Rodak's Hematology: Clinical Principles and Applications, 5th Ed.

CHAPTER 8. Erythrocyte production and destruction

Kathryn Doig

OUTLINE

Normoblastic Maturation

Terminology

Maturation Process

Criteria Used in Identification of the Erythroid Precursors

Maturation Sequence

Erythrokinetics

Hypoxia—the Stimulus to Red Blood Cell Production

Other Stimuli to Erythropoiesis

Microenvironment of the Bone Marrow

Erythrocyte Destruction

Macrophage-Mediated Hemolysis (Extravascular Hemolysis)

Mechanical Hemolysis (Intravascular Hemolysis)

Objectives

After completion of this chapter, the reader will be able to:

1. List and describe the erythroid precursors in order of maturity, including the morphologic characteristics, cellular activities, normal location, and length of time in the stage for each.

2. Correlate the erythroblast, normoblast, and rubriblast nomenclatures for red blood cell (RBC) stages.

3. Name the stage of erythroid development when given a written description of the morphology of a cell in a Wright-stained bone marrow preparation.

4. List and compare the cellular organelles of immature and mature erythrocytes and describe their specific functions.

5. Name the erythrocyte progenitors and distinguish them from precursors.

6. Explain the nucleus-to-cytoplasm (N:C) ratio, describe the appearance of a cell when given the N:C ratio, and estimate the N:C ratio from the appearance of a cell.

7. Explain how reticulocytes can be recognized in a Wright-stained peripheral blood film.

8. Define and differentiate the terms polychromasia, diffuse basophilia, punctate basophilia, and basophilic stippling.

9. Discuss the differences between the reticulum of reticulocytes and punctate basophilic stippling in composition and conditions for microscopic viewing.

10. Define and differentiate erythron and RBC mass.

11. Explain how hypoxia stimulates RBC production.

12. Describe the general chemical composition of erythropoietin (EPO) and name the site of production.

13. Discuss the various mechanisms by which EPO contributes to erythropoiesis.

14. Define and explain apoptosis resulting from Fas/FasL interactions and how this regulatory mechanism applies to erythropoiesis.

15. Explain the effect of Bcl-XL (Bcl-2 like protein 1) and the general mechanism by which it is stimulated in red blood cell progenitors.

16. Describe the features of the bone marrow that contribute to establishing the microenvironment necessary for the proliferation of RBCs, including location and arrangement relative to other cells, with particular emphasis on the role of fibronectin.

17. Discuss the role of macrophages in RBC development.

18. Explain how RBCs enter the bloodstream and how premature entry is prevented and, when appropriate, promoted.

19. Describe the characteristics of senescent RBCs and explain why RBCs age.

20. Explain and differentiate the two normal mechanisms of erythrocyte destruction, including location and process.

CASE STUDY

After studying the material in this chapter, the reader should be able to respond to the following case study:

A 42-year-old premenopausal woman has emphysema. This lung disease impairs the ability to oxygenate the blood, so patients experience significant fatigue and shortness of breath. To alleviate these symptoms, oxygen is typically prescribed, and this patient has a portable oxygen tank she carries with her at all times, breathing through nasal cannulae. Before she began using oxygen, her red blood cell (RBC) count was 5.8 × 1012/L. After oxygen therapy for several months, her RBC count dropped to 5.0 × 1012/L.

1. What physiologic response explains the elevation of the first RBC count?

2. What hormone is responsible? How is its production stimulated? What is the major way in which it acts?

3. What explains the decline in RBC count with oxygen therapy for this patient?

The red blood cell (RBC), or erythrocyte, provides a classic example of the biological principle that cells have specialized functions and that their structures are specific for those functions. The erythrocyte has one true function: to carry oxygen from the lung to the tissues, where the oxygen is released. This is accomplished by the attachment of the oxygen to hemoglobin (HGB), the major cytoplasmic component of mature RBCs. The role of the RBC in returning carbon dioxide to the lungs and buffering the pH of the blood is important but is quite secondary to its oxygen-carrying function. To protect this essential life function, the mechanisms controlling development, production, and normal destruction of RBCs are fine-tuned to avoid interruptions in oxygen delivery, even under adverse conditions such as blood loss with hemorrhage. This chapter and subsequent chapters discussing iron, RBC metabolism, membrane structure, and hemoglobin constitute the foundation for understanding the body’s response to diminished oxygen-carrying capacity of the blood, called anemia.

The mammalian erythrocyte is unique among animal cells in having no nucleus in its mature, functional state. While amphibians and birds possess RBCs, their nonmammalian RBCs retain the nuclei throughout the cells’ lives. The implications of this unique mammalian adaptation are significant for cell function and life span.

Normoblastic maturation

Terminology

RBCs are formally called erythrocytes. The nucleated precursors in the bone marrow are called erythroblasts. They also may be called normoblasts, which refers to developing nucleated cells (i.e., blasts) with normal appearance. This is in contrast to the abnormal appearance of the developing nucleated cells in megaloblastic anemia, in which the erythroblasts are called megaloblasts because of their large size.

Three nomenclatures are used for naming the erythroid precursors (). The erythroblast terminology is used primarily in Europe. Like the normoblastic terminology used more often in the United States, it has the advantage of being descriptive of the appearance of the cells. Some prefer the Table 8-1rubriblast terminology because it parallels the nomenclature used for granulocyte development (Chapter 12). Normoblastic terminology is used in this chapter.

TABLE 8-1

Three Erythroid Precursor Nomenclature Systems

Normoblastic

Rubriblastic

Erythroblastic

Pronormoblast

Rubriblast

Proerythroblast

Basophilic normoblast

Prorubricyte

Basophilic erythroblast

Polychromatic (polychromatophilic) normoblast

Rubricyte

Polychromatic (polychromatophilic) erythroblast

Orthochromic normoblast

Metarubricyte

Orthochromic erythroblast

Polychromatic (polychromatophilic) erythrocyte*

Polychromatic (polychromatophilic) erythrocyte*

Polychromatic (polychromatophilic) erythrocyte*

Erythrocyte

Erythrocyte

Erythrocyte

* Polychromatic erythrocytes are called reticulocytes when observed with vital stains.

Maturation process

Erythroid progenitors

As described in Chapter 7, the morphologically identifiable erythrocyte precursors develop from two functionally identifiable progenitors, burst-forming unit–erythroid (BFU-E) and colony-forming unit–erythroid (CFU-E), both committed to the erythroid cell line. Estimates of time spent at each stage suggest that it takes about one week for the BFU-E to mature to the CFU-E and another week for the CFU-E to become a pronormoblast,1 which is the first morphologically identifiable RBC precursor. While at the CFU-E stage, the cell completes approximately three to five divisions before maturing further.1 As seen later, it takes approximately another 6 to 7 days for the precursors to become mature enough to enter the circulation, so approximately 18 to 21 days are required to produce a mature RBC from the BFU-E.

Erythroid precursors

Normoblastic proliferation, similar to the proliferation of other cell lines, is a process encompassing replication (i.e., division) to increase cell numbers and development from immature to mature cell stages (). The earliest morphologically recognizable erythrocyte precursor, the pronormoblast, is derived via the BFU-E and CFU-E from the pluripotential stem cells, as discussed in Figure 8-1Chapter 7. The pronormoblast is able to divide, with each daughter cell maturing to the next stage of development, the basophilic normoblast. Each of these cells can divide, with each of its daughter cells maturing to the next stage, the polychromatic normoblast. Each of these cells also can divide and mature. In the erythrocyte cell line, there are typically three and occasionally as many as five divisions2 with subsequent nuclear and cytoplasmic maturation of the daughter cells, so from a single pronormoblast, 8 to 32 mature RBCs usually result. The conditions under which the number of divisions can be increased or reduced are discussed later.

Image

FIGURE 8-1 Typical production of erythrocytes from two pronormoblasts illustrating three mitotic divisions among precursors. BM, Bone marrow; CFU, colony forming unit–erythroid; PB, peripheral blood.

The cellular activities at each stage of development described below occur in an orderly and sequential process. It is often likened to a computer program that once activated runs certain processes in a specified order at specified times. The details of the developmental program are becoming clearer, and selected details are provided in these descriptions.

Criteria used in identification of the erythroid precursors

Morphologic identification of blood cells depends on a well-stained peripheral blood film or bone marrow smear (Chapters 16 and 17). In hematology, a modified Romanowsky stain, such as Wright or Wright-Giemsa, is commonly used. The descriptions that follow are based on the use of these types of stains.

The stage of maturation of any blood cell is determined by careful examination of the nucleus and the cytoplasm. The qualities of greatest importance in identification of RBCs are the nuclear chromatin pattern (texture, density, homogeneity), nuclear diameter, nucleus:cytoplasm (N:C) ratio (), presence or absence of nucleoli, and cytoplasmic color. Box 8-1

BOX 8-1

Nucleus-to-Cytoplasm (N:C) Ratio

The nucleus-to-cytoplasm (N:C) ratio is a morphologic feature used to identify and stage red blood cell and white blood cell precursors. The ratio is a visual estimate of what area of the cell is occupied by the nucleus compared with the cytoplasm. If the areas of each are approximately equal, the N:C ratio is 1:1. Although not mathematically proper, it is common for ratios other than 1:1 to be referred to as if they were fractions. If the nucleus takes up less than 50% of the area of the cell, the proportion of nucleus is lower, and the ratio is lower (e.g., 1:5 or less than 1). If the nucleus takes up more than 50% of the area of the cell, the ratio is higher (e.g., 3:1 or 3). In the red blood cell line, the proportion of nucleus shrinks as the cell matures and the cytoplasm increases proportionately, although the overall cell diameter grows smaller. In short, the N:C ratio decreases.

As RBCs mature, several general trends affect their appearance. graphically represents these trends. Figure 8-2

1. The overall diameter of the cell decreases.

2. The diameter of the nucleus decreases more rapidly than does the size of the cell. As a result, the N:C ratio also decreases.

3. The nuclear chromatin pattern becomes coarser, clumped, and condensed. The nuclear chromatin of RBCs is inherently coarser than that of myeloid precursors. It becomes even coarser and more clumped as the cell matures, developing a raspberry-like appearance, in which the dark staining of the chromatin is distinct from the almost white appearance of the parachromatin. This chromatin/parachromatin distinction is more dramatic than in other cell lines. Ultimately, the nucleus becomes quite condensed, with no parachromatin evident at all, and the nucleus is said to be pyknotic.

4. Nucleoli disappear. Nucleoli represent areas where the ribosomes are formed and are seen early in cell development as cells begin actively synthesizing proteins. As RBCs mature, the nucleoli disappear, which precedes the ultimate cessation of protein synthesis.

5. The cytoplasm changes from blue to gray-blue to salmon pink. Blueness or basophilia is due to acidic components that attract the basic stain, such as methylene blue. The degree of cytoplasmic basophilia correlates with the amount of ribosomal RNA. These organelles decline over the life of the developing RBC, and the blueness fades. Pinkness called eosinophilia or acidophilia is due to accumulation of more basic components that attract the acid stain eosin. Eosinophilia of erythrocyte cytoplasm correlates with the accumulation of hemoglobin as the cell matures. Thus the cell starts out being active in protein production on the ribosomes that make the cytoplasm basophilic, transitions through a period in which the red of hemoglobin begins to mix with that blue, and ultimately ends with a thoroughly salmon pink color when the ribosomes are gone and only hemoglobin remains.

Image

FIGURE 8-2 General trends affecting the morphology of red blood cells during the developmental process. A, Cell diameter decreases and cytoplasm changes from blue to salmon pink. B,Nuclear diameter decreases and color changes from purplish-red to a very dark purple-blue. C, Nuclear chromatin becomes coarser, clumped, and condensed. D, Composite of changes during developmental process. (Modified from Diggs LW, Sturm D, Bell A: The morphology of human blood cells, ed 5, Abbott Park, Ill, 1985, Abbott Laboratories.)

Maturation sequence

lists the stages of RBC development in order and provides a convenient comparison. The listing makes it appear that these stages are clearly distinct and easily identifiable. The process of cell maturation is a gradual process, with changes occurring in a generally predictable sequence but with some variation for each individual cell. The identification of a given cell’s stage depends on the preponderance of characteristics, although the cell may not possess all the features of the archetypal descriptions that follow. Essential Table 8-2 features of each stage are in italics in the following descriptions. The cellular functions described subsequently also are summarized in Figure 8-3.

Image

FIGURE 8-3 Changes in cellular diameter, RNA synthesis and content, DNA synthesis and content, protein and hemoglobin content during red blood cell development. A, Red blood cell diameter (solid line) shrinks from the pronormoblast to the reticulocyte stage. B, The rate of RNA synthesis (solid line) for protein production is at its peak at the pronormoblast stage and ends in the orthochromic normoblast stage. The RNA accumulates so that the RNA content (dashed line) remains relatively constant into the orthochromic normoblast stage when it begins to degrade, being eliminated by the end of the reticulocyte stage. C, The rate of DNA synthesis (solid line) correlates to those stages of development that are able to divide; the pronormoblast, basophilic normoblast, and early polychromatic normoblast stages. DNA content (dashed line) of a given cell remains relatively constant until the nucleus begins to break up and be extruded during the orthochromic normoblast stage. There is no DNA, i.e., no nucleus, in reticulocytes. D, The dashed line represents the total protein concentration which declines slightly during maturation. Proteins other than hemoglobin predominate in early stages. The hemoglobin concentration (solid line) begins to rise in the basophilic normoblast stage, reaching its peak in reticulocytes and representing most of the protein in more mature cells. Hemoglobin synthesis is visible as acidophilia (dotted line) that parallels hemoglobin accumulation but is delayed since the earliest production of hemoglobin in basophilic normoblasts is not visible microscopically. (Modified from Granick S, Levere RD: Heme synthesis in erythroid cells. In Moore CV, Brown EB, editors: Progress in hematology, New York, 1964, Grune & Stratton.)

TABLE 8-2

Normoblastic Series: Summary of Stage Morphology

Cell or Stage

Diameter

Nucleus-to-Cytoplasm Ratio

Nucleoli

% in Bone Marrow

Bone Marrow Transit Time

Pronormoblast

12–20 μm

8:1

1–2

1%

24 hr

Basophilic normoblast

10–15 μm

6:1

0–1

1%–4%

24 hr

Polychromatic normoblast

10–12 μm

4:1

0

10%–20%

30 hr

Orthochromic normoblast

8–10 μm

1:2

0

5%–10%

48 hr

Bone marrow polychromatic erythrocyte*

8–10 μm

No nucleus

0

1%

24–48 hr

* Also called reticulocyte.

Pronormoblast (rubriblast)

shows the pronormoblast. Figure 8-4

Image

Image

FIGURE 8-4 A, Pronormoblast (rubriblast), bone marrow (Wright stain, ×1000). B, Electron micrograph of pronormoblast (×15,575). (B from Rodak BF, Carr JH: Clinical hematology atlas, ed 4, St. Louis, 2013, Saunders, an imprint of Elsevier Inc.)

Nucleus. 

The nucleus takes up much of the cell (N:C ratio of 8:1). The nucleus is round to oval, containing one or two nucleoli. The purple red chromatin is open and contains few, if any, fine clumps.

Cytoplasm. 

The cytoplasm is dark blue because of the concentration of ribosomes. The Golgi complex may be visible next to the nucleus as a pale, unstained area. Pronormoblasts may show small tufts of irregular cytoplasm along the periphery of the membrane.

Division. 

The pronormoblast undergoes mitosis and gives rise to two daughter pronormoblasts. More than one division is possible before maturation into basophilic normoblasts.

Location. 

The pronormoblast is present only in the bone marrow in healthy states.

Cellular activity. 

The pronormoblast begins to accumulate the components necessary for hemoglobin production. The proteins and enzymes necessary for iron uptake and protoporphyrin synthesis are produced. Globin production begins.3

Length of time in this stage. 

This stage lasts slightly more than 24 hours.3

Basophilic normoblast (prorubricyte)

shows the basophilic normoblast. Figure 8-5

Image

Image

FIGURE 8-5 A, Basophilic normoblast (prorubricyte), bone marrow (Wright stain, ×1000). B, Electron micrograph of basophilic normoblast (×15,575). (B from Rodak BF, Carr JH: Clinical hematology atlas, ed 4, St. Louis, 2013, Saunders, an imprint of Elsevier Inc.)

Nucleus. 

The chromatin begins to condense, revealing clumps along the periphery of the nuclear membrane and a few in the interior. As the chromatin condenses, the parachromatin areas become larger and sharper, and the N:C ratio decreases to about 6:1. The chromatin stains deep purple-red. Nucleoli may be present early in the stage but disappear later.

Cytoplasm. 

When stained, the cytoplasm may be a deeper, richer blue than in the pronormoblast—hence the name basophilic for this stage.

Division. 

The basophilic normoblast undergoes mitosis, giving rise to two daughter cells. More than one division is possible before the daughter cells mature into polychromatic normoblasts.

Location. 

The basophilic normoblast is present only in the bone marrow in healthy states.

Cellular activity. 

Detectable hemoglobin synthesis occurs,3 but the many cytoplasmic organelles, including ribosomes and a substantial amount of messenger ribonucleic acid (RNA; chiefly for hemoglobin production), completely mask the minute amount of hemoglobin pigmentation.

Length of time in this stage. 

This stage lasts slightly more than 24 hours.3

Polychromatic (polychromatophilic) normoblast (rubricyte)

shows the polychromatic normoblast. Figure 8-6

Image

Image

FIGURE 8-6 A, Polychromatic normoblast (rubricyte), bone marrow (Wright stain, ×1000). B, Electron micrograph of polychromatic normoblast (×15,575). (B from Rodak BF, Carr JH: Clinical hematology atlas, ed 4, St. Louis, 2013, Saunders, an imprint of Elsevier Inc.)

Nucleus. 

The chromatin pattern varies during this stage of development, showing some openness early in the stage but becoming condensed by the end. The condensation of chromatin reduces the diameter of the nucleus considerably, so the N:C ratio decreases from 4:1 to about 1:1 by the end of the stage. Notably, no nucleoli are present.

Cytoplasm. 

This is the first stage in which the pink color associated with stained hemoglobin can be seen. The stained color reflects the accumulation of hemoglobin pigmentation over time and concurrent decreasing amounts of RNA. The color produced is a mixture of pink and blue, resulting in a murky gray-blue. The stage’s name refers to this combination of multiple colors, because polychromatophilic means “many color loving.”

Division. 

This is the last stage in which the cell is capable of undergoing mitosis, although likely only early in the stage. The polychromatic normoblast goes through mitosis, producing daughter cells that mature and develop into orthochromic normoblasts.

Location. 

The polychromatic normoblast is present only in the bone marrow in healthy states.

Cellular activity. 

Hemoglobin synthesis increases, and the accumulation begins to be visible in the color of the cytoplasm. Cellular organelles are still present, particularly ribosomes, which contribute a blue aspect to the cytoplasm. The progressive condensation of the nucleus and disappearance of nucleoli are evidence of progressive decline in transcription of deoxyribonucleic acid (DNA).

Length of time in this stage. 

This stage lasts approximately 30 hours.3

Orthochromic normoblast (metarubricyte)

shows the orthochromic normoblast. Figure 8-7

Image

Image

FIGURE 8-7 A, Orthochromic normoblast (metarubricyte), bone marrow (Wright stain, ×1000). B, Electron micrograph of orthochromic normoblast (×20,125). (B from Rodak BF, Carr JH: Clinical hematology atlas, ed 4, St. Louis, 2013, Saunders, an imprint of Elsevier Inc.)

Nucleus. 

The nucleus is completely condensed (i.e., pyknotic) or nearly so. As a result, the N:C ratio is low or approximately 1:2.

Cytoplasm. 

The increase in the salmon-pink color of the cytoplasm reflects nearly complete hemoglobin production. The residual ribosomes react with the basic component of the stain and contribute a slightly bluish hue to the cell, but that fades toward the end of the stage as the organelles are degraded.

Division. 

The orthochromic normoblast is not capable of division due to the condensation of the chromatin.

Location. 

The orthochromic normoblast is present only in the bone marrow in healthy states.

Cellular activity. 

Hemoglobin production continues on the remaining ribosomes using messenger RNA produced earlier. Late in this stage, the nucleus is ejected from the cell. The nucleus moves to the cell membrane and into a pseudopod-like projection. As part of the maturation program, loss of vimentin, a protein responsible for holding organelles in proper location in the cytoplasm, is probably important in the movement of the nucleus to the cell periphery.1 Ultimately, the nucleus-containing projection separates from the cell by having the membrane seal and pinch off the projection with the nucleus enveloped by cell membrane.4Nonmuscle myosin of the membrane is important in this pinching process.5 The enveloped extruded nucleus, called a pyrenocyte,1 is then engulfed by bone marrow macrophages. The macrophages recognize phosphatidlyserine on the pyrenocyte surface as an “eat me” flag.6 Other organelles are extruded and ingested in similar fashion. Often, small fragments of nucleus are left behind if the projection is pinched off before the entire nucleus is enveloped. These fragments are called Howell-Jolly bodies when seen in peripheral blood cells (Table 19-3 and Figure 19-1) and are typically removed from the cells by the splenic macrophage pitting process once the cell enters the circulation.

Length of time in this stage. 

This stage lasts approximately 48 hours.3

Polychromatic (polychromatophilic) erythrocyte or reticulocyte

shows the polychromatic erythrocyte. Figure 8-8

Image

Image

FIGURE 8-8 A, Polychromatic erythrocyte (shift reticulocyte), peripheral blood (Wright stain, ×1000). B, Scanning electron micrograph of polychromatic erythrocyte (×5000). (B from Rodak BF, Carr JH: Clinical hematology atlas, ed 4, St. Louis, 2013, Saunders, an imprint of Elsevier Inc.)

Nucleus. 

Beginning at the polychromatic erythrocyte stage, there is no nucleus. The polychromatic erythrocyte is a good example of the prior statement that a cell may not have all the classic features described but may be staged by the preponderance of features. In particular, when a cell loses its nucleus, regardless of cytoplasmic appearance, it is a polychromatic erythrocyte.

Cytoplasm. 

The cytoplasm can be compared with that of the late orthochromic normoblast in that the predominant color is that of hemoglobin. By the end of the polychromatic erythrocyte stage, the cell is the same color as a mature RBC, salmon pink. It remains larger than a mature cell, however. The shape of the cell is not the mature biconcave disc but is irregular in electron micrographs (Figure 8-8, B).

Division. 

Lacking a nucleus, the polychromatic erythrocyte cannot divide.

Location. 

The polychromatic erythrocyte resides in the bone marrow for 1 day or longer and then moves into the peripheral blood for about 1 day before reaching maturity. During the first several days after exiting the marrow, the polychromatic erythrocyte is retained in the spleen for pitting of inclusions and membrane polishing by splenic macrophages, which results in the biconcave discoid mature RBC.7

Cellular activity. 

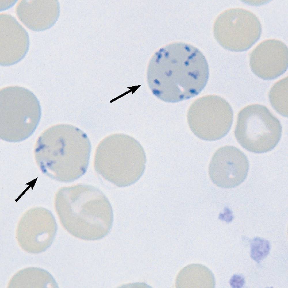
The polychromatic erythrocyte completes production of hemoglobin from residual messenger RNA using the remaining ribosomes. The cytoplasmic protein production machinery is simultaneously being dismantled. Endoribonuclease, in particular, digests the ribosomes. The acidic components that attract the basophilic stain decline during this stage to the point that the polychromatophilia is not readily evident in the polychromatic erythrocytes on a normal peripheral blood film stained with Wright stain. A small amount of residual ribosomal RNA is present, however, and can be visualized with a vital stain such as new methylene blue, so called because the cells are stained while alive in suspension (i.e., vital), before the film is made (). The residual ribosomes appear as a mesh of small blue strands, a reticulum, or, when more fully digested, merely blue dots (Box 8-2Figure 8-9). When so stained, the polychromatic erythrocyte is called a reticulocyte. However, the name reticulocyte is often used to refer to the stage immediately preceding the mature erythrocyte, even when stained with Wright stain and without demonstrating the reticulum.

Image

FIGURE 8-9 Reticulocytes at arrows, peripheral blood (new methylene blue stain, ×1000).

BOX 8-2

Cellular Basophilia: Diffuse and Punctate

The reticulum of a polychromatic erythrocyte (reticulocyte) is not seen using Wright stain. The residual RNA imparts the bluish tinge to the cytoplasm seen in Figure 8-8, A. Based on the Wright-stained appearance, the reticulocyte is called a polychromatic erythrocyte because it lacks a nucleus and is no longer an erythroblast but has a bluish tinge. When polychromatic erythrocytes are prominent on a peripheral blood film, the examiner uses the comment polychromasia or polychromatophilia. Wright-stained polychromatic erythrocytes are also called diffusely basophilic erythrocytes for their regular bluish tinge. This term distinguishes polychromatic erythrocytes from red blood cells with punctate basophilia, in which the blue appears in distinct dots throughout the cytoplasm. More commonly known as basophilic stippling (Table 19-3and Figure 19-1), punctate basophilia is associated with some anemias. Similar to the basophilia of polychromatic erythrocytes, punctate basophilia is due to residual ribosomal RNA, but the RNA is degenerate and stains deeply with Wright stain.

A second functional change in polychromatic erythrocytes is the reduced production of receptors for the adhesive molecules that hold developing RBCs in the marrow (see details later). As these receptors decline, cells are freed to leave the marrow.

Length of time in this stage. 

The cell typically remains a polychromatic erythrocyte for about 3 days,3 with the first 2 days spent in the marrow and the third spent in the peripheral blood, although possibly sequestered in the spleen.

Erythrocyte

shows the erythrocyte. Figure 8-10

Image

Image

FIGURE 8-10 A, Mature erythrocytes and one lymphocyte, peripheral blood (Wright stain, ×1000). B, Scanning electron micrograph of mature erythrocytes. (A from Rodak BF, Carr JH. Clinical hematology atlas, ed 4, St. Louis, 2013, Saunders, an imprint of Elsevier Inc.)

Nucleus. 

No nucleus is present in mature RBCs.

Cytoplasm. 

The mature circulating erythrocyte is a biconcave disc measuring 7 to 8 μm in diameter, with a thickness of about 1.5 to 2.5 μm. On a stained blood film, it appears as a salmon pink-staining cell with a central pale areathat corresponds to the concavity. The central pallor is about one third the diameter of the cell.

Division. 

The erythrocyte cannot divide.

Location and length of time in this stage. 

Mature RBCs remain active in the circulation for approximately 120 days.11 Aging leads to their removal by the spleen as described subsequently.

Cellular activity. 

The mature erythrocyte delivers oxygen to tissues, releases it, and returns to the lung to be reoxygenated. The dynamics of this process are discussed in detail in Chapter 10. The interior of the erythrocyte contains mostly hemoglobin, the oxygen-carrying component. It has a surface-to-volume ratio and shape that enable optimal gas exchange to occur. If the cell were to be spherical, it would have hemoglobin at the center of the cell that would be relatively distant from the membrane and would not be readily oxygenated and deoxygenated. With the biconcave shape, even hemoglobin molecules that are toward the center of the cell are not distant from the membrane and are able to exchange oxygen.

The cell’s main function of oxygen delivery throughout the body requires a membrane that is flexible and deformable—that is, able to flex but return to its original shape. The interaction of various membrane components described in Chapter 9 creates these properties. RBCs must squeeze through small spaces such as the basement membrane of the bone marrow venous sinus. Similarly, when a cell enters the red pulp of the spleen, it must squeeze between epithelial cells to move into the venous outflow. Deformability is crucial for RBCs to enter and subsequently remain in the circulation.

Erythrokinetics

Erythrokinetics is the term describing the dynamics of RBC production and destruction. To understand erythrokinetics, it is helpful to appreciate the concept of the erythron. Erythron is the name given to the collection of all stages of erythrocytes throughout the body: the developing precursors in the bone marrow and the circulating erythrocytes in the peripheral blood and the vascular spaces within specific organs such as the spleen. When the term erythron is used, it conveys the concept of a unified functional tissue. The erythron is distinguished from the RBC mass. The erythron is the entirety of erythroid cells in the body, whereas the RBC mass refers only to the cells in circulation. This discussion of erythrokinetics begins by looking at the erythrocytes in the bone marrow and the factors that affect their numbers, their progressive development, and their ultimate release into the blood.

Hypoxia—the stimulus to red blood cell production

As mentioned previously, the role of RBCs is to carry oxygen. To regulate the production of RBCs for that purpose, the body requires a mechanism for sensing whether there is adequate oxygen being carried to the tissues. If not, RBC production and the functional efficiency of existing cells must be enhanced. Thus a second feature of the oxygen-sensing system must be a mechanism for influencing the production of RBCs.

The primary oxygen-sensing system of the body is located in peritubular fibroblasts of the kidney.12-14 Hypoxia, too little tissue oxygen, is detected by the peritubular cells, which produce erythropoietin (EPO), the major stimulatory cytokine for RBCs. Under normal circumstances, the amount of EPO produced fluctuates very little, maintaining a level of RBC production that is sufficient to replace the approximately 1% of RBCs that normally die each day (see section on erythrocyte destruction). When there is hemorrhage, increased RBC destruction, or other factors that diminish the oxygen-carrying capacity of the blood (Box 8-3), the production of EPO is increased.

BOX 8-3

Hypoxia and Red Blood Cell Production

Teleologically speaking, the location of the body’s hypoxia sensor in the kidney is practical,1 because the kidney receives approximately 20% of the cardiac output2 with little loss of oxygen from the levels leaving the heart. The location provides early detection when oxygen levels decline. Making the hypoxia sensor the cell that is able to stimulate red blood cell (RBC) production also is practical, because regardless of the cause of hypoxia, having more RBCs should help to overcome it. The hypoxia might result from decreased RBC numbers, as with hemorrhage.

Decreased RBC number, however, is only one cause of hypoxia. Another cause is the failure of each RBC to carry as much oxygen as it should. This can occur because the hemoglobin is defective or because there is not enough hemoglobin in each cell. The hypoxia may be unrelated to the RBCs in any way; poor lung function resulting in diminished oxygenation of existing RBCs is an example.

The kidney’s hypoxia sensor cannot know why there is hypoxia, but it does not matter. Even when there are plenty of RBCs compared with the reference interval, if there is still hypoxia, stimulation of RBC production is warranted because the numbers present are not meeting the oxygen need. An elevation of RBC numbers above the reference interval, erythrocytosis, is seen in conditions such as lung disease and cardiac disease in which the blood is not being well oxygenated. Newborns have higher numbers of RBCs because the fetal hemoglobin in their cells does not unload oxygen to the tissues readily, so newborns are slightly hypoxic compared with adults. To compensate, they make more RBCs.

1. Donnelly S: Why is erythropoietin made in the kidney? The kidney functions as a “critmeter” to regulate the hematocrit, Adv Exp Med Biol 543:73-87, 2003.

2. Stewart P: Physiology of the kidney, Update in Anaesthesia 9:24-28, 1998. http://www.wfsahq.org/archive-update-in-anaesthesia/update-in-anaesthesia/update-009/detail. Accessed October 6, 2014.

Hypoxia increases EPO production in peritubular cells mainly by transcriptional regulation. The EPO gene has a hypoxia-sensitive region (enhancer) in its 3′ regulatory component.15 When oxygen tension in the cell decreases, hypoxia-inducible factor-1, a transcription factor, is assembled in the cytoplasm,16 migrates to the nucleus, and interacts with the 3′ enhancer of the gene. This results in transcription of more EPO messenger RNA molecules, and production of more EPO.

Erythropoietin

Structure. 

EPO is a thermostable, nondialyzable, glycoprotein hormone with a molecular weight of 34 kD.17 It consists of a carbohydrate unit that reacts specifically with RBC receptors and a terminal sialic acid unit, which is necessary for biological activity in vivo.18 On desialation, EPO activity ceases.19

Action. 

EPO is a true hormone, being produced at one location (the kidney) and acting at a distant location (the bone marrow). It is a growth factor (or cytokine) that initiates an intracellular message to the developing RBCs; this process is called signal transduction. EPO must bind to its receptor on the surface of cells to initiate the signal or message (Figure 33-9). The receptor is a transmembrane homodimer consisting of two identical polypeptide chains.20 EPO-responsive cells vary in their sensitivity to EPO.21 Some are able to respond to low levels of EPO,22 whereas others require higher levels. In healthy circumstances when RBC production needs to proceed at a modest but regular rate, the cells requiring only low levels of EPO respond. If EPO levels rise secondary to hypoxia, however, a larger population of EPO-sensitive cells is able to respond.

The binding of EPO, the ligand, to its receptor on erythrocyte progenitors initiates a cascade of intracellular events (“the program”) that ultimately leads to cell division, maturation, and more red blood cells entering the circulation. EPO’s effects are mediated by Janus-activated tyrosine kinase 2 (JAK2) signal transducers that are associated with the cytoplasmic domain of the EPO receptor and ultimately affect gene expression in the RBC nucleus (Figure 33-9).23 EPO has three major effects: allowing early release of reticulocytes from the bone marrow, preventing apoptotic cell death, and reducing the time needed for cells to mature in the bone marrow. These processes are described in detail in the following sections. The essence is that EPO puts more RBCs into the circulation at a faster rate than occurs without its stimulation.

Early release of reticulocytes. 

EPO promotes early release of developing erythroid precursors from the marrow by two mechanisms. EPO induces changes in the adventitial cell layer of the marrow/sinus barrier that increase the width of the spaces for RBC egress into the sinus.24 This mechanism alone, however, is insufficient for cells to leave the marrow. RBCs are held in the marrow because they express surface membrane receptors for adhesive molecules located on the bone marrow stroma. EPO downregulates the expression of these receptors so that cells can exit the marrow earlier than they normally would. The result is the presence in the circulation of reticulocytes that are still very basophilic because they have not spent as much time degrading their ribosomes or making hemoglobin as they normally would before entering the bloodstream. These are called shift reticulocytes because they have been shifted from the bone marrow early (Figure 8-8, A). Their bluish cytoplasm with Wright stain is evident, so the overall blood picture is said to have polychromasia. Even nucleated RBCs (i.e., normoblasts) can be released early in cases of extreme anemia when the demand for RBCs in the peripheral circulation is great. Releasing cells from the marrow early is a quick fix, so to speak; it is limited in effectiveness because the available precursors in the marrow are depleted within several days and still may not be enough to meet the need in the peripheral blood for more cells. A more sustained response is required in times of increased need for RBCs in the circulation.

Inhibition of apoptosis. 

A second, and probably more important, mechanism by which EPO increases the number of circulating RBCs is by increasing the number of cells that will be able to mature into circulating erythrocytes. It does this by decreasing apoptosis, the programmed death of RBC progenitors.25, 26 To understand this process, an overview of apoptosis in general is helpful.

Apoptosis: Programmed cell death. 

As noted previously, it takes about 18 to 21 days to produce an RBC from stimulation of the earliest erythroid progenitor (BFU-E) to release from the bone marrow. In times of increased need for RBCs, such as when there is loss from the circulation during hemorrhage, this time lag would be a significant problem. One way to prepare for such a need would be to maintain a store of mature RBCs in the body for emergencies. RBCs cannot be stored in the body for this sort of eventuality, however, because they have a limited life span. Therefore, instead of storing mature cells for emergencies, the body produces more CFU-Es than needed at all times. When there is a basal or steady-state demand for RBCs, the extra progenitors are allowed to die. When there is an increased demand for RBCs, however, the RBC progenitors have about an 8- to 10-day head start in the production process. This process of intentional wastage of cells occurs by apoptosis, and it is part of the cell’s genetic program.

Process of apoptosis. 

Apoptosis is a sequential process characterized by, among other things, the degradation of chromatin into fragments of varying size that are multiples of 180 to 185 base pairs long; protein clustering; and activation of transglutamase. This is in contrast to necrosis, in which cell injury causes swelling and lysing with release of cytoplasmic contents that stimulate an inflammatory response (Chapter 6). Apoptosis is not associated with inflammation.27

During the sequential process of apoptosis, the following morphologic changes can be seen: condensation of the nucleus, causing increased basophilic staining of the chromatin; nucleolar disintegration; and shrinkage of cell volume with concomitant increase in cell density and compaction of cytoplasmic organelles, while mitochondria remain normal.28 This is followed by a partition of cytoplasm and nucleus into membrane-bound apoptotic bodies that contain varying amounts of ribosomes, organelles, and nuclear material. The last stage of degradation produces nuclear DNA fragments consisting of multimers of 180 to 185 base pair segments. Characteristic blebbing of the plasma membrane is observed. The apoptotic cell contents remain membrane-bound and are ingested by macrophages, which prevents an inflammatory reaction. The membrane-bound vesicles display so-called “eat me” signals on the membrane surface (discussed later) that promote macrophage ingestion.29

Evasion of apoptosis by erythroid progenitors and precursors. 

Thus, under normal circumstances, many red cell progenitors will undergo apoptosis. However, when increased numbers of red cells are needed, apoptosis can be avoided. One effect of EPO is an indirect avoidance of apoptosis by removing an apoptosis induction signal. Apoptosis of RBCs is a cellular process that depends on a signal from either the inside or outside of the cell. Among the crucial molecules in the external messaging system is the death receptor Fas on the membrane of the earliest RBC precursors, while its ligand, FasL, is expressed by more mature RBCs.28, 30 When EPO levels are low, cell production should be at a low rate because hypoxia is not present. The excess early erythroid precursors should undergo apoptosis. This occurs when the older FasL-bearing erythroid precursors, such as polychromatic normoblasts, cross-link with Fas-marked immature erythroid precursors, such as pronormoblasts and basophilic normoblasts, which are then stimulated to undergo apoptosis.28 As long as the more mature cells with FasL are present in the marrow, erythropoiesis is subdued. If the FasL-bearing cells are depleted, as when EPO stimulates early marrow release, the younger Fas-positive precursors are allowed to develop, which increases the overall output of RBCs from the marrow. Thus early release of older cells in response to EPO indirectly allows more of the younger cells to mature.

A second mechanism for escaping apoptosis exists for RBC progenitors: direct EPO rescue from apoptosis. This is the major way in which EPO is able to increase RBC production. When EPO binds to its receptor on the CFU-E, one of the effects is to reduce production of Fas ligand.31 Thus the younger cells avoid the apoptotic signal from the older cells. Additionally, EPO is able to stimulate production of various anti-apoptotic molecules, which allows the cell to survive and mature.31, 32 The cell that has the most EPO receptors and is most sensitive to EPO rescue is the CFU-E, although the late BFU-E and early pronormoblast have some receptors.33 Without EPO, the CFU-E does not survive.34

The binding of EPO to its transmembrane receptors on erythroid progenitors and precursors activates JAK2 protein associated with its cytoplasmic domain (Figure 33-9). Activated JAK2 then phosphorylates (activates) the signal transduction and activator of transcription (STAT) pathway, leading to the production of the anti-apoptotic molecule Bcl-XL (now called Bcl-2 like protein 1).31, 32 EPO-stimulated cells develop this molecule on their mitochondrial membranes, preventing release of cytochrome c, an apoptosis initiator.35 EPO’s effect is mediated by the transcription factor GATA-1, which is essential to red cell survival.36

Reduced marrow transit time. 

Apoptosis rescue is the major way in which EPO increases RBC mass—by increasing the number of erythroid cells that survive and mature to enter the circulation. Another effect of EPO is to increase the rate at which the surviving precursors can enter the circulation. This is accomplished by two means: increased rate of cellular processes and decreased cell cycle times.

EPO stimulates the synthesis of RBC RNA and effectively increases the rate of the developmental “program.” Among the processes that are accelerated is hemoglobin production.37 As mentioned earlier, another accelerated process is bone marrow egress with the loss of adhesive receptors and the acquisition of egress-promoting surface molecules.38 The other process that is accelerated is the cessation of division. Cell division takes time and would delay entry of cells to the circulation, so cells enter cell cycle arrest sooner. As a result, the cells spend less time maturing in the marrow. In the circulation, such cells are larger due to lost mitotic divisions, and they do not have time before entering the circulation to dismantle the protein production machinery that gives the bluish tinge to the cytoplasm. These cells are true shift reticulocytes similar to those in Figure 8-8, A, recognizable in the stained peripheral blood film as especially large, bluish cells typically lacking central pallor. They also are called stress reticulocytes because they exit the marrow early during conditions of bone marrow “stress,” such as in certain anemias.

EPO also can reduce the time it takes for cells to mature in the marrow by reducing individual cell cycle time, specifically the length of time that cells spend between mitoses.39 This effect is only about a 20% reduction, however, so that the normal transit time in the marrow of approximately 6 days from pronormoblast to erythrocyte can be shortened by only about 1 day by this effect.

With the decreased cell cycle time and fewer mitotic divisions, the time it takes from pronormoblast to reticulocyte can be shortened by about 2 days total. If the reticulocyte leaves the marrow early, another day can be saved, and the typical 6-day transit time is reduced to fewer than 4 days under the influence of increased EPO.

Measurement of erythropoietin. 

Quantitative measurements of EPO are performed on plasma and other body fluids. EPO can be measured by chemiluminescence. Although the reference interval for each laboratory varies, an example reference interval is 4 to 27 mU/L.40 Increased amounts of EPO in the urine are expected in most patients with anemia, with the exception of patients with anemia caused by renal disease.

Therapeutic uses of erythropoietin. 

Recombinant erythropoietin is used as therapy in certain anemias such as those associated with chronic kidney disease and chemotherapy. It is also used to stimulate RBC production prior to autologous blood donation and after bone marrow transplantation. The indications for EPO therapy are summarized in Table 7-2.

Unfortunately, some athletes illicitly use EPO injections to increase the oxygen-carrying capacity of their blood to enhance endurance and stamina, especially in long-distance running and cycling. The use of EPO is one of the methods of blood doping, and aside from being banned in organized sports events, it increases the RBC count and blood viscosity to dangerously high levels and can lead to fatal arterial and venous thrombosis.

Other stimuli to erythropoiesis

In addition to tissue hypoxia, other factors influence RBC production to a modest extent. It is well documented that testosterone directly stimulates erythropoiesis, which partially explains the higher hemoglobin concentration in men than in women.41 Also, pituitary42 and thyroid43 hormones have been shown to affect the production of EPO and so have indirect effects on erythropoiesis.

Microenvironment of the bone marrow

The microenvironment of the bone marrow is described in Chapter 7, and the cytokines essential to hematopoiesis are discussed there. Here, the details pertinent to erythropoiesis (i.e., the erythropoietic inductive microenvironment) are emphasized, including the locale and arrangement of erythroid cells and the anchoring molecules involved.

Hematopoiesis occurs in marrow cords, essentially a loose arrangement of cells outside a dilated sinus area between the arterioles that feed the bone and the central vein that returns blood to efferent veins. Erythropoiesis typically occurs in what are called erythroid islands (Figure 7-6). These are macrophages surrounded by erythroid precursors in various stages of development. It was previously believed that these macrophages provided iron directly to the normoblasts for the synthesis of hemoglobin. This was termed the suckling pig phenomenon. However, since developing RBCs obtain iron via transferrin (Chapter 11), no direct contact with macrophages is needed for this. Macrophages are now known to elaborate cytokines that are vital to the maturation process of the RBCs.44-46 RBC precursors would not survive without macrophage support via such stimulation.

A second role for macrophages in erythropoiesis also has been identified. Although movement of cells through the marrow cords is sluggish, developing cells would exit the marrow prematurely in the outflow were it not for an anchoring system within the marrow that holds them there until development is complete. There are three components to the anchoring system: a stable matrix of accessory and stromal cells to which normoblasts can attach, bridging (adhesive) molecules for that attachment, and receptors on the erythrocyte membrane.

The major cellular anchor for the RBCs is the macrophage. Several systems of adhesive molecules and RBC receptors tie the developing RBCs to the macrophages.44 At the same time, RBCs are anchored to the extracellular matrix of the bone marrow, chiefly by fibronectin.9

When it comes time for the RBCs to leave the marrow, they cease production of the receptors for the adhesive molecules.9 Without the receptor, the cells are free to move from the marrow into the venous sinus. Entering the venous sinus requires the RBC to traverse the barrier created by the adventitial cells on the cord side, the basement membrane, and the endothelial cells lining the sinus. Egress through this barrier occurs between adventitial cells, through holes (fenestrations) in the basement membrane, and through pores in the endothelial cells19 (Figure 8-11).24, 47, 48

Image

FIGURE 8-11 Egress of a red blood cell through a pore in an endothelial cell of the bone marrow venous sinus. Arrowheads indicate the endothelial cell junctions. (From DeBruyn PPH: Structural substrates of bone marrow function, Semin Hematol 18:182, 1981.)

Erythrocyte destruction

All cells experience the deterioration of their enzymes over time due to natural catabolism. Most cells are able to replenish needed enzymes and continue their cellular processes. As a nonnucleated cell, however, the mature erythrocyte is unable to generate new proteins, such as enzymes, so as its cellular functions decline, the cell ultimately approaches death. The average RBC has sufficient enzyme function to live 120 days. Because RBCs lack mitochondria, they rely on glycolysis for production of adenosine triphosphate (ATP). The loss of glycolytic enzymes is central to this process of cellular aging, called senescence, which culminates in phagocytosis by macrophages. This is the major way in which RBCs die normally.

Macrophage-mediated hemolysis (extravascular hemolysis)

At any given time, a substantial volume of blood is in the spleen, which generates an environment that is inherently stressful on cells. Movement through the red pulp is sluggish. The available glucose in the surrounding plasma is depleted quickly as the cell flow stagnates, so glycolysis slows. The pH is low, which promotes iron oxidation. Maintaining reduced iron is an energy-dependent process, so factors that promote iron oxidation cause the RBC to expend more energy and accelerate the catabolism of enzymes.

In this hostile environment, aged RBCs succumb to the various stresses. Their deteriorating glycolytic processes lead to reduced ATP production, which is complicated further by diminished amounts of available glucose. The membrane systems that rely on ATP begin to fail. Among these are enzymes that maintain the location and reduction of phospholipids of the membrane. Lack of ATP leads to oxidation of membrane lipids and proteins. Other ATP-dependent enzymes are responsible for maintaining the high level of intracellular potassium while pumping sodium out of the cells. As this system fails, intracellular sodium increases and potassium decreases. The effect is that the selective permeability of the membrane is lost and water enters the cell. The discoid shape is lost and the cell becomes a sphere.

RBCs must remain highly flexible to exit the spleen by squeezing through the so-called splenic sieve formed by the endothelial cells lining the venous sinuses and the basement membrane. Spherical RBCs are rigid and are not able to squeeze through the narrow spaces; they become trapped against the endothelial cells and basement membrane. In this situation, they are readily ingested by macrophages that patrol along the sinusoidal lining (Figure 8-12).

Image

FIGURE 8-12 Macrophage ingesting a spherocytic erythrocyte. (From Bessis M: Corpuscles, atlas of RBC shapes, New York, 1974, Springer-Verlag.)

Some researchers view erythrocyte death as a nonnucleated cell version of apoptosis, termed eryptosis,49 that is precipitated by oxidative stress, energy depletion, and other mechanisms that create membrane signals that stimulate phagocytosis. It is highly likely that there is no single signal but rather that macrophages recognize several. Examples of the signals generating continuing research interest include binding of autologous immunoglobulin G (IgG) to band-3 membrane protein clusters, exposure of phosphatidylserine on the exterior (plasma side) of the membrane, and inability to maintain cation balance.50 Senescent changes to leukocyte surface antigen CD47 (integrin-associated protein) may also be involved by binding thrombospondin-1, which then provides an “eat me” signal to macrophages.51 Whatever the signal, macrophages are able to recognize senescent cells and distinguish them from younger cells; thus the older cells are targeted for ingestion and lysis.

When an RBC lyses within a macrophage, the major components are catabolized. The iron is removed from the heme. It can be stored in the macrophage as ferritin until transported out. The globin of hemoglobin is degraded and returned to the metabolic amino acid pool. The protoporphyrin component of heme is degraded through several intermediaries to bilirubin, which is released into the plasma and ultimately excreted by the liver in bile. The details of bilirubin metabolism are discussed in Chapter 23.

Mechanical hemolysis (fragmentation or intravascular hemolysis)

Although most natural RBC deaths occur in the spleen, a small portion of RBCs rupture intravascularly (within the lumen of blood vessels). The vascular system can be traumatic to RBCs, with turbulence occurring in the chambers of the heart or at points of bifurcation of vessels. Small breaks in blood vessels and resulting clots can also trap and rupture cells. The intravascular rupture of RBCs from purely mechanical or traumatic stress results in fragmentation and release of the cell contents into the plasma; this is called fragmentation or intravascular hemolysis.

When the membrane of the RBC has been breached, regardless of where the cell is located when it happens, the cell contents enter the surrounding plasma. Although mechanical lysis is a relatively small contributor to RBC demise under normal circumstances, the body still has a system of plasma proteins, including haptoglobin and hemopexin, to salvage the released hemoglobin so that its iron is not lost in the urine. Hemolysis and the functions of haptoglobin and hemopexin are discussed in Chapter 23.

Summary

• RBCs develop from committed erythroid progenitor cells in the bone marrow, the BFU-E and CFU-E.

• The morphologically identifiable precursors of mature RBCs, in order from youngest to oldest, are the pronormoblast, basophilic normoblast, polychromatic normoblast, orthochromic normoblast, and polychromatic erythrocyte or reticulocyte.

• As erythroid precursors age, the nucleus becomes condensed and ultimately is ejected from the cell, which produces the polychromatic erythrocyte or reticulocyte stage. The cytoplasm changes color from blue, reflecting numerous ribosomes, to salmon-pink as hemoglobin accumulates and the ribosomes are degraded. Each stage can be identified by the extent of these nuclear and cytoplasmic changes.

• It takes approximately 18 to 21 days for the BFU-E to mature to an RBC, of which about 6 days are spent as identifiable precursors in the bone marrow. The mature erythrocyte has a life span of 120 days in the circulation.

• Hypoxia of peripheral blood is detected by the peritubular fibroblasts of the kidney, which upregulates transcription of the EPO gene to increase the production of EPO.

• EPO, the primary hormone that stimulates the production of erythrocytes, is able to rescue the CFU-E from apoptosis, shorten the time between mitoses of precursors, release reticulocytes from the marrow early, and reduce the number of mitoses of precursors.

• Apoptosis is the mechanism by which an appropriate normal production level of cells is controlled. Fas, the death receptor, is expressed by young normoblasts, and FasL, the ligand, is expressed by older normoblasts. As long as older cells mature slowly in the marrow, they induce the death of unneeded younger cells.

• EPO rescues cells from apoptosis by stimulating the production of anti-apoptotic molecules that counteract the effects of Fas and FasL and simultaneously decreasing Fas production by young normoblasts.

• Survival of RBC precursors in the bone marrow depends on adhesive molecules, such as fibronectin, and cytokines that are elaborated by macrophages and other bone marrow stromal cells. RBCs are found in erythroid islands, where erythroblasts at various stages of maturation surround a macrophage.

• As RBC precursors mature, they lose adhesive molecule receptors and can leave the bone marrow. Egress occurs between adventitial cells but through pores in the endothelial cells of the venous sinus.

• Aged RBCs, or senescent cells, cannot regenerate catabolized enzymes because they lack a nucleus. The semipermeable membrane becomes more permeable to water, so the cell swells and becomes spherocytic and rigid. It becomes trapped in the splenic sieve.

• Extravascular or macrophage-mediated hemolysis accounts for most normal RBC death. The signals to macrophages that initiate RBC ingestion may include binding of autologous IgG, expression of phosphatidylserine on the outer membrane, cation balance changes, and CD47-thrombospondin 1 binding.

• Fragmentation or intravascular hemolysis results when mechanical factors rupture the cell membrane while the cell is in the peripheral circulation. This pathway accounts for a minor component of normal destruction of RBCs.

Now that you have completed this chapter, go back and read again the case study at the beginning and respond to the questions presented.

Review questions

Answers can be found in the Appendix.

1. Which of the following is an erythrocyte progenitor?

a. Pronormoblast

b. Reticulocyte

c. CFU-E

d. Orthochromic normoblast

2. Which of the following is the most mature normoblast?

a. Orthochromic normoblast

b. Basophilic normoblast

c. Pronormoblast

d. Polychromatic normoblast

3. What erythroid precursor can be described as follows: the cell is of medium size compared with other normoblasts, with an N:C ratio of nearly 1:1. The nuclear chromatin is condensed and chunky throughout the nucleus. No nucleoli are seen. The cytoplasm is a muddy, blue-pink color.

a. Reticulocyte

b. Pronormoblast

c. Orthochromic normoblast

d. Polychromatic normoblast

4. Which of the following is not related to the effects of erythropoietin?

a. The number of divisions of a normoblast

b. The formation of pores in sinusoidal endothelial cells for marrow egress

c. The time between mitoses of normoblasts

d. The production of antiapoptotic molecules by erythroid progenitors

5. Hypoxia stimulates RBC production by:

a. Inducing more pluripotent stem cells into the erythroid lineage

b. Stimulating EPO production by the kidney

c. Increasing the number of RBC mitoses

d. Stimulating the production of fibronectin by macrophages of the bone marrow

6. In the bone marrow, RBC precursors are located:

a. In the center of the hematopoietic cords

b. Adjacent to megakaryocytes along the adventitial cell lining

c. Surrounding fat cells in apoptotic islands

d. Surrounding macrophages in erythroid islands

7. Which of the following determines the timing of egress of RBCs from the bone marrow?

a. Maturing normoblasts slowly lose receptors for adhesive molecules that bind them to stromal cells.

b. Stromal cells decrease production of adhesive molecules over time as RBCs mature.

c. Endothelial cells of the venous sinus form pores at specified intervals of time, allowing egress of free cells.

d. Periodic apoptosis of pronormoblasts in the marrow cords occurs.

8. What single feature of normal RBCs is most responsible for limiting their life span?

a. Loss of mitochondria

b. Increased flexibility of the cell membrane

c. Reduction of hemoglobin iron

d. Loss of the nucleus

9. Intravascular or fragmentation hemolysis is the result of trauma to RBCs while in the circulation.

a. True

b. False

10. Extravascular hemolysis occurs when:

a. RBCs are mechanically ruptured

b. RBCs extravasate from the blood vessels into the tissues

c. Splenic macrophages ingest senescent cells

d. Erythrocytes are trapped in blood clots outside the blood vessels

11. A pronormoblast in its usual location belongs to the RBC mass of the body, but not to the erythron.

a. True

b. False

12. A cell has an N:C ratio of 4:1. Which of the following statements would describe it?

a. The bulk of the cell is composed of cytoplasm.

b. The bulk of the cell is composed of nucleus.

c. The proportions of cytoplasm and nucleus are roughly equal.

References

1. Papayannopoulou T, Mighaccio A.R. Biology of erythropoiesis, erythroid differentiation, and maturation. In: Hoffman R, Benz E.J, Silberstein L.E, Heslog H, Weitz J, Anastasi J. Hematology: Basic Principles and Practice.6th ed. Philadelphia : Elsevier/Saunders 2012; 258-279.

2. Shumacher H.R, Erslev A.J. Bone marrow kinetics. In: Szirmani E. Nuclear Hematology. New York : Academic Press 1956; 89-132.

3. Granick S, Levere R.D. Heme synthesis in erythroid cells. In: Moore C.V, Brown E.B. Progress in Hematology. New York : Grune & Stratton 1964; 1-47 vol 4.

4. Skutelsky E, Danon D. An electron microscopic study of nuclear elimination from the late erythroblast. J Cell Biol; 1967; 33:625-635.

5. Ubukawa K, Guo Y.M, Takahashi M, et al. Enucleation of human erythroblasts involves non-muscle myosin IIB. Blood; 2012; 119:1036-1044.

6. Yoshida H, Kawane K, Koike M, et al. Phosphatidylserine-dependent engulfment by macrophages of nuclei from erythroid precursor cells. Nature; 2005; 437:754-758.

7. Song S.H, Groom A.C. Sequestration and possible maturation of reticulocytes in the normal spleen. Can J Physiol Pharmacol; 1972; 50:400-406.

8. Patel V.P, Lodish H.F. The fibronectin receptor on mammalian erythroid precursor cells characterization and developmental regulation. J Cell Biol; 1986; 102:449-456.

9. Vuillet-Gaugler M.H, Breton-Gorius J, Vainchenker W, et al. Loss of attachment to fibronectin with terminal human erythroid differentiation. Blood; 1990; 75:865-873.

10. Goltry K.L, Patel V.P. Specific domains of fibronectin mediate adhesion and migration of early murine erythroid progenitors. Blood; 1997; 90:138-147.

11. Ashby W. The determination of the length of life of transfused blood corpuscles in man. J Exp Med; 1919; 29:268-282.

12. Jacobson L.O, Goldwasser E, Fried W, et al. Role of the kidney in erythropoiesis. Nature; 1957; 179:633-634.

13. Lacombe C, DaSilva J.L, Bruneval P, et al. Peritubular cells are the site of erythropoietin synthesis in the murine hypoxic kidney. J Clin Invest; 1988; 81:620-623.

14. Maxwell P.H, Osmond M.K, Pugh C.W, et al. Identification of the renal erythropoietin-producing cells using transgenic mice. Kidney Int; 1993; 44:1149-1162.

15. Semenza G.L, Nejfelt M.K, Chi S.M, et al. Hypoxia-inducible nuclear factors bind to the enhancer element located 39 to the human erythropoietin gene. Proc Natl Acad Sci U S A; 1991; 88:5680-5684.

16. Wang G.L, Semenza G.L. Characterization of hypoxia inducible factor 1 and regulation of DNA binding by hypoxia. J Biol Chem; 1993; 268:21513-21518.

17. Shelton R.N, Ichiki A.T, Lange R.D. Physicochemical properties of erythropoietin isoelectric focusing and molecular weight studies. Biochem Med; 1975; 12:45-54.

18. Dordal M.S, Wang F.F, Goldwasser E. The role of carbohydrate in erythropoietin action. Endocrinology; 1985; 116:2293-2299.

19. Goldwasser E. On the mechanism of erythropoietin-induced differentiation XIII. The role of sialic acid in erythropoietin action. J Biol Chem; 1974; 249:4202-4206.

20. Schneider H, Chaovapong W, Matthews D.J, et al. Homodimerization of erythropoietin receptor by a bivalent monoclonal anibody triggers cell proliferation and differentiation of erythroid precursors. Blood; 1997; 89(2):473-482.

21. Kaushansky K. Hematopoietic growth factors and receptors. In: Stamatoyannopoulos G, Majerus P.W, Perlmutter R.M, et al. The Molecular Basis of Blood Diseases. 3rd ed. Philadelphia : Saunders 2001; 25-79.

22. Broudy V.C, Lin N, Brice M, et al. Erythropoietin receptor characteristics on primary human erythroid cells. Blood; 1991; 77:2583-2590.

23. Parganas E, Wang D, Stravopodis D, et al. Jak2 is essential for signaling through a variety of cytokine receptors. Cell; 1998; 93:385-395.

24. Chamberlain J.K, Leblond P.F, Weed R.I. Reduction of adventitial cell cover an early direct effect of erythropoietin on bone marrow ultrastructure. Blood Cells; 1975; 1:655-674.

25. Sieff C.A, Emerson S.G, Mufson A, et al. Dependence of highly enriched human bone marrow progenitors on hemopoietic growth factors and their response to recombinant erythropoietin. J Clin Invest; 1986; 77:74-81.

26. Eaves C.J, Eaves A.C. Erythropoietin (Ep) dose-response curves for three classes of erythroid progenitors in normal human marrow and in patients with polycythemia vera. Blood; 1978; 52:1196-1210.

27. Allen P.D, Bustin S.A, Newland A.C. The role of apoptosis (programmed cell death) in haemopoiesis and the immune system. Blood Rev; 1993; 7:63-73.

28. DeMaria R, Testa U, Luchetti L, et al. Apoptotic role of Fas/Fas ligand system in the regulation of erythropoiesis. Blood; 1999; 93:796-803.

29. Martin S.J, Reutelingsperger C.P, McGahon A.J, et al. Early redistribution of plasma membrane phosphatidylserine is a general feature of apoptosis regardless of the initiating stimulus inhibition by overexpression of Bcl-2 and Abl. J Exp Med; 1995; 182:1545-1556.

30. Zamai L, Burattini S, Luchetti F, et al. In vitro apoptotic cell death during erythroid differentiation. Apoptosis; 2004; 9:235-246.

31. Elliott S, Pham E, Mcdougall I.C. Erythropoietins a common mechanism of action. Exp Hematol; 2008; 36:1573-1584.

32. Dolznig H, Habermann B, Stangl K, et al. Apoptosis protection by the Epo target Bcl-X(L) allows factor-independent differentiation of primary erythroblasts. Curr Biol; 2002; 12:1076-1085.

33. Sawada K, Krantz S.B, Dai C.H, et al. Purification of human blood burst-forming units–erythroid and demonstration of the evolution of erythropoietin receptors. J Cell Physiol; 1990; 142:219-230.

34. Koury M.J, Bondurant M.C. Maintenance by erythropoietin of viability and maturation of murine erythroid precursor cells. J Cell Biol; 1988; 137:65-74.

35. Basanez G, Soane L, Hardwick J.M. A new view of the lethal apoptotic pore. PLoS Biol; 2012; 10(9):e100139.

36. Gregory T, Yu C, Ma A, et al. GATA-1 and erythropoietin cooperate to promote erythroid cell survival by regulating bcl-xL expression. Blood; 1999; 94:87-96.

37. Gross M, Goldwasser E. On the mechanism of erythropoietin-induced differentiation V. Characterization of the ribonucleic acid formed as a result of erythropoietin action. Biochem; 1969; 8:1795-1805.

38. Sathyanarayana P, Menon M.P, Bogacheva O, et al. Erythropoietin modulation of podocalyxin and a proposed erythroblast niche. Blood; 2007; 110(2):509-518.

39. Hanna I.R, Tarbutt R.O, Lamerton L.F. Shortening of the cell-cycle time of erythroid precursors in response to anaemia. Br J Haematol; 1969; 16:381-387.

40. ARUP Laboratories. Laboratory Test Directory. Erythropoietin. Available at Available at: http://ltd.aruplab.com/Tests/Pub/0050227 Accessed 24.11.13.

41. Jacobson W, Siegman R.L, Diamond L.K. Effect of testosterone on the uptake of tritiated thymidine in bone marrow of children. Ann N Y Acad Sci; 1968; 149:389-405.

42. Golde D,W, Bersch N, Li C.H. Growth hormone species-specific stimulation of in vitro erythropoiesis. Science; 1977; 196:1112-1113.

43. Popovic W,J, Brown J.E, Adamson J.W. The influence of thyroid hormones on in vitro erythropoiesis mediation by a receptor with beta adrenergic properties. J Clin Invest; 1977; 60:908-913.

44. Chasis J.A, Mohandas N. Erythroblastic islands niches for erythropoiesis. Blood; 2008; 112:470-478.

45. Sadahira Y, Mori M. Role of the macrophage in erythropoiesis. Pathol Int; 1999; 49:841-848.

46. Obinata M, Yanai N. Cellular and molecular regulation of an erythropoietic inductive microenvironment (EIM). Cell Struct Funct; 1999; 24:171-179.

47. Chamberlain J.K, Lichtman M.A. Marrow cell egress specificity of the site of penetration into the sinus. Blood; 1978; 52:959-968.

48. DeBruyn P.P.H. Structural substrates of bone marrow function. Semin Hematol; 1981; 18:179-193.

49. Lang F, Qadri S.M. Mechanisms and significance of eryptosis, the suicidal death of erythrocytes. Blood Purif; 2012; 33(1-3):125-130.

50. Rifkind J.M, Nagababu E. Hemoglobin redox reactions and red blood cell aging. Antiox Redox Signal; 2013; 18(17):2274-2283.

51. Burger P, Hilarius-Stokman P, de Korte D, van den berg T. K, van Bruggen R. CD47 functions as a molecular switch for erythrocyte phagocytosis. Blood; 2012; 119(23):5512-5521.



If you find an error or have any questions, please email us at admin@doctorlib.org. Thank you!