
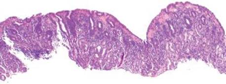
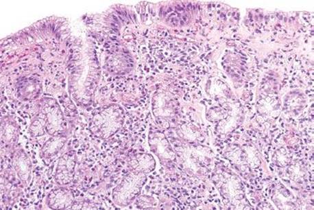
Figure 2.143 Collagenous gastritis pattern, olmesartan. At scanning magnification, this gastric biopsy has a prominent pink band below the surface epithelium. Focal areas of surface epithelium have also sheared off (far left), a characteristic finding in collagenous enteritis. Most cases are not as obvious as this example, and may require confirmation with a Masson’s trichrome stain to highlight the collagen deposition.
CHECKLIST: Clinical Associations in Adults with the Collagenous Gastritis Pattern
Immune-Mediated Conditions: Celiac Disease, Hashimoto Thyroiditis, Sjögren Syndrome, Polymyositis
Collagenous Enteritis/Colitis
Helicobacter
Medications (i.e., Olmesartan)
Collagenous gastritis is characterized by the deposition of a subepithelial collagen band and accompanying inflammatory infiltrate (Fig. 2.143).99,109–112 The pathogenesis of this rare disease remains unclear. The disease is more common in adults (range from 1 to 77 years), in whom associations include lymphocytic gastritis (33%), celiac disease or collagenous enteritis (25%), collagenous colitis, other immune-mediated disorders (such as Hashimoto thyroiditis, Sjögren syndrome, and polymyositis), Helicobacter, and medication injury (i.e., olmesartan). In contrast, associated intestinl and autoimmune diseases are not reported in children with collagenous gastritis. In the pediatric setting, endoscopic findings include a nodular, erythematous mucosa, and these findings are usually limited to the stomach. By comparison, endoscopic findings in adults typically include gastric atrophy with diffuse involvement of the gastrointestinal tract. Histologically, lamina propria lymphoplasmacytosis, patchy subepithelial collagen deposition of variable thickness, injury to and detachment of the surface epithelium, and glandular atrophy are seen (Figs. 2.143–2.151). Because the pathogenesis of collagenous gastritis is so poorly understood in children, treatment remains challenging and poorly defined. For adults, treatment of any underlying associated diseases is recommended, such as a gluten-free diet in patients with celiac disease, steroids in patients with collagenous colitis, and discontinuation of offending medications (i.e., olmesartan).

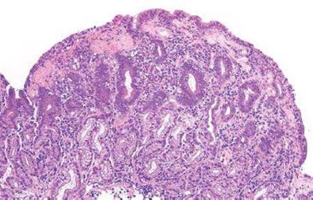
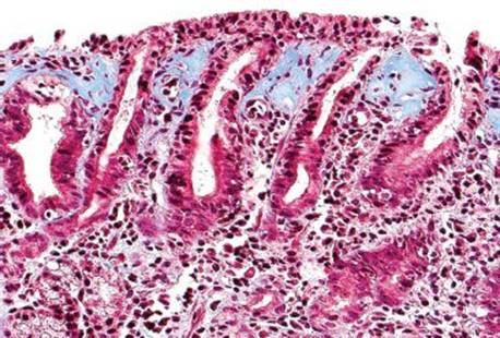
Figure 2.144 Collagenous gastritis pattern, olmesartan. This antrum biopsy shows intraepithelial lymphocytosis and a markedly abnormal subepithelial collagen table. The pink band is seen right beneath the surface epithelium and the lamina propria contains increased chronic inflammation. This patient was taking olmesartan, an antihypertensive drug known to cause collagenous gastritis and sprue-like enteropathy.

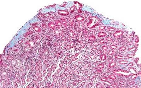
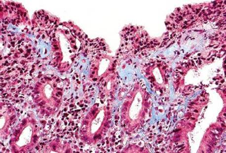
Figure 2.145 Collagenous gastritis pattern, olmesartan, (Masson’s trichrome). A trichrome stain of the previous case confirms that the pink band is composed of collagen. The surface epithelium has sheared away from the collagen in this deeper level, a finding highly characteristic of collagenous enteritis/colitis and not seen as often in the stomach. Note how the deep border of the collagen band is markedly irregular, appearing to seep between the glands as if the collagen were candle wax drippings.

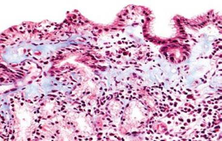
Figure 2.146 Collagenous gastritis pattern. A biopsy of the gastric body shows a thickened subepithelial collagen table that has entrapped inflammatory cells and small vessels. The background mucosa shows a mild chronic inflammatory infiltrate in the lamina propria and mild intraepithelial lymphocytosis of the surface epithelium. This example is not as obvious as previous figures, and some observers might suggest that the findings represent merely lamina propria edema.

Figure 2.147 Collagenous gastritis pattern (Masson’s trichrome). A Masson’s trichrome stain of the previous case highlights the irregularly expanded subepithelial collagen table. Again, note the entrapped inflammatory cells and small vessels. The trichrome stain accentuates tendrils of “candle wax drippings” percolating downward between the glands, a finding highly characteristic of collagenous enteritis. The etiology of the collagenous gastritis in this case is unknown.

Figure 2.148 Collagenous gastritis pattern. Collagenous gastritis can be a patchy finding in the stomach. This high-power field is adjacent to the one shown in the previous figure, and abnormalities of the collagen table are not as appreciable on routine H&E examination.

Figure 2.149 Collagenous gastritis pattern (Masson’s trichrome). A Masson’s trichrome stain highlights the irregular subepithelial collagen thickening. Not the entrapped inflammatory cells and small vessels, as well as the background IELs.

Figure 2.150 Collagenous gastritis pattern. Another example has an irregular collagen table with entrapped cells and small vessels, evident on H&E.

Figure 2.151 Collagenous gastritis pattern (Masson’s trichrome). A trichrome stain of the previous case accentuates the irregular collagen tendrils similar to “candle wax drippings”.