrinsic compression of the vein postoperatively by hematoma, seroma, or tissue edema. Sonographically, the vein appears dilated with acoustically homogeneous intraluminal echoes. Spectral, color, or power Doppler will confirm the absence of flow in the transplant renal vein and throughout the renal parenchymal venous tree. The Doppler spectral waveform from the renal arteries is characterized by a sharp systolic upstroke followed by rapid deceleration to a reversed and blunted diastolic flow component as previously described.
Arteriovenous Fistulas. Acute renal transplant rejection has historically been confirmed with cortical needle biopsy. These procedures may result in development of arteriovenous communications within the parenchyma of the organ. These arteriovenous (AV) fistulas rarely severely compromise blood flow to the kidney and are usually self-limiting. Color-flow imaging can be used to define the presence, size, and effect on the arterial and venous circulation. Doppler spectral waveforms detail the pressure-flow gradient in the fistula as evidenced by high-velocity, turbulent flow in the feeding arteries and pulsatile, arterialized flow patterns in the draining veins.
Pseudoaneurysms. Percutaneous biopsy or anastomotic leakage may result in formation of pseudoaneurysm at the site of arterial puncture or breakthrough. The majority of pseudoaneurysms are small and self-limiting; the patient remains asymptomatic. Some, however, may be quite large and can compromise flow to the transplanted kidney or rupture. As described earlier, blood escapes from the artery into the surrounding tissue and is connected to the artery by a neck or pedicle. High-pressure flow enters the false aneurysm through the neck during systole and returns to the artery during the low-pressure diastolic phase of the cardiac cycle. This results in the classic “to-and-fro” Doppler spectral waveform that is diagnostic for flow patterns associated with pseudoaneurysms (see Fig. 11–45).
Consistent with liver transplantation, correlative imaging modalities chosen for confirmation of renal transplant dysfunction are based on the clinical presentation. MRI or radionuclide imaging is chosen to evaluate perfusion and functional status of the transplanted kidney. Standard contrast arteriography has historically been used for vascular evaluation, while CT imaging has shown value for both pre-transplantation and post-transplantation assessment.
Pancreas Transplantation
Most often, pancreatic transplantation is performed in patients with end-stage renal disease secondary to type I diabetes and to reverse the complications related to progression of disease. The pancreas is transplanted in conjunction with a renal transplant or may be transplanted alone in diabetic patients who do not have renal failure.
The first segmental pancreas transplantation was performed in 1966 and survival rates have increased in the present era as a result of improved surgical techniques and immunosuppressive regimens. Graft failure is often the consequence of acute rejection, vascular thrombosis, pancreatitis, fluid collections, infection, pseudocysts, and anastomotic leaks. The most serious complications occur in the early post-transplantation period and are commonly related to thrombosis of the splenic vein.
The pancreatic transplant is placed superficially in the pelvic area in a manner similar to that used in renal transplantation. When both organs are transplanted together, the pancreas is placed on the patient’s right side and the kidney on the left side (Fig. 11–53). The celiac artery and SMA are harvested from the donor aorta on a Carrel patch and anastomosed to the recipient’s external iliac artery. The tail of the pancreas is perfused by the splenic artery, which is left intact during transplantation. The donor portal vein is anastomosed to the external iliac vein; the splenic vein drains the tail of the pancreas transplant. A section of the donor’s duodenum is attached to the recipient bladder to achieve exocrine drainage.9

FIGURE 11–53. Diagram illustrating the surgical procedure used for transplantation of a kidney and pancreas. (Reprinted, with permission, from Neumyer MM: Ultrasonographic Assessment of Renal and Pancreatic Transplants. The Journal of Vascular Technology, 19 (5-6); 321–329, 1995.)
Clinical features of acute pancreas transplant rejection include elevated serum amylase, glucose, and lipase levels.
Recognition of Pancreas Transplant Complications
Acute Rejection. In contrast to its use as a valuable aid to detection of acute rejection in renal transplants, sonography has demonstrated little value in identification of rejection in pancreas transplants. Real-time imaging may demonstrate acoustic inhomogeneity, poor margination of the organ, dilated pancreatic duct, and relative changes in attenuation.
Thrombosis. Thrombosis is most often seen in the early postoperative period but may occur later as a consequence of rejection of the transplanted organ or infection. Venous thrombosis is most serious when it affects the splenic vein and can threaten organ viability.9 When multiple venous segments are involved, arterial inflow is compromised and organ survival is jeopardized. Color-flow imaging is used to confirm patency of the arterial and venous anastomoses and perfusion of the transplanted organ. Most importantly, it has been the procedure of choice for confirming patency of the splenic vein throughout its tortuous course along the posterior aspect of the organ.8
Pancreatitis. Pancreatitis may occur as an inflammatory response to reperfusion of the organ at the time of transplantation. In most cases, this is a mild episode but, if severe, can compromise organ viability. Sonographically, in the acute phase, the pancreas is slightly enlarged with a hypoechoic, fluffy-looking texture as a result of tissue edema. Fibrosis and calcifications may be noted if the condition is long-standing.6