Phillip A. Low
John W. Engstrom
The autonomic nervous system (ANS) innervates the entire neuraxis and permeates all organ systems. It regulates blood pressure (BP), heart rate, sleep, and bladder and bowel function. It operates automatically; its full importance becomes recognized only when ANS function is compromised, resulting in dysautonomia. Hypothalamic disorders that cause disturbances in homeostasis are discussed in Chap. 38.
ANATOMIC ORGANIZATION
The activity of the ANS is regulated by central neurons responsive to diverse afferent inputs. After central integration of afferent information, autonomic outflow is adjusted to permit the functioning of the major organ systems in accordance with the needs of the organism as a whole. Connections between the cerebral cortex and the autonomic centers in the brainstem coordinate autonomic outflow with higher mental functions.
The preganglionic neurons of the parasympathetic nervous system leave the central nervous system (CNS) in the third, seventh, ninth, and tenth cranial nerves as well as the second and third sacral nerves, while the preganglionic neurons of the sympathetic nervous system exit the spinal cord between the first thoracic and the second lumbar segments (Fig. 33-1). These are thinly myelinated. The postganglionic neurons, located in ganglia outside the CNS, give rise to the postganglionic unmyelinated autonomic nerves that innervate organs and tissues throughout the body. Responses to sympathetic and parasympathetic stimulation are frequently antagonistic (Table 33-1), reflecting highly coordinated interactions within the CNS; the resultant changes in parasympathetic and sympathetic activity provide more precise control of autonomic responses than could be achieved by the modulation of a single system.


FIGURE 33-1
Schematic representation of the autonomic nervous system. (From M Moskowitz: Clin Endocrinol Metab 6:77, 1977.)
TABLE 33-1
FUNCTIONAL CONSEQUENCES OF NORMAL ANS ACTIVATION

Acetylcholine (ACh) is the preganglionic neurotransmitter for both divisions of the ANS as well as the post-ganglionic neurotransmitter of the parasympathetic neurons; the preganglionic receptors are nicotinic, and the postganglionic are muscarinic in type. Norepinephrine (NE) is the neurotransmitter of the postganglionic sympathetic neurons, except for cholinergic neurons innervating the eccrine sweat glands.
CLINICAL EVALUATION
CLASSIFICATION
Disorders of the ANS may result from pathology of either the CNS or the peripheral nervous system (PNS) (Table 33-2). Signs and symptoms may result from interruption of the afferent limb, CNS processing centers, or efferent limb of reflex arcs controlling autonomic responses. For example, a lesion of the medulla produced by a posterior fossa tumor can impair BP responses to postural changes and result in orthostatic hypotension (OH). OH can also be caused by lesions of the spinal cord or peripheral vasomotor nerve fibers (e.g., diabetic autonomic neuropathy). Lesions of the efferent limb cause the most consistent and severe OH. The site of reflex interruption is usually established by the clinical context in which the dysautonomia arises, combined with judicious use of ANS testing and neuro-imaging studies. The presence or absence of CNS signs, association with sensory or motor polyneuropathy, medical illnesses, medication use, and family history are often important considerations. Some syndromes do not fit easily into any classification scheme.
TABLE 33-2
CLASSIFICATION OF CLINICAL AUTONOMIC DISORDERS


SYMPTOMS OF AUTONOMIC DYSFUNCTION
Clinical manifestations can result from loss of function, overactivity, or dysregulation of autonomic circuits. Disorders of autonomic function should be considered in all patients with unexplained orthostatic hypotension, syncope, sleep dysfunction, altered sweating (hyperhidrosis or hypohidrosis), constipation, upper gastrointestinal symptoms (bloating, nausea, vomiting of old food), impotence, or bladder disorders (urinary frequency, hesitancy, or incontinence). Symptoms may be widespread or regional in distribution. An autonomic history focuses on systemic functions (BP, heart rate, sleep, fever, sweating) and involvement of individual organ systems (pupils, bowel, bladder, sexual function). The autonomic symptom profile is a self-report questionnaire that can be used for formal assessment. It is also important to recognize the modulating effects of age. For example, OH typically produces lightheadedness in the young, whereas cognitive slowing is more common in the elderly. Specific symptoms of orthostatic intolerance are diverse (Table 33-3). Autonomic symptoms may vary dramatically, reflecting the dynamic nature of autonomic control over homeostatic function. For example, OH might be manifest only in the early morning, following a meal, with exercise, or with raised ambient temperature, depending upon the regional vascular bed affected by dysautonomia.
TABLE 33-3
SYMPTOMS OF ORTHOSTATIC INTOLERANCE

Early symptoms may be overlooked. Impotence, although not specific for autonomic failure, often heralds autonomic failure in men and may precede other symptoms by years. A decrease in the frequency of spontaneous early morning erections may occur months before loss of nocturnal penile tumescence and development of total impotence. Bladder dysfunction may appear early in men and women, particularly in those with CNS involvement. Cold feet may indicate peripheral vasomotor constriction. Brain and spinal cord disease above the level of the lumbar spine results first in urinary frequency and small bladder volumes and eventually in incontinence (upper motor neuron or spastic bladder). By contrast, PNS disease of autonomic nerve fibers results in large bladder volumes, urinary frequency, and overflow incontinence (lower motor neuron flaccid bladder). Measurement of bladder volume (postvoid residual) is a useful bedside test for distinguishing between upper and lower motor neuron bladder dysfunction in the early stages of dysautonomia. Gastrointestinal autonomic dysfunction typically presents as severe constipation. Diarrhea occurs occasionally (as in diabetes mellitus) due to rapid transit of contents or uncoordinated small-bowel motor activity, or on an osmotic basis from bacterial overgrowth associated with small-bowel stasis. Impaired glandular secretory function may cause difficulty with food intake due to decreased salivation or eye irritation due to decreased lacrimation. Occasionally, temperature elevation and vasodilation can result from anhidrosis because sweating is normally important for heat dissipation. Lack of sweating after a hot bath, during exercise, or on a hot day can suggest sudomotor failure.
OH (also called orthostatic or postural hypotension) is perhaps the most disabling feature of autonomic dysfunction. The prevalence of OH is relatively high, especially when OH associated with aging and diabetes mellitus is included (Table 33-4). OH can cause a variety of symptoms, including dimming or loss of vision, light-headedness, diaphoresis, diminished hearing, pallor, and weakness. Syncope results when the drop in BP impairs cerebral perfusion. Other manifestations of impaired baroreflexes are supine hypertension, a heart rate that is fixed regardless of posture, postprandial hypotension, and an excessively high nocturnal BP. Many patients with OH have a preceding diagnosis of hypertension or have concomitant supine hypertension, reflecting the great importance of baroreflexes in maintaining postural and supine normotension. The appearance of OH in patients receiving antihypertensive treatment may indicate overtreatment or the onset of an autonomic disorder. The most common causes of OH are not neurologic in origin; these must be distinguished from the neurogenic causes (Table 33-5). Neurocardiogenic and cardiac causes of syncope are considered in Chap. 10.
TABLE 33-4
PREVALENCE OF ORTHOSTATIC HYPOTENSION IN DIFFERENT DISORDERS

TABLE 33-5
NONNEUROGENIC CAUSES OF ORTHOSTATIC HYPOTENSION


APPROACH TO THE
PATIENT Orthostatic Hypotension and Other ANS Disorders
The first step in the evaluation of symptomatic OH is the exclusion of treatable causes. The history should include a review of medications that may affect the autonomic system (Table 33-6). The main classes of drugs that may cause OH are diuretics, antihypertensives, antidepressants, phenothiazines, ethanol, narcotics, insulin, dopamine agonists, barbiturates, and calcium channel-blocking agents. However, the precipitation of OH by medications may also be the first sign of an underlying autonomic disorder. The history may reveal an underlying cause for symptoms (e.g., diabetes, Parkinson’s disease) or specific underlying mechanisms (e.g., cardiac pump failure, reduced intravascular volume). The relationship of symptoms to meals (splanchnic pooling), standing on awakening in the morning (intravascular volume depletion), ambient warming (vasodilatation), or exercise (muscle arteriolar vasodilatation) should be sought. Standing time to first symptom and presyncope should be followed for management.
TABLE 33-6
SOME DRUGS THAT AFFECT AUTONOMIC FUNCTION


Physical examination includes measurement of supine and standing pulse and BP. OH is defined as a sustained drop in systolic (>20 mmHg) or diastolic (>10 mmHg) BP within 3 min of standing. In nonneurogenic causes of OH (such as hypovolemia), the BP drop is accompanied by a compensatory increase in heart rate of >15 beats/min. A clue that the patient has neurogenic OH is the aggravation or precipitation of OH by autonomic stressors (such as a meal, hot tub/hot bath, and exercise). Neurologic examination should include mental status (neurodegenerative disorders), cranial nerves (impaired downgaze with progressive supranuclear palsy; abnormal pupils with Horner’s or Adie’s syndrome), motor tone (Parkinson’s disease and parkinsonian syndromes), and reflexes and sensation (polyneuropathies). In patients without a clear diagnosis initially, follow-up evaluations may reveal the underlying cause.
Disorders of autonomic function should be considered in patients with symptoms of altered sweating (hyperhidrosis or hypohidrosis), gastroparesis (bloating, nausea, vomiting of old food), constipation, impotence, or bladder dysfunction (urinary frequency, hesitancy, or incontinence).
AUTONOMIC TESTING Autonomic function tests are helpful when the history and examination findings are inconclusive; to detect subclinical involvement; or to follow the course of an autonomic disorder.
Heart Rate Variation with Deep Breathing This is a test of the parasympathetic component of cardiovascular reflexes, via the vagus nerve. Results are influenced by multiple factors including the subject’s position (recumbent, sitting, or standing), rate and depth of respiration (6 breaths per minute and a forced vital capacity [FVC] >1.5 L are optimal), age, medications, weight, and degree of hypocapnia. Interpretation of results requires comparison of test data with results from age-matched controls collected under identical test conditions. For example, the lower limit of normal heart rate variation with deep breathing in persons <20 years is >15–20 beats/min, but for persons over age 60 it is 5–8 beats/min. Heart rate variation with deep breathing (respiratory sinus arrhythmia) is abolished by the muscarinic acetylcholine (ACh)-receptor antagonist atropine but is unaffected by sympathetic postganglionic blockade (e.g., propranolol).
Valsalva Response This response (Table 33-7) assesses integrity of the baroreflex control of heart rate (parasympathetic) and BP (adrenergic). Under normal conditions, increases in BP at the carotid bulb trigger a reduction in heart rate (increased vagal tone), and decreases in BP trigger an increase in heart rate (reduced vagal tone). The Valsalva response is tested in the supine position. The subject exhales against a closed glottis (or into a manometer maintaining a constant expiratory pressure of 40 mmHg) for 15 s while measuring changes in heart rate and beat-to-beat BP. There are four phases of BP and heart rate response to the Valsalva maneuver. Phases I and III are mechanical and related to changes in intrathoracic and intraabdominal pressure. In early phase II, reduced venous return results in a fall in stroke volume and BP, counteracted by a combination of reflex tachycardia and increased total peripheral resistance. Increased total peripheral resistance arrests the BP drop ~5–8 s after the onset of the maneuver. Late phase II begins with a progressive rise in BP toward or above baseline. Venous return and cardiac output return to normal in phase IV. Persistent peripheral arteriolar vasoconstriction and increased cardiac adrenergic tone result in a temporary BP overshoot and phase IV bradycardia (mediated by the baroreceptor reflex).
TABLE 33-7
NORMAL BLOOD PRESSURE AND HEART RATE CHANGES DURING THE VALSALVA MANEUVER

Autonomic function during the Valsalva maneuver can be measured using beat-to-beat blood pressure or heart rate changes. The Valsalva ratio is defined as the maximum phase II tachycardia divided by the minimum phase IV bradycardia (Table 33-8). The ratio reflects the integrity of the entire baroreceptor reflex arc and of sympathetic efferents to blood vessels.
TABLE 33-8
NEURAL PATHWAYS UNDERLYING SOME STANDARDIZED AUTONOMIC TESTS


Sudomotor Function Sweating is induced by release of ACh from sympathetic postganglionic fibers. The quantitative sudomotor axon reflex test (QSART) is a measure of regional autonomic function mediated by ACh-induced sweating. A reduced or absent response indicates a lesion of the postganglionic sudomotor axon. For example, sweating may be reduced in the feet as a result of distal polyneuropathy (e.g., diabetes). The thermoregulatory sweat test (TST) is a qualitative measure of regional sweat production in response to an elevation of body temperature under controlled conditions. An indicator powder placed on the anterior surface of the body changes color with sweat production during temperature elevation. The pattern of color changes is a measure of regional sweat secretion. A postganglionic lesion is present if both QSART and TST show absent sweating. In a preganglionic lesion, QSART is normal but TST shows anhidrosis.
Orthostatic BP Recordings Beat-to-beat BP measurements determined in supine, 70° tilt, and tilt-back positions are useful to quantitate orthostatic failure of BP control. Allow a 20-min period of rest in the supine position before assessing changes in BP during tilting. The BP change combined with heart rate monitoring is useful for the evaluation of patients with suspected OH or unexplained syncope.
Tilt Table Testing for Syncope The great majority of patients with syncope do not have autonomic failure. Tilt table testing can be used to make the diagnosis of vasovagal syncope with sensitivity, specificity, and reproducibility. A standardized protocol is used that specifies the tilt apparatus, angle and duration of tilt, and procedure for provocation of vasodilation (e.g., sublingual or spray nitroglycerin). A positive nitroglycerin-stimulated test predicts recurrence of syncope. Recommendations for the performance of tilt studies for syncope have been incorporated in consensus guidelines.
SPECIFIC SYNDROMES OF ANS DYSFUNCTION
MULTIPLE SYSTEM ATROPHY (CHAP. 30)
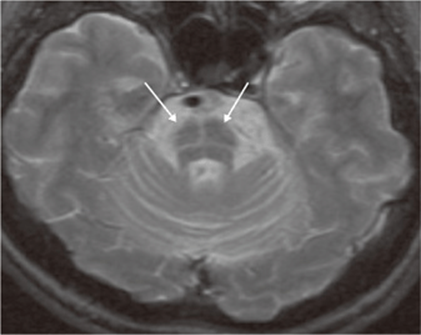
Multiple system atrophy (MSA) is an entity that comprises autonomic failure (OH or a neurogenic bladder) and either parkinsonism (MSA-p) or a cerebellar syndrome (MSA-c). MSA-p is the more common form; the parkinsonism is atypical in that it is usually unassociated with significant tremor or response to levodopa. Symptomatic OH within 1 year of onset of parkinsonism predicts eventual development of MSA-p in 75% of patients. Although autonomic abnormalities are common in advanced Parkinson’s disease (Chap. 30), the severity and distribution of autonomic failure is more severe and more generalized in MSA. Brain MRI is a useful diagnostic adjunct; in MSA-p, iron deposition in the striatum may be evident as T2 hypointensity, and in MSA-c cerebellar atrophy is present with a characteristic T2 hyperintense signal (“hot cross buns sign”) in the pons (Fig. 33-2). Cardiac postganglionic adrenergic innervation, measured by uptake of fluorodopamine on positron emission tomography, is markedly impaired in the dysautonomia of Parkinson’s disease but is usually normal in MSA.

FIGURE 33-2
Multiple system atrophy, cerebellar type (MSA-c). Axial T2-weighted MRI at the level of the pons shows a characteristic hyperintense signal, the “hot cross buns” sign.
MSA generally progresses relentlessly to death 7–10 years after onset. Neuropathologic changes include neuronal loss and gliosis in many CNS regions, including the brainstem, cerebellum, striatum, and intermediolateral cell column of the thoracolumbar spinal cord. Management is symptomatic for neurogenic OH (see later in the chapter), gastrointestinal (GI), and urinary dysfunction. GI management includes frequent small meals, soft diet, stool softeners, and bulk agents. Gastroparesis is difficult to treat; metoclopramide stimulates gastric emptying but worsens parkinsonism by blocking central dopamine receptors. Domperidone has been used in other countries but is not available in the United States.
Autonomic dysfunction is also a common feature in dementia with Lewy bodies (Chap. 29); the severity is usually less than that found in MSA or Parkinson’s disease. In multiple sclerosis (MS; Chap. 39), autonomic complications reflect the CNS location of MS involvement and generally worsen with disease duration and disability.
SPINAL CORD
Spinal cord lesions from any cause may result in focal autonomic deficits or autonomic hyperreflexia (e.g., spinal cord transection or hemisection) affecting bowel, bladder, sexual, temperature-regulation, or cardiovascular functions. Quadriparetic patients exhibit both supine hypertension and OH after upward tilting. Autonomic dysreflexia describes a dramatic increase in blood pressure in patients with traumatic spinal cord lesions above the C6 level, often in response to stimulation of the bladder, skin, or muscles. Suprapubic palpation of the bladder, a distended bladder, catheter insertion, catheter obstruction, or urinary infection are common triggers. Associated symptoms can include flushing, headache, or piloerection. Potential complications include intracranial vasospasm or hemorrhage, cardiac arrhythmia, and death. Awareness of the syndrome and monitoring of blood pressure during procedures in patients with acute or chronic spinal cord injury is essential. In patients with supine hypertension, BP can be lowered by tilting the head upward. Vasodilator drugs may be used to treat acute elevations in BP. Clonidine can be used prophylactically to reduce the hypertension resulting from bladder stimulation. Dangerous increases or decreases in body temperature may result from an inability to experience the sensory accompaniments of heat or cold exposure or the ability to control peripheral vasoconstriction or sweating below the level of the spinal cord injury.
PERIPHERAL NERVE AND NEUROMUSCULAR JUNCTION DISORDERS
Peripheral neuropathies (Chap. 45) are the most common cause of chronic autonomic insufficiency. Polyneuropathies that affect small myelinated and unmyelinated fibers of the sympathetic and parasympathetic nerves commonly occur in diabetes mellitus, amyloidosis, chronic alcoholism, porphyria, and Guillain-Barré syndrome. Neuromuscular junction disorders with autonomic involvement include botulism and Lambert-Eaton syndrome (Chap. 47).
Diabetes mellitus
Autonomic neuropathy typically begins ~10 years after the onset of diabetes and is slowly progressive.
Amyloidosis
Autonomic neuropathy occurs in both sporadic and familial forms of amyloidosis. The AL (immunoglobulin light chain) type is associated with primary amyloidosis or amyloidosis secondary to multiple myeloma. The ATTR type, with transthyretin as the primary protein component, is responsible for the most common form of inherited amyloidosis. Although patients usually present with a distal painful neuropathy accompanied by sensory loss, autonomic insufficiency can precede the development of the polyneuropathy or occur in isolation. Diagnosis can be made by protein electrophoresis of blood and urine, tissue biopsy (abdominal fat pad, rectal mucosa, or sural nerve) to search for amyloid deposits, and genetic testing for transthyretin mutations in familial cases. Treatment of familial cases with liver transplantation can be successful. The response of primary amyloidosis to melphalan and stem cell transplantation has been mixed. Death is usually due to cardiac or renal involvement. Postmortem studies reveal amyloid deposition in many organs, including two sites that contribute to autonomic failure: intraneural blood vessels and autonomic ganglia. Pathologic examination reveals a loss of unmyelinated and myelinated nerve fibers.
Alcoholic neuropathy
Abnormalities in parasympathetic vagal and efferent sympathetic function are usually mild in individuals with alcoholic polyneuropathy. Pathologic changes can be demonstrated in the parasympathetic (vagus) and sympathetic fibers, and in ganglia. OH is usually due to brainstem involvement. Impotence is a major problem, but concurrent gonadal hormone abnormalities may obscure the parasympathetic component. Clinical symptoms of autonomic failure generally appear when the polyneuropathy is severe, and there is usually coexisting Wernicke’s encephalopathy (Chap. 28). Autonomic involvement may contribute to the high mortality rates associated with alcoholism (Chap. 56).
Porphyria
Although each of the porphyrias can cause autonomic dysfunction, the condition is most extensively documented in the acute intermittent type. Autonomic symptoms include tachycardia, sweating, urinary retention, hypertension, or (less commonly) hypotension. Other prominent symptoms include anxiety, abdominal pain, nausea, and vomiting. Abnormal autonomic function can occur both during acute attacks and during remissions. Elevated catecholamine levels during acute attacks correlate with the degree of tachycardia and hypertension that is present.
Guillain-Barré syndrome (Chap. 46)
BP fluctuations and arrhythmias can be severe. It is estimated that between 2 and 10% of patients with severe Guillain-Barré syndrome suffer fatal cardiovascular collapse. Gastrointestinal autonomic involvement, sphincter disturbances, abnormal sweating, and pupillary dysfunction also occur. Demyelination has been described in the vagus and glossopharyngeal nerves, the sympathetic chain, and the white rami communicantes. Interestingly, the degree of autonomic involvement appears to be independent of the severity of motor or sensory neuropathy.
Autoimmune autonomic neuropathy (AAN)
This disorder presents with the subacute development of autonomic disturbances with OH, enteric neuropathy (gastroparesis, ileus, constipation/diarrhea), and cholinergic failure; the latter consists of loss of sweating, sicca complex, and a tonic pupil. Autoantibodies against the ganglionic ACh receptor (A3 AChR) are present in the serum of many patients and are now considered to be diagnostic of this syndrome. In general, the antibody titer correlates with the severity of autonomic failure. Symptoms of cholinergic failure are also associated with a high antibody titer. Onset of the neuropathy follows a viral infection in approximately half of cases. AAN is almost always monophasic; up to one-third of untreated patients experience significant functional improvement over time. There are isolated case reports of a beneficial response to plasmapheresis or intravenous immune globulin, but there are no clinical trials that systematically assess the effectiveness of immunomodulatory therapies. Symptomatic management of OH, gastroparesis, and sicca symptoms is essential. The spectrum of AAN is now broader than originally thought; some antibody-positive cases have an insidious onset and slow progression with a pure autonomic failure (see later) phenotype. A dramatic clinical response to repeated plasma exchange combined with immunosuppression was described in one patient with longstanding AAN.
AAN can have a paraneoplastic basis (Chap. 44). The clinical features of the autonomic neuropathy may be indistinguishable from a coexisting paraneoplastic syndrome, although quite often in the paraneoplastic cases, distinctive additional central features, such as cerebellar involvement or dementia, may be present (see Tables 44-1, 44-2, and 44-3). The neoplasm may be truly occult and possibly suppressed by the autoantibody.
Botulism
Botulinum toxin binds presynaptically to cholinergic nerve terminals and, after uptake into the cytosol, blocks ACh release. Manifestations consist of motor paralysis and autonomic disturbances that include blurred vision, dry mouth, nausea, unreactive or sluggishly reactive pupils, constipation, and urinary retention.
PURE AUTONOMIC FAILURE (PAF)
This sporadic syndrome consists of postural hypotension, impotence, bladder dysfunction, and defective sweating. The disorder begins in the middle decades and occurs in women more often than men. The symptoms can be disabling, but the disease does not shorten life span. The clinical and pharmacologic characteristics suggest primary involvement of postganglionic sympathetic neurons. There is a severe reduction in the density of neurons within sympathetic ganglia that results in low supine plasma NE levels and noradrenergic supersensitivity. Some studies have questioned the specificity of PAF as a distinct clinical entity. Some cases are ganglionic antibody–positive and thus represent a type of AAN. Between 10 and 15% of cases evolve into MSA.
POSTURAL ORTHOSTATIC TACHYCARDIA SYNDROME (POTS)
This syndrome is characterized by symptomatic ortho-static intolerance (not OH) and by either an increase in heart rate to >120 beats/min or an increase of 30 beats/min with standing that subsides on sitting or lying down. Women are affected approximately five times more often than men, and most develop the syndrome between the ages of 15 and 50. Approximately half of affected patients report an antecedent viral infection. Syncopal symptoms (lightheadedness, weakness, blurred vision) combined with symptoms of autonomic overactivity (palpitations, tremulousness, nausea) are common. Recurrent unexplained episodes of dysautonomia and fatigue also occur. The pathogenesis is unclear in most cases; hypovolemia, deconditioning, venous pooling, impaired brainstem regulation, or β-receptor super-sensitivity may play a role. In one affected individual, a mutation in the NE transporter, which resulted in impaired NE clearance from synapses, was responsible. Some cases are due to an underlying limited autonomic neuropathy. Although ~80% of patients improve, only one-quarter eventually resume their usual daily activities (including exercise and sports). Expansion of fluid volume and postural training (see “Treatment: Autonomic Failure”) are initial approaches to treatment. If these approaches are inadequate, then midodrine, fludrocortisone, phenobarbital, beta blockers, or clonidine may be used with some success. Reconditioning and a sustained exercise program are very important.
INHERITED DISORDERS
There are five known hereditary sensory and autonomic neuropathies (HSAN I–V). The most important ones are HSAN I and HSAN III (Riley-Day syndrome; familial dysautonomia). HSAN I is dominantly inherited and often presents as a distal small-fiber neuropathy (burning feet syndrome). The responsible gene, on chromosome 9q, is designated SPTLC1. SPTLC is an important enzyme in the regulation of ceramide. Cells from HSAN I patients affected by mutation of SPTLC1 produce higher-than-normal levels of glucosyl ceramide, perhaps triggering apoptosis.
HSAN III, an autosomal recessive disorder of infants and children that occurs among Ashkenazi Jews, is much less prevalent than HSAN I. Decreased tearing, hyperhidrosis, reduced sensitivity to pain, areflexia, absent fungiform papillae on the tongue, and labile BP may be present. Episodic abdominal crises and fever are common. Pathologic examination of nerves reveals a loss of small myelinated and unmyelinated nerve fibers. The defective gene, named IKBKAP, is also located on the long arm of chromosome 9. Pathogenic mutations may prevent normal transcription of important molecules in neural development.
PRIMARY HYPERHIDROSIS
This syndrome presents with excess sweating of the palms of the hands and soles of the feet. The disorder affects 0.6–1.0% of the population; the etiology is unclear, but there may be a genetic component. While not dangerous, the condition can be socially embarrassing (e.g., shaking hands) or disabling (e.g., inability to write without soiling the paper). Onset of symptoms is usually in adolescence; the condition tends to improve with age. Topical antiperspirants are occasionally helpful. More useful are potent anticholinergic drugs such as glycopyrrolate (1–2 mg PO tid). T2 ganglionectomy or sympathectomy is successful in >90% of patients with palmar hyperhidrosis. The advent of endoscopic transaxillary T2 sympathectomy has lowered the complication rate of the procedure. The most common postoperative complication is compensatory hyperhidrosis, which improves spontaneously over months; other potential complications include recurrent hyper-hidrosis (16%), Horner’s syndrome (<2%), gustatory sweating, wound infection, hemothorax, and intercostal neuralgia. Local injection of botulinum toxin has also been used to block cholinergic, postganglionic sympathetic fibers to sweat glands in patients with palmar hyperhidrosis. This approach is limited by the need for repetitive injections (the effect usually lasts 4 months before waning), pain with injection, the high cost of botulinum toxin, and the possibility of temporary intrinsic hand muscle weakness.
ACUTE AUTONOMIC SYNDROMES
The physician may be confronted occasionally with an acute autonomic syndrome, either acute autonomic failure (acute AAN syndrome) or a state of sympathetic overactivity. An autonomic storm is an acute state of sustained sympathetic surge that results in variable combinations of alterations in blood pressure and heart rate, body temperature, respiration, and sweating. Causes of autonomic storm are brain and spinal cord injury, toxins and drugs, autonomic neuropathy, and chemodectomas (e.g., pheochromocytoma).
Brain injury is most commonly a cause of autonomic storm following severe head trauma and in postresuscitation encephalopathy following anoxic-ischemic brain injury. Autonomic storm can also occur with other acute intracranial lesions such as hemorrhage, cerebral infarction, rapidly expanding tumors, subarachnoid hemorrhage, hydrocephalus, or (less commonly) an acute spinal cord lesion. Lesions involving the diencephalon may be more prone to present with dysautonomia, but the most consistent setting is that of an acute intracranial catastrophe of sufficient size and rapidity to produce a massive catecholaminergic surge. The surge can cause seizures, neurogenic pulmonary edema, and myocardial injury. Manifestations include fever, tachycardia, hypertension, tachypnea, hyperhidrosis, pupillary dilatation, and flushing. Lesions of the afferent limb of the baroreflex can result in milder recurrent autonomic storms; many of these follow neck irradiation.
Drugs and toxins may also be responsible, including sympathomimetics such as phenylpropanolamine, cocaine, amphetamines, and tricyclic antidepressants; tetanus; and, less often, botulinum. Phenylpropanolamine, now off the market, was in the past a potent cause of this syndrome. Cocaine, including “crack,” can cause a hypertensive state with CNS hyperstimulation. Tricyclic overdose, such as amitriptyline, can cause flushing, hypertension, tachycardia, fever, mydriasis, anhidrosis, and a toxic psychosis. Neuroleptic malignant syndrome refers to a syndrome of muscle rigidity, hyper-thermia, and hypertension in psychotic patients treated with phenothiazines.
The hyperadrenergic state with Guillain-Barré syndrome can produce a moderate autonomic storm. Pheochromocytoma presents with a paroxysmal or sustained hyperadrenergic state, headache, hyperhidrosis, palpitations, anxiety, tremulousness, and hypertension.
Management of autonomic storm includes ruling out other causes of autonomic instability, including malignant hyperthermia, porphyria, and epilepsy. Sepsis and encephalitis need to be excluded with appropriate studies. An electroencephalogram (EEG) should be done to detect epileptiform activity; MRI of the brain and spine is often necessary. The patient should be managed in an intensive care unit. Management with morphine sulphate (10 mg every 4 h) and labetalol (100–200 mg twice daily) have worked relatively well. Treatment may need to be maintained for several weeks. For chronic and milder autonomic storm, propranolol and/or clonidine can be effective.
MISCELLANEOUS
Other conditions associated with autonomic failure include infections, poisoning (organophosphates), malignancy, and aging. Disorders of the hypothalamus can affect autonomic function and produce abnormalities in temperature control, satiety, sexual function, and circadian rhythms (Chap. 38).
REFLEX SYMPATHETIC DYSTROPHY AND CAUSALGIA
The failure to identify a primary role of the ANS in the pathogenesis of these disorders has resulted in a change of nomenclature. Complex regional pain syndrome (CRPS) types I and II are now used in place of reflex sympathetic dystrophy (RSD) and causalgia, respectively.
CRPS type I is a regional pain syndrome that usually develops after tissue trauma. Examples of associated trauma include myocardial infarction, minor shoulder or limb injury, and stroke. Allodynia (the perception of a nonpainful stimulus as painful), hyperpathia (an exaggerated pain response to a painful stimulus), and spontaneous pain occur. The symptoms are unrelated to the severity of the initial trauma and are not confined to the distribution of a single peripheral nerve. CRPS type II is a regional pain syndrome that develops after injury to a specific peripheral nerve, usually a major nerve trunk. Spontaneous pain initially develops within the territory of the affected nerve but eventually may spread outside the nerve distribution.
Pain is the primary clinical feature of CRPS. Vasomotor dysfunction, sudomotor abnormalities, or focal edema may occur alone or in combination but must be present for diagnosis. Limb pain syndromes that do not meet these criteria are best classified as “limb pain—not otherwise specified.” In CRPS, localized sweating (increased resting sweat output) and changes in blood flow may produce temperature differences between affected and unaffected limbs.
CRPS type I (RSD) has classically been divided into three clinical phases but is now considered to be more variable. Phase I consists of pain and swelling in the distal extremity occurring within weeks to 3 months after the precipitating event. The pain is diffuse, spontaneous, and either burning, throbbing, or aching in quality. The involved extremity is warm and edematous, and the joints are tender. Increased sweating and hair growth develop. In phase II (3–6 months after onset), thin, shiny, cool skin appears. After an additional 3–6 months (phase III), atrophy of the skin and subcutaneous tissue plus flexion contractures complete the clinical picture.
The natural history of typical CRPS may be more benign than reflected in the literature. A variety of surgical and medical treatments have been developed, with conflicting reports of efficacy. Clinical trials suggest that early mobilization with physical therapy or a brief course of glucocorticoids may be helpful for CRPS type I. Other medical treatments include the use of adrenergic blockers, nonsteroidal anti-inflammatory drugs, calcium channel blockers, phenytoin, opioids, and calcitonin. Stellate ganglion blockade is a commonly used invasive technique that often provides temporary pain relief, but the efficacy of repetitive blocks is uncertain.
TREATMENT Autonomic Failure
Management of autonomic failure is aimed at specific treatment of the cause and alleviation of symptoms. Of particular importance is the removal of drugs or amelioration of underlying conditions that cause or aggravate the autonomic symptoms, especially in the elderly. For example, OH can be caused or aggravated by angiotensin-converting enzyme inhibitors, calcium channel-blocking agents, tricyclic antidepressants, levodopa, alcohol, or insulin. A summary of drugs that can cause OH by class, putative mechanism, and magnitude of the BP drop, is shown in Table 33-6.
PATIENT EDUCATION Only a minority of patients with OH require drug treatment. All patients should be taught the mechanisms of postural normotension (volume status, resistance and capacitance bed, autoregulation) and the nature of orthostatic stressors (time of day and the influence of meals, heat, standing, and exercise). Patients should learn to recognize orthostatic symptoms early (especially subtle cognitive symptoms, weakness, and fatigue) and to modify or avoid activities that provoke episodes. Other helpful measures may include keeping a BP log and dietary education (salt/fluids). Learning physical countermaneuvers that reduce standing OH and practicing postural and resistance training are helpful measures.
SYMPTOMATIC TREATMENT Nonpharmaco-logic approaches are summarized in Table 33-9. Adequate intake of salt and fluids to produce a voiding volume between 1.5 and 2.5 L of urine (containing >170 meq/L of Na+) each 24 h is essential. Sleeping with the head of the bed elevated will minimize the effects of supine nocturnal hypertension. Prolonged recumbency should be avoided when possible. Patients are advised to sit with legs dangling over the edge of the bed for several minutes before attempting to stand in the morning; other postural stresses should be similarly approached in a gradual manner. One maneuver that can reduce OH is leg-crossing with maintained contraction of leg muscles for 30 s; this compresses leg veins and increases systemic resistance. Compressive garments, such as compression stockings and abdominal binders, are helpful on occasion but uncomfortable for some patients. Anemia should be corrected with erythropoietin, administered subcutaneously at doses of 25–75 U/kg three times per week. The hematocrit increases after 2–6 weeks. A weekly maintenance dose is usually necessary. The increased intravascular volume that accompanies the rise in hematocrit can exacerbate supine hypertension.
TABLE 33-9
INITIAL TREATMENT OF ORTHOSTATIC HYPOTENSION (OH)

If these measures are not sufficient, drug treatment may be necessary. Midodrine, a directly acting α1-agonist that does not cross the blood-brain barrier, is effective. It has a duration of action of 2–4 h. The usual dose is 5–10 mg orally tid, but some patients respond best to a decremental dose (e.g., 15 mg on awakening, 10 mg at noon, and 5 mg in the afternoon). Midodrine should not be taken after 6 P.M. Side effects include pruritus, uncomfortable piloerection, and supine hypertension especially at higher doses. Pyridostigmine appears to improve OH without aggravating supine hypertension by enhancing ganglionic transmission (maximal when orthostatic, minimal supine). Fludrocortisone will reduce OH, but it aggravates supine hypertension. At doses between 0.1 mg/d and 0.3 mg bid orally, it enhances renal sodium conservation and increases the sensitivity of arterioles to NE. Susceptible patients may develop fluid overload, congestive heart failure, supine hypertension, or hypokalemia. Potassium supplements are often necessary with chronic administration of fludrocortisone. Sustained elevations of supine BP >180/110 mmHg should be avoided.
Postprandial OH may respond to several measures. Frequent, small, low-carbohydrate meals may diminish splanchnic shunting of blood after meals and reduce postprandial OH. Prostaglandin inhibitors (ibuprofen or indomethacin) taken with meals or midodrine (10 mg with the meal) can be helpful. The somatostatin analogue octreotide can be useful in the treatment of post-prandial syncope by inhibiting the release of gastrointestinal peptides that have vasodilator and hypotensive effects. The subcutaneous dose ranges from 25 μg bid to 200 μg tid.
The patient should be taught to self-treat transient worsening of OH. Drinking two 250-mL (8-oz) glasses of water can raise standing BP 20–30 mmHg for about 2 h, beginning ~20 min after the fluid load. The patient can increase intake of salt and fluids (bouillon treatment), increase use of physical countermaneuvers, temporarily resort to a full-body stocking (compression pressure 30–40 mmHg), or increase the dose of midodrine. Supine hypertension (>180/110 mmHg) can be self-treated by avoiding the supine position and reducing fludrocortisone. A daily glass of wine, if requested by the patient, can be taken shortly before bedtime. If these simple measures are not adequate, drugs to be considered include oral hydralazine (25 mg qhs), oral Procardia (10 mg qhs), or a nitroglycerin patch.