Shlomo Raz1
(1)
Division of Pelvic Medicine and Reconstructive Surgery, UCLA School of Medicine, Los Angeles, CA, USA
Keywords
Urethral cystBartholin’s gland cystSkene’s gland cystVaginal leiomyomaEctopic ureteroceleGartner’s cystVaginal endometriosisInclusion cyst
This chapter discusses a variety of conditions presenting as a vaginal mass unrelated to prolapse. The patient can be asymptomatic or may have bowel or urinary symptoms related to the mass. Masses can be found by the patient herself, but many times they are seen on a routine pelvic examination. The patient can complain of vaginal discomfort, dyspareunia, incontinence of urine, or vaginal bleeding.
Many types of cysts are found in the vagina:
· Cysts of embryonic origin
· Müllerian (paramesonephric) cysts
· Mesonephric–Wolffian (Gartner’s duct) cysts
· Skene’s (paraurethral) duct cysts
· Bartholin’s gland cysts
· Vaginal adenosis
· Cysts of the canal of Nuck (hydrocele)
· Cysts of urethral origin
· Diverticula
· Iatrogenic cyst
· Skene’s gland cyst (secondary)
· Epidermal inclusion cysts
· Endometriosis
· Ectopic ureterocele
8.1 Bartholin’s Gland Cyst
Bartholin’s gland cysts have their embryological origin in the urogenital sinus. These glands are the homologues of the bulbourethral gland (Cowper glands) in the male. These cysts are present lateral to the introitus and medial to the labia minora. They are covered with transitional or stratified squamous epithelium. Their size and rapidity of growth are influenced by sexual stimulation. The treatment for these cysts is marsupialization of the cyst in the inner aspect of the labia (Figs. 8.1, 8.2, 8.3, and 8.4). Surgery is indicated only in symptomatic patients with pain, discomfort, or abscess formation.

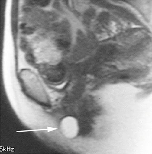
Fig. 8.1
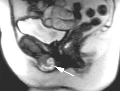
Sagittal midpelvis MRI of a patient suffering from right labial pain and swelling, with pain during intercourse. A cystic lesion is seen in the distal vagina (arrow)

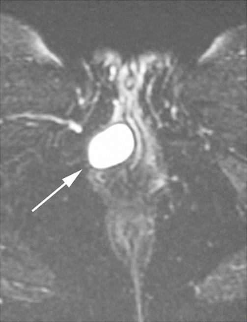
Fig. 8.2
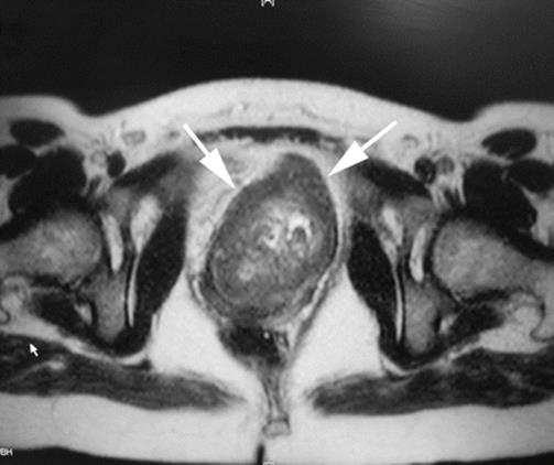
Axial MRI showing a cystic lesion in the right labia. The cyst contains clear fluid (arrow)

Fig. 8.3
Vaginal examination of the patient with a finger in the vagina under the right labia minora shows the cystic lesion in the inner aspect of the labia

Fig. 8.4
Marsupialization of the cyst was performed. An incision was made in the inner aspect of the vagina medial to the labial minora, the cyst was opened, and the margins of the cyst were anastomosed to the vaginal wall. Arrow shows the line of anastomosis between the cystic wall and the inner aspect of the labia majora
8.2 Skene’s Gland Cyst
The Skene’s glands are the prostatic homologue in the female, with ducts covered by transitional or stratified columnar epithelium. They are located on each side of the urethra at the 5 and 7 o’clock positions. Skene’s duct cysts (paraurethral) originate from the distal urethral gland. Cysts can be congenital (urogenital sinus origin) or can be acquired owing to inflammation or trauma of the drainage tract of the gland.
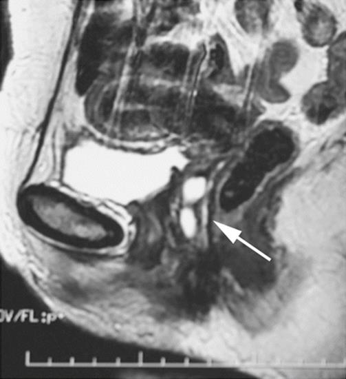
Obstruction of the distal urethral glands can lead to infection, abscess, and symptoms of severe urethral pain and voiding dysfunction. The abscess can drain into the vagina, creating a small fistulous tract, or less commonly reenter the urethra, forming a diverticulum (Figs. 8.5 and 8.6). Symptoms of these cysts include urethral pain, voiding symptoms, and urethral discharge. On physical examination, the area of the distal urethra may be reddish or inflamed, and pus can be drained by pressing the periurethral area. In some cases, a small or large, tender distal mass can be found. Endoscopy is not very useful. Ultrasound or MRI can be performed in selected cases.

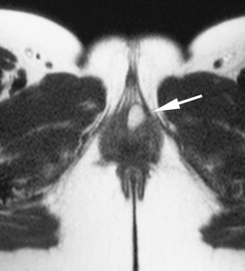
Fig. 8.5
Axial MRI of the distal vagina showing a cystic lesion in the distal urethra (arrow). The patient presented with pain during intercourse, difficulty in emptying the bladder, and urethral burning

Fig. 8.6
Exposure of the vaginal wall shows a tender, cystic lesion in the left distal periurethral area. The arrows point toward the cystic area around the urethral meatus
Usually these cysts are asymptomatic, but when they are larger, they can produce pain, obstruction, and dyspareunia. Surgery, consisting of excision of the cyst and occlusion of the urethral communication, is indicated for patients with significant symptoms not responding to antibiotic therapy (Figs. 8.7, 8.8, 8.9, and 8.10).

Fig. 8.7
An inverted U flap is created in the left distal vagina to expose the periurethral fascia. The line marks the line where the periurethral fascia will be incised

Fig. 8.8
The periurethral fascia is opened in a transverse fashion; superior and inferior flaps are created. The entrance of the cyst at the distal urethra is seen. The arrow point to the attachment of the cyst to the distal urethral wall

Fig. 8.9
The cyst is drained and the duct of the Skene’s gland is dissected free toward the distal urethra and excised. The connection to the urethra is sutured and tied. The duct communicating to the urethra is seen (arrow)

Fig. 8.10
The periurethral fascia is closed in a transverse fashion, and the vaginal flap is advanced distally to cover the area of the reconstruction. The Foley catheter is left in place for 24 h
8.3 Ectopic Ureterocele Presenting as a Vaginal Cyst
The patient, 23 years old, presented with difficulty in emptying the bladder, recurrent urinary infection, and distal urethral pain. Figures 8.11, 8.12, 8.13, and 8.14 illustrate the finding of an ectopic ureterocele. The patient had a side-to-side anastomosis of the ureters, with ligature of the affected ureter. The urethral cyst and her voiding dysfunction were corrected and she remained asymptomatic.

Fig. 8.11
Physical examination reveals a large, cystic mass emerging from the urethra (arrow)

Fig. 8.12
A CT urogram reveals a double collecting system with the upper segment having mild dilatation with good function. Arrow pointing toward right duplicated system

Fig. 8.13
A voiding cystogram showing a filling defect of the bladder base extending toward the urethra. The arrows delineated the cystic defect

Fig. 8.14
A post-void film shows a large cystic filling defect of the bladder base, typical of an ectopic ureterocele. The arrows outline the cyst
8.4 Inclusion Cyst of the Anterior Vaginal Wall
Inclusion cysts are secondary to buried epithelial fragments following surgical procedures in the vagina. The location varies with the prior surgery. The cyst has a stratified squamous epithelial lining and cheese-like contents. If symptomatic, the cyst should be treated by excision.
The patient in Figs. 8.15, 8.16, 8.17, and 8.18 presented with a cystic mass of the anterior vaginal wall. The patient previously had a vaginal hysterectomy and several vaginal procedures for cystocele repair. The patient did not have urinary symptoms and the mass was not tender.

Fig. 8.15
Coronal T2 MRI image of the pelvis showing a gray filled cystic mass of the vagina (arrow)

Fig. 8.16
Exposure of the anterior vaginal wall shows a large cystic mass, which is not tender

Fig. 8.17
An inverted U flap of the anterior vaginal wall is created to expose the wall of the cyst

Fig. 8.18
After the excision, the cyst is opened, revealing the typical yellow-gray, cheese-like material
8.5 Endometrioma
A patient known to have pelvic endometriosis presented with a tender, cystic small mass of the anterior vaginal wall (Fig. 8.19). The symptoms did not improve with medical therapy, so excision of the cyst, an endometrioma, was performed (Fig. 8.20).

Fig. 8.19
A sagittal MRI image shows a small lesion of the anterior vaginal wall that is not clear fluid (arrow)

Fig. 8.20
The anterior vaginal wall is exposed and the cyst is opened, draining a small amount of chocolate-colored fluid. The cyst was excised and pathology confirmed the findings of an endometrioma
8.6 Leiomyoma (Fibroid) of the Vaginal Wall
A patient complained of pain during intercourse and feeling a mass in her vagina. Examination detected a hard, nontender, mobile mass in the right mid-vaginal area (Fig. 8.21). The mass was excised and confirmed to be a benign leiomyoma (Figs. 8.22 and 8.23).

Fig. 8.21
Exposure of the anterior vaginal wall was obtained, showing the mass on the right (arrow)

Fig. 8.22
An incision is made over the lesion, and superior and inferior flaps are created to expose the mass

Fig. 8.23
After excision (left), the mass is incised (right), showing a uniform, hard, fibrous structure. The final pathology confirms the diagnosis of a benign leiomyoma
8.7 Fibroadenoma of the Urethra
An 82-year-old patient presented with difficulty in emptying her bladder and tenderness in the distal vagina. The lesion seen in Fig. 8.24 was excised and shown to be a fibroadenoma of the urethra.

Fig. 8.24
After excision, the pathology showed this lesion to be a fibroadenoma of the urethra originating from the periurethral glands (arrow)
8.8 Gartner’s Cyst of the Anterior Vaginal Wall
Mesonephric–Wolffian Gartner’s duct cysts usually present in the anterolateral vaginal wall. The Wolffian duct will develop into the ureter and trigone. The epithelial cyst is cuboidal and nonciliated, with nonmucinous fluid. These cysts are generally small, averaging 2 cm in diameter.
The patient in Figs. 8.25 and 8.26 was found on routine examination to have a small cystic area of the anterior vaginal wall. After excision, pathology confirmed that it was a Gartner’s cyst.

Fig. 8.25
Sagittal MRI confirms the presence of a clear-fluid cystic mass. No solid areas or blood features were seen. The arrow point toward the cystic areas in the anterior vaginal wall

Fig. 8.26
Exposure of the anterior vaginal wall was obtained and the cystic area was excised. It was filled with clear, nonmucinous fluid. Pathology confirmed the diagnosis of Gartner’s cyst
Another patient (Figs. 8.27, 8.28, 8.29, and 8.30) presented with a much larger Gartner’s cyst, which had grown for 7 years prior to presentation.

Fig. 8.27
This patient presented with a large, nontender mass of the anterior vaginal wall. The mass had progressively grown for 7 years prior to presentation

Fig. 8.28
A sagittal T2 MRI image showed a clear-fluid cystic mass of the anterior vaginal wall

Fig. 8.29
A superior and inferior flap of the anterior vaginal wall was created to expose the cystic area. The mass was excised superficially to the perivesical fascia

Fig. 8.30
The excess of vaginal wall was excised and the anterior vaginal wall was reconstructed. The final pathology confirmed the diagnosis of Gartner’s cyst
8.9 Müllerian Cyst
Müllerian or paramesonephric vaginal cysts may be present in the anterior vaginal wall (generally anterolateral). The Müllerian ducts normally develop into the uterus and upper vagina. The epithelium is pseudostratified columnar cells and is mucin producing. These cysts are usually small (1–7 cm) and asymptomatic. Treatment is required only if the cyst is symptomatic.
Figures 8.31 and 8.32 depict a patient who was found on routine examination to have a small, cystic, nontender mass of the anterior vaginal wall.

Fig. 8.31
Exposure of the anterior vaginal wall, showing the location of the small cystic mass

Fig. 8.32
Excision of the cyst was performed and a mucous type of fluid was drained. The final pathology confirmed the diagnosis of Müllerian cyst. The arrows outline the margins of the cyst
8.10 Distal Thrombosis of Urethral Mucosa
The patient in Figs. 8.33 and 8.34 developed acute urinary retention, urethral pain, and vaginal bleeding while receiving chemotherapy for advanced ovarian cancer.

Fig. 8.33
Vaginal examination revealed a large, necrotic, hemorrhagic mass occluding the urethra

Fig. 8.34
The mass was excised and the urethral mucosa anastomosed to the vaginal wall over a Foley catheter
8.11 Posterior Vaginal Wall and Perineal Leiomyoma (Fibroid)
The patient in Figs. 8.35, 8.36, 8.37, 8.38, and 8.39 presented with vaginal discomfort, defecatory dysfunction, and a large, nontender mass of the posterior vaginal wall extending to the perineum.

Fig. 8.35
A coronal MRI shows the presence of a solid, well-circumscribed mass of the perineum (arrow)

Fig. 8.36
Exposure of the posterior vaginal wall and perineum shows a hard mass that extends from the posterior vaginal wall to the perineum. A perineal approach to remove the mass was performed. The arrowsoutline the lesion in the perineum

Fig. 8.37
A superior and inferior flap of the perineal skin was created to expose the mass. The mass is dissected free, without difficulty, from the posterior vaginal wall and prerectal area

Fig. 8.38
After removal of the mass, the prerectal area, the perineum, and the posterior vaginal wall were reconstructed

Fig. 8.39
The mass was removed and transected. The final pathology confirmed the diagnosis of benign leiomyoma (fibroid)
8.12 Chondroma of the Inferior Pubic Rami
The patient in Figs. 8.40, 8.41, and 8.42 presented with difficulty in voiding and a feeling of a hard mass growing in the anterior vaginal wall.

Fig. 8.40
Physical examination revealed a very hard, fixed mass anterior to the urethra, under the pubic bone (arrow). The mass was not mobile or tender

Fig. 8.41
A sagittal MRI shows a mass emerging from the inferior ramus of the pubic bone (arrow), displacing the urethra posteriorly. The mass is well circumscribed and is not invading surrounding tissues

Fig. 8.42
A suprameatal incision was made to separate the urethra from the inferior ramus of the pubic bone (arrow). The mass was removed entirely, and the final pathology confirmed the diagnosis of a benign chondroma
8.13 Large Urethral Leiomyoma Causing Urethral Obstruction
During her second pregnancy, the young patient in Figs. 8.43, 8.44, 8.45, 8.46, 8.47, 8.48, 8.49, 8.50, 8.51, 8.52, 8.53, 8.54, 8.55, 8.56, 8.57, and 8.58 presented with difficulty in voiding, tenderness in the anterior vaginal wall, and the feeling of a mass. Physical examination revealed a large, nontender, elastic, nonmobile mass inferior to the pubic bone. The mass displaced the urethra inferiorly.

Fig. 8.43
Sagittal T2 MRI of the midpelvis reveals a large mass, mostly solid, with areas of necrosis and fluid displacing the anterior vagina and urethra inferiorly. The uterus is normal except for several small fibroids, and the adnexa are normal

Fig. 8.44
An axial MRI shows the replacement and displacement of the urethra by the large mass. Multiple areas of necrosis are seen. The arrows outline the tumor

Fig. 8.45
On examination, a large mass is displacing the urethra inferiorly. The mass extends below the inferior ramus of the pubic bone toward the retropubic space. The rest of the anterior and posterior vaginal wall was normal. The arrows point toward the extension of the tumor inferior to the pubic bone

Fig. 8.46
An inverted U flap of the anterior vaginal wall was created over the lesion. The line outlines the incision of the anterior vaginal wall

Fig. 8.47
Dissection of the mass required extensive mobilization of the anterior vaginal wall and urethral area. The retropubic space was entered by detaching the pubourethral ligaments from the inferior margin of the pubic bone. The lateral attachments of the mass to the levator muscles also required extensive dissection

Fig. 8.48
The mass is mobilized and freed from the surrounding structures. The arrows outline the tumor before removal

Fig. 8.49
The mass has been removed, and the remaining adhesions have been transected

Fig. 8.50
The distal and proximal urethras are wide open (like a cone with the tip representing the bladder neck). The bladder neck is the only area intact and competent. Construction of a neourethra will be performed

Fig. 8.51
Two parallel incisions (broken white line) are made in the anterior, widely dilated defect of the urethral wall, lateral to the Foley catheter, starting at the bladder neck

Fig. 8.52
The margins of the anterior incisions are approximated over the Foley catheter to construct a tube of the anterior defect. Two layers of running and interrupted sutures are applied

Fig. 8.53
The mucosa of the lateral and posterior defect was excised and trimmed. The periurethral fascia was advanced distally to cover the area of the reconstructed urethra. The arrows indicate the margin of the advanced periurethral fascia

Fig. 8.54
The neourethra was reconstructed. Bladder irrigations are done to rule out any extravasation. The excess of periurethral fascia was excised. An anterior vaginal wall flap (arrow) is advanced distally to cover the area of the reconstructed urethra

Fig. 8.55
The anterior vaginal wall reconstruction is completed. The flap of the anterior vaginal wall is anastomosed distally to the new urethral meatus and laterally to the vaginal wall

Fig. 8.56
Postoperative view of the anterior vaginal wall after the surgery was completed

Fig. 8.57
The specimen after removal. The final pathology showed a benign leiomyoma with areas of infarction and hyalinization

Fig. 8.58
Picture of the anterior vaginal wall 5 months after surgery. The patient is voiding normally and without any incontinence. The anterior vaginal wall is well supported. The arrows point toward the external reconstructed urethral meatus
Suggested Reading
Blaivas JG, Flisser AJ, Bleustein CB, Panagopoulos G. Periurethral masses: etiology and diagnosis in a large series of women. Obstet Gynecol. 2004;103:842–7.CrossRefPubMed
Dmochowski RR, Ganabathi K, Zimmern PE, Leach GE. Benign female periurethral masses. J Urol. 1994;152:1943–51.PubMed
Eilber KS, Raz S. Benign cystic lesions of the vagina: a literature review. J Urol. 2003;170(3):717–22.CrossRefPubMed