Rodak's Hematology: Clinical Principles and Applications, 5th Ed.

CHAPTER 7. Hematopoiesis

Richard C. Meagher

OUTLINE

Hematopoietic Development

Mesoblastic Phase

Hepatic Phase

Medullary (Myeloid) Phase

Adult Hematopoietic Tissue

Bone Marrow

Liver

Spleen

Lymph Nodes

Thymus

Hematopoietic Stem Cells and Cytokines

Stem Cell Theory

Stem Cell Cycle Kinetics

Stem Cell Phenotypic and Functional Characterization

Cytokines and Growth Factors

Lineage-Specific Hematopoiesis

Erythropoiesis

Leukopoiesis

Megakaryopoiesis

Therapeutic Applications

Objectives

After completion of this chapter, the reader will be able to:

1. Define hematopoiesis.

2. Describe the evolution and formation of blood cells from embryo to fetus to adult, including anatomic sites and cells produced.

3. Predict the likelihood of encountering active marrow from biopsy sites when given the patient’s age.

4. Relate normal and abnormal hematopoiesis to the various organs involved in the hematopoietic process.

5. Explain the stem cell theory of hematopoiesis, including the characteristics of hematopoietic stem cells, the names of various progenitor cells, and their lineage associations.

6. Discuss the roles of various cytokines and hematopoietic growth factors in differentiation and maturation of hematopoietic progenitor cells, including nonspecific and lineage-specific factors.

7. Describe general morphologic changes that occur during blood cell maturation.

8. Define apoptosis and discuss the relationship between apoptosis, growth factors, and hematopoietic stem cell differentiation.

9. Discuss therapeutic applications of cytokines and hematopoietic growth factors.

Hematopoietic development

Hematopoiesis is a continuous, regulated process of blood cell production that includes cell renewal, proliferation, differentiation, and maturation. These processes result in the formation, development, and specialization of all of the functional blood cells that are released from the bone marrow to the circulation. The hematopoietic system serves as a functional model to study stem cell biology, proliferation, maturation and their contribution to disease and tissue repair. Rationale for this assumption is founded on the observations that mature blood cells have a limited lifespan (e.g., 120 days for RBC), a cell population capable of renewal is present to sustain the system, and the demonstration that the cell renewal population is unique in this capacity. A hematopoietic stem cell is capable of self-renewal (i.e., replenishment) and directed differentiation into all required cell lineages.1

Hematopoiesis in humans can be characterized as a select distribution of embryonic cells in specific sites that rapidly change during development.2 In healthy adults hematopoiesis is restricted primarily to the bone marrow. During fetal development, the restricted, sequential distribution of cells initiates in the yolk sac and then progresses in the aorta-gonad mesonephros (AGM) region (mesoblastic phase), then to the fetal liver (hepatic phase), and finally resides in the bone marrow (medullary phase). Due to the different locations and resulting microenvironmental conditions (i.e., niches) encountered, each of these locations has distinct but related populations of cells.

Mesoblastic phase

Hematopoiesis is considered to begin around the nineteenth day of embryonic development after fertilization.3 Early in embryonic development, cells from the mesoderm migrate to the yolk sac. Some of these cells form primitive erythroblasts in the central cavity of the yolk sac, while the others (angioblasts) surround the cavity of the yolk sac and eventually form blood vessels.4-7 These primitive but transient yolk sac erythroblasts are important in early embryogenesis to produce hemoglobin (Gower-1, Gower-2, and Portland) needed for delivery of oxygen to rapidly developing embryonic tissues (Chapter 10).8 Yolk sac hematopoiesis differs from hematopoiesis that occurs later in the fetus and the adult in that it occurs intravascularly, or within developing blood vessels.8

Cells of mesodermal origin also migrate to the aorta-gonad-mesonephros (AGM) region and give rise to hematopoietic stem cells (HSCs) for definitive or permanent adult hematopoiesis.4, 7 The AGM region has previously been considered to be the only site of definitive hematopoiesis during embryonic development. However, more recent evidence suggests that HSC development and definitive hematopoiesis occur in the yolk sac. Metcalf and Moore performed culture experiments using 7.5-day mouse embryos lacking the yolk sac and demonstrated that no hematopoietic cells grew in the fetal liver after several days of culture.9They concluded that the yolk sac was the major site of adult blood formation in the embryo.9 This view is supported by Weissman and colleagues in transplant experiments demonstrating that T cells could be recovered following transplantation of yolk sac into fetuses.10 However, others have postulated de novo production of HSCs could occur at different times or locations.11 Reports indicate that Flk1+ HSCs separated from human umbilical cord blood could generate hematopoietic as well as endothelial cells in vitro.12 Others have shown that purified murine HSCs generate endothelial cells following in vivo transplantation.13More recently, others have challenged the AGM origin of HSCs based on transgenic mouse data showing that yolk sac hematopoietic cells in 7.5-day embryos express Runx1 regulatory elements needed for definitive hematopoiesis.14 This suggests that the yolk sac contains either definitive HSCs or cells that can give rise to HSCs.14 The precise origin of the adult HSC remains unresolved.

Hepatic phase

The hepatic phase of hematopoiesis begins at 5 to 7 gestational weeks and is characterized by recognizable clusters of developing erythroblasts, granulocytes, and monocytes colonizing the fetal liver, thymus, spleen, placenta, and ultimately the bone marrow space in the final medullary phase.8 These varied niches support development of HSCs that migrate to them. However, the contribution of each site to the final composition of the adult HSC pool remains unknown.15, 16 The developing erythroblasts signal the beginning of definitive hematopoiesis with a decline in primitive hematopoiesis of the yolk sac. In addition, lymphoid cells begin to appear.17, 18 Hematopoiesis during this phase occurs extravascularly, with the liver remaining the major site of hematopoiesis during the second trimester of fetal life.8 Hematopoiesis in the aorta-gonad-mesonephros region and the yolk sac disappear during this stage. Hematopoiesis in the fetal liver reaches its peak by the third month of fetal development, then gradually declines after the sixth month, retaining minimal activity until 1 to 2 weeks after birth8 (Figure 7-1). The developing spleen, kidney, thymus, and lymph nodes contribute to the hematopoietic process during this phase. The thymus, the first fully developed organ in the fetus, becomes the major site of T cell production, whereas the kidney and spleen produce B cells.

Image

FIGURE 7-1 Sites of hematopoiesis by age.

Production of megakaryocytes also begins during the hepatic phase. The spleen gradually decreases granulocytic production and involves itself solely in lymphopoiesis. During the hepatic phase, fetal hemoglobin (Hb F) is the predominant hemoglobin, but detectable levels of adult hemoglobin (Hb A) may be present (Chapter 10).8

Medullary (myeloid) phase

Prior to the fifth month of fetal development, hematopoiesis begins in the bone marrow cavity.3 This transition is called medullary hematopoiesis because it occurs in the medulla or inner part of the bone. During the myeloid phase, HSCs and mesenchymal cells migrate into the core of the bone.8 The mesenchymal cells, which are a type of embryonic tissue, differentiate into structural elements (i.e, stromal cells such as endothelial cells and reticular adventitial cells) that support the developing blood cells.19, 20 Hematopoietic activity, especially myeloid activity, is apparent during this stage of development, and the myeloid-to-erythroid ratio gradually approaches 3:1 (adult levels).8 By the end of 24 weeks’ gestation, the bone marrow becomes the primary site of hematopoiesis.8 Measurable levels of erythropoietin (EPO), granulocyte colony-stimulating factor (G-CSF), granulocyte-macrophage colony-stimulating factor (GM-CSF), and hemoglobins F and A can be detected.8 In addition, cells at various stages of maturation can be seen in all blood cell lineages.

Adult hematopoietic tissue

In adults, hematopoietic tissue is located in the bone marrow, lymph nodes, spleen, liver, and thymus. The bone marrow contains developing erythroid, myeloid, megakaryocytic, and lymphoid cells. Lymphoid development occurs in primary and secondary lymphoid tissue. Primary lymphoid tissue consists of the bone marrow and thymus and is where T and B lymphocytes are derived. Secondary lymphoid tissue, where lymphoid cells respond to foreign antigens, consists of the spleen, lymph nodes, and mucosa-associated lymphoid tissue.

Bone marrow

Bone marrow, one of the largest organs in the body, is the tissue located within the cavities of the cortical bones. Resorption of cartilage and endosteal bone creates a central space within the bone. Projections of calcified bone, called trabeculae, radiate out from the bone cortex into the central space, forming a three-dimensional matrix resembling a honeycomb. The trabeculae provide structural support for the developing blood cells.

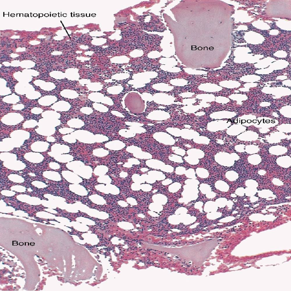
Normal bone marrow contains two major components: red marrow, hematopoietically active marrow consisting of the developing blood cells and their progenitors, and yellow marrow, hematopoietically inactive marrow composed primarily of adipocytes (fat cells), with undifferentiated mesenchymal cells and macrophages. During infancy and early childhood, all the bones in the body contain primarily red (active) marrow. Between 5 and 7 years of age, adipocytes become more abundant and begin to occupy the spaces in the long bones previously dominated by active marrow. The process of replacing the active marrow by adipocytes (yellow marrow) during development is called retrogression and eventually results in restriction of the active marrow in the adult to the sternum, vertebrae, scapulae, pelvis, ribs, skull, and proximal portion of the long bones (Figure 7-2). Hematopoietically inactive yellow marrow is scattered throughout the red marrow so that in adults, there is approximately equal amounts of red and yellow marrow in these areas (Figure 7-3). Yellow marrow is capable of reverting back to active marrow in cases of increased demand on the bone marrow, such as in excessive blood loss or hemolysis.3

Image

FIGURE 7-2 The adult skeleton, in which darkened areas depict active red marrow hematopoiesis.

Image

FIGURE 7-3 Fixed and stained bone marrow biopsy specimen (hematoxylin and eosin stain, ×100). The extravascular tissue consists of blood cell precursors and various tissue cells with scattered fat tissue. A normal adult bone marrow displays 50% hematopoietic cells and 50% fat.

The bone marrow contains hematopoietic cells, stromal cells, and blood vessels (arteries, veins, and vascular sinuses). Stromal cells originate from mesenchymal cells that migrate into the central cavity of the bone. Stromal cells include endothelial cells, adipocytes (fat cells), macrophages and lymphocytes, osteoblasts, osteoclasts, and reticular adventitial cells (fibroblasts).3 Endothelial cells are broad, flat cells that form a single continuous layer along the inner surface of the arteries, veins, and vascular sinuses.21 Endothelial cells regulate the flow of particles entering and leaving hematopoietic spaces in the vascular sinuses.Adipocytes are large cells with a single fat vacuole; they play a role in regulating the volume of the marrow in which active hematopoiesis occurs. They also secrete cytokines or growth factors that may positively stimulate HSC numbers and bone homeostasis.22, 23 Macrophages function in phagocytosis, and both macrophages and lymphocytes secrete various cytokines that regulate hematopoiesis; they are located throughout the marrow space.3, 24 Other cells involved in cytokine production include endothelial cells and reticular adventitial cells. Osteoblasts are bone-forming cells, and osteoclasts are bone-resorbing cells.Reticular adventitial cells form an incomplete layer of cells on the abluminal surface of the vascular sinuses.3 They extend long, reticular fibers into the perivascular space that form a supporting lattice for the developing hematopoietic cells.3Stromal cells secrete a semifluid extracellular matrix that serves to anchor developing hematopoietic cells in the bone cavity. The extracellular matrix contains substances such asfibronectin, collagen, laminin, thrombospondin, tenascin, and proteoglycans (such as hyaluronate, heparan sulfate, chondroitin sulfate, and dermatan).3, 25 Stromal cells play a critical role in the regulation of hematopoietic stem and progenitor cell survival and differentiation.21

Red marrow

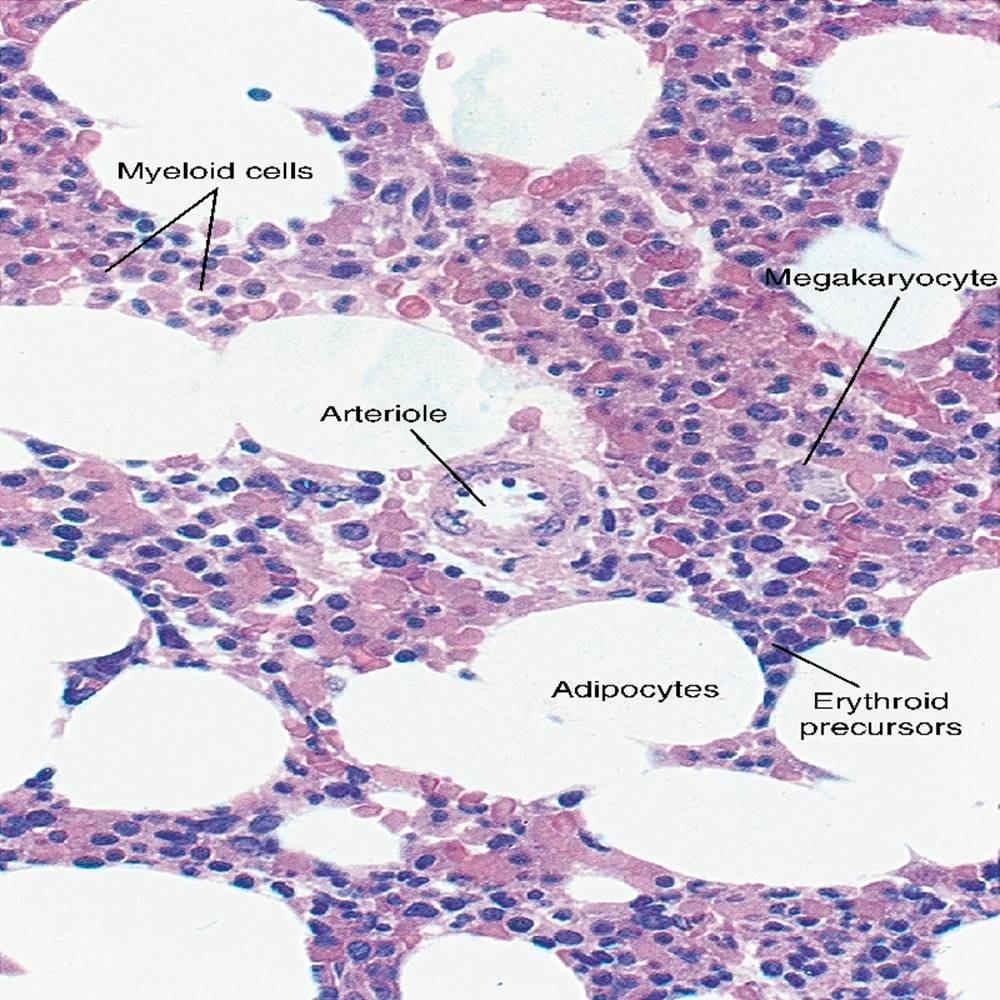
The red marrow is composed of the hematopoietic cells and macrophages arranged in extravascular cords. The cords are located in spaces between the vascular sinuses and are supported by trabeculae of spongy bone.3 The cords are separated from the lumen of the vascular sinuses by endothelial and reticular adventitial cells (Figure 7-4). The hematopoietic cells develop in specific niches within the cords. Erythroblastsdevelop in small clusters, and the more mature forms are located adjacent to the outer surfaces of the vascular sinuses3 (Figures 7-4 and 7-5); in addition, erythroblasts are found surrounding iron-laden macrophages (Figure 7-6). Megakaryocytes are located adjacent to the walls of the vascular sinuses, which facilitates the release of platelets into the lumen of the sinus.3 Immature myeloid (granulocytic) cellsthrough the metamyelocyte stage are located deep within the cords. As these maturing granulocytes proceed along their differentiation pathway, they move closer to the vascular sinuses.19

Image

FIGURE 7-4 Graphic illustration of the arrangement of a hematopoietic cord and vascular sinus in bone marrow.

Image

FIGURE 7-5 Fixed and stained bone marrow biopsy specimen (hematoxylin and eosin stain, ×400). Hematopoietic tissue reveals areas of granulopoiesis (lighter-staining cells), erythropoiesis (with darker-staining nuclei), and adipocytes (unstained areas).

Image

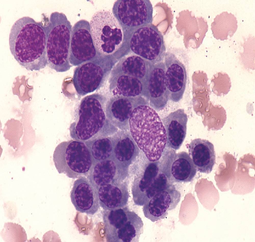
FIGURE 7-6 Bone marrow aspirate smear (Wright-Giemsa stain). Macrophage surrounded by developing erythroid precursors. Source: (Courtesy of Dr. Peter Maslak, Memorial Sloan Kettering Cancer Center, NY.)

The mature blood cells of the bone marrow eventually enter the peripheral circulation by a process that is not well understood. Through a highly complex interaction between the maturing blood cells and the vascular sinus wall, blood cells pass between layers of adventitial cells that form a discontinuous layer along the abluminal side of the sinus. Under the layer of adventitial cells is a basement membrane followed by a continuous layer of endothelial cells on the luminal side of the vascular sinus. The adventitial cells are capable of contracting, which allows mature blood cells to pass through the basement membrane and interact with the endothelial layer.

As blood cells come in contact with endothelial cells, they bind to the surface through a receptor-mediated process. Cells pass through pores in the endothelial cytoplasm, are released into the vascular sinus, and then move into the peripheral circulation.3, 26

Marrow circulation

The nutrient and oxygen requirements of the marrow are supplied by the nutrient and periosteal arteries, which enter via the bone foramina. The nutrient artery supplies blood only to the marrow.20 It coils around the central longitudinal vein, which passes along the bone canal. In the marrow cavity, the nutrient artery divides into ascending and descending branches that also coil around the central longitudinal vein. The arteriole branches that enter the inner lining of the cortical bone (endosteum) form sinusoids (endosteal beds), which connect to periosteal capillaries that extend from the periosteal artery.3 The periosteal arteriesprovide nutrients for the osseous bone and the marrow. Their capillaries connect to the venous sinuses located in the endosteal bed, which empty into a larger collecting sinus that opens into the central longitudinal vein.3 Blood exits the marrow via the central longitudinal vein, which runs the length of the marrow. The central longitudinal vein exits the marrow through the same foramen where the nutrient artery enters. Hematopoietic cells located in the endosteal bed receive their nutrients from the nutrient artery.3

Hematopoietic microenvironment

The hematopoietic inductive microenvironment, or niche, plays an important role in nurturing and protecting HSCs and regulating a balance among their quiescence, self-renewal, and differentiation.21, 27 As the site of hematopoiesis transitions from yolk sac to liver, then to bone marrow, so must the microenvironmental niche for HSCs. The adult bone marrow HSC niche has received the most attention, although its complex nature makes studying it difficult. Stromal cells form an extracellular matrix in the niche to promote cell adhesion and regulate HSCs through complex signaling networks involving cytokines, adhesion molecules, and maintenance proteins. Key stromal cells thought to support HSCs in bone marrow niches include osteoblasts, endothelial cells, mesenchymal stem cells, CXCL12-abundant reticular cells, perivascular stromal cells, glial cells, and macrophages.28, 29

Recent findings suggest that HSCs are predominantly quiescent, maintained in a nondividing state by intimate interactions with thrombopoietin-producing osteoblasts.30 Opposing studies suggest that vascular cells are critical to HSC maintenance through CXCL12, which regulates migration of HSCs to the vascular niche.31 These studies suggest a heterogeneous microenvironment that may impact the HSC differently, depending on location and cell type encountered.32 Given the close proximity of cells within the bone marrow cavity, it is likely that niches may overlap, providing multiple signals simultaneously and thus ensuring tight regulation of HSCs.32 Although the cell-cell interactions are complex and multifactorial, understanding these relationships is critical to the advancement of cell therapies based on HSCs such as clinical marrow transplantation.

Recent reviews, which are beyond the scope of this chapter, discuss and help to delineate between transcription factors required for HSC proliferation or function and those that regulate HSC differentiation pathways.33, 34 The importance of transcription factors and their regulatory role in HSC maturation and redeployment in hematopoietic cell lineage production are demonstrated by their intimate involvement in disease evolution, such as in leukemia. Ongoing study of hematopoietic disease continues to demonstrate the complex and delicate nature of normal hematopoiesis.

Liver

The liver serves as the major site of blood cell production during the second trimester of fetal development. In adults, the hepatocytes of the liver have many functions, including protein synthesis and degradation, coagulation factor synthesis, carbohydrate and lipid metabolism, drug and toxin clearance, iron recycling and storage, and hemoglobin degradation in which bilirubin is conjugated and transported to the small intestine for eventual excretion.

The liver consists of two lobes situated beneath the diaphragm in the abdominal cavity. The position of the liver with regard to the circulatory system is optimal for gathering, transferring, and eliminating substances through the bile duct.35, 36 Anatomically, the hepatocytes are arranged in radiating plates emanating from a central vein (Figure 7-7). Adjacent to the longitudinal plates of hepatocytes are vascular sinusoids lined with endothelial cells. A small noncellular space separates the endothelial cells of the sinusoids from the plates of hepatocytes. This spatial arrangement allows plasma to have direct access to the hepatocytes for two-directional flow of solutes and fluids.

Image

FIGURE 7-7 Three-dimensional schematic of the normal liver.

The lumen of the sinusoids contains Kupffer cells that maintain contact with the endothelial cell lining. Kupffer cells are macrophages that remove senescent cells and foreign debris from the blood that circulates through the liver; they also secrete mediators that regulate protein synthesis in the hepatocytes.37 The particular anatomy, cellular components, and location in the body enables the liver to carry out many varied functions.

Liver pathophysiology

The liver is often involved in blood-related diseases. In porphyrias, hereditary or acquired defects in the enzymes involved in heme biosynthesis result in the accumulation of the various intermediary porphyrinsthat damage hepatocytes, erythrocyte precursors, and other tissues. In severe hemolytic anemias, the liver increases the conjugation of bilirubin and the storage of iron. The liver sequesters membrane-damaged RBCs and removes them from the circulation. The liver can maintain hematopoietic stem and progenitor cells to produce various blood cells (called extramedullary hematopoiesis) as a response to infectious agents or in pathologic myelofibrosis of the bone marrow.38 It is directly affected by storage diseases of the monocyte/macrophage (Kupffer) cells as a result of enzyme deficiencies that cause hepatomegaly with ultimate dysfunction of the liver (Gaucher disease, Niemann-Pick disease, Tay-Sachs disease; Chapter 29).

Spleen

The spleen is the largest lymphoid organ in the body. It is located directly beneath the diaphragm behind the fundus of the stomach in the upper left quadrant of the abdomen. It is vital but not essential for life and functions as an indiscriminate filter of the circulating blood. In a healthy individual, the spleen contains about 350 mL of blood.35

The exterior surface of the spleen is surrounded by a layer of peritoneum covering a connective tissue capsule. The capsule projects inwardly, forming trabeculae that divide the spleen into discrete regions. Located within these regions are three types of splenic tissue: white pulp, red pulp, and a marginal zone. The white pulp consists of scattered follicles with germinal centers containing lymphocytes, macrophages, and dendritic cells. Aggregates of T lymphocytes surround arteries that pass through these germinal centers, forming a region called the periarteriolar lymphatic sheath, or PALS. Interspersed along the periphery of the PALS are lymphoid nodules containing primarily B lymphocytes. Activated B lymphocytes are found in the germinal centers.37

The marginal zone surrounds the white pulp and forms a reticular meshwork containing blood vessels, macrophages, memory B cells, and CD4+ T cells.39 The red pulp is composed primarily of vascular sinuses separated by cords of reticular cell meshwork (cords of Billroth) containing loosely connected specialized macrophages. This creates a sponge-like matrix that functions as a filter for blood passing through the region.37 As RBCs pass through the cords of Billroth, there is a decrease in the flow of blood, which leads to stagnation and depletion of the RBCs’ glucose supply. These cells are subject to increased damage and stress that may lead to their removal from the spleen. The spleen uses two methods for removing senescent or abnormal RBCs from the circulation: culling, in which the cells are phagocytized with subsequent degradation of cell organelles, and pitting, in which splenic macrophages remove inclusions or damaged surface membrane from the circulating RBCs.40 The spleen also serves as a storage site for platelets. In a healthy individual, approximately 30% of the total platelet count is sequestered in the spleen.41

The spleen has a rich blood supply receiving approximately 350 mL/min. Blood enters the spleen through the central splenic artery located at the hilum and branches outward through the trabeculae. The branches enter all three regions of the spleen: the white pulp with its dense accumulation of lymphocytes, the marginal zone, and the red pulp. The venous sinuses, which are located in the red pulp, unite and leave the spleen as splenic veins (Figure 7-8).42

Image

FIGURE 7-8 Schematic of the normal spleen. Source: (From Weiss L, Tavossoli M: Anatomical hazards to the passage of erythrocytes through the spleen, Semin Hematol 7:372-380, 1970.)

Spleen pathophysiology

As blood enters the spleen, it may follow one of two routes. The first is a slow-transit pathway through the red pulp in which the RBCs pass circuitously through the macrophage-lined cords before reaching the sinuses. Plasma freely enters the sinuses, but the RBCs have a more difficult time passing through the tiny openings created by the interendothelial junctions of adjacent endothelial cells (Figure 7-9). The combination of the slow passage and the continued RBC metabolism creates an environment that is acidic, hypoglycemic, and hypoxic. The increased environmental stress on the RBCs circulating through the spleen leads to possible hemolysis.

Image

FIGURE 7-9 Scanning electron micrograph of the spleen shows erythrocytes (numbered 1 to 6) squeezing through the fenestrated wall in transit from the splenic cord to the sinus. The view shows the endothelial lining of the sinus wall, to which platelets (P) adhere, along with white blood cells, probably macrophages. The arrow shows a protrusion on a red blood cell (×5000).Source: (From Weiss L: A scanning electron microscopic study of the spleen, Blood 43:665, 1974.)

In the rapid-transit pathway, blood cells enter the splenic artery and pass directly to the sinuses in the red pulp and continue to the venous system to exit the spleen. When splenomegaly occurs, the spleen becomes enlarged and is palpable. This occurs as a result of many conditions, such as chronic leukemias, inherited membrane or enzyme defects in RBCs, hemoglobinopathies, Hodgkin disease, thalassemia, malaria, and the myeloproliferative disorders. Splenectomy may be beneficial in cases of excessive destruction of RBCs, such as autoimmune hemolytic anemia when treatment with corticosteroids does not effectively suppress hemolysis or in severe hereditary spherocytosis.40, 43 Splenectomy also may be indicated in severe refractory immune thrombocytopenic purpura or in storage disorders with portal hypertension and splenomegaly resulting in peripheral cytopenias.40 After splenectomy, platelet and leukocyte counts increase transiently.40 In sickle cell anemia, repeated splenic infarcts caused by sickled RBCs trapped in the small-vessel circulation of the spleen cause tissue damage and necrosis, which often results in autosplenectomy (Chapter 27).

Hypersplenism is an enlargement of the spleen resulting in some degree of pancytopenia despite the presence of a hyperactive bone marrow. The most common cause is congestive splenomegaly secondary to cirrhosis of the liver and portal hypertension. Other causes include thrombosis, vascular stenosis, other vascular deformities such as aneurysm of the splenic artery, and cysts.44

Lymph nodes

Lymph nodes are organs of the lymphatic system located along the lymphatic capillaries that parallel, but are not part of, the circulatory system. The nodes are bean-shaped structures (1 to 5 mm in diameter) that occur in groups or chains at various intervals along lymphatic vessels. They may be superficial (inguinal, axillary, cervical, supratrochlear) or deep (mesenteric, retroperitoneal). Lymph is the fluid portion of blood that escapes into the connective tissue and is characterized by a low protein concentration and the absence of RBCs. Afferent lymphatic vessels carry circulating lymph to the lymph nodes. Lymph is filtered by the lymph nodes and exits via the efferent lymphatic vessels located in the hilus of the lymph node.39

Lymph nodes can be divided into an outer region called the cortex and an inner region called the medulla. An outer capsule forms trabeculae that radiate through the cortex and provide support for the macrophages and lymphocytes located in the node. The trabeculae divide the interior of the lymph node into follicles (Figure 7-10). After antigenic stimulation, the cortical region of some follicles develop foci of activated B cell proliferation called germinal centers.19, 35 Follicles with germinal centers are called secondary follicles, while those without are called primary follicles.39 Located between the cortex and the medulla is a region called the paracortex, which contains predominantly T cells and numerous macrophages. The medullary cords lie toward the interior of the lymph node. These cords consist primarily of plasma cells and B cells.43 Lymph nodes have three main functions: they are a site of lymphocyte proliferation from the germinal centers, they are involved in the initiation of the specific immune response to foreign antigens, and they filter particulate matter, debris, and bacteria entering the lymph node via the lymph.

Image

FIGURE 7-10 Histologic structure of a normal lymph node. Trabeculae divide the lymph node into follicles with an outer cortex (predominantly B cells) and a deeper paracortical zone (predominantly T cells). A central medulla is rich in plasma cells. After antigenic stimulation, secondary follicles develop germinal centers consisting of activated B cells. Primary follicles (not shown) lack germinal centers.

Lymph node pathophysiology

Lymph nodes, by their nature, are vulnerable to the same organisms that circulate through the tissue. Sometimes increased numbers of microorganisms enter the nodes, overwhelming the macrophages and causing adenitis (infection of the lymph node). More serious is the frequent entry into the lymph nodes of malignant cells that have broken loose from malignant tumors. These malignant cells may grow and metastasize to other lymph nodes in the same group.

Thymus

To understand the role of the thymus in adults, certain formative intrauterine processes that affect function must be considered. First, the thymus tissue originates from endodermal and mesenchymal tissue. Second, the thymus is populated initially by primitive lymphoid cells from the yolk sac and the liver. This increased population of lymphoid cells physically pushes the epithelial cells of the thymus apart; however, their long processes remain attached to one another by desmosomes. In adults, T cell progenitors migrate to the thymus from the bone marrow for further maturation.

At birth, the thymus is an efficient, well-developed organ. It consists of two lobes, each measuring 0.5 to 2 cm in diameter, and is further divided into lobules. The thymus is located in the upper part of the anterior mediastinum at about the level of the great vessels of the heart. It resembles other lymphoid tissue in that the lobules are subdivided into two areas: the cortex (a peripheral zone) and the medulla (a central zone) (). Both areas are populated with the same cellular components—lymphoid cells, mesenchymal cells, reticular cells, epithelial cells, dendritic cells, and many macrophages—although in different proportions.Figure 7-1145 The cortex is characterized by a blood supply system that is unique in that it consists only of capillaries. Its function seems to be that of a “waiting zone” densely populated with progenitor T cells. When these progenitor T cells migrate from the bone marrow and first enter the thymus, they have no identifiable CD4 and CD8 surface markers (double negative), and they locate to the corticomedullary junction.45 Under the influence of chemokines, cytokines, and receptors, these cells move to the cortex and express both CD4 and CD8 (double positive).45 Subsequently they give rise to mature T cells that express either CD4 or CD8 surface antigen as they move toward the medulla.45 Eventually, the mature T cells leave the thymus to populate specific regions of other lymphoid tissue, such as the T cell-dependent areas of the spleen, lymph nodes, and other lymphoid tissues. The lymphoid cells that do not express the appropriate antigens and receptors, or are self-reactive, die in the cortex or medulla as a result of apoptosis and are phagocytized by macrophages.45 The medulla contains only 15% mature T cells and seems to be a holding zone for mature T cells until they are needed by the peripheral lymphoid tissues.45The thymus also contains other cell types, including B cells, eosinophils, neutrophils, and other myeloid cells.37

Image

FIGURE 7-11 Schematic diagram of the edge of a lobule of the thymus, showing cells of the cortex and medulla. Source: (From Abbas AK, Lichtman AH, Pober JS: Cellular and molecular immunology, Philadelphia, 1991, Saunders.)

Gross examination indicates that the size of the thymus is related to age. The thymus weighs 12 to 15 g at birth, increases to 30 to 40 g at puberty, and decreases to 10 to 15 g at later ages. It is hardly recognizable in old age due to atrophy (). The thymus retains the ability to produce new T cells, however, as has been shown after irradiation treatment that may accompany bone marrow transplantation. Figure 7-12

Image

FIGURE 7-12 Differences in the size of the thymus of the infant (A) and the adult (B).

Thymus pathophysiology

Nondevelopment of the thymus during gestation results in the lack of formation of T lymphocytes. Related manifestations seen in patients with this condition are failure to thrive, uncontrollable infections, and death in infancy. Adults with thymic disturbance are not affected because they have developed and maintained a pool of T lymphocytes for life.

Hematopoietic stem cells and cytokines

Stem cell theory

In 1961, Till and McCulloch46 conducted a series of experiments in which they irradiated spleens and bone marrow of mice, creating a state of aplasia. These aplastic mice were given an intravenous injection of marrow cells. Colonies of HSCs were seen 7 to 8 days later in the spleens of the irradiated (recipient) mice. These colonies were called colony-forming units–spleen (CFU-S). These investigators later showed that these colonies were capable of self-renewal and the production of differentiated progeny. The CFU-S represents what we now refer to as committed myeloid progenitors or colony-forming unit–granulocyte, erythrocyte, monocyte, and megakaryocyte (CFU-GEMM).46, 47 These cells are capable of giving rise to multiple lineages of blood cells.

Morphologically unrecognizable hematopoietic progenitor cells can be divided into two major types: noncommitted or undifferentiated hematopoietic stem cells, and committed progenitor cells. These two groups give rise to all of the mature blood cells. Originally there were two theories describing the origin of hematopoietic progenitor cells. The monophyletic theory suggests that all blood cells are derived from a single progenitor stem cell called a pluripotent hematopoietic stem cell. The polyphyletic theory suggests that each of the blood cell lineages is derived from its own unique stem cell. The monophyletic theory is the most widely accepted theory among experimental hematologists today.

Hematopoietic stem cells by definition are capable of self-renewal, are pluripotent and give rise to differentiated progeny, and are able to reconstitute the hematopoietic system of a lethally irradiated host. The undifferentiated HSCs can differentiate into progenitor cells committed to either lymphoid or myeloid lineages. These lineage-specific progenitor cells are the common lymphoid progenitor, which proliferates and differentiates into T, B, and natural killer lymphocyte and dendritic lineages; and the common myeloid progenitor, which proliferates and differentiates into individual granulocytic, erythrocytic, monocytic, and megakaryocytic lineages. The resulting limited lineage-specific progenitors give rise to morphologically recognizable, lineage-specific precursor cells (Figure 7-13 and Table 7-1). Despite the limited numbers of HSCs in the bone marrow, 6 billion blood cells per kilogram of body weight are produced each day for the entire life span of an individual.3 Most of the cells in normal bone marrow are precursor cells at various stages of maturation.

Image

FIGURE 7-13 Diagram of hematopoiesis shows derivation of cells from the pluripotent hematopoietic stem cell.

TABLE 7-1

Culture-Derived Colony-Forming Units (CFUs)

Abbreviation

Cell Line

CFU-GEMM

Granulocyte, erythrocyte, megakaryocyte, monocyte

CFU-E

Erythrocyte

CFU-Meg

Megakaryocyte

CFU-M

Monocyte

CFU-GM

Granulocyte, monocyte

CFU-BASO

Myeloid to basophil

CFU-EO

Myeloid to eosinophil

CFU-G

Myeloid to neutrophil

CFU-pre-T

T lymphocyte

CFU-pre-B

B lymphocyte

HSCs are directed to one of three possible fates: self-renewal, differentiation, or apoptosis.48 When the HSC divides, it gives rise to two identical daughter cells. Both daughter cells may follow the path of differentiation, leaving the stem cell pool (symmetric division), or one daughter cell may return to the stem cell pool and the other daughter cell may follow the path of differentiation (asymmetric division) or undergo apoptosis. Many theories have been proposed to describe the mechanisms that determine the fate of the stem cell. Till and McCulloch proposed that hematopoiesis is a random process whereby the HSC randomly commits to self-renewal or differentiation.46 This model is also called the stochastic model of hematopoiesis. Later studies suggested that the microenvironment in the bone marrow determines whether the HSC will self-renew or differentiate (instructive model of hematopoiesis).48 Current thinking is that the ultimate decision made by the HSC can be described by both the stochastic and instructive models of hematopoiesis. The initial decision to self-renew or differentiate is probably stochastic, whereas lineage differentiation that occurs later is determined by various signals from the hematopoietic inductive microenvironment in response to specific requirements of the body.

The multilineage priming model suggests that HSCs receive low-level signals from the hematopoietic inductive microenvironment to amplify or repress genes associated with commitment to multiple lineages. The implication is that the cell’s fate is determined by intrinsic and extrinsic factors. Extrinsic regulation involves proliferation and differentiation signals from specialized niches located in the hematopoietic inductive microenvironment via direct cell-to-cell or cellular-extracellular signaling molecules.48 Some of the cytokines released from the hematopoietic inductive microenvironment include factors that regulate proliferation and differentiation, such as KIT ligand, thrombopoietin (TPO), and FLT3 ligand. Intrinsic regulation involves genes such as TAL1, which is expressed in cells in the hemangioblast, a bipotential progenitor cell of mesodermal origin that gives rise to hematopoietic and endothelial lineages; and GATA2, which is expressed in later-appearing HSCs. Both of these genes are essential for primitive and definitive hematopoiesis.48In addition to factors involved in differentiation and regulation, there are regulatory signaling factors, such as Notch-1 and Notch-2, that allow HSCs to respond to hematopoietic inductive microenvironment factors, altering cell fate.49

As hematopoietic cells differentiate, they take on various morphologic features associated with maturation. These include an overall decrease in cell volume and a decrease in the ratio of nucleus to cytoplasm. Additional changes that take place during maturation occur in the cytoplasm and nucleus. Changes in the nucleus include loss of nucleoli, decrease in the diameter of the nucleus, condensation of nuclear chromatin, possible change in the shape of the nucleus, and possible loss of the nucleus. Changes occurring in the cytoplasm include decrease in basophilia, increase in the proportion of cytoplasm, and possible appearance of granules in the cytoplasm. Specific changes in each lineage are discussed in subsequent chapters.

Stem cell cycle kinetics

The bone marrow is estimated to be capable of producing approximately 2.5 billion erythrocytes, 2.5 billion platelets, and 1 billion granulocytes per kilogram of body weight daily.3 The determining factor controlling the rate of production is physiologic need. HSCs exist in the marrow in the ratio of 1 per 1000 nucleated blood cells.4 They are capable of many mitotic divisions when stimulated by appropriate cytokines. When mitosis has occurred, the cell may reenter the cycle or go into a resting phase, termed G 0. Some cells in the resting phase reenter the active cell cycle and divide, whereas other cells are directed to terminal differentiation (Figure 7-14).

Image

FIGURE 7-14 Cell cycle schematic. G0, Resting stage; G1, cell growth and synthesis of components necessary for cell division; S, DNA replication; G2, premitotic phase; M, mitosis.

From these data, a mitotic index can be calculated to establish the percentage of cells in mitosis in relation to the total number of cells. Factors affecting the mitotic index include the duration of mitosis and the length of the resting state. Normally, the mitotic index is approximately 1% to 2%. An increased mitotic index implies increased proliferation. An exception to this rule is in the case of megaloblastic anemia, in which mitosis is prolonged.50 An understanding of the mechanism of the generative cycle aids in understanding the mode of action of specific drugs used in the treatment and management of proliferative disorders.

Stem cell phenotypic and functional characterization

The identification and origin of HSCs can be determined by immunophenotypic analysis using flow cytometry. The earliest identifiable human HSCs capable of initiating long-term cultures are CD34+, CD38, HLA-DRlow, Thy1low, and Lin.49 This population of marrow cells is enriched in primitive progenitors. The expression of CD38 and HLA-DR is associated with a loss of “stemness.” The acquisition of CD33 and CD38 is seen on committed myeloid progenitors, and the expression of CD10 and CD38 is seen on committed lymphoid progenitors.49 The expression of CD7 is seen on T-lymphoid progenitor cells and natural killer cells, and the expression of CD19 is seen on B-lymphoid progenitors (Chapter 32).45

Functional characterization of HSCs can be accomplished through in vitro techniques using long-term culture assays. These involve the enumeration of colony-forming units (e.g., CFU-GEMM) on semisolid media, such as methylcellulose. Primitive progenitor cells, such as the high proliferative potential colony-forming cell and the long-term colony initiating cell, also have been identified. These hematopoietic precursor cells give rise to colonies that can survive for 5 to 8 weeks and be replated.49 In vivo functional assays also are available and require transplantation of cells into syngeneic, lethally irradiated animals, followed by transference of the engrafted bone marrow cells into a secondary recipient.49 These systems promote the proliferation and differentiation of HSCs, thus allowing them to be characterized; they may serve as models for developing clinically applicable techniques for gene therapy and hematopoietic stem cell transplantation.

From our rudimentary knowledge of stem cell biology, it has been possible to move from the bench to the bedside with amazing speed and success. Hematopoietic stem cell transplantation (HSCT) is over a half-century old, and we have witnessed tremendous growth in the field due to the reproducibility of clinical procedures to produce similar outcomes. However, caution must be exercised because the cells capable of these remarkable clinical events are still not well defined, the niche that they inhabit is poorly understood, and the signals that they potentially respond to are plentiful and diverse in action. Current treatment of hematologic disorders is based on fundamental understanding of the biologic principles of HSC proliferation and maturation. The control mechanisms that regulate HSCs, and the requisite processes necessary to manipulate them to generate sufficient numbers for clinical use, remain largely unknown.

Cytokines and growth factors

A group of specific glycoproteins called hematopoietic growth factors or cytokines regulate the proliferation, differentiation, and maturation of hematopoietic precursor cells.51 Figure 7-15 illustrates the hematopoietic system and the sites of action of some of the cytokines. These factors are discussed in more detail in subsequent chapters.

Image

FIGURE 7-15 Diagram of derivation of hematopoietic cells, illustrating sites of action of cytokines. EPO, Erythropoietin; FLT3L, FLT3 ligand; G-CSF, granulocyte colony-stimulating factor; GM-CSF, granulocyte-macrophage colony-stimulating factor; IL-1,interleukin-1; IL-3, interleukin-3; IL-5, interleukin-5; IL-6, interleukin-6; IL-7, interleukin-7; IL-11, interleukin-11; KITLG, KIT ligand; M-CSF, macrophage colony-stimulating factor; TPO, thrombopoietin.

Cytokines are a diverse group of soluble proteins that have direct and indirect effects on hematopoietic cells. Classification of cytokines has been difficult because of their overlapping and redundant properties. The terms cytokine and growth factor are often used synonymously; cytokines include interleukins (ILs), lymphokines, monokines, interferons, chemokines, and colony-stimulating factors (CSFs).51 Cytokines are responsible for stimulation or inhibition of production, differentiation, and trafficking of mature blood cells and their precursors.52 Many of these cytokines exert a positive influence on hematopoietic stem cells and progenitor cells with multilineage potential (e.g., KIT ligand, FLT3 ligand, GM-CSF, IL-1, IL-3, IL-6, and IL-11).52 Cytokines that exert a negative influence on hematopoiesis include transforming growth factor-β, tumor necrosis factor-α, and the interferons.49

Hematopoietic progenitor cells require cytokines on a continual basis for their growth and survival. Cytokines prevent hematopoietic precursor cells from dying by inhibiting apoptosis; they stimulate them to divide by decreasing the transit time from G0 to G1 of the cell cycle; and they regulate cell differentiation into the various cell lineages.

Apoptosis refers to programmed cell death, a normal physiologic process that eliminates unwanted, abnormal, or harmful cells. Apoptosis differs from necrosis, which is accidental death from trauma (Chapter 6). When cells do not receive the appropriate cytokines necessary to prevent cell death, apoptosis is initiated. In some disease states, apoptosis is “turned on,” which results in early cell death, whereas in other states apoptosis is inhibited, which allows uncontrolled proliferation of cells.52, 53

Research techniques have accomplished the purification of many of these cytokines and the cloning of pure recombinant growth factors, some of which are discussed in detail later in this chapter. The number of cytokines identified has expanded greatly in recent years and will further increase as research continues. This chapter focuses primarily on CSFs, KIT ligand, FLT3 ligand, and IL-3. A detailed discussion is beyond the scope of this text, and the reader is encouraged to consult current literature for further details.

Colony-stimulating factors

CSFs are produced by many different cells. They have a high specificity for their target cells and are active at low concentrations.51 The names of the individual factors indicate the predominant cell lines that respond to their presence. The primary target of G-CSF is the granulocytic cell line, and GM-CSF targets the granulocytic-monocytic cell line. The biologic activity of CSFs was first identified by their ability to induce hematopoietic colony formation in semisolid media. In addition, it was shown in cell culture experiments that although a particular CSF may show specificity for one cell lineage, it is often capable of influencing other cell lineages as well. This is particularly true when multiple growth factors are combined.54 Although GM-CSF stimulates the proliferation of granulocyte and monocyte progenitors, it also works synergistically with IL-3 to enhance megakaryocyte colony formation.54

Early-acting multilineage growth factors

Ogawa55 described early-acting growth factors (multilineage), intermediate-acting growth factors (multilineage), and late-acting growth factors (lineage restricted). KIT ligand, also known as stem cell factor (SCF),is an early-acting growth factor; its receptor is the transmembrane protein, KIT. KIT is a receptor-type tyrosine-protein kinase that is expressed on HSCs and is down-regulated with differentiation. The binding of KIT ligand to the extracellular domain of the KIT receptor triggers its cytoplasmic domain to induce a series of signals that are sent via signal transduction pathways to the nucleus of the HSC, stimulating the cell to proliferate. As HSCs differentiate and mature, the expression of KIT receptor decreases. Activation of the KIT receptor by KIT ligand is essential in the early stages of hematopoiesis.52, 56

FLT3 is also a receptor-type tyrosine-protein kinase. KIT ligand and FLT3 ligand work synergistically with IL-3, GM-CSF, and other cytokines to promote early HSC proliferation and differentiation. In addition, IL-3 regulates blood cell production by controlling the production, differentiation, and function of granulocytes and macrophages.57 GM-CSF induces expression of specific genes that stimulate HSC differentiation to the common myeloid progenitor.58

Interleukins

Cytokines originally were named according to their specific function, such as lymphocyte-activating factor (now called IL-1), but continued research showed that a particular cytokine may have multiple actions. A group of scientists began calling some of the cytokines interleukins, numbering them in the order in which they were identified (e.g., IL-1, IL-2). Characteristics shared by interleukins include the following:

1. They are proteins that exhibit multiple biologic activities, such as the regulation of autoimmune and inflammatory reactions and hematopoiesis.

2. They have synergistic interactions with other cytokines.

3. They are part of interacting systems with amplification potential.

4. They are effective at very low concentrations.

Lineage-specific hematopoiesis

Erythropoiesis

Erythropoiesis occurs in the bone marrow and is a complex, regulated process for maintaining adequate numbers of erythrocytes in the peripheral blood. The CFU-GEMM gives rise to the earliest identifiable colony of RBCs, called the burst-forming unit–erythroid (BFU-E). The BFU-E produces a large multiclustered colony that resembles a cluster of grapes containing brightly colored hemoglobin. These colonies range from a single large cluster to 16 or more clusters. BFU-Es contain only a few receptors for EPO, and their cell cycle activity is not influenced significantly by the presence of exogenous EPO. BFU-Es under the influence of IL-3, GM-CSF, TPO, and KIT ligand develop into colony-forming unit–erythroid (CFU-E) colonies.47 The CFU-E has many EPO receptors and has an absolute requirement for EPO. Some CFU-Es are responsive to low levels of EPO and do not have the proliferative capacity of the BFU-E.25 EPO serves as a differentiation factor that causes the CFU-E to differentiate into pronormoblasts, the earliest visually recognized erythrocyte precursors in the bone marrow.59

EPO is a lineage-specific glycoprotein produced in the renal peritubular interstitial cells.25 In addition, a small amount of EPO is produced by the liver.56 Oxygen availability in the kidney is the stimulus that activates production and secretion of EPO.60 EPO exerts it effects by binding to transmembrane receptors expressed by erythroid progenitors and precursors.60 EPO serves to recruit CFU-E from the more primitive BFU-E compartment, prevents apoptosis of erythroid progenitors, and induces hemoglobin synthesis.59, 61 Erythropoiesis and EPO’s actions are discussed in detail in Chapter 8.

Leukopoiesis

Leukopoiesis can be divided into two major categories: myelopoiesis and lymphopoiesis. Factors that promote differentiation of the CFU-GEMM into neutrophils, monocytes, eosinophils, and basophils include GM-CSF, G-CSF, macrophage colony-stimulating factor (M-CSF), IL-3, IL-5, IL-11, and KIT ligand. GM-CSF stimulates the proliferation and differentiation of neutrophil and macrophage colonies from the colony-forming unit–granulocyte-monocyte. G-CSF and M-CSF stimulate neutrophil differentiation and monocyte differentiation from the colony-forming unit–granulocyte and colony-forming unit–monocyte.25IL-3 is a multilineage stimulating factor that stimulates the growth of granulocytes, monocytes, megakaryocytes, and erythroid cells. Eosinophils require GM-CSF, IL-5, and IL-3 for differentiation. The requirements for basophil differentiation are less clear, but it seems to depend on the presence of IL-3 and KIT ligand. Growth factors promoting lymphoid differentiation include IL-2, IL-7, IL-12, and IL-15 and to some extent IL-4, IL-10, IL-13, IL-14, and IL-16.53 Leukopoiesis is discussed further in Chapter 12.

Megakaryopoiesis

Earlier influences on megakaryopoiesis include GM-CSF, IL-3, IL-6, IL-11, KIT ligand, and TPO.53 The stimulating hormonal factor TPO (also known as MPL ligand), along with IL-11, controls the production and release of platelets. The liver is the main site of production of TPO.62, 63 Megakaryopoiesis is discussed in Chapter 13.

Therapeutic applications

Clinical use of growth factors approved by the U.S. Food and Drug Administration has contributed numerous options in the treatment of hematologic malignancies and solid tumors. In addition, growth factors can be used as priming agents to increase the yield of HSCs during apheresis for transplantation protocols. Advances in molecular biology have resulted in cloning of the genes that are responsible for the synthesis of various growth factors and the recombinant production of large quantities of these proteins. is an overview of selected cytokines and their major functions and clinical applications. Many more examples can be found in the literature. Table 7-2

TABLE 7-2

Selected Cytokines, Characteristics, Current and Potential Therapeutic Applications

Cytokine

Primary Cell Source

Primary Target Cell

Biological Activity

Current/Potential Therapeutic Applications

EPO

Kidney (peritubular interstitial cell)

Bone marrow erythroid progenitors (BFU-E and CFU-E)

Simulates proliferation of erythroid progenitors and prevents apoptosis of CFU-E

Anemia of chronic renal disease (in predialysis, dialysis dependent, and chronic anemia patients)

Treatment of anemia in cancer patients on chemotherapy

Autologous predonation blood collection

Anemia in HIV infection to permit use of zidovudine (AZT)

Post autologous hematopoietic stem cell transplant

G-CSF

Endothelial cells

Placenta

Monocytes

Macrophages

Neutrophil precursors

Fibroblasts

Leukemic myeloblasts

Stimulates granulocyte colonies

Differentiation of progenitors toward neutrophil lineage

Stimulation of neutrophil maturation

Chemotherapy-induced neutropenia

Stem cell mobilization

Peripheral blood/bone marrow transplantation

Congenital neutropenia

Idiopathic neutropenia

Cyclic neutropenia

GM-CSF

T cells

Macrophages

Endothelial cells

Fibroblasts

Mast cells

Bone marrow progenitor cells

Dendritic cells

Macrophages

NKT cells

Promotes antigen presentation

T cell homeostasis

Hematopoietic cell growth factor

Chemotherapy-induced neutropenia

Stem cell mobilization

Peripheral blood/bone marrow transplantation

Leukemia treatment

IL-2

CD4+ T cells

NK cells

B cells

T cells

NK cells

B cells

Monocytes

Cell growth/activation of CD4+ and CD8+ T cells

Suppress Treg responses

Mediator of immune tolerance

Metastatic melanoma

Renal cell carcinoma

Non-Hodgkin lymphoma

Asthma

IL-3

Activated T cells

NK cells

Hematopoietic stem cells and progenitors

Proliferation of hematopoietic progenitors

Stem cell mobilization Postchemotherapy/transplantation

Bone marrow failure states

IL-6

T cells

Macrophages

Fibroblasts

T cells

B cells

Liver

Costimulation with other cytokines

Cell growth/activation of T cells and B cells

Megakaryocyte maturation

Neural differentiation

Acute phase reactant

Stimulation of platelet production, but not at tolerable doses

Melanoma

Renal cell carcinoma

IL-6 inhibitors may be promising

IL-10

CD4+, Th2 T cells

CD8+ T cells

Monocytes

Macrophages

T cells

Macrophages

Inhibits cytokine production

Inhibits macrophages

Target lymphokines in prevention of B cell lymphoma and Epstein-Barr virus lymphomagenesis

Human immunodeficiency virus infection

IL-12

Macrophages

T cells

T cell, Th1 differentiation

Allergy treatment

Adjuvant for infectious disease therapy

Asthma

Possible role for use in vaccines

IL-15

Activated CD4+ T cells

CD4+ T cells

CD8+ T cells

NK cells

CD4+/CD8+ T cell proliferation

CD8+/NK cell cytotoxicity

Melanoma

Rheumatoid arthritis

Adoptive cell therapy

Generation of antigen-specific T cells

IFN-α

Dendritic cells

NK cells

T cells

B cells

Macrophages

Fibroblasts

Endothelial cells

Osteoblasts

Macrophages

NK cells

Antiviral

Enhances MHC expression

Adjuvant treatment for stage II/III melanoma

Hematologic malignancies: Kaposi sarcoma, hairy cell leukemia, and chronic myelogenous leukemia

BFU-E, Burst-forming unit–erythroid; CFU-E, colony-forming unit–erythroid; EPO, erythropoietin; G-CSF, granulocyte colony-stimulating factor; GM-CSF, granulocyte-macrophage colony-stimulating factor; HIV, human immunodeficiency virus; IFN, interferon; IL, interleukin; MHC, major histocompatibility complex; NK, natural killer; NKT, natural killer T cells; Th1, T helper, type 1; Th2, T helper, type 2; T reg, regulatory T cells. (Adapted from Lee S and Margolin K: Cytokines in cancer immunotherapy. cancer 3:3856-3893, 2011; Kurzrock R. Chapter 64 Hematopoietic Growth Factors. In Bast RC, Kufe DW, Pollock RE, et al, editors: Holland-Frei Cancer Medicine, 5e, Hamilton [ON], 2000, BC Decker; and Cutler A, Brombacher F: Cytokine therapy. Ann NY Acad Sci 1056:16-29, 2005; and Cazzola M, Mercuriall F, Bruguara C. Use of recombinant human erythropoietin outside the setting of uremia. Blood, 1997; 89:4248-4267.)

In addition to the cytokines previously mentioned, it is important to recognize another family of low-molecular-weight proteins known as chemokines (chemotactic cytokines) that complement cytokine function and help to regulate the adaptive and innate immune system. These interacting biological mediators have amazing capabilities, such as controlling growth and differentiation, hematopoiesis, and a number of lymphocyte functions like recruitment, differentiation, and inflammation.64-66 The chemokine field has rapidly developed and is beyond the scope of this chapter. Nevertheless, a classification system has been developed based on the positions of the first two cysteine residues in the primary structure of these molecules, and the classification system divides the chemokine family into four groups. References provide a starting point for further investigation of chemokines.64-67

A recent chemokine-related discovery with clinical implications has led to a successful transplantation-based HSC collection strategy targeting the HSC-microenvironment niche interaction to cause release of HSCs from the bone marrow compartment (referred to a stem cell mobilization) into the peripheral circulation so that they may be harvested by apheresis techniques.68 Experimental studies conducted in the 1990s identified a critical role for CXCL12 and its receptor CXCR4 in the migration of HSCs during early development.69 Further investigation in adult bone marrow demonstrated that CXCL12 is a key factor in the retention of HSCs within the stem cell niche. It was also shown that inhibiting the CXCL12-CXCR4 interaction permitted release of HSCs into the peripheral circulation for harvesting by apheresis.69 Plexifor (a CXCR4 antagonist) is currently being used as a single agent and in conjunction with G-CSF in novel mobilization strategies to optimize donor stem cell collection.68, 69

Summary

• Hematopoiesis is a continuous, regulated process of blood cell production that includes cell renewal, proliferation, differentiation, and maturation. These processes result in the formation, development, and specialization of all the functional blood cells.

• During fetal development, hematopoiesis progresses through the mesoblastic, hepatic, and medullary phases.

• Organs that function at some point in hematopoiesis include the liver, spleen, lymph nodes, thymus, and bone marrow.

• The bone marrow is the primary site of hematopoiesis at birth and throughout life. In certain situations, blood cell production may occur outside the bone marrow; such production is termed extramedullary.

• The hematopoietic inductive microenvironment in the bone marrow is essential for regulating hematopoietic stem cell maintenance, self-renewal, and differentiation.

• Monophyletic theory suggests that all blood cells arise from a single stem cell called a pluripotent hematopoietic stem cell.

• Hematopoietic stem cells (HSCs) are capable of self-renewal. They are pluripotent and can differentiate into all the different types of blood cells. One HSC is able to reconstitute the entire hematopoietic system of a lethally irradiated host.

• As cells mature, certain morphologic characteristics of maturation allow specific lineages to be recognized. General characteristics of maturation include decrease in cell diameter, decrease in nuclear diameter, loss of nucleoli, condensation of nuclear chromatin, and decreased basophilia in cytoplasm. Some morphologic changes are unique to specific lineages (e.g., loss of the nucleus in RBCs).

• Cytokines or growth factors play a major role in the maintenance, proliferation, and differentiation of HSCs and progenitor cells; they are also necessary to prevent premature apoptosis. Cytokines include interleukins, colony stimulating factors, chemokines, interferons, and others.

• Cytokines can exert a positive or negative influence on HSCs and blood cell progenitors; some are lineage specific, and some function only in combination with other cytokines.

• Cytokines have provided new options in the treatment of hematologic malignancies and solid tumors. They are also used as priming agents to increase the yield of HSCs during apheresis for transplantation protocols.

Review questions

Answers can be found in the Appendix.

1. The process of formation and development of blood cells is termed:

a. Hematopoiesis

b. Hematemesis

c. Hematocytometry

d. Hematorrhea

2. During the second trimester of fetal development, the primary site of blood cell production is the:

a. Bone marrow

b. Spleen

c. Lymph nodes

d. Liver

3. Which one of the following organs is responsible for the maturation of T lymphocytes and regulation of their expression of CD4 and CD8?

a. Spleen

b. Liver

c. Thymus

d. Bone marrow

4. The best source of active bone marrow from a 20-year-old would be:

a. Iliac crest

b. Femur

c. Distal radius

d. Tibia

5. Physiologic programmed cell death is termed:

a. Angiogenesis

b. Apoptosis

c. Aneurysm

d. Apohematics

6. Which organ is the site of sequestration of platelets?

a. Liver

b. Thymus

c. Spleen

d. Bone marrow

7. Which one of the following morphologic changes occurs during normal blood cell maturation:

a. Increase in cell diameter

b. Development of cytoplasm basophilia

c. Condensation of nuclear chromatin

d. Appearance of nucleoli

8. Which one of the following cells is a product of the CLP?

a. Megakaryocyte

b. T lymphocyte

c. Erythrocyte

d. Granulocyte

9. What growth factor is produced in the kidneys and is used to treat anemia associated with kidney disease?

a. EPO

b. TPO

c. G-CSF

d. KIT ligand

10. Which one of the following cytokines is required very early in the differentiation of a hematopoietic stem cell?

a. IL-2

b. IL-8

c. EPO

d. FLT3 ligand

11. When a patient has severe anemia and the bone marrow is unable to effectively produce red blood cells to meet the increased demand, one of the body’s responses is:

a. Extramedullary hematopoiesis in the liver and spleen

b. Decreased production of erythropoietin by the kidney

c. Increased apoptosis of erythrocyte progenitor cells

d. Increase the proportion of yellow marrow in the long bones

12. Hematopoietic stem cells produce all lineages of blood cells in sufficient quantities over the lifetime of an individual because they:

a. Are unipotent

b. Have the ability of self-renewal by asymmetric division

c. Are present in large numbers in the bone marrow niches

d. Have a low mitotic potential in response to growth factors

References

1. Orkin S. Diversification of haematopoietic stem cells to specific lineages. Nat Rev Genet; 2000; 1:57-64.

2. Galloway J.L, Zon L.I. Ontongeny of hematopoiesis examining the emergence of hematopoietic cells in the vertebrate embryo. Curr Top Dev Biol; 2003; 53:139-158.

3. Koury J, Lichtman A. Structure of the marrow and the hematopoietic microenvironment. In: Prchal J.T, Kaushansky K, Lichtman M.A, et al. Williams Hematology. 8th ed. New York : McGraw-Hill 2010.

4. Chute J.P. Hematopoietic stem cell biology. In: Hoffman R, Benz E.J, Silberstein L.E, et al. Hematology Basic Principles and Practice. 8th ed. Philadelphia : Saunders-Elsevier 2013.

5. Peault B. Hematopoietic stem cell emergence in embryonic life developmental hematology revisited. J Hematotherapy; 1996; 5:369-378.

6. Tavian M, Coulombel L, Luton D, et al. Aorta-associated CD34+ hematopoietic cells in the early human embryo. Blood; 1996; 87:67-72.

7. Ivanovs A, Rybtsov S, Welch L, Anderson R.A, et al. Highly potent human hematopoietic stem cells first emerge in the intraembryonic aorta-gonad-mesonephros region. J Exp Med; 2011; 208:2417-2427.

8. Palis J, Segal G.B. Hematology of the fetus and newborn. In: Prchal J.T, Kaushansky K, Lichtman M.A, et al. Williams Hematology. 8th ed. New York : McGraw-Hill 2010.

9. Moore M.A, Metcalf D. Ontogeny of the haematopoietic system yolk sac origin of in vivo and in vitro colony forming cells in the developing mouse embryo. Br J Haematol; 1970; 18:279-296.

10. Weissman I.L, Papaloannou V, Gardner R.L. Fetal hematopoietic origins of the adult hematolymphoid system. In: Clarkson B, Marks P.A, Till J.E. Differentiation of Normal and Neoplastic Hematopoietic Cells. Cold Spring Harbor, NY : Cold Spring Harbor Laboratory Press 1978.

11. Bailey A.S, Fleming W.H. Converging roads evidence for an adult hemangioblast. Exp Hematol; 2003; 31:987-993.

12. Pelosi E, Valtieri M, Coppola S, Botta R, et al. Identification of the hemangioblast in postnatal life. Blood; 2002; 100:3203-3208.

13. Bailey A.S, Jiang S, Afentoulis M, Baumann C.I, et al. Transplanted adult hematopoietic stems cells differentiate into functional endothelial cells. Blood; 2004; 103:13-19.

14. Samokhvalov I.M, Samokhvalov N.I, Nishikawa S. Cell tracing shows the contribution of the yolk sac to adult haematopoiesis. Nature; 2007; 446:1056-1061.

15. Delassus S, Cumano A. Circulation of hematopoietic progenitors in the mouse embryo. Immunity; 1996; 4:97-106.

16. DeWitt, N. (Published online 2007, June 21). Rewriting in blood: blood stem cells may have a surprising origin. Nat Rep Stem Cells. 10.1038/stem-cells.2007.42.

17. Dieterlen-Lievre F, Godin I, Pardanaud I. Where do hematopoietic stem cells come from. Arch Allergy Immunol; 1997; 112:3-8.

18. Chang Y, Paige C.J, Wu G.E. Enumeration and characterization of DJH structures in mouse fetal liver. EMBO J; 1992; 11:1891-1899.

19. Mescher A.L. Junqueira’s Basic Histology. 12th ed. Stamford, Conn : Appleton & Lange 2010.

20. Ross M.H, Pawlina W. Histology a Text and Atlaswith Correlated Cell and Molecular Biology. 5th ed. Philadelphia : Lippincott Williams & Wilkins 2006.

21. Gupta P, Blazar B, Gupta K, et al. Human CD34+ bone marrow cells regulate stromal production of interleukin-6 and granulocyte colony-stimulating factor and increase the colony-stimulating activity of stroma. Blood; 1998; 91:3724-3733.

22. Rosen C.J, Ackert-Bicknell C, Rodriguez J.P, Pino A.M. Marrow fat and bone marrow microenvironment developmental, functional, and pathological implications. Crit Rev Eukaryot Gene Expr; 2009; 19:109-124.

23. Silberstein L, Scadden D. Hematopoietic microenvironment. In: Hoffman R, Benz E.J, Silberstein L.E, et al. Hematology Basic Principles and Practice. 6th ed. Philadelphia : Saunders-Elsevier 2013.

24. Sadahira Y, Mori M. Role of the macrophage in erythropoiesis. Pathol Int; 1999; 10:841-848.

25. Kaushansky K. Hematopoietic stem cells, progenitors, and cytokines. In: Prchal J.T, Kaushansky K, Lichtman M.A, et al. Williams Hematology. 8th ed. New York : McGraw-Hill 2009.

26. Warren J S, Ward P A. The inflammatory response. In: Prchal J.T, Kaushansky K, Lichtman M.A, et al. Williams Hematology. 8th ed. New York : McGraw-Hill 2010.

27. Klein G. The extracellular matrix of the hematopoietic microenvironment. Experientia; 1995; 51:914-926.

28. Ehninger A, Trumpp A. The bone marrow stem cell niche grows up mesenchymal stem cells and macrophages move in. J Exp Med; 2011; 208:421-428.

29. Smith J. N.P, Calvi L.M. Current concepts in bone marrow microenvironmental regulation of hematopoietic stem and progenitor cells. Stem Cells; 2013; 31:1044-1050.

30. Yoshihara H, Arai F, Hosokawa K, Hagiwara T, et al. The niche regulation of quiescent hematopoietic stem cells through thrombopoietin/Mpl signaling. Cell Stem Cell; 2007; 1:685-697.

31. Morrison S.J, Spradling A.C. Stem cells and niches mechanisms that promote stem cell maintenance throughout life. Cell; 2008; 132:598-611.

32. Ema H, Suda T. Anatomically distinct niches regulate stem cell activity. Blood; 2012; 120:2174-2181.

33. Iwasaki H, Akashi K. Myeloid lineage commitment from the hematopoietic stem cell. Immunity; 2007; 26:726-740.

34. Kim S.I, Bresnick E.H. Transcriptional control of erythropoiesis emerging mechanisms and principles. Oncogene; 2007; 26:6777-6794.

35. Thibodeau G.A, Patton K.T. Anatomy and Physiology. 5th ed. St Louis : Mosby 2003.

36. Roy-Chowdhury N, Roy-Chowdhury J. Liver physiology and energy metabolism. In: Feldman M, Friedman L.S, Brandt L.J. Sleisenger and Fordtran’s Gastrointestinal and Liver Disease. 9th ed. Philadelphia : Saunders-Elsevier 2012.

37. Taylor G.A, Weinberg J.B. Mononuclear phagocytes. In: Greer J.P, Foerster J, Rodgers G.M, et al. Wintrobe’s Clinical Hematology. 12th ed. Philadelphia : Wolters Kluwer Health/Lippincott Williams & Wilkins 2009.

38. Kim C.H. Homeostatic and pathogenic extramedullary hematopoiesis. J Blood Med; 2010; 1:13-19.

39. Kipps T.J. The organization and structure of lymphoid tissues. In: Prchal J.T, Kaushansky K, Lichtman M.A, et al. Williams Hematology. 8th ed. New York : McGraw-Hill 2010.

40. Connell N.T, Shurin S.B, Schiffman F.J. The spleen and its disorders. In: Hoffman R, Benz E.J, Silberstein L.E, et al. Hematology basic principles and practice. 6th ed. Philadelphia : Saunders, Elsevier 2013.

41. Warkentin T.E. Thrombocytopenia caused by platelet destruction, hypersplenism, or hemodilution. In: Hoffman R, Benz E.J, Silberstein L.E, et al. Hematology Basic Principles and Practice. 6th ed. Philadelphia : Saunders, Elsevier 2013.

42. Seeley R.R, Stephens D, Tate P. Anatomy and physiology. 3th ed. St Louis : Mosby 1995.

43. Ware R.E. The autoimmune hemolytic anemias. In: Nathan D.G, Orkin S.H. Nathan and Oski’s Hematology of Infancy and Childhood. 3th ed. Philadelphia : Saunders 2009.

44. Porembka M.R, Majella Doyl M.B, Chapman W.C. Disorders of the spleen. In: Greer J.P, Foerster J, Rodgers G.M, et al. Wintrobe’s Clinical Hematology. 12th ed. Philadelphia : Wolters Kluwer Health/Lippincott Williams & Wilkins 2009.

45. Paraskevas F. T lymphocytes and NK cells. In: Greer J.P, Foerster J, Rodgers G.M, et al. Wintrobe’s Clinical Hematology. 12th ed. Philadelphia : Wolters Kluwer Health/Lippincott Williams & Wilkins 2009.

46. Till T.E, McCulloch E.A. A direct measurement of the radiation sensitivity of normal mouse marrow cells. Radiat Res; 1961; 14:213-222.

47. Dessypris E.N, Sawyer S. T. Erythropoiesis. In: Greer J.P, Foerster J, Rodgers G.M, et al. Wintrobe’s Clinical Hematology. 12th ed. Philadelphia : Wolters Kluwer Health/Lippincott Williams & Wilkins 2009.

48. Metcalf D. On hematopoietic stem cell fate. Immunity; 2007; 26:669-673.

49. Verfaillie C. Regulation of hematopoiesis. In: Wickramasinghe S.N, McCullough J. Blood and Bone Marrow Pathology. New York : Churchill Livingstone. 2003.

50. Antony A.C. Megaloblastic anemias. In: Hoffman R, Benz E.J, Silberstein L.E, et al. Hematology Basic Principles and Practice. 6th ed. Philadelphia : Saunders, Elsevier 2013.

51. Horst Ibelfault’s COPE. (Spring 2013). Cytokines Online Pathfinder Encyclopedia, version 31.4. Available at Available at: http://www.copewithcytokines.org/cope.cgi Accessed 12.10.13.

52. Mathur S.C, Schexneider K.I, Hutchison R.E. Hematopoiesis. In: McPherson R.A, Pincus M.R. Henry’s Clinical Diagnosis and Management by Laboratory Methods. 22nd ed. Philadelphia : Saunders, Elsevier 2011.

53. Shaheen M, Broxmeyer H.E. Principles of cytokine signaling. In: Hoffman R, Benz EJ, Silberstein LE, et al. Hematology Basic Principles and Practice. 6th ed. Philadelphia : Saunders, Elsevier 2013.

54. Sieff C, Zon L.I. The anatomy and physiology of hematopoiesis. In: Nathan D.G, Orkin S.H. Nathan and Oski’s Hematology of Infancy and Childhood. 7th ed. Philadelphia : Saunders 2009; 195-273.

55. Ogawa M. Differentiation and proliferation of hematopoietic stem cells. Blood; 1993; 81:2844-2853.

56. Koury M.J, Mahmud N, Rhodes M.M. Origin and development of blood cells. In: Greer J.P, Foerster J, Rodgers G.M, et al. Wintrobe’s Clinical Hematology. 12th ed. Philadelphia : Wolters Kluwer Health/Lippincott Williams & Wilkins 2009.

57. Dorssers L, Burger H, Bot F, et al. Characterization of a human multilineage-colony-stimulating factor cDNA clone identified by a conserved noncoding sequence in mouse interleukin-3. Gene; 1987; 55:115-124.

58. Lin E.Y, Orlofsky A, Berger M.S, et al. Characterization of A1, a novel hemopoietic-specific early-response gene with sequence similarity to bcl-s. J Immunol; 1993; 151:1979-1988.

59. Sawada K, Krantz S.B, Dai C.H. Purification of human burst-forming units-erythroid and demonstration of the evolution of erythropoietin receptors. J Cell Physiol; 1990; 142:219-230.

60. Rizzo J.D, Seidenfield J, Piper M, Aronson N, Lictin A, Littlewood T.J. Erythropoietin a paradigm for the development of practice guidelines. Haematology; 2001; 1:10-30.

61. Cazzola M, Mercuriall F, Bruguara C. Use of recombinant human erythropoietin outside the setting of uremia. Blood; 1997; 89:4248-4267.

62. Wolber E.M, Ganschow R, Burdelski M, et al. Hepatic thrombopoietin mRNA levels in acute and chronic liver failure of childhood. Hepatology; 1999; 29:1739-1742.

63. Wolber E.M, Dame C, Fahnenstich H, et al. Expression of the thrombopoietin gene in human fetal and neonatal tissues. Blood; 1999; 94:97-105.

64. Scales W.E. Structure and function of interleukin-1. In: Kunkel S.L, Remick D.G. Cytokines in Health and Disease. New York : Marcel Dekker 1992.

65. Zlotnik A, Yoshie O. Chemokines a new classification system and their role in immunity. Immunity; 2000; 12:121-127.

66. Baggiolini M, Dewald B, Moser B. Human chemokines an update. Annu Rev Immunol; 1997; 15:675-705.

67. Murphy P.M, Baggiolini M, Charo I.F, et al. International union of pharmacology. XXII. Nomenclature for chemokine receptors. Pharmacol Rev; 2000; 52:145-176.

68. Luster A.D. Chemokines—Chemotactic cytokines that mediate inflammation. N Engl J Med; 1998; 338:436-445.

69. DiPersio J.F, Uy G.L, Yasothan U, Kirkpatrick P. Plerixafor. Nat Rev Drug Discov; 2009; 8:105-106.



If you find an error or have any questions, please email us at admin@doctorlib.org. Thank you!