Goran Augustin1, 2
(1)
Department of Surgery Division of Gastrointestinal Surgery, University Hospital Center Zagreb, Zagreb, Croatia
(2)
School of Medicine University of Zagreb, Zagreb, Croatia
7.1 Intestinal Obstruction in General
Women in a state of pregnancy may be purged, if there be any urgent necessity (or, if the humors be in a state of orgasm?), from the fourth to the seventh month, but less so in the latter case. In the first and last periods it must be avoided. Hippocrates
Let an abdominal scar on a pregnant woman be a line of evidence denoting potential obstruction. Mathews and Mitchell
Intestinal obstruction in pregnancy is a consequence of broad spectrum of etiological factors as in nonpregnant population. According to the cause of obstruction, there is wide variety of therapeutic options available. Therefore, depending on the cause and the type and of surgical intervention, the prognosis for the mother and the fetus is also variable.
7.1.1 Historical Perspective
The first published case of bowel obstruction in pregnancy was by Houston in 1841 [1]. Ludwig [2] in 1913 and Mikulicz-Radecki in 1926 suggested periods of increased incidence of obstruction during pregnancy. Ludwig in 1913 collected 95 cases. Ley-Klotz et al. found tense band on the left flank of the gravid uterus causing mechanical obstruction with cecum was extremely distended and the rectum and sigmoid empty. A cecostomy was done, with recovery [3]. The first English language series was presented by Eliason and Erb in 1937 [4]. Two other major reviews included report of 150 cases by Goldthorp in 1966 [5] and an analysis of 64 cases by Perdue et al. [6]. The latter review included all cases published in the English literature from 1966 through 1991.
7.1.2 Incidence
Intestinal obstruction in both general and pregnant population includes small bowel and large bowel obstruction. Incidence varies from 1:1,500 to 1:66,431. Incidence started to increase after 1940 because more and more elective and emergent abdominal operations were performed and postoperative mortality decreased. In 1940, Smith and Bartlett reported incidence of 1/66,431 deliveries [7]. In 1948, Mathews and Mitchell reported 1/12,000 deliveries and Morris, in 1965, described 1/3,161 deliveries [8]. Isolated small bowel obstruction in the pregnant population is rare (1/17,000) [9]. This large range reflects the general failure to report this complication in the literature or some cases are published in the journals that are not indexed in the most searched medical databases. Major causes of intestinal obstruction in the pregnant women include adhesions, volvulus, and intussusceptions [10]. Mathews and Mitchell’s statement let an abdominal scar on a pregnant woman be a line of evidence denoting potential obstructionshould always be remembered by obstetricians and surgeons alike. Around 50 % had a previous appendectomy. Obstruction most commonly appears during the first pregnancy after surgery. Volvulus of the small bowel is responsible in 25 % of the cases, which is the most common precipitating factor [10]. Intestinal volvulus is responsible for 25 % of acute bowel obstructions in pregnant women but only 3–5 % in nonpregnant patients. The malrotation of the bowel makes it susceptible for volvulus [11]. There is increasing incidence during last century. This is due to:
· Older population getting pregnant
· Higher incidence of pregnant patients having previous abdominal operations
· Decreased postoperative mortality
· World population significantly increased during last 40 years
Table 7.1 shows increasing incidence in 5-year intervals in Queen Charlotte’s Hospital and District [8].
Table 7.1
Incidence of intestinal obstruction during pregnancy in Queen Charlotte’s Hospital and District, 1930–1964 [8]
|
Year |
Cases |
Rate |
|
1930–1934 |
1 |
1/19,940 |
|
1935–1939 |
2 |
1/8,919 |
|
1940–1944 |
1 |
1/12,214 |
|
1945–1949 |
1 |
1/18,445 |
|
1950–1954 |
5 |
1/3,494 |
|
1955–1959 |
6 |
1/2,888 |
|
1960–1964 |
5 |
1/3,161 |
There has been considerable controversy regarding the period in pregnancy when obstruction is most likely to occur. Both Ludwig (1913) and Mikulicz-Radecki (1926) suggested the following periods of increased incidence:
· During the fourth and fifth months when the uterus ascends from the pelvis
· During the eighth and ninth months when the fetal head descends into the pelvis
· During delivery and early puerperium when rapid involution uterine size occurs
Current reports show that most cases of intestinal obstruction in pregnancy present during the 3rd trimester [12–14].
7.1.3 Clinical Presentation
The problem with intestinal obstruction is a large scale of severity of obstructive symptoms and signs which depend upon:
· Location of the obstruction
· The degree of obstruction
· Rate of progression of obstruction
In the two largest reviews, the average length from the onset of symptoms to hospital admission ranged 48–84 h. Once admitted, an average of 48–60 h passed before definitive surgery was performed. An average delay of 4 days, reported in the more recent study, continues to remain a significant contributing factor to the high morbidity and mortality observed in the pregnant patient population. It is vital to remember that all colicky pain in pregnancy is not necessarily uterine in origin and, moreover, that premature labor can complicate intestinal obstruction and vice versa [15]. The difficulties in diagnosis and the penalties for improper conservatism are so great that laparotomy should be considered for any unusual pain.
7.1.4 Differential Diagnosis
In further text are listed the most common differential diagnoses in pregnancy that are managed conservatively. In sections with specific surgical causes of obstruction, important differential diagnosis is also analyzed.
7.1.4.1 Constipation
Disorders of the gastrointestinal tract are common in pregnancy. Constipation is one of the most common medical conditions affecting the general population with a prevalence of up to 30 % [16]. Constipation is second only to nausea as the most common gastrointestinal complaint in pregnancy. Patients with no history of bowel problems may develop constipation for the first time during pregnancy and, in addition, women who suffer with constipation prior to pregnancy will often find their symptoms are worse when pregnant. Anderson et al. reported that 38 and 20 % of women experienced constipation in the second and third trimesters, respectively [17]. More recent data from Marshall et al. reported that 35 % of women suffered from constipation during pregnancy [18]. This Irish study involving over 7,000 patients found that fewer primiparous women (35 %) suffered from constipation during pregnancy compared to multiparous women (39–42 %). A UK study prospectively evaluated 94 subjects using symptom diaries throughout pregnancy. Subjects were defined as functionally constipated when they exhibited two or more symptoms from the Rome diagnostic criteria (Table 7.2). The prevalence of functional constipation was 35, 39, 21, and 17 % in the first, second, third trimester, and postpartum period, respectively [20]. The same authors performed a separate prospective analysis of bowel habit during pregnancy [21]. Symptoms of incomplete evacuation were the highest in the first trimester (21 % decreasing to 12.5 % in the puerperium). Overall, the sensation of incomplete evacuation and the time spent defecating were higher in all three trimesters of pregnancy than in the puerperium. It was interesting to note that in this same group of subjects, sensations of urgency decreased as pregnancy proceeded and leveled off in the third trimester. Urgency increased by 24 % in the postpartum period compared with levels during gestation. There were no differences between lactating and non-lactating mothers. The causes of constipation in pregnancy are likely multifactorial. Dietary factors and lifestyle issues play a role, but factors such as hormonal and mechanical changes are also important. Investigations are aimed at excluding treatable disorders such as hypothyroidism or hypercalcemia. A full blood count, thyroid-stimulating hormone (TSH), serum calcium, and glucose should be performed in all patients presenting with constipation.
Table 7.2
Rome 3 criteria for the diagnosis of irritable bowel syndrome (criteria fulfilled for the last 3 months with symptom onset at least 6 months prior to diagnosis) [19]
|
1. Must include two or more of the following: |
|
Straining during at least 25 % of defecations |
|
Lumpy or hard stools in at least 25 % of defecations |
|
Sensation of incomplete evacuation for at least 25 % of defecations |
|
Sensation of anorectal obstruction/blockage for at least 25 % of defecations |
|
Manual maneuvers to facilitate at least 25 % of defecations (e.g., digital evacuation, support of the pelvic floor) |
|
<3 defecations per week |
|
2. Loose stools are rarely present without the use of laxatives |
|
3. Insufficient criteria for irritable bowel syndrome |
Constipation refers to difficulty in passing stool and infrequency of bowel motions, which is not secondary to an underlying cause [22]. The Rome criteria are a standard clinical measure of assessing chronic constipation but were not formulated with pregnancy-related constipation in mind (Table 7.2) [19]. Patients report symptoms relating to the frequency and difficulty in passage of stool that may not conform to strict diagnostic criteria. Patients may focus on symptoms such as straining, stools that are excessively hard, unproductive urges, and a feeling of incomplete evacuation. It is therefore possible that a patient may report constipation even when they pass a daily bowel motion. A simplified set of criteria for the diagnosis of constipation includes low frequency of stools (<3 per week), hard stools, and/or difficulties on evacuation of feces. These criteria are easier to use in routine clinical practice and are a good indicator of constipation in the pregnant woman.
As with any medication in pregnancy, laxatives should be used with caution (Table 7.3).
Table 7.3
Laxatives in pregnancy
|
Safe |
Caution |
Unsafe |
|
Lactulose |
Saline osmotic laxatives |
Anthraquinones (dantron) |
|
Glycerin |
Castor oil |
Tegaserod |
|
Polyethylene glycol (PEG) |
Senna |
|
|
Bulking agents |
Docusate sodium |
Anthraquinone laxatives such as dantron are associated with congenital malformations [23, 24]. Saline osmotic laxatives (magnesium citrate and sodium phosphate) can cause maternal sodium retention, while castor oil can initiate premature uterine contractions [25]. Mineral oils can theoretically affect maternal absorption of fat-soluble vitamins. In the case of vitamin K, this can lead to hypoprothrombinemia and hemorrhage [26]. Some laxatives can even produce neonatal diarrhea [25]. Stimulant laxatives such as senna should be used with caution in pregnancy because senna can be excreted in breast milk [27]. In general, the short-term use of stimulant laxatives is considered safe in pregnancy. However, as with the general population, long-term use should be avoided.
The American Gastroenterology Association (AGA) Position Statement considers polyethylene glycol (PEG) to be low risk in pregnancy and the preferred treatment for chronic constipation in pregnant women.
PEG acts as an osmotic laxative by opposing the dehydration of bowel contents that would ordinarily lead to increased stool bulk. The increased retention of water in the colon lubricates and softens the stools. There are data suggesting some absorption of PEG 3,350 in humans [28]. However, the small amounts (1–4 %) that are absorbed are excreted unchanged in the urine. Lactulose, glycerin, and sorbitol are generally considered safe. Animal studies of these agents have shown no evidence of teratogenicity.
Fiber-containing bulking agents such as Metamucil, Citrucel, and Perdiem are probably the safest laxatives to be used in pregnancy, as they are not systemically absorbed.
These agents take several days to exert their effects and are therefore not suitable for acute symptom relief. They are also contraindicated in fecal impaction. They can be used over long periods of time in patients with uncomplicated constipation. Adverse events related to bulking agents include excessive gas, cramps, and abdominal bloating.
7.1.4.2 Irritable Bowel Syndrome
Irritable bowel syndrome (IBS) is a functional bowel disorder, i.e., a disorder of gastrointestinal (GI) function in the absence of any known abnormality of structure. IBS is common, affecting 9–12 % of the general population, and is a common cause of work absenteeism. The Rome 3 criteria define IBS as the presence of abdominal pain associated with a change in either the frequency or form of stool [19]. These symptoms must be present on at least three occasions per month over a 3-month period. When the patient has hard or difficult to pass stools greater than 25 % of the time, with loose or watery stools less than 25 % of the time, the diagnosis is constipation-predominant IBS (IBS-C). IBS is more common in females and is most frequently diagnosed between 30 and 45 years (i.e., the main reproductive years). It is therefore easy to see how constipation-predominant IBS can overlap with gestational constipation.
Tegaserod is a 5HT4 agonist that has shown considerable promise as a treatment for constipation-predominant IBS. AGA initially considered tegaserod to be low risk in pregnancy [29]. However, recent evidence of an increased incidence of ischemic cardiac and cerebral events in patients using this medication has led to the US Food and Drug Administration (FDA) to request that sale of tegaserod be suspended. Safe drugs used for idiopathic constipation can be used in constipation-predominant IBS.
7.1.4.3 Postpartum Acute Intestinal Pseudo-obstruction (Ogilvie’s Syndrome)
Incidence and Risk Factors
Ogilvie’s syndrome (OS) was first described in 1948 [30] and is an acute colonic pseudo-obstruction without a mechanical cause. Acute colonic pseudo-obstruction (ACPO) is rare and has been reported as isolated case reports or small case series. It has most commonly been reported after pregnancy or Cesarean section [31], although has also been reported to occur after trauma, severe burns, abdominal and/or pelvic surgery, sepsis, electrolyte imbalance, spinal trauma/surgery, renal trauma/surgery/transplant, malignancy, congestive cardiac failure, and hip replacement and bed rest [32–36].
Pathophysiology
The pathophysiology of the condition is still unclear although one explanation is that an imbalance between sympathetic and parasympathetic innervations to the colon results in an overall excess in sympathetic activity [37]. Delgado-Aros and Camilleri [38] have summarized the pathophysiology of ACPO as follows: reflex motor inhibition through splanchnic afferents in response to noxious stimuli, excess sympathetic motor input to the gut (intestine does not contract), excess parasympathetic motor input to the gut (intestine does not relax), decreased parasympathetic motor input to the gut (intestine does not contract), excess stimulation of peripheral micro-opioid receptors by endogenous or exogenous opioids, and inhibition of nitric oxide release from inhibitory motoneurons. The mechanism of the condition is thought to involve loss of tone in the parasympathetic nerves S2 to S4. This, in turn, results in an atonic distal colon and pseudo-obstruction [39]. This explanation is given credence by the location of autonomic nerves close to structures at risk during Cesarean section, including the cervix and the vagina. Various sources report a cutoff sign relating to an area of dilated and collapsed bowel around the splenic flexure corresponding to the transition zone between the vagal and sacral parasympathetic nerve supplies [36, 40]. The cutoff sign is used to support the hypothesis of parasympathetic inhibition causing Ogilvie’s syndrome [36, 40]. However, it is likely that the true pathogenesis is multifactorial. Strecker et al. reported that the association between Ogilvie’s syndrome and vaginal delivery may be due to the declining serum estrogen levels in the postpartum period [41]. In the only other reported case of Ogilvie’s syndrome following normal vaginal delivery in the English literature, the histological findings of the cecum after right hemicolectomy showed no specific pathology [42].
Clinical Presentation
The diagnosis of Ogilvie’s syndrome is widely reported to be troublesome due to the nonspecific clinical features [42]. The common clinical feature is significant abdominal distention, and Jetmore et al. report no known cases of Ogilvie’s syndrome to have presented without distension of the abdomen [36]. Progressive abdominal distension is often painless at first. Importantly, bowel sounds are usually present and may be normal. Although patients may continue to pass small amounts of flatus or stool, colonic function is generally inadequate. Abdominal pain, tenderness, and low-grade fevers are also common, while nausea and vomiting are rare [38, 43, 44].
Diagnosis
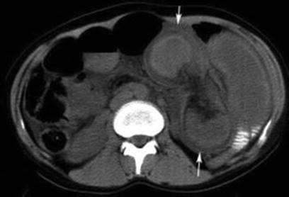
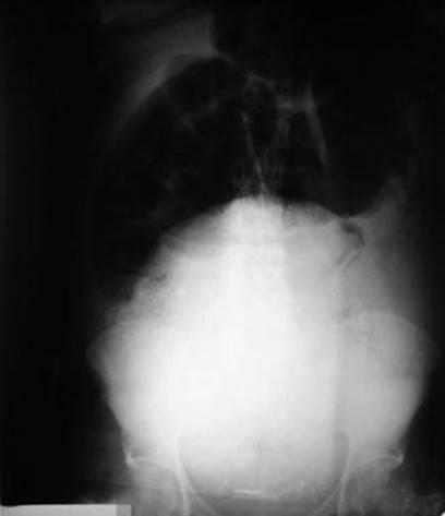
As with any case of suspected ileus or obstruction, electrolyte levels are an essential investigation, and in the 48 cases of Ogilvie’s syndrome reported by Jetmore et al., 83 % demonstrated at least one electrolyte disturbance with hypocalcaemia being the most common [36]. Plain abdominal radiographs are generally diagnostic with significant colonic distention (cecal diameter ≥7 cm), with minimal or no distention of the small intestine [38, 43–46]. Abdominal radiography is a standard first-line investigation, and Keswani et al. reported that a cecal diameter ≥9 cm (Fig. 7.1) is the “only definitive sign of imminent perforation” [42]. Serial plain abdominal X-ray is important for the definition of the progression along with WBC and CRP. CT can be used in doubtful cases to exclude other etiologies of obstruction (Fig. 7.2).

Fig. 7.1
Plain supine abdominal radiograph showing widespread colonic dilatation with no free air [47]

Fig. 7.2
Abdominal computed tomography image showing widespread colonic dilatation with maximum cecal diameter of 8 cm [47]
Conservative (Medical) Management
Initial management should include intravenous fluid therapy and nasogastric suction. Patients should be fasting; if possible, all narcotic analgesics should be stopped. Colonoscopic decompression is successful in the majority of cases, unless signs of peritonism are evident, although recurrence is common [36]. Pharmacological treatment includes naloxone, cholinergic stimulation with neostigmine or erythromycin, and cisapride although the benefit in cases of idiopathic Ogilvie’s syndrome is not certain [40]. With regard to postpartum patients, Strecker et al. support the use of laxatives in the postpartum period and stress the importance of early diagnosis [41].
The most important potential complication of the condition is large bowel perforation with subsequent fecal peritonitis and associated high mortality [48]. Several cases of colonic perforation secondary to Ogilvie’s syndrome have been reported following Caesarian section [47, 49], but only two reports in the English literature describing the condition after “normal” vaginal delivery [42]. One of these patients had third-degree tear during delivery, which requires suturing in the operating room. The patient had been commenced on laxatives following the repair of the perineal tear and showed no symptoms of perineal sepsis. She presented with Ogilvie’s syndrome 5 days after vaginal delivery [50].
Surgical Treatment
Surgical treatment is indicated when:
· Cecal diameter >9 cm
· Progression of cecal distention or failure of resolution after several days
· Evidence of perforation
· Unsuccessful colonoscopy
· Recurrence after successful colonoscopy
Mostly, perforation occurs at the right colon and cecum according to Laplace’s law. Surgical treatment comprises either cecostomy (preferred with appendectomy) or, if ischemic bowel is present, limited right hemicolectomy with or without primary anastomosis (Fig. 7.3).

Fig. 7.3
Cecum with 4 × 4 cm perforation (with no evidence of acute appendicitis or colitis) with surrounding exudate [50]
7.1.5 Therapy
Conservative and surgical therapy for intestinal obstruction during pregnancy is discussed for every disease specifically throughout the chapter. One of the modalities of conservative strategy is described here because if inadequately administered could cause many side effects.
7.1.5.1 Total Parenteral Nutrition and Refeeding Syndrome
Refeeding syndrome was first recognized during World War II, when returning prisoners of the Japanese who had been starved rapidly developed neurological and cardiovascular abnormalities after the institution of a normal diet [51].
Pathophysiology
The pathophysiology of refeeding syndrome relates to the rapid rise in insulin production following a carbohydrate or protein shock, when protein calories are administered at a rate above which the patient can tolerate. This can occur in those receiving even moderate dietary intake depending on their underlying nutritional, metabolic, or physical condition and may arise with administration of glucose alone. This insulin release, associated with possible increased insulin sensitivity, leads to increased cellular uptake of glucose, fluid, and electrolytes with associated altered plasma availability of electrolytes. Refeeding syndrome can manifest as either metabolic changes (hypokalemia, hypophosphatemia, hypomagnesemia, altered glucose metabolism, and fluid balance abnormalities) or physiological changes (i.e., arrhythmias, altered level of consciousness, seizures, cardiac or respiratory depression) and potentially death [52].
Total Parenteral Nutrition in Pregnancy
Total parenteral nutrition has been used successfully in pregnant women with hyperemesis gravidarum, postintestinal surgery, and acute pancreatitis [6]. In 1988, Levine and Esser reported that maternal and neonatal outcomes measured by adequate maternal weight gain and fetal growth were not compromised by total parenteral nutrition [53]. In pregnant women, Lee et al. stated that the average daily intake through total parenteral nutrition should be 2,430 kcal [54]. However, it is better to increase daily calories to avoid the refeeding syndrome.
Two algorithms are presented for initial management (Table 7.4) and for monitoring (Table 7.5) of refeeding syndrome from the Drug Therapy Guideline No: 46.00 Issued: 10.10.07 Refeeding Syndrome Guideline (NHS trust):
Table 7.4
Initial management of refeeding syndrome
|
1. Identification and treatment of sepsis |
|
May not be clinically apparent but may explain an acute deterioration |
|
Low threshold for septic screen |
|
Low threshold for broad-spectrum antibiotics (orally or via NG tube if possible) |
|
2. Fluid resuscitation and monitoring fluid balance |
|
Assess and carefully restore circulatory volume, monitor pulse rate, fluid intake, and output |
|
Malnourished patients have a reduced tolerance of intravenous fluids in moderate to high intakes (>2 L/24 h) that can lead to heart failure |
|
Administration of intravenous fluids may be necessary in the initial 72 h until sufficient oral intake is achieved |
|
If evidence of dehydration, for careful rehydration, i.e., 1–2 l in the first 24 h depending on response. Greater volumes only if severely dehydrated |
|
Total fluid intake (including intravenous, enteral, and oral) should aim for a maximum of 30 ml/kg per day (≤1.5 L) |
|
At least 6 hourly monitoring of blood pressure, pulse, and respiratory rate is necessary to detect evidence of heart failure or inadequate intravascular volume |
|
3. Correction of electrolyte abnormalities |
|
Ensure recent (last 48 h) electrolyte levels are available. These should include urea and electrolytes, phosphate, calcium, magnesium (add to standard blood profile), liver function tests, full blood count |
|
If electrolytes are deranged consider and treat possible causes |
|
Perform ECG if: potassium is less than 3.5 mmol/l or phosphate is less than 0.80 mmol/l |
|
Organize supplementation if: phosphate <0.8 mmol/l, K <3.5 mmol/l, Mg <0.5 mmol/l, or adjusted Ca <2.0 mmol/l |
|
Caution should be used in renal patients due to the reduced excretion of these electrolytes |
|
If very low plasma electrolyte values are demonstrated, e.g., phosphate <0.32 mmol/l, |
|
K <2.5 mmol/l, Mg <0.5 mmol/l, then the institution of feeding or nutritional support may result in a further drop of these electrolytes to possibly critical levels. Electrolyte correction with oral or intravenous supplementation is required to achieve levels above these thresholds before the institution of feeding |
|
4. Correction of hypoglycemia/blood sugar control |
|
Monitor blood glucose once to twice daily unless more frequent tests are indicated (i.e., for those patients with known diabetes or IGT) |
|
If hypoglycemic replace intravenous fluids with 5 % glucose |
|
5. Management of hypothermia |
|
Monitor body, and if necessary core, temperature at least daily |
|
Hypothermia is commonly associated with malnutrition. Its correction should be simultaneous with fluid rehydration and can include provision of heated drinks and blankets |
|
6. Correction/prevention of micronutrient deficiencies |
|
Administer thiamine 100 mg orally or crushed via feeding tube three times daily for 10 days or until recommended feeding rate reached with the first dose being administered at least 30 min before instituting feeding |
|
If enteral route not available, patient has anorexia nervosa or has chronic alcoholism; administer Pabrinex IVHP – one pair of ampoules 30 min before instituting feeding and then daily until recommended feeding rate reached |
|
Administer vitamin B compound strong (one tablet three times daily) and Sanatogen Gold (one tablet daily) orally or crushed via feeding tube |
Table 7.5
Monitoring of patients with suspected or proven refeeding syndrome (minimum 72 h)
|
Monitor until levels in reference range or patient on stable feeding regimen |
|
Serum urea and electrolytes, adjusted calcium, phosphate, liver function tests at least daily |
|
Serum magnesium baseline, every 3 days, and then weekly once stable |
|
Fluid balance daily |
|
Blood glucose once to twice daily unless more frequent tests are indicated |
|
Temperature, pulse, respiration, heart rate; daily |
|
Blood pressure 6 hourly |
|
ECG if abnormal heart rate or pulse. If evidence of cardiac abnormalities on assessment or during refeeding patient will require cardiac monitoring. If necessary transfer to appropriate ward |
Clinical deterioration may reflect over rapid feeding, too little is always safer than too much, halve rate of feeding and observe
7.1.6 Prognosis
7.1.6.1 Maternal and Fetal Outcome
In a review on intestinal obstruction during pregnancy in 1937, maternal mortality rate was 21 % and fetal mortality rate 50 % [6]. It should be noted that intestinal obstruction includes broad spectrum of etiological factors and not only obstruction but primary cause of the obstruction determinate prognosis. Because of the delay in diagnosis and the reluctance to operate on pregnant women, maternal mortality rate was high. Bellingham et al. [55] reported premature labor with subsequent neonatal death in 33 % (2/6) of their patients with second trimester obstruction, whereas Harer and Harer [56] reported 47 % perinatal loss in the third trimester obstruction. Hypoxia and hypotension during anesthesia should be prevented as these are the most common causes of fetal death. Morris in 1965 reported a mortality rate of 11.5 % among 26 patients [8]. There are few data of the fetal outcome in the collected series during the first half of the twentieth century.
7.2 Intussusception
7.2.1 General Considerations
Intussusception was usually fatal until early twentieth century. John Hunter described the clinicopathological characteristics. Sir Fredrick Treves, an eminent nineteenth-century surgeon described the plan of treatment, which by and large remains valid to date [57]. Adult intussusception is rare. It is expected to be found in 1/30,000 of all hospital admissions [58], 1/1,300 of all abdominal operations [58], 1/30–1/100 of all cases operated for intestinal obstruction [58, 59], and one case of adult intussusception for every 20 childhood ones. The mean age at presentation tends to be in the sixth decade of life [58–62]. Higher age at intussusception may point to underlying malignancy since the mean age for benign cases is 44 years as opposed to 60 years for the malignant [60]. It may be acute or chronic (persistent or intermittent) in addition to being “silent” [63, 64]. The chronic intussusception may have lasted in some instances for a year before the diagnosis. The male-to-female ratio is 1:1–1.3 [65]. This entity can be classified into four distinct categories [60]:
· Enteric, in which the intussusception is confined to the small bowel
· Ileocolic, in which the ileum invaginates through a fixed ileocecal valve
· Ileocecal, in which the ileocecal valve itself is the lead point for the intussusception
· Colocolic, in which the lead point is restricted to the colon
Intussusception (invagination of one part of the bowel into another) is largely a disease of children with only about 5 % of all cases of intussusception occurring in adults. About 80–90 % of intussusceptions in adults are secondary to an underlying pathology typically associated with tumors, granuloma formation, a foreign body, or an anatomic defect. Small bowel intussusceptions in adults are secondary to benign lesions in most cases, with malignant lesions causing 15 % of cases and idiopathic intussusceptions accounting for approximately 10–20 % [66]. Although in small bowel intussusception in adults surgical intervention is considered necessary when patients are symptomatic, many asymptomatic and likely transient intussusceptions may be incidentally detected on CT. When self-limited, they do not require surgical therapy [67].
7.2.2 History
First known cases described are intussusception of the rectum in pregnancy by Berthold Ernest Hadra (Fig. 7.7) and another from 1914 by Williamson. The second case is a 26-year-old woman in 34th week of her second pregnancy. Before first pregnancy, she was twice operated due to peptic ulcer, and one of the operations was gastroenterostomy. She died during diagnostic workup, 2 days after expelling stillbirth [68].
7.2.3 Incidence
7.2.3.1 Pregnancy
The incidence of intussusception is not different between pregnant women and the nonpregnant adult population [69]. The rate of intussusception as a cause of intestinal obstruction averages as high as 6 % [70]. The most common type of intussusception occurring in pregnancy or the puerperium is ileocecal [69], and Meckel’s diverticulum is the most common precipitating factor of intussusception in pregnant women. Chaffen, Mason, and Slemons collected 20 cases which were associated with pregnancy either before labor, at labor, or in the puerperium [71]. In the study by Chiedozie et al., 30 % (3/10) of cases of intestinal obstruction were caused by intussusception [12]. In pregnancy the most common precipitating factor of intussusception is a Meckel’s diverticulum [72]. There are only several cases of primary intussusception in pregnancy published. Probably this is due to bimodal incidence of intussusception – in the childhood and with increasing incidence during life with second peak in the sixth decade of life.
Postoperative invaginations should also be mentioned, one of the first published by Williamson (see Sect. 7.2.2) [68].
7.2.3.2 Puerperium
Even a case of idiopathic intussusception in puerperium after normal vaginal delivery is published [73]. Another two cases of post-Cesarean section intussusception are published. One case is secondary to colonic adenocarcinoma and another of idiopathic intussusception of 27-year-old women with preeclampsia with ileoileal invagination 80 cm proximal to the ileocecal valve which was manually reduced [74].
7.2.4 Etiology
Currently, it is not known how does pregnancy contribute to the development of intussusception or is it just a coincidence. There are several more cases published on PubMed but without abstract and important data for further analysis are therefore missing. It should be noted that most of these patients were in advanced pregnancy.
The cause of intussusceptions in adults varies by location. Large bowel lead points are more frequently malignant than small bowel lead points. The small bowel leading points are hamartomas, lipomas, leiomyomas, neurofibromas, adenomas, inflammatory polyps, Peutz-Jeghers syndrome, Meckel’s diverticulum, parasitic infestation, and adhesions [75–77]. One patient in 34 weeks’ gestation underwent a right hemicolectomy, and no pathologic or anatomically anomalous lead point was identified intraoperatively or on final pathology [78]. Another patient in 33 weeks of gestation had an ileoileal intussusception without a lead point. Histology of the resected bowel segment showed hemorrhagic infarction without evidence of malignancy [14]. Third case is [79]. Fourth patient in 20th week pregnancy had jejunojejunal intussusception with resection and anastomosis [80]. Fifth patient was diagnosed in 19th week but had previously two attacks that were unrecognized [81]. Sixth is patient in 30th week of pregnancy with jejunojejunal intussusception due to hamartomatous polyp [72] and another with benign neurilemmoma in 35th week of pregnancy [82]. The earliest patient was in 17th week of pregnancy [83]. There are two cases of heterotopic pancreas causing intussusception during pregnancy. It is postulated that there is relationship of the enlargement of a heterotopic pancreas with the hormonal changes in gestation [84]. The first case described gastric outlet obstruction [84] and other ileoileal intussusception (Figs. 7.4 and 7.5) caused by a heterotopic pancreas in a pregnant woman [85].

Fig. 7.4
The resected necrotic specimen of the intussusception. The white arrow shows the invagination point [85]

Fig. 7.5
Mature exocrine pancreatic tissue within the intestinal wall with atrophic overlying mucosa (arrowheads) and a duct draining into the intestinal lumen (arrow) (H&E, original magnification 40×) [85]
There are two cases of primary non-Hodgkin’s lymphoma as intussuscipiens [86], one with the definitive diagnosis made at the time of Cesarean section [87].
7.2.5 Pathophysiology
It is generally believed that masses in the bowel or lumen act as an irritant and provoke abnormal peristaltic movement, which may lead to the telescoping of one bowel segment over the adjacent segment. Intussusception appears as a complex soft tissue mass consisting of the outer intussuscipiens and the central intussusceptum (Fig. 7.6). Any tumor acting as the lead point of an intussusception may be outlined distal to the tapered lumen of the intussusceptum.

Fig. 7.6
Schematic drawings of intussusception. Longitudinal and serial cross-sectional diagrams of intussusception show invagination of one segment of gastrointestinal tract (intussusceptum) (thick solid arrows) into adjacent segment (intussuscipiens) (open arrows). Proximal cross-sectional diagram of intussusception (bottom right) shows two layers, although classic appearance of three layers (middle bottom) is shown in midportion of intussusception. Note invagination of mesentery, mesenteric vessels (arrowheads), and hyperplasic mesenteric lymph nodes (thin solid arrows). LP lead point, Mmesentery [88]
Intussusception of the rectum in pregnancy is a malady to which Berthold Ernest Hadra (Fig. 7.7) calls attention in The Richmond and Louisville Medical Journal of December 1876. The long-standing obstipation, common in pregnancy, as well as the direct pressure exerted by the gravid womb upon the rectum in the direction of the sacrum, tends to produce this entity.

Fig. 7.7
Berthold Ernest Hadra (1842–1903), physician and surgeon, was born near Breslau, Prussia (now Wroclaw, Poland). He obtained his medical education from the universities of Breslau and Berlin. He was appointed chairman of Surgery at Texas Medical College at Galveston in 1888 and helped to transform that institution into what is now known as the University of Texas Medical Branch at Galveston. He received international respect for his pioneer work in the fields of surgery and gynecology (Courtesy of American Association of Neurological Surgeons, 2004)
7.2.6 Clinical Presentation
The clinical presentation of adult intussusception varies considerably. Presentation depends on the location of intussusception, rapidity of obstruction, and additional symptoms and signs especially if the process is malignant. The most common symptoms of intussusception are abdominal pain, nausea, and vomiting; less frequent symptoms are melena, weight loss, fever, and constipation [66]. Symptoms are usually of long duration (several weeks to several months), although the patient may occasionally present with an acute abdomen [66]. Common physical findings include abdominal distention, decreased or absent bowel sounds, and abdominal mass [60, 89, 90]. Specifically, making a diagnosis of intussusception in adults is equally tasking because the classical pediatric triad of intussusception (acute abdominal pain, palpable sausage-shaped mass, and “red currant jelly” stools) is seldom observed in adults. However, in a woman with a gravid uterus and especially at advanced stage of gestation, it may not be possible to palpate a mass [14]. Palpable mass can be found especially during early gestation [91]. A malignant cause of intussusception is more likely to present with a shorter duration of symptoms [92]. The implication of these is that there is often a delay in making a diagnosis of intestinal obstruction in pregnancy and such delay is even worse making a diagnosis of intussusception in pregnancy [93]. Sometimes the symptoms can resolve but can recur during same pregnancy [14].
Symptoms of the intussusception of the rectum are very frequent stools, small, slimy and more or less mixed with blood, and uncontrolled by internal medication, tenesmus, and absence of fever. Examination by the rectum (anoscopy or rectoscopy) easily reveals the intussuscepted fold.
Additional diagnostic problem is when obstructive symptoms present in the puerperium. Symptomatology is the same as in general or pregnant population after normal vaginal delivery [73] or Cesarean section [74]. Suspicion should be raised if abdominal pain or distension occurs after a period of normal post-Cesarean section course or normal vaginal delivery. Difficulties after Cesarean section are encountered because (1) symptoms are attributed to incisional pain and (2) ileus is attributed to early postoperative ileus [94]. It should be kept in mind that idiopathic postoperative intussusception is more common after abdominal operations and usually occurs within 2 weeks following surgery.
7.2.7 Diagnosis
In the 11 reported cases of intussusception in pregnancy in the past 25 years, 55 % (6/11) were diagnosed preoperatively. Three cases were diagnosed by abdominal ultrasound [83], one by plain abdominal X-ray postdelivery, and one by abdominal MRI [70, 72, 81, 83].
Abdominal sonography can make the diagnosis of an intussusception in an adult when the characteristic sign of a “target-like” lesion or “bull’s eye” lesion is shown, similar to the CT findings, and is sometimes enough for the definitive diagnosis [83]. The classic features of intussusception include “target,” “doughnut,” or “crescent-in-doughnut” signs on a transverse view and the “pseudokidney” sign in the longitudinal view (Fig. 7.8), or multiple concentric rings of intussusceptum (Fig. 7.9) or multiple concentric vascular signals in thickened intussuscipiens (Fig. 7.10) [72, 73, 95–97]. The central echogenic area is produced by the mucosa of the intussusception, which is surrounded by a hypoechoic ring representing the walls of both the intussusceptum and the intussuscipiens [98]. This variability in appearance is largely due to the scanning level, the amount of intussuscepted mesentery, the degree of bowel wall edema, and the presence of a pathologic lead point and lymph nodes. Ultrasound is an operator-dependent technique whose utility may be limited by obesity and air in distended bowel loops.

Fig. 7.8
(a) Transverse abdominal sonography: in the left lower quadrant, a “bull’s eye” or “doughnut” image with an echogenic center and a translucent rim (arrows) is visible. (b) Longitudinal ultrasound scan showing the “pseudokidney” sign, representing the appearance of the intussusceptum and intussuscipiens (arrows) [73]

Fig. 7.9
Jejunojejunal intussusception during late pregnancy in a 33-year-old woman. Transverse gray-scale sonogram showing multiple concentric rings (arrows) representing multiple layers of the innermost intussusceptum, intervening mesenteric fat, and vessels and outer intussuscipiens at the left of the fetal abdomen (arrowheads) [72]

Fig. 7.10
Jejunojejunal intussusception during late pregnancy in a 33-year-old woman. Transverse color Doppler sonogram showing multiple concentric vascular signals in thickened intussuscipiens (arrows) and some vascular spots in the hypoechoic intussusceptum (arrowheads) and echogenic mesentery [72]
Intussusception is well diagnosed on abdominal CT, which shows a pathognomonic bowel-within-bowel configuration with or without contained fat and mesenteric vessels [99]. Intussusception appears as a sausage-shaped mass when the CT beam is parallel to its longitudinal axis but as a target-like mass when the beam is perpendicular to the longitudinal axis [66]. With the increasing use of ultrasound, CT, and improved methods for examining the small bowel, intussusception is currently diagnosed more frequently before operations (Fig. 7.11). Currently, instead of CT scan, MRI is used to eliminate ionizing radiation (Figs. 7.12 and 7.13).

Fig. 7.11
Oral contrast-enhanced CT showing a round “target-shaped” mass in the left mid-abdomen consisting of different densities with distended fluid-filled small bowel loops (arrows) [73]

Fig. 7.12
A 31-year-old woman at 23 weeks’ gestation with severe left-sided abdominal pain. Sagittal (a) and transverse (b) images show intussusception of small bowel in the left upper quadrant. Note dilated loops of small bowel and free fluid [100]

Fig. 7.13
Magnetic resonance image of intussusception in the epigastric region, with the gravid uterus inferior to and separate from the mass [81]
Barium reflux in the lumen of the space between the intussusceptum and intussuscipiens allows the coiled spring to be visualized.
Abdominal MRI was first used to define intussusception during pregnancy in 1992 [70]. In the study by Chiedozie et al. [12], two of the three patients that had intussusception did not have any leading point, and in the case by Osime et al. the leading point was not found (patient had previous appendectomy) [14].
In the puerperium, all imaging diagnostic modalities could be used for the diagnosis. Plain abdominal X-rays, abdominal ultrasound, and abdominal CT were used in all three patients presented after delivery [73, 74, 94].
7.2.8 Therapy
Therapeutic principles for intussusception are the same as in nonpregnant population. There are two important principles of treatment. First is to solve the intussusception itself and second to treat the cause of the intussusception if indicated. Most adults with intussusception require surgery to clarify the etiology of the lead point. Treatment usually requires resection of the involved bowel segment [73]. Reduction can be attempted in small-bowel intussusception if the segment involved is viable and if malignancy is not suspected [74]. If the leading point is present, it should always be resected because further therapy depends on the pathohistological diagnosis (Fig. 7.14). Recently, laparoscopic exploration is used to minimize abdominal wall trauma and shorten postoperative hospital stay [74]. This is important to facilitate earlier return to normal life and maternal care about newborn baby.

Fig. 7.14
Jejunojejunal intussusception during late pregnancy in a 33-year-old woman. Jejunojejunal intussusception of about 80 cm in length shown as a sausage-shaped mass comprising the swollen intussuscipiens with an invaginating intussusceptum of more proximal loops. Pedunculated polypoid mass was hamartomatous polyp [72]
In colonic intussusception, malignancy and resection are more likely. Therapeutic barium enema can be tried in a few selected cases where the underlying pathology is known [101]. In some patients, small-bowel intussusception may be an incidental finding. Careful observation may be indicated if imaging does not reveal an identifiable lead point, vascular compromise, or bowel obstruction [102]. Almost all patients were explored by laparotomy but laparoscopy could also be performed with all its advantages [103].
Rectal intussusception treatment in 1879 (see Sect. 7.2.5) consisted in copious injections of cold water made with considerable force. These unfolded the invagination and produced natural dejections.
7.2.9 Prognosis
As early as 1937, it was stated that the mortality was definitely higher in all stages of pregnancy [71]. Prognosis depends on the state of the bowel. If the resection is not necessary (viable bowel without the lead point), the prognosis is excellent. If resection due to ischemic bowel is necessary, prognosis is still excellent. Higher rates of spontaneous abortion and preterm labor are present if perforation with peritonitis occurs.
If intussusception presents during puerperium, clinicians easily indicate diagnostic imaging modalities such as plain abdominal X-rays or abdominal CT scan; therefore, diagnosis is made earlier and more accurately. Two patients with ileoileal intussusception (one with small bowel resection [73] and another with manual reduction [74]) and one patient with malignant colonic intussusception [94] were alive after the operation.
7.3 Uterine Perforation After Surgical Abortion
7.3.1 Introduction
Let alone the fact that abortion is an extremely sensitive topic everywhere, it is perhaps unreasonable to expect reliable data about abortion practices in a country such as India where even vital registration – the recording of births, deaths, and marriages – is far from complete and accurate [104]. Most illegal abortions are conducted in the rural areas of developing nations without adequate facilities and by persons with no knowledge of anatomy who operate with non-sterile instruments with increased percentage of mortality and morbidity [105–109]. One important, although rare, complication is small bowel obstruction through uterine wall perforation. Obstructions of the large intestine are rare due to its fixed position; therefore, complications with large bowel mostly include instrumental perforations.
One of the first published cases of small bowel obstruction in the form of evisceration through vaginal introitus is from 1949 by Haddad [110], and several more similar cases were published up to 1967 [111, 112]. The most data in this section are from the most recent review article by Augustin et al. published in 2013 with most cases from 1907 to 2012 [113].
7.3.2 Incidence
First trimester surgical abortion (as opposed to prostaglandin medical abortion) is one of the most frequently performed procedures in the United States: 853,485 procedures were performed in 2001 [114]. In a large study evaluating morbidity secondary to first trimester surgical abortion, Hakim-Elahi et al. reported minor complications managed as an outpatient procedures (0.846 %), including mild infection, resuctioning on the day of procedure or subsequent resuction, cervical stenosis, cervical tear, underestimation of gestational age, and convulsive seizure after local anesthesia [115]. Major complications requiring hospitalization after a first trimester surgical abortion (0.071 %) included incomplete abortion, sepsis, uterine perforation, vaginal bleeding, inability to complete abortion, and combined (heterotopic) pregnancy. Uterine perforation during abortion is rare, with a reported rate of 0.05–1.9 % [116–119].
There are, fortunately, around 30 case reports of small bowel obstruction through uterine perforation after vacuum abortion, surgical abortion, or unsafe abortion published. All cases were during the first trimester except one which occurred in the second trimester [120]. The distribution through the trimesters is contrary to the fact that second trimester abortion has a higher rate of complications than abortions performed in the first trimester [117, 119, 121].
Extremely rare incidence of small bowel obstruction after uterine perforation due to surgical abortion is due to:
· Rare occurrence of instrumental uterine perforation
· Spontaneous healing of most (recognized and unrecognized) uterine perforations without further complications [122]
· Immediate laparotomy/laparoscopy in 47–84 % of cases with recognized complicated uterine perforation [118]
· Unknown number of cases not published in the medical literature
· Prehospital mortality, especially in undeveloped countries [123]
7.3.3 Risk Factors
In an attempt to identify factors potentially leading to uterine perforation, several authors determined that the level of training was the strongest statistically significant risk factor for perforation [124, 125]. Other factors were advanced maternal age, greater parity, retroverted uterus, history of prior abortion or Cesarean section, history of previous cone biopsy, failure to use ultrasound, and underestimation of the duration of pregnancy [116, 117, 119, 126, 127]. Amarin and Badria concluded that uterine perforations were mostly located at the uterine fundus, presumably caused by the introduction of cervical dilators [128]. Hence, difficulty during cervical dilatation also has been associated with a higher perforation rate, and some authors recommend prostaglandin use to aid in dilatation of the cervix [117, 119]. Additionally, prostaglandins have the benefit of contracting the uterus, which may help decrease the perforation rate [118]. Currently, there are no known risk factors for small bowel obstruction after uterine perforation. Unfortunately, there are insufficient data for the conclusions, but three factors could cause the increase of the incidence [113]:
· Failed medical abortion [126, 129]
· Curettage for retained parts of the placenta after previous pregnancy [130]
· Diameter of uterine perforation
· Multiple pregnancies
7.3.4 Mechanisms of Small Bowel Obstruction
There are several mechanisms of small bowel obstruction after uterine perforation. Most common is due to small bowel prolapse (Fig. 7.15) through uterine perforation mostly due to inadvertent aspiration [120, 131–135] with the most extensive type when the small bowel loops are pulled out of vaginal introitus (Fig. 7.16) [123, 124, 129, 136–140].

Fig. 7.15
Intraoperative photograph demonstrates a defect in the anterior myometrium of the uterus (UT) at the level of the left round ligament (RL), through which the small bowel (SB) has become incarcerated [131]

Fig. 7.16
Congested and edematous intestinal loops pulled out of vaginal introitus 2 h following evacuation of the uterus done for an incomplete abortion [136]
Second mechanism is where uterine perforation contains incarcerated herniated omentum and a band attached to the omentum strangulates a segment of the extrauterine small bowel, producing obstruction (Fig. 7.17) [116].

Fig. 7.17
Intraoperative photographs showing greater omentum incarcerated through the anterior wall defect of the uterus [141]
The third mechanism is when the small bowel is entrapped in adhesions at the site of uterine perforation [142]. Fourth mechanism is Richter hernia-type obstruction when the antimesenteric wall of the intestine protrudes through a defect in the uterine wall [134]. Explanation for symptomless Richter type of small bowel obstruction follows. During the first pregnancy (2 years previously), a dilatation and curettage had been performed 4 weeks after delivery to remove the retained placenta. During instrumentation, the uterine wall perforation occurred with formation of Richter type of hernia but without ischemia of the small bowel wall. In this second pregnancy at advanced stage, growing uterus that made compression and occlusion of the small bowel that was fixated to the uterus previously as Richter type of hernia (Fig. 7.18) [130].

Fig. 7.18
Richter type of hernia when the antimesenteric wall of the intestine protrudes through a defect in the uterine wall causing partial obstruction which evolves to complete obstruction during subsequent pregnancy [130]
It is important to note that most (83 %) large-bowel injuries were associated with posterior uterine wall perforation, whereas 60 % of the small-bowel injuries were associated with anterior wall or uterine fundus perforation [109].
7.3.5 Clinical Presentation
The uterine perforations are usually recognized at the time of the dilatation and curettage. If unrecognized, majority of patients have uncomplicated course with spontaneous healing of uterine perforations (see Sect. 7.3.2). The type and time of presentation depend on two pathophysiologic processes that could coexist (iatrogenic bowel perforation is excluded):
1.
2.
Ad 1. The mechanism of small bowel obstruction dictates the severity, intensity, and time of presentation of obstruction. If adhesions are the cause of partial or progressive small bowel obstruction than nonspecific symptoms including abdominal pain with/without distension, vomiting, (paradoxical) diarrhea, or absence of flatus and/or stool is present. Fever and chills are present in the advanced stage when small bowel gangrene ensues. A serious consideration of this possibility is necessary, as the intrauterine location of strangulated bowel may mask the characteristic peritoneal signs [116]. Ischemic bowel perforation should be pathopysiologically differentiated from the direct bowel injury during instrumental uterine perforation. Such injuries develop clinical picture mostly within few hours after the procedure [144]. In the study by Augustin et al., duration of symptoms due to adhesions was from 4 days to 4 months in four patients [113]. These symptoms cause the delay in diagnosis because the patients with partial obstruction are commonly managed conservatively [135]. Presentation after 2 years was due to Richter type of hernia. Presentation of Richter hernia is not predictable. It can incarcerate initially with early presentation or other pathophysiologic event should be present for initiation of obstruction. Probably it depends partly on the size of uterine perforation. Such mechanism of delayed presentation was present in one patient [130]. If the incarceration of the bowel through uterine wall is present and not recognized during abortion and if complete obstruction due to bowel prolapse through the uterine wall is the cause, then all patients presented 1–48 h after uterine instrumentation [113]. If the small bowel is prolapsed in a form of vaginal evisceration, the diagnosis is evident clinically due to the vaginal small bowel prolapse.
Ad 2. Any mechanism of small bowel obstruction could be accompanied by hemorrhage from either uterine wall perforation or detached mesentery from its bowel. Clinically, hemorrhage from uterine wall perforation is evident due to transvaginal bleeding, but mesenteric bleeding can present either with transvaginal or intra-abdominal bleeding or both. An intra-abdominal bleeding presents as abdominal pain and should be always looked for because the pain can be attributed to abdominal pain caused by coexisting small bowel obstruction with abdominal distension. It is difficult to conclude is hemorrhage or small bowel obstruction dominant in these patients because variations in severity of developing obstruction and variations in severity of bleeding could be present. In the study by Augustin et al., 39 % (7/18) of patients were hypotensive [113].
7.3.6 Diagnosis
The diagnosis should be suspected when air-liquid levels of small bowel are evident on plain abdominal X-ray. Knowledge of the typical appearance of the uterus after a first trimester surgical abortion is clearly helpful in recognizing an abnormal pelvic ultrasound. In the emergently presenting patient, ultrasound is the preferred diagnostic modality, but it should be recognized that the normal appearance of the uterus after a first trimester surgical abortion can be quite variable. A small number of imaging studies have documented the appearance of the uterus after a first trimester surgical abortion [145–147]. Dillon et al. [145] performed short-term follow-up with ultrasound to qualitatively evaluate the uterine cavity after a first trimester surgical abortion in 19 asymptomatic patients. In this study, 59 % of patients had a varying amount of intrauterine material, initially appearing hyperechoic and then later iso- or hypoechoic. No material seen resembled retained fetal parts or placental material. The time for the return of the endometrial stripe to baseline appearance was variable, ranging 1–14 days. Similarly, another larger study by Bar-Hava et al. [146] examined the appearance of the uterus of 74 women who had undergone a first trimester surgical abortion within 1 week of the procedure. Only 23 % of patients demonstrated reversion to a thin endometrial stripe, 50 % displayed a thick endometrial stripe (7–19 mm), and 27 % an endometrial stripe >20 mm or with very irregular echogenicity >14 mm. These investigators also described a trend toward hyperechoic endometrial contents earlier in the week versus hypoechoic contents later in the week, presumably due to liquefying endometrial contents. The appearance of endometrium after the first menstrual period reverted to normal in all patients. Patient demographics such as gravidity or date of first trimester abortion did not correlate with the appearance of the uterus.
Ultrasound appearance of uterine perforation with suspected bowel entrapment was first reported in 1983 by Dunner et al. [133]. Defect in the uterine wall could be detected with the transabdominal ultrasound. Tubular-shaped irregular tissue could be seen within the endometrial cavity, with a small echoic focus suggesting the presence of air (Fig. 7.19). An abnormally increased amount of echogenic free fluid could be seen in the cul-de-sac [131].

Fig. 7.19
(a, b) Transabdominal pelvic ultrasound images demonstrate a retroverted uterus (UT) adjacent to the urinary bladder (BL) with adjacent fluid-filled small bowel (SB) closely apposed to an interrupted uterine wall (asterisk). A tubular structure is seen within the uterus. A small amount of anechoic free fluid (FF) is seen in the cul-de-sac. Linear echogenicity (arrow), consistent with the appearance of gas, is adjacent to the abnormal intrauterine tubular structure [131]
Transvaginal sonography is a convenient tool in aiding in the diagnosis. Image findings of free fluid in the pelvis, loops of bowel within the myometrial wall, extrauterine fetal parts, or intraoperative presence of the curette within the myometrium have all been used to confirm uterine perforation [148]. Ultrasound of the pelvis could delineate bright, serpiginous, fluid-filled tubular structures within the endometrial cavity (Fig. 7.20). Adjacent material of increased echogenicity could be suggestive of fat. Color Doppler would not show blood flow in these structures, and no peristalsis would be seen in the intrauterine contents [131].

Fig. 7.20
(a) Transvaginal pelvic ultrasound transversely demonstrates multiple tubular structures containing anechoic fluid within the uterine cavity (UT); (b) sagittally, echogenic material (arrowheads), suggesting the presence of fat, is adjacent to the intrauterine tubular structure [131]
The first reported CT diagnosis of incarcerated bowel in a uterine perforation was by Dignac et al. (incarcerated appendix) and Chang et al. in 2008 [126, 127]. Evaluation with CT has an important diagnostic role in cases where ultrasound is ambiguous or if non-gynecologic pathology is suspected. Although the uterine wall can hinder visualization of intrauterine bowel loops, Dignac et al. emphasize that the bowel’s mesentery can be well visualized on CT scan due to its fatty nature and should be a red flag for intrauterine bowel [127]. CT scan can delineate bowel loops within the uterus (Fig. 7.21).

Fig. 7.21
Pelvic computed tomography scan taken after failure of conservative treatment. Intrauterine mass was later shown to be an incarcerated bowel [126]
Finally, MRI has been utilized to assess the endometrial cavity after a first trimester surgical abortion [147], but this is not routinely performed on an emergent basis. There is only one case showing incarceration of the greater omentum in the uterine perforation without bowel obstruction [149].
7.3.7 Therapy
7.3.7.1 Conservative Therapy
Uterine perforations should be divided into uncomplicated and complicated ones. Most uterine perforations recognized during abortion without complications could be managed conservatively [118, 119]. Kaali et al. [122] managed conservatively 22 perforations after 7,114 elective abortions, with a significant number of these perforations detected during combined laparoscopy. This implies that the true perforation rate may be underreported and under-recognized without severe consequences to patients, suggesting that conservative management of uncomplicated uterine perforations with close observation is typically adequate [118, 127, 134].
7.3.7.2 Surgical Therapy
The diagnosis or even suspicion of intrauterine bowel/bowel injury (complicated uterine perforation), however, mandates emergency laparotomy or laparoscopy. Emergency laparotomy/laparoscopy is necessary to prevent the progressive bowel distention with ensuing ischemic necrosis and/or subsequent perforation of the bowel. During laparotomy/laparoscopy, the bowel should be reduced into the peritoneal cavity and evaluated for vitality. The involved herniated bowel may be strangulated, have direct bowel wall trauma, or may be devascularized by coexistent injury or incarceration of the mesentery [135]. In the study by Augustin et al., in all cases of vaginal evisceration, resection was necessary. In 14 of 18 patients, the length of resected small bowel was measured. In only one patient, the resected length was 30 cm, and in all others, the minimal resected length was 100 cm. In 56 % of patients, more than 200 cm was resected. In the subgroup of patients with ileal adhesion (three patients), the resection of ischemic bowel was necessary in two patients (67 %). The question is whether the bowel could be saved with earlier diagnosis and operation earlier in the course of the disease, but the answer cannot be made because of the lack of all necessary data.
Diversion in form of a stoma was made in only one patient with complete small bowel resection. It should be performed in patients with hemorrhagic shock or in sepsis due to late presentation with gross purulent and/or fecal contamination of the peritoneal cavity. Study by Augustin et al. shows that if isolated small bowel obstruction is present, resection with anastomosis is preferred treatment in patients without peritonitis.
7.3.7.3 Gynecologic/Obstetric Procedures
Uterine perforation/laceration should be repaired after treatment of small bowel injury. Sometimes uterine perforation should be enlarged for easier pulling of the bowel into peritoneal cavity minimizing the possibility of further bowel and mesenteric damage (two patients) [132, 143]. Rarely, a hysterectomy is required if the uterus is necrotic or irreparable [144, 148]. Hysterectomy was performed in four of the seven patients from the first half of the century and none after 1966. Conclusion by Augustin et al. is that uterine debridement with suture repair is the procedure of choice [113] despite description of one patient without repair of uterine perforation where perforation size was 1 cm [116].
Preoperative consultation with the patient for permanent sterilization should be done because during operation short additional procedure could prevent repeating of complications of further abortions. During surgical exploration, a search for mutilated fetus should be done [139] with definitive curettage if necessary. Perioperative antibiotics should be administered as in bowel obstruction in general. During follow-up, ultrasonogram of the uterus and βHCG measurement should be performed to eliminate the possibility of retained products of conception [139].
7.3.8 Prognosis
Worldwide, there are 30–50 million induced abortions that result in the death of 80,000–110,000 women of which an estimated 34,000 are in sub-Saharan Africa [125]. Appropriately timed surgical intervention in complicated uterine perforation is crucial to decrease morbidity and mortality rates. Available data in a study by Jhobta et al. show the survival rate of 93 % (two deaths) during the whole century (1907–2012). One patient died due to massive small bowel necrosis where resection with high jejunostomy was made. The girl left the hospital against medical advice for social and family reasons and died [109]. Assumption is that high jejunal stoma with high output caused dehydration and electrolyte imbalance, finally causing death. The second patient had additional sigmoid colon laceration treated during initial operation with resection and anastomosis. The authors write that the patient became febrile and deteriorated on the fourth postoperative day. Assumption is that dehiscence of colorectal anastomosis with diffuse stercoral peritonitis and subsequent septic shock with multiorgan failure ensued [129]. The results of this study show that excellent prognosis is present throughout the whole century due to several reasons:
1.
2.
3.
7.4 Adhesions
7.4.1 Incidence
Adhesions are associated with more than 60 % of intestinal obstruction in pregnancy [150, 151]. In one study, 77 % of the 66 cases presented with known obstruction due to adhesions from previous abdominal surgery, pelvic surgery, or pelvic inflammatory conditions [6]. Incidence of intestinal obstruction caused by adhesions during stages of pregnancy is [69]:
· First trimester: 6 %
· Second trimester: 27 %
· Third trimester: 44 %
· Postpartum: 21 %
7.4.2 Pathophysiology
7.4.2.1 Uterine Enlargement During Pregnancy
As the uterine fundus arises out of the pelvis, intraperitoneal adhesions may produce initially a partial bowel obstruction, which may become complete as the uterine bulk increases [152].
7.4.2.2 Adhesive Small Bowel Obstruction After Appendectomy
Around 50 % of patients with adhesive obstruction had previous appendectomy. Obstruction most commonly appears during the first pregnancy after surgery. The none of these cases reports was the description of neither the technique of appendectomy nor the stage of appendiceal inflammation. In three cases, appendectomy was performed more than 9 years before presentation of adhesive obstruction in pregnancy. In two patients, terminal ileum was the site of obstruction [153, 154]. The third case is obstruction of the long loop of the sigmoid colon [155].
7.4.3 Diagnosis
Diagnostic workup is the same as for every patient presenting with symptoms and signs of bowel obstruction no matter the cause and is described previously (see Sect. 7.1).
7.4.4 Therapy
7.4.4.1 Conservative (Medical Treatment)
Unlike other causes of obstruction, if adhesions of small bowel are suspected and other causes excluded the conservative therapy could be initiated. It consists of bowel rest, intravenous fluids, and NG tube placement. In nonpregnant patients, plain abdominal X-ray is indicated every 6–12 h, but in pregnant population, clinical evaluation every 6 h can indicate further diagnostic workup.
7.4.4.2 Surgical Treatment
Emergent surgical treatment is indicated if:
· Clinical deterioration
· Unsuccessful conservative therapy (48 h)
· Strangulation suspected initially or during conservative treatment (clinical deterioration, elevation of WBC and CRP)
7.5 Small Bowel Volvulus and Congenital Intestinal Malrotation
7.5.1 Small Bowel Volvulus
7.5.1.1 Incidence
Primary small bowel volvulus occurs without any predisposing cause. It is rare in Western countries but common in Africa, India, Nepal, and the Middle East [156–158]. Although volvulus is a very rare condition in pregnancy, most cases of obstruction secondary to small bowel volvulus occur in the third trimester or puerperium [6, 156, 159, 160], but a case in first trimester was described when 4 days after the operation, sonography revealed a dead fetus with 10 weeks age [161].
7.5.1.2 Pathophysiology
Volvulus is a consequence of the intestine rotating about its mesenteric axis, eventually resulting in a closed-loop obstruction. The major sites of volvulus are the sigmoid colon and the small bowel [162, 163]. Conditions implicated in the development of volvulus include adhesions, congenital bands, Meckel’s diverticulum, and hernias. The uterus enlarges most rapidly between 16 and 20 weeks and again between 32 and 36 weeks, and obstruction occurs most frequently at these times [164, 165].
7.5.1.3 Clinical Presentation
Clinical presentation of small bowel volvulus is due to both the mechanical obstruction and the vascular compromise with resultant ischemic bowel. Initial symptoms are similar to those common in pregnancy, including crampy abdominal pain, nausea, vomiting, and constipation, frequently delaying definitive diagnosis. Classical findings of bowel obstruction in the nonpregnant patient, including constipation, altered bowel sounds, and peritoneal signs, are frequently obscured by the gravid uterus [163–165].
7.5.1.4 Treatment
Treatment is always surgical and type of operation depends on the stage of ischemia caused by volvulus. If the bowel is vital, then the cause of the volvulus is eliminated. If the bowel is necrotic, then it should be resected and decision of performing the anastomosis made.
7.5.1.5 Prognosis
Early diagnosis and management is essential to avoid infarction of bowel. The condition may result in a maternal mortality rate of 6–20 % and a fetal loss in 26–50 % of the cases even with a delay of 24 h [166].
7.5.2 Congenital Intestinal Malrotation
Congenital small bowel malrotation in pregnancy is extremely rare cause of ischemic bowel. There are only a few case reports highlighting this condition in gravid patients [10, 167–169]. The problem with this entity is that volvulus of the complete small bowel could ensue with bowel necrosis which is incompatible with life which was found in case by Scheuermeyer in 27th week of pregnancy [170]. Even a more complex case was described with volvulus of the small intestine, cecum, and ascending colon [171]. Therefore, emergency laparotomy is indicated if the condition is suspected.
7.6 Carcinoma of the Colon and Rectum
7.6.1 General Considerations of Colorectal Cancer in Pregnancy
Due to the extremely rare occurrence of emergent presentation of colorectal cancer (CRC) in pregnancy, here is the current knowledge about CRC in pregnancy in general. It could help in decision making in elective and emergent settings.
7.6.1.1 Incidence
CRC is common in elderly population, but 2–6 % of tumors are found before the age of 40 [172]. However, CRC presenting in pregnancy is an uncommon disease with a reported incidence of 0.002 %. Others reported 0.028/1,000 births [173] or 1/13,000 pregnancies in 1992 [174]. Cruveilhier reported the first case of rectal carcinoma in pregnancy in 1842 [175]. The first case of colon cancer above peritoneal reflection was reported by Evers in 1928 [176]. Up to 1993, Shioda et al. found 25 such cases [177]. Other study from the same year with mailed questionnaire of the American Society of Colon and Rectal Surgeons and review of the literature included 41 cases of women with large bowel cancer who presented during pregnancy or the immediate postpartum period. The mean age at presentation was 31 years (range, 16–41 years). Tumor distribution was as follows: right colon (7.3 %), transverse colon (4.9 %), left colon (4.9 %), sigmoid colon (19.5 %), and rectum (63 %). Dukes’ stage at presentation was A, 0 %; B, 39 %; C, 41 %; and D, 15 % (two patients were unstaged). Up to 2005, there have been over 275 cases in the literature; most of these have been case reports [178–180]. In the study by Dahling et al. of 134 patients, 103 were diagnosed postpartum, whereas only 28 cases were diagnosed before delivery and three cases at delivery [173]. This study shows that parity is neither positively or negatively associated with CRC.
7.6.1.2 Carcinogenesis and Predisposing Factors
The carcinogenesis of CRC is not fully understood. The hypothesis that estrogen receptors (ER) and progesterone receptors (PgR) may be involved in the pathogenesis of CRC during pregnancy has been studied. Several studies have reported the presence of ERs in colon cancer [181–183]. It has been suggested that as many as 20–54 % of colon tumors have ERs [184]. Studies have also demonstrated the presence of PgRs in colon cancer [185] with up to 42.8 % of colon tumors being PgR + [186]. These findings suggest that increased levels of estrogen and progesterone found in pregnant women could stimulate the growth of CRCs that have these receptors. Stimulation of these receptors could also help to explain the advanced stages found in the majority of patients at the time of diagnosis. However, it is important to note that the data to support the role of these receptors in the pathogenesis of CRC are scarce and that conflicting data exist in the literature regarding ERs and PgRs in CRC. In a study by Slattery et al., only one PgR + tumor and no ER + tumors were found in an analysis of 156 women diagnosed with CRC [184]. The role of Cox-2 enzymes in CRC and pregnancy has also been studied and was that these enzymes are vital for each stage of pregnancy [187]. Cox-2 products appear to be essential for the early sequences of pregnancy, including ovulation, fertilization, implantation, and decidualization [188]. The early events of pregnancy and the pathogenesis of tumor spread have important similarities: both events require cells to migrate from the site of origin to another site at which these cells must establish new vasculature to grow and mature [188]. Cox-2 enzymes are found in high levels in many CRC cells [189]. Studies have also demonstrated that Cox-2 inhibitors such as aspirin can alter the course of colon cancer [190]. Increased levels of Cox-2 enzymes in pregnant patients could play a role in the pathogenesis and prognosis of CRC in pregnancy. However, no studies have been performed to date to explore this potential relationship [179].
CRC is a rare event in young patients. This implies that colon cancer in pregnancy among this population of patients is likely caused by the presence of predisposing factors compared with the general population of patients with colon cancer [191]. Predisposing factors for colon cancer include hereditary nonpolyposis CRC (i.e., Lynch syndrome), familial adenomatous polyposis, Gardner’s syndrome, Peutz-Jeghers syndrome, and prolonged history of inflammatory bowel disease [179]. However, these increased-risk groups represent only a small portion of CRCs diagnosed in pregnancy [180]. Girard et al., in a review of 19 pregnant patients, demonstrated that four of 19 patients had one of these strong predisposing factors for colon cancer [192]. The presence of genetic abnormalities is not known. A family history must be recorded in all these patients, and an evaluation by cancer genetic clinics should be considered [179].
In countries fortifying flour with folic acid, a steady decrease in incidence of neural tube defects (NTDs) has been documented, in parallel to the doubling of plasma and RBC folate levels [193]. The main criticism against flour fortification has been that this strategy exposes large segments of the population, such as those who never become pregnant, to levels of folate beyond what may be necessary [194]. During the last decades, in parallel to the reports on a dramatic decrease in rates of NTDs in jurisdictions where fortification took place, concerns have been raised that heightened folate status may increase the risk of cancer in general, with CRC being cited more commonly than others [195]. The results of the largest meta-analyses suggest that there is an inverse association between folate intake and CRC incidence [196, 197]. High folate level decreases the risk by 8–15 % in one study [197] and 19–25 % in the other [196]. Women of reproductive age should not be discouraged from adequate intake of folate based on a wrongly perceived risk of CRC.
7.6.1.3 Clinical Presentation
The most common clinical manifestations of colon cancer include abdominal pain, change in bowel habits, anemia, nausea, vomiting, and rectal bleeding. These symptoms are commonly found in pregnant patients and, as a result, are usually considered by physicians and patients to be the usual manifestations of pregnancy, without an appropriate evaluation [179, 198]. The delay in initiating the workup for the symptoms related to CRC is one of the major contributing factors to the poor prognosis associated with this disease [199]. In general, pregnant women gain weight. However, women can experience weight loss in the first trimester. Pregnancy can obscure weight loss secondary to cancer in second and third trimesters. Rectal bleeding is a common finding during pregnancy and is usually secondary to the high incidence of hemorrhoids among pregnant patients; however, rectal bleeding is a particularly ominous sign and should never be attributed solely to pregnancy itself without a proper evaluation. Nausea and vomiting are very common symptoms of pregnancy, particularly during the first trimester. Nausea or vomiting can occur as a result of synchronous colon cancer, but they are often attributed to pregnancy itself. Constipation is another common complication of pregnancy, which, again, can delay workup for CRC. Abdominal mass constitutes a natural process in pregnancy. Potential palpable masses secondary to colon cancer are often missed secondary to changes of pregnancy. Anemia is a physiological finding in pregnancy. Anemia associated with pregnancy can mask blood loss from cancer.
7.6.1.4 Diagnosis
Ovarian metastatic disease from CRC poses another challenge to the treating physician. The incidence of ovarian metastases from CRC is higher in pregnant (25 %) than in nonpregnant (3–8 %) patients [200–202]. It could mislead the clinician to make the diagnosis of primary ovarian tumor preoperatively. Unfortunately, there are two cases of Krukenberg tumor from the primary colon carcinoma: one was unilateral (Fig. 7.22) and another bilateral (Fig. 7.23). The working diagnosis was external colon obstruction from ovarian tumors, and histopathology revealed primary colon carcinoma.

Fig. 7.22
MRI of the pelvis (T2 weighted) showing metastatic left ovarian tumor at 23 weeks’ gestation from the primary carcinoma of the sigmoid colon [202]

Fig. 7.23
Ultrasonogram showing the fetus and two ovarian masses (arrows) [203]
7.6.1.5 Therapy
Surgical Therapy
Surgery could be performed safely before 20 weeks of gestation when appropriate [204]. After this gestational age, it is recommended that surgery be delayed to have a reasonable maturation of the fetus. Delivery of a viable infant can occur at 32 weeks of gestation if the lungs are properly stimulated to mature. It has been proposed that CRC surgery can be done right after an uncomplicated Cesarean section [198]. Intraoperatively, the patient should be placed in the slight left lateral position to prevent uterine compression of the inferior vena cava and left iliac vein. Maternal blood gases should be monitored, as carbon dioxide insufflation can induce maternal hypercapnia, which can lead to fetal hypercapnia, tachycardia, and hypertension.
When faced with clearly malignant bilateral ovarian tumors, the ideal surgical approach is total hysterectomy, bilateral salpingo-oophorectomy, pelvic and abdominal washings, omentectomy, and para-aortic lymph node biopsies. However, even in the event of bilateral malignant disease, it is possible to omit hysterectomy if the uterus is not grossly involved, thus allowing the preservation of an existing pregnancy.
Conservative or Bridge Therapy
Other approaches to bowel obstruction can be considered. Retrograde insertion of a colonic stent in general population has been widely used for the relief of a colonic obstruction caused by malignancy [205, 206]. Colonic stent decompression can provide palliation in patients with widespread metastatic disease or serve as a bridge to surgery but at the risk of greatly increased maternal and fetal morbidity [6].
Mode of Delivery
The mode of delivery is not affected by cancer, with the exception of a Cesarean section owing to a distal tumor obstructing the birth canal or anterior rectal wall carcinoma. The placenta should be carefully examined for metastases [207]. Adjuvant chemotherapy with 5-fluorouracil (5-FU) is suggested for stage III tumors; however, the risk and benefits should be discussed with the patient [198]. The most serious complications occur when the chemotherapy is given during 3–12 weeks of gestation [208]. In animal models, this agent is highly teratogenic. Mechanisms by which 5-FU may lead to fetal abnormalities include interrupting DNA synthesis and cell development through inhibition of embryonic thymidylate synthase [209]. In several case reports, 5-FU during the first trimester has been associated with spontaneous abortion as well as normal-term births [210–214]. In one case, a patient who had 5-FU administered in high doses over 5 months of the second and third trimesters gave birth to a healthy but small baby [215]. Moreover, no congenital anomalies or other clinically significant adverse effects were observed in 40 infants whose mothers were treated for breast cancer during the second and third trimesters of pregnancy with intravenous 5-FU in combination with doxorubicin, cyclophosphamide, and other chemotherapeutic agents [216–218]. Transient cyanosis and jerky movements were reported in a newborn whose mother received 5-FU during the third trimester [219]. There are no reports on the use of 5-FU during lactation. Cisplatin and other platinum-based chemotherapy drugs are also used in CRC, but they are not recommended during pregnancy or breastfeeding [220]. Oxaliplatin has not been studied in pregnant women. However, studies in animals have shown that oxaliplatin causes miscarriages, decreased weight or death of the fetus, and problems with bone formation [221]. Patients should use some kind of birth control while receiving oxaliplatin, and a pregnancy test should be performed before initiation of chemotherapy. It is not known whether this drug passes into breast milk. Irinotecan may cause harm to the fetus when given during pregnancy [222]. No human data are available. Women of childbearing age should use some kind of birth control during treatment with irinotecan. Before administering this agent, the physician must rule out pregnancy. Chemotherapy is safer during the second and third trimester of pregnancy, although there is an increase in the incidence of intrauterine growth retardation and prematurity [223]. Although a few cancer chemotherapy studies have failed to show adverse effects in treatment in the third trimester, the possible neurocognitive effect of chemotherapy cannot be totally excluded because brain development is not completed during pregnancy or even early in life [224]. Adjuvant radiotherapy is used in the management of rectal cancer. Radiation therapy to the pelvis is not recommended during pregnancy because of the potential harm to the fetus. Fetal radiation exposure should be measured by a medical physicist in any radiation during pregnancy [225]. Future fertility should be considered before proceeding with treatment because radiotherapy can cause permanent damage to ovaries and lead to infertility [226]. If a woman of childbearing age is considering radiotherapy, she must be informed of this possible outcome, and consent must be documented.
7.6.1.6 Prognosis
Maternal Outcome
Pregnant women with CRC generally have a poor prognosis. In a review of 42 patients with CRC above the peritoneal reflection, Chan et al. noted that 56 % (23/42) of these patients died by the time the cases were reported in the literature [227]. Most died within 1 year of being diagnosed, and the median survival for the group was less than 5 months. One patient survived for 3.5 years after bowel resection but had multiple recurrences. No patient with CRC in pregnancy reported in the literature has survived longer than 5 years. No data are available for obstruction CRC in pregnancy because it is extremely rare condition. One case of intussusception of colon carcinoma in pregnancy is described in the separate section (see Sect. 7.7.1). Other study with mailed questionnaire of the American Society of Colon and Rectal Surgeons and review of the literature included 41 cases of women with large bowel cancer who presented during pregnancy or the immediate postpartum period. The mean age at presentation was 31 years (range, 16–41 years). Average follow-up was 41 months. Stage for stage, survival was found to be similar to patients with CRC in the general population. Large bowel cancer coexistent with pregnancy presents in a distal distribution (64 % of tumors in the current series and 86 % of those reported in the literature were located in the rectum) and presents at an advanced stage (60 % were stage C or more advanced at the time of diagnosis). While patient survival is poor, it is no different stage for stage from the general population with CRC [178].
The survival of patients with metastasis involvement of the ovaries is poor, in the range of 3–12 months [201]. Prophylactic bilateral salpingo-oophorectomy simultaneous with CRC surgery is recommended by some physicians [228, 229]. However, it is prudent to take into consideration the desire of the patient for future pregnancies. Also, bilateral salpingo-oophorectomy at the time of resection has been linked to an increased incidence of spontaneous abortion, especially if performed during the first trimester [199]. Nesbitt et al. recommend obtaining bilateral wedge biopsies of the ovaries during surgery for pathologic examination of the frozen sections with subsequent removal if the ovaries are involved [199].
Fetal Outcome
There are no reports of adverse fetal outcomes due to the malignancy itself, even in widespread metastatic disease [230]. Metastasis to the placenta was reported once in maternal colorectal malignancy [231]. Although a complete evaluation of the placenta is recommended, there is no evidence to support periodic follow-up of the baby.
Maternal obstetrical outcomes were good overall, though pregnancy-associated cases of CRC did have higher rates of Cesarean sections and preterm deliveries. Preterm deliveries were not only secondary to scheduled inductions and Cesarean sections, likely related to the woman’s cancer diagnosis, but also to higher rates of preterm labor. Authors also noted that pregnant women with CRC had larger number of major puerperal infections. It is possible that women with CRC are more prone to infections that may be subclinical before delivery but predispose them to have preterm labor. This could be secondary to malignancy-related immune suppression or some other unknown cause. Another explanation is that CRC initiates an inflammatory reaction that then starts the preterm labor cascade secondary to the close proximity to the uterus. Despite the higher rates of preterm delivery, neonatal outcomes were excellent, which is in agreement with several other studies [172, 232, 233]. When CRC is diagnosed before delivery, several reports recommend Cesarean section after documentation of fetal lung maturity with concomitant tumor resection [173, 174]. Women with pregnancy-associated CRC were less likely to receive chemotherapy, but more likely to receive radiation than age-matched, nonpregnant women though the differences in rates of adjuvant radiotherapy were not statistically significant [173]. Because most women were diagnosed after delivery, this phenomenon cannot be fully explained by a concern for the fetus, unless it represents a breastfeeding concern. This finding is even more surprising given that authors did not find a difference in stage of disease between the populations. Study does not elaborate on timing of radiation and chemotherapy relative to surgery, and so no conclusions can be made. Prognosis in CRC is largely based on the stage at diagnosis. The literature is predominated by the belief that pregnant women with CRC are diagnosed at a more advanced stage secondary to delay in diagnosis, and this leads a worse prognosis [232, 234]. However, study by Dahling et al. shows that stage at initial diagnosis in women with pregnancy-associated CRC is no different than the age-matched, nonpregnant population of women with CRC [173]. Another controversy in the literature regards histological subtype, with some reports of pregnant women having higher rates of an aggressive, mucinous subtype [232]. Report by Dahling et al. shows similar histological subtypes between the two populations of women. Ultimately, survival was no different among women with pregnancy-associated CRC and nonpregnant women with CRC [173]. This is in agreement with other reports [174, 178, 232, 234, 235]. Although differences exist between the biology and clinical behavior of anal and colon cancers, all were analyzed together. A separate analysis done after omission of the ten patients with anal cancer yielded perinatal and cancer outcomes virtually identical to those of the group as a whole [173].
7.7 Stomal Obstruction
Various forms of stomal obstruction occur in general population. These forms include stomal prolapse, stomal stenosis, obstruction due to surrounding tumor progression, and intussusception. These causes are extremely rare in pregnant patients due to the rarity of stomas in this population and because most of these stomas are temporary.
7.7.1 Intussusception
7.7.1.1 Incidence
Intussusception in stoma is rare [236–238], and only three cases have been reported previously in the literature reviewed since 1950 [239–241].
7.7.1.2 Risk Factors
There are too few cases for analysis but in one case there was a 21 weeks twin pregnancy. She had had total colectomy and ileostomy 8 years previously for ulcerative colitis. Ileostomy was refashioned three times for parastomal hernia, parastomal abscess, and retraction [241]. In cases with intussusception in ileostomy in a pregnant woman described by Priest et al. [239] and with loop colostomy described by Keane and Whittaker [240], there were no etiological factors.
7.7.1.3 Clinical Presentation
Clinical presentation of intestinal obstruction is the same as for any other cause (see Sect. 7.1).
7.7.1.4 Diagnosis
It is important to stress that in a patient with a stoma it should be evaluated for possible local obstruction. The diagnosis is easily confused with prolapse [240], which is easily reducible and for which local revision is usually adequate [236–238]. If the stoma is the cause of obstruction ionizing diagnostic modalities could be excluded from the diagnostic algorithm.
7.7.1.5 Therapy
Surgical management was different in all three cases. In the case described by Priest et al., the patient was managed by revision of her ileostomy [239] and in the case of Keane and Whittaker by resection and refashioning of the colostomy [240]. In the third case, at laparotomy, herniation of one wall of the ileum through a defect in the abdominal wall next to the stoma was found. This part of the ileum went on to prolapse through the spout and was followed by more ileum to form the intussusceptum. Reduction was achieved by gentle traction, the lateral space to the stoma was closed, and the ileum was attached to the anterior abdominal wall with absorbable sutures [241].
7.7.1.6 Prognosis
In all three cases, the mothers survived [239–241]. In the case by Adedeji and McAdam [241], both twins survived and were normal after Cesarean section in 35th week when fetal distress occurred.
7.7.2 Stomal Obstruction
7.7.2.1 Incidence
In one study, 10 % of patients with ileostomies had an intestinal obstruction during pregnancy. Increased abdominal pressure may occasionally cause a stomal ileal prolapse. This usually occurs in patients who have had an ileostomy placed less than a year before becoming pregnant [15].
7.7.2.2 Diagnosis
Plain abdominal X-rays lack sensitivity and specificity in the gravid patient, while abdominal CT scanning exposes the fetus to ionizing radiation. Although no definitive study regarding absolute safety has been performed (or indeed will probably ever be), abdominal MRI is increasingly used [242, 243].
7.7.2.3 Treatment and Prognosis
Gestational intestinal obstruction has previously been associated with very significant maternal and fetal mortality and morbidity, and so the prevailing consensus in the (limited) literature strongly favors aggressive management by urgent surgical intervention [242, 244].
7.8 Sigmoid Volvulus
7.8.1 Incidence
Sigmoid volvulus is the most common cause of bowel obstruction complicating pregnancy, accounting for 25–44 % of published cases [69, 162, 245, 246]. In endemic regions for Chagas disease, in South America, digestive manifestations are common and sigmoid volvulus is a possible complication during pregnancy [247].
Since the initial report by Braun in 1885, it is estimated that around 84 cases of sigmoid volvulus have been reported occurring in the pregnancy and puerperium. Lambert [248] reported 29 cases of sigmoid volvulus before 1931, followed by another 12 cases reported by Kohn et al. [249] between 1931 and 1944. Subsequently, all the previously reported cases were reviewed by Harer et al. [56] in 1958, who reported an additional 11 cases between 1994 and 1958. Later on, Lazaro et al. [250] compiled another 13 cases occurring between 1558 and 1969. Another 19 cases have identified reported till 2009 and one from 2012 added [251]. In the study by Ballantyne et al., sigmoid volvulus in pregnancy accounted for 2 % of all sigmoid volvulus in the Mayo Clinic between 1960 and 1980 [162].
7.8.2 Pathophysiology
Pregnancy itself is considered to be the precipitating factor for sigmoid volvulus. The occurrence of sigmoid volvulus in pregnancy is due to displacement, compression, and partial obstruction of a redundant or abnormally elongated sigmoid colon by the gravid uterus [56]. This could probably explain the increased incidence of sigmoid volvulus in the third trimester [6]. Sigmoid volvulus is most frequent between 22 and 38 weeks of gestation [252]. Despite this higher propensity in the third trimester, there have been reports of this complication developing in the early pregnancy as well as the puerperium [56, 253–255]. An increase in uterine volume is implicated in the formation of the volvulus [256].
7.8.3 Clinical Presentation
The diagnosis of sigmoid volvulus is suspected when a pregnant female presents with a clinical triad of abdominal pain, distention, and absolute constipation. The average time from the onset of obstructive symptoms until presentation has been reported to be 48 h [6]. This is largely because pregnancy itself masks the clinical picture since abdominal pain, nausea, and leukocytosis can occur in an otherwise normal course of pregnancy [257]. In the review of the last 20 cases, the mean delay between the onset of symptoms and presentation was 2 days, with a range from few hours to as many as 6 days. Six patients presented more than 48 h after the onset of symptoms [251]. Harer et al. [56] also noted similar delay in presentation in their review and concluded that such a delay in diagnosis and surgical intervention had a significant impact on the ultimate outcome of the mother and fetus.
7.8.4 Diagnosis
Plain abdominal X-ray is often necessary for the diagnosis of volvulus (Fig. 7.24). It involves a radiation dose of 0.001 Gy, which is a dose significantly lower than the doses with the risk of congenital malformation.

Fig. 7.24
Plain abdominal radiograph showing sigmoid volvulus in pregnancy [258]. The characteristics of the sigmoid volvulus are distorted due to the enlarged uterus
7.8.5 Therapy
7.8.5.1 Surgical Treatment
The management of volvulus with or without perforation in pregnant women is pretty much similar to that of nonpregnant women. The aim of surgical treatment is to remove the obstruction without a risk of recurrence. The basis of therapy is early surgical intervention [259]. In the absence of peritonitis and during the second trimester of gestation, Utpal and Kamal preferred detorsion by minilaparotomy [260]. Such algorithm was found in 1950 to shorten the operation while the sigmoid resection with anastomosis was performed after puerperium [261]. Diallo et al. justified the choice of intestinal resection by elimination of the risk of recurrence and reduction of morbidity and mortality [262]. Given the impossibility of nonoperative detorsion in Mali and the high risk of recurrence (13.5 % in 30 days after intervention) [262], the recommendation is to perform a sigmoidectomy with anastomosis. This approach has also been recommended in the second trimester of gestation by other authors [263]. In the third trimester, if sufficient intestinal exposure cannot be obtained due to the enlarged uterus, a Cesarean section must be carried out [259]. After detorsion, the deflated loop could be on the left side of the abdomen and should be replaced without even treating the uterus. This could be done by slipping the loop of bowel over the fundus of the uterus (Fig. 7.25). Probably, compression of the uterus could be contributing factor in obstruction when volvulus is partial.

Fig. 7.25
Diagram showing relative positions of the uterus on the right and sigmoid volvulus on the left and behind the uterus [261]
The entire bowel should be examined for other areas of obstruction. Intestinal viability should be assessed cautiously and segmental resection with or without anastomosis is often necessary (Fig. 7.26) [259].

Fig. 7.26
Sigmoid volvulus in pregnancy, followed by resection and primary anastomosis [258]
7.8.5.2 Conservative Treatment
There is one case of successful decompression by Malecot catheter during pregnancy of a patient with recurrent sigmoid volvulus [264].
7.8.6 Prognosis
The maternal and fetal outcome in sigmoid volvulus has been directly related to the degree of bowel ischemia and subsequent systemic sepsis. In analysis of recent 20 cases, maternal and fetal mortality were 20 and 40 %, respectively, including one ectopic pregnancy. It is important to note that all the maternal deaths occurred in the group of patients where delay in presentation and surgical intervention was more than 2 days [253, 265, 266]. Similarly, five fetal deaths were seen in patients who presented after 48 h of onset of symptoms, as compared to two fetal deaths in patients presenting early in the course of the disease. This observation highlights the fact that high index of clinical suspicion is vital in cases of intestinal obstruction in pregnant patients. This fact needs to be emphasized among the general practitioners and community obstetricians primarily responsible for taking care of these patients especially those treating their constipation.
7.9 Cecal Volvulus
During pregnancy and the puerperium there should not be much delay in performing laparotomy in doubtful cases. Spence JH, 1937
7.9.1 General Considerations
Volvulus of the cecum is torsion of the bowel around its own mesentery that results in a closed-loop obstruction. Cecal volvulus can occur in 11–25 % of the population who has hypermobility of the proximal colon because of inadequate lateral peritoneal fixation during development [1, 8–11]. Furthermore, the distal ascending colon must be fixed, resulting in a pivot point around which the cecal rotation may occur. While this point of fixation is typically the normal congenital peritoneal attachments, other possibilities include postoperative adhesions or an abdominal mass. In pregnancy, the enlarged uterus may displace any redundant or abnormally mobile cecum out of the pelvis. Partial obstruction may occur from uterine pressure or from kinking of the colon at a fixed point. The ensuing distension raises the colon even higher, producing torsion at this fixed point [56, 267]. Fixed cecum due to adhesion from the previous operations is a predisposing factor for volvulus [268].
7.9.2 History
The first published case found was by White in 1914. The 26-year-old in her 33-week second pregnancy was constipated for 6 years after the drainage of the abscess of appendiceal origin with the incisional hernia (presumably midline incision). The patient then expelled the stillbirth, and after several days indication for the operation was made. The cecal and ascending colon gangrene due to volvulus was found. Resection was performed but the patient died [269]. Basden in 1934 reported the case of a woman in labor in whom laparotomy (and Cesarean section) was done for a suspected intra-abdominal condition and a volvulus of the cecum was found [270]. Spence in 1937 quoted a case of volvulus shortly after delivery in which too much attention was paid to the associated uterine infection. He stated that “during pregnancy and the puerperium there should not be much delay in performing laparotomy in doubtful cases” [271]. Another case from 1941 was of a patient that presented 17 h after delivering stillborn by forceps. During extensive diagnostic workup, the patient died and at necropsy volvulus of the cecum and part of ascending colon was found [272]. Kohn et al., in 1944, reviewed the literature and reported 79 cases of volvulus in pregnancy, 19 of which were of the right colon [249].
7.9.3 Incidence
Cecal volvulus occurs approximately 1/500,000 pregnancies but may be as low as 1/1,000,000 [273]. In the study by Ballantyne et al., cecal volvulus in pregnancy accounted for 2 % of all sigmoid volvulus in the Mayo Clinic between 1960 and 1980 [162].
7.9.4 Clinical Presentation
The symptoms and findings at clinical examination are often vague and indistinguishable from the usual symptoms attributed to late pregnancy or other causes of an acute abdomen. In a survey of volvulus complicating pregnancy, the condition was diagnosed before laparotomy in only 25 % of the cases [56, 267]. In one case, the diagnosis was more difficult because a 38-year-old woman, gravida 3, para 2, presented at 31 weeks of gestation. The patient had undergone a sigmoid colectomy for Dukes’ B adenocarcinoma 11 years previously. She had a subsequent balloon dilatation of a colonic anastomotic stenosis but had otherwise recovered well and was free of recurrence [268].
7.9.5 Differential Diagnosis
In pregnancy, cecal volvulus may be mistaken for placental abruption, degenerating fibroids, a ruptured uterus, hyperemesis, and torsion of the ovary, extrauterine pregnancy, acute polyhydramnios, cholecystitis, appendicitis, urinary tract infections with or without urolithiaisis, and other causes of bowel obstruction [274, 275].
7.9.6 Diagnosis
Classically, cecal volvulus presents as bowel obstruction, but often the signs and symptoms are vague. Abdominal radiographs usually demonstrate obstruction, but the findings are not always specific for cecal volvulus (Figs. 7.27and 7.28). The diagnosis may be obscured if the closed loop is filled with fluid, oriented in an anteroposterior plane, or overlain by loops of air-distended bowel [276]. The intermittent abdominal pain may be misinterpreted as uterine contractions, and emergency Cesarean section for intestinal volvulus has been described [267].

Fig. 7.27
Erect chest radiograph showing dilated air-filled bowel loops under the left hemidiaphragm. Shielding of the lower abdomen is present [268]

Fig. 7.28
Right lateral decubitus radiograph showing dilated loops of bowel with air-fluid levels (arrows) [268]
When CT is considered appropriate, a senior radiologist should always be involved in the decision-making process to avoid overutilization of a potentially harmful test (Fig. 7.29). Radiology departments should have specific low-dose CT protocols in place for imaging the acute abdomen in pregnancy so as to avoid confusion when such cases arise. MRI is increasingly used in pregnant patients. MRI has been used extensively in the characterization and staging of neoplastic disease in pregnant women, but its usefulness in the evaluation of the acute abdomen is not yet clear [277]. Abdominal MRI has been shown to be accurate for the diagnosis of acute appendicitis [278, 279] (see Chap. 3) and has been used in the setting of pregnancy [280]. However, this has not yet been thoroughly evaluated. Abdominal MRI may potentially be of benefit in demonstrating the site of transition in bowel obstruction and identifying areas of inflammation, abscess formation, or hemorrhage within the abdomen and pelvis [281].

Fig. 7.29
(a) Axial dynamic CT showing a dilated cecum with an air/feces level in the mid-upper abdomen; (b) The dilated cecum (C) shows progressive tapering terminating at the site of torsion (white arrow) resulting in the appearance of a bird’s beak. Dilated fluid-filled loops of small bowel are shown (B). The lack of normal mural enhancement of the cecum on CT, compared with the normally enhancing small bowel loops, is suggestive of ischemia. The cecum was subsequently found to be necrotic at surgery. (c) Axial views of the lower abdomen show the gravid uterus (black arrows) [268]
Surgical options in the treatment of cecal volvulus include colonic detorsion open or laparoscopic [282] with or without appendectomy, colonic detorsion and either cecopexy or cecostomy, and right hemicolectomy. Evidence from several retrospective studies in general and pregnant population suggests that recurrence of cecal volvulus with either detorsion, cecopexy, or cecostomy is unacceptably high; thus, right hemicolectomy is the treatment of choice for this disease [275, 283]. In pregnancy, resection of the hypermobile cecum is justified to avoid recurrence.
7.9.7 Prognosis
7.9.7.1 Maternal and Fetal Outcome
It is obvious (see Sect. 7.9.2) that in the early twentieth century, up to 1940, due to complex clinical picture and limited diagnostic modalities, the prognosis for mother and the newborn was extremely poor.
7.10 Incarcerated Internal Hernia
7.10.1 Post-Bariatric Surgery
7.10.1.1 Introduction
During the last two decades, there has been a dramatic increase in the number of bariatric surgeries performed for the management of morbid obesity [284], with Roux-en-Y gastric bypass (RYGB) comprising the most frequent such surgery performed in the United States [285, 286]. Laparoscopic RYGB is becoming one of the most commonly performed weight loss surgeries in the United States, especially in females of childbearing age. Weight loss is likely to reduce infertility and increase sexual activity, leading to increase pregnancy rates in such females. The health risks experienced by obese women during pregnancy can be reduced by the weight loss induced by bariatric surgery [287–289], but these patients are at risk of bariatric surgical complications during their pregnancies. Women who have undergone Roux-en-Y gastric bypass for morbid obesity are at risk of internal hernias, intussusception, and small bowel obstruction during pregnancy, which can lead to maternal and/or fetal death [290]. The most common site of herniation following laparoscopic RYGB is through a surgical defect in the transverse mesocolon, which is created when using a retrocolic approach in forming the anastomosis between the Roux limb and gastric pouch. Although some surgeons may opt to use an antecolic approach to avoid the creation of such a defect, it remains possible for small bowel to herniate through a surgical defect in the small bowel mesentery or through a defect between the Roux limb mesentery and the transverse mesocolon, constituting a so-called Petersen’s hernia (Fig. 7.30) [292].

Fig. 7.30
Diagram of the internal hernias that may occur following laparoscopic RYGB. The hernia through the transverse mesocolon defect is the most common hernia that occurs following laparoscopic RYGB but is only possible when a retrocolic approach is used. When an antecolic approach is used, it is possible for small bowel to herniate through the space between the Roux limb mesentery and the transverse mesocolon (Petersen’s hernia) or through the surgically created small bowel mesenteric defect. Note that these later two hernias may uncommonly occur in the setting of a retrocolic approach as well [291]
Although an internal hernia in this setting is challenging to diagnose clinically given the nonspecific and often subtle presentation, a delay in diagnosis and operative treatment may result in dire consequences, including bowel incarceration, ischemia, gangrene, sepsis, and possibly death [285, 293, 294]. There has been increasing awareness by the radiology community of the risk of internal hernia following gastric bypass surgery, as well as of the critical nature of establishing the diagnosis, with numerous recent studies in the radiology literature demonstrating the ability of abdominal CT to diagnose an internal hernia following RYGB [284, 295–298]. A number of recent reports have described internal hernia following RYGB that occurred in a female patient during pregnancy. Indeed, over 80 % of gastric bypass surgeries in the United States are performed in female patients [299], frequently of childbearing age [286, 294]. The significant weight loss that results from the surgery has been found to improve fertility and increase sexual activity, such that pregnancy commonly occurs in patients with a history of RYGB [286, 290, 294, 300].
7.10.1.2 Incidence
Internal hernia has been estimated to occur in up to 5 % of patients following laparoscopic RYGB for morbid obesity [301]. This rate is higher than when this surgery is performed using an open approach, attributed to greater adhesion formation with the open approach that serves to tether and immobilize small bowel loops, preventing their passage through surgically created mesenteric defects [284, 294, 300]. Modifications of the initial bypass procedure to lower the risk of subsequent internal hernia are not fully effective in this aim. For instance, although it has become common to suture all mesenteric defects at the time of initial surgery, the rapid weight loss that occurs postoperatively predisposes to a widening of suture lines and reopening of these defects [285, 286, 300–302].
In 2004, Moore et al. provided the first report of a transmesenteric internal hernia following RYGB occurring in a pregnant patient [290]. The diagnosis was delayed resulting in extensive bowel infarction by the time of eventual emergency laparotomy. The mother and fetus ultimately died. Following this initial case, nine further reports have been identified representing a total of 11 additional patients with internal hernia following RYGB in pregnant patients [285, 286, 293, 294, 299, 300, 303–306]. It is suggested in these reports that pregnancy may contribute to the development of internal hernia secondary to increased abdominal pressure and superior displacement of small bowel loops by the enlarged gravid uterus [285, 286, 294, 300, 303].
The maternal age was in the range of 23–41 years. There was a wide spectrum of intervals between RYGB and the time of internal hernia, ranging from 6 months to 9 years [285, 286, 290, 294]. The possibility of developing an internal hernia following gastric bypass surgery is a lifelong risk [286]. It is notable that almost 50 % of the cases [285, 294, 303–305] occurred within a year of RYGB, in view of the recommendation that women avoid pregnancy for at least 1 year following the procedure to allow for complete wound healing and stabilization of weight [285, 286, 294]. Petersen’s hernia occurred in four patients [293, 296, 298, 300], and mostly it occurs in the third trimester and equally in the first and second trimesters.
7.10.1.3 Clinical Presentation
One of the most important aspects in the long-term postoperative care of gastric bypass patients is the prompt diagnosis and treatment of the patient who presents with abdominal pain and obstructive symptoms. In patients who have undergone gastric bypass for morbid obesity, internal hernias of the small bowel, with or without bowel obstruction, can develop and can be catastrophic. Patients can present with severe epigastric pain or periumbilcal pain, initially cramping, and seek to find a position of comfort, either leaning forward or on their side. Patients typically have nausea and retching. The laboratory evaluation is often relatively normal at presentation; this can delay appropriate care if physicians are not experienced in the care of these patients. Plain abdominal X-rays often do not show typical signs of obstruction such as air-fluid levels or dilated loops of bowel, and the findings can be misleading.
Once internal hernias occur, the obstructed afferent limb of duodenum presents no typical symptomatology suggestive of intestine obstruction [305]; therefore, progression from obstruction to strangulation and ischemia develop. Laboratory findings provide no help in differentiation. Instead, the impression could initially be the diagnosis of conditions such as gastritis, perforation of peptic ulcer, or acute pancreatitis.
7.10.1.4 Diagnosis
In six of 12 (50 %) reports [286, 294, 299, 300, 303], the CT appearance of the internal hernia is demonstrated. In an additional three reports, the CT findings assisted in the diagnosis [285, 305]. The CT findings noted in these cases match the characteristic CT findings of internal hernia following RYGB described in the radiology literature, including an abnormal cluster of small bowel loops and displacement, engorgement, and stretching of the mesenteric vessels [295, 307]. Four of the articles maintain that CT should be obtained promptly, even in the pregnant patient, given increased recognition of the appearance of internal hernia using this method [286, 290, 299, 300].
Abdominal CT scan with oral and intravenous contrast is the best radiological tool for evaluation in gastric bypass patients who present with obstructive symptoms of internal hernias. Radiologists with little experience in the care of these patients can miss the subtle signs of an internal hernia without obvious obstruction. The interpretation of the CT scan by an experienced bariatric surgeon and radiologist experienced in bariatric patients can often make the diagnosis of altered anatomy of an internal hernia [284, 308]. The risk of radiological imaging of the pregnant patient using CT is a major concern, but the benefit is these scenarios need to be considered to avoid catastrophe [309]. The policy for gastric bypass patients presenting with obstructive symptoms of internal hernia typically includes rapid evaluation by abdominal CT scan; however, we have a low threshold to proceed to diagnostic laparoscopy on the basis of clinical symptoms alone.
The various findings identified on MRI in this case match the previously reported CT findings of an internal hernia [295, 297, 298, 302, 307, 310]. It is noted that the mesenteric vessels were not optimally assessed as intravenous gadolinium chelate was not administered; however, such an assessment was not ultimately required for making the diagnosis in this particular case. Previous reports have shown the utility of MRI in the pregnant patient for diagnosing other small bowel abnormalities, including obstruction from postoperative adhesions [311] and ventral hernia [312]. It seems reasonable that MRI could have utility in establishing the diagnosis of an internal hernia in future patients with a similar operative history and presentation. However, MRI cannot replace CT for this diagnosis in all cases. For instance, the only suggestive findings in some cases may involve changes in the mesenteric vasculature, which would not be optimally assessed by unenhanced MRI (Fig. 7.31). Furthermore, MRI may not be available on an emergent basis in all institutions. CT remains an option in cases in which MRI cannot be performed or in which the diagnosis remains equivocal following MRI. Based upon this report, MRI should at least be considered during the evaluation of a pregnant patient with a history of RYGB who presents with abdominal pain, as this approach may enable a confident diagnosis without the use of ionizing radiation [291].

Fig. 7.31
Axial, single-shot, fast spin-echo, MR images (a) and (b) demonstrate a cluster of small bowel loops in the left upper quadrant, including a dilated loop (solid arrow, a), that overlie a centrally displaced segment of the transverse colon (dotted arrow) and show no overlying omental fat (solid arrow, b). Axial, fat-suppressed, single-shot, fast spin-echo, MR image (c) better demonstrates the presence of mesenteric edema in this region (solid arrow). Coronal, single-shot, fast spin-echo, MR image (d) demonstrates herniation of fat with prominent vessels through a mesenteric defect (solid arrow) as well as the abnormally positioned loops of the small bowel within the far left lateral aspect of the abdominal cavity with an absence of overlying omental fat (dotted arrow). An additional coronal, single-shot, fast spin-echo, MR image (e) confirms the presence of the dilated loop of the small bowel in the left upper quadrant (solid arrow) [291]
7.10.1.5 Therapy
Treatment depends on the vitality of the bowel. If gangrenous changes are present, then segmental resection with anastomosis is indicated (Fig. 7.32). Since the three cases (27 %) were diagnosed in the third trimester and had exploratory surgeries performed within 2 days of admission, the conclusion drawn is that the cases of the third trimester had serious bowel strangulation due to high pressure. Moreover, due to high fetal survival rate in the third trimester, the decision to perform an exploratory laparotomy is made more easily without hesitation than in other trimesters.

Fig. 7.32
After Cesarean delivery, an exploratory laparotomy demonstrated gangrenous change of the upper jejunum due to fibrous band involving the afferent limb near the site of the Roux anastomosis. Segmental resection of the nonviable bowel, about 20 cm in length, was performed [304]
7.10.1.6 Prognosis
Maternal Outcome
Mother survived in all (11) cases making mortality rate 0 %, although endometritis and deep venous thrombosis occurred in 1 case [285].
Fetal Outcome
The fetus survived in all but 2 [286, 305] of these 11 cases making the mortality rate 18 %. Fetal morbidity is not known.
7.10.2 Spontaneous Incarcerated Internal Hernia
7.10.2.1 Sigmoid Mesocolon Hernia
Incidence
The incidence of internal hernia is estimated to account for approximately 1–6 % of intestinal obstruction [313]. Sigmoid mesocolon hernia is an uncommon type and estimated to account for approximately 6 % of internal hernia [314–317]. Up to 2005, there were 15 cases of transmesosigmoid hernias (see Sect. Classification) [318]. There are only two cases in pregnancy and postpartum published (see Sect. Etiology).
Classification
Benson and Killen in 1964 classified these hernias in general population into three types [319]:
· Intersigmoid hernia: Herniation into an intersigmoid fossa, situated at the attachment of the lateral aspect of the sigmoid mesocolon.
· Transmesosigmoid hernia: Incarceration of intestinal loops through an isolated, oval defect in the sigmoid mesocolon.
· Intramesosigmoid hernia: A congenital, oval defect unrelated to the intersigmoid fossa is present in the lateral peritoneal surface of the mesocolon, and herniation occurs.
Etiology
Pathologic apertures of the mesentery and visceral peritoneum are due mostly to congenital, surgical, traumatic, inflammatory, or circulatory etiologies [314]. Congenital causes of sigmoid mesocolon hernias have also been proposed as possible causes [318, 320]. However, the role of congenital factors remains obscure and theoretical. Some case reports have documented transmesosigmoid hernias developing during pregnancy or postpartum [318, 321]. The authors of these case reports proposed that dilatation and shrinkage of the uterus concomitant with pregnancy or delivery contributed to the development of transmesosigmoid hernias. The abnormal aperture could have been formed from the sigmoid mesocolon tearing by traction due to postpartum shrinkage of the enlarged uterus. One of the theories is that herniation could have occurred a few decades later through the abnormal aperture formed during the pregnant period in some cases.
Clinical Presentation
The clinical features of internal hernia are abdominal pain, distension, and vomiting. According to a review by Kaneko and Imai, more than 21 % of patients complained of left lower abdominal pain [322].
Diagnosis
Plain abdominal X-ray shows distended small bowel loops and air-liquid level formation, suggestive of a mechanical obstruction.
Abdominal CT scan demonstrated (as in all small bowel obstructions) ascites, dilated small bowel loop with a cutoff at the same level of the small bowel. The key CT findings for diagnosis of the transmesosigmoid hernia included [323]:
· A cluster of dilated fluid-filled loops of the small bowel entrapped in the left posterior and lateral aspect of the sigmoid colon through a mesosigmoid defect.
· The defect was located between the sigmoid colon and the left psoas muscle.
· The sigmoid colon showed anterior and medial displacement.
· These encapsulated loops of the small bowel showed U- or C-shaped configurations and wall thickening representing closed-loop obstruction and ischemic change.
· Attached mesentery with vessels engorgement and fat obliteration indicating strangulation.
· The proximal small bowel showing dilatation.
However, in the majority of cases, the diagnosis of transmesosigmoid hernia is confirmed only by surgical intervention [324–326].
Therapy
Patients with small bowel obstruction not responding to conservative management require operation. If an internal hernia is suspected, the operation should be prompt, as strangulation and gangrene of the bowel is likely to occur if the surgery is delayed. The role of laparoscopy in patients with intestinal obstruction is being increasingly recognized in general population, but due to small number of pregnant patients, its role in pregnancy is not defined. Kaneko and Imai reported that necrosis of the strangulated intestine occurred in up to 80 % of patients with a transmesosigmoid hernia during the course of treatment, necessitating extensive resection of the small intestine [322].
Prognosis
Maternal outcome is excellent because in both cases there were no massive bowel resections and pregnant population is mostly young and without comorbidities.
7.10.2.2 Transomental Herniation
Idiopathic transomental herniation in general population is an extremely rare cause of small bowel obstruction, accounting for just 1–4 % of all cases of intra-abdominal herniation [327]. There is only one case published on this pathology, but with confusing intraoperative description, different to one found in the title of the article (There was a hernia sac between the root of the mesentery and transverse mesocolon). Her operation was uncomplicated and lasted for about 90 min. She had an uneventful postoperative course is standard term for normal postoperative course. She was discharged on the fifth postoperative day with a continuing pregnancy. She went into labor at term, had a labor epidural, and was delivered by emergency Cesarean section for suboptimal cardiotocography. A good sized healthy female baby was born. She had an uneventful postoperative course [328].
7.11 Gastric Outlet Obstruction
7.11.1 Heterotopic Pancreas
7.11.1.1 Incidence
Heterotopic pancreas (HP) in general population is often found incidentally in patients operated on for other reasons or during autopsies. The condition is relatively uncommon; it has been found in 0.6–13 % of patients in autopsy studies [329, 330] and encountered in about one of 500 operations in the upper abdomen [331–336]. A few cases of HP as a cause of gastric outlet obstruction in infant [337], child [338], and adults [329, 339–345] have been published. There is only one case of HP causing gastric outlet obstruction in pregnancy [84]. There is one case of gastric outlet obstruction in pregnancy due to active chronic peptic ulcer [346] and another of a case of HP (in the small bowel) causing small bowel intussusception (see Sect. 7.7.1) [85].
7.11.1.2 Embryology
It is possible that early in fetal life, during rotation of the foregut and fusion of the dorsal and ventral parts of the pancreas, small parts are separated from it and continue to develop in the wrong location [347]. Most often, HP is found in the stomach, duodenum, and jejunum, but it may also be found anywhere in the digestive tract, intra-abdominally, in the mediastinum, and in the lung [348].
7.11.1.3 Clinical Presentation
The symptoms can be (a) non-emergent such as epigastric pain (77 %) and abdominal fullness (30 %), (b) semi-urgent as tarry stools (24 %) due to ulceration, or (c) emergent as due to intussusception and obstruction [333, 349–351]. Gastric outlet obstrucion mostly presents first as postprandial vomiting and weight loss with progression of vomiting [342, 345].
Although HP often exists from childhood, it seldom causes symptoms. Conditions that trigger this previously asymptomatic disorder to become symptomatic include bacterial infection and pancreatitis [352, 353], and there is only one report of an ectopic pancreas becoming symptomatic due to pregnancy [84]. Authors think that symptoms developed as the enlarging uterus narrowed both the gastroduodenal canal and the peritoneal space, although the ectopic pancreas itself existed beforehand. Currently, there is no report about the relationship of enlargement of a HP with the hormonal changes in gestation.
7.11.1.4 Diagnosis
This disorder is difficult to diagnose preoperatively, despite modern diagnostic procedures such as abdominal ultrasonography, gastroduodenoscopy (Fig. 7.33), and abdominal CT [351, 354]. According to one report of patients in general population, only 6 % (1/17) of them were considered to have a HP preoperatively [351]. In the only published case in pregnancy [84], an accurate diagnosis was not able to be made from the abdominal MRI findings because of the contrast medium restrictions and the motion artifact of the fetus (Fig. 7.34). Degenerated GIST is similar to a submucosal tumor with a central cyst, although it usually grows extraluminally rather than intraluminally in the upper stomach. Contrast-enhanced CT scans may help to make a prompt diagnosis [355]. In conclusion, HP should be considered in the differential diagnosis of a potentially obstructive gastric submucosal tumor, even though it is a rare event.

Fig. 7.33
Preoperative gastro-fiberscopic examination showed a submucosal tumor prolapsing through the pyloric ring and obstructing the gastric outlet [84]

Fig. 7.34
T2-weighted magnetic resonance imaging showed a 4.7 × 3.6 × 2.4 cm target-like tumor in the posterior wall of the gastric antrum (arrowhead). The relatively large central portion showed a high signal intensity suggesting cystic components. The fetus can be clearly seen in the low abdomen [84]
7.11.1.5 Therapy
There are two standard procedures for gastric outlet obstruction. One is endoscopic balloon dilatation (especially suitable for peptic gastric outlet obstruction) and another is surgery. Surgery is always indicated when there is a suspicion of malignancy. Taking a full-thickness biopsy of the lesion at surgery is mandatory for establishing the diagnosis of HP from a frozen section; however, this carries the risk of scattering cells if there is malignant disease [334]. This disorder can be treated by various operative procedures, including bypass gastroenterostomy or antrectomy with gastroduodenal anastomosis [334–336]. Lymphadenectomy is not considered necessary as lymphatic spread rarely occurs from a HP or GIST [356]. Less invasive surgery can successfully be performed through a small skin incision. Antrectomy without lymph node dissection was most appropriate to avoid interruption of the pregnancy.
Histologically, HP with mucus retention of the gastric antrum needs to be differentiated from duplication and mucinous carcinoma of the stomach. Frozen sections at surgery are not enough to distinguish these three diseases without verifiable pancreatic tissue [357]. Duplication of the stomach can easily be ruled out if the lining of the cysts did not consist of normal gastric mucosa. Although extremely rare, the possibility of adenocarcinoma arising from ectopic gastric pancreas must also be considered [358].
7.12 Gynecologic Causes of Intestinal Obstruction
The cause of the intestinal obstruction is very important because apart from treating obstruction with its consequences itself, also a cause itself sometimes should be treated additionally. Gynecologic causes of acute abdomen are present in the separate chapter, and gynecologic conditions would unlikely be considered as an underlying cause of intestinal obstruction.
7.12.1 Ovarian Teratoma
7.12.1.1 Incidence
The occurrence of teratoma with pregnancy is uncommon; only about 10 % of the cases of matured cystic teratoma are diagnosed during pregnancy [359]. The most of the cases presented in the second trimester [360, 361]. Mature cystic teratomas usually occur in young women with a peak age incidence of between the ages of 20 and 40 years [362].
7.12.1.2 Clinical Presentation
The most frequent symptom of teratoma is lower abdominal pain. Only few cases present for the first time with abdominal mass [363]. Though the complications of teratoma in pregnancy include torsion, rupture, obstruction to birth canal, there is only one reported case of its association with intestinal obstruction [361]. There was 2-week history of abdominal pain, abdominal distension, and vomiting. The pain was located around the umbilical region and was colicky in nature. There was associated constipation with signs of generalized abdominal tenderness.
7.12.1.3 Diagnosis
With respect to diagnosis, abdominal ultrasound (transabdominal and transvaginal) scan is the method of choice. In the single case report, a repeat ultrasound scan also reported a singleton intrauterine pregnancy with vague abdominal masses on both sides of the uterus and distended bowel loops. It is able to determine the dimension of the tumor [361].
7.12.1.4 Therapy
A diagnosis of intestinal obstruction in pregnancy was made, and a laparotomy was performed. Findings at surgery were those of bilateral ovarian masses (benign cystic teratoma) with the right causing kinking of the small intestine (ileum). The right mass adhered partially to the ileum, and it separated from it without difficulty (Figs. 7.35 and 7.36). The adhesion might have resulted from a response of the surrounding tissue, including intestine to the pressure effect of the tumor. On the other hand, it might have also resulted from minor leak of tumor content into the surrounding tissue. However, there was no evidence of invasion of the intestinal wall thus ruling out gross feature of malignancy. The size of both tumors was approximately 15 cm in diameter. This tumor possibly existed before the onset of pregnancy. Caspi et al. reported that teratomas less than 6 cm occurring before pregnancy do not grow during pregnancy [364].

Fig. 7.35
Teeth and other structures of benign ovarian teratoma causing small bowel obstruction with dilated loops [361]

Fig. 7.36
Intra-abdominal teratoma being teased from distended bowel loops [361]
7.12.1.5 Prognosis
As the tumor was benign, the pregnancy was carried to term and she delivered a male baby by spontaneous vertex delivery. APGAR score of the baby at birth was 7 at 1 min and 8 at 5 min [361].
7.12.2 Ectopic Pregnancy
7.12.2.1 Incidence
Most complications of ectopic pregnancy are in the form of tubal rupture with massive hemorrhage and hemorrhagic shock. There are only three cases of intestinal obstruction due to ectopic pregnancy published. Catani et al. reported a case of intestinal obstruction due to adhesion from an ectopic pregnancy located on the mesenteric side of the ileum [365]. The other similar case of terminal ileum obstruction is presented by Singh [366]. Orawke et al. reported another case of combined intrauterine and extrauterine pregnancy diagnosed preoperatively as simple intestinal obstruction [367].
7.12.2.2 Clinical Presentation
There are two conditions that present simultaneously. The most common signs and symptoms of ectopic pregnancy include amenorrhea, abdominal pain, irregular vaginal bleeding, and pain on abdominal or pelvic examination. A pelvic adnexal mass is palpated in only 50 % of the patients. Unfortunately, the most common signs and symptoms of ectopic pregnancy are correct in predicting only 50 % of cases [368]. Abdominal pain is the single most consistent feature of ectopic pregnancy [369]. Clinicians should have a high index of suspicion for ectopic pregnancy in patients with a previous history of tubal pregnancy, tubal surgery, pelvic inflammatory disease (PID), tubal disease, endometriosis, abdominal surgery itself, intrauterine device, fertility treatment, smoking, and history of multiple sexual partners.
The presentation of bowel obstruction is described earlier in the chapter (see Sect. 7.1).
7.12.2.3 Differential Diagnosis
Possible differential diagnoses include [370]:
· Pelvic inflammatory disease
· Acute appendicitis
· Typhoid enteritis
· Incomplete septic abortion
· Uterine fibroid
· Gastroenteritis
· Peptic ulcer
· Intestinal obstruction
7.12.2.4 Diagnosis
To improve the chances of correctly diagnosing an ectopic pregnancy, admitting staff should obtain accurate menstrual and sexual history, and facilities should be able to provide serum β-human chorionic gonadotropin (βHCG) levels and transvaginal ultrasound scans [370]. Transabdominal ultrasound is of little help due to dilated bowel loops which prevent adequate visualization. The diagnosis of bowel obstruction is described earlier in the chapter, and diagnostic algorithm is standard when intestinal obstruction is suspected. These diagnostic modalities itself cannot reveal ectopic pregnancy as the cause of obstruction. First, diagnostic modality is plain abdominal X-ray showing air-liquid levels (Fig. 7.37).

Fig. 7.37
Plain abdominal radiographs with the patient in both the upright and supine positions show multiple air-fluid levels and dilated jejunal loops [366]
Almost all ectopic pregnancies are tubal (97.7 %); therefore, obstruction develops in the lower abdomen, and two of three cases were located in the terminal ileum [365, 366].
7.12.2.5 Therapy
There are several therapeutic options for ectopic pregnancy, including medical (methotrexate), expectant, and surgical. In cases with intestinal obstruction due to ectopic pregnancy, surgery is the only modality to deal with obstruction and ectopic pregnancy simultaneously.
Surgical Therapy
The type of operation for intestinal obstruction depends on the severity of the obstruction. If simple, adhesiolysis is performed. If gangrene is present due to long-standing obstruction or strangulation, bowel resection is made. Decision on continuity or stoma is made on several factors as in other causes of intestinal obstruction.
Gynecologic Therapy
The type of operation for ectopic pregnancy depends on the location of ectopic pregnancy. Treatment of choice for unruptured ectopic pregnancy is salpingostomy, sparing the affected Fallopian tube and thereby improving future reproductive outcome. Salpingectomy is performed if Fallopian tube is morphologically changed in a way that it precludes further fertility.
7.13 Intestinal Obstruction Caused by Normal Pregnancy
7.13.1 History
Pinard in 1902 was quoted by LePage et al.: There is no need to begin another chapter in puerperal pathology entitled ‘Intestinal Occlusion of Pregnancy’. I have never seen intestinal occlusion complicate a normal pregnancy [371]. The explanations offered by the various French and German writers varied. The French writers discuss the anatomic causes in abdomens without previous surgical intervention and so without adhesions as far as is known. Sencert and Cuneo called attention to the intestinal occlusion caused by a loop of bowel caught and held by the infundibulopelvic ligament, the latter being held taut by a gravid uterus rising into the abdomen. Vautrin, of Nancy, in 1922 presented two cases of acute intestinal obstruction caused apparently by normal pregnancy [372]. In discussing these cases Vautrin pointed out the “colic angulation” caused by the tense infundibulopelvic ligament, the stercoral accumulation adding to the trouble, and the two causing obstruction. Ludwig, in 1913, assembled 96 cases of intestinal obstruction occurring during pregnancy. He found the condition most common in the 3rd and 4th months and again in the last 3 weeks of pregnancy [2]. These cases were perhaps in part aggravated by the pregnancy, but none could be directly attributed to the pregnancy alone. In 1918, Fleischauer [373] reported two intestinal obstructions during pregnancy – one, a woman pregnant 4 months, with severe obstruction and peritonitis. At the autopsy, a hindrance to the passage of the intestinal contents was found at a point where the possibility of compression between the uterus and pelvic brim arose. There was also dilatation of the ureters where they entered the pelvis, so that in this case the gravid uterus must be considered the cause of the obstruction, in his opinion. According to Fleischauer, this case confirmed the opinion of Van der Hoeven, in 1912, that in the 3rd and 4th months of pregnancy an occlusion of bowel is more liable to appear than at any other time, that is to say, at the time the uterus rises beyond the brim of the pelvis [374]. Der Verf was of the opinion that in the final analysis the cause of the ileus is to be found in the bowel itself owing to muscle weakness and loss of muscle tone. A second case described by Fleischauer appeared at the 6th month. The obstruction was caused by adhesions from a previous operation – the growing uterus being simply the deciding factor in the cause of the ileus. In LePage et al.’s comprehensive treatise on the subject from 1913, the patients are divided into two classes [371]:
· Without any past history of intestinal or peritoneal trouble
· With history of intestinal or peritoneal trouble and possible operation
LePage et al. say: If we can diagnose those exceptional cases in which the presence of a gravid uterus suffices to produce obstruction, even occlusion, in an intestine non-adherent and with no bands, but simply compressed, therapeutics should immediately consist in getting rid of the uterine tumor. This course, he adds, raises the great question of the right of the fetus to life. Kohler, in 1920, says the cases in which a pregnant uterus alone produces the ileus are rare [375].
7.13.2 Incidence
The incidence is extremely rare. Review of the literature up to 1926 by Bohler found only twelve cases published in a paper from 1930 [376]. Additional four cases have been collected since (see Sect. 7.13.3).
7.13.3 Pathophysiology
The concept of pathophysiologic process is simple. The enlarged uterus causes compression, on the locations where the bowel cannot move freely or where there are junctions of mobile and immobile parts of the bowel:
1.
2.
3.
Ad 1. Rectosigmoid junction is the most common location because the uterus is located in the lower abdomen in all phases of uterine enlargement. Possible additional factor is long sigmoid loop predisposing to kinking and development of sharp angles [373, 374, 377].
Ad 2. Theoretically, incidence is increasing as the pregnancy advances due to enlargement of the uterus (both cases are after 32 weeks of gestation). In pregnant patients with the normal bowel anatomy, the terminal ileal loops remain relatively mobile, allowing them to move aside when abutted by the enlarging uterus and thereby maintain normal patency and function. The obstruction can have several similar mechanical mechanisms. The enlarging uterus may in addition drag on the ileostomy loop from within, causing stomal retraction. Incarceration is a theoretical risk; it can arise either from adhesions fixing the retroverted uterus in the pelvis, or possibly from the pernicious habit of rectal surgeons of using the uterus to close the pelvic floor after excision of the rectum. Stomal problems are common and are caused by displacement, enlargement, and sometimes prolapse. Fortunately, most of the stretching of the abdominal wall is in the region of the linea alba, and the stoma gets eased out of the way laterally. It should be noted that in patients with ileostomy, additional nutritional support, as oral iron, can provoke ileostomy dysfunction.
Ad 3. Explanation could be that ileum proximal to J-pouch is more or less tensed and cannot freely move away from the enlarging uterus and therefore obstruction occurs [378].
There are some conditions that should be fulfilled for the diagnosis of intestinal obstruction caused by normal pregnancy:
· No obstructive symptoms before pregnancy except long-standing constipation
· No other causes of obstruction intraoperatively
· Compression of the enlarged uterus on the bowel at the site where the proximal distended bowel continues to the collapsed bowel
· No other causes of stomal obstruction (parastomal hernia, stenosis, or prolapse)
7.13.4 Diagnosis
When intestinal obstruction is suspected, of any cause, plain abdominal X-ray is most often diagnostic and sufficient for the indication for the emergent operation. MRI of the abdomen with or without contrast (oral or intravenous) can be used in unequivocal cases (Fig. 7.38). Multiplanar images could demonstrate multiple loops of the dilated small intestine. The point of transition from distended to the collapsed bowel can be identified with or without focal lesion as they likely cause of obstruction. MRI is important because it can delineate bowel wall thickening or mucosal abnormalities or signs of parastomal hernia [242].

Fig. 7.38
(a) Coronal T2-weighted images identify dilated loops of the small bowel (indicated by the white arrow) from the left upper quadrant down to the level of the ileostomy in the right iliac fossa (indicated by the black arrow); (b) Axial image at the level of the stoma identifies a change in caliber, (indicated by the white arrow) from the dilated small bowel to the collapsed bowel adjacent to the uterus indicating the compressive effect of the uterus to be the cause of obstruction; (c) Dilated loops of the small bowel in the midline posterior to the uterus (indicated by the white arrow) [242]
7.13.5 Therapy
It is fortunate that the condition is extremely rare, and when it does occur the majority of babies have reached the age of viability. It would seem sane to suggest, then, that when intestinal obstruction intervenes in the course of normal intrauterine pregnancy, the abdomen be opened and the cause, if at all possible, be ascertained. If there are no causes of obstruction except bowel compression by the enlarged uterus, then Cesarean section should be performed.
If there is suspicion that intestinal obstruction is due to pregnancy, without strangulation, and is present near term, the delivery should be started, vaginally or by Cesarean section. This method can be therapeutic [379] but should be performed with caution.
References
1.
Houston J, cited by Hansen F. Intestinal obstruction in the fourth month of pregnancy due to adhesions. J Iowa Med Soc. 1941;31:237.
2.
Ludwig F. Z Geburtsh Gynäk. 1913;75:324.
3.
Levy-Klotz, Cuneo, Pinard. Ann de Gynéc et d’Obst. 1918;10:372.
4.
Eliason E, Erb W. Intestinal obstruction complicating pregnancy. Surgery. 1937;1:65–73.
5.
Goldthorp WO. Intestinal obstruction during pregnancy and the puerperium. Br J Clin Pract. 1966;20:367–76.PubMed
6.
Perdue PW, Johnson Jr HW, Stafford PW. Intestinal obstruction complicating pregnancy. Am J Surg. 1992;164:384–8.PubMed
7.
Smith JA, Bartlett MK. Acute surgical emergencies of the abdomen in pregnancy. N Engl J Med. 1940;223:529–31.
8.
Morris DW. Intestinal obstruction and pregnancy. J Obstet Gynaecol Br Commonw. 1965;72:36–44.PubMed
9.
Myerson S, Holtz T, Ehrinpreis M, Dhar R. Small bowel obstruction in pregnancy. Am J Gastroenterol. 1995;90:299–302.
10.
Damore 2nd LJ, Damore TH, Longo WE, Miller TA. Congenital intestinal malrotation causing gestational intestinal obstruction. A case report. J Reprod Med. 1997;42:805–8.PubMed
11.
Lopez Carral JM, Esen UI, Chandrashekar MV, Rogers IM, Olajide. Volvulus of the right colon at pregnancy. Int J Clin Pract. 1998;52:270–1.PubMed
12.
Chiedozi LC, Ajabor L, Iweze F. Small intestinal obstruction in pregnancy and puerperium. Saudi J Gastroenterol. 1999;5:134–9.PubMed
13.
Dunselman GAJ. Intestinal obstruction in pregnancy. Trop Doct. 1983;13:174–7.PubMed
14.
Osime OC, Onakewhor J, Irowa OO. Intussusception in pregnancy – a rarely considered diagnosis. Afr J Reprod Health. 2010;14:145–8.PubMed
15.
Hudson CN. Ileostomy in pregnancy. Proc R Soc Med. 1972;65:281–3.PubMedCentralPubMed
16.
Lederle FA. Epidemiology of constipation in elderly patients. Drug-utilisation and cost-containment strategies. Drugs Aging. 1995;6:465–9.PubMed
17.
Anderson AS. Constipation during pregnancy: incidence and methods used in treatment in a group of Cambridgeshire women. Health Visit. 1984;57:363–4.
18.
Marshall K, Thompson KA, Walsh DM. Incidence of urinary incontinence and constipation during pregnancy and postpartum: survey of current findings at the Rotunda lying-in hospital. BJOG. 1998;105:400–2.
19.
Rome foundation. Guidelines – Rome 3 diagnostic criteria for functional gastrointestinal disorders. J Gastrointestin Liver Dis. 2006;15:307–12.
20.
Derbyshire E, Davies J, Costarelli V. Diet, physical inactivity and the prevalence of constipation throughout and after pregnancy. Matern Child Nutr. 2006;2:127–34.PubMed
21.
Derbyshire EJ, Davies J, Detmar P. Changes in bowel function: pregnancy and the puerperium. Dig Dis Sci. 2007;52:324–8.PubMed
22.
Moriarty KJ, Irving MH. ABC of colorectal disease. Constipation. Br Med J. 1992;304:1237–40.
23.
Nelson MM, Forfar JO. Association between drugs administered during pregnancy and congenital abnormalities of the fetus. Br Med J. 1971;1:523–7.PubMedCentralPubMed
24.
Heinonen OP, Stone D, Shapiro S. Birth defects and drugs in pregnancy. Littleton: Publishing Sciences Group; 1977.
25.
Biomedical Information Corporation. Compendium of drug therapy. New York: Biomedical Information Corp; 1984.
26.
Berkowitz RL, Cousten DR, Mochizcki TK. Handbook for prescribing medications during pregnancy. Boston: Little, Brown & Co.; 1981.
27.
West L, Warren J, Cutts T. Diagnosis of irritable bowel syndrome, constipation and diarrhea in pregnancy. Gastroenterol Clin North Am. 1992;21:793–801.PubMed
28.
DePiro JT, Michael KA, Clark BA, et al. Absorption of polyethylene glycol after administration of a PEG-electrolyte lavage solution. Clin Pharm. 1986;5:153–5.
29.
American Gastroenterological Association Institute. medical position statement on the use of gastrointestinal medications in pregnancy. Gastroenterology. 2006;131:278–82.
30.
Ogilvie H. Large-intestine colic due to sympathetic deprivation: a new clinical syndrome. Br Med J. 1948;2:671–3.PubMedCentralPubMed
31.
Atamanalp SS, Yildirgan MI, Mahmut Başoğlu M, et al. Ogilvie’s syndrome: presentation of 15 cases. Turk J Med Sci. 2007;37:105–11.
32.
Stephenson KR, Rodriguez-Bigas MA. Decompression of the large intestine in Ogilvie’s syndrome by a colonoscopically placed long intestinal tube. Surg Endosc. 1994;8:116–7.PubMed
33.
Dorudi S, Berry AR, Kettlewell MG. Acute colonic pseudoobstruction. Br J Surg. 1992;79:99–103.PubMed
34.
Datta SN, Stephenson BM, Havard TJ, Salaman JR. Acute colonic pseudo-obstruction. Lancet. 1993;341:690.PubMed
35.
Vanek VW, Al-Salti M. Acute pseudo-obstruction of the colon (Ogilvie’s syndrome). An analysis of 400 cases. Dis Colon Rectum. 1986;29:203–10.PubMed
36.
Jetmore AB, Timmicke AE, Byron Gathright J, et al. Ogilvie’s syndrome: colonoscopic decompression and analysis of predisposing factors. Dis Colon Rectum. 1992;35:1135–42.PubMed
37.
Dickson MA, McClure JH. Acute colonic pseudo-obstruction after caesarean section. Int J Obstet Anesth. 1994;3:234–6.PubMed
38.
Delgado-Aros C, Camilleri M. Pseudo-obstruction in the critically ill. Best Pract Res Clin Gastroenterol. 2003;17:427–44.PubMed
39.
Camilleri M. Acute colonic pseudo-obstruction (Ogilvie’s syndrome). http://www.uptodate.com.
40.
Stephenson BM, Morgan AR, Salaman JR, Wheeler MH. Ogilvie’s syndrome: a new approach to an old problem. Dis Colon Rectum. 1995;38:424–7.PubMed
41.
Strecker JR, Jaluvka V. Spontaneous caecum perforation following caesarean section. Geburtshilfe Frauenheilkd. 1988;48:489–93.PubMed
42.
Keswani RK, Singh RB, Banga BB, et al. Nonobstructive caecal perforation (Ogilvie’s syndrome) after normal vaginal delivery. Indian J Gastroenterol. 1989;8:121–2.PubMed
43.
Saclarides TJ, Harrison J. Pseudo-obstruction (Ogilvie’s syndrome). In: Fazio VW, Church JM, Delaney CP, editors. Current therapy in colon and rectal surgery. 2nd ed. Philadelphia: Elsevier Mosby; 2005. p. 321–6.
44.
Senagore AJ. Ogilvie: I remember that name. Curr Surg. 2001;58:345–9.PubMed
45.
Kodner IJ, Fry RD, Fleshman JW, et al. Colon, rectum and anus. In: Schwartz SI, Shires GT, Daly JM, Fischer JE, Galloway AC, editors. Principles of surgery. 7th ed. New York: McGraw Hill; 1999. p. 1275.
46.
Rolandelli RH. Diarrhea and constipation. In: Zinner MJ, Schwartz SI, Ellis H, Arstley SW, McFadden DW, editors. Maingot’s abdominal operations. 10th ed. Stamford: Appleton and Lange; 1997. p. 347.
47.
Saha AK, Newman E, Giles M, Horgan K. Ogilvie’s syndrome with caecal perforation after Caesarean section: a case report. J Med Case Reports. 2009;3:6177.PubMedCentral
48.
Bloch P, Contou JF. Ogilvie’s syndrome and non-mechanical obstructions. Rev Prat. 1993;43:711–5.PubMed
49.
Shakir AJ, Sajid MS, Kianifard B, Baig MK. Ogilvie’s syndrome-related right colon perforation after cesarean section: a case series. Kaohsiung J Med Sci. 2011;27:234–8.PubMed
50.
Cartlidge D, Seenath M. Acute pseudo-obstruction of the large bowel with caecal perforation following normal vaginal delivery: a case report. J Med Case Reports. 2010;4:123.PubMedCentral
51.
Schnitker MA, Mattman PE, Bliss TL. A clinical study of malnutrition in Japanese prisoners of war. Ann Intern Med. 1951;35:69–96.PubMed
52.
Solomon SM, Kirby DF. The refeeding syndrome: a review. J Parenter Enteral Nutr. 1989;14:90–7.
53.
Levine MG, Esser D. Total parental nutrition for the treatment of hyperemesis gravidarum: maternal nutritional effects and fetal outcome. Obstet Gynecol. 1988;72:102–7.PubMed
54.
Lee RV, Rodgers BD, Young C, Eddy E. Total parental nutrition during pregnancy. Obstet Gynecol. 1986;68:563–71.PubMed
55.
Bellingham F, Mekay R, Winston C. Pregnancy and intestinal obstruction. A dangerous combination. Med J Aust. 1949;2:318.PubMed
56.
Harer Jr WB, Harer Sr WE. Volvulus complicating pregnancy and the puerperium; report of three cases and review of literature. Obstet Gynecol. 1958;12:399–406.PubMed
57.
Stringer MD, Willetts IE. John Hunter, Fredrick Treves and intussusception. Ann R Coll Surg Engl. 2000;82:18–23.PubMedCentralPubMed
58.
Azar T, Berger DL. Adult intussusception. Ann Surg. 1997;226:134–8.PubMedCentralPubMed
59.
Huang WS, Changchien CS, Lu SN. Adult intussusception, a 12-year experience with emphasis on etiology and analysis of risk factors. Chang Gung Med J. 2000;23:284–90.PubMed
60.
Eisen LK, Cunningham JD, Aufses Jr AH. Intussusception in adults: institutional review. J Am Coll Surg. 1999;188(3):90–5.
61.
Alexander R, Traverso P, Bolorunduro OB, et al. Profiling adult intussusception patients: comparing colonic versus enteric intussusception. Am J Surg. 2011;202:487–91.PubMed
62.
Patankar T, Prasad S, Patankar Z, Chaudhry S. Ileo-ileo-colic intussusception secondary to an ileal lipoma. J Assoc Physicians India. 1999;47:923–5.PubMed
63.
Catalano O. Transient small bowel intussusception: CT findings in adults. Br J Radiol. 1997;70:805–8.PubMed
64.
Sato M, Ishida H, Konno K, et al. Long-standing painless intussusception in adults. Eur Radiol. 2000;10:811–3.PubMed
65.
Rathore MA, Andrabi SIH, Mansha M. Adult intussusception – a surgical dilemma. J Ayub Med Coll Abbottabad. 2006;18:3–6.PubMed
66.
Gayer G, Zissin R, Apter S, et al. Pictorial review: adult intussusception – a CT diagnosis. Br J Radiol. 2002;75:185–90.PubMed
67.
Lvoff N, Breiman RS, Coakley FV, et al. Distinguishing features of self-limiting adult small-bowel intussusception identified at CT. Radiology. 2003;227:68–72.PubMed
68.
Williamson H. Intussusception through a gastro-enterostomy wound occurring during labour. Proc R Soc Med. 1914;7:303–5.PubMedCentralPubMed
69.
Connolly MM, Unti JA, Nora PF. Bowel obstruction in pregnancy. Surg Clin North Am. 1995;75:101–13.PubMed
70.
Seidman DS, Heyman Z, Ben-Ari GY, et al. Use of magnetic resonance imaging in pregnancy to diagnose intussusception induced by colonic cancer. Obstet Gynecol. 1992;79:822–3.PubMed
71.
Chaffen L, Mason VR, Slemons JM. Intussusception during pregnancy. Surg Gynecol Obstet. 1937;64:817.
72.
Choi SA, Park SJ, Lee HK, et al. Preoperative diagnosis of small-bowel intussusception in pregnancy with the use of sonography. J Ultrasound Med. 2005;24:1575–7.PubMed
73.
Kocakoc E, Bozgeyik Z, Koc M, Balaban M. Idiopathic postpartum intussusception: a rare cause of acute abdominal pain. Med Princ Pract. 2010;19:163–5.PubMed
74.
Harma M, Harma MI, Karadeniz G, et al. Idiopathic ileoileal invagination two days after cesarean section. J Obstet Gynaecol Res. 2011;37:160–2.PubMed
75.
Yalamarthi S, Smith RC. Adult intussusception: case reports and review of literature. Postgrad Med J. 2005;81:174–7.PubMedCentralPubMed
76.
Martin-Lorenzo JG, Torralba-Martinez A, Liron-Ruiz R, et al. Intestinal invagination in adults: preoperative diagnosis and management. Int J Colorectal Dis. 2004;19:68–72.PubMed
77.
Barussaud M, Regenet N, Briennon X, et al. Clinical spectrum and surgical approach of adult intussusceptions: a multicentric study. Int J Colorectal Dis. 2006;21:834–9.PubMed
78.
Gould CH, Maybee GJ, Leininger B, Winter 3rd WE. Primary intussusception in pregnancy: a case report. J Reprod Med. 2008;53:703–7.PubMed
79.
Guyomard A, Calmelet P, Dellinger P, et al. Spontaneous acute intussusception in a pregnant woman. J Gynecol Obstet Biol Reprod (Paris). 2010;39:251–3.
80.
Luhmann A, Tait R, Hassn A. Intussusception in a 20 weeks pregnant woman: a case report. Cases J. 2009;2:6546.PubMedCentralPubMed
81.
Penney D, Ganapathy R, Jonas-Obichere M, El-Refeay H. Intussusception: a rare cause of abdominal pain in pregnancy. Ultrasound Obstet Gynecol. 2006;28:723–5.PubMed
82.
Insegno W, Fiorone E, Castrati G, et al. Intestinal intussusception in pregnancy with obstruction, caused by benign neurilemmoma. Role of abdominal echocardiography in the preoperative diagnosis. Minerva Ginecol. 1996;48:505–9.PubMed
83.
Shenhav S, Gemer O, Segal S, et al. Preoperative diagnosis of intestinal intussusception in pregnancy. A case report. J Reprod Med. 2000;45:501–3.PubMed
84.
Ikematsu Y, Nishiwaki Y, Kida H, et al. Gastric outlet obstruction caused by a heterotopic pancreas in a pregnant woman: report of a case. Surg Today. 2003;33:952–5.PubMed
85.
Gurbulak B, Kabul E, Dural C, et al. Heterotopic pancreas as a leading point for small-bowel intussusception in a pregnant woman. J Pancreas. 2007;8:584–7.
86.
Samara C, Tsikini A, Antoniou S, et al. Ultrasonographic and computed tomography manifestations of intussusception secondary to primary non-Hodgkin’s lymphoma diagnosed in puerperium: report of a case and review of the literature. Eur J Gynaecol Oncol. 2002;23:569–72.PubMed
87.
Vicdan K, Alaybeyoğlu L, Oğuz S, et al. Ultrasonographic appearance of non-Hodgkin’s lymphoma in a pregnant woman. Gynecol Obstet Invest. 1996;41:284–5.PubMed
88.
Choi SH, Han JK, Kim SH. Intussusception in adults: from stomach to rectum. AJR Am J Roentgenol. 2004;183:691–8.PubMed
89.
Kretzschmar U, Weidenhammer K, Rexroth W. Idiopathic intussusception in adults. Rontgenblatter. 1989;42:484–6.PubMed
90.
Begos DG, Sandor A, Modlin IM. The diagnosis and management of adult intussusception. Am J Surg. 1997;173:88–94.PubMed
91.
Abdul MA, Yusuf LM, Haggai D. Intussusception in pregnancy – report of a case. Niger J Surg Res. 2004;6:61–3.
92.
Toso C, Erne M, Lenzlinger PM, et al. Intussusception as a cause of bowel obstruction in adults. Swiss Med Wkly. 2005;135:87–90.PubMed
93.
Khan MN, Agrawal A, Strauss P. Ileocolic intussusception- A rare cause of acute intestinal obstruction in adults; case report and literature review. World J Emerg Surg. 2008;3:26–31.PubMedCentralPubMed
94.
Steinberg ML, Nisenbaum HL, Horii SC, Salhany KE. Post-cesarean section pain secondary to intussuscepting colonic adenocarcinoma. Ultrasound Obstet Gynecol. 1997;10:362–5.PubMed
95.
Alzen G, Funke G, Troung S. Pitfalls in the diagnosis of intussusception. J Clin Ultrasound. 1989;17:481–8.PubMed
96.
Swischuk L, Hayden Jr C. The pediatric gastrointestinal tract. In: Rumack CM, Wilson SR, Charboneau JW, editors. Diagnostic ultrasound. St Louis: Mosby Year Book; 1991. p. 1201–19.
97.
Del-Pozo G, Albillos J, Tejedor D. Intussusception: ultrasound findings with pathologic correlation – the crescent-in-doughnut sign. Radiology. 1996;199:688–92.PubMed
98.
Cerro P, Magrini L, Porcari P, De Angelis O. Sonographic diagnosis of intussusceptions in adults. Abdom Imaging. 2000;25:45–7.PubMed
99.
Warshauer DM, Lee JK. Adult intussusception detected at CT or MR imaging: clinical-imaging correlation. Radiology. 1999;212:853–60.PubMed
100.
Birchard KR, Brown MA, Hyslop WB, et al. MRI of acute abdominal and pelvic pain in pregnant patients. AJR Am J Roentgenol. 2005;184:452–8.PubMed
101.
Zubaidi A, Al-Saif F, Silverman R. Adult intussusception: a retrospective review. Dis Colon Rectum. 2006;49:1546–51.PubMed
102.
Mateen MA, Saleem S, Rao PC, et al. Transient small bowel intussusceptions: ultrasound findings and clinical significance. Abdom Imaging. 2006;31:410–6.PubMed
103.
Casey FE, Lau KN, Mesbah MC, Khalife ME. Use of laparoscopy for resolution of intussusception in the third trimester of pregnancy: a case report. J Reprod Med. 2009;54:712–4.PubMed
104.
Babu NP, Nidhi, Verma RK. Abortion in India: what does the National Family Health Survey tell us? J Fam Welfare. 1998;44:45–53.
105.
Rao B. Maternal mortality in India: a review. J Obstet Gynaecol India. 1980;30:359.
106.
Imoedemhe D, Ezimokhai M, Okpere E, Aboh IFO. Intestinal injuries following induced abortion. Int J Gynecol Obstet. 1984;22:303–6.
107.
Megafu U. Bowel injury in septic abortion: the need for more aggressive management. Int J Gynecol Obstet. 1980;17:450–3.
108.
Chhabra R. Abortion in India: an overview. Demography India. 1996;25:83–92.
109.
Jhobta RS, Attri AK, Jhobta A. Bowel injury following induced abortion. Int J Gynaecol Obstet. 2007;96:24–7.PubMed
110.
Haddad F, Haddad S. Ann Rep Orient Hosp Beirut. 1949;2:50.
111.
Kouyoumdjian A. Complications of abortion. J Med Liban. 1961;14:478–91.PubMed
112.
Kouyoumdjian A. Injury to small bowel during criminal abortion. Br Med J. 1967;1:52–3.PubMedCentral
113.
Augustin G, Majerovic M, Luetic T. Uterine perforation as a complication of surgical abortion causing small bowel obstruction: a review. Arch Gynecol Obstet. 2013;288:311–23.PubMed
114.
Strauss LT, Herndon J, Chang J, et al. Abortion surveillance – United States, 2001. MMWR Surveill Summ. 2004;53:1–32.PubMed
115.
Hakim-Elahi E, Tovell HM, Burnhill MS. Complications of first-trimester abortion: a report of 170,000 cases. Obstet Gynecol. 1990;76:129–35.PubMed
116.
Leibner EC. Delayed presentation of uterine perforation. Ann Emerg Med. 1995;26:643–6.PubMed
117.
Grossman D, Blanchard K, Blumenthal P. Complications after second trimester surgical and medical abortion. Reprod Health Matters. 2008;16:173–82.PubMed
118.
Lindell G, Flam F. Management of uterine perforations in connection with legal abortions. Acta Obstet Gynecol Scand. 1995;74:373–5.PubMed
119.
Pridmore BR, Chambers DG. Uterine perforation during surgical abortion: a review of diagnosis, management and prevention. Aust N Z J Obstet Gynaecol. 1999;39:349–53.PubMed
120.
Coughlin LM, Sparks DA, Chase DM, Smith J. Incarcerated small bowel associated with elective abortion uterine perforation. J Emerg Med. 2013;44:e303–6.PubMed
121.
Diedrich J, Steinauer J. Complications of surgical abortion. Clin Obstet Gynecol. 2009;52:205–12.PubMed
122.
Kaali SG, Szigetvari IA, Bartfai GS. The frequency and management of uterine perforations during first-trimester abortions. Am J Obstet Gynecol. 1989;161:406–8.PubMed
123.
Oladapo OT, Coker AA. Bowel prolapse and gangrene following vaginal vault perforation: an example of the menace of criminal abortion in Nigeria. Trop Doct. 2005;35:177–8.PubMed
124.
Ntia IO, Ekele BA. Bowel prolapse through perforated uterus following induced abortion. West Afr J Med. 2000;19:209–11.PubMed
125.
Grimes DA, Schulz KF, Cates W. Prevention of uterine perforation during curettage abortion. J Am Med Assoc. 1984;251:2108–11.
126.
Chang HM, Shen CJ, Lin CY, Tsai EM. Uterine perforation and bowel incarceration following surgical abortion during the first trimester. Taiwan J Obstet Gynecol. 2008;47:448–50.PubMed
127.
Dignac A, Novellas S, Fournol M, et al. Incarceration of the appendix complicating a uterine perforation following surgical abortion: CT aspects. Emerg Radiol. 2008;15:267–9.PubMed
128.
Amarin ZO, Badria LF. A survey of uterine perforation following dilatation and curettage or evacuation of retained products of conception. Arch Gynecol Obstet. 2005;271:203–6.PubMed
129.
Aliyu LD, Salihu MB. Uterine perforation with associated bowel prolapse per vaginum during attempted termination of pregnancy at peripheral Hospital: a case report. Nigerian J Med. 2003.
130.
Seow-En I, Seow-Choen F, Tseng PT. Prior uterine perforation resulting in intestinal obstruction in a subsequent pregnancy. Tech Coloproctol. 2010;14:369.PubMed
131.
Shulman SG, Bell CL, Hampf FE. Uterine perforation and small bowel incarceration: sonographic and surgical findings. Emerg Radiol. 2006;13:43–5.PubMed
132.
McArdle CR, Goldberg RP, Rachlin WS. Intrauterine small bowel entrapment and obstruction complicating suction abortion. Gastrointest Radiol. 1984;9:239–40.PubMed
133.
Dunner PS, Thomas MA, Ferreras M, Jerome M. Intrauterine incarcerated bowel following uterine perforation during an abortion: a case report. Am J Obstet Gynecol. 1983;147:969–70.PubMed
134.
Davies MF, Howat JM. Intestinal obstruction secondary to uterine perforation: an unusual cause of vaginal bleeding. Br J Clin Pract. 1990;44:331–2.PubMed
135.
Kambiss SM, Hibbert ML, Macedonia C, Potter ME. Uterine perforation resulting in bowel infarction: sharp traumatic bowel and mesenteric injury at the time of pregnancy termination. Mil Med. 2000;165:81–2.PubMed
136.
Gupta S, Chauhan H, Goel G, Mishra S. An unusual complication of unsafe abortion. J Family Community Med. 2011;18:165–7.PubMedCentralPubMed
137.
Lebeau R, Guié P, Bohoussou E, et al. An uncommon complication of unsafe induced abortion: bowel prolapse through uterine perforation. Gynecol Obstet Fertil. 2013;41:193–5.PubMed
138.
Takongmo S, Nkwabong E, Pisoh-Tanggnyin C, et al. Complications chirurgicales des avortements clandestins: a propos de 51 cas observés dans deux hôpitaux de Yaoundé. Clin Mother Child Health. 2010;7:1173–7.
139.
Sherigar JM, Dalal AD, Patel JR. Uterine perforation with subtotal small bowel prolapse – a rare complication of dilatation and curettage. Online J Health Allied Scs. 2005;1:6.
140.
Ngowe NM, Ndjolo A, Bissou M, et al. The ileal evisceration per vaginum: a serious post-abortion consequence was a case report. Med Afr Noire. 2006;53:284–6.
141.
Sangam PS, Jayakumar NM, Yaliwal LV. Uterine perforation with omental prolapse in a case of unsafe abortion. Asian J Med Sci. 2011;2:145–7.
142.
Nkor SK, Igberase GO, Osime OC, Faleyimu BL, Babalola R. Small bowel obstruction following perforation of the uterus at induced abortion. West Afr J Med. 2009;28:337–9.PubMed
143.
Dossou FM, Hounkpè PC, Tonato Bagnan JA, et al. Small bowel prolapsed through perforated uterus following illegal induced abortion. Surgery Curr Res. 2012;2:118.
144.
Coffman S. Bowel injury as a complication of induced abortion: a case report and literature review. Am Surg. 2001;67:924–6.PubMed
145.
Dillon EH, Case CQ, Ramos IM, et al. Endovaginal US and Doppler findings after first trimester abortion. Radiology. 1993;186:87–91.PubMed
146.
Bar-Hava I, Aschkenazi S, Orvieto R, et al. Spectrum of normal intrauterine cavity sonographic findings after firsttrimester abortion. J Ultrasound Med. 2001;20:1277–81.PubMed
147.
Ascher SM, Scoutt LM, McCarthy SM, et al. Uterine changes after dilation and curettage: MR imaging findings. Radiology. 1991;180:433–5.PubMed
148.
Sherer DM, Gorelick C, Gabbur N, et al. Transvaginal sonographic findings of a large intramural uterine hematoma associated with iatrogenic injury sustained at termination of pregnancy. Ultrasound Obstet Gynecol. 2007;30:110–3.PubMed
149.
Koshiba A, Koshiba H, Noguchi T, et al. Uterine perforation with omentum incarceration after dilatation and evacuation/curettage: magnetic resonance imaging findings. Arch Gynecol Obstet. 2012;285:887–90.PubMed
150.
Donaldson DR, Parkinson DJ. Intestinal obstruction in pregnancy. J R Coll Surg Edinb. 1985;30:372–4.PubMed
151.
Hunt MG, Martin Jr JN, Martin RW, et al. Perinatal aspects of abdominal surgery for nonobstetric disease. Am J Perinatol. 1989;6:412–7.PubMed
152.
Coughlan B, O’Herlihy C. Acute intestinal obstruction during pregnancy. J R Coll Surg Edinb. 1978;23:175–7.PubMed
153.
Kalu E, Sherriff E, Alsibai MA, Haidar M. Gestational intestinal obstruction: a case report and review of literature. Arch Gynecol Obstet. 2006;274:60–2.PubMed
154.
Watanabe S, Otsubo Y, Shinagawa T, Araki T. Small bowel obstruction in early pregnancy treated by jejunotomy and total parenteral nutrition. Obstet Gynecol. 2000;96(5 Pt 2):812–3.PubMed
155.
Mirza MS, Mulla M, Hall RI. Large bowel obstruction in pregnancy: a rare entity, an unusual cause. Arch Gynecol Obstet. 2009;279:177–8.PubMed
156.
Huang JC, Shin JS, Huang YT, et al. Small bowel volvulus among adults. J Gastroenterol Hepatol. 2005;20:1906–12.PubMed
157.
Ray D, Harishchandra B, Mahapatra S. Primary small bowel volvulus in Nepal. Trop Doct. 2004;34:168–70.PubMed
158.
Gurleyik E, Gurleyik G. Small bowel volvulus: a common cause of mechanical intestinal obstruction in our region. Eur J Surg. 1998;164:51–5.PubMed
159.
Coleman MT, Trianfo VA, Rund DA. Nonobstetric emergencies in pregnancy: trauma and surgical conditions. Am J Obstet Gynecol. 1997;177:497–502.PubMed
160.
Sato N, Miki T, Toyonaga T, et al. A case of herniation through a defect in the falciform ligament at late pregnancy. Nippon Geka Gakkai Zasshi. 1996;97:787–90.PubMed
161.
Mahdavi A, Yunesi N. Small bowel volvulus in a primigravida woman: case report. J Fam Reprod Health. 2007;1:51–4.
162.
Ballantyne GH, Brander MD, Beart RW, et al. Volvulus of the colon: incidence and mortality. Ann Surg. 1985;202:83–92.PubMedCentralPubMed
163.
Biswas S, Keith KD, Cotton BA. Intestinal obstruction in pregnancy: a case of small bowel volvulus and review of the literature. Am Surg. 2006;72:1218–21.PubMed
164.
Baykal C, Al A, Ozer S, et al. Ileal resection for gangrenous ileal volvulus in a term pregnancy: a case report. Arch Gynecol Obstet. 2006;273:304–6.PubMed
165.
Challoner K, Incerpi M. Nontraumatic abdominal surgical emergencies in the pregnant patient. Emerg Med Clin North Am. 2003;21:971–85.PubMed
166.
Dilbaz S, Gelisen O, Caliskan E, et al. Small bowel volvulus in pregnancy. Eur J Obstet Gynecol Reprod Biol. 2003;111:204–6.PubMed
167.
Kantor HM. Midgut volvulus in pregnancy. A case report. J Reprod Med. 1990;35:577–80.PubMed
168.
Ventura-Braswell AM, Satin AJ, Higby K. Delayed diagnosis of bowel infarction secondary to maternal midgut volvulus at term. Obstet Gynecol. 1998;91(5 Pt 2):808–10.PubMed
169.
Hardikar JV. Malrotation of the gut manifested during pregnancy. J Postgrad Med. 2000;46:106.PubMed
170.
Scheuermeyer F. Precipitous decline of gravid patient with congenital small bowel malrotation. Am J Emerg Med. 2009;27(629):e5–6.PubMed
171.
Donald C. Volvulus of the small gut, cecum and ascending colon associated with congenital reversed rotation of the intestine and with pregnancy. Br J Surg. 1927;58:269–72.
172.
Vitoratos N, Salamalekis E, Makrakis E, Creatsas G. Sigmoid colon cancer during pregnancy. Eur J Obstet Gynecol Reprod Biol. 2002;104:70–2.PubMed
173.
Dahling MT, Xing G, Cress R, et al. Pregnancy-associated colon and rectal cancer: perinatal and cancer outcomes. J Matern Fetal Neonatal Med. 2009;22:204–11.PubMed
174.
Woods JB, Martin Jr JN, Ingram FH, et al. Pregnancy complicated by carcinoma of the colon above the rectum. Am J Perinatol. 1992;9:102–10.PubMed
175.
Cruveilhier JJ. Anatomie pathologique du corps humaine, vol. 2. Paris: JB Baillière; 1829. p. 7–10.
176.
Evers HH. A case of obstructed labour due to malignant disease of the sigmoid colon. J Obstet Gynaecol Br Emp. 1928;35:525–7.
177.
Shioda Y, Koizumi S, Furuya S, et al. Intussusception caused by a carcinoma of the cecum during pregnancy: report of a case and review of the literature. Surg Today. 1993;23:556–61.PubMed
178.
Bernstein MA, Madoff RD, Caushaj PF. Colon and rectal cancer in pregnancy. Dis Colon Rectum. 1993;36:172–8.PubMed
179.
Minter A, Malik R, Ledbetter L, et al. Colon cancer in pregnancy. Cancer Control. 2005;12:196–202.PubMed
180.
Cappell MS. Colon cancer during pregnancy. Gastroenterol Clin North Am. 1998;27:225–56.PubMed
181.
Francavilla A, Di Leo A, Polimeno L, et al. Nuclear and cytosolic estrogen receptors in human colon carcinoma and in surrounding non cancerous colonic tissue. Gastroenterology. 1987;93:1301–6.PubMed
182.
Hendrickse CW, Jones CE, Donovan IA, et al. Oestrogen and progesterone receptors in colorectal cancer and human colonic cancer cell lines. Br J Surg. 1993;80:636–40.PubMed
183.
Xu X, Thomas ML. Estrogen receptor-mediated direct stimulation of colon cancer cell growth in vitro. Mol Cell Endocrinol. 1994;105:197–201.PubMed
184.
Slattery ML, Samowitz WS, Holden JA. Estrogen and progesterone receptors in colon tumors. Am J Clin Pathol. 2000;113:364–8.PubMed
185.
Korenaga D, Orita H, Maekawa S, et al. Relationship between hormone receptor levels and cell-kinetics in human colorectal cancer. Hepatogastroenterology. 1997;44:78–83.PubMed
186.
Geelhoed GW, Alford C, Lippman ME. Biologic implications of steroid hormone receptors in cancers of the colon. South Med J. 1985;78:252–4.PubMed
187.
Lim H, Paria BC, Das SK, et al. Multiple female reproductive failures in cyclooxygenase 2-deficient mice. Cell. 1997;91:197–208.PubMed
188.
Majerus PW. Prostaglandins: critical roles in pregnancy and colon cancer. Curr Biol. 1998;8:R87–9.PubMed
189.
Williams CS, Smalley W, DuBois RN. Aspirin use and potential mechanisms for colorectal cancer prevention. J Clin Invest. 1997;100:1325–9.PubMedCentralPubMed
190.
Giovannucci E, Rimm EB, Stampfer MJ, et al. Aspirin use and the risk for colorectal cancer and adenoma in male health professionals. Ann Intern Med. 1994;121:241–6.PubMed
191.
Isbister WH, Frasier J. Large bowel cancer in the young: a national survival study. Dis Colon Rectum. 1990;33:363–6.PubMed
192.
Girard RM, Lamarche J, Baillot R. Carcinoma of the colon associated with pregnancy: report of a case. Dis Colon Rectum. 1981;24:473–5.PubMed
193.
De Wals P, Tairou F, Van Allen MI, et al. Reduction in neural-tube defects after folic acid fortification in Canada. N Engl J Med. 2007;357:135–42.PubMed
194.
Kim YI. Folic acid supplementation and cancer risk: point. Cancer Epidemiol Biomarkers Prev. 2008;17:2220–5.PubMed
195.
Kim YI. Folic acid fortification and supplementation – good for some but not so good for others. Nutr Rev. 2007;65:504–11.PubMed
196.
Sanjoaquin MA, Allen N, Couto E, et al. Folate intake and colorectal cancer risk: a meta-analytical approach. Int J Cancer. 2005;113:825–38.PubMed
197.
Kennedy DA, Stern SJ, Moretti M, et al. Folate intake and the risk of colorectal cancer: a systematic review and meta-analysis. Cancer Epidemiol. 2011;35:2–10.PubMed
198.
Walsh C, Fazio VW. Cancer of the colon, rectum, and anus during pregnancy. Gastroenterol Clin North Am. 1998;27:257–67.PubMed
199.
Nesbitt JC, Moise KJ, Sawyers JL. Colorectal carcinoma in pregnancy. Arch Surg. 1985;120:636–40.PubMed
200.
Knoepp Jr LF, Ray JE, Overby I. Ovarian metastases from colorectal carcinoma. Dis Colon Rectum. 1973;16:305–11.PubMed
201.
Mason 3rd MH, Kovalcik PJ. Ovarian metastases from colon carcinoma. J Surg Oncol. 1981;17:33–8.PubMed
202.
Chang YS, Ishida T, Nakai T, et al. A case report of sigmoid colon cancer during pregnancy. Kawasaki Med J. 2010;36:209–12.
203.
Singhal SR, Nanda S, Chaudhry P, et al. Metastatic bilateral malignant ovarian tumors associated with pregnancy. Taiwan J Obstet Gynecol. 2009;48:167–8.PubMed
204.
Cohen-Kerem R, Railton C, Oren D, et al. Pregnancy outcome following non-obstetric surgical intervention. Am J Surg. 2005;190:467–73.PubMed
205.
Sebastian S, Johnston S, Geoghegan T, et al. Pooled analysis of the efficacy and safety of self-expanding metal stenting in malignant colorectal obstruction. Am J Gastroenterol. 2004;99:2051–7.PubMed
206.
Watt AM, Faragher IG, Griffin TT, et al. Self expanding metallic stents for relieving malignant colorectal obstruction: a systematic review. Ann Surg. 2007;246:24–30.PubMedCentralPubMed
207.
Dildy 3rd DA, Moise Jr KJ, Carpenter Jr RJ, Klima T. Maternal malignancy metastatic to the products of conception: a review. Obstet Gynecol Surv. 1989;44:535–40.PubMed
208.
Pentheroudakis G, Pavlidis N, Castiglione M, ESMO Guidelines Working Group. Cancer, fertility and pregnancy: ESMO clinical recommendations for diagnosis, treatment and follow-up. Ann Oncol. 2008;19 Suppl 2:ii108–9.PubMed
209.
Shuey DL, Buckalew AR, Wilke TS, et al. Early events following maternal exposure to 5-fluorouracil lead to dysmorphology in cultured embryonic tissues. Teratology. 1994;50:379–86.PubMed
210.
Giannakopoulou C, Manoura A, Hatzidaki E, et al. Multimodal cancer chemotherapy during the first and second trimester of pregnancy: a case report. Eur J Obstet Gynecol Reprod Biol. 2000;91:95–7.PubMed
211.
Andreadis C, Charalampidou M, Diamantopoulos N, et al. Combined chemotherapy and radiotherapy during conception and first two trimesters of gestation in a woman with metastatic breast cancer. Gynecol Oncol. 2004;95:252–5.PubMed
212.
Zemlickis D, Lishner M, Degendorfer P, et al. Fetal outcome after in utero exposure to cancer chemotherapy. Arch Intern Med. 1992;152:573–6.PubMed
213.
Kopelman JN, Miyazawa K. Inadvertent 5-fluorouracil treatment in early pregnancy: a report of three cases. Reprod Toxicol. 1990;4:233–5.PubMed
214.
Odom LD, Plouffe Jr L, Butler WJ. 5-Fluorouracil during the period of conception: report on two cases. Am J Obstet Gynecol. 1990;163(1 Pt 1):76–7.PubMed
215.
Dreicer R, Love RR. High total dose 5-fluorouracil treatment during pregnancy. Wis Med J. 1991;90:582–3.PubMed
216.
Berry DL, Theriault RL, Holmes FA, et al. Management of breast cancer during pregnancy using a standardized protocol. J Clin Oncol. 1999;17:855–61.PubMed
217.
Ring AE, Smith IE, Jones A, et al. Chemotherapy for breast cancer during pregnancy: an 18-year experience from five London teaching hospitals. J Clin Oncol. 2005;23:4192–7.PubMed
218.
Mathelin C, Annane K, Dufour P, et al. Chemotherapy for breast cancer during pregnancy. Eur J Obstet Gynecol Reprod Biol. 2005;123:260–2.PubMed
219.
Stadler HE, Knowles J. Fluorouracil in pregnancy: effect on the neonate. J Am Med Assoc. 1971;217:214–5.
220.
Briggs G, Freeman RK, Yaffe SJ. Drugs in pregnancy and lactation: a reference guide to fetal and neonatal risk. 9th ed. Philadelphia: Lippincott Williams & Wilkins; 2011.
221.
Eloxatin [package insert]. New York: Sanofi-Synthelabo, Inc; 2002.
222.
Camptosar [package insert]. New York: Pfizer Oncology; 2002.
223.
Sommers GM, Kao MS. Using chemotherapeutic agents during pregnancy. Contemp Rev Obstet Gynaecol. 1987;30:45–8.
224.
Nulman I, Laslo D, Fried S, et al. Neurodevelopment of children exposed in utero to treatment of maternal malignancy. Br J Cancer. 2001;85:1611–8.PubMedCentralPubMed
225.
Pereg D, Koren G, Lishner M. Cancer in pregnancy: gaps, challenges and solutions. Cancer Treat Rev. 2008;34:302–12.PubMed
226.
DeVita Jr V. DeVita, Hellman, and Rosenberg’s cancer: principles and practice of oncology. 9th ed. Philadelphia: Lippincott Williams & Wilkins; 2011.
227.
Chan YM, Ngai SW, Lao TT. Colon cancer in pregnancy: a case report. J Reprod Med. 1999;44:733–6.PubMed
228.
Pitluk H, Poticha SM. Carcinoma of the colon and rectum in patients less than 40 years of age. Surg Gynecol Obstet. 1983;157:335–7.PubMed
229.
Recalde M, Holyoke ED, Elias EG. Carcinoma of the colon, rectum and anal canal in young patients. Surg Gynecol Obstet. 1974;139:909–13.PubMed
230.
Heres P, Wiltink J, Cuesta MA, et al. Colon carcinoma during pregnancy: a lethal coincidence. Eur J Obstet Gynecol Reprod Biol. 1993;48:149–52.PubMed
231.
Rothman LA, Cohen CJ, Astarloa J. Placental and fetal involvement by maternal malignancy: a report of rectal carcinoma and review of the literature. Am J Obstet Gynecol. 1973;116:1023–34.PubMed
232.
Cappell MS. Colon cancer during pregnancy. Gastroenterol Clin North Am. 2003;32:341–83.PubMed
233.
Kitoh T, Nishimura S, Fukuda S, et al. The incidence of colorectal cancer during pregnancy in Japan: report of two cases and review of Japanese cases. Am J Perinatol. 1998;15:165–71.PubMed
234.
Skilling JS. Colorectal cancer complicating pregnancy. Obstet Gynecol Clin North Am. 1998;25:417–21.PubMed
235.
Medich DS, Fazio VW. Hemorrhoids, anal fissure, and carcinoma of the colon, rectum and anus during pregnancy. Surg Clin North Am. 1995;75:77–88.PubMed
236.
Roy PH, Sauer WG, Beahrs OH, Farrow GM. Experience with ileostomies. Am J Surg. 1970;119:77–86.PubMed
237.
Todd IP. Mechanical complications of ileostomy. Clin Gastroenterol. 1982;11:268–73.PubMed
238.
Weaver RM, Alexander-Williams J, Keighley MRB. Indications and outcome of re-operation for ileostomy complications in inflammatory bowel disease. Int J Colorectal Dis. 1988;3:38–42.PubMed
239.
Priest FO, Gilchrist RK, Long JS. Pregnancy in the patient with ileostomy and colectomy. J Am Med Assoc. 1959;169:213–5.PubMed
240.
Keane RM, Whittaker MG. Irreducibility of prolapsed colostomy due to ileocaecal intussusception. Ir Med J. 1985;78:80–1.PubMed
241.
Adedeji O, McAdam WA. Intussusception in ileostomy in a pregnant woman. Postgrad Med J. 1992;68:67–8.PubMedCentralPubMed
242.
McKenna DA, Meehan CP, Alhajeri AN, et al. The use of MRI to demonstrate small bowel obstruction during pregnancy. Br J Radiol. 2007;80:e11–4.PubMed
243.
Spring A, Lee M, Patchett S, et al. Ileostomy obstruction in the third trimester of pregnancy. Colorectal Dis. 2012;14:e631–2.PubMed
244.
Meyerson S, Holtz T, Ehrinpreis M, Dhar R. Small bowel obstruction in pregnancy. Am J Gastroenterol. 1995;90:299–302.PubMed
245.
Redlich A, Rickes S, Costa SD, Wolff S. Small bowel obstruction in pregnancy. Arch Gynecol Obstet. 2007;275:381–3.PubMed
246.
Jain BL, Seth KK. Volvulus of intestine: a clinical study. Indian J Surg. 1968;30:239–46.
247.
Gabriel AG, Gabriel Neto S, Oliveira EC, et al. Gastric and transverse colonic volvulus in patient with chagasic megagastria and megacolon. Arq Bras Cir Dig. 2005;18:71–3.
248.
Lambert AC. Paris thesis; 1931.
249.
Kohn SG, Briele HA, Douglas LH. Volvulus in pregnancy. Am J Obstet Gynecol. 1944;48:398.
250.
Lazaro EJ, Das PB, Abraham PV. Volvulus of the sigmoid colon complicating pregnancy. Obstet Gynecol. 1969;33:553–7.PubMed
251.
Khan MR, Rehman SU. Sigmoid volvulus in pregnancy and puerperium: a surgical and obstetric catastrophe. Report of a case and review of the world literature. World J Emerg Surg. 2012;7:10.PubMedCentralPubMed
252.
Chourak M, Beavogui L, Lachkar A, Elabsi M. Volvulus du sigmoïde nécrosé chez une femme enceinte. J Afr Hepato Gastroenterol. 2009;3:35–7.
253.
Kolusari A, Kurdoglu M, Adali E, et al. Sigmoid volvulus in pregnancy and puerperium: a case series. Cases J. 2009;2:9275.PubMedCentralPubMed
254.
Sascha Dua R, Rothnie ND, Gray EA. Sigmoid volvulus in the puerperium. Int J Gynaecol Obstet. 2007;97:195.PubMed
255.
Fuller JK, Larrieu AJ. Sigmoid volvulus in the young: a case following cesarean section. Arch Surg. 1978;113:316–7.PubMed
256.
Ballantyne GH. Review of sigmoid volvulus: clinical patterns and pathogenesis. Dis Colon Rectum. 1982;25:494–501.PubMed
257.
Keating JP, Jackson DS. Sigmoid volvulus in late pregnancy. J R Army Med Corps. 1985;131:72–4.PubMed
258.
Togo A, Traore M, Coulibaly Y, et al. Sigmoid volvulus in pregnancy. S Afr J Surg. 2011;49:204–5.PubMed
259.
Allen JR, Helling TS, Langenfeld M. Intraabdominal surgery during pregnancy. Am J Surg. 1989;158:567–9.PubMed
260.
Utpal DE, Kamal DE. Sigmoid volvulus complicating pregnancy: case report. Indian J Med Sci. 2005;59:317–9.
261.
James DW. Intestinal obstruction during late pregnancy caused by volvulus of sigmoid colon. Br Med J. 1950;2:24.PubMedCentralPubMed
262.
Diallo G, Diakité I, Kanté L, et al. Volvulus du colon sigmoide (VS) au centre hospitalier universitaire Gabrile Touré de Bamako. Medecine Afrique Noire. 2009;56:377–81.
263.
Twité N, Jacquet C, Hollemaert S, et al. Intestinal obstruction in pregnancy. Rev Med Brux. 2006;27:104–9.PubMed
264.
Alshawi JS. Recurrent sigmoid volvulus in pregnancy: report of a case and review of the literature. Dis Colon Rectum. 2005;48:1811–3.PubMed
265.
Iwamoto I, Miwa K, Fujino T, Douchi T. Perforated colon volvulus coiling around the uterus in a pregnant woman with a history of severe constipation. J Obstet Gynaecol Res. 2007;33:731–3.PubMed
266.
Hofmeyr GJ, Sonnendecker EW. Sigmoid volvulus in advanced pregnancy. Report of 2 cases. S Afr Med J. 1985;67:63–4.PubMed
267.
Pratt AT, Donaldson RC, Evertson LR, Yon JL. Cecal volvulus in pregnancy. Obstet Gynecol. 1981;57:37S–40S.PubMed
268.
Hogan BA, Brown CJ, Brown JA. Cecal volvulus in pregnancy: report of a case and review of the safety and utility of medical diagnostic imaging in the assessment of the acute abdomen during pregnancy. Emerg Radiol. 2008;15:127–31.PubMed
269.
White C. Volvulus of the caecum occurring in connexion with labour. Proc R Soc Med. 1914;7(Obstet Gynaecol Sect): 305–6.
270.
Basden MM. Volvulus of the cecum complicating labor. Br Med J. 1934;1:1119.
271.
Spence JH. Br Med J. 1937;2:1169.
272.
Rose I. Volvulus of caecum, associated with putrid puerperal endometritis and gangrenous vulvitis. Br Med J. 1941;2:577–8.PubMedCentralPubMed
273.
Horton PJ, White J, Lake SP. Caecal volvulus and malrotation of the bowel complicating the third trimester of pregnancy. J Obstet Gynaecol. 1997;17:160.PubMed
274.
Scaeffer AJ, Hines JR. Cecal volvulus after obstetric and gynecologic procedures. Obstet Gynecol. 1971;37:255–9.
275.
John H, Gyr T, Giudici G, et al. Cecal volvulus in pregnancy. Case report and review of the literature. Arch Gynecol Obstet. 1996;258:161–4.PubMed
276.
Moore CJ, Corl FM, Fishman EK. CT of cecal volvulus. Am J Roentgenol. 2001;177:95–8.
277.
Forsted DH, Kalbhen CL. CT of pregnant women for urinary tract calculi, pulmonary thromboembolism, and acute appendicitis. Am J Roentgenol. 2002;178:1285–6.
278.
Hormann M, Paya K, Eibenberger K, et al. MR imaging in children with nonperforated acute appendicitis: value of unenhanced MR imaging in sonographically selected cases. Am J Roentgenol. 1998;171:467–70.
279.
Incesu L, Coskun A, Selcuk MB, et al. Acute appendicitis: MR imaging and sonographic correlation. Am J Roentgenol. 1997;168:669–74.
280.
Pedrosa I, Levine D, Eyvazzadeh AD, et al. MR imaging evaluation of acute appendicitis in pregnancy. Radiology. 2006;238:891–9.PubMed
281.
Leyendecker JR, Gorengaut V, Brown JJ. MR imaging of maternal diseases of the abdomen and pelvis during pregnancy and the immediate postpartum period. Radiographics. 2004;24:1301–16.PubMed
282.
Kosmidis C, Efthimiadis C, Anthimidis G, et al. Cecal volvulus after twin gestation: laparoscopic approach. Tech Coloproctol. 2011;15 Suppl 1:S101–3.PubMed
283.
Singh RB, Khatri HL, Singh K, et al. Intestinal obstruction caused by caecal volvulus. Pediatr Surg Int. 1998;13:605–6.PubMed
284.
Lockhart ME, Tessler FN, Canon CL, et al. Internal hernia after gastric bypass: sensitivity and specificity of seven CT signs with surgical correlation and controls. Am J Roentgenol. 2007;188:745–50.
285.
Kakarla N, Dailey C, Marino T, et al. Pregnancy after gastric bypass surgery and internal hernia formation. Obstet Gynecol. 2005;105:1195–8.PubMed
286.
Efthimiou E, Stein L, Court O, et al. Internal hernia after gastric bypass surgery during middle trimester pregnancy resulting in fetal loss: risk of internal hernia never ends. Surg Obes Relat Dis. 2009;5:378–80.PubMed
287.
Karmon A, Sheiner E. Pregnancy after bariatric surgery: a comprehensive review. Arch Gynecol Obstet. 2008;277:381–8.PubMed
288.
Abodeely A, Roye GD, Harrinton DT, Cioffi WG. Pregnancy outcomes after bariatric surgery: maternal, fetal and infant implications. Surg Obes Relat Dis. 2008;4:464–71.PubMed
289.
Maggard MA, Yermilov I, Li Z, et al. Pregnancy and fertility following bariatric surgery: a systematic review. J Am Med Assoc. 2008;300:2286–96.
290.
Moore KA, Ouyang DW, Whang EE. Maternal and fetal deaths after gastric bypass surgery for morbid obesity. N Engl J Med. 2004;351:721–2.PubMed
291.
Rosenkrantz AB, Kurian M, Kim D. MRI appearance of internal hernia following Roux-en-Y gastric bypass surgery in the pregnant patient. Clin Radiol. 2010;65:246–9.PubMed
292.
Petersen W. Über Darmverschlinung nach der Gastroenterostomie. Arch Klin Chir. 1900;62:94–114.
293.
Naef M, Mouton WG, Wagner HE. Small-bowel volvulus in late pregnancy due to internal hernia after laparoscopic Roux-en-Y gastric bypass. Obes Surg. 2010;20:1737–9.PubMed
294.
Ahmed AR, O’Malley W. Internal hernia with Roux loop obstruction during pregnancy after gastric bypass surgery. Obes Surg. 2006;16:1246–8.PubMed
295.
Blachar A, Federle MP, Dodson SF. Internal hernia: clinical and imaging findings in 17 patients with emphasis on CT criteria. Radiology. 2001;218:68–74.PubMed
296.
Martin LC, Merkle EM, Thompson WM. Review of internal hernias: radiographic and clinical findings. Am J Roentgenol. 2006;186:703–17.
297.
Merkle EM, Hallowell PT, Crouse C, et al. Roux-en-Y gastric bypass for clinically severe obesity: normal appearance and spectrum of complications at imaging. Radiology. 2005;234:674–83.PubMed
298.
Sandrasegaran K, Maglinte DD, Lappas JC, et al. Small-bowel complications of major gastrointestinal tract surgery. Am J Roentgenol. 2005;185:671–81.
299.
Bellanger DE, Ruiz JF, Solar K. Small bowel obstruction complicating pregnancy after laparoscopic gastric bypass. Surg Obes Relat Dis. 2006;2:490–2.PubMed
300.
Torres-Villalobos GM, Kellogg TA, Leslie DB, et al. Small bowel obstruction and internal hernias during pregnancy after gastric bypass surgery. Obes Surg. 2009;19:944–50.PubMed
301.
Filip JE, Mattar SG, Bowers SP, et al. Internal hernia formation after laparoscopic Roux-en-Y gastric bypass for morbid obesity. Am Surg. 2002;68:640–3.PubMed
302.
Yu J, Turner MA, Cho SR, et al. Normal anatomy and complications after gastric bypass surgery: helical CT findings. Radiology. 2004;231:753–60.PubMed
303.
Baker MT, Kothari SN. Successful surgical treatment of a pregnancy induced Petersen’s hernia after laparoscopic gastric bypass. Surg Obes Relat Dis. 2005;1:506–8.PubMed
304.
Wang CB, Hsieh CC, Chen CH, et al. Strangulation of upper jejunum in subsequent pregnancy following gastric bypass surgery. Taiwan J Obstet Gynecol. 2007;46:267–71.PubMed
305.
Charles A, Domingo S, Goldfadden A, et al. Small bowel ischemia after Roux-en-Y gastric bypass complicated by pregnancy: a case report. Am Surg. 2005;71:231–4.PubMed
306.
Ahmed AR, Rickards G, Husain S, et al. Trends in internal hernia incidence after laparoscopic Roux-en-Y gastric bypass. Obes Surg. 2007;17:1563–6.PubMed
307.
Blachar A, Federle MP, Brancatelli G, et al. Radiologist performance in the diagnosis of internal hernia by using specific CT findings with emphasis on transmesenteric hernia. Radiology. 2001;221:422–8.PubMed
308.
Esmailzadeh H, Powell W, Lourie D. Use of computed tomography in the diagnosis of major postoperative gastrointestinal complications of laparoscopic Roux-en-Y gastric bypass surgery. Am Surg. 2004;70:964–6.PubMed
309.
McCollough CH, Schuler BA, Atwell TD, et al. Radiation exposure and pregnancy: when should we be concerned? Radiographics. 2007;27:909–18.PubMed
310.
Blachar A, Federle MP. Internal hernia: an increasingly common cause of small bowel obstruction. Semin Ultrasound CT MR. 2002;23:174–83.PubMed
311.
Oto A. MR imaging evaluation of acute abdominal pain during pregnancy. Magn Reson Imaging Clin N Am. 2006;14:489–501.PubMed
312.
Oto A, Ernst RD, Ghulmiyyah LM, et al. MR imaging in the triage of pregnant patients with acute abdominal and pelvic pain. Abdom Imaging. 2009;34:243–50.PubMed
313.
Collins D, Kavanagh D, Myers E, Richards S, McDermott E. Incarcerated transmesosigmoid hernia presenting in a 60-year-old man: a case report. J Med Case Reports. 2008;2:161.PubMedCentral
314.
Gomes R, Rodrigues J. Spontaneous adult transmesentric hernia with bowel gangrene. Hernia. 2011;15:343–5.PubMed
315.
NihonYanagi Y, Ooshiro M, Osamura A, et al. Intersigmoid hernia: report of a case. Surg Today. 2010;40:171–5.
316.
Bircher MD, Stuart AE. Internal herniation involving the sigmoid mesocolon. Dis Colon Rectum. 1981;24:404–6.PubMed
317.
Sasaki T, Sakai K, Fukumori D, et al. Transmesosigmoid hernia: report of a case. Surg Today. 2002;32:1096–8.PubMed
318.
Van der Mieren G, de Gheldere C, Vanclooster P. Transmesosigmoid hernia: report of a case and review of the literature. Acta Chir Belg. 2005;105:653–5.PubMed
319.
Benson JR, Killen DA. Internal hernias involving the sigmoid mesocolon. Ann Surg. 1964;159:382–4.PubMedCentralPubMed
320.
Janin Y, Stone AM, Wise L. Mesenteric hernia. Surg Gynecol Obstet. 1980;150:747–54.PubMed
321.
Johnson BL, Lind JF, Ulich PJ. Transmesosigmoid hernia during pregnancy. South Med J. 1992;85:650–2.PubMed
322.
Kaneko J, Imai N. A case report of transmesosigmoid hernia (in Japanese with English abstract). Nihon Syokakigeka Gakkaizasshi (Jpn J Gastroenterol Surg). 1998;31:2280–3.
323.
Yu CY, Lin CC, Yu JC, et al. Strangulated transmesosigmoid hernia: CT diagnosis. Abdom Imaging. 2004;29:158–60.PubMed
324.
Yip AW, Tong KK, Choi TK. Mesenteric hernias through defects of the mesosigmoid. Aust N Z J Surg. 1990;60:396–9.PubMed
325.
Lyngdorf P, Engdahl E. Sigmoid mesocolic hernia. Case report. Acta Chir Scand. 1988;154:609–10.PubMed
326.
Kuga T, Taniguchi S, Inoue T, et al. The occurrence of a strangulated ileus due to a traumatic transmesenteric hernia: report of a case. Surg Today. 2000;30:548–50.PubMed
327.
Ariyarathenam AV, Tang TY, Nachimuthu S, et al. Transomental defects as a cause of chronic abdominal pain, the role of diagnostic laparoscopy: a case series. Cases J. 2009;2:8356.PubMedCentralPubMed
328.
Katawala T, Hamlyn EL. Complete small bowel obstruction secondary to transomental herniation in pregnancy. Int J Surg Case Reports. 2011;2:51–2.
329.
Shetty A, Paramesh AS, Dwivedi AJ, et al. Symptomatic ectopic pancreas. Clin Rev. 2002;58:203–7.
330.
Tanaka K, Tsunoda T, Eto T, et al. Diagnosis and management of heterotopic pancreas. Int Surg. 1993;78:32–5.PubMed
331.
Matsushita M, Hajiro K, Okazaki K, Takakuwa H. Gastric aberrant pancreas: EUS analysis in comparison with the histology. Gastrointest Endosc. 1999;49:493–7.PubMed
332.
Barbosa JJ, Dockerty MM, Waugh JM. Pancreatic heterotopia: review of the literature and report of 41 authenticated surgical case, of which 25 were clinically significant. Surg Gynecol Obstet. 1946;82:527–42.
333.
Kreig EG. Heterotopic pancreatic tissue producing pyloric obstruction. Ann Surg. 1941;113:364–70.
334.
Daniel T, Natarajan S, Johnston CA. Ectopic pancreas: a rare cause of pyloric stenosis. Int J Pancreatol. 2000;27:167–8.PubMed
335.
Shaib YH, Rabaa E, Feddersen RM, Jamal MM, Qaseem T. Gastric outlet obstruction secondary to heterotopic pancreas in the antrum: case report and review. Gastrointest Endosc. 2001;54:527–30.PubMed
336.
Haj M, Shiller M, Loberant N, et al. Obstructing gastric heterotopic pancreas: case report and literature review. Clin Imaging. 2002;26:267–9.PubMed
337.
Ozcan C, Celik A, Guclu C, Balik E. A rare cause of gastric outlet obstruction in the newborn: pyloric ectopic pancreas. J Pediatr Surg. 2002;37:119–20.PubMed
338.
Ertem D, Tutar E, Cam S, Ugras M, Pehlivanoglu E. Severe gastric outlet obstruction in a child with ectopic pancreas: is there a role for Helicobacter pylori? J Pediatr Gastroenterol Nutr. 2006;43:385–7.PubMed
339.
Christodoulidis G, Zacharoulis D, Barbanis S, et al. Heterotopic pancreas in the stomach: a case report and literature review. World J Gastroenterol. 2007;13:6098–100.PubMed
340.
Agale SV, Agale VG, Zode RR, et al. Heterotopic pancreas involving stomach and duodenum. J Assoc Physicians India. 2009;57:653–4.PubMed
341.
Ayantunde AA, Pinder E, Heath DI. Symptomatic pyloric pancreatic heterotopia: report of three cases and review of the literature. Med Sci Monit. 2006;12:CS49–52.PubMed
342.
Jiang LX, Xu J, Wang XW, et al. Gastric outlet obstruction caused by heterotopic pancreas: a case report and a quick review. World J Gastroenterol. 2008;14:6757–9.PubMedCentralPubMed
343.
Huang YC, Chen HM, Jan YY, et al. Ectopic pancreas with gastric outlet obstruction: report of two cases and literature review. Chang Gung Medical J. 2002;25:485–9.
344.
Eisenberger CF, Kropp A, Langwieler TE, et al. Heterotopic pancreatitis: gastric outlet obstruction due to an intramural pseudocyst and hamartoma. Z Gastroenterol. 2002;40:259–62.PubMed
345.
Trifan A, Târcoveanu E, Danciu M, et al. Gastric heterotopic pancreas: an unusual case and review of the literature. J Gastrointestin Liver Dis. 2012;21:209–12.PubMed
346.
Goh JT, Flynn MB, Florin TH. Active chronic peptic ulcer disease complicated by gastric outlet obstruction in pregnancy. Aust N Z J Obstet Gynaecol. 1993;33:89–90.PubMed
347.
Pang LC. Pancreatic heterotopia: a reappraisal and clinicopathologic analysis of 32 cases. South Med J. 1988;81:1264–75.PubMed
348.
Ormarsson OT, Gudmundsdottir I, Marvik R. Diagnosis and treatment of gastric heterotopic pancreas. World J Surg. 2006;30:1682–9.PubMed
349.
Busard JM, Walter W. Heterotopic pancreatic tissue: report of a case presenting with ulcer symptoms and review of the recent literature. Arch Surg. 1950;60:674–82.
350.
Keeley JL. Intussusception associated with aberrant pancreatic tissue: report of a case and review of the literature. Arch Surg. 1950;60:691–8.
351.
Hsia CY, Wu CW, Lui WY. Heterotopic pancreas: a difficult diagnosis. J Clin Gastroenterol. 1999;28:144–7.PubMed
352.
Bethel CAI, Luquette MH, Besner GE. Cystic degeneration of heterotopic pancreas. Pediatr Surg Int. 1998;13:428–30.PubMed
353.
Burke GW, Binder SC, Barron AM, et al. Heterotopic pancreas: gastric outlet obstruction secondary to pancreatitis and pancreatic pseudocyst. Am J Gastroenterol. 1989;84:52–5.PubMed
354.
Monig SP, Selzner M, Raab M, Eidt S. Heterotopic pancreas. A difficult diagnosis. Dig Dis Sci. 1996;41:1238–40.PubMed
355.
Park SH, Han JK, Choi BI, et al. Heterotopic pancreas of the stomach: CT findings correlated with pathologic findings in six patients. Abdom Imaging. 2000;25:119–23.PubMed
356.
Cuschieri A. Laparoscopic gastric resection. Surg Clin North Am. 2000;80:1269–84.PubMed
357.
Nopajaroonsri C. Mucus retention in heterotopic pancreas of the gastric antrum. A lesion mimicking mucinous carcinoma. Am J Surg Pathol. 1994;18:953–7.PubMed
358.
Herold G, Kraft K. Adenocarcinoma arising from ectopic gastric pancreas: two case reports with a review of the literature. Z Gastroenterol. 1995;33:260–4.PubMed
359.
Ayan A, Bukulmez O, Genc C, Kuramursel BS. Mature cystic teratomas of the ovary. A case series from one institution over 34 years. Eur J Obstet gynecol Reprod Biol. 2000;88:153–60.
360.
Moore RD, Smiht WG. Laparoscopic management of adnexal masses in pregnant women. J Reprod Med. 1999;44:97–100.PubMed
361.
Ekanem VJ, Umukoro DO, Igberase G. Intestinal obstruction due to bilateral ovarian cystic teratoma in a pregnant woman: report of a case. Afr J Reprod Health. 2011;15:117–20.PubMed
362.
Comerci JT, Licciardi F, Bergh PA, et al. Mature cystic teratomas: a clinicopathologic evaluation of 517 cases and review of the literature. Obstet Gynecol. 1994;84:22–8.PubMed
363.
Papdias K, Kairi-Vassilatou E, Kontagiani-Katsaros K, et al. Teratomas of the ovary: a clinico-pathological evaluation of 87 patients from one institution during a 10-year period. Eur J Gynaecol Oncol. 2005;26:446–8.
364.
Caspi B, Levi R, Appelman Z, et al. Conservative management of ovarian cystic teratoma during pregnancy and labor. Am J Obstet Gynecol. 2000;182:503–5.PubMed
365.
Catani M, De Milito R, Picconi T, et al. The laparoscopic treatment of a rare case of intestinal obstruction due to an ectopic pregnancy. Minerva Chir. 1999;54:505–7.PubMed
366.
Singh S, Jain BK, Mohanty D, Agrawal J, Mehta S. Ruptured ectopic pregnancy presenting as intestinal obstruction. Can J Surg. 2009;52:E99–100.PubMedCentralPubMed
367.
Orakwe JC. Combined intrauterine and extrauterine gestation with a general surgical presentation. Trop Geogr Med. 1992;44:165–6.PubMed
368.
Weckstein LN, Boucher AR, Tucker H, et al. Accurate diagnosis of early ectopic pregnancy. Obstet Gynecol. 1985;65:393–7.PubMed
369.
Shah N, Khan NH. Ectopic pregnancy: presentation and risk factors. J Coll Physicians Surg Pak. 2005;15:535–8.PubMed
370.
Orji EO, Fasubaa OB, Adeyemi B, et al. Mortality and morbidity associated with misdiagnosis of ectopic pregnancy in a defined Nigerian population. J Obstet Gynaecol. 2002;22:548–50.PubMed
371.
LePage, Pinard, et al. Bull Soc d’Obst et de Gynéc de Paris. 1913;2:142.
372.
Vautrin. Bull Soc d’Obst et de Gynéc de Paris. 1922;2:204.
373.
Fleischauer. Zentralbl f Gynäk. 1918;42:377.
374.
Van der Hoeven. Zentradbl f Gynäk. 1912;36:1534.
375.
Kohler R. Wien Klin Wochnenschr. 1920;33:937.
376.
Bohler ME. Bull Soc d’Obst et de Gynéc de Paris. 1930;19:686.
377.
Blair M. Intestinal obstruction caused by normal pregnancy. Can Med Assoc J. 1932;26:426–9.PubMedCentralPubMed
378.
Walker M, Sylvain J, Stern H. Bowel obstruction in a pregnant patient with ileal pouch-anal anastomosis. Can J Surg. 1997;40:471–3.PubMedCentralPubMed
379.
Abrahamsen. Zentralbl f Gynäk. 1925;49:2476.